Masterclass: Percutaneous Intramedullary Screw Fixation for Jones Fractures

Key Takeaway
This masterclass provides an immersive, step-by-step guide to percutaneous intramedullary screw fixation for Jones fractures. Fellows will learn comprehensive surgical anatomy, meticulous preoperative planning, and precise intraoperative execution, including guidewire placement, reaming, and screw insertion. We cover critical pearls, potential pitfalls, and detailed postoperative care to ensure optimal patient recovery and minimize complications, focusing on the unique challenges of the fifth metatarsal's watershed blood supply.
Introduction and Epidemiology
The Jones fracture represents a distinct and clinically significant acute injury occurring at the metaphyseal-diaphyseal junction of the fifth metatarsal. Properly defining this fracture pattern is critical for accurate diagnosis and management, as the fifth metatarsal base is subject to various fracture types with vastly different natural histories and prognostic implications. By definition, a true Jones fracture occurs in the watershed area of the fifth metatarsal and should not exhibit fracture line extension distal to the fourth-fifth intermetatarsal articulation.

Historically described in 1902 by Sir Robert Jones—who sustained the injury himself while dancing—the fracture typically results from acute sporting or athletic activities. The fracture begins on the lateral aspect of the fifth metatarsal cortex and may propagate medially into the metatarsocuboid joint. It is imperative to distinguish this acute injury from diaphyseal stress fractures, which present with a prodrome of chronic lateral foot pain and exhibit cortical hypertrophy and medullary sclerosis on initial presentation.

Torg Classification System
The management and prognosis of Jones fractures are largely dictated by the chronicity and radiographic appearance of the injury. Torg established a widely utilized three-part classification system that categorizes these fractures based on their healing potential and radiographic characteristics:
- Type I Acute Fracture: Characterized by a fracture line with sharp, distinct margins. There is no evidence of intramedullary sclerosis. The fracture often involves only the lateral cortex initially before propagating transversely.
- Type II Delayed Union: The fracture line involves both cortices with associated periosteal bone formation. Radiographs demonstrate widening of the fracture line and distinct evidence of intramedullary sclerosis, indicating a compromised healing response.
- Type III Nonunion: Demonstrated by profound bone resorption with marked radiolucency at the fracture site. There is complete obliteration of the medullary canal by sclerotic bone, representing a biologic failure of the fracture to unite.

Surgical Anatomy and Biomechanics
A profound understanding of the complex osteology, musculotendinous attachments, and tenuous vascular supply of the fifth metatarsal base is essential for the orthopedic surgeon. These factors collectively contribute to the high rate of delayed union and nonunion observed in nonoperatively managed Jones fractures.
Osteology and Articulations
The fifth metatarsal consists of a base, tuberosity, shaft, neck, and head. The base articulates proximally with the cuboid and medially with the base of the fourth metatarsal. The metaphyseal-diaphyseal junction, the anatomic location of the Jones fracture, lies immediately distal to these articulations. The medullary canal of the fifth metatarsal is notoriously narrow and exhibits a lateral bow, which complicates intramedullary fixation and dictates precise entry point selection to avoid lateral cortical blowout during screw insertion.

Musculotendinous Attachments
The proximal fifth metatarsal serves as an anchor for several powerful tendinous and fascial structures, which impart significant deforming forces across the metaphyseal-diaphyseal junction:
- Peroneus Brevis: Inserts onto the dorsolateral aspect of the fifth metatarsal tuberosity. While primarily responsible for avulsion fractures (pseudo-Jones fractures), its pull contributes to the complex biomechanical environment of the lateral column.
- Peroneus Tertius: Inserts onto the dorsal aspect of the metatarsal at the metaphyseal-diaphyseal junction, exerting dorsal tensile forces.
- Plantar Fascia: The lateral band of the plantar fascia has a robust insertion along the plantar aspect of the fifth metatarsal tuberosity, creating substantial plantar stabilizing forces.

Vascular Anatomy and the Watershed Zone
The pathogenesis of delayed union in Jones fractures is primarily vascular. The diaphysis of the fifth metatarsal is supplied by a single nutrient artery that enters from the medial cortex at the junction of the proximal and middle thirds of the shaft. The base and tuberosity are supplied by secondary epiphyseal and metaphyseal arteries.
This specific anatomic arrangement creates a critical vascular "watershed" zone at the metaphyseal-diaphyseal junction. Because the fracture disrupts the intramedullary retrograde blood flow from the nutrient artery, the fracture site is rendered relatively avascular, heavily relying on the periosteal supply which is often insufficient for robust callus formation.

