Musculoskeletal Tumors: Lipomas, Osteosarcoma, HME for ABOS Board Review | Part 14
Key Takeaway
ABOS Musculoskeletal Tumors Review covers key aspects of lipomatous tumors, osteosarcoma, and hereditary multiple exostoses (HME). This includes clinical presentation, diagnostic imaging (MRI, CT, bone scan), histopathology, and management principles for various benign and malignant bone and soft tissue lesions. Essential for orthopedic board preparation.
Question 1
A 55-year-old male presents with a slowly growing, deep-seated mass within his vastus lateralis muscle. MRI confirms a fatty mass that appears to infiltrate between muscle fibers. This presentation is consistent with an intramuscular lipoma. Which of the following statements is true regarding intramuscular lipomas?
View Answer & Explanation
Correct Answer: C
Rationale: Intramuscular lipomas, particularly the infiltrative type, have a higher recurrence rate after excision compared to superficial lipomas because their borders can be ill-defined, making complete removal difficult. They are often painless, can be infiltrative (not always well-encapsulated), and are benign, not malignant. The main distractor, "B) They are typically well-encapsulated," is incorrect. While some intramuscular lipomas can be well-circumscribed, a significant proportion are infiltrative, making their margins indistinct and contributing to higher recurrence rates.
Question 2
A 65-year-old male presents with a slow-growing, painless, soft mass located in his posterior neck/shoulder region. On MRI, the mass is predominantly fatty but contains thin, curvilinear non-fatty components. Histopathology after excision reveals mature adipocytes mixed with bland spindle cells and ropey collagen bundles. Which specific variant of lipoma is most likely?
View Answer & Explanation
Correct Answer: C
Rationale: Spindle cell lipoma is a distinct variant that typically occurs in older males (50-70 years) and is most commonly found in the posterior neck, shoulder, or upper back. Histologically, it is characterized by a mixture of mature adipocytes and uniform, slender spindle cells arranged in parallel arrays, often with ropey collagen bundles and a myxoid matrix. It is typically painless. The main distractor, "A) Angiolipoma," is incorrect. Angiolipomas are characterized by vascular proliferation and are typically painful, often occurring in younger patients on the extremities.
Question 3
A 40-year-old female presents with a 3 cm, soft, mobile, non-tender subcutaneous lipoma on her forearm. She desires removal for cosmetic reasons. What is the most appropriate surgical approach for a typical, superficial lipoma?
View Answer & Explanation
Correct Answer: B
Rationale: For a typical, superficial, well-circumscribed lipoma, simple enucleation (shelling out) through a small incision directly over the mass is the standard and most appropriate surgical approach. Lipomas are usually encapsulated, allowing for easy removal without the need for wide margins. The main distractor, "A) Wide local excision with 2 cm margins," is incorrect. Wide local excision with margins is reserved for malignant tumors (e.g., liposarcoma) and is unnecessary and overly aggressive for a benign lipoma.
Question 4
A 50-year-old patient undergoes excision of a 5 cm subcutaneous lipoma from the lateral thigh. The procedure is uncomplicated. Which of the following is the most common minor complication following surgical excision of a superficial lipoma?
View Answer & Explanation
Correct Answer: C
Rationale: Seroma (collection of serous fluid) or hematoma (collection of blood) formation in the dead space created by the excision is the most common minor complication following the removal of a superficial lipoma. These are usually self-limiting or can be managed with aspiration. Significant nerve injury, deep infection, or DVT are less common, and malignant transformation is exceedingly rare. The main distractor, "A) Significant nerve injury," is incorrect. While nerve injury is a risk with any surgery, it is less common than seroma/hematoma formation, especially for superficial lipomas where major nerves are typically avoided.
Question 5
A 50-year-old obese female presents with multiple, painful, fatty masses distributed symmetrically over her trunk and extremities. She also reports chronic fatigue, depression, and generalized body aches. On examination, the masses are soft, tender, and mobile. This constellation of symptoms is characteristic of which rare condition?
View Answer & Explanation
Correct Answer: C
Rationale: Dercum's disease, also known as adiposis dolorosa, is a rare disorder characterized by multiple, painful lipomas, typically in obese women, often accompanied by chronic fatigue, depression, and generalized pain. The pain is a key distinguishing feature. The main distractor, "D) Madelung's disease (Multiple Symmetrical Lipomatosis)," is incorrect. Madelung's disease involves multiple, non-encapsulated, painless fatty masses, typically in the head, neck, and shoulder region, predominantly in men with a history of alcohol abuse, and is not associated with the systemic symptoms of Dercum's disease.
Question 6
A 60-year-old male with a significant history of chronic alcohol abuse presents with large, non-encapsulated fatty masses symmetrically distributed around his neck, shoulders, and upper trunk, giving him a "horse collar" or "pseudoathletic" appearance. The masses are generally painless. This presentation is most consistent with which diagnosis?
View Answer & Explanation
Correct Answer: D
Rationale: Madelung's disease, or Multiple Symmetrical Lipomatosis, is a rare disorder characterized by the growth of multiple, non-encapsulated, painless fatty masses, typically in a symmetrical distribution around the neck, shoulders, and upper trunk. It is strongly associated with chronic alcohol abuse and predominantly affects men. The main distractor, "A) Familial multiple lipomatosis," is incorrect. While it also involves multiple lipomas, they are typically encapsulated, smaller, and distributed more widely over the trunk and extremities, without the specific symmetrical "horse collar" pattern or strong association with alcohol abuse seen in Madelung's disease.
Question 7
A 40-year-old male presents with chronic knee pain and recurrent swelling. Physical examination reveals crepitus and limited range of motion. MRI of the knee shows a villous, frond-like proliferation of fatty tissue within the suprapatellar pouch and other synovial recesses. There is no evidence of calcification or hemosiderin deposition. This finding is most consistent with which diagnosis?
View Answer & Explanation
Correct Answer: C
Rationale: Lipoma arborescens is a rare, benign intra-articular lesion characterized by villous proliferation of the synovial membrane with diffuse fatty infiltration. It most commonly affects the knee joint, particularly the suprapatellar pouch, and presents with chronic pain and swelling. MRI findings of a frond-like fatty proliferation are pathognomonic. The main distractor, "B) Pigmented villonodular synovitis (PVNS)," is incorrect. While PVNS also causes villous proliferation and swelling, it is characterized by hemosiderin deposition (appearing dark on T1 and T2 MRI, with "blooming" on gradient echo sequences) and is not primarily a fatty lesion.
Question 8
A 14-year-old male presents with a 3-month history of progressive right distal femur pain, which is worse at night and wakes him from sleep. Physical examination reveals a palpable, tender mass over the distal femur. Radiographs show a destructive lesion with periosteal reaction and a soft tissue component. What is the most characteristic pain pattern for this type of tumor?
View Answer & Explanation
Correct Answer: C
Rationale: The clinical context describes classic tumor pain, which is often worse at night or at rest and without apparent provocation, as is typical for osteosarcoma. This distinguishes it from mechanical pain or other inflammatory conditions. Option A is incorrect as tumor pain is typically not relieved by activity. Option B describes more mechanical pain.
Question 9
A 17-year-old female presents with left knee pain and swelling for 2 months. Radiographs of the distal femur reveal an aggressive malignant destructive lesion with a wide zone of transition and malignant periosteal new bone formation. The lesion shows a mixed lytic and sclerotic pattern of bone destruction with hazy, cloud-like regions of increased density. What type of osteosarcoma is most consistent with these radiographic findings?
View Answer & Explanation
Correct Answer: C
Rationale: Classic osteosarcomas typically present radiographically as aggressive malignant destructive lesions with a wide zone of transition, malignant periosteal new bone formation, and often a mixed lytic/sclerotic or purely sclerotic pattern with variable osteoid production appearing as hazy, cloud-like densities. Parosteal and periosteal osteosarcomas are surface lesions with distinct radiographic characteristics, usually lacking the extensive intramedullary destruction and wide zone of transition of classic osteosarcoma.
Question 10
A 12-year-old male is diagnosed with a conventional osteosarcoma of the proximal tibia. Following initial radiographs and CT, further imaging is required for surgical planning to accurately determine the intraosseous and extraosseous extent of the tumor. Which imaging modality is most accurate for this purpose?
View Answer & Explanation
Correct Answer: C
Rationale: MRI is explicitly stated as the most accurate imaging tool for determining the intraosseous and extraosseous extent of the tumor, which is crucial for surgical planning. While CT provides excellent bony detail, it is less accurate for soft tissue and marrow involvement. Bone scan shows metabolic activity but not precise anatomical extent.
Question 11
A 16-year-old female has a confirmed diagnosis of high-grade osteosarcoma in the distal femur. As part of the staging workup, it is critical to evaluate for skip metastases. Which imaging study is specifically recommended to assess for skip metastases?
View Answer & Explanation
Correct Answer: B
Rationale: The text states, "It is important to image the entire bone involved with osteosarcoma to evaluate for skip metastasis." This refers to MRI of the entire bone. While CT chest is for pulmonary metastases and bone scan for distant skeletal metastases, MRI of the entire bone is specific for skip lesions within the same bone.
Question 12
A 38-year-old male presents with a slowly growing, firm mass on the posterior aspect of his distal thigh. Radiographs show a heavily mineralized mass on the surface of the distal femur, with no apparent cortical or medullary continuity between the mass and the parent bone. This presentation is most characteristic of which type of osteosarcoma?

View Answer & Explanation
Correct Answer: C
Rationale: Parosteal osteosarcoma presents as a heavily mineralized mass on the surface of the bone with no cortical or medullary continuity between the mass and the parent bone. The most common site is the posterior aspect of the distal femoral metaphysis, consistent with the vignette and image. Periosteal osteosarcoma typically has a partially mineralized mass with ill-defined margins and may show slight cortical irregularity, but not the complete lack of continuity seen in parosteal.
Question 13
A 45-year-old female is diagnosed with a parosteal osteosarcoma of the distal femur. Which of the following statements accurately describes the typical grade and metastatic potential of this tumor?
View Answer & Explanation
Correct Answer: B
Rationale: Parosteal osteosarcomas grow slowly and are typically described as grade 1 tumors that rarely result in distant metastases. This distinguishes them from conventional osteosarcomas which are high-grade and have a significant metastatic risk.
Question 14
A 22-year-old male presents with a painful mass on the diaphysis of his tibia. Radiographs show a partially mineralized mass on the surface of the bone with ill-defined margins, denser near the cortex, and an unmineralized soft tissue component on the surface. There is no apparent involvement of the underlying marrow. This description is most consistent with which type of osteosarcoma?

View Answer & Explanation
Correct Answer: C
Rationale: Periosteal osteosarcomas are grade 2 surface tumors usually affecting the diaphysis of long bones. They present with a partially mineralized mass on the surface of the bone with ill-defined margins, denser near the cortex, and an unmineralized soft tissue component. Crucially, there is no involvement of underlying marrow in the early stage. Parosteal osteosarcomas are heavily mineralized and lack marrow involvement, but typically originate from the metaphysis and show no cortical continuity.
Question 15
A 19-year-old male undergoes a biopsy of a suspected bone tumor. Histopathological examination reveals malignant cells consistently producing bony matrix (osteoid). The cells are pleomorphic, and mitotic figures are often present. These findings are characteristic of which type of osteosarcoma?

View Answer & Explanation
Correct Answer: C
Rationale: Classic osteosarcoma pathology consistently shows malignant cells producing bony matrix (osteoid). The cells are pleomorphic, and mitotic figures are often present, indicating a high-grade malignancy. Parosteal osteosarcoma pathology is typically low-grade with little cytologic atypia, and periosteal osteosarcoma often shows chondroid matrix interspersed with osteoid.
Question 16
A 42-year-old female undergoes a biopsy of a surface bone lesion. Pathological examination reveals a low-grade tumor with trabeculae of osteoid and a fibrovascular stroma. The lesion is well-circumscribed, and there is little cytologic atypia. These findings are most consistent with the pathology of which osteosarcoma variant?
View Answer & Explanation
Correct Answer: D
Rationale: Parosteal osteosarcoma pathology is characterized by low-grade appearance, trabeculae of osteoid, a fibrovascular stroma, well-circumscribed lesions, and little cytologic atypia. This contrasts with classic osteosarcoma which is high-grade with significant atypia and mitotic figures.
Question 17
A 28-year-old male undergoes a biopsy of a diaphyseal surface lesion. Gross examination reveals a tumor with a blue appearance. Microscopically, there is chondroid matrix interspersed with osteoid, mild cytologic atypia, and more spindle cells toward the lesion's periphery. These pathological features are characteristic of which osteosarcoma variant?

