Proximal Femoral Atypical Cartilaginous Tumor/Low-Grade Chondrosarcoma: A Diagnostic Imaging Case Study

Key Takeaway
Proximal femoral chondrosarcoma diagnosis integrates patient history, physical exam, and key imaging. Radiographs, CT, and MRI reveal characteristic expansile intramedullary lytic lesions with "rings and arcs" calcifications and significant endosteal scalloping, crucial for identifying this low-grade cartilaginous tumor.
Patient Presentation and History
A 62-year-old male presented to the orthopedic oncology clinic with an 8-month history of a dull, aching pain localized to his left hip and proximal thigh. The pain was insidious in onset, progressively worsened over time, and was particularly noticeable at night, disrupting his sleep. The presence of nocturnal pain is a critical clinical indicator in orthopedic oncology, often differentiating biologic or neoplastic pain from purely mechanical or degenerative etiologies. He reported no specific traumatic event, though he occasionally experienced a catching sensation with certain movements, which can sometimes indicate a micro-fracture or structural compromise of the proximal femur. The pain had become debilitating, significantly impacting his ambulation and activities of daily living, reducing his maximum walking distance to less than two blocks. He denied any fever, chills, night sweats, or unexplained weight loss.
His past medical history was significant for well-controlled hypertension and hyperlipidemia. He was a non-smoker and consumed alcohol socially. He had no personal or family history of malignancies or genetic syndromes predisposing to cartilage tumors such as Ollier disease or Maffucci syndrome. His primary occupation was a retired accountant, and he lived independently. A comprehensive review of systems was otherwise negative. There was no history of prior radiation therapy to the pelvis or lower extremities, and no history of systemic steroid use or bisphosphonate therapy.
Given the chronicity and progressive nature of the symptoms, particularly the nocturnal exacerbation, the index of suspicion for a primary bone tumor or metastatic disease was elevated. The proximal femur is a common location for both primary bone sarcomas and metastatic carcinomas, necessitating a rigorous and systematic diagnostic evaluation.
Clinical Examination Findings
On inspection of the left hip and thigh, there was subtle fullness over the greater trochanteric region, with no obvious skin changes, erythema, or edema. No limb length discrepancy was appreciated on tape measurement from the anterior superior iliac spine to the medial malleolus. Gait analysis revealed a pronounced antalgic gait with a dynamic Trendelenburg sign on the left side, indicative of abductor insufficiency secondary to pain inhibition or direct structural compromise of the greater trochanteric apophysis.
Palpation and Structural Assessment
Palpation revealed deep tenderness over the lateral aspect of the proximal femur and greater trochanter. A firm, non-mobile, mildly tender mass was palpable in the proximal vastus lateralis region, approximately 5 x 4 cm in size, fixed to the underlying bone. This palpable mass raised immediate concern for extraosseous extension of an intramedullary process or a robust periosteal reaction. There was no palpable warmth, and the overlying skin was freely mobile. Percussion over the greater trochanter elicited sharp, localized pain.
Range of Motion and Provocative Testing
Range of motion of the left hip was restricted and painful, particularly with internal rotation and abduction. Active and passive flexion was limited to 90 degrees, extension to 0 degrees, abduction to 20 degrees (compared to 45 degrees on the contralateral side), adduction to 15 degrees, internal rotation to 10 degrees, and external rotation to 25 degrees. Pain was reproduced consistently at the end ranges of motion, particularly with the FABER (Flexion, Abduction, External Rotation) and FADIR (Flexion, Adduction, Internal Rotation) tests, suggesting intra-articular pathology or significant proximal femoral structural irritation. The Stinchfield test was positive, eliciting severe groin and lateral thigh pain against resisted active straight leg raise.
Neurological and Vascular Evaluation
Neurological examination of the left lower extremity revealed intact motor strength (5/5 in all major muscle groups, including hip flexors, extensors, abductors, adductors, knee flexors, knee extensors, ankle dorsiflexors, and plantar flexors). Sensation was normal to light touch and pinprick in all dermatomes from L2 through S2. Deep tendon reflexes were symmetrical (2+ patellar and Achilles reflexes bilaterally). Distal pulses (femoral, popliteal, dorsalis pedis, posterior tibial) were all palpable and symmetrical bilaterally. Capillary refill was less than two seconds in the digits. There were no signs of vascular compromise or venous stasis.
Imaging and Diagnostics
Initial diagnostic workup commenced with plain radiographs of the left hip and femur, followed by advanced cross-sectional imaging to accurately stage the local disease and assist in surgical templating.
Radiographic Evaluation
Anteroposterior and lateral radiographs of the left proximal femur were obtained. These revealed an expansile, intramedullary lytic lesion originating in the subtrochanteric region and extending proximally into the intertrochanteric area. Characteristic findings included a lobulated appearance with "rings and arcs" type calcifications within the matrix, suggestive of cartilage formation. Significant endosteal scalloping, exceeding two-thirds of the cortical thickness, was evident, along with focal cortical thickening and remodeling. There was no obvious periosteal reaction or overt cortical destruction at this stage.