Pathogenesis and Biomechanical Forces
Acute Jones fractures are typically the result of a specific biomechanical maneuver: plantarflexion at the ankle coupled with adduction of the forefoot. This position locks the lateral column of the foot. Subsequent axial loading generates massive tensile forces along the lateral border of the metatarsal, resulting in a transverse fracture that initiates at the lateral cortex and propagates medially. This mechanism is ubiquitous in athletic events, particularly in football and basketball, where cutting and pivoting maneuvers are frequent.
Indications and Contraindications
The decision-making process for managing Jones fractures hinges on patient activity level, athletic demands, and the Torg classification of the injury. While nonoperative management in a non-weight-bearing cast is an option for sedentary individuals with acute Type I fractures, the unacceptably high rate of delayed union (up to 30-50%) and the prolonged immobilization required make operative intervention the standard of care for athletes and highly active patients.

| Clinical Scenario | Recommended Management Strategy | Rationale and Evidence |
|---|---|---|
| Torg Type I Acute Elite Athlete | Operative (Intramedullary Screw) | Accelerated return to play; significantly reduces nonunion risk; minimizes deconditioning. |
| Torg Type I Acute Sedentary Patient | Non-Operative (NWB Cast 6-8 weeks) | Acceptable union rates in compliant patients without athletic demands; avoids surgical risks. |
| Torg Type II Delayed Union | Operative (Screw +/- Bone Graft) | Biologic healing is compromised; rigid mechanical stability is required to stimulate union. |
| Torg Type III Nonunion | Operative (Screw + Structural Graft) | Canal sclerosis must be drilled/cleared; requires robust mechanical fixation and osteoinductive/osteoconductive grafting. |
| Revision of Failed Fixation | Operative (Larger Screw or Plantar Plate) | Hardware failure dictates revision with larger diameter fixation or tension band plating constructs. |
Contraindications to surgical intervention include active local or systemic infection, severe peripheral vascular disease compromising the soft tissue envelope, and medically unstable patients who cannot tolerate anesthesia. Relative contraindications include profound neuropathy (e.g., Charcot neuroarthropathy), which may necessitate augmented fixation constructs such as prolonged external fixation or heavy plating rather than isolated intramedullary screw fixation.

Pre Operative Planning and Patient Positioning
Thorough preoperative evaluation is necessary to accurately classify the fracture, rule out concomitant injuries, and plan the trajectory of intramedullary fixation.
Clinical Evaluation and Differential Diagnosis
The patient typically describes participation in an athletic event where, following a cutting or pivoting maneuver, they experienced an acute onset of sharp pain over the lateral border of the foot. Physical examination reveals localized swelling, ecchymosis, and point tenderness directly over the metaphyseal-diaphyseal junction of the fifth metatarsal.
It is critical to differentiate a Jones fracture from other midfoot pathology. The physical examination must systematically rule out Lisfranc injuries. Pain elicited with direct palpation over the tarsometatarsal joint complex, pain with passive dorsiflexion-plantarflexion of individual metatarsal heads, or inability to perform a single-limb heel lift should raise high suspicion for a Lisfranc complex disruption.

Radiographic Assessment
Standard weight-bearing (if tolerated) anteroposterior, lateral, and oblique radiographs of the foot are mandatory. The oblique view profiles the fifth metatarsal base optimally, allowing for clear visualization of the fracture line and assessment of the fourth-fifth intermetatarsal joint.
The surgeon must carefully evaluate the radiographs for signs of chronicity (Torg Type II or III), such as cortical thickening, widening of the fracture gap, and medullary canal sclerosis. If a diaphyseal stress fracture or nonunion is suspected but radiographically ambiguous, Advanced imaging with Computed Tomography (CT) can precisely delineate the extent of canal sclerosis, while Magnetic Resonance Imaging (MRI) is highly sensitive for detecting early stress reactions before cortical fracture occurs.

Operating Room Setup and Positioning
The procedure is typically performed under regional anesthesia (popliteal block) with intravenous sedation or general anesthesia. The patient is placed in the supine position or lateral decubitus position on a radiolucent operating table.
If supine, a substantial bump is placed under the ipsilateral hip to internally rotate the lower extremity, bringing the lateral border of the foot into an accessible, superior position. A thigh tourniquet is applied but may not need to be inflated depending on the surgeon's preference and the extent of the planned approach (e.g., percutaneous vs open). The fluoroscopy unit (C-arm) is positioned on the contralateral side of the table, entering perpendicular to the foot to allow for effortless transition between AP, lateral, and oblique imaging without compromising the sterile field.

Detailed Surgical Approach and Technique
The gold standard for operative management of the Jones fracture is intramedullary screw fixation. The goal is to provide rigid, compression-generating internal fixation that neutralizes the tensile forces on the lateral cortex while preserving the fragile periosteal blood supply.
Incision and Dissection
While percutaneous techniques are viable for anatomically reduced acute fractures, an open or mini-open approach is often preferred to ensure accurate starting point selection and to allow for fracture site preparation in delayed unions.
A 2 to 3-centimeter longitudinal incision is made along the dorsolateral aspect of the proximal fifth metatarsal, extending proximally from the base of the tuberosity. Dissection is carried down through the subcutaneous tissue. Extreme care must be taken to identify and protect the terminal branches of the sural nerve (lateral dorsal cutaneous nerve), which frequently cross the surgical field in this region. The peroneus brevis tendon is identified at its insertion on the tuberosity and retracted plantarward.