View Answer & Explanation
Correct Answer: C
Rationale: Periosteal osteosarcoma pathology is described as having a blue appearance on gross examination, and microscopically, chondroid matrix interspersed with osteoid, mild cytologic atypia, and more spindle cells toward the lesion’s periphery. This combination of features is unique to periosteal osteosarcoma among the listed options.
Question 18
A 65-year-old male presents with new onset pain and swelling in his proximal humerus. Imaging reveals a destructive lesion consistent with osteosarcoma. Given his age, what is a key characteristic of osteosarcoma in older individuals?
View Answer & Explanation
Correct Answer: C
Rationale: The text states that osteosarcoma developing as a secondary process may occur in older individuals (60s and above). This implies that in this age group, it often arises from pre-existing conditions (e.g., Paget's disease, radiation exposure), rather than being a primary de novo tumor. Options A, B, D, and E are not supported by the provided text for older individuals.
Question 19
A 15-year-old male presents with a painful mass in his distal femur. A bone scan is performed as part of the initial workup. What is the typical finding of an osteosarcoma on bone scintigraphy?
View Answer & Explanation
Correct Answer: C
Rationale: Osteosarcomas are typically metaphyseal or metadiaphyseal and show intense activity on bone scan due to increased osteoblastic activity and blood flow associated with the aggressive tumor. "Cold" lesions are rare for osteosarcoma, and diffuse uptake is not specific to the tumor site.
Question 20
A 20-year-old male presents with a painful mass on the surface of his femoral diaphysis. Imaging reveals a high grade surface osteosarcoma. Which of the following is a key characteristic of this lesion, as shown in the provided images?

View Answer & Explanation
Correct Answer: B
Rationale: The clinical context for Fig. 8.72 states that a high grade surface osteosarcoma "forms a heavily mineralized circumferential mass that encircles the bone, but does not involve the medullary canal." This is a defining feature distinguishing it from conventional osteosarcoma which typically involves the medullary canal. Option A is incorrect because it states medullary involvement.
Question 21
A 13-year-old male presents with a painful, rapidly growing mass in his distal femur. MRI images are obtained, as shown. These images demonstrate a large heterogeneous destructive mass in the bone with a large associated soft tissue mass. What is the most likely diagnosis based on these typical findings?

View Answer & Explanation
Correct Answer: C
Rationale: The clinical context for Fig. 8.66 explicitly states these MRI images "show typical findings of an osteosarcoma. There is a large heterogeneous destructive mass in the bone with a large associated soft tissue mass." This is a classic presentation for osteosarcoma in this age group. Chondrosarcoma typically presents with chondroid matrix, Ewing sarcoma with a permeative pattern and onion-skin periosteal reaction, osteochondroma is a benign exostosis, and fibrous dysplasia is a benign fibrous lesion.
Question 22
A 16-year-old male presents with a painful mass in his proximal tibia. Radiographs show a destructive lesion with a wide zone of transition and malignant periosteal new bone formation. A biopsy is performed. Which of the following is the defining pathological feature of osteosarcoma?
View Answer & Explanation
Correct Answer: C
Rationale: The defining pathological feature of osteosarcoma, as stated in the text, is the presence of malignant cells producing bony matrix (osteoid). This is the hallmark that differentiates it from other primary bone tumors. Option A describes chondrosarcoma, option D describes Ewing sarcoma, and options B and E are not characteristic of osteosarcoma.
Question 23
A 25-year-old male is diagnosed with a high grade surface osteosarcoma of the femoral diaphysis. Pathological examination of the lesion is performed. Which of the following findings would be expected?
View Answer & Explanation
Correct Answer: C
Rationale: High grade surface osteosarcoma pathology is characterized by significant atypia and mitotic activity. There may be areas that appear more chondroid than some regions of osteoid formation. Options A and D describe parosteal osteosarcoma, and option B describes periosteal osteosarcoma.
Question 24
A 14-year-old female presents with a 4-month history of progressive pain in her distal femur. Physical examination reveals local swelling and tenderness. Radiographs show a destructive lesion with malignant periosteal new bone formation. What is the typical time course for presentation of high-grade osteosarcomas?
View Answer & Explanation
Correct Answer: B
Rationale: The text states that most patients with high-grade tumors present with a relatively short time course, usually from weeks to 6 months. This indicates a rapid progression of symptoms, consistent with the aggressive nature of the tumor. Longer time courses are more typical of low-grade or benign lesions.
Question 25
A 17-year-old male presents with knee pain. MRI is performed and shows a metaphyseal lesion with cortical destruction and an associated soft tissue mass. The lesion exhibits non-specific signal characteristics. What is the typical location of osteosarcomas?
View Answer & Explanation
Correct Answer: C
Rationale: Osteosarcomas are typically metaphyseal or metadiaphyseal in origin. While some variants like periosteal osteosarcoma can be diaphyseal, the classic presentation is in the metaphysis of long bones, especially around the knee. Epiphyseal lesions are rare for osteosarcoma.
Question 26
A 15-year-old female presents with a painful mass in her distal femur. A gross specimen of the resected tumor is shown. What is the primary characteristic that defines this tumor as an osteosarcoma?

View Answer & Explanation
Correct Answer: B
Rationale: Regardless of the gross appearance, the fundamental pathological definition of osteosarcoma is a malignant bone-forming tumor, meaning malignant cells producing osteoid. While gross specimens can show variability (e.g., blood-filled spaces in telangiectatic variants), the microscopic production of osteoid is the diagnostic hallmark. The image shows a destructive, heterogeneous mass consistent with a malignant bone tumor.
Question 27
A
Question 27
A 35-year-old male presents with a slowly growing mass on the posterior aspect of his distal femur. Radiographs reveal a heavily mineralized mass on the surface of the bone with a clear cleavage plane from the underlying cortex and no apparent medullary involvement. A CT scan confirms the absence of cortical or medullary continuity between the mass and the parent bone.
View Answer & Explanation
Correct Answer: C
Rationale: Parosteal osteosarcoma typically presents as a heavily mineralized mass on the surface of the bone, most commonly on the posterior aspect of the distal femoral metaphysis, with no cortical or medullary continuity between the mass and the parent bone. This description perfectly matches the clinical vignette and radiographic findings. Conventional osteosarcoma is typically intramedullary and destructive. Periosteal osteosarcoma is a surface tumor but usually diaphyseal, partially mineralized, and may show malignant periosteal new bone formation. High-grade surface osteosarcoma is also on the surface but often shows more aggressive cortical involvement and incomplete mineralization. Chondrosarcoma would typically show chondroid matrix mineralization, not dense osteoid. The image (Fig. 8.69 a–c) clearly illustrates a parosteal osteosarcoma with its characteristic appearance.
Question 27
A 40-year-old female undergoes biopsy for a slow-growing, heavily mineralized mass on the surface of her proximal tibia. Histopathological examination reveals trabeculae of osteoid within a fibrovascular stroma, well-circumscribed margins, and little cytologic atypia. The lesion is consistent with a low-grade malignancy.
View Answer & Explanation
Correct Answer: D
Rationale: Parosteal osteosarcoma pathology is characterized by low-grade features, including trabeculae of osteoid and a fibrovascular stroma, well-circumscribed lesions, and little cytologic atypia. This aligns with the biopsy findings. High-grade surface and conventional osteosarcomas would show significant atypia and mitotic activity. Periosteal osteosarcoma would show chondroid matrix interspersed with osteoid and mild atypia. An osteochondroma is a benign lesion with a cartilaginous cap and continuity with the marrow.
Question 27
A 16-year-old male presents with pain and swelling in his mid-tibial diaphysis. Radiographs show a partially mineralized mass on the surface of the bone with ill-defined margins. The mass appears denser near the cortex, with an unmineralized soft tissue component superficially. There is no apparent involvement of the underlying medullary canal in the early stages.

View Answer & Explanation
Correct Answer: C
Rationale: Periosteal osteosarcomas are grade 2 surface tumors usually affecting the diaphysis of long bones. They present with a partially mineralized mass on the surface of the bone with ill-defined margins, denser near the cortex, and an unmineralized soft tissue component on the surface. Crucially, there is no involvement of underlying marrow in the early stage. This description matches the vignette and the provided image (Fig. 8.70 a, b) of a periosteal osteosarcoma of the tibial diaphysis. Parosteal osteosarcoma is heavily mineralized and metaphyseal. Conventional osteosarcoma is intramedullary. High-grade surface osteosarcoma is also surface but often more circumferential and heavily mineralized, with significant cortical reaction. Ewing sarcoma is typically lytic with an onion-skin periosteal reaction and small round blue cells on histology.
Question 27
A 20-year-old male undergoes biopsy for a diaphyseal surface lesion of the femur. Gross examination reveals a tumor with a "blue appearance." Microscopically, the lesion shows chondroid matrix interspersed with osteoid, mild cytologic atypia, and an increase in spindle cells toward the lesion's periphery.
View Answer & Explanation
Correct Answer: D
Rationale: Periosteal osteosarcoma pathology is described as having a "blue appearance" on gross examination. Microscopically, it features chondroid matrix interspersed with osteoid, mild cytologic atypia, and more spindle cells toward the lesion’s periphery. This combination of features is characteristic of periosteal osteosarcoma. Parosteal osteosarcoma is low-grade with osteoid trabeculae and little atypia. Conventional and high-grade surface osteosarcomas are high-grade with significant atypia and mitotic activity. Chondroblastoma is a benign cartilaginous tumor typically found in epiphyses.
Question 27
A 17-year-old female presents with a painful mass on her femoral diaphysis. Radiographs and CT scan reveal an incompletely mineralized, circumferential mass on the surface of the bone with abundant periosteal reaction, cortical thickening, and irregularity. The medullary canal appears spared.

View Answer & Explanation
Correct Answer: D
Rationale: High-grade surface osteosarcomas are incompletely mineralized lesions occurring on the surface of long bones, frequently with abundant periosteal reaction, cortical thickening, and irregularity. The image (Fig. 8.72 a, b) shows a high-grade surface osteosarcoma of the femoral diaphysis forming a heavily mineralized circumferential mass that encircles the bone but does not involve the medullary canal. This fits the description. Parosteal osteosarcoma is heavily mineralized and typically metaphyseal. Periosteal osteosarcoma is partially mineralized but usually less circumferential and with a distinct unmineralized soft tissue component. Conventional osteosarcoma is intramedullary. Osteoid osteoma is a benign lesion with a small nidus and reactive sclerosis.
Question 27
A 19-year-old male undergoes biopsy for a surface lesion of the distal femur characterized by significant cortical thickening and an incompletely mineralized soft tissue component. Histopathological examination reveals significant cellular atypia and mitotic activity. Some areas appear more chondroid than others, which show osteoid formation.
View Answer & Explanation
Correct Answer: D
Rationale: High-grade surface osteosarcoma pathology is characterized by significant atypia and mitotic activity. There may be areas that appear more chondroid than some regions of osteoid formation. This description aligns with the biopsy findings. Parosteal osteosarcoma is low-grade with little atypia. Periosteal osteosarcoma has mild atypia and chondroid matrix, but the "significant atypia and mitotic activity" points to high-grade. Conventional osteosarcoma is intramedullary. Enchondroma is a benign cartilaginous tumor.
Question 27
A 50-year-old male presents with a long history of a slowly enlarging mass on the posterior distal femur. Imaging confirms a heavily mineralized surface lesion with no medullary involvement. Given the typical biological behavior of this tumor type, what is the MOST likely prognosis regarding distant metastasis?
View Answer & Explanation
Correct Answer: D
Rationale: The clinical presentation (slowly enlarging, heavily mineralized surface lesion on posterior distal femur, no medullary involvement) is classic for a parosteal osteosarcoma. Parosteal osteosarcomas grow slowly and are typically grade 1 tumors, rarely resulting in distant metastases. This makes "extremely rare to result in distant metastases" the most accurate statement regarding its prognosis. Other osteosarcoma types (conventional, high-grade surface) have a much higher metastatic potential.
Question 27
A 14-year-old male is diagnosed with a conventional osteosarcoma of the distal femur. Following initial radiographs and CT, the orthopedic oncologist orders an MRI of the entire femur. What is the MOST critical information this MRI is intended to provide?

