استبدال مفصل الكاحل الكلي بنظام TNK لعلاج خشونة الكاحل المتقدمة

الخلاصة الطبية
استبدال مفصل الكاحل الكلي هو إجراء جراحي فعال يعالج خشونة الكاحل والتهاب المفاصل الروماتويدي في مراحلهما النهائية، باستخدام نظام TNK المبتكر لاستعادة وظيفة المفصل وتخفيف الألم بشكل دائم. يقدم الأستاذ الدكتور محمد هطيف هذا العلاج المتطور في صنعاء، مع التركيز على التخطيط الدقيق والتقنيات الجراحية المتقدمة لضمان أفضل النتائج للمرضى.
الخلاصة الطبية الشاملة: يُعد استبدال مفصل الكاحل الكلي (Total Ankle Arthroplasty - TAA) ثورة طبية حقيقية وإجراءً جراحياً بالغ الفعالية لعلاج حالات خشونة الكاحل المتقدمة والتهاب المفاصل الروماتويدي في مراحلها النهائية. من خلال استخدام نظام TNK المبتكر، يتم استعادة الوظيفة الحركية للمفصل وتخفيف الألم المزمن بشكل دائم، مما يعيد للمريض جودة حياته المفقودة. يقود هذا التطور الطبي في اليمن الأستاذ الدكتور محمد هطيف، أستاذ جراحة العظام والمفاصل بجامعة صنعاء، والذي يمتلك خبرة تتجاوز 20 عاماً. يرتكز الدكتور هطيف في ممارسته على الأمانة الطبية الصارمة، والتخطيط الجراحي الدقيق، مستخدماً أحدث التقنيات العالمية مثل الجراحة الميكروسكوبية، ومناظير المفاصل بتقنية 4K، والمفاصل الصناعية الحديثة لضمان تحقيق أعلى نسب النجاح العالمية لمرضاه في صنعاء.


مقدمة شاملة عن استبدال مفصل الكاحل الكلي
مرحباً بكم أيها المرضى الكرام والباحثون عن المعرفة الطبية الدقيقة، في هذا الدليل المرجعي الشامل الذي صُمم خصيصاً لإلقاء الضوء على أحد أهم التدخلات الجراحية وأكثرها دقة في تخصص جراحة العظام: عملية استبدال مفصل الكاحل الكلي. إن القدرة على المشي بدون ألم هي نعمة لا يدرك قيمتها إلا من فقدها، ومفصل الكاحل هو حجر الزاوية في هذه العملية الحيوية.
يتحمل مفصل الكاحل قوى ضغط هائلة تفول وزن الجسم بعدة مرات أثناء المشي والجري والقفز. وعندما يتعرض هذا المفصل الحيوي للتلف نتيجة الخشونة الشديدة، أو الإصابات الرضية القديمة، أو الأمراض المناعية مثل الروماتويد، تتحول كل خطوة يخطوها المريض إلى معاناة قاسية. يترافق ذلك مع تيبس شديد، وتورم مزمن، وانخفاض حاد في القدرة على ممارسة الأنشطة اليومية البسيطة.
في الماضي، كان الحل الجراحي الوحيد المتاح هو "دمج مفصل الكاحل" (Ankle Fusion)، وهو إجراء يزيل الألم ولكنه يقضي على حركة المفصل تماماً، مما يضع عبئاً إضافياً على المفاصل المجاورة في القدم. أما اليوم، ومع التطور المذهل في هندسة المواد الطبية وتقنيات الجراحة، برزت جراحة استبدال مفصل الكاحل الكلي باستخدام نظام TNK كحل جذري وفعال يجمع بين تخفيف الألم واستعادة الحركة الطبيعية أو شبه الطبيعية للمفصل.

يُعد الأستاذ الدكتور محمد هطيف رائداً في هذا المجال المعقد في العاصمة اليمنية صنعاء. بصفته أستاذاً أكاديمياً في جامعة صنعاء، وجراحاً متمرساً بخبرة تزيد عن عقدين من الزمان، يقدم الدكتور هطيف رعاية طبية لا تضاهى، مبنية على أسس "الطب القائم على الدليل". إن استخدامه لتقنيات الجراحة الدقيقة والميكروسكوبية، وتوظيفه لأحدث أنظمة المفاصل الصناعية، يعكس التزامه المطلق بتقديم الأفضل لمرضاه، مع الحفاظ على مبدأ الأمانة الطبية الصارمة التي تضع مصلحة المريض فوق كل اعتبار.