The lateral radiograph further delineated the anterior and posterior cortical margins, confirming the intramedullary epicenter of the lesion. The calcified matrix was heterogeneously distributed, a hallmark of cartilaginous tumors where areas of active growth may lack calcification while more mature areas exhibit the classic stippled or punctate radiopacities.

Computed Tomography Assessment
A CT scan of the left hip and pelvis was subsequently performed to further characterize the lesion's morphology, cortical integrity, and medullary extent. The CT provided superior detail regarding the calcified matrix and the extent of endosteal erosion, confirming significant scalloping of the inner cortex (approximately 75-80% of cortical thickness) over an extended segment. It precisely delineated the intramedullary extent, demonstrating involvement from the lesser trochanter extending distally into the proximal diaphyseal segment.

Coronal CT reconstructions were critical for evaluating the structural integrity of the medial calcar and the lateral tension cortex. The images demonstrated severe thinning of the lateral cortex, significantly increasing the risk of a pathologic subtrochanteric fracture. The transition zone was narrow, but the sheer volume of tumor and the depth of scalloping strongly suggested a locally aggressive biologic behavior, favoring an Atypical Cartilaginous Tumor (ACT) or Grade 1 Chondrosarcoma over a benign enchondroma.

Magnetic Resonance Imaging Characterization
MRI of the left femur with and without intravenous gadolinium contrast was obtained to evaluate the marrow extent, skip lesions, and potential soft tissue extension. The T1-weighted coronal images demonstrated a well-demarcated area of low to intermediate signal intensity replacing the normal high-signal fatty marrow of the proximal femur. The lesion extended from the intertrochanteric line distally for approximately 12 centimeters.

Axial T2-weighted and STIR (Short Tau Inversion Recovery) sequences revealed the classic hyperintense, lobulated appearance of hyaline cartilage. The high water content of the cartilaginous matrix results in a bright signal on fluid-sensitive sequences. Low-signal septations were visualized between the cartilaginous lobules. Importantly, the MRI confirmed the absence of a soft tissue mass and verified that the cortical boundary, while severely thinned, remained intact.

Post-contrast T1-weighted fat-saturated images demonstrated peripheral and septal enhancement. This "rings and arcs" enhancement pattern is typical for cartilaginous lesions. The lack of diffuse, solid enhancement helped rule out a higher-grade chondrosarcoma or a dedifferentiated component. However, the presence of peritumoral bone marrow edema was noted, which is a secondary sign of biologic activity and microtrabecular stress, further supporting the diagnosis of an ACT over a quiescent enchondroma.

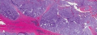
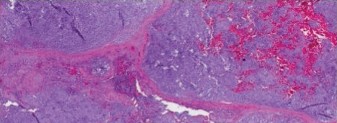
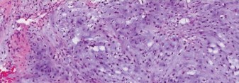
Histopathological Analysis
To definitively establish the diagnosis and grade prior to definitive surgical intervention, a CT-guided core needle biopsy was performed. The biopsy track was carefully planned to ensure it could be excised during the definitive surgical procedure if necessary. Histological examination of the biopsy specimen revealed lobules of hyaline cartilage with increased cellularity compared to a standard enchondroma. Mild nuclear atypia, binucleated chondrocytes, and focal myxoid changes were present. There were no areas of high-grade pleomorphism, mitotic figures, or tumor necrosis.

