المكتبة الطبية المتكاملة
Comprehensive Medical Guides
Welcome to the comprehensive medical library. Explore our complete guides and encyclopedias on orthopedic surgery, the spine, and joint conditions.
أحدث الأدلة الطبية
عرض 1 - 12 من أصل 203 دليل
6 فصل
ثقافة صحية
273
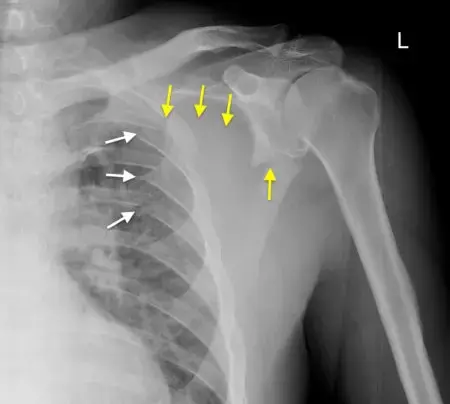
كسور لوح الكتف: تشخيص دقيق، علاج فعال، وتعافٍ أسرع!
5 فصل
طب وجراحة الركبة
223
كم سعر وتكلفة عملية مفصل الركبة باليمن؟ دليلك الشامل 2026
4 فصل
طب وجراحة الركبة
186
تلين غضروف الرضفة: اكتشف الأسباب، الأعراض، وكيفية العلاج الفعال
5 فصل
القدم والكاحل
177
آلام القدم المزمنة؟ اكتشف الأسباب والعلاج قبل فوات الأوان
24 فصل
طب وجراحة الركبة
165