التشريح البيوميكانيكي الدقيق لمفصل الكاحل
لفهم العبقرية وراء تصميم نظام TNK لاستبدال الكاحل، يجب علينا أولاً الغوص في التفاصيل التشريحية والبيوميكانيكية لهذا المفصل المعقد. الكاحل ليس مجرد مفصل بسيط يعمل كمفصلة باب، بل هو نظام حركي معقد يتكون من تفاعل دقيق بين العظام، الأربطة، والأوتار.
يتكون مفصل الكاحل الرئيسي (المفصل الظنبوبي الشظوي الكاحلي - Talocrural Joint) من التقاء ثلاثة عظام رئيسية:
1. عظم الظنبوب (Tibia): وهو العظم الأكبر في الساق، ويشكل السقف والجزء الداخلي من مفصل الكاحل (الكعب الإنسي).
2. عظم الشظية (Fibula): وهو العظم الأصغر والأنحف في الساق، ويشكل الجزء الخارجي من المفصل (الكعب الوحشي).
3. عظم الكاحل (Talus): وهو العظم المحوري الذي يربط الساق بالقدم، وله شكل قبة تتناسب بدقة مع التجويف الذي يشكله الظنبوب والشظية.

الغضروف المفصلي وأهميته
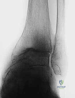
تُغطى الأسطح المتقابلة لهذه العظام بطبقة ملساء ولامعة من "الغضروف الزجاجي" (Hyaline Cartilage). هذا الغضروف، الذي لا يتجاوز سمكه بضعة مليمترات، يعمل كوسادة لامتصاص الصدمات وسطح زلق يقلل الاحتكاك إلى أدنى حد ممكن، مما يسمح بحركة انسيابية خالية من الألم. عندما يتآكل هذا الغضروف، تبدأ العظام بالاحتكاك المباشر ببعضها البعض، مما يطلق سلسلة من التفاعلات الالتهابية التي تؤدي إلى الألم، وتكوين النتوءات العظمية (Osteophytes)، وتيبس المفصل.
كيف يحاكي نظام TNK التشريح الطبيعي؟
بيولوجياً وهندسياً، يتميز السطح السفلي لعظم الظنبوب (السقف الظنبوبي) بكونه عمودياً تقريباً على المحور الأمامي للظنبوب، مع ميلان خلفي طفيف. تم تصميم نظام TNK بعبقرية هندسية لمحاكاة هذا التشريح بدقة متناهية:
* يتم تصميم المكون الظنبوبي (Tibial Component) ليُزرع عمودياً على المحور الطولي الأمامي للظنبوب مع ميلان خلفي بمقدار 10 درجات، مما يحافظ على التوزيع الطبيعي للقوى.
* أما المكون الكاحلي (Talar Component)، فيتم وضعه بشكل موازٍ للأرض أو للجانب السفلي من القدم الحاملة للوزن.
* بينهما، توضع حشوة من البولي إيثيلين عالي الكثافة (UHMWPE) التي تعمل كغضروف صناعي، مما يضمن حركة طبيعية، متوازنة، وخالية من الألم.


الأسباب العميقة وعوامل الخطر لخشونة الكاحل المتقدمة
على عكس مفصلي الركبة والورك، حيث تكون الخشونة الأولية (بسبب التقدم في العمر والاستهلاك الطبيعي) هي السبب الشائع، فإن خشونة مفصل الكاحل لها طبيعة مختلفة تماماً. الغالبية العظمى من حالات تآكل مفصل الكاحل هي نتيجة لإصابات سابقة أو أمراض جهازية.
1. خشونة الكاحل ما بعد الصدمة (Post-Traumatic Osteoarthritis)
يمثل هذا النوع حوالي 70% إلى 80% من جميع حالات خشونة الكاحل. يحدث عندما يتعرض المفصل لإصابة تؤدي إلى تلف ميكانيكي مباشر للغضروف أو تغير في استقامة العظام.
* كسور الكاحل المعقدة: الكسور التي تشمل السطح المفصلي (Pilon fractures أو Malleolar fractures) تترك ندبات على الغضروف وتغير من توزيع الوزن.
* الالتواءات المتكررة (Chronic Instability): تمزق الأربطة المتكرر يؤدي إلى عدم استقرار المفصل، مما يسبب حركات غير طبيعية (Micro-trauma) تدمر الغضروف تدريجياً بمرور السنوات.
* سوء الالتئام (Malunions): إذا التأم كسر سابق في الساق أو الكاحل بزاوية غير صحيحة، فإن ذلك ينقل قوى الوزن إلى مناطق صغيرة من الغضروف غير مهيأة لتحمل هذا الضغط، مما يسرع من تآكلها.

