إتقان علاج كسور عظم الكعب داخل المفصل: النهج الجانبي الموسع مع الأستاذ الدكتور محمد هطيف

الخلاصة الطبية
كسر عظم الكعب داخل المفصل هو إصابة معقدة تتطلب تدخلاً جراحياً دقيقاً لاستعادة وظيفة القدم. يعتمد العلاج على النهج الجانبي الموسع لإعادة بناء العظم والمفصل بدقة، ويقدم الأستاذ الدكتور محمد هطيف في صنعاء خبرة متخصصة لضمان أفضل فرص الشفاء والعودة إلى حياة طبيعية.
الخلاصة الطبية الشاملة: يُعد كسر عظم الكعب داخل المفصل (Intra-Articular Calcaneal Fracture) من أعقد الإصابات العظمية وأكثرها تدميراً للميكانيكا الحيوية للقدم. تتطلب هذه الإصابات تدخلاً جراحياً دقيقاً للغاية لاستعادة البنية التشريحية ثلاثية الأبعاد ووظيفة القدم الحيوية. يُعتبر "النهج الجانبي الموسع" (Extended Lateral Approach) هو المعيار الذهبي عالمياً لإعادة بناء العظم والمفصل بدقة متناهية. هنا، يبرز اسم الأستاذ الدكتور محمد هطيف في صنعاء، كمرجعية طبية عليا بخبرة تتجاوز العشرين عاماً، ليقدم رعاية جراحية فائقة التخصص تضمن للمريض أفضل فرص الشفاء التام والعودة إلى ممارسة حياته الطبيعية بثقة وبدون ألم.


الأستاذ الدكتور محمد هطيف: المرجعية الأولى لجراحة العظام والمفاصل في اليمن
عندما يتعلق الأمر بجراحة دقيقة ومعقدة مثل إصلاح كسور عظم الكعب داخل المفصل، فإن اختيار الجراح هو العامل الأكثر حسماً في تحديد النتيجة النهائية بين العودة للحياة الطبيعية أو مواجهة إعاقة دائمة.
يُعد الأستاذ الدكتور محمد هطيف أفضل دكتور عظام في صنعاء واليمن بلا منازع، حيث يجمع بين الرصانة الأكاديمية والمهارة الجراحية الفائقة. بصفته أستاذاً لجراحة العظام والمفاصل في كلية الطب بجامعة صنعاء، فإنه ينقل أحدث ما توصل إليه العلم الحديث إلى غرف العمليات.
لماذا يثق آلاف المرضى في الأستاذ الدكتور محمد هطيف؟
- خبرة تتجاوز 20 عاماً: تعامل خلالها مع أعقد حالات الكسور والإصابات المتعددة، محققاً نسب نجاح تضاهي المراكز الطبية العالمية.
- التكنولوجيا والتقنيات الحديثة: رائد في استخدام الجراحة الميكروسكوبية الدقيقة، ومناظير المفاصل بتقنية 4K، وعمليات استبدال المفاصل (Arthroplasty) المتطورة.
- الأمانة الطبية الصارمة: يُعرف الدكتور محمد هطيف بصدقه وشفافيته التامة مع مرضاه. لا يتم اتخاذ قرار الجراحة إلا إذا كان هو الخيار الأوحد والأمثل لمصلحة المريض.
- الرعاية الشاملة: تبدأ من التشخيص الدقيق، مروراً بالجراحة المتقنة، وصولاً إلى برامج التأهيل الفيزيائي المصممة خصيصاً لكل مريض.

التشريح الميكانيكي المعقد: لماذا عظم الكعب مهم لهذه الدرجة؟
عظم الكعب (Calcaneus) ليس مجرد عظم عادي؛ إنه "حجر الأساس" الذي ترتكز عليه بنية القدم بأكملها. إنه العظم الأكبر في القدم، وهو المسؤول الأول عن تحمل وزن الجسم بالكامل، وامتصاص الصدمات الناتجة عن الارتطام بالأرض أثناء الوقوف والمشي والركض.
المفصل تحت الكاحل (Subtalar Joint)
تكمن الخطورة الحقيقية عندما يمتد الكسر إلى داخل "المفصل تحت الكاحل". هذا المفصل مسؤول عن حركتي الانقلاب الداخلي (Inversion) والانقلاب الخارجي (Eversion) للقدم، وهي الحركات التي تسمح لنا بالمشي على الأسطح غير المستوية والحفاظ على توازننا.
عندما يتعرض هذا المفصل للكسر، فإن الإصابة تتعدى مجرد "عظم مكسور" لتشمل تدميراً كاملاً للهندسة الميكانيكية للقدم. يؤثر هذا النوع من الكسور بشكل مباشر وعنيف على طريقة المشي، وبدون علاج دقيق وموجه من خبير مثل الأستاذ الدكتور محمد هطيف، قد ينتهي الأمر بالمريض إلى ألم مزمن، تيبس مفصلي، وعرج مستمر.