View Answer & Explanation
Correct Answer: C
Rationale: MRI is the most accurate imaging tool for determining the intraosseous and extraosseous extent of the tumor. It is also important to image the entire bone involved with osteosarcoma to evaluate for skip metastasis. This information is crucial for surgical planning and determining resection margins. Confirming osteoid matrix is done by biopsy. Assessing mineralization is better with CT. Pulmonary metastases are evaluated with chest CT. Differentiating benign from malignant is usually achieved with initial radiographs and biopsy. The image (Fig. 8.66 a–c) shows how MRI clearly delineates the extent of the mass.
Question 27
A 65-year-old male with a history of Paget's disease presents with new onset pain in his proximal humerus. Radiographs show an aggressive, destructive lesion. A biopsy confirms osteosarcoma. Which imaging modality would be MOST useful for precisely characterizing the degree of tumor mineralization and cortical involvement?
View Answer & Explanation
Correct Answer: D
Rationale: CT is invaluable for characterizing the degree of mineralization within the tumor and for assessing cortical destruction and involvement. While MRI is superior for soft tissue extent, CT provides better detail of bone architecture and mineralization. Bone scintigraphy shows metabolic activity but not structural detail. Plain radiographs offer initial assessment but lack the detail of CT. Ultrasound is primarily for soft tissue and fluid collections. The text mentions CT and MRI as invaluable adjuncts, with CT being excellent for demonstrating mineralization.
Question 27
A 15-year-old male presents with a painful mass in his distal femoral metaphysis. Imaging reveals a heavily mineralized mass on the surface of the bone, with no evidence of medullary canal involvement. Which of the following features would help differentiate this from a periosteal osteosarcoma?
View Answer & Explanation
Correct Answer: B
Rationale: The vignette describes a parosteal osteosarcoma (heavily mineralized surface mass, no medullary involvement). Parosteal osteosarcomas are usually metaphyseal in origin (most commonly posterior distal femur). Periosteal osteosarcomas, in contrast, are usually diaphyseal. Both can have a soft tissue mass and malignant periosteal new bone formation (though parosteal is more distinct from cortex). Absence of cortical involvement is more characteristic of parosteal, but periosteal also spares marrow early. Intense activity on bone scan is common to most osteosarcomas.
Question 27
A 13-year-old female presents to the clinic with a 3-month history of worsening left knee pain. She describes the pain as dull, constant, and often wakes her up at night. She denies any specific injury. On examination, a firm, tender mass is palpable over the distal femur. What is the MOST characteristic symptom of osteosarcoma described in this vignette?
View Answer & Explanation
Correct Answer: C
Rationale: The text states, "Patients almost always present with local pain. The pain is usually a classic tumor pain, often occurring at night or rest and without apparent provocation." This is a hallmark symptom of malignant bone tumors. Pain exacerbated by activity is more typical of mechanical issues. Pain relieved by NSAIDs can occur with some benign bone lesions (e.g., osteoid osteoma) but is not characteristic of osteosarcoma. Acute onset of severe pain is less common than insidious onset. Radiation to the foot is not a specific characteristic.
Question 27
A 17-year-old male presents with a 2-month history of progressive pain and swelling in his proximal tibia. Radiographs reveal an aggressive, destructive lesion with a wide zone of transition and malignant periosteal new bone formation. The lesion shows a mixed lytic and sclerotic pattern with hazy, cloud-like regions of increased density within the bone and adjacent soft tissues. What is the MOST likely diagnosis?
View Answer & Explanation
Correct Answer: C
Rationale: Classic osteosarcomas typically present radiographically as aggressive malignant destructive lesions with a wide zone of transition and malignant periosteal new bone formation. They usually show a mixed lytic or sclerotic or purely sclerotic pattern of bone destruction and frequently reveal variable quantities of osteoid production that manifest as hazy cloud-like, amorphous regions of increased density in the bone and/or adjacent soft tissues. This description perfectly matches the vignette. Chondrosarcoma would show chondroid matrix mineralization. Ewing sarcoma is typically lytic with an onion-skin periosteal reaction. Fibrous dysplasia is a benign developmental anomaly. Osteomyelitis can mimic malignancy but typically has different clinical and imaging features (e.g., sequestrum, involucrum).
Question 27
A 14-year-old female is diagnosed with a conventional osteosarcoma. Based on typical presentation patterns, which of the following locations is MOST characteristic for this type of tumor?
View Answer & Explanation
Correct Answer: C
Rationale: Osteosarcomas are typically metaphyseal or metadiaphyseal. This is a high-yield fact regarding the common location of conventional osteosarcoma. While they can occur in other locations, the metaphysis/metadiaphysis of long bones (e.g., distal femur, proximal tibia, proximal humerus) is the most frequent site.
Question 27
A 16-year-old male undergoes biopsy of a destructive lesion in his distal femur. The pathologist reports findings of malignant cells producing bony matrix (osteoid), pleomorphism, and frequent mitotic figures. Which type of osteosarcoma does this pathology MOST strongly suggest?

View Answer & Explanation
Correct Answer: C
Rationale: Classic (conventional) osteosarcoma pathology consistently shows malignant cells producing bony matrix (osteoid). The cells are pleomorphic, and mitotic figures are often present. This description aligns with the biopsy findings and the provided image (Fig. 8.75 a, b) of conventional high-grade osteosarcoma. Parosteal osteosarcoma is low-grade with little atypia. Periosteal osteosarcoma has chondroid matrix and mild atypia. Low-grade central osteosarcoma is a distinct entity not described in the text, but the features here are high-grade. Osteoblastoma is a benign bone-forming tumor.
Question 27
A 70-year-old male presents with new onset pain in his proximal tibia, distinct from his long-standing osteoarthritis. Imaging reveals an aggressive bone lesion. His medical history includes prior radiation therapy for a different malignancy decades ago. Considering the age and history, what is the MOST likely characteristic of this osteosarcoma?
View Answer & Explanation
Correct Answer: B
Rationale: The text states, "Osteosarcoma developing as a secondary process may occur in older individuals (60s and above)." Secondary osteosarcomas often arise in the context of pre-existing conditions like Paget's disease, prior radiation, or bone infarcts. The patient's age (70) and history of prior radiation therapy strongly suggest a secondary osteosarcoma. Primary osteosarcoma is most common in the first three decades of life. Parosteal osteosarcoma is typically seen in a younger age group (3rd-4th decade) and is low-grade, but the "secondary process" aspect is key here. Secondary osteosarcomas are often high-grade. While metastatic lesions are a differential, the question asks about the characteristic of "this osteosarcoma" given the context, pointing to a secondary osteosarcoma.
Question 27
A 15-year-old patient is diagnosed with a high-grade osteosarcoma of the distal femur. After initial staging, the surgical plan involves limb-salvage surgery. To ensure adequate surgical margins and rule out multifocal disease, which specific imaging technique is CRITICAL for evaluating the entire involved bone?
View Answer & Explanation
Correct Answer: C
Rationale: The text explicitly states, "MRI is the most accurate imaging tool for determining intraosseous and extraosseous extent of the tumor. It is important to image the entire bone involved with osteosarcoma to evaluate for skip metastasis." Skip metastases are intraosseous lesions discontinuous from the primary tumor but within the same bone, and their presence dictates a wider resection. Chest CT is for pulmonary metastases. PET scan is for overall metastatic burden but less precise for intraosseous extent. Bone scan shows metabolic activity but not detailed anatomy. Plain radiographs of the contralateral limb are not relevant for skip lesions in the affected bone.
Question 27
A 18-year-old male undergoes resection of a surface osteosarcoma from his tibial diaphysis. During gross examination of the resected specimen, the tumor is noted to have a distinct "blue appearance." This gross finding is MOST characteristic of which specific type of osteosarcoma?

View Answer & Explanation
Correct Answer: D
Rationale: The text states, "Periosteal Osteosarcoma Pathology: The tumor has a blue appearance on gross examination." This is a specific gross pathological feature mentioned for periosteal osteosarcoma. The image (Fig. 8.77) is labeled "Periosteal osteosarcoma" and shows a gross specimen that could be interpreted as having a bluish hue. Other types do not have this specific gross description in the provided text.
Question 27
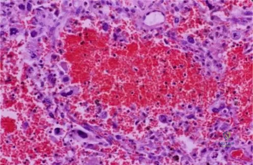
A 12-year-old male presents with a rapidly expanding, painful mass in his proximal humerus. Imaging reveals a highly destructive lesion with large lytic areas. Biopsy reveals malignant spindle cells and osteoid, along with prominent blood-filled spaces. This microscopic appearance is characteristic of which variant of osteosarcoma?

View Answer & Explanation
Correct Answer: D
Rationale: The image (Fig. 8.78) and its caption describe "Photomicrograph of telangiectatic osteosarcoma. Note malignant spindle cells and osteoid and associated blood-filled spaces." The clinical presentation of a rapidly expanding, destructive lesion with large lytic areas is also consistent with this aggressive variant. Parosteal and periosteal osteosarcomas have distinct features. Conventional osteosarcoma is a general category, but telangiectatic is a specific variant. Chondroblastic osteosarcoma would have a predominant chondroid component.
Question 27
A 16-year-old male presents with a painful mass in his femoral diaphysis. Imaging reveals a heavily mineralized circumferential mass that encircles the bone, but importantly, does not involve the medullary canal. This radiographic appearance is MOST consistent with which type of osteosarcoma?

View Answer & Explanation
Correct Answer: D
Rationale: The image (Fig. 8.72 a, b) and its caption explicitly state: "Lateral radiograph (a) and axial CT (b) show a high grade surface osteosarcoma of the femoral diaphysis. The lesion forms a heavily mineralized circumferential mass that encircles the bone, but does not involve the medullary canal." This directly matches the vignette. While periosteal osteosarcoma is also a surface lesion, it's typically partially mineralized and less circumferentially encircling. Parosteal is heavily mineralized but usually metaphyseal and not typically circumferential. Conventional osteosarcoma is intramedullary. Osteochondroma is benign and has marrow continuity.
Question 27
A 22-year-old female presents with a painful mass on the surface of her distal femur. Radiographs show an incompletely mineralized lesion with abundant periosteal reaction and cortical irregularity. The orthopedic oncologist notes that differentiating this lesion from a periosteal or eccentric conventional osteosarcoma can be challenging. Which specific type of osteosarcoma is being described?
Question 28
A 35-year-old male presents with a slowly growing mass on the posterior aspect of his distal femur. Radiographs reveal a heavily mineralized mass on the surface of the bone with a clear cleavage plane from the underlying cortex and no apparent medullary involvement. A CT scan confirms the absence of cortical or medullary continuity between the mass and the parent bone.

View Answer & Explanation
Correct Answer: C
Rationale: Parosteal osteosarcoma typically presents as a heavily mineralized mass on the surface of the bone, most commonly on the posterior aspect of the distal femoral metaphysis, with no cortical or medullary continuity between the mass and the parent bone. This description perfectly matches the clinical vignette and radiographic findings. Conventional osteosarcoma is typically intramedullary and destructive. Periosteal osteosarcoma is a surface tumor but usually diaphyseal, partially mineralized, and may show malignant periosteal new bone formation. High-grade surface osteosarcoma is also on the surface but often shows more aggressive cortical involvement and incomplete mineralization. Chondrosarcoma would typically show chondroid matrix mineralization, not dense osteoid. The image (Fig. 8.69 a–c) clearly illustrates a parosteal osteosarcoma with its characteristic appearance.
Question 29
A 40-year-old female undergoes biopsy for a slow-growing, heavily mineralized mass on the surface of her proximal tibia. Histopathological examination reveals trabeculae of osteoid within a fibrovascular stroma, well-circumscribed margins, and little cytologic atypia. The lesion is consistent with a low-grade malignancy.
View Answer & Explanation
Correct Answer: D
Rationale: Parosteal osteosarcoma pathology is characterized by low-grade features, including trabeculae of osteoid and a fibrovascular stroma, well-circumscribed lesions, and little cytologic atypia. This aligns with the biopsy findings. High-grade surface and conventional osteosarcomas would show significant atypia and mitotic activity. Periosteal osteosarcoma would show chondroid matrix interspersed with osteoid and mild atypia. An osteochondroma is a benign lesion with a cartilaginous cap and continuity with the marrow.
Question 30
A 16-year-old male presents with pain and swelling in his mid-tibial diaphysis. Radiographs show a partially mineralized mass on the surface of the bone with ill-defined margins. The mass appears denser near the cortex, with an unmineralized soft tissue component superficially. There is no apparent involvement of the underlying medullary canal in the early stages.