2. التهاب المفاصل الروماتويدي (Rheumatoid Arthritis)
هو مرض مناعي ذاتي يقوم فيه جهاز المناعة بمهاجمة الغشاء الزليلي (Synovial membrane) المبطن للمفصل. يؤدي هذا الالتهاب المزمن إلى إفراز إنزيمات تدمر الغضروف والعظام المجاورة. المرضى الذين يعانون من الروماتويد غالباً ما يصابون بتشوهات شديدة في الكاحل والقدم، ويُعد استبدال المفصل حلاً ممتازاً لهم للحفاظ على حركيتهم.
3. التشوهات الميكانيكية المصاحبة
غالباً ما تترافق خشونة الكاحل مع تشوهات هيكلية تزيد من تعقيد الحالة وتتطلب خبرة جراحية فائقة مثل خبرة الأستاذ الدكتور محمد هطيف للتعامل معها:
* تشوه التقوس للداخل (Varus deformity): حيث يميل الكاحل والقدم نحو الداخل، مما يضع ضغطاً هائلاً على الجزء الإنسي (الداخلي) من المفصل.
* تشوه التقوس للخارج (Valgus deformity): حيث يميل الكاحل نحو الخارج. يرتبط هذا غالباً بالقدم المسطحة الشديدة (Pes Planovalgus) وقصور الوتر الظنبوبي الخلفي، مما يدمر الجزء الوحشي (الخارجي) من المفصل.

4. أسباب أخرى أقل شيوعاً
- النخر اللاوعائي (Avascular Necrosis - AVN): انقطاع التروية الدموية عن عظم الكاحل (Talus)، مما يؤدي إلى موت العظم وانهيار السطح المفصلي.
- النقرس والتهاب المفاصل الإنتاني: تراكم بلورات حمض اليوريك أو العدوى البكتيرية السابقة التي دمرت المفصل.

الأعراض السريرية: متى يجب التفكير في الجراحة؟
المرضى الذين يصلون إلى عيادة الأستاذ الدكتور محمد هطيف غالباً ما يعانون من تاريخ طويل من الألم الذي يستنزف طاقتهم. تشمل الأعراض الرئيسية التي تشير إلى الحاجة المحتملة لاستبدال مفصل الكاحل ما يلي:
- ألم مبرح ومستمر: ألم عميق في الكاحل يزداد سوءاً مع تحمل الوزن، المشي، أو حتى الوقوف لفترات قصيرة. في المراحل المتقدمة، قد يوقظ الألم المريض من نومه (ألم الراحة).
- تيبس شديد وفقدان نطاق الحركة: صعوبة بالغة في ثني القدم لأعلى (Dorsiflexion) أو لأسفل (Plantarflexion)، مما يؤثر بشكل مباشر على نمط المشي ويجعل صعود ونزول السلالم تحدياً كبيراً.
- تورم مزمن: انتفاخ دائم حول المفصل لا يزول تماماً مع الراحة أو رفع القدم.
- العرج (Limping): تغير ملحوظ في طريقة المشي لمحاولة تجنب وضع الوزن على الكاحل المصاب، مما قد يؤدي لاحقاً إلى آلام في الركبة، الورك، وأسفل الظهر.
- أصوات طقطقة أو احتكاك (Crepitus): شعور أو سماع صوت طحن داخل المفصل عند تحريكه، ناتج عن احتكاك العظام العارية ببعضها.


التشخيص الدقيق: نهج الأستاذ الدكتور محمد هطيف
يبدأ التقييم الطبي الشامل بأخذ تاريخ مرضي دقيق وفحص سريري مفصل. يقوم الدكتور هطيف بتقييم نطاق الحركة، قوة العضلات، استقامة القدم والكاحل، وحالة الدورة الدموية والأعصاب الطرفية.
تُعد الأمانة الطبية الصارمة ركيزة أساسية في ممارسة الدكتور هطيف؛ فهو لا يتخذ قرار الجراحة إلا بعد استنفاد كافة سبل التقييم الدقيق. يعتمد التشخيص على أحدث تقنيات التصوير الطبي:
* الأشعة السينية أثناء الوقوف (Weight-bearing X-rays): هي المعيار الذهبي لتقييم تضيق المسافة المفصلية، وجود النتوءات العظمية، وتحديد درجة التشوه (Varus/Valgus).
* التصوير المقطعي المحوسب (CT Scan): ضروري جداً لتقييم جودة العظام (Bone stock)، والتخطيط الجراحي الدقيق لتحديد حجم المكونات الصناعية، خاصة في حالات النخر اللاوعائي أو الكسور القديمة المعقدة.
* التصوير بالرنين المغناطيسي (MRI): يُستخدم لتقييم حالة الأربطة، الأوتار، والأنسجة الرخوة المحيطة بالمفصل.


