قطع العظم فوق الكاحل بالتثبيت الخارجي تصحيح تشوهات الساق البعيدة مع الأستاذ الدكتور محمد هطيف

الخلاصة الطبية
جراحة قطع العظم فوق الكاحل بالتثبيت الخارجي هي إجراء جراحي متخصص لتصحيح تشوهات عظم الساق البعيدة، مثل التقوس أو الانحراف، بهدف استعادة المحاذاة الطبيعية وتحسين وظيفة المفصل. يتم العلاج عبر قطع دقيق للعظم وتطبيق مثبت خارجي يسمح بالتصحيح التدريجي.
الخلاصة الطبية الشاملة: ثورة تصحيح تشوهات الساق بالكاحل
تُعد جراحة قطع العظم فوق الكاحل بالتثبيت الخارجي (Supramalleolar Osteotomy with External Fixation) واحدة من أكثر الإجراءات الجراحية تعقيدًا وتطورًا في عالم جراحة العظام الحديثة. إنها ليست مجرد عملية جراحية تقليدية، بل هي هندسة حيوية دقيقة تهدف إلى إعادة بناء وتصحيح تشوهات عظم الساق البعيدة (الظنبوب والشظية)، سواء كانت تلك التشوهات متمثلة في التقوس للداخل، الانحراف للخارج، قصر الطرف، أو الدوران غير الطبيعي. الهدف الأسمى من هذا الإجراء هو استعادة المحاذاة الميكانيكية الطبيعية للطرف السفلي، إنقاذ مفصل الكاحل من التآكل المبكر (الخشونة)، وتحسين الوظيفة الحركية للمريض بشكل جذري. يتم تنفيذ هذا الإجراء عبر إحداث قطع عظمي دقيق بأقل تدخل جراحي (Percutaneous)، يليه تطبيق نظام تثبيت خارجي متطور يسمح بالتصحيح التدريجي ثلاثي الأبعاد.


مقدمة شاملة عن تشوهات الساق البعيدة وأهمية التدخل الجراحي
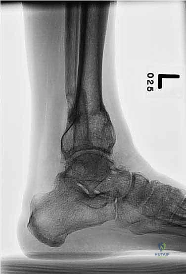
تعتبر تشوهات الجزء السفلي من الساق (المنطقة القريبة من مفصل الكاحل) من التحديات الطبية الكبرى التي تواجه أطباء جراحة العظام. هذه المنطقة تتحمل العبء الأكبر من وزن الجسم أثناء الوقوف والمشي، وأي اختلال في زاويتها أو محورها يؤدي إلى توزيع غير متكافئ للضغط على غضاريف مفصل الكاحل.
هذا التوزيع غير المتكافئ هو السبب الرئيسي والأول للإصابة بخشونة مفصل الكاحل المبكرة (Ankle Osteoarthritis)، والتي تترافق مع آلام مبرحة، تورم مزمن، وإعاقة حركية شديدة تؤثر على أبسط أنشطة الحياة اليومية للمريض.

تاريخياً، كانت خيارات العلاج لهذه الحالات محدودة، وغالباً ما كانت تنتهي بإجراء جراحة "دمج مفصل الكاحل" (Ankle Arthrodesis)، والتي تقضي على الألم ولكنها تلغي حركة المفصل تماماً. ومع التطور المذهل في الميكانيكا الحيوية وفهم بيولوجيا التئام العظام، برزت جراحة قطع العظم فوق الكاحل (SMO) كطوق نجاة يحافظ على المفصل الطبيعي ويعيد هيكلة الساق بشكل مثالي.
في اليمن، يقود الأستاذ الدكتور محمد هطيف، استشاري جراحة العظام والمفاصل والعمود الفقري، مسيرة الريادة في هذا التخصص الدقيق. بفضل خبرته التي تتجاوز العقدين من الزمن، واعتماده على أحدث التقنيات العالمية، يقدم الدكتور هطيف في العاصمة صنعاء مستوى من الرعاية الطبية يضاهي أرقى المراكز العالمية، مما يمنح الأمل لآلاف المرضى الذين يعانون من تشوهات معقدة.