View Answer & Explanation
Correct Answer: C
Rationale: Periosteal osteosarcomas are grade 2 surface tumors usually affecting the diaphysis of long bones. They present with a partially mineralized mass on the surface of the bone with ill-defined margins, denser near the cortex, and an unmineralized soft tissue component on the surface. Crucially, there is no involvement of underlying marrow in the early stage. This description matches the vignette and the provided image (Fig. 8.70 a, b) of a periosteal osteosarcoma of the tibial diaphysis. Parosteal osteosarcoma is heavily mineralized and metaphyseal. Conventional osteosarcoma is intramedullary. High-grade surface osteosarcoma is also surface but often more circumferential and heavily mineralized, with significant cortical reaction. Ewing sarcoma is typically lytic with an onion-skin periosteal reaction and small round blue cells on histology.
Question 31
A 20-year-old male undergoes biopsy for a diaphyseal surface lesion of the femur. Gross examination reveals a tumor with a "blue appearance." Microscopically, the lesion shows chondroid matrix interspersed with osteoid, mild cytologic atypia, and an increase in spindle cells toward the lesion's periphery.
View Answer & Explanation
Correct Answer: D
Rationale: Periosteal osteosarcoma pathology is described as having a "blue appearance" on gross examination. Microscopically, it features chondroid matrix interspersed with osteoid, mild cytologic atypia, and more spindle cells toward the lesion’s periphery. This combination of features is characteristic of periosteal osteosarcoma. Parosteal osteosarcoma is low-grade with osteoid trabeculae and little atypia. Conventional and high-grade surface osteosarcomas are high-grade with significant atypia and mitotic activity. Chondroblastoma is a benign cartilaginous tumor typically found in epiphyses.
Question 32
A 17-year-old female presents with a painful mass on her femoral diaphysis. Radiographs and CT scan reveal an incompletely mineralized, circumferential mass on the surface of the bone with abundant periosteal reaction, cortical thickening, and irregularity. The medullary canal appears spared.

View Answer & Explanation
Correct Answer: D
Rationale: High-grade surface osteosarcomas are incompletely mineralized lesions occurring on the surface of long bones, frequently with abundant periosteal reaction, cortical thickening, and irregularity. The image (Fig. 8.72 a, b) shows a high-grade surface osteosarcoma of the femoral diaphysis forming a heavily mineralized circumferential mass that encircles the bone but does not involve the medullary canal. This fits the description. Parosteal osteosarcoma is heavily mineralized and typically metaphyseal. Periosteal osteosarcoma is partially mineralized but usually less circumferential and with a distinct unmineralized soft tissue component. Conventional osteosarcoma is intramedullary. Osteoid osteoma is a benign lesion with a small nidus and reactive sclerosis.
Question 33
A 19-year-old male undergoes biopsy for a surface lesion of the distal femur characterized by significant cortical thickening and an incompletely mineralized soft tissue component. Histopathological examination reveals significant cellular atypia and mitotic activity. Some areas appear more chondroid than others, which show osteoid formation.
View Answer & Explanation
Correct Answer: D
Rationale: High-grade surface osteosarcoma pathology is characterized by significant atypia and mitotic activity. There may be areas that appear more chondroid than some regions of osteoid formation. This description aligns with the biopsy findings. Parosteal osteosarcoma is low-grade with little atypia. Periosteal osteosarcoma has mild atypia and chondroid matrix, but the "significant atypia and mitotic activity" points to high-grade. Conventional osteosarcoma is intramedullary. Enchondroma is a benign cartilaginous tumor.
Question 34
A 50-year-old male presents with a long history of a slowly enlarging mass on the posterior distal femur. Imaging confirms a heavily mineralized surface lesion with no medullary involvement. Given the typical biological behavior of this tumor type, what is the MOST likely prognosis regarding distant metastasis?
View Answer & Explanation
Correct Answer: D
Rationale: The clinical presentation (slowly enlarging, heavily mineralized surface lesion on posterior distal femur, no medullary involvement) is classic for a parosteal osteosarcoma. Parosteal osteosarcomas grow slowly and are typically grade 1 tumors, rarely resulting in distant metastases. This makes "extremely rare to result in distant metastases" the most accurate statement regarding its prognosis. Other osteosarcoma types (conventional, high-grade surface) have a much higher metastatic potential.
Question 35
A 14-year-old male is diagnosed with a conventional osteosarcoma of the distal femur. Following initial radiographs and CT, the orthopedic oncologist orders an MRI of the entire femur. What is the MOST critical information this MRI is intended to provide?

View Answer & Explanation
Correct Answer: C
Rationale: MRI is the most accurate imaging tool for determining the intraosseous and extraosseous extent of the tumor. It is also important to image the entire bone involved with osteosarcoma to evaluate for skip metastasis. This information is crucial for surgical planning and determining resection margins. Confirming osteoid matrix is done by biopsy. Assessing mineralization is better with CT. Pulmonary metastases are evaluated with chest CT. Differentiating benign from malignant is usually achieved with initial radiographs and biopsy. The image (Fig. 8.66 a–c) shows how MRI clearly delineates the extent of the mass.
Question 36
A 65-year-old male with a history of Paget's disease presents with new onset pain in his proximal humerus. Radiographs show an aggressive, destructive lesion. A biopsy confirms osteosarcoma. Which imaging modality would be MOST useful for precisely characterizing the degree of tumor mineralization and cortical involvement?
View Answer & Explanation
Correct Answer: D
Rationale: CT is invaluable for characterizing the degree of mineralization within the tumor and for assessing cortical destruction and involvement. While MRI is superior for soft tissue extent, CT provides better detail of bone architecture and mineralization. Bone scintigraphy shows metabolic activity but not structural detail. Plain radiographs offer initial assessment but lack the detail of CT. Ultrasound is primarily for soft tissue and fluid collections. The text mentions CT and MRI as invaluable adjuncts, with CT being excellent for demonstrating mineralization.
Question 37
A 15-year-old male presents with a painful mass in his distal femoral metaphysis. Imaging reveals a heavily mineralized mass on the surface of the bone, with no evidence of medullary canal involvement. Which of the following features would help differentiate this from a periosteal osteosarcoma?
View Answer & Explanation
Correct Answer: B
Rationale: The vignette describes a parosteal osteosarcoma (heavily mineralized surface mass, no medullary involvement). Parosteal osteosarcomas are usually metaphyseal in origin (most commonly posterior distal femur). Periosteal osteosarcomas, in contrast, are usually diaphyseal. Both can have a soft tissue mass and malignant periosteal new bone formation (though parosteal is more distinct from cortex). Absence of cortical involvement is more characteristic of parosteal, but periosteal also spares marrow early. Intense activity on bone scan is common to most osteosarcomas.
Question 38
A 13-year-old female presents to the clinic with a 3-month history of worsening left knee pain. She describes the pain as dull, constant, and often wakes her up at night. She denies any specific injury. On examination, a firm, tender mass is palpable over the distal femur. What is the MOST characteristic symptom of osteosarcoma described in this vignette?
View Answer & Explanation
Correct Answer: C
Rationale: The text states, "Patients almost always present with local pain. The pain is usually a classic tumor pain, often occurring at night or rest and without apparent provocation." This is a hallmark symptom of malignant bone tumors. Pain exacerbated by activity is more typical of mechanical issues. Pain relieved by NSAIDs can occur with some benign bone lesions (e.g., osteoid osteoma) but is not characteristic of osteosarcoma. Acute onset of severe pain is less common than insidious onset. Radiation to the foot is not a specific characteristic.
Question 39
A 17-year-old male presents with a 2-month history of progressive pain and swelling in his proximal tibia. Radiographs reveal an aggressive, destructive lesion with a wide zone of transition and malignant periosteal new bone formation. The lesion shows a mixed lytic and sclerotic pattern with hazy, cloud-like regions of increased density within the bone and adjacent soft tissues. What is the MOST likely diagnosis?
View Answer & Explanation
Correct Answer: C
Rationale: Classic osteosarcomas typically present radiographically as aggressive malignant destructive lesions with a wide zone of transition and malignant periosteal new bone formation. They usually show a mixed lytic or sclerotic or purely sclerotic pattern of bone destruction and frequently reveal variable quantities of osteoid production that manifest as hazy cloud-like, amorphous regions of increased density in the bone and/or adjacent soft tissues. This description perfectly matches the vignette. Chondrosarcoma would show chondroid matrix mineralization. Ewing sarcoma is typically lytic with an onion-skin periosteal reaction. Fibrous dysplasia is a benign developmental anomaly. Osteomyelitis can mimic malignancy but typically has different clinical and imaging features (e.g., sequestrum, involucrum).
Question 40
A 14-year-old female is diagnosed with a conventional osteosarcoma. Based on typical presentation patterns, which of the following locations is MOST characteristic for this type of tumor?
View Answer & Explanation
Correct Answer: C
Rationale: Osteosarcomas are typically metaphyseal or metadiaphyseal. This is a high-yield fact regarding the common location of conventional osteosarcoma. While they can occur in other locations, the metaphysis/metadiaphysis of long bones (e.g., distal femur, proximal tibia, proximal humerus) is the most frequent site.
Question 41
A 16-year-old male undergoes biopsy of a destructive lesion in his distal femur. The pathologist reports findings of malignant cells producing bony matrix (osteoid), pleomorphism, and frequent mitotic figures. Which type of osteosarcoma does this pathology MOST strongly suggest?

View Answer & Explanation
Correct Answer: C
Rationale: Classic (conventional) osteosarcoma pathology consistently shows malignant cells producing bony matrix (osteoid). The cells are pleomorphic, and mitotic figures are often present. This description aligns with the biopsy findings and the provided image (Fig. 8.75 a, b) of conventional high-grade osteosarcoma. Parosteal osteosarcoma is low-grade with little atypia. Periosteal osteosarcoma has chondroid matrix and mild atypia. Low-grade central osteosarcoma is a distinct entity not described in the text, but the features here are high-grade. Osteoblastoma is a benign bone-forming tumor.
Question 42
A 70-year-old male presents with new onset pain in his proximal tibia, distinct from his long-standing osteoarthritis. Imaging reveals an aggressive bone lesion. His medical history includes prior radiation therapy for a different malignancy decades ago. Considering the age and history, what is the MOST likely characteristic of this osteosarcoma?
View Answer & Explanation
Correct Answer: B
Rationale: The text states, "Osteosarcoma developing as a secondary process may occur in older individuals (60s and above)." Secondary osteosarcomas often arise in the context of pre-existing conditions like Paget's disease, prior radiation, or bone infarcts. The patient's age (70) and history of prior radiation therapy strongly suggest a secondary osteosarcoma. Primary osteosarcoma is most common in the first three decades of life. Parosteal osteosarcoma is typically seen in a younger age group (3rd-4th decade) and is low-grade, but the "secondary process" aspect is key here. Secondary osteosarcomas are often high-grade. While metastatic lesions are a differential, the question asks about the characteristic of "this osteosarcoma" given the context, pointing to a secondary osteosarcoma.
Question 43
A 15-year-old patient is diagnosed with a high-grade osteosarcoma of the distal femur. After initial staging, the surgical plan involves limb-salvage surgery. To ensure adequate surgical margins and rule out multifocal disease, which specific imaging technique is CRITICAL for evaluating the entire involved bone?
View Answer & Explanation
Correct Answer: C
Rationale: The text explicitly states, "MRI is the most accurate imaging tool for determining intraosseous and extraosseous extent of the tumor. It is important to image the entire bone involved with osteosarcoma to evaluate for skip metastasis." Skip metastases are intraosseous lesions discontinuous from the primary tumor but within the same bone, and their presence dictates a wider resection. Chest CT is for pulmonary metastases. PET scan is for overall metastatic burden but less precise for intraosseous extent. Bone scan shows metabolic activity but not detailed anatomy. Plain radiographs of the contralateral limb are not relevant for skip lesions in the affected bone.
Question 44
A 18-year-old male undergoes resection of a surface osteosarcoma from his tibial diaphysis. During gross examination of the resected specimen, the tumor is noted to have a distinct "blue appearance." This gross finding is MOST characteristic of which specific type of osteosarcoma?

View Answer & Explanation
Correct Answer: D
Rationale: The text states, "Periosteal Osteosarcoma Pathology: The tumor has a blue appearance on gross examination." This is a specific gross pathological feature mentioned for periosteal osteosarcoma. The image (Fig. 8.77) is labeled "Periosteal osteosarcoma" and shows a gross specimen that could be interpreted as having a bluish hue. Other types do not have this specific gross description in the provided text.
Question 45
A 12-year-old male presents with a rapidly expanding, painful mass in his proximal humerus. Imaging reveals a highly destructive lesion with large lytic areas. Biopsy reveals malignant spindle cells and osteoid, along with prominent blood-filled spaces. This microscopic appearance is characteristic of which variant of osteosarcoma?

View Answer & Explanation
Correct Answer: D
Rationale: The image (Fig. 8.78) and its caption describe "Photomicrograph of telangiectatic osteosarcoma. Note malignant spindle cells and osteoid and associated blood-filled spaces." The clinical presentation of a rapidly expanding, destructive lesion with large lytic areas is also consistent with this aggressive variant. Parosteal and periosteal osteosarcomas have distinct features. Conventional osteosarcoma is a general category, but telangiectatic is a specific variant. Chondroblastic osteosarcoma would have a predominant chondroid component.
Question 46
A 16-year-old male presents with a painful mass in his femoral diaphysis. Imaging reveals a heavily mineralized circumferential mass that encircles the bone, but importantly, does not involve the medullary canal. This radiographic appearance is MOST consistent with which type of osteosarcoma?