أسباب وعوامل خطر كسور عظم الكعب
تحدث كسور عظم الكعب عادة نتيجة لتعرض الجسم لطاقة عالية جداً (High-Energy Trauma). تشمل الأسباب الأكثر شيوعاً:
1. السقوط من ارتفاع: وهو السبب الأكثر شيوعاً (مثل سقوط عمال البناء من السقالات).
2. حوادث السيارات والدرجات النارية: حيث تنتقل قوة الاصطدام من دواسات السيارة مباشرة إلى الكعب.
3. الإصابات الرياضية العنيفة: في بعض الألعاب التي تتطلب قفزاً وهبوطاً متكرراً وقوياً.

الأعراض السريرية المباشرة
- ألم مبرح وحاد في منطقة الكعب لا يُحتمل.
- تورم شديد وسريع في القدم والكاحل.
- ظهور كدمات دموية واسعة حول الكعب وأسفل القدم.
- عدم القدرة المطلقة على تحمل الوزن أو الوقوف على القدم المصابة.
- تشوه في شكل الكعب (يصبح الكعب أعرض وأقصر من الطبيعي).
- ظهور "فقاعات الكسر" (Fracture Blisters) على الجلد نتيجة التورم الشديد (وهي علامة تستدعي تأجيل الجراحة حتى يلتئم الجلد).

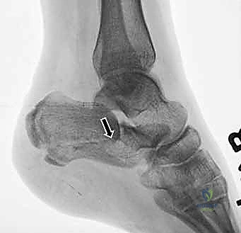
التشخيص الدقيق: التخطيط الجراحي ثلاثي الأبعاد
التشخيص الدقيق هو مفتاح النجاح لأي تدخل جراحي. في عيادة الأستاذ الدكتور محمد هطيف، يتم اتباع بروتوكول تشخيصي صارم:
- التصوير بالأشعة السينية (X-rays): لأخذ فكرة أولية عن الكسر (زوايا بوهلر وجيسان - Bohler’s and Gissane’s angles).
- الأشعة المقطعية (CT Scan): وهي الخطوة الأهم والأكثر حيوية. توفر الأشعة المقطعية صوراً ثلاثية الأبعاد وتقاطعاً دقيقاً للكسر، مما يسمح بتصنيف الكسر (نظام ساندرز - Sanders Classification) وتحديد عدد الشظايا العظمية ومدى انزياحها داخل المفصل. بناءً على هذه الأشعة، يضع الدكتور هطيف خطته الجراحية الدقيقة.

جدول مقارنة: العلاج التحفظي مقابل العلاج الجراحي
لا تتطلب جميع كسور الكعب جراحة، ولكن الكسور "داخل المفصل" غالباً ما تتطلب ذلك. يوضح الجدول التالي الفروق الجوهرية:
| وجه المقارنة | العلاج التحفظي (بدون جراحة) | العلاج الجراحي (النهج الجانبي الموسع) |
|---|---|---|
| نوع الكسر المناسب | الكسور غير المنزاحة (الشظايا في مكانها)، أو المرضى ذوي المخاطر الصحية العالية (مثل السكري الحاد وضعف الدورة الدموية). | الكسور داخل المفصل المنزاحة، تشوه شكل الكعب (قصير وعريض)، فقدان زاوية بوهلر. |
| الهدف الأساسي | التئام العظم في وضعه الحالي وتقليل الألم الأولي. | استعادة التشريح الدقيق للمفصل 100%، وتجنب الخشونة المستقبلية. |
| خطر التهاب المفاصل اللاحق | مرتفع جداً في حال كان الكسر داخل المفصل وتم تركه بدون رد دقيق. | منخفض بشكل ملحوظ إذا تم رد المفصل بدقة بواسطة جراح خبير. |
| فترة التعافي للعودة للعمل | طويلة، مع احتمالية بقاء ألم مزمن يمنع الأعمال الشاقة. | أسرع وأكثر أماناً على المدى الطويل، مع فرصة ممتازة للعودة للحياة الطبيعية. |
| احتمالية الحاجة لجراحة مستقبلية | عالية جداً (لإجراء عملية دمج المفصل Subtalar Arthrodesis بسبب الخشونة والألم). | نادرة جداً إذا تمت الجراحة الأولى بنجاح وكفاءة. |

