Mastering Revision Total Knee Arthroplasty: Tibial Bone Loss & Advanced Grafting Techniques

Key Takeaway
Step into the OR for a detailed masterclass on revision total knee arthroplasty with tibial bone loss. This guide provides an exhaustive, real-time breakdown of surgical techniques, from meticulous dissection and defect assessment to advanced impaction and structural bone grafting. Learn to manage complex bone deficiencies and achieve stable, long-lasting implant fixation, ensuring optimal patient outcomes through expert execution and comprehensive postoperative care.
Introduction and Epidemiology
Substantial bone loss and massive osseous defects represent some of the most formidable challenges encountered by orthopedic surgeons performing revision total knee arthroplasty. Tibial bone loss in the setting of a failed total knee arthroplasty is a complex, multifaceted problem that compromises the foundational support required for stable implant fixation. Awareness and meticulous management of bone loss through cement fill, metallic augments, or bone grafting are crucial for achieving the stability, proper joint line restoration, and long term survivorship of the newly implanted revision components.

The epidemiology of revision total knee arthroplasty demonstrates an increasing burden, directly correlating with the rising volume of primary arthroplasties performed globally. As the demographic of primary total knee arthroplasty shifts toward younger, more active patients, the prevalence of late failures necessitating revision is expanding. Tibial bone loss is encountered in a significant majority of these revisions. The etiology of this bone loss is typically multifactorial.
Pathogenesis of bone stock deficiency primarily stems from aseptic loosening, periprosthetic osteolysis, deep periprosthetic joint infection, and iatrogenic bone loss during component extraction. Aseptic loosening, often secondary to component malposition, ligamentous imbalance, or subsidence, causes cyclical micromotion. This leads to the collapse of the tibial plateau on the compression side and lift off on the tension side. Periprosthetic osteolysis is driven by a macrophage mediated inflammatory response to particulate wear debris, predominantly polyethylene, which upregulates osteoclastogenesis and results in expansile, lytic destruction of the trabecular bone.

Regardless of the underlying mechanism, the natural history of unmanaged periprosthetic bone loss is a progressive spiral toward catastrophic implant failure. Patients may remain asymptomatic during the early stages of osteolysis; however, as structural integrity is compromised, patients present with insidious pain, swelling, and progressive instability. Hyperextension or varus valgus thrusting due to the loss of tibial height and asymmetric bone collapse are common sequelae. Without surgical intervention, continuing progression leads to periprosthetic fracture, severe soft tissue compromise, and profound functional disability.
Surgical Anatomy and Biomechanics
A profound understanding of proximal tibial anatomy and the biomechanics of load transfer is mandatory for managing challenging tibial defects. The proximal tibia expands from a dense cortical diaphyseal tube into a broad metaphyseal flare, composed primarily of a thin cortical shell surrounding a vast network of cancellous trabecular bone. During primary total knee arthroplasty, the tibial component is designed to rest on the dense subchondral bone of the proximal metaphysis.

In the revision setting, this critical metaphyseal bone is frequently absent or structurally compromised. The most common areas of deficiency involve the posterolateral and medial tibial plateaus. The medial tibial plateau normally bears approximately sixty percent of the axial load during the stance phase of gait. Consequently, uncontained defects in the medial plateau are particularly detrimental to the biomechanical stability of a revision construct.
When metaphyseal bone loss is substantial, the biomechanical paradigm of implant fixation must shift from metaphyseal support to diaphyseal bypass. This is conceptualized through the principle of zonal fixation. Zone 1 represents the articular surface and epiphysis, Zone 2 encompasses the metaphysis, and Zone 3 is the diaphysis. When Zones 1 and 2 are compromised by massive osteolysis or structural defects, stable fixation can only be achieved by engaging the dense cortical bone of Zone 3.

Bone grafting serves to reconstitute the bone stock in Zones 1 and 2. While diaphyseal stems provide immediate mechanical stability and bypass the defect, the long term success of the reconstruction often relies on the incorporation and remodeling of the bone graft to restore physiological load transfer to the proximal tibia. Impaction bone grafting utilizes tightly packed cancellous allograft to convert shear forces into compressive forces, providing a stable bed for cemented components. Structural allografts, conversely, are utilized to replace massive uncontained segmental defects, restoring the anatomical joint line and providing immediate structural support, albeit with a slower rate of biological incorporation.
Indications and Contraindications
The selection of a reconstruction method depends heavily on the morphology and volume of the bone defect. The Anderson Orthopaedic Research Institute classification system is the most widely utilized framework for categorizing these defects and guiding treatment. Type 1 defects are minor and contained, with intact metaphyseal bone. Type 2 defects are characterized by damaged metaphyseal bone that requires reconstitution; these are subdivided into Type 2A (involving one condyle) and Type 2B (involving both condyles). Type 3 defects represent massive bone loss compromising a major portion of the condyle or metaphysis, occasionally associated with collateral ligament detachment.