View Answer & Explanation
Correct Answer: D
Rationale: The image (Fig. 8.72 a, b) and its caption explicitly state: "Lateral radiograph (a) and axial CT (b) show a high grade surface osteosarcoma of the femoral diaphysis. The lesion forms a heavily mineralized circumferential mass that encircles the bone, but does not involve the medullary canal." This directly matches the vignette. While periosteal osteosarcoma is also a surface lesion, it's typically partially mineralized and less circumferentially encircling. Parosteal is heavily mineralized but usually metaphyseal and not typically circumferential. Conventional osteosarcoma is intramedullary. Osteochondroma is benign and has marrow continuity.
Question 47
A 6-year-old boy is brought to the clinic by his parents due to multiple bony lumps palpable around his knees and ankles. His 4-year-old cousin also has similar findings. Radiographs reveal multiple exostoses arising from the metaphyses of long bones. Genetic testing is being considered. What is the most likely inheritance pattern for this condition?

View Answer & Explanation
Correct Answer: C
Rationale: Hereditary multiple exostosis (HME) is an autosomal dominant disorder, typically caused by mutations in the EXT1 or EXT2 genes. The presence of affected cousins suggests a familial pattern consistent with autosomal dominant inheritance. Autosomal recessive, X-linked, and mitochondrial inheritance patterns are not characteristic of HME.
Question 48
A 10-year-old boy with a known history of hereditary multiple exostoses presents with increasing pain and a rapidly enlarging mass over his distal femur. Physical examination reveals a firm, fixed mass that is tender to palpation. Radiographs show an osteochondroma with irregular margins and a thickened cartilaginous cap. What is the approximate lifetime risk of malignant transformation in patients with hereditary multiple exostoses?

View Answer & Explanation
Correct Answer: C
Rationale: The risk of malignant transformation of the cartilaginous portion of exostoses in patients with hereditary multiple exostoses is reported to be up to 2%. This transformation typically results in a secondary chondrosarcoma. The other percentages are either too low or too high for the reported risk.
Question 49
A 7-year-old girl with hereditary multiple exostoses is noted to have progressive bowing of her forearms and ulnar deviation of her wrists. Radiographs confirm multiple osteochondromas in the distal radius and ulna. Which of the following is a common associated deformity seen in HME affecting the upper extremities?

View Answer & Explanation
Correct Answer: B
Rationale: Severe deformation of forearms with bilateral elbow dislocation is a recognized complication of hereditary multiple exostoses, as shown in Fig. 1.53d. The bowing of the radius with ulnar deviation of the wrist and subluxation of the radiocarpal joint are also common. While other conditions listed can occur in the upper extremity, radial head dislocation (often leading to elbow dislocation) is a direct and common consequence of the growth disturbances caused by osteochondromas in the forearm in HME.
Question 50
A 12-year-old boy with hereditary multiple exostoses presents for routine follow-up. His parents express concern about his height, noting he is significantly shorter than his peers. Physical examination confirms short stature and multiple palpable exostoses. Which of the following is a common skeletal manifestation of hereditary multiple exostoses?

View Answer & Explanation
Correct Answer: C
Rationale: Short stature is explicitly listed as one of the most common deformities associated with hereditary multiple exostoses. The presence of multiple osteochondromas near growth plates can disrupt normal bone growth, leading to limb length discrepancies and overall short stature. The other options are not characteristic features of HME.
Question 51
A 16-year-old girl with hereditary multiple exostoses presents with a new onset of dull, aching pain in her left chest wall, which is worse with deep breaths. A palpable mass is noted over her left posterior rib cage. Radiographs and CT scans are obtained. What is the primary concern when evaluating a new or enlarging exostosis in a patient with HME, especially if symptomatic?

View Answer & Explanation
Correct Answer: C
Rationale: The primary concern when a patient with HME develops new or worsening pain, or a rapidly enlarging mass, is malignant transformation to a secondary chondrosarcoma. While other complications like nerve impingement, bursal formation, or vascular compression can occur, the risk of malignancy (up to 2%) necessitates careful evaluation, especially with symptomatic changes. Pathologic fracture is less common in exostoses themselves unless there's significant trauma or underlying malignancy.
Question 52
A 5-year-old boy with hereditary multiple exostoses is observed to have a progressive valgus deformity of his knees. Physical examination confirms bilateral genu valgum. Radiographs show multiple osteochondromas around the distal femurs and proximal tibias. Which of the following deformities is commonly observed around the knee joint in patients with HME?

View Answer & Explanation
Correct Answer: C
Rationale: Valgus deformities of the knee and ankle are explicitly mentioned as common deformities in patients with hereditary multiple exostoses. Osteochondromas around the knee joint can lead to malalignment of the axis, frequently resulting in genu valgum. Genu varum is less common, and the other options are not specifically highlighted as common knee deformities in HME.
Question 53
A 22-year-old man with a lifelong history of hereditary multiple exostoses presents with a new, rapidly growing mass on his right iliac wing. He reports increasing pain and swelling. A CT scan reveals an osteochondroma with an irregular, thickened cartilaginous cap exceeding 2 cm. A biopsy is performed. What is the most likely histological diagnosis if malignant transformation has occurred?

View Answer & Explanation
Correct Answer: D
Rationale: Malignant transformation of an osteochondroma in HME typically results in a secondary chondrosarcoma, which is a malignant tumor of cartilage. The photomicrograph (Fig. 1.57) specifically demonstrates a typical secondary low-grade chondrosarcoma developed from a previous osteochondroma. Osteosarcoma, Ewing sarcoma, fibrosarcoma, and giant cell tumor are other types of bone tumors but are not the characteristic malignant transformation of an osteochondroma.
Question 54
A 9-year-old boy with hereditary multiple exostoses is being monitored for growth and development. His parents are concerned about potential complications. Which of the following is a key feature distinguishing hereditary multiple exostoses from a solitary osteochondroma?

View Answer & Explanation
Correct Answer: C
Rationale: The defining characteristic of hereditary multiple exostoses (HME) that distinguishes it from a solitary osteochondroma is its autosomal dominant inheritance pattern and the presence of multiple lesions. Both solitary and multiple osteochondromas share features like a cartilaginous cap, metaphyseal location, growth away from the joint, and a potential for malignant transformation (though the risk is higher in HME). The genetic basis and multiplicity are key differentiators.
Question 55
A 14-year-old boy with hereditary multiple exostoses presents with a new onset of numbness and tingling in his left hand. Physical examination reveals a palpable exostosis near the elbow joint. What is the most likely cause of his neurological symptoms?

View Answer & Explanation
Correct Answer: C
Rationale: Osteochondromas, especially those located near nerves or blood vessels, can cause compression symptoms. Numbness and tingling in the hand, with a palpable exostosis near the elbow, strongly suggest nerve compression (e.g., ulnar nerve at the elbow). While malignant transformation is a concern, neurological symptoms are more commonly due to direct mechanical compression. Brachial plexus injury, spinal cord compression, and compartment syndrome are less likely given the localized symptoms and presence of an exostosis.
Question 56
A 4-year-old boy is diagnosed with hereditary multiple exostoses. His parents ask about the typical course of the disease and when the exostoses usually stop growing. What is the general growth pattern of osteochondromas in HME?

View Answer & Explanation
Correct Answer: C
Rationale: Osteochondromas are developmental lesions that arise from the growth plate. They typically grow concurrently with the child's skeletal growth and cease growing once skeletal maturity is reached. Continued growth after skeletal maturity, especially if rapid, is a red flag for potential malignant transformation. They do not typically regress spontaneously.
Question 57
A 15-year-old girl with hereditary multiple exostoses presents with a new, firm mass on her right scapula. She reports mild discomfort with arm movement. Radiographs confirm an osteochondroma. What is a potential complication of osteochondromas in the scapular region?

View Answer & Explanation
Correct Answer: B
Rationale: Osteochondromas on the scapula can cause mechanical irritation between the scapula and the chest wall, leading to a "snapping scapula" syndrome, characterized by pain, crepitus, and restricted movement. The image (Fig. 1.52) shows osteochondromas developing from the right scapula in two boys. While other shoulder issues can occur, snapping scapula is a specific and common complication related to scapular osteochondromas.
Question 58
A 20-year-old male with hereditary multiple exostoses is undergoing evaluation for a painful mass on his distal tibia. Imaging shows an osteochondroma with a cartilaginous cap measuring 3 cm in thickness. What is the most significant radiographic finding suggestive of malignant transformation in an osteochondroma?

View Answer & Explanation
Correct Answer: C
Rationale: A cartilaginous cap thickness greater than 2 cm (or 1.5 cm in children) is a widely accepted radiographic criterion highly suggestive of malignant transformation to chondrosarcoma. Other signs include irregular margins, new pain, and continued growth after skeletal maturity. The presence of a stalk, calcification, metaphyseal location, and cortical continuity are characteristic features of benign osteochondromas.
Question 59
A 3-year-old boy is diagnosed with hereditary multiple exostoses. His parents are anxious about the long-term prognosis. What is the primary goal of management for most asymptomatic osteochondromas in children with HME?

View Answer & Explanation
Correct Answer: B
Rationale: For asymptomatic osteochondromas in HME, the primary management strategy is regular clinical and radiographic monitoring. Surgical excision is reserved for symptomatic lesions (pain, nerve/vascular compression, mechanical interference), cosmetic concerns, or suspicion of malignant transformation. Prophylactic excision of all lesions is impractical and unnecessary. Chemotherapy and radiation are not indicated for benign osteochondromas. Genetic counseling is important but not the primary management for the lesions themselves.
Question 60
A 17-year-old male with hereditary multiple exostoses presents with a new, firm mass in his proximal humerus. He reports no pain, but the mass is noticeably larger than his other exostoses. A CT scan is performed. Which of the following imaging modalities is most sensitive for evaluating the cartilaginous cap thickness of an osteochondroma?

View Answer & Explanation
Correct Answer: C
Rationale: Magnetic Resonance Imaging (MRI) is the most sensitive imaging modality for evaluating the cartilaginous cap thickness of an osteochondroma, which is a critical factor in assessing for malignant transformation. While plain radiographs can show the bony component, they are poor at visualizing cartilage. Ultrasound can be used but is operator-dependent and less comprehensive than MRI. Bone scintigraphy and PET scans are more for metabolic activity and metastatic workup, respectively, not for precise cap thickness measurement.
Question 61
A 6-year-old boy with hereditary multiple exostoses is noted to have a significant limb length discrepancy in his lower extremities, with the right leg being shorter. Radiographs show multiple osteochondromas affecting the distal femur and proximal tibia on the right. What is the underlying mechanism by which osteochondromas cause limb length discrepancies?

View Answer & Explanation
Correct Answer: B
Rationale: Osteochondromas arise from the growth plate (physis) and can disrupt its normal function. This disruption can lead to premature physeal closure, asymmetric growth, or general growth disturbance, resulting in limb length discrepancies and angular deformities. The other options are not the primary mechanisms for limb length discrepancy in HME.
Question 62
A 19-year-old female with hereditary multiple exostoses presents with a painful mass in her left groin region. A CT scan reveals an osteochondroma arising from the iliac bone. What is a potential complication of osteochondromas in the pelvic region?

View Answer & Explanation
Correct Answer: A
Rationale: Osteochondromas in the pelvic region, particularly those arising from the iliac bone (as shown in Fig. 1.55), can grow large and impinge on adjacent neurovascular structures. Sciatic nerve compression is a known complication, leading to pain, numbness, or weakness in the lower extremity. While bladder dysfunction could theoretically occur with very large pelvic masses, nerve compression is a more direct and common complication. The other options are less directly related to an iliac osteochondroma.
Question 63
A 10-year-old boy with hereditary multiple exostoses is undergoing surgical excision of a painful osteochondroma from his distal femur. The surgeon aims to remove the lesion completely to prevent recurrence. What is the most critical component to excise during surgical removal of an osteochondroma to minimize recurrence?

View Answer & Explanation
Correct Answer: C
Rationale: The cartilaginous cap and its overlying perichondrium are the growth centers of an osteochondroma. Incomplete removal of the cartilaginous cap or perichondrium is the most common cause of recurrence after surgical excision. Therefore, complete excision of the entire cartilaginous cap and perichondrium is crucial to prevent recurrence. Removing only the bony stalk or only the cap is insufficient. A margin of normal bone is not typically required for benign lesions, and adjacent muscle tissue is irrelevant to recurrence.
Question 64
A 13-year-old boy with hereditary multiple exostoses presents with progressive shortening of his left forearm and increasing ulnar deviation of his wrist. Radiographs show multiple osteochondromas affecting the distal radius and ulna, leading to significant growth disturbance. Which of the following deformities is a common consequence of forearm involvement in HME?