المعيار الذهبي: النهج الجانبي الموسع (Extended Lateral Approach)
يُعد "النهج الجانبي الموسع" تقنية جراحية معقدة تتطلب مهارة استثنائية وإلماماً تشريحياً دقيقاً، وهو ما يتقنه الأستاذ الدكتور محمد هطيف ببراعة. يتيح هذا النهج رؤية شاملة وكاملة للجدار الجانبي لعظم الكعب والمفصل تحت الكاحل، مما يسمح للجراح بإعادة تجميع الشظايا العظمية بدقة متناهية كما لو كان يجمع قطع "الأحجية" (Puzzle).

التوقيت المثالي للجراحة
لا يتم إجراء الجراحة فور وقوع الإصابة. نظراً للتورم الشديد، ينتظر الدكتور هطيف عادة من 7 إلى 14 يوماً حتى يخف التورم وتظهر "علامة التجاعيد" (Wrinkle Sign) على الجلد. هذا التأخير المدروس يقلل بشكل كبير من خطر مضاعفات التئام الجرح والعدوى.

خطوة بخطوة: كيف يجري الدكتور محمد هطيف العملية الجراحية؟
تتم الجراحة تحت التخدير النصفي أو العام، وتستغرق عادة من ساعتين إلى ثلاث ساعات، وتتضمن الخطوات الدقيقة التالية:
1. وضعية المريض والشق الجراحي
يتم وضع المريض على جانبه السليم. يقوم الدكتور هطيف بعمل شق جراحي دقيق على شكل حرف "L" على الجانب الخارجي للكاحل. يتم تصميم هذا الشق بعناية فائقة للحفاظ على التروية الدموية للجلد وتجنب إصابة العصب الربلي (Sural Nerve).


2. تقنية "عدم اللمس" (No-Touch Technique)
للحفاظ على حيوية الأنسجة الرقيقة (السديلة الجلدية)، يستخدم الدكتور هطيف أسلاك كيرشنر (K-wires) لرفع الجلد بعيداً عن مجال الرؤية دون استخدام مبعدات قاسية قد تدمر الأنسجة. هذه التقنية المتقدمة هي سر التئام الجروح السريع بدون نخر (Necrosis).


3. كشف الكسر وإعادة البناء (Reduction)
بمجرد كشف العظم، يتم تنظيف التجمع الدموي. يقوم الجراح بكشف السطح المفصلي المكسور. باستخدام أدوات دقيقة، يتم رفع الشظايا العظمية المنخسفة إلى مكانها التشريحي الأصلي. يتم استعادة ارتفاع وعرض العظم، والأهم من ذلك، استعادة السلاسة التامة لسطح المفصل.


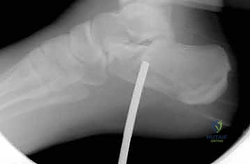
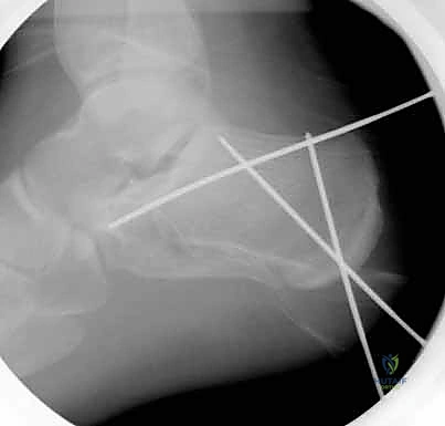
4. التثبيت المؤقت
يتم استخدام أسلاك معدنية دقيقة لتثبيت الشظايا في مكانها مؤقتاً، ثم يتم التحقق من دقة الرد باستخدام جهاز الأشعة السينية داخل غرفة العمليات (C-arm) لضمان عدم وجود أي انزياح ولو بمليمتر واحد.