التشريح الجراحي الدقيق للساق البعيدة ومفصل الكاحل
لفهم عبقرية جراحة قطع العظم فوق الكاحل، يجب أولاً الغوص في التفاصيل التشريحية المعقدة لهذه المنطقة الحيوية. لا يمكن لأي جراح أن ينجح في هذا الإجراء دون إلمام عميق بالتشريح ثلاثي الأبعاد للساق.
1. الهيكل العظمي (Bony Anatomy)
تتكون الساق من عظمتين رئيسيتين:
* عظمة الظنبوب (Tibia): هي العظمة الكبرى التي تتحمل حوالي 90% من وزن الجسم. الجزء السفلي منها (Pilon) يشكل السقف والجدار الداخلي لمفصل الكاحل (الكعب الداخلي - Medial Malleolus).
* عظمة الشظية (Fibula): هي العظمة الأصغر والأكثر نحافة، وتقع في الجهة الخارجية للساق. تلعب دوراً حاسماً في استقرار مفصل الكاحل وتشكل الكعب الخارجي (Lateral Malleolus).

المنطقة المستهدفة في هذه الجراحة هي "الميتافيزيس" (Metaphysis)، وهي المنطقة الانتقالية بين جسم العظمة الأنبوبي الصلب والنهاية الإسفنجية المتسعة للعظمة. تتميز هذه المنطقة بتروية دموية ممتازة، مما يجعلها المكان المثالي لقطع العظم وضمان التئامه السريع.

2. الأربطة والمفاصل (Ligaments and Syndesmosis)
يرتبط الظنبوب والشظية معاً في الأسفل بواسطة مجموعة من الأربطة القوية جداً تُعرف باسم "المرتبط الظنبوبي الشظوي" (Tibiofibular Syndesmosis). أي تغيير في طول أو زاوية إحدى العظمتين دون الأخرى سيؤدي إلى تمزق هذه الأربطة أو خلع المفصل. لذلك، في معظم حالات قطع العظم فوق الكاحل، يجب إجراء قطع متزامن في عظمة الشظية للسماح للساق بالتحرك والتصحيح كوحدة واحدة.

3. الأوعية الدموية والأعصاب (Neurovascular Structures)
الجزء السفلي من الساق محاط بشبكة معقدة من الأوردة، الشرايين، والأعصاب التي تغذي القدم. من أهمها:
* الشريان الظنبوبي الأمامي (Anterior Tibial Artery).
* الشريان الظنبوبي الخلفي (Posterior Tibial Artery).
* العصب الشظوي السطحي والعميق (Superficial and Deep Peroneal Nerves).
* العصب الربلي (Sural Nerve).

تكمن براعة الجراح، وهنا تتجلى خبرة الأستاذ الدكتور محمد هطيف في الجراحة الميكروسكوبية، في القدرة على إدخال أسلاك التثبيت الخارجي (Wires and Half-pins) عبر الجلد والعظام دون إحداث أي ضرر لهذه الهياكل الحيوية الدقيقة.


الأسباب العميقة لتشوهات الساق البعيدة
لا تحدث تشوهات الساق من فراغ، بل هي نتيجة لعوامل متعددة قد تكون حاضرة منذ الولادة أو مكتسبة خلال مراحل الحياة المختلفة. فهم السبب الجذري هو الخطوة الأولى نحو وضع خطة تصحيح ناجحة.
1. الأسباب الناتجة عن الإصابات والكسور (Post-Traumatic Causes)
وهي السبب الأكثر شيوعاً في العيادات. عندما يتعرض المريض لكسر في أسفل الساق (مثل كسور الكاحل المعقدة أو كسور البيلون) ولا يتم علاجه بشكل صحيح، يلتئم العظم في وضعية خاطئة. هذا يُعرف بـ "سوء الالتحام" (Malunion).
* التحام في وضعية التقوس (Varus Malunion).
* التحام مع قصر في طول الساق.
* إصابة مراكز النمو لدى الأطفال (Physeal Arrest) نتيجة كسر، مما يؤدي إلى توقف نمو جزء من العظمة واستمرار نمو الجزء الآخر، لينتج عن ذلك تشوه زاوي متزايد مع نمو الطفل.

