Mastering Posterior Plateau Fractures via Direct Posterior Approaches
k DEFINITION A direct approach with the patient in a prone position to the posterior aspect of the tibial pla…
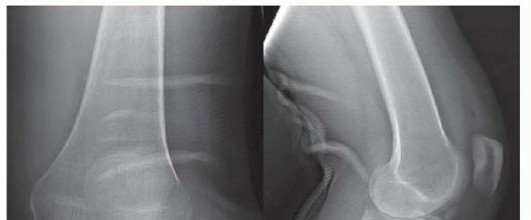
TRAUMA
k DEFINITION A direct approach with the patient in a prone position to the posterior aspect of the tibial pla…
n DEFINITION Indications for external fixation of the tibial shaft in trauma applications include the treatme…
DEFINITION The distal ulna is the fixed point 7 around which the radius and the hand function ( FIG 1A ). Fra…
DEFINITION Malunion of the radial or ulnar shaft can lead to pain, loss of motion, loss of strength, and inst…
DEFINITION High-energy fractures of the distal aspect of the radius with extensive comminution of the articul…
DEFINITION Radial head fractures are the most common fracture of the elbow and usually can be managed either …
DEFINITION This injury was initially reported by Giovanni Monteggia in 1814 as a fracture of the ulna associa…
DEFINITION The patella, the largest sesamoid bone, is an essential component for knee extension (in conjuncti…
r DEFINITION Incidence: 3% to 5% of all fractures 12 The AO/ASIF classification of humeral shaft fractures is…
DEFINITION Located in the proximal carpal row, the scaphoid serves as an important link between the proximal …
DEFINITION A diaphyseal forearm fracture should be treated as a nonunion if there is either no likelihood tha…
DEFINITION Diaphyseal forearm fractures include isolated or combined radial and ulnar fractures (“both-bone f…