5. التثبيت النهائي باستخدام الشرائح والمسامير (Plating)
يتم وضع شريحة تيتانيوم (Titanium Plate) مصممة خصيصاً لتطابق الشكل التشريحي لعظم الكعب. يتم تثبيت هذه الشريحة بمسامير قوية لتوفير ثبات ميكانيكي صلب يسمح بالالتئام السليم ويمنع انهيار العظم مرة أخرى. في بعض الحالات التي يوجد فيها فراغ عظمي كبير، قد يستخدم الدكتور هطيف طعوماً عظمية (Bone Grafts) لملء الفراغ.




6. الإغلاق الدقيق للجرح
يتم إغلاق الجرح بطبقات متعددة باستخدام خيوط دقيقة جداً لضمان التئام تجميلي وسليم. يتم وضع أنبوب تصريف (Drain) لمنع تجمع الدم، ثم تُلف القدم بضمادة مبطنة ناعمة.


صور إضافية من داخل غرفة العمليات توضح دقة الإجراء
توضح الصور التالية مدى تعقيد الجراحة والدقة التي يتطلبها تثبيت عظم الكعب، والتي يعكسها التميز الجراحي للأستاذ الدكتور محمد هطيف:









جدول: مراحل التأهيل والعلاج الطبيعي ما بعد الجراحة
الجراحة الناجحة هي نصف العلاج، النصف الآخر يعتمد بالكامل على الالتزام ببرنامج التأهيل. يضع الدكتور هطيف خطة صارمة لمرضاه:
| المرحلة الزمنية | الأهداف الطبية | التعليمات والقيود |
|---|---|---|
| الأسابيع 1 - 2 | تقليل التورم، التئام الجرح، السيطرة على الألم. | ممنوع تحميل أي وزن نهائياً. رفع القدم باستمرار فوق مستوى القلب. حركة خفيفة لأصابع القدم. |
| الأسابيع 3 - 6 | استعادة المدى الحركي للمفصل، منع التيبس. | إزالة الغرز. البدء بحركات الكاحل (أعلى وأسفل، للداخل والخارج) بدون أوزان. الاستمرار في عدم تحميل الوزن. |
| الأسابيع 6 - 12 | التحميل التدريجي للوزن، تقوية العضلات. | بناءً على صور الأشعة، يُسمح بتحميل وزن جزئي (25% ثم 50%) باستخدام العكازات وحذاء طبي واقي (CAM boot). |
| الأشهر 3 - 6 | استعادة المشي الطبيعي، التوازن، والعودة للأنشطة. | تحميل الوزن بالكامل. تمارين التوازن وتقوية عضلات الساق. العودة التدريجية للعمل المكتبي ثم البدني. |
| بعد 6 أشهر | العودة للحياة الطبيعية الكاملة. | يمكن ممارسة الرياضة الخفيفة، قد يستمر تحسن القدم لمدة تصل إلى عام كامل بعد الجراحة. |
كيف يتجنب الأستاذ الدكتور محمد هطيف المضاعفات المحتملة؟
أي جراحة تحمل نسبة من المخاطر، ولكن مع جراح خبير، تنخفض هذه المخاطر إلى الحد الأدنى:
1. مشاكل التئام الجرح (Wound Complications): هي الخطر الأكبر في هذا النهج. يتجنبها الدكتور هطيف عبر الانتظار حتى يزول التورم قبل الجراحة، واستخدام تقنية "عدم اللمس" للأنسجة، والخياطة التجميلية الدقيقة.
2. التهاب المفصل التنكسي (Post-traumatic Arthritis): يحدث إذا
كسور العظام المعقدة وإصابات الحوادث ليس قدراً محتوماً! التشخيص الدقيق والعلاج المتخصص يمكن أن يعيد لك كامل وظيفتك وحريتك في الحركة. لا تدع الألم يسيطر على حياتك.
للحصول على استشارة دقيقة وخطة علاجية مخصصة لحالتك، تواصل فوراً مع مركز الأستاذ الدكتور محمد هطيف:
الأستاذ الدكتور محمد هطيف - أفضل دكتور عظام في صنعاء، وخبير في جراحات الكسور المعقدة وإنقاذ الأطراف.. نلتزم بإعادتك لحياة خالية من الألم وعظام قوية وملتئمة.
مواضيع أخرى قد تهمك