2. الأسباب الخلقية (Congenital Deformities)
يولد بعض الأطفال بتشوهات في تكوين العظام، مثل:
* نقص تنسج الشظية (Fibular Hemimelia).
* مرض القوس الظنبوبي الخلقي (Congenital Pseudarthrosis of the Tibia).
* القدم الحنفاء المعقدة غير المعالجة والتي تؤثر على عظام الساق.

3. الأمراض الأيضية واضطرابات العظام (Metabolic and Bone Disorders)
- الكساح (Rickets): نقص فيتامين د والكالسيوم في مرحلة الطفولة يؤدي إلى ليونة العظام وتقوسها الشديد تحت تأثير وزن الطفل.
- مرض باجيت (Paget's Disease): يؤدي إلى تضخم وضعف العظام.
- تكون العظم الناقص (Osteogenesis Imperfecta): مرض جيني يسبب هشاشة العظام وتكرار الكسور والتشوهات.

4. العدوى والتهابات العظام (Osteomyelitis)
التهاب العظم والنقي، خاصة إذا أصاب مناطق النمو في سن مبكرة، يمكن أن يدمر الخلايا المسؤولة عن بناء العظم، مما يؤدي إلى تشوهات حادة مصحوبة بنقص في الطول وتندب شديد في الأنسجة الرخوة. في هذه الحالات تحديداً، يكون التثبيت الخارجي هو الخيار الآمن الوحيد، حيث يمنع التثبيت الداخلي (الشرائح والمسامير) لتجنب تنشيط البكتيريا الكامنة.


أنواع التشوهات الميكانيكية في الساق البعيدة
التشوه نادراً ما يكون بسيطاً أو في اتجاه واحد. العظام هياكل ثلاثية الأبعاد، والتشوه غالباً ما يكون مركباً. يقوم الأستاذ الدكتور محمد هطيف بتحليل هذه التشوهات بدقة رياضية متناهية:
- التقوس للداخل (Varus Deformity): انحراف مفصل الكاحل والقدم نحو الداخل. يؤدي إلى ضغط هائل على الجزء الداخلي من غضروف الكاحل.
- التقوس للخارج (Valgus Deformity): انحراف مفصل الكاحل والقدم نحو الخارج. يؤدي إلى تمدد الأربطة الداخلية وتآكل الغضروف الخارجي.
- التقوس الأمامي (Procurvatum): انحناء العظمة بحيث يكون التحدب للأمام.
- التقوس الخلفي (Recurvatum): انحناء العظمة بحيث يكون التحدب للخلف.
- الدوران غير الطبيعي (Malrotation): التواء العظمة حول محورها الطولي، مما يجعل القدم تتجه للداخل (Pigeon-toed) أو للخارج بشكل مفرط أثناء المشي.
- القصر (Shortening): اختلاف في طول الساقين (Leg Length Discrepancy)، مما يسبب عرجة ومشاكل في الحوض والعمود الفقري.


الأعراض السريرية: متى يجب عليك زيارة الطبيب؟
المرضى الذين يحتاجون إلى جراحة قطع العظم فوق الكاحل غالباً ما يعانون من مجموعة من الأعراض المزعجة التي تتفاقم مع مرور الوقت:
- ألم مزمن في مفصل الكاحل: يزداد مع الوقوف والمشي ويقل مع الراحة.
- تشوه مرئي (Visible Deformity): انحراف واضح في شكل الساق أو الكاحل يمكن ملاحظته بالعين المجردة.
- عرجة أثناء المشي (Limping): ناتجة إما عن الألم، أو قصر الطرف، أو الميكانيكا غير الطبيعية للمفصل.
- صعوبة في ارتداء الأحذية العادية: بسبب الانحراف أو التورم.
- تيبس في مفصل الكاحل: فقدان القدرة على تحريك القدم للأعلى والأسفل بحرية.
- ألم في الركبة أو أسفل الظهر: كأعراض ثانوية ناتجة عن محاولة الجسم التعويض عن الخلل في الساق والمشية غير المتوازنة.


