Challenging Oncology Cases: Aneurysmal Bone Cyst Diagnosis

Key Takeaway
We review everything you need to understand about Challenging Oncology Cases: Aneurysmal Bone Cyst Diagnosis. Aneurysmal Bone Cysts (ABCs) are destructive, reactive bone lesions characterized by multiple blood-filled cavities. Radiographically, they present as eccentric, expanded radiolucent lesions, retaining a thin periosteal rim. Histologically, they feature cavernous blood spaces with multinucleated giant cells and no cellular atypia. MRI often confirms diagnosis with characteristic fluid-fluid levels, important for distinguishing these **oncology cases aneurysmal** manifestations.
Patient Presentation and History
A 16-year-old male presented to the Orthopedic Trauma Clinic with a six-month history of insidious onset left shoulder pain, which was acutely exacerbated following a low-energy mechanical fall while playing basketball. The patient initially described a deep, localized aching pain in the proximal arm that progressively worsened over the preceding half-year, gradually limiting his athletic participation. The acute exacerbation occurred following an axial load mechanism onto an outstretched, abducted arm. This event resulted in immediate, severe, incapacitating pain and an absolute inability to actively mobilize the left glenohumeral joint.
A comprehensive review of systems was negative for constitutional symptoms; the patient specifically denied fever, chills, unintended weight loss, night sweats, or generalized fatigue. His past medical history was entirely unremarkable, with no known chronic illnesses, regular medications, or prior surgical interventions. Family history was non-contributory for hereditary exostoses, primary bone sarcomas, or other genetic neoplastic syndromes. Prior to the onset of the insidious shoulder pain, the patient maintained a highly active, athletic lifestyle.
The clinical timeline is highly characteristic of a benign aggressive bone lesion. The insidious prodromal pain represents progressive endosteal scalloping, cortical thinning, and localized periosteal stretching secondary to the expansile nature of the mass. The acute event highlights the mechanical failure of the compromised cortical bone—a pathological fracture—precipitated by a torsional or axial force that a normal skeletal structure would easily withstand.
Clinical Examination Findings
General Inspection and Palpation
Upon arrival at the emergency department, the patient was alert, oriented, and in moderate distress secondary to acute fracture pain. General inspection of the left shoulder girdle revealed visible soft tissue swelling and dependent ecchymosis extending toward the middle third of the brachium. A subtle anterior prominence was noted over the proximal humerus. The patient maintained the left upper extremity in a protected posture of adduction and internal rotation, exhibiting severe guarding against any passive manipulation.
Palpation elicited exquisite, localized point tenderness directly over the proximal humeral metaphysis. A firm, expansile mass was palpable beneath the deltoid musculature, predominantly over the anterior and anterolateral aspects of the humerus. The overlying skin was warm to the touch, reflecting localized hyperemia often associated with highly vascularized lesions or the acute inflammatory response to fracture. No pulsatile characteristics or palpable thrills were appreciated, which aids in clinically differentiating the lesion from high-flow vascular malformations. Gross crepitus was not deliberately elicited to avoid further displacement of the pathological fracture and exacerbation of pain.
Range of Motion and Neurological Assessment
Active range of motion (ROM) of the glenohumeral joint was completely restricted secondary to pain. Passive ROM was severely limited by involuntary muscle guarding; the patient tolerated only approximately 10 degrees of abduction and minimal external rotation before exhibiting rigid resistance.
A meticulous neurological examination of the distal upper extremity is paramount in the setting of proximal humerus fractures, particularly those with expansile masses that may compress the brachial plexus or individual nerve branches. Distal motor function was intact, with 5/5 strength in the C5-T1 myotomes (assessing deltoid isometric contraction, biceps, triceps, wrist flexors/extensors, and intrinsic hand musculature). Sensation was intact to light touch and pinprick across the radial, ulnar, median, axillary, and musculocutaneous nerve distributions. The preservation of axillary nerve function (sensation over the lateral deltoid) was specifically documented, given its anatomical proximity to the surgical field.
Vascular Assessment
Vascular examination demonstrated strong, symmetric, and bilaterally palpable radial and ulnar pulses. Capillary refill in the digits was brisk, occurring in under two seconds. There were no signs of acute vascular compromise, compartment syndrome, or venous engorgement that might suggest proximal venous compression by the tumor mass. Regional lymph node basins (cervical, supraclavicular, and axillary) were palpated and found to be free of lymphadenopathy.