Smaller, contained defects (Type 1 and mild Type 2) can often be addressed with morcellized autograft from bone cuts, cancellous allograft, or bone cement alone. Larger, uncontained defects (severe Type 2 and Type 3) require the use of metallic augments, highly porous metaphyseal cones or sleeves, or structural bulk allografts.
| Management Strategy | Operative Indications (Revision TKA) | Non Operative Indications (Conservative Management) |
|---|---|---|
| Impaction Bone Grafting | Contained metaphyseal defects (AORI Type 2A/2B); intact peripheral cortical rim; desire to restore bone stock for future revisions. | Asymptomatic non-progressive osteolysis in a medically unfit patient. |
| Structural Bulk Allograft | Massive uncontained defects (AORI Type 3); severe joint line elevation requiring >15mm build-up; severe bone loss in young patients where restoring bone stock is paramount. | Active deep periprosthetic joint infection; severe immunodeficiency compromising graft incorporation. |
| Highly Porous Cones and Sleeves | Uncontained metaphyseal defects (AORI Type 2B/3); inability to achieve stable trial reduction with augments alone; older patients where immediate biologic fixation is prioritized over bone stock restoration. | Patient refusal of surgery; non-ambulatory status with minimal pain. |
| Tumor Megaprosthesis | Catastrophic bone loss precluding diaphyseal stem engagement; complete loss of collateral ligament attachments; multiple failed structural allografts. | Severe peripheral vascular disease precluding extensive surgical exposure; medical comorbidities making major surgery prohibitive. |
Contraindications for structural bone grafting include active periprosthetic joint infection, as the avascular bulk allograft can serve as a nidus for persistent bacterial colonization. In cases of two stage revision for infection, structural grafting is strictly reserved for the second stage reimplantation after eradication of the pathogen has been confirmed. Additionally, severe host immunodeficiency or prior local radiation therapy may significantly impair the biological incorporation of massive allografts, making highly porous metallic augments a more reliable alternative in such patients.
Pre Operative Planning and Patient Positioning
Preoperative evaluation begins with a detailed history and clinical examination. It is paramount that the cause of failure is determined in the preoperative assessment to reduce the risk of repeating mistakes that may have led to the failure of the initial arthroplasty. Other causes of pain, such as spinal pathology, ipsilateral hip osteoarthritis, or vascular claudication, must be systematically ruled out. Contraindications for surgery, such as uncontrolled systemic infection, poor general medical condition, active Charcot arthropathy, or severe neuromuscular disorders, must be identified.

Reports of previous surgeries must be obtained to gather information on prior soft tissue releases, the specific type and size of the current prosthetic components, and the original primary diagnosis. A comprehensive infection workup is mandatory for every failed total knee arthroplasty, including serum Erythrocyte Sedimentation Rate and C Reactive Protein levels. If inflammatory markers are elevated, a diagnostic joint aspiration for cell count, differential, and extended cultures is required.
Radiographic evaluation requires weight bearing anteroposterior, lateral, and skyline patellar views. Full length standing lower extremity radiographs are critical for assessing overall mechanical alignment and identifying any extra articular deformities. Advanced imaging, such as a Computed Tomography scan with metal artifact reduction sequences, is highly recommended to accurately quantify the volumetric extent of the bone loss, map the location of osteolytic cysts, and evaluate the rotational profile of the retained components.

Preoperative templating is essential to estimate the required length and diameter of diaphyseal stems, the size of structural allografts or metallic cones, and the anticipated level of the joint line. The surgeon must ensure that a comprehensive revision inventory is available in the operating room, including various sizes of femoral head allografts, distal femoral structural allografts, a bone mill for impaction grafting, and a full complement of metaphyseal cones, sleeves, and offset stems.
The patient is positioned supine on a standard radiolucent operating table. A bump is placed under the ipsilateral hip to prevent external rotation of the limb. A sterile tourniquet is applied to the proximal thigh, although its inflation may be delayed or avoided entirely depending on the need to assess soft tissue viability and vascularity. The limb is prepped and draped in a standard sterile fashion, ensuring that the surgical field allows for full flexion of the knee and access to the entire lower extremity for alignment verification.
Detailed Surgical Approach and Technique
Surgical Exposure and Extensile Approaches
The surgical approach for a revision total knee arthroplasty with massive bone loss must provide extensive visualization of the joint while minimizing the risk of extensor mechanism avulsion. The previous midline skin incision is typically utilized. If multiple previous incisions exist, the most lateral usable incision is preferred to preserve the blood supply to the anterior skin flap.