الأستاذ الدكتور محمد هطيف: المرجعية الأولى في جراحة العظام في اليمن
عندما يتعلق الأمر بجراحات معقدة مثل تصحيح التشوهات بالتثبيت الخارجي، فإن اختيار الجراح هو العامل الأكثر حسماً في نجاح العلاج. في اليمن، يبرز اسم الأستاذ الدكتور محمد هطيف كعلامة فارقة في هذا التخصص الدقيق.

لماذا يعتبر أ.د. محمد هطيف الخيار الأول؟
- المكانة الأكاديمية المرموقة: يحمل درجة "أستاذ دكتور" (Professor) في جراحة العظام بجامعة صنعاء، وهو أعلى لقب أكاديمي يعكس غزارة علمه وإسهاماته البحثية في تطوير جراحة العظام محلياً وإقليمياً.
- خبرة تتجاوز 20 عاماً: أجرى آلاف العمليات الجراحية الناجحة، بدءاً من الكسور البسيطة وصولاً إلى أعقد حالات التشوهات الخلقية وإصابات الحروب التي تتطلب إعادة بناء شاملة للأطراف.
- إتقان التقنيات الحديثة: الدكتور هطيف ليس مجرد جراح تقليدي؛ فهو خبير في التخصصات الدقيقة التي تدعم جراحة التشوهات، بما في ذلك:
- الجراحة الميكروسكوبية (Microsurgery): للتعامل مع الأوعية الدموية والأعصاب الدقيقة.
- مناظير المفاصل بتقنية 4K (Arthroscopy): لعلاج مشاكل المفصل من الداخل بأقل تدخل.
- المفاصل الصناعية (Arthroplasty): مما يمنحه رؤية شاملة لكيفية الحفاظ على المفاصل الطبيعية لمنع الوصول لمرحلة الاستبدال.
- الأمانة الطبية الصارمة: يُعرف الدكتور هطيف في الأوساط الطبية وبين مرضاه بالشفافية المطلقة. لا يوصي بالجراحة إلا إذا كانت هي الخيار الأمثل والوحيد للمريض، ويشرح بدقة كافة المخاطر والفوائد والبدائل المتاحة، مما يبني جسراً من الثقة العميقة مع مرضاه.
- التميز في التثبيت الخارجي (Ilizarov & TSF): يمتلك الدكتور هطيف مهارة استثنائية في استخدام أجهزة التثبيت الخارجي الدائرية (مثل جهاز إليزاروف وجهاز تايلور المكاني)، وهي أجهزة تتطلب عقلاً هندسياً وحسابات رياضية دقيقة لضمان تصحيح العظم بالمليمتر والدرجة.


التشخيص والتخطيط الجراحي الدقيق (Preoperative Planning)
النجاح في جراحة قطع العظم فوق الكاحل يحدث قبل دخول غرفة العمليات. يعتمد الأستاذ الدكتور محمد هطيف على بروتوكول تشخيصي وتخطيطي صارم لضمان دقة النتائج.
1. التصوير الإشعاعي المتقدم
لا يكتفي الطبيب بصورة أشعة عادية. يتطلب التخطيط:
* أشعة سينية طولية للطرفين السفليين أثناء الوقوف (Standing Long-Leg X-rays): هذه هي الصورة الأهم. تسمح للطبيب برؤية محور الساق بالكامل من مفصل الورك، مروراً بالركبة، وصولاً إلى الكاحل.
* الأشعة المقطعية (CT Scan) مع إعادة البناء ثلاثي الأبعاد: ضرورية جداً لتقييم الدوران غير الطبيعي للعظمة (Malrotation) وفهم شكل التشوه في الأبعاد الثلاثة.
* الرنين المغناطيسي (MRI): يُستخدم لتقييم حالة غضاريف مفصل الكاحل، الأربطة، والأوتار المحيطة.