View Answer & Explanation
Correct Answer: A
Rationale: The text mentions "bowing of the radius with ulnar deviation of the wrist, and subluxation of the radiocarpal joint" as common deformities. These findings are characteristic of a Madelung-like deformity, which involves premature closure of the ulnar physis and/or radial bowing, leading to ulnar deviation and dorsal subluxation of the ulna. While not explicitly named "Madelung deformity" in the text, the description perfectly matches its presentation. The other options are unrelated conditions.
Question 65
A 25-year-old man with hereditary multiple exostoses is concerned about the long-term implications of his condition. He asks about the most common cause of morbidity in adult patients with HME. What is the most frequent reason for surgical intervention or significant morbidity in adults with HME?

View Answer & Explanation
Correct Answer: E
Rationale: While malignant transformation is a serious concern, it occurs in a relatively small percentage (up to 2%). More commonly, adults with HME experience chronic pain due to bursal formation over the exostoses, nerve or vascular compression, or mechanical irritation of tendons and muscles. These issues often lead to surgical intervention for symptom relief. Cosmetic concerns and joint instability are also reasons for intervention but chronic pain from mechanical irritation is very common. Pathologic fractures are less frequent.
Question 66
A 16-year-old male with hereditary multiple exostoses is being evaluated for a large, firm mass on his distal femur. He reports no pain, but the mass has been slowly growing. Radiographs show a broad-based osteochondroma. What is the typical location of osteochondromas in patients with HME?

View Answer & Explanation
Correct Answer: C
Rationale: The text explicitly states that osteochondromas in HME are "mainly at the metaphyses of long bones at the extremities." This is their characteristic location, as they arise from aberrant growth plate cartilage. They are rarely found in the diaphysis, epiphysis, articular cartilage, or bone marrow. Fig. 1.51 also shows large tibial, fibular, and femoral osteochondromas consistent with metaphyseal involvement.
Question 67
A 7-year-old boy presents with multiple palpable bony prominences around his knees and ankles. His father also has similar bony growths that developed during childhood. Radiographs confirm the presence of multiple osteochondromas.
View Answer & Explanation
Correct Answer: C
Rationale: Hereditary multiple exostosis (HME) is explicitly stated to be an autosomal dominant disorder. The presence of the condition in both the child and the father (a parent-to-child transmission) is characteristic of autosomal dominant inheritance. Main Distractor Rationale: Autosomal recessive inheritance would typically require both parents to be carriers and often presents without a clear family history in every generation, which contradicts the vignette.
Question 68
A 10-year-old girl is diagnosed with hereditary multiple exostoses. Her physical examination reveals palpable bony masses primarily near the ends of her long bones, away from the joints.
View Answer & Explanation
Correct Answer: C
Rationale: The clinical text states that osteochondromas in hereditary multiple exostoses are "mainly at the metaphyses of long bones at the extremities." The metaphysis is the growing part of the bone, where osteochondromas typically originate. Main Distractor Rationale: The diaphysis is the shaft of the long bone, and while osteochondromas can extend into it, their origin and primary location are metaphyseal.
Question 69
A 25-year-old male with a known history of hereditary multiple exostoses presents for routine follow-up. He expresses concern about the potential for one of his many osteochondromas to undergo malignant change.
View Answer & Explanation
Correct Answer: C
Rationale: The provided text explicitly states, "The risk of malignant transformation of the cartilaginous portion of the exostoses, is up to 2%." This is a key statistic for board examinations. Main Distractor Rationale: While 10% might seem like a plausible risk for some bone tumors, it is significantly higher than the documented risk for malignant transformation of osteochondromas in HME.
Question 70
A 12-year-old boy with hereditary multiple exostoses presents with progressive deformity of his left forearm. Physical examination reveals a shortened forearm and ulnar deviation of the wrist.
View Answer & Explanation
Correct Answer: C
Rationale: The clinical text specifically lists "bowing of the radius with ulnar deviation of the wrist, and subluxation of the radiocarpal joint" as common deformities associated with HME. Bowing of the radius is a direct cause of the described forearm and wrist deformity. Main Distractor Rationale: While elbow dislocation can occur (as shown in Fig. 1.53d), bowing of the radius is a more direct and commonly described cause of the specific forearm shortening and ulnar deviation of the wrist mentioned in the vignette.
Question 71
A 9-year-old girl with hereditary multiple exostoses is noted to have an abnormal gait. On examination, she has outward angulation of her knees, consistent with a knock-knee deformity.

View Answer & Explanation
Correct Answer: D
Rationale: The clinical text explicitly states "valgus deformities of the knee and ankle" as common deformities. Genu valgum refers to a knock-knee deformity, where the knees angle inward, causing the lower legs to angle outward, matching the description. Fig. 1.53 a, b also illustrates valgus deformity of the knees. Main Distractor Rationale: Genu varum (bowlegs) is the opposite deformity, where the knees angle outward, which is not typically associated with HME as a primary angular deformity.
Question 72
A 30-year-old male with hereditary multiple exostoses reports new onset of pain and rapid growth in a previously stable osteochondroma on his proximal tibia. Radiographs are obtained.

View Answer & Explanation
Correct Answer: D
Rationale: Rapid growth and new pain in a previously stable osteochondroma are red flags for malignant transformation. Radiographically, malignant transformation (to chondrosarcoma) is characterized by an irregular and thickened cartilaginous cap (typically >2 cm in adults), often with associated soft tissue mass or erosion of underlying bone. Fig. 1.56 a, b shows malignant transformation with changes on radiograph and CT. Main Distractor Rationale: Sclerosis of the lesion is a non-specific finding and does not typically indicate malignant transformation. A decrease in lesion size would be reassuring, not concerning.
Question 73
A biopsy is performed on a rapidly growing osteochondroma from a 40-year-old patient with hereditary multiple exostoses, due to suspicion of malignant transformation.

View Answer & Explanation
Correct Answer: D
Rationale: The clinical text explicitly states, "The risk of malignant transformation of the cartilaginous portion of the exostoses..." and Fig. 1.57 is captioned "Photomicrograph demonstrates a typical secondary low grade chondrosarcoma, developed from a previous osteochondroma." This directly indicates that malignant transformation of an osteochondroma results in a secondary chondrosarcoma. Main Distractor Rationale: Osteosarcoma is a primary malignant bone tumor, but osteochondromas transform into chondrosarcomas, which are cartilaginous tumors, not osteosarcomas.
Question 74
A 5-year-old boy is diagnosed with hereditary multiple exostoses based on clinical and radiographic findings. Genetic testing is recommended for confirmation and family counseling.
View Answer & Explanation
Correct Answer: C
Rationale: The clinical text clearly states that hereditary multiple exostosis is an "autosomal dominant disorder (mutation in EXT1 or the EXT2 gene)." These are the primary genes associated with the condition. Main Distractor Rationale: FGFR3 mutations are associated with achondroplasia, a different skeletal dysplasia, and are not involved in hereditary multiple exostoses.
Question 75
A 14-year-old girl with hereditary multiple exostoses presents with limited range of motion and pain in her left elbow. Radiographs show significant bony overgrowth around the joint and severe deformation of the forearm.

View Answer & Explanation
Correct Answer: C
Rationale: Fig. 1.53 d specifically shows "bilateral elbow dislocation on radiographs" as a consequence of severe deformation of forearms in HME. This is a severe and recognized complication. Main Distractor Rationale: Ulnar nerve entrapment can occur due to osteochondromas around the elbow, but bilateral elbow dislocation is a more severe and specific deformity directly mentioned and illustrated in the context of severe forearm deformation.
Question 76
A 10-year-old boy with hereditary multiple exostoses is significantly shorter than his peers. His parents are concerned about his overall growth and adult height.
View Answer & Explanation
Correct Answer: C
Rationale: The clinical text lists "short stature" as one of the most common deformities associated with hereditary multiple exostoses. The presence of multiple osteochondromas can interfere with normal growth plate function, leading to reduced overall height. Main Distractor Rationale: While pituitary dwarfism also results in short stature, HME is a primary bone disorder affecting growth plates, not an endocrine disorder of the pituitary gland.
Question 77
A 6-year-old boy with hereditary multiple exostoses has a large osteochondroma on his distal femur causing pain with activity and limiting knee flexion. The lesion is stable in size but symptomatic.
View Answer & Explanation
Correct Answer: D
Rationale: For symptomatic osteochondromas causing pain, mechanical irritation, nerve compression, or limiting joint motion, surgical excision is the definitive treatment. The vignette describes a symptomatic lesion. Main Distractor Rationale: Observation with serial radiographs is appropriate for asymptomatic, stable lesions, but not for those causing significant pain and functional limitation as described.
Question 78
A 35-year-old patient with hereditary multiple exostoses has several stable osteochondromas. He asks about the best way to monitor for potential malignant transformation in a suspicious lesion, beyond clinical examination.
View Answer & Explanation
Correct Answer: C
Rationale: MRI is the most effective imaging modality for evaluating the cartilaginous cap thickness and integrity, as well as detecting soft tissue masses or marrow changes, which are key indicators of malignant transformation of an osteochondroma. Main Distractor Rationale: Plain radiographs are useful for initial detection and monitoring bony changes, but they are less sensitive for assessing the cartilaginous cap thickness or soft tissue components, which are crucial for detecting early malignant transformation.
Question 79
Two young cousins, aged 4 and 6, both diagnosed with hereditary multiple exostoses, present with palpable masses on their upper backs, near the shoulder blade region.

View Answer & Explanation
Correct Answer: C
Rationale: Fig. 1.52 explicitly states that "both of them have osteochondroma developing from the right scapula," directly addressing the location of the masses in the upper back/shoulder blade region. Main Distractor Rationale: While osteochondromas can occur on other bones of the pectoral girdle like the clavicle or humerus, the image caption specifically highlights scapular involvement in these patients.
Question 80
A 13-year-old boy with hereditary multiple exostoses presents with a noticeable limp. Clinical examination reveals that his left leg appears shorter than his right leg.
View Answer & Explanation
Correct Answer: C
Rationale: The clinical text lists "limb length discrepancies" as one of the common deformities in patients with hereditary multiple exostoses. Osteochondromas near growth plates can cause asymmetric growth, leading to a difference in limb length and consequently a limp. Main Distractor Rationale: While scoliosis can be associated with HME due to pelvic girdle asymmetry, a limb length discrepancy is a more direct and common cause of a limp in the lower extremity.
Question 81
A 55-year-old male presents with a slowly growing, painless mass in his posterior thigh that he noticed several months ago. Physical examination reveals a large, palpable, soft tissue mass. MRI findings show a large lesion predominantly composed of fat with thickened septations and scattered soft tissue nodularity.
View Answer & Explanation
Correct Answer: B
Rationale: Atypical lipomatous tumors (ALTs) are fatty tumors that usually occur in deep tissues of the extremities. While lipomas can occur in various locations, the deep extremity location is characteristic for ALTs. Subcutaneous tissue of the trunk (A) is a common location for benign lipomas, but less typical for ALTs which are often deeper.
Question 82
A 62-year-old female presents with a palpable mass in her proximal thigh. MRI is performed to characterize the lesion.

View Answer & Explanation
Correct Answer: D
Rationale: The clinical context states that MRI shows a lesion that is composed predominantly of fat (greater than 75% of the tumor volume) in combination with nonlipomatous elements. 100% fat (E) would typically describe a simple benign lipoma without non-lipomatous components.
Question 83
A 48-year-old patient presents with a long-standing, slowly enlarging mass in the posterior thigh. MRI reveals a large, predominantly fatty mass.

View Answer & Explanation
Correct Answer: C
Rationale: The clinical context explicitly describes the nonlipomatous elements in ALTs as being in the form of thickened septations and/or scattered soft tissue nodularity. Other options are not characteristic features of ALTs on MRI.
Question 84
A 70-year-old male presents with a painless, deep-seated mass in his upper arm. MRI T1-weighted images are obtained.
View Answer & Explanation
Correct Answer: B
Rationale: The case text describes the "dirty fat" appearance as "areas of hazy, decreased signal intensity in the background of a predominantly high signal intensity mass on T1-weighted images." Uniformly high signal intensity (A) would be more typical of a simple lipoma without significant non-lipomatous components.
Question 85
A 58-year-old female has an MRI of a thigh mass, which shows a predominantly fatty lesion with some non-lipomatous components. A postcontrast image is obtained.

View Answer & Explanation
Correct Answer: C
Rationale: The clinical context for Fig. 9.5 a-c explicitly states: "Atypical lipomas will also have varying amounts of enhancement after contrast administration." No enhancement (A) would be more typical of a simple lipoma, while uniform strong enhancement (B) might suggest a higher-grade sarcoma.
Question 86
A 65-year-old male presents to the clinic concerned about a mass in his thigh that has been present for several years. He reports no pain or functional limitations.
View Answer & Explanation
Correct Answer: C
Rationale: The case text states: "Patients are asymptomatic and notice a mass or asymmetry in the extremity, which may have been present for some time." Acute pain, rapid growth, or systemic symptoms (A, B) are not typical for ALTs and would raise suspicion for more aggressive lesions.
Question 87
A 52-year-old female presents with a large, palpable mass in her posterior thigh.