Imaging and Diagnostics
Initial Radiographic Evaluation
Standard orthogonal anteroposterior (AP) and lateral radiographs of the left shoulder and humerus were obtained. Imaging demonstrated a large, expansile, purely lytic lesion localized to the metadiaphyseal region of the proximal humerus, measuring approximately 7.5 cm in its craniocaudal dimension.

The radiographic morphology revealed a characteristic "blow-out" or "ballooning" of the cortex, leaving a remarkably thin, attenuated cortical shell. Distinct internal trabeculations and septations were visible, conferring a classic "soap-bubble" or multiloculated appearance. A pathological fracture was clearly evident propagating through the thinnest cortical margin along the posteromedial aspect of the proximal humeral shaft, exhibiting minimal displacement.
Applying the Lodwick classification for bone lesions, this presented as a Type 1B or 1C lesion—suggesting a geographic area of bone destruction with a narrow zone of transition but lacking a sclerotic rim, indicative of a benign but locally aggressive process. Crucially, there was an absence of aggressive periosteal reactions (such as Codman's triangle or a "sunburst" pattern) and no overt evidence of osteoid or chondroid matrix mineralization, significantly lowering the suspicion for primary osteosarcoma or chondrosarcoma.
Computed Tomography Analysis
To further delineate the complex bony architecture and assist in preoperative templating, a non-contrast Computed Tomography (CT) scan of the left humerus with 3D reconstructions was executed.

The CT scan provided superior resolution of the cortical integrity, confirming the expansile, multiloculated nature of the lesion. It precisely mapped the geometry of the pathological fracture, confirming its non-displaced nature and its relationship to the calcar region. The axial slices demonstrated multiple fluid-fluid levels within the various cystic compartments, a finding highly suggestive of hemorrhage with subsequent sedimentation of blood products. The CT also confirmed that the articular surface of the humeral head was spared and that the lesion extended distally to the level of the surgical neck and proximal diaphysis, terminating approximately 2 cm proximal to the deltoid tuberosity.
Magnetic Resonance Imaging
Magnetic Resonance Imaging (MRI) with and without intravenous gadolinium contrast is the gold standard for evaluating the soft tissue extent, intramedullary extension, and specific fluid characteristics of bone tumors.

The MRI revealed a well-circumscribed, lobulated, expansile intramedullary mass. The most striking and diagnostic feature on the T2-weighted sequences was the presence of prominent "double-density" fluid-fluid levels. These levels occur due to the dependent layering of erythrocytes (which are T1 and T2 hypointense due to intracellular methemoglobin or hemosiderin) beneath non-dependent serum (which is T2 hyperintense). Post-contrast T1-weighted images demonstrated peripheral and septal enhancement, confirming the presence of a vascularized fibrous stroma separating the cystic cavities. There was no evidence of a solid, enhancing nodular soft tissue component outside the confines of the bone, which is a critical negative finding when differentiating from telangiectatic osteosarcoma.
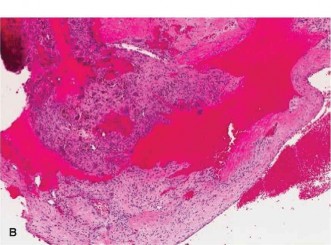
Core Needle Biopsy and Histopathological Analysis
Despite the classic radiographic presentation of an Aneurysmal Bone Cyst (ABC), the presence of a pathological fracture in a locally aggressive lytic lesion mandates a definitive tissue diagnosis prior to definitive surgical reconstruction. A percutaneous image-guided core needle biopsy was performed. The biopsy tract was meticulously planned by the orthopedic oncology team to ensure it fell entirely within the planned definitive surgical approach (deltopectoral), allowing for en bloc excision of the tract during the primary surgery to prevent potential tumor seeding.

Histopathological analysis of the core samples revealed blood-filled cystic spaces lacking a true endothelial lining. The septa separating these spaces were composed of uniform, bland spindle cells (fibroblasts), multinucleated osteoclast-like giant cells, and reactive woven bone trabeculae rimmed by prominent osteoblasts. A critical finding was the absence of significant cellular atypia, atypical mitotic figures, or malignant osteoid production. Molecular cytogenetic testing was sent and subsequently returned positive for the USP6 (TRE17) gene rearrangement [t(16;17)(q22;p13)], definitively confirming the diagnosis of a primary Aneurysmal Bone Cyst.