2. التخطيط الهندسي الميكانيكي (CORA Method)
يستخدم الدكتور هطيف برامج حاسوبية متخصصة لتحديد ما يُعرف بـ مركز الدوران والانحراف (CORA - Center of Rotation and Angulation).
* يتم رسم خطوط المحور الميكانيكي والتشريحي للعظمة السليمة ومقارنتها بالعظمة المشوهة.
* نقطة تقاطع هذه الخطوط هي نقطة CORA.
* يتم حساب زوايا المفصل بدقة (مثل LDTA - Lateral Distal Tibial Angle و MDTA - Medial Distal Tibial Angle).
* بناءً على هذه الحسابات، يقرر الجراح مكان قطع العظم بدقة، زاوية التصحيح المطلوبة، ومقدار التطويل إذا لزم الأمر.


فلسفة جراحة قطع العظم فوق الكاحل: لماذا هذا الموقع؟
كما ذُكر في الخلاصة الأولية، فإن اختيار مكان قطع العظم (Osteotomy Site) ليس عشوائياً. الفلسفة الأساسية التي يتبناها الجراحون الخبراء مثل الدكتور هطيف تعتمد على مبادئ بيولوجية وميكانيكية صارمة:
لماذا يتم القطع فوق الكاحل بحوالي 5 سم؟
1. الابتعاد عن العظم المتصلب (Sclerotic Bone): في نقطة التشوه القصوى (قمة التشوه الحقيقية)، غالباً ما يكون العظم كثيفاً جداً وضعيف التروية الدموية بسبب الإجهاد الميكانيكي المزمن. القطع في هذا المكان يؤدي إلى تأخر في الالتئام (Delayed Union) أو عدم الالتئام (Non-union).
2. استغلال منطقة الميتافيزيس الغنية بالدم: بنقل موقع القطع قليلاً إلى الأعلى (حوالي 5 سم فوق المفصل)، يتم القطع في منطقة ذات نسيج إسفنجي غني بالخلايا الجذعية والأوعية الدموية، مما يضمن التئاماً سريعاً وقوياً جداً وتكويناً ممتازاً للعظم الجديد (Regenerate Bone).
3. المساحة الكافية لتثبيت المسامير: يجب ترك مساحة كافية من العظم السليم بين مفصل الكاحل ومكان القطع لتثبيت أسلاك ومسامير المثبت الخارجي بقوة دون اختراق كبسولة المفصل.


الخيارات العلاجية لتشوهات الساق (لماذا التثبيت الخارجي؟)
لإعطاء صورة واضحة للمرضى، نقدم هذه المقارنة التفصيلية بين الخيارات المتاحة لعلاج تشوهات الساق البعيدة:
جدول مقارنة: خيارات علاج تشوهات الساق البعيدة
| وجه المقارنة | العلاج التحفظي (بدون جراحة) | الجراحة بالتثبيت الداخلي (شرائح ومسامير) | الجراحة بالتثبيت الخارجي (طريقة د. هطيف المفضلة للتشوهات المعقدة) |
|---|---|---|---|
| آلية العلاج | أحذية طبية، دعامات، علاج طبيعي ومسكنات. | قطع العظم وتثبيته فوراً في الوضع الصحيح باستخدام شريحة معدنية داخلية. | قطع العظم وتركيب هيكل معدني خارجي متصل بالعظم بأسلاك، مع تصحيح تدريجي. |
| القدرة على تصحيح التشوهات | لا يصحح التشوه، بل يخفف الأعراض مؤقتاً فقط. | ممتاز للتشوهات البسيطة وذات البعد الواحد (مثل التقوس فقط). | استثنائي. يصحح التشوهات المعقدة، ثلاثية الأبعاد، ويعالج قصر الساق في نفس الوقت. |
| التأثير على الأنسجة الرخوة (الجلد) | لا يوجد تأثير. | يتطلب شقاً جراحياً كبيراً، مما قد يسبب مشاكل في التئام الجرح، خاصة إذا كان الجلد متضرراً مسبقاً. | أقل تدخل جراحي. يتم عبر ثقوب صغيرة، مما يحمي الجلد والأنسجة الرخوة والأوعية الدموية. |
| خطر العدوى (الالتهابات) | لا يوجد. | خطر وارد، وإذا حدث التهاب في الشريحة، يجب إزالتها وعمل جراحات متعددة. | خطر التهاب سطحي حول الأسلاك يمكن علاجه بسهولة بالمضادات الحيوية الموضعية والفموية. |
| القدرة على تعديل التصحيح بعد الجراحة | غير ممكن. | غير ممكن. إذا كان هناك خطأ، يتطلب جراحة أخرى. | ميزة حصرية. يمكن تعديل زوايا التصحيح يومياً في العيادة دون تخدير حتى الوصول للمثالية. |
| التحميل والمشي | مسموح. | يمنع المشي على الساق لعدة أسابيع أو أشهر حتى يلتئم العظم. | مسموح مبكراً. المريض يشجع على المشي والتحميل الجزئي على المثبت الخارجي، مما يسرع بناء العظم. |