The integration of clinical symptoms (pain), imaging findings (endosteal scalloping >2/3, size >5 cm), and histology (increased cellularity, mild atypia) confirmed the diagnosis of an Atypical Cartilaginous Tumor (ACT) / Low-Grade (Grade 1) Chondrosarcoma of the proximal femur.
Differential Diagnosis
The evaluation of an intramedullary cartilaginous lesion in the proximal femur of an adult requires a nuanced differentiation between benign, locally aggressive, and malignant entities. The primary challenge lies in distinguishing a benign enchondroma from an Atypical Cartilaginous Tumor (ACT) / Grade 1 Chondrosarcoma.
| Differential Diagnosis | Clinical Presentation | Radiographic Findings | Histological Features |
|---|---|---|---|
| Enchondroma | Usually asymptomatic, discovered incidentally. No nocturnal pain. | Small (<5 cm), heavily calcified matrix. Minimal or no endosteal scalloping (<1/3 cortical thickness). No periosteal reaction. | Hypocellular, abundant hyaline cartilage matrix. Small, uniform chondrocytes with single nuclei. No myxoid change. |
| Atypical Cartilaginous Tumor (ACT) / Grade 1 Chondrosarcoma | Painful (mechanical or nocturnal). Progressive worsening. | Larger (>5 cm), deep endosteal scalloping (>2/3 cortical thickness). Cortical thickening or expansion. "Rings and arcs" calcification. | Increased cellularity, mild nuclear pleomorphism, binucleated cells. Focal myxoid changes. Permeation of host bone trabeculae. |
| High-Grade Chondrosarcoma (Grade 2/3) | Severe, unremitting pain. Palpable soft tissue mass. Rapid progression. | Cortical destruction, soft tissue extension. Faint or absent calcification in areas of rapid growth. Moth-eaten or permeative bone destruction. | High cellularity, marked nuclear atypia, frequent mitotic figures, areas of necrosis. Prominent myxoid or spindle cell components. |
| Bone Infarct | Often asymptomatic unless associated with joint collapse. History of steroid use, alcohol, or sickle cell. | Serpiginous, sclerotic borders with central radiolucency. Usually metaphyseal/diaphyseal. Lacks true "rings and arcs". | Necrotic bone trabeculae with empty lacunae. Fibrous tissue replacement of marrow. Dystrophic calcification. |
| Chondromyxoid Fibroma | Painful, typically in younger patients (second/third decade). | Eccentric, expansile lytic lesion in the metaphysis. Sclerotic rim. Rarely contains visible calcification on plain film. | Lobular architecture with central myxoid zones and hypercellular fibrous peripheries. Stellate or spindle-shaped cells. |
Surgical Decision Making and Classification
The World Health Organization (WHO) classification of bone tumors designates low-grade cartilaginous lesions of the appendicular skeleton as Atypical Cartilaginous Tumors (ACTs) rather than Grade 1 Chondrosarcomas, reflecting their locally aggressive nature but negligible metastatic potential. However, lesions in the axial skeleton or pelvis are still referred to as Grade 1 Chondrosarcomas due to the higher morbidity and mortality associated with local recurrence in those anatomical zones.
Rationale for Operative Intervention
The decision to proceed with operative intervention in this patient was driven by several factors:
1. Symptomatology: The patient was experiencing debilitating, progressive pain that failed conservative management.
2. Biologic Activity: The imaging findings (endosteal scalloping, size) and histology confirmed an ACT, which has a propensity for local progression and cortical destruction if left untreated.
3. Impending Pathologic Fracture: The structural integrity of the proximal femur was severely compromised. The Mirels' criteria were utilized to assess fracture risk. The lesion was in the lower extremity (2 points), was lytic/mixed (2 points), occupied >2/3 of the cortical diameter (3 points), and was painful (3 points). The total Mirels' score was 10, indicating a high risk of prophylactic fracture (>33%) and strongly recommending prophylactic internal fixation.
Selection of Surgical Technique
The surgical management of appendicular ACTs has evolved. Historically, wide en bloc resection was favored to guarantee negative margins. However, modern orthopedic oncology principles support extended intralesional curettage combined with local adjuvant therapy for appendicular ACTs, as this provides excellent local control rates (comparable to wide resection) while preserving the native joint and maximizing functional outcomes.
The planned procedure was extended intralesional curettage, application of chemical and thermal adjuvants (phenol, ethanol, and argon beam coagulation), reconstruction of the cavitary defect with polymethylmethacrylate (PMMA) bone cement, and prophylactic internal fixation using a cephalomedullary nail. PMMA was chosen over bone graft because it provides immediate structural support, allows for immediate weight-bearing, and creates a thermal necrotic zone during polymerization (an additional adjuvant effect). Furthermore, the radiopaque nature of PMMA facilitates postoperative surveillance, as any new radiolucency at the cement-bone interface is highly suspicious for local recurrence.
Surgical Technique and Intervention
Patient Positioning and Approach
The patient was placed in the lateral decubitus position on a radiolucent operative table. A beanbag and kidney rests were utilized to secure the pelvis. The left lower extremity was prepped and draped free to allow for full range of motion and intraoperative fluoroscopy.
A direct lateral approach to the proximal femur was utilized. An incision was made centered over the greater trochanter, extending distally along the femoral shaft. The fascia lata was incised in line with the skin incision. The vastus lateralis was elevated off the intermuscular septum and retracted anteriorly, exposing the lateral cortex of the proximal femur. Care was taken to identify and ligate the perforating branches of the profunda femoris artery to maintain a dry surgical field.
Cortical Window and Intralesional Curettage
Under fluoroscopic guidance, the proximal and distal extents of the tumor were marked. An oblong cortical window, measuring approximately 6 cm in length and 2 cm in width, was created on the lateral cortex using a high-speed burr and osteotomes. The window was carefully designed to avoid creating sharp corners, which act as stress risers.
Extensive intralesional curettage was then performed. The gross tumor consisted of lobulated, bluish-grey, avascular cartilaginous tissue. Ring curettes of varying sizes and angles were utilized to systematically evacuate the medullary canal.