الخيارات العلاجية: مقارنة شاملة (التحفظي مقابل الجراحي)
قبل اللجوء إلى جراحة استبدال المفصل، يتم دائماً تجربة العلاجات التحفظية (غير الجراحية). يوضح الجدول التالي مقارنة شاملة بين الخيارات المتاحة:
جدول 1: مقارنة الخيارات العلاجية لخشونة الكاحل المتقدمة
| نوع العلاج | الخيارات المتاحة | الفوائد | العيوب والقيود |
|---|---|---|---|
| العلاج التحفظي (غير الجراحي) | - الأدوية المضادة للالتهابات (NSAIDs) - حقن الكورتيزون أو البلازما (PRP) - الأحذية الطبية والدعامات (Braces) - العلاج الطبيعي وتعديل النشاط |
- تجنب مخاطر الجراحة - تخفيف مؤقت للألم - تحسين طفيف في الوظيفة |
- لا يعالج المشكلة الأساسية (تآكل الغضروف) - تأثير مؤقت يتلاشى مع الوقت - الأدوية قد تسبب آثاراً جانبية للمعدة والكلى |
| دمج مفصل الكاحل (Ankle Arthrodesis) | إجراء جراحي يتم فيه إزالة الغضروف المتبقي وتثبيت عظام الكاحل معاً بمسامير وشرائح حتى تلتحم كعظمة واحدة. | - يقضي على الألم تماماً في المفصل المدمج - إجراء قوي ومستقر ومناسب للعمال ذوي المهن الشاقة |
- فقدان كامل لحركة الكاحل - يغير نمط المشي بشكل دائم - يضع ضغطاً هائلاً على المفاصل المجاورة في القدم، مما يؤدي إلى خشونة مبكرة فيها |
| استبدال مفصل الكاحل (نظام TNK) | إزالة الأسطح التالفة واستبدالها بمفصل صناعي متطور يحاكي التشريح الطبيعي. | - تخفيف ممتاز للألم - الحفاظ على حركة المفصل - حماية المفاصل المجاورة من التآكل - مشية طبيعية أو شبه طبيعية |
- يتطلب جراحاً فائق المهارة (مثل أ.د. محمد هطيف) - قد يحتاج إلى مراجعة (تغيير) بعد 15-20 عاماً - غير مناسب لمن يعانون من التهابات نشطة أو ضعف شديد في العظام |


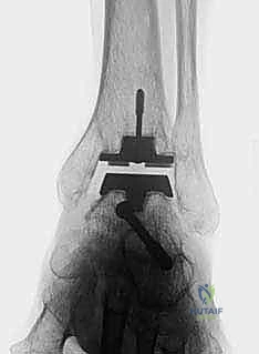
لماذا نظام TNK؟ ثورة في المفاصل الصناعية
يُعد اختيار نوع المفصل الصناعي قراراً حاسماً. يفضل الأستاذ الدكتور محمد هطيف استخدام نظام TNK (وأنظمة مشابهة من الجيل الحديث) لعدة أسباب علمية وهندسية قوية:
- التثبيت بدون أسمنت عظمي (Cementless Fixation): تعتمد مكونات نظام TNK على طلاء خاص (غالباً من التيتانيوم المسامي أو الهيدروكسي أباتيت) يسمح للعظم الطبيعي بالنمو والاندماج المباشر مع المعدن (Osseointegration). هذا يوفر تثبيتاً بيولوجياً قوياً وطويل الأمد يقلل من احتمالية تخلخل المفصل بمرور الوقت.
- تصميم يحاكي التشريح (Anatomic Design): كما ذكرنا سابقاً، الميلان الخلفي بمقدار 10 درجات في المكون الظنبوبي يعكس التشريح الطبيعي بدقة، مما يحسن من استقرار المفصل ونطاق حركته.
- مواد عالية التحمل: يتكون المفصل من سبائك معدنية فائقة القوة (مثل الكوبالت كروم أو التيتانيوم) مع حشوة بلاستيكية طبية متطورة (Highly Cross-linked Polyethylene) تقاوم التآكل بشكل استثنائي.