كما يوضح الجدول، يتفوق التثبيت الخارجي في الحالات المعقدة، حالات ضعف الأنسجة الرخوة، وحالات قصر الأطراف المترافقة مع التشوه.

الخطوات التفصيلية لجراحة قطع العظم فوق الكاحل بالتثبيت الخارجي
الجراحة مع الأستاذ الدكتور محمد هطيف هي سيمفونية من الدقة المتناهية. إليك ما يحدث خطوة بخطوة:
المرحلة الأولى: التجهيز والتخدير
- يتم إدخال المريض إلى غرفة العمليات المجهزة بأحدث التقنيات.
- يتم تخدير المريض (غالباً تخدير نصفي - Spinal Anesthesia) لضمان عدم الشعور بالألم مع بقاء المريض واعياً وتجنب مضاعفات التخدير العام.
- يتم تعقيم الساق بالكامل ووضع المريض على طاولة عمليات شفافة للأشعة لتسهيل استخدام جهاز الأشعة المرئي (C-arm) أثناء الجراحة.

المرحلة الثانية: تركيب المثبت الخارجي (Frame Application)
قبل قطع العظم، يقوم الدكتور هطيف بتركيب الهيكل الخارجي (الإليزاروف أو الفريم الدائري).
1. يتم إدخال أسلاك دقيقة جداً (K-wires) ومسامير نصفية (Half-pins) عبر الجلد إلى العظم بدقة متناهية لتجنب الأعصاب والأوعية الدموية.
2. يتم تثبيت هذه الأسلاك في الحلقات المعدنية الخارجية. حلقة أو حلقتين فوق مكان القطع المخطط له، وحلقة تحته (في الجزء السفلي من الساق والقدم إذا لزم الأمر).
3. يتم التأكد من استقرار الهيكل الخارجي بالكامل.

المرحلة الثالثة: قطع عظمة الشظية (Fibular Osteotomy)
للسماح للظنبوب (العظمة الرئيسية) بالتحرك والتصحيح، يجب أولاً قطع عظمة الشظية. يتم ذلك عبر شق جراحي صغير جداً (حوالي 1-2 سم) في الثلث السفلي أو الأوسط من الساق.

المرحلة الرابعة: قطع العظم عبر الجلد (Percutaneous Tibial Osteotomy)
هنا تتجلى مهارة الجراحة بأقل تدخل:
1. يُجري الدكتور هطيف

























آلام العظام والمفاصل وتقييد حركتها ليس قدراً محتوماً! التشخيص الدقيق والعلاج المتخصص يمكن أن يعيد لك كامل وظيفتك وحريتك في الحركة. لا تدع الألم يسيطر على حياتك.
للحصول على استشارة دقيقة وخطة علاجية مخصصة لحالتك، تواصل فوراً مع مركز الأستاذ الدكتور محمد هطيف:
الأستاذ الدكتور محمد هطيف - أفضل دكتور عظام في صنعاء، وخبير في جراحات العظام والمفاصل والعمود الفقري.. نلتزم بإعادتك لحياة خالية من الألم وحركة طبيعية.
مواضيع أخرى قد تهمك