A standard medial parapatellar arthrotomy is performed. Due to the presence of scar tissue and altered mechanics, eversion of the patella may place undue stress on the patellar tendon insertion. In cases of severe stiffness or difficult exposure, extensile measures must be employed early. A quadriceps snip is the most common and least morbid extensile approach, providing excellent exposure without altering postoperative rehabilitation. If exposure remains inadequate, particularly when dealing with massive proximal tibial defects requiring structural allografting, a tibial tubercle osteotomy is highly effective. This allows for complete mobilization of the extensor mechanism and provides unparalleled access to the diaphyseal canal.
Component Extraction and Joint Debridement
Implant removal must be performed meticulously to preserve the remaining host bone stock. The interface between the implant and the bone or cement is disrupted using thin, flexible osteotomes, oscillating saws, and Gigli saws. Ultrasonic cement removal tools are highly advantageous for safely extracting cement mantles from the diaphyseal canal without causing iatrogenic cortical perforation or fracture.

Once the components are removed, a radical debridement of the joint is performed. All particulate debris, metallosis, and the inflammatory neocapsule must be excised. Osteolytic membranes lining the bone defects are thoroughly curetted until healthy, bleeding punctate bone is encountered. This debridement is critical, as residual osteolytic tissue can perpetuate the inflammatory cascade and compromise the incorporation of subsequent bone grafts.
Defect Classification and Preparation
Following debridement, the tibial bone defects are formally assessed and classified according to the Anderson Orthopaedic Research Institute criteria. The intramedullary canal of the tibia is sequentially reamed to determine the appropriate diameter and length of the diaphyseal stem required to bypass the metaphyseal defects and achieve stable cortical engagement in Zone 3.

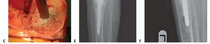
The preparation of the defect depends on the planned reconstruction method. For contained defects, the sclerotic margins of the cavity are burred or drilled to expose a vascular bed capable of supporting graft incorporation. For uncontained defects slated for structural allografting, the host bone is typically prepared with a flat planar cut or a step cut to provide a stable, geometric seating surface for the allograft.
Impaction Bone Grafting for Contained Defects
Impaction bone grafting is an excellent technique for managing large, contained metaphyseal defects (Anderson Orthopaedic Research Institute Type 2A and 2B). The technique relies on the viscoelastic properties of tightly packed cancellous bone to provide immediate mechanical stability.

Fresh frozen femoral head allografts are processed through a bone mill to create cancellous chips ranging from three to five millimeters in diameter. The medullary canal is plugged distally, and a trial stem is inserted to maintain the central alignment. The cancellous allograft is then introduced into the metaphyseal voids and vigorously impacted using specialized tamps and a mallet. The impaction process converts the loose chips into a dense, interlocking matrix. This process is repeated until the defect is completely filled and the graft bed is highly resistant to further impaction. The final revision tibial component is then cemented over the impacted graft, utilizing a diaphyseal stem to protect the graft from excessive shear forces during the biological incorporation phase.
Structural Allografting for Uncontained Defects
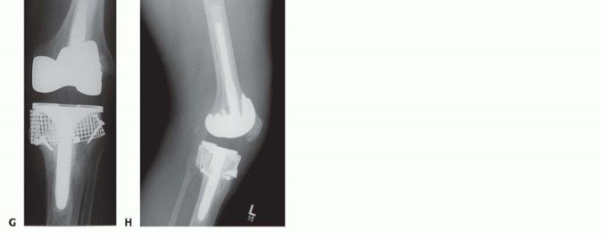
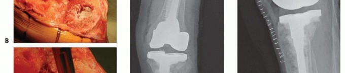
Massive uncontained defects (Anderson Orthopaedic Research Institute Type 3) lacking a peripheral cortical rim require structural support. While highly porous metal cones have largely supplanted bulk allografts in modern practice due to their ease of use and reliable osseointegration, structural allografts remain a vital tool, particularly in younger patients where the restoration of bone stock is a primary objective.

A fresh frozen femoral head or distal femoral allograft is selected. The host bone is prepared by resecting the remaining structurally incompetent bone to a flat, bleeding surface. The allograft is then meticulously shaped to match the host defect perfectly. The "seven up" technique is frequently used, where the graft is shaped into a figure seven to sit on the prepared host ledge while allowing the intramedullary stem to pass centrally.
The structural allograft is temporarily secured to the host tibia using Kirschner wires. The allograft host construct is then reamed as a single unit to accept the diaphyseal stem. Definitive fixation of the structural allograft to the host bone is typically achieved with interfragmentary lag screws or by the press fit interference of the diaphyseal stem passing through both the graft and the host diaphysis.
Zonal Fixation and Stem Implantation
Regardless of the grafting technique utilized, the definitive implant must achieve rigid stability. Diaphyseal engaging stems are mandatory when massive bone grafting is performed. The stem must bypass the grafted area by a minimum of two cortical diameters into the intact diaphysis.