التحضير ما قبل الجراحة: خطوة بخطوة
النجاح الجراحي يبدأ قبل دخول غرفة العمليات. يتطلب التحضير لعملية استبدال مفصل الكاحل الكلي تنسيقاً دقيقاً:
* التقييم الطبي الشامل: إجراء فحوصات دم كاملة، تخطيط للقلب، وتقييم من طبيب التخدير لضمان لياقة المريض للجراحة.
* إيقاف بعض الأدوية: يجب إيقاف مسيلات الدم (مثل الأسبرين أو الوارفارين) وبعض أدوية الروماتيزم قبل الجراحة بفترة يحددها الطبيب.
* الإقلاع عن التدخين: يُشدد الدكتور هطيف بشكل صارم على ضرورة التوقف عن التدخين قبل أسابيع من الجراحة، لأن النيكوتين يضيق الأوعية الدموية ويعيق التئام الجروح واندماج العظم مع المفصل الصناعي.
* تجهيز المنزل: ترتيب المنزل ليكون آمناً وسهل الحركة (إزالة السجاد المنزلق، تجهيز حمام مناسب، وتوفير أدوات مساعدة كالعكازات أو مشاية).


تفاصيل الإجراء الجراحي: داخل غرفة العمليات مع أ.د. محمد هطيف
تُعد جراحة استبدال مفصل الكاحل من العمليات الدقيقة التي تتطلب براعة فائقة وفهماً عميقاً للتشريح. تستغرق العملية عادة من ساعتين إلى ثلاث ساعات، وتتم وفق الخطوات المنهجية التالية:
1. التخدير والتعقيم
يتم تخدير المريض (غالباً تخدير نصفي مع مهدئ، أو تخدير عام). يتم تعقيم الساق والقدم بالكامل باستخدام أحدث معايير مكافحة العدوى، ويتم تطبيق عاصبة (Tourniquet) لتقليل النزيف أثناء الجراحة.

2. الشق الجراحي (المدخل الأمامي)
يقوم الدكتور هطيف، مستخدماً تقنيات الجراحة الدقيقة والميكروسكوبية عند الحاجة لحماية الأعصاب والأوعية الدموية، بعمل شق جراحي طولي في الجزء الأمامي من الكاحل. يتم إبعاد الأوتار والأعصاب (مثل العصب الشظوي العميق) بعناية فائقة للوصول إلى كبسولة المفصل.

3. إزالة الغضروف التالف وتشكيل العظام
باستخدام أدوات ومرشدات قطع (Cutting Jigs) متطورة جداً ومصممة خصيصاً لنظام TNK، وبمساعدة الأشعة السينية المباشرة في غرفة العمليات (Fluoroscopy)، يتم إزالة الأجزاء التالفة من أسفل عظم الظنبوب وأعلى عظم الكاحل (Talus). يتم إجراء هذه القطوعات العظمية بدقة مليمترية لضمان تطابق مثالي مع مكونات المفصل الصناعي.


4. تجربة المفصل المؤقت (Trialing)
قبل تثبيت المفصل النهائي، يتم وضع مكونات بلاستيكية ومعدنية تجريبية. يقوم الدكتور هطيف بتحريك الكاحل في جميع الاتجاهات لاختبار نطاق الحركة، استقرار المفصل، وتوازن الأربطة. إذا لزم الأمر، يتم إجراء تعديلات طفيفة على العظام أو الأنسجة الرخوة.


5. زراعة نظام TNK النهائي
بمجرد التأكد من المقاسات والزوايا المثالية، يتم زرع المكونات النهائية. يتم إدخال المكون الظنبوبي المعدني بقوة ليثبت في العظم، يليه المكون الكاحلي. أخيراً، يتم إدخال الح




آلام العظام والمفاصل وتقييد حركتها ليس قدراً محتوماً! التشخيص الدقيق والعلاج المتخصص يمكن أن يعيد لك كامل وظيفتك وحريتك في الحركة. لا تدع الألم يسيطر على حياتك.
للحصول على استشارة دقيقة وخطة علاجية مخصصة لحالتك، تواصل فوراً مع مركز الأستاذ الدكتور محمد هطيف:
الأستاذ الدكتور محمد هطيف - أفضل دكتور عظام في صنعاء، وخبير في جراحات العظام والمفاصل والعمود الفقري.. نلتزم بإعادتك لحياة خالية من الألم وحركة طبيعية.
مواضيع أخرى قد تهمك