Differential Diagnosis and Comparative Analysis
The presentation of a multiloculated, expansile, lytic lesion in the metaphysis of an adolescent requires a rigorous differential diagnosis. The primary entities to consider include Aneurysmal Bone Cyst (ABC), Unicameral Bone Cyst (UBC), Telangiectatic Osteosarcoma (TOS), and Giant Cell Tumor of bone (GCT).
| Diagnosis Feature | Aneurysmal Bone Cyst (ABC) | Unicameral Bone Cyst (UBC) | Telangiectatic Osteosarcoma (TOS) | Giant Cell Tumor (GCT) |
|---|---|---|---|---|
| Typical Age | 10 - 20 years | 5 - 15 years | 10 - 25 years | 20 - 40 years (Post-physeal closure) |
| Location | Metaphysis, eccentric, expansile | Metaphysis to diaphysis, central | Metaphysis, destructive | Epiphyseal-metaphyseal |
| Radiographic Appearance | Eccentric, "blow-out" lytic lesion, soap-bubble septations | Central, symmetric, "fallen leaf" sign if fractured | Aggressive lytic destruction, cortical breakthrough, wide transition zone | Eccentric, purely lytic, non-sclerotic margin, extending to subchondral bone |
| MRI Findings | Multiple prominent fluid-fluid levels, thin septal enhancement | Single fluid-filled cavity, dependent debris if fractured | Fluid-fluid levels present, but WITH thick, nodular, aggressive soft tissue enhancement | Solid tumor, T1 intermediate, T2 heterogeneous, solid enhancement |
| Histopathology | Blood-filled spaces lacking endothelium, bland spindle cells, giant cells, USP6 rearrangement | Empty or serous fluid-filled cavity, thin fibrous lining | High-grade malignant cells, atypical mitoses, malignant osteoid production | Sheets of mononuclear neoplastic cells interspersed with abundant osteoclast-like giant cells |
| Clinical Behavior | Benign but locally aggressive, high recurrence if incompletely treated | Benign, frequently resolves spontaneously after skeletal maturity | Highly malignant, rapid growth, high metastatic potential | Benign but locally aggressive, potential for pulmonary metastasizing GCT |
The most critical differentiation in this clinical scenario is between an ABC and Telangiectatic Osteosarcoma. Both can present with pain, swelling, pathological fracture, and fluid-fluid levels on MRI. However, TOS is a high-grade malignancy requiring neoadjuvant chemotherapy and wide en bloc resection. The lack of nodular soft tissue enhancement on MRI and the bland histology lacking atypical mitoses definitively ruled out TOS in this patient.
Surgical Decision Making and Classification
Tumor Staging and Classification
Applying the Enneking Staging System for benign bone tumors, this lesion is classified as a Stage 3 (Aggressive) benign tumor. Stage 3 lesions are characterized by rapid growth, cortical destruction, extension into soft tissues (or in this case, a pathological fracture), and a high propensity for local recurrence.
According to the Capanna classification for Aneurysmal Bone Cysts, this lesion represents a Type II (Active) or Type III (Aggressive) lesion, given its expansile nature and cortical thinning.
Rationale for Operative Intervention
The management of primary ABCs includes observation, percutaneous sclerotherapy, and open surgical management.
1. Observation: Contraindicated in this patient due to the presence of a pathological fracture, severe pain, and structural instability of the proximal humerus.
2. Percutaneous Sclerotherapy (e.g., Doxycycline, Polidocanol): While an excellent option for intact ABCs in difficult anatomical locations (e.g., pelvis, spine), it is relatively contraindicated here. The presence of a pathological cortical fracture allows the sclerosing agent to extravasate into the surrounding soft tissues, potentially causing severe neurovascular damage and muscle necrosis. Furthermore, sclerotherapy does not provide immediate structural stability.
3. Open Surgery (Intralesional Extended Curettage and Internal Fixation): This is the definitive standard of care for this specific presentation. The goals of surgery are threefold:
* Eradicate the tumor to minimize local recurrence.
* Reconstruct the large cavitary bone defect.
* Stabilize the pathological fracture to allow for early mobilization and union.