View Answer & Explanation
Correct Answer: C
Rationale: While the physical exam is usually unremarkable, Fig. 9.7, a clinical photograph of the posterior thigh, demonstrates a large soft tissue mass and overlying varicosities. Other options are not described or shown in the provided clinical context.
Question 88
A resected specimen of a large thigh mass is sent to pathology.

View Answer & Explanation
<Question 88
A 55-year-old male presents with a slowly enlarging, painless mass in his posterior thigh that he has noticed for several months. Physical examination reveals a large, palpable soft tissue mass with overlying varicosities. MRI demonstrates a lesion composed predominantly of fat (approximately 80% of tumor volume) with thickened septations and scattered soft tissue nodularity, showing areas of hazy, decreased signal intensity on T1-weighted images. Postcontrast images show varying amounts of enhancement. Given these findings, what is the most appropriate initial diagnostic step?
View Answer & Explanation
Correct Answer: B
Rationale: The MRI findings of a predominantly fatty lesion with nonlipomatous elements (thickened septations, nodularity, enhancement) in a deep extremity location are characteristic of an atypical lipomatous tumor (ALT). Given the potential for malignancy (ALTs are considered low-grade malignant tumors, synonymous with well-differentiated liposarcoma in deep locations), an incisional biopsy is the most appropriate initial diagnostic step to obtain adequate tissue for definitive histopathological diagnosis and molecular analysis before definitive treatment. FNA may not provide sufficient tissue for accurate diagnosis and grading of lipomatous tumors. Observation is inappropriate for a suspicious mass. Immediate wide local excision without a definitive diagnosis is not standard practice. Excisional biopsy is typically reserved for smaller, more superficial lesions where complete removal can be achieved without compromising subsequent definitive treatment.
Question 88
A 62-year-old female presents with a palpable mass in her deep posterior thigh. MRI images are provided, showing a lesion that is predominantly high signal intensity on T1-weighted images, consistent with fat. However, there are also areas of hazy, decreased signal intensity and thickened septations. Postcontrast images demonstrate enhancement within these non-fatty components. Which of the following terms best describes the MRI appearance of this lesion?
View Answer & Explanation
Correct Answer: C
Rationale: The clinical context describes an atypical lipoma with MRI findings of a predominantly high signal intensity mass on T1-weighted images, combined with nonlipomatous elements appearing as hazy, decreased signal intensity. This specific appearance is described in the text as "dirty fat." The other options describe features of different pathologies (e.g., "popcorn" calcification in enchondroma, "target" sign in neurofibroma, "ground-glass" opacity in chondroid tumors or lung pathology, "leaf-like" pattern in phyllodes tumor).
Question 88
A 48-year-old male undergoes resection of a large, deep soft tissue mass from his upper arm. Gross examination of the resected specimen reveals tissue that is firmer than normal mature fat. Histological examination shows adipocytes with varying degrees of nuclear atypia and scattered pleomorphic stromal cells. Based on the gross description, how does this lesion typically compare to a conventional lipoma?
View Answer & Explanation
Correct Answer: C
Rationale: The provided text explicitly states, "Grossly, lesions are more firm than lipomas and the tissue does not resemble mature fat." This characteristic firmness, along with the presence of nonlipomatous elements, helps distinguish atypical lipomas from conventional lipomas. The image caption for Fig 9.9 also supports this, stating "Gross cross-section revealing firmer tissue than normal fat."
Question 88
A 58-year-old patient presents with a slowly growing, painless mass in the deep posterior thigh. MRI reveals a large, predominantly fatty lesion with thickened septations and areas of soft tissue nodularity. Postcontrast images show enhancement within the non-fatty components. Which of the following is a key distinguishing feature of an atypical lipoma compared to a simple lipoma on MRI?
View Answer & Explanation
Correct Answer: D
Rationale: The text states that atypical lipomas are composed predominantly of fat in combination with nonlipomatous elements such as thickened septations and/or scattered soft tissue nodularity, which result in areas of hazy, decreased signal intensity on T1-weighted images and varying amounts of enhancement after contrast administration. While simple lipomas also contain mature fat and can be well-circumscribed, they typically lack these significant nonlipomatous components and enhancement. Atypical lipomas usually occur in deep tissues, unlike many simple lipomas which are subcutaneous.
Question 88
A 70-year-old male presents with a large, asymptomatic mass in his groin region that has been present for several years. MRI shows a lesion composed of approximately 85% fat, with the remaining volume consisting of thickened septations and scattered soft tissue nodules. These non-fatty components demonstrate enhancement on postcontrast imaging. What is the most common anatomical location for atypical lipomatous tumors?
View Answer & Explanation
Correct Answer: B
Rationale: The provided text explicitly states, "Atypical lipomatous tumors are fatty tumors that usually occur in deep tissues of the extremities." While lipomatous tumors can occur in other locations, this is the most common site for atypical lipomas as described in the case.
Question 88
A 50-year-old female presents with a several-month history of a slowly enlarging, painless mass in her posterior thigh. Physical examination reveals a large, palpable soft tissue mass. MRI confirms a predominantly fatty lesion with internal septations and nodular components that enhance with contrast. Histological examination of a biopsy specimen reveals mature adipocytes with scattered atypical spindle cells and hyperchromatic nuclei. Which of the following genetic alterations is most commonly associated with this type of tumor?
View Answer & Explanation
Correct Answer: C
Rationale: Atypical lipomatous tumors (ALTs), which are synonymous with well-differentiated liposarcomas in deep locations, are characterized by amplification of the 12q13-15 region, which includes the MDM2 gene. This genetic alteration is crucial for distinguishing ALTs/WDLs from benign lipomas and other soft tissue tumors. The other options are associated with different sarcomas: FUS-DDIT3 with myxoid liposarcoma, SYT-SSX with synovial sarcoma, EWSR1-FLI1 with Ewing sarcoma, and COL1A1-PDGFB with dermatofibrosarcoma protuberans.
Question 88
A 68-year-old male presents with a large, deep soft tissue mass in his thigh. MRI images are provided, demonstrating a lesion with mixed signal characteristics, predominantly fat but with significant non-fatty components that enhance after contrast administration. The patient is asymptomatic, and the mass has been present for over a year. What is the primary reason for surgical intervention in atypical lipomatous tumors?
View Answer & Explanation
Correct Answer: B
Rationale: While atypical lipomatous tumors (ALTs) themselves have virtually no metastatic potential, they carry a significant risk of local recurrence and, more importantly, a risk of dedifferentiation into a higher-grade, more aggressive liposarcoma (dedifferentiated liposarcoma) which *does* have metastatic potential. Therefore, surgical excision is performed to prevent this malignant transformation and local recurrence. The text implies the need for intervention by describing the diagnostic features, and the nature of ALTs as low-grade malignancies. Pain, rapid growth, and high metastatic potential are not typical features of ALTs, and cosmetic concerns are secondary to the oncologic risk.
Question 88
A 52-year-old female presents with a slowly growing, painless mass in her posterior thigh. Physical examination reveals a large, palpable soft tissue mass. MRI images show a lesion composed predominantly of fat (greater than 75% of the tumor volume) with thickened septations and scattered soft tissue nodularity. These nonlipomatous elements show varying amounts of enhancement after contrast administration. Which of the following statements regarding the clinical presentation of atypical lipomas is most accurate?
View Answer & Explanation
Correct Answer: B
Rationale: The provided text states, "Patients are asymptomatic and notice a mass or asymmetry in the extremity, which may have been present for some time. The remainder of physical exam is usually unremarkable." This aligns with the typical presentation of a slowly growing, painless mass. The other options describe features not characteristic of atypical lipomas.
Question 88
A 60-year-old male presents with a large, deep soft tissue mass in his thigh. MRI images are provided, showing a lesion with mixed signal characteristics, predominantly fat but with significant non-fatty components. Postcontrast images demonstrate enhancement within these non-fatty areas. What percentage of the tumor volume in an atypical lipoma is typically composed of fat?
View Answer & Explanation
Correct Answer: D
Rationale: The text explicitly states, "MRI shows a lesion that is composed predominantly of fat (greater than 75% of the tumor volume) in combination with nonlipomatous elements..." This is a key diagnostic criterion for atypical lipomas on imaging.
Question 88
A 65-year-old female undergoes resection of a large, deep soft tissue mass from her posterior thigh. Gross examination of the resected specimen is provided. While the overall appearance might resemble mature fat, closer inspection and palpation reveal areas that are firmer than normal fat. What is the significance of this gross finding in the diagnosis of an atypical lipoma?
View Answer & Explanation
Correct Answer: C
Rationale: The text states, "Grossly, lesions are more firm than lipomas and the tissue does not resemble mature fat." The image caption for Fig 9.9 also highlights "firmer tissue than normal fat." This increased firmness, due to the nonlipomatous elements, is a key gross pathological feature that helps differentiate an atypical lipoma from a benign simple lipoma, which is typically soft and homogeneous. It does not directly indicate a high-grade pleomorphic liposarcoma or myxoid liposarcoma, nor is it indicative of necrosis.
Question 88
A 59-year-old male presents with a large, deep soft tissue mass in his thigh. MRI images are provided, showing a predominantly fatty lesion with thickened septations and scattered soft tissue nodularity. Postcontrast images demonstrate varying amounts of enhancement within these non-fatty components. Which of the following statements regarding the enhancement pattern of atypical lipomas on MRI is true?
View Answer & Explanation
Correct Answer: C
Rationale: The text and image context state, "Atypical lipomas will also have varying amounts of enhancement after contrast administration," specifically in the "considerable amount of tissue that is not isointense with fat." This indicates that enhancement occurs in the nonlipomatous components (septations, nodules), not necessarily throughout the entire fatty lesion, and is not absent or limited to a rim. Necrosis is not mentioned as a primary site of enhancement.
Question 88
A 63-year-old female presents with a long-standing, slowly enlarging mass in her deep posterior thigh. Physical examination is unremarkable except for the palpable mass. MRI reveals a large, predominantly fatty lesion with internal septations and nodular components. Given the typical presentation and imaging characteristics of an atypical lipoma, what is the expected prognosis following adequate surgical resection?
View Answer & Explanation
Correct Answer: B
Rationale: Atypical lipomatous tumors (ALTs) are considered low-grade malignant tumors. While they have virtually no metastatic potential, they are known for a significant risk of local recurrence if not adequately excised with clear margins. Furthermore, they can dedifferentiate into higher-grade liposarcomas. Therefore, the primary concern post-resection is local control. Spontaneous regression is not expected, and transformation to osteosarcoma is incorrect.
Question 88
A 50-year-old male presents with a painless, palpable mass in his deep posterior thigh that has been present for several months. MRI images are provided, showing a large soft tissue mass. The lesion demonstrates high signal intensity on T1-weighted images, consistent with fat, but also contains areas of decreased signal intensity and thickened septations. What is the primary histological feature that differentiates an atypical lipoma from a conventional lipoma?
View Answer & Explanation
Correct Answer: C
Rationale: The text states, "There is more atypia on histologic examination." This refers to the presence of atypical adipocytes, often with enlarged, hyperchromatic nuclei, and scattered pleomorphic stromal cells, which are the defining histological features distinguishing an atypical lipoma (well-differentiated liposarcoma) from a benign conventional lipoma. While both contain mature adipocytes, the atypia is key. Myxoid stroma is characteristic of myxoid liposarcoma, and high mitotic activity would suggest a higher-grade sarcoma.
Question 88
A 67-year-old female presents with a large, deep soft tissue mass in her thigh. MRI images are provided, showing a lesion that is predominantly high signal intensity on T1-weighted images, consistent with fat. However, there are also areas of hazy, decreased signal intensity and thickened septations. Postcontrast images demonstrate enhancement within these non-fatty components. What is the significance of the "hazy, decreased signal intensity" on T1-weighted images in the context of an atypical lipoma?
View Answer & Explanation
Correct Answer: D
Rationale: The text describes the MRI findings: "nonlipomatous elements that can be in the form of thickened septations and/or scattered soft tissue nodularity. These latter features result in areas of hazy, decreased signal intensity in the background of a predominantly high signal intensity mass on T1-weighted images and create an appearance described as 'dirty fat.'" This directly links the hazy, decreased signal to the non-fatty components, not hemorrhage, necrosis, or mature fat itself.
Question 88
A 55-year-old male presents with a large, palpable mass in his posterior thigh. Clinical photograph is provided. The mass has been slowly growing for several months and is asymptomatic. MRI reveals a predominantly fatty lesion with internal septations and nodular components that enhance with contrast. What is the most appropriate management strategy for a diagnosed atypical lipoma in a deep extremity location?
View Answer & Explanation
Correct Answer: C
Rationale: Atypical lipomatous tumors (ALTs) are low-grade malignant tumors (well-differentiated liposarcomas in deep locations). The standard of care for these tumors is wide local excision with clear surgical margins to minimize the risk of local recurrence and prevent dedifferentiation. Radiation and chemotherapy are typically reserved for higher-grade sarcomas or in cases of positive margins/recurrence. Embolization and steroid injections are not appropriate treatments for ALTs.
Question 88
A 61-year-old female presents with a large, deep soft tissue mass in her thigh. MRI images are provided, showing a lesion with mixed signal characteristics, predominantly fat but with significant non-fatty components that enhance after contrast administration. The patient is asymptomatic. Which of the following is NOT a typical characteristic of atypical lipomas based on the provided clinical context?
View Answer & Explanation
Correct Answer: D
Rationale: The text explicitly states, "Grossly, lesions are more firm than lipomas and the tissue does not resemble mature fat." Therefore, being "softer than conventional lipomas" is an incorrect characteristic. The other options (A, B, C, E) are all accurate descriptions of atypical lipomas as provided in the clinical context.
Question 88
A 58-year-old male presents with a slowly growing, painless mass in his posterior thigh. Physical examination reveals a large, palpable soft tissue mass with overlying varicosities. MRI demonstrates a lesion composed predominantly of fat with thickened septations and scattered soft tissue nodularity, showing areas of hazy, decreased signal intensity on T1-weighted images. Postcontrast images show varying amounts of enhancement. What is the primary concern when differentiating an atypical lipoma from a simple lipoma?
View Answer & Explanation
Correct Answer: C
Rationale: Atypical lipomas are considered low-grade malignant tumors (well-differentiated liposarcomas in deep locations). The primary concern is their potential for local recurrence if inadequately excised and, more importantly, their ability to dedifferentiate into a higher-grade, more aggressive liposarcoma. This malignant potential is the key differentiator from a benign simple lipoma, which does not carry these risks. While large masses can cause cosmetic deformity or neurovascular compression, these are not the *primary* concerns driving the differentiation from a simple lipoma.
Question 88
A 64-year-old female presents with a large, deep soft tissue mass in her thigh. MRI images are provided, showing a lesion that is predominantly high signal intensity on T1-weighted images, consistent with fat. However, there are also areas of hazy, decreased signal intensity and thickened septations. Postcontrast images demonstrate enhancement within these non-fatty components. What is the typical signal intensity of the fatty component of an atypical lipoma on T1-weighted MRI?
Question 89
A 55-year-old male presents with a slowly enlarging, painless mass in his posterior thigh that he has noticed for several months. Physical examination reveals a large, palpable soft tissue mass with overlying varicosities. MRI demonstrates a lesion composed predominantly of fat (approximately 80% of tumor volume) with thickened septations and scattered soft tissue nodularity, showing areas of hazy, decreased signal intensity on T1-weighted images. Postcontrast images show varying amounts of enhancement. Given these findings, what is the most appropriate initial diagnostic step?