Following gross tumor removal, a high-speed burr was introduced to extend the curettage. The burr was used to aggressively abrade the endosteal surface until normal-appearing, bleeding cortical bone was encountered circumferentially. This "extended" curettage is critical for removing microscopic disease permeating the Haversian canals.
Application of Local Adjuvants
To further reduce the risk of local recurrence, a multimodal adjuvant protocol was employed. The cavity was repeatedly irrigated with pulsatile lavage. Phenol (89%) was carefully applied to the cavity walls using cotton-tipped applicators, taking extreme caution to protect the surrounding soft tissues and neurovascular structures. The phenol was left in place for two minutes to induce protein coagulation and cellular necrosis, followed by neutralization with absolute ethanol and copious saline irrigation. Finally, an argon beam coagulator was utilized to achieve thermal necrosis of the remaining endosteal surface and to ensure absolute hemostasis prior to cementation.
Defect Reconstruction and Prophylactic Fixation
A prophylactic cephalomedullary nail was selected to stabilize the severely weakened proximal femur. The entry point was established at the tip of the greater trochanter. A ball-tipped guide wire was passed distally, bypassing the curetted defect. The canal was reamed over the guide wire.
Prior to nail insertion, the cavitary defect was filled with polymethylmethacrylate (PMMA) bone cement. The cement was introduced in a doughy state and pressurized into the interstices of the cancellous bone. While the cement was still curing, the cephalomedullary nail was advanced through the cement mantle and seated at the appropriate depth.