Intralesional curettage alone for ABCs carries an unacceptably high local recurrence rate (historically 30-50%). Therefore, the modern orthopedic oncology standard mandates "extended" curettage utilizing physical and chemical adjuvants to address the microscopic reactive zone where satellite tumor cells reside.
Surgical Technique and Intervention
Patient Positioning and Preparation
The patient was brought to the operating room and placed in the beach-chair position under general endotracheal anesthesia. A regional interscalene nerve block was administered by the anesthesia team for postoperative pain management. The left upper extremity was prepped and draped in standard sterile fashion, allowing for free manipulation of the arm. Intravenous prophylactic antibiotics (Cefazolin) were administered prior to incision.
Surgical Approach
A standard deltopectoral approach was utilized. The skin incision incorporated the prior core needle biopsy tract, which was excised en bloc as an ellipse of skin and subcutaneous tissue. The cephalic vein was identified and retracted laterally with the deltoid muscle to protect its tributaries. The clavipectoral fascia was incised, and the conjoined tendon was retracted medially. The anterior aspect of the proximal humerus was exposed. Careful dissection was performed to identify and protect the axillary nerve traversing the quadrangular space inferiorly.
Cortical Windowing and Tumor Extirpation
A large, rectangular cortical window was created over the anterior aspect of the expansile lesion using an oscillating saw and osteotomes. The window measured approximately 4 cm x 2 cm, ensuring adequate access to the entire intramedullary cavity.
Upon entering the cyst, profuse bleeding was encountered, characteristic of an ABC. Hemostasis was temporarily achieved using tightly packed laparotomy sponges. Intralesional curettage was systematically performed using a series of straight and angled curettes of various sizes. The fibrous septations and the fleshy tumor lining were meticulously scraped from the endosteal surface.
Extended Curettage and Adjuvant Therapy
To achieve "extended" curettage and minimize recurrence, a high-speed spherical burr was utilized. The entire endosteal surface was burred down by 2-3 millimeters until normal, healthy, bleeding cortical bone was visualized. This step is critical to eliminate the microscopic reactive zone.
Following mechanical burring, chemical and thermal adjuvants were applied. The cavity was thoroughly irrigated with pulsatile lavage. Hydrogen peroxide (3%) was instilled into the cavity for two minutes; its effervescent action induces cellular lysis and acts as a hemostatic agent. Following this, Argon beam coagulation was systematically applied to the entire cavity wall to induce thermal necrosis of any remaining microscopic disease and provide excellent endosteal hemostasis.
Defect Reconstruction and Internal Fixation
The resulting cavitary defect was massive, compromising the structural integrity of the proximal humerus. Reconstruction was performed using a composite graft. The peripheral aspects of the cavity were packed with cancellous allograft chips to promote biological incorporation. The central void was filled with an injectable calcium phosphate bone cement. Calcium phosphate is highly osteoconductive, cures via an isothermal reaction (avoiding thermal necrosis to surrounding tissue), and provides exceptional compressive strength, acting as an internal strut.
To stabilize the pathological fracture and protect the reconstructed defect, a Proximal Humerus Interlocking System (PHILOS) plate was selected. The plate was positioned appropriately on the lateral aspect of the proximal humerus, ensuring it sat posterior to the bicipital groove. The fracture was anatomically reduced. Proximal fixation was achieved utilizing multiple locking screws directed into the humeral head, including critical calcar screws to prevent varus collapse. Distal fixation was achieved with four bicortical locking screws in the humeral diaphysis.
Intraoperative fluoroscopy confirmed anatomic reduction of the fracture, excellent filling of the cystic defect, and optimal hardware placement.
Closure
The wound was thoroughly irrigated. A medium Hemovac drain was placed deep to the deltopectoral interval. The deltopectoral interval was loosely approximated. The subcutaneous tissue was closed with interrupted absorbable sutures, and the skin was closed with a running subcuticular suture. The patient was placed in a standard shoulder immobilizer.
Post Operative Protocol and Rehabilitation
The postoperative rehabilitation protocol must balance the need for early mobilization to prevent adhesive capsulitis with the necessity of protecting the fracture and the structural bone graft during the initial healing phases.
Phase 1: Protection and Early Passive Motion (Weeks 0-4)
- Immobilization: The patient is maintained in a shoulder sling at all times, removed only for hygiene and specific exercises.