Fracture Reduction
In acute Torg Type I fractures, displacement is often minimal. If displacement is present, reduction is achieved using a pointed reduction clamp or by placing a Kirschner wire as a joystick. Anatomic reduction must be confirmed on both AP and lateral fluoroscopic views. For Torg Type II and III fractures, the fracture site must be opened, and the sclerotic bone ends meticulously debrided with a curette or localized drilling to expose bleeding, viable bone. In frank nonunions, autologous bone graft (calcaneal or iliac crest) or orthobiologics may be packed into the defect.

Guide Wire Placement and Canal Preparation
The most critical step of the procedure is the selection of the correct starting point for the intramedullary device. The ideal starting point is "high and inside"—located on the dorsal and medial aspect of the fifth metatarsal tuberosity. A starting point that is too lateral or plantar will result in the guide wire and subsequent screw abutting the lateral cortex of the diaphysis, leading to lateral cortical blowout or eccentric fixation.
A guide wire is advanced under fluoroscopic guidance down the medullary canal. The wire must cross the fracture site and engage the narrow isthmus of the diaphysis.

Once the guide wire is perfectly positioned, the canal is prepared. If a cannulated system is used, a cannulated drill is passed over the wire. For solid screws, the wire is removed after measuring, and the canal is drilled. Hand reaming or drilling is highly recommended over power drilling to provide tactile feedback of the cortical chatter and to prevent thermal necrosis of the already compromised local bone.

The canal is then tapped. Tapping is essential in the dense cortical bone of the fifth metatarsal diaphysis to prevent screw binding and subsequent hardware breakage during insertion. The tap should extend past the planned length of the screw.

Intramedullary Screw Fixation
Screw selection is dictated by the patient's anatomy. The screw must be of sufficient diameter to achieve rigid cortical purchase within the isthmus. Typically, 4.5 mm, 5.0 mm, or 5.5 mm partially threaded titanium or stainless steel screws are utilized. Elite athletes with large medullary canals may require 6.5 mm screws.
The screw length is critical; all threads must completely bypass the fracture site and lie entirely within the distal diaphysis to achieve interfragmentary compression. If threads span the fracture line, the fracture will be held in distraction, virtually guaranteeing a nonunion.

The screw is advanced under live fluoroscopy. As the screw head engages the tuberosity, compression across the fracture site should be visualized. Care must be taken not to overtighten, which can split the proximal tuberosity or strip the distal threads. Final AP, lateral, and oblique fluoroscopic images are saved to document anatomic reduction, appropriate screw length, and absence of lateral cortical penetration.

Alternative Fixation Strategies
While intramedullary screws are the workhorse, alternative constructs are necessary in specific scenarios. In revision settings where a large intramedullary void exists, or in patients with excessive lateral bowing of the metatarsal precluding straight screw insertion, plantar tension band plating is an excellent alternative. A low-profile anatomic locking plate applied to the plantar-lateral surface acts as a tension band, neutralizing the deforming forces of the plantar fascia and peroneals.
Complications and Management
Despite meticulous surgical technique, complications following Jones fracture fixation are well-documented. The tenuous blood supply and high biomechanical stresses make this injury particularly unforgiving.

| Complication | Estimated Incidence | Etiology and Risk Factors | Salvage and Management Strategy |
|---|---|---|---|
| Symptomatic Nonunion | 5% - 10% | Inadequate screw diameter; threads crossing fracture; premature return to play; smoking. | Revision with larger diameter screw; removal of sclerotic bone; autologous bone grafting; consider plantar plating. |
| Hardware Failure (Breakage) | 2% - 5% | Cyclic loading of an unhealed fracture; undersized screw; return to sport before radiographic union. | Hardware removal (often requires trephine for distal segment); revision fixation with structural bone graft. |
| Lateral Cortical Blowout | 1% - 3% | Incorrect starting point (too lateral/plantar); failure to recognize lateral metatarsal bow. | Withdraw screw; redirect starting point "high and inside"; if cortex is shattered, transition to lateral/plantar plating. |
| Sural Nerve Neurapraxia | 3% - 5% | Iatrogenic traction or direct laceration during the surgical approach. | Usually self-limiting; gabapentinoids; if neuroma forms, may require surgical excision and burying of the nerve stump. |
| Prominent Hardware | 5% - 15% | Screw head left proud of the tuberosity cortex; thin soft tissue envelope. | Hardware removal after complete radiographic and clinical consolidation of the |
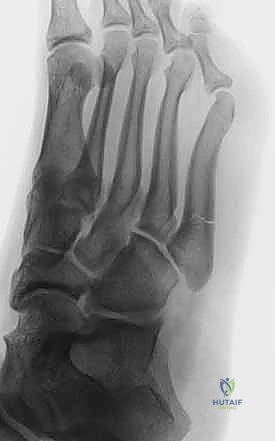
Clinical & Radiographic Imaging























You Might Also Like