View Answer & Explanation
Correct Answer: B
Rationale: The MRI findings of a predominantly fatty lesion with nonlipomatous elements (thickened septations, nodularity, enhancement) in a deep extremity location are characteristic of an atypical lipomatous tumor (ALT). Given the potential for malignancy (ALTs are considered low-grade malignant tumors, synonymous with well-differentiated liposarcoma in deep locations), an incisional biopsy is the most appropriate initial diagnostic step to obtain adequate tissue for definitive histopathological diagnosis and molecular analysis before definitive treatment. FNA may not provide sufficient tissue for accurate diagnosis and grading of lipomatous tumors. Observation is inappropriate for a suspicious mass. Immediate wide local excision without a definitive diagnosis is not standard practice. Excisional biopsy is typically reserved for smaller, more superficial lesions where complete removal can be achieved without compromising subsequent definitive treatment.
Question 90
A 62-year-old female presents with a palpable mass in her deep posterior thigh. MRI images are provided, showing a lesion that is predominantly high signal intensity on T1-weighted images, consistent with fat. However, there are also areas of hazy, decreased signal intensity and thickened septations. Postcontrast images demonstrate enhancement within these non-fatty components. Which of the following terms best describes the MRI appearance of this lesion?

View Answer & Explanation
Correct Answer: C
Rationale: The clinical context describes an atypical lipoma with MRI findings of a predominantly high signal intensity mass on T1-weighted images, combined with nonlipomatous elements appearing as hazy, decreased signal intensity. This specific appearance is described in the text as "dirty fat." The other options describe features of different pathologies (e.g., "popcorn" calcification in enchondroma, "target" sign in neurofibroma, "ground-glass" opacity in chondroid tumors or lung pathology, "leaf-like" pattern in phyllodes tumor).
Question 91
A 48-year-old male undergoes resection of a large, deep soft tissue mass from his upper arm. Gross examination of the resected specimen reveals tissue that is firmer than normal mature fat. Histological examination shows adipocytes with varying degrees of nuclear atypia and scattered pleomorphic stromal cells. Based on the gross description, how does this lesion typically compare to a conventional lipoma?

View Answer & Explanation
Correct Answer: C
Rationale: The provided text explicitly states, "Grossly, lesions are more firm than lipomas and the tissue does not resemble mature fat." This characteristic firmness, along with the presence of nonlipomatous elements, helps distinguish atypical lipomas from conventional lipomas. The image caption for Fig 9.9 also supports this, stating "Gross cross-section revealing firmer tissue than normal fat."
Question 92
A 58-year-old patient presents with a slowly growing, painless mass in the deep posterior thigh. MRI reveals a large, predominantly fatty lesion with thickened septations and areas of soft tissue nodularity. Postcontrast images show enhancement within the non-fatty components. Which of the following is a key distinguishing feature of an atypical lipoma compared to a simple lipoma on MRI?

View Answer & Explanation
Correct Answer: D
Rationale: The text states that atypical lipomas are composed predominantly of fat in combination with nonlipomatous elements such as thickened septations and/or scattered soft tissue nodularity, which result in areas of hazy, decreased signal intensity on T1-weighted images and varying amounts of enhancement after contrast administration. While simple lipomas also contain mature fat and can be well-circumscribed, they typically lack these significant nonlipomatous components and enhancement. Atypical lipomas usually occur in deep tissues, unlike many simple lipomas which are subcutaneous.
Question 93
A 70-year-old male presents with a large, asymptomatic mass in his groin region that has been present for several years. MRI shows a lesion composed of approximately 85% fat, with the remaining volume consisting of thickened septations and scattered soft tissue nodules. These non-fatty components demonstrate enhancement on postcontrast imaging. What is the most common anatomical location for atypical lipomatous tumors?
View Answer & Explanation
Correct Answer: B
Rationale: The provided text explicitly states, "Atypical lipomatous tumors are fatty tumors that usually occur in deep tissues of the extremities." While lipomatous tumors can occur in other locations, this is the most common site for atypical lipomas as described in the case.
Question 94
A 50-year-old female presents with a several-month history of a slowly enlarging, painless mass in her posterior thigh. Physical examination reveals a large, palpable soft tissue mass. MRI confirms a predominantly fatty lesion with internal septations and nodular components that enhance with contrast. Histological examination of a biopsy specimen reveals mature adipocytes with scattered atypical spindle cells and hyperchromatic nuclei. Which of the following genetic alterations is most commonly associated with this type of tumor?
View Answer & Explanation
Correct Answer: C
Rationale: Atypical lipomatous tumors (ALTs), which are synonymous with well-differentiated liposarcomas in deep locations, are characterized by amplification of the 12q13-15 region, which includes the MDM2 gene. This genetic alteration is crucial for distinguishing ALTs/WDLs from benign lipomas and other soft tissue tumors. The other options are associated with different sarcomas: FUS-DDIT3 with myxoid liposarcoma, SYT-SSX with synovial sarcoma, EWSR1-FLI1 with Ewing sarcoma, and COL1A1-PDGFB with dermatofibrosarcoma protuberans.
Question 95
A 68-year-old male presents with a large, deep soft tissue mass in his thigh. MRI images are provided, demonstrating a lesion with mixed signal characteristics, predominantly fat but with significant non-fatty components that enhance after contrast administration. The patient is asymptomatic, and the mass has been present for over a year. What is the primary reason for surgical intervention in atypical lipomatous tumors?

View Answer & Explanation
Correct Answer: B
Rationale: While atypical lipomatous tumors (ALTs) themselves have virtually no metastatic potential, they carry a significant risk of local recurrence and, more importantly, a risk of dedifferentiation into a higher-grade, more aggressive liposarcoma (dedifferentiated liposarcoma) which *does* have metastatic potential. Therefore, surgical excision is performed to prevent this malignant transformation and local recurrence. The text implies the need for intervention by describing the diagnostic features, and the nature of ALTs as low-grade malignancies. Pain, rapid growth, and high metastatic potential are not typical features of ALTs, and cosmetic concerns are secondary to the oncologic risk.
Question 96
A 52-year-old female presents with a slowly growing, painless mass in her posterior thigh. Physical examination reveals a large, palpable soft tissue mass. MRI images show a lesion composed predominantly of fat (greater than 75% of the tumor volume) with thickened septations and scattered soft tissue nodularity. These nonlipomatous elements show varying amounts of enhancement after contrast administration. Which of the following statements regarding the clinical presentation of atypical lipomas is most accurate?
View Answer & Explanation
Correct Answer: B
Rationale: The provided text states, "Patients are asymptomatic and notice a mass or asymmetry in the extremity, which may have been present for some time. The remainder of physical exam is usually unremarkable." This aligns with the typical presentation of a slowly growing, painless mass. The other options describe features not characteristic of atypical lipomas.
Question 97
A 60-year-old male presents with a large, deep soft tissue mass in his thigh. MRI images are provided, showing a lesion with mixed signal characteristics, predominantly fat but with significant non-fatty components. Postcontrast images demonstrate enhancement within these non-fatty areas. What percentage of the tumor volume in an atypical lipoma is typically composed of fat?

View Answer & Explanation
Correct Answer: D
Rationale: The text explicitly states, "MRI shows a lesion that is composed predominantly of fat (greater than 75% of the tumor volume) in combination with nonlipomatous elements..." This is a key diagnostic criterion for atypical lipomas on imaging.
Question 98
A 65-year-old female undergoes resection of a large, deep soft tissue mass from her posterior thigh. Gross examination of the resected specimen is provided. While the overall appearance might resemble mature fat, closer inspection and palpation reveal areas that are firmer than normal fat. What is the significance of this gross finding in the diagnosis of an atypical lipoma?

View Answer & Explanation
Correct Answer: C
Rationale: The text states, "Grossly, lesions are more firm than lipomas and the tissue does not resemble mature fat." The image caption for Fig 9.9 also highlights "firmer tissue than normal fat." This increased firmness, due to the nonlipomatous elements, is a key gross pathological feature that helps differentiate an atypical lipoma from a benign simple lipoma, which is typically soft and homogeneous. It does not directly indicate a high-grade pleomorphic liposarcoma or myxoid liposarcoma, nor is it indicative of necrosis.
Question 99
A 59-year-old male presents with a large, deep soft tissue mass in his thigh. MRI images are provided, showing a predominantly fatty lesion with thickened septations and scattered soft tissue nodularity. Postcontrast images demonstrate varying amounts of enhancement within these non-fatty components. Which of the following statements regarding the enhancement pattern of atypical lipomas on MRI is true?

View Answer & Explanation
Correct Answer: C
Rationale: The text and image context state, "Atypical lipomas will also have varying amounts of enhancement after contrast administration," specifically in the "considerable amount of tissue that is not isointense with fat." This indicates that enhancement occurs in the nonlipomatous components (septations, nodules), not necessarily throughout the entire fatty lesion, and is not absent or limited to a rim. Necrosis is not mentioned as a primary site of enhancement.
Question 100
A 63-year-old female presents with a long-standing, slowly enlarging mass in her deep posterior thigh. Physical examination is unremarkable except for the palpable mass. MRI reveals a large, predominantly fatty lesion with internal septations and nodular components. Given the typical presentation and imaging characteristics of an atypical lipoma, what is the expected prognosis following adequate surgical resection?
View Answer & Explanation
Correct Answer: B
Rationale: Atypical lipomatous tumors (ALTs) are considered low-grade malignant tumors. While they have virtually no metastatic potential, they are known for a significant risk of local recurrence if not adequately excised with clear margins. Furthermore, they can dedifferentiate into higher-grade liposarcomas. Therefore, the primary concern post-resection is local control. Spontaneous regression is not expected, and transformation to osteosarcoma is incorrect.
You Might Also Like