Cementless, fluted, tapered stems are widely favored as they provide excellent rotational stability and immediate rigid fixation in the diaphysis. The metaphyseal portion of the implant, resting on the bone graft, is typically cemented. Care must be taken to prevent cement extrusion between the structural allograft and the host bone interface, as this will mechanically block biological incorporation and lead to graft nonunion. Offset stems may be required to accommodate the mismatch between the center of the diaphyseal canal and the center of the tibial plateau, ensuring optimal coverage of the reconstructed metaphysis.
Complications and Management
The management of massive tibial bone loss with bone grafting in revision total knee arthroplasty is fraught with potential complications. The complexity of the reconstruction, combined with the compromised local biology and extended operative times, elevates the risk profile significantly compared to primary arthroplasty.

Structural allografts are particularly susceptible to specific failure modes, including nonunion at the host graft interface, late graft resorption, and structural fracture of the allograft. Because bulk allografts are avascular and incorporate slowly via creeping substitution, they remain mechanically vulnerable for years postoperatively. Infection is another catastrophic complication, as the massive avascular graft serves as a perfect nidus for biofilm formation.
| Complication | Estimated Incidence | Etiology and Risk Factors | Management and Salvage Strategies |
|---|---|---|---|
| Allograft Nonunion / Resorption | 8% - 15% | Poor host bed preparation; cement interposition at the host-graft interface; inadequate mechanical stabilization; immunologic rejection (rare). | Revision with highly porous metaphyseal cones or sleeves; tumor megaprosthesis if remaining bone stock is critically depleted. |
| Deep Periprosthetic Joint Infection | 5% - 10% | Prolonged operative time; massive avascular tissue (allograft) acting as a nidus; prior history of septic failure; poor soft tissue envelope. | Two-stage revision arthroplasty; complete removal of all structural allograft material; placement of an antibiotic spacer; systemic intravenous antibiotics. |
| Periprosthetic Fracture | 3% - 7% | Stress shielding from stiff diaphyseal stems; late graft fracture due to incomplete incorporation and fatigue failure; aggressive intraoperative reaming. | Open reduction and internal fixation with locking plates and cerclage cables; revision to a longer diaphyseal bypassing stem. |
| Aseptic Loosening | 5% - 12% | Failure to achieve initial rigid diaphyseal fixation; progressive osteolysis from wear debris; subsidence of the graft-implant construct. | Revision arthroplasty; upgrading stem length and diameter; transition from structural allograft to highly porous metallic augments. |
Management of these complications requires a highly individualized approach. If a structural allograft fails via late resorption or nonunion but the joint remains uninfected, revision utilizing highly porous metaphyseal cones or sleeves is the modern salvage strategy of choice. These porous metals provide immediate biological fixation via osteointegration and do not rely on the creeping substitution required by allografts. In cases of catastrophic failure with complete loss of the proximal tibial metaphysis and collateral ligament attachments, a hinge knee tumor megaprosthesis may be the only viable salvage option to avoid amputation.
Post Operative Rehabilitation Protocols
Rehabilitation following revision total knee arthroplasty with massive bone grafting is significantly more conservative than following primary arthroplasty. The primary goal in the early postoperative phase is the protection of the graft host interface to allow for initial biological incorporation and to prevent mechanical subsidence.

During Phase 1 (0 to 6 weeks), weight bearing is typically restricted. If a massive structural bulk allograft was utilized, patients are often restricted to toe touch weight bearing or partial weight bearing (maximum of 20 to 30 pounds) using a walker or crutches. If impaction bone grafting with a fully bypassing diaphyseal stem was performed, slightly more aggressive weight bearing may be permitted at the surgeon's discretion, though caution remains paramount. Range of motion exercises are initiated immediately, focusing on achieving full active extension and progressive flexion. Continuous passive motion machines may be utilized if the patient struggles with early mobilization.
Phase 2 (6 to 12 weeks) involves a gradual progression to full weight bearing, contingent upon radiographic evidence of stable component alignment and the absence of graft subsidence. Strengthening exercises focus on the quadriceps, hamstrings, and core musculature. Closed chain exercises are introduced as weight bearing tolerance improves.
Phase 3 (greater than 12 weeks) focuses on maximizing functional independence, proprioception, and endurance. Patients are counseled that maximal medical improvement following a complex revision with structural grafting may take up to eighteen to twenty four months, as the creeping substitution and remodeling of the allograft is a profoundly protracted biological process. Standard deep vein thrombosis prophylaxis and perioperative antibiotic protocols are strictly adhered to, often with extended durations compared to primary arthroplasty due to the elevated risk profile.
Summary of Key Literature and Guidelines
The academic literature surrounding the management of tibial bone loss in revision arthroplasty has evolved significantly over the past three decades. The foundational framework for understanding and classifying these defects was established by Eng
You Might Also Like