Volar Plating: Lobster Claw Clamp for Superior Distal Radius Repair
DEFINITION Distal radius fractures are defined by their involvement of the metaphysis of the distal radius. T…
TRAUMA
DEFINITION Distal radius fractures are defined by their involvement of the metaphysis of the distal radius. T…
DEFINITION Radial head and neck fractures are the most common elbow fractures in adults representing 33% of e…
DEFINITION Fracture of the olecranon process is common, usually displaced, and nearly always treated operativ…
DEFINITION The scaphoid is the most commonly fractured carpal bone, accounting for 1 in every 100,000 emergen…
DEFINITION Distal radius fractures typically originate in the radial metaphysis and occasionally enter the ra…
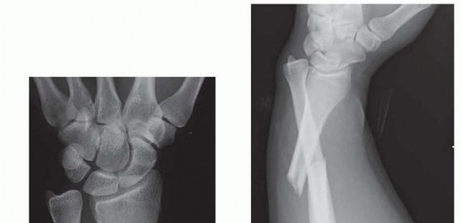
DEFINITION Fracture of the radial shaft with an associated distal radioulnar joint (DRUJ) dislocation (FIG 1A…
n DEFINITION Femoral neck fractures occur in two patient populations. Most commonly, they happen in older ost…
DEFINITION Fractures that occur above or around the femoral component of a total knee arthroplasty (TKA). The…
DEFINITION Pelvic instability is defined as inability of the pelvis to assume physiologic loads without displ…
DEFINITION Distal femur fractures are difficult, complex injuries that can result in devastating outcomes. Th…
DEFINITION The clavicle is one of the most commonly fractured bones. The site on the clavicle most often frac…
DEFINITION Distal radius malunion is best defined as malalignment associated with dysfunction. Malalignment d…