- ROM Exercises: Immediate initiation of active range of motion for the elbow, wrist, and hand to prevent distal stiffness. Gentle, gravity-dependent pendulum exercises are initiated on postoperative day one.
- Precautions: No active glenohumeral motion. No lifting, pushing, or pulling.
- Wound Care: The surgical drain is typically removed on postoperative day 1 or 2 when output is less than 30cc per shift. Sutures are removed at 14 days.
Phase 2: Active-Assisted Motion (Weeks 4-8)
- Clinical Milestone: Radiographic evaluation at 4 weeks post-op to assess for maintenance of hardware fixation, absence of varus collapse, and initial signs of fracture callus and graft incorporation.
- ROM Exercises: Discontinue the sling. Initiate supine active-assisted range of motion (AAROM) using a wand or pulleys, focusing on forward elevation and external rotation.
- Strengthening: Initiate submaximal, pain-free isometric exercises for the deltoid and rotator cuff.
Phase 3: Active Motion and Early Strengthening (Weeks 8-12)
- Clinical Milestone: Radiographic evidence of progressive fracture union and graft consolidation.
- ROM Exercises: Progress to full active range of motion (AROM) in all planes. Emphasize scapulothoracic mechanics and posture.
- Strengthening: Initiate isotonic strengthening using light resistance bands and light weights. Focus on the rotator cuff, deltoid, and periscapular stabilizers.
Phase 4: Advanced Strengthening and Return to Sport (Months 3-6)
- Clinical Milestone: Complete clinical and radiographic union of the pathological fracture.
- Rehabilitation: Progression to heavy resistance training, plyometrics, and sport-specific functional drills.
- Return to Play: Clearance for contact sports (such as basketball) is typically granted between 5 and 6 months postoperatively, contingent upon achieving >90% strength compared to the contralateral limb and demonstrating psychological readiness.
Oncological Surveillance
Given the aggressive nature of ABCs, rigorous oncological surveillance is mandatory to detect local recurrence early. The protocol includes:
* Clinical examination and orthogonal radiographs of the humerus every 3 months for the first 2 years.
* Every 6 months for years 3 and 4.
* Annually thereafter until skeletal maturity or 5 years post-surgery.
* MRI is reserved for cases where radiographs show suspicious progressive radiolucency or if the patient develops recurrent pain.
Clinical Pearls and Pitfalls
Clinical Pearls
- Biopsy Tract Planning: Always plan the core needle biopsy tract in line with the definitive surgical incision. The tract is considered contaminated with tumor cells and must be excised en bloc during the primary surgery to prevent soft tissue seeding.
- The "Double-Density" Sign: On MRI, the presence of fluid-fluid levels strongly suggests an ABC, but it is not pathognomonic. It represents blood degrading into serum and erythrocytes. Always correlate with the absence of nodular soft tissue enhancement to rule out Telangiectatic Osteosarcoma.
- Extended Curettage is Mandatory: Intralesional curettage alone is inadequate. The use of a high-speed burr to extend the margin by 2-3 mm into normal bone, followed by chemical (hydrogen peroxide) or thermal (argon beam) adjuvants, reduces the recurrence rate from >30% to <10%.
- Structural Augmentation: In large metaphyseal defects, cancellous bone graft alone lacks the mechanical integrity to prevent collapse. Utilizing an injectable calcium phosphate cement provides immediate compressive strength and acts as an osteoconductive scaffold.
Clinical Pitfalls
- Misdiagnosing Telangiectatic Osteosarcoma: Treating a TOS as an ABC with intralesional curettage is a catastrophic oncological error that spreads malignant cells and compromises limb salvage. Always obtain a definitive tissue diagnosis if there is any aggressive radiographic feature or soft tissue mass.
- Inadequate Fixation: Relying solely on bone cement or weak fixation constructs in the proximal humerus can lead to catastrophic varus collapse. Always utilize a rigid construct, such as a locking plate with dedicated calcar screws, when dealing with a pathological fracture in a large cavitary defect.
- Ignoring the Physis: In younger patients with open physes, aggressive burring or the use of thermal adjuvants near the growth plate can cause premature physeal closure and subsequent limb length discrepancy or angular deformity. Careful preoperative MRI templating is required to measure the distance from the tumor to the physis.