The cephalic lag screw was then deployed into the femoral head, and distal interlocking screws were placed to control rotation and length. The exothermic reaction of the curing PMMA provided a final layer of thermal adjuvant therapy to the surrounding bone. The cortical window bone flap, which had been thoroughly cleared of any adherent tumor, was replaced and secured. The wound was closed in a layered fashion over a deep subfascial drain.
Post Operative Protocol and Rehabilitation
The immediate postoperative course was uncomplicated. The subfascial drain was removed on postoperative day two when output decreased to less than 30 cc per 24 hours. Intravenous antibiotics (Cefazolin) were administered for 24 hours postoperatively. Chemical deep vein thrombosis (DVT) prophylaxis with low molecular weight heparin was initiated on postoperative day one and continued for 28 days, in accordance with major orthopedic lower extremity surgery guidelines.
Weight-Bearing and Physical Therapy
Due to the immediate structural stability provided by the PMMA cement and the cephalomedullary nail, the patient was allowed weight-bearing as tolerated on the operative extremity immediately postoperatively. Physical therapy was initiated on postoperative day one, focusing on gait training, hip abductor strengthening, and progressive range of motion exercises. The patient utilized a walker for the first two weeks, transitioning to a cane as his abductor strength improved and the dynamic Trendelenburg gait resolved.
Oncologic Surveillance
Given the diagnosis of an Atypical Cartilaginous Tumor, long-term oncologic surveillance is mandatory due to the risk of local recurrence, although the risk of distant metastasis is exceptionally low. The surveillance protocol included:
* Clinical Examination: Every 3 months for the first 2 years, then every 6 months for years 3-5, then annually.
* Radiographic Evaluation: Anteroposterior and lateral radiographs of the left femur at every clinical visit. The cement-bone interface must be scrutinized for any progressive radiolucency, which would necessitate advanced imaging (MRI) to rule out recurrence.
* Chest Imaging: While the metastatic potential is low, a baseline non-contrast CT of the chest was obtained postoperatively, followed by annual chest radiographs for 5 years.

At the 12-month follow-up, the patient was completely asymptomatic, ambulating without assistive devices, and had returned to all baseline activities. Radiographs demonstrated stable hardware, no evidence of cement mantle failure, and no radiolucencies to suggest local recurrence.
Clinical Pearls and Pitfalls
- Clinical Pearl - Differentiating Pain: Always distinguish between mechanical pain (activity-related) and biologic pain (nocturnal, rest pain). Nocturnal pain in the presence of a cartilaginous lesion is a massive red flag for aggressive behavior and should push the diagnosis toward ACT or higher-grade chondrosarcoma.
- Clinical Pearl - Imaging Assessment: Endosteal scalloping is the most reliable radiographic differentiator between enchondroma and ACT. Scalloping that exceeds two-thirds of the cortical thickness is highly indicative of an ACT.
- Pitfall - Inadequate Biopsy Planning: Never perform a biopsy of a suspected bone sarcoma without consulting the treating orthopedic oncologist. The biopsy track must be placed in a location that can be completely excised during the definitive surgical procedure. A poorly placed biopsy track can contaminate major neurovascular structures or joint spaces, converting a limb-salvage candidate into an amputation candidate.
- Pitfall - Incomplete Curettage: The success of intralesional treatment relies entirely on the adequacy of the curettage. Standard curettes are insufficient. A high-speed burr must be used to aggressively break the cortical margin and remove microscopic extensions of the tumor in the Haversian systems.
- Clinical Pearl - Adjuvant Safety: When using chemical adjuvants like phenol, meticulous protection of the surrounding soft tissues is paramount. Phenol is highly toxic and causes severe chemical burns. The surgical field must be packed with moist lap sponges, and the phenol should be applied with precision, followed by immediate neutralization with alcohol.
- Pitfall - Stress Risers: When creating a cortical window for tumor access, ensure the corners are rounded. Rectangular windows with sharp corners act as significant stress risers and exponentially increase the risk of postoperative fracture, even when bypassed with a cephalomedullary nail.
- Clinical Pearl - Fixation Strategy: In the proximal femur, always use a load-sharing device (like a cephalomedullary nail) that spans the entire bone rather than a short plate. A short construct ending in the diaphysis creates a massive stress riser at the end of the plate in a bone that is already biologically and biomechanically compromised.