SCFE Fixation: Mastering In Situ Cannulated Screw Techniques
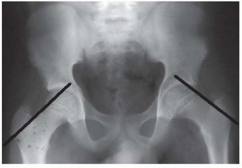
Percutaneous In Situ Cannulated Screw Fixation of the Slipped Capital Femoral Epiphysis DEFINITION Slipped ca…
SURGICAL TECHNIQUES PEDIATRIC
Percutaneous In Situ Cannulated Screw Fixation of the Slipped Capital Femoral Epiphysis DEFINITION Slipped ca…
Surgical Treatment of Cavus Foot DEFINITION A cavus foot deformity in children develops from muscle imbalance…
Triple Arthrodesis DEFINITION Triple arthrodesis involves fusion of the talocalcaneal, calcaneocuboid, and ta…
Treatment of Anterior Femoroacetabular Impingement through Mini-Open Anterior Approach DEFINITION Femoroaceta…
Split Posterior Tibial Tendon Transfer DEFINITION The equinovarus deformity involves hindfoot equinus and var…
Ponseti Casting DEFINITION Clubfoot, also known as congenital talipes equinovarus , occurs in approximately 1…
Anterior Tibialis Transfer for Residual Clubfoot Deformity DEFINITION The incidence of residual deformity in …
Open Lengthening of the Achilles Tendon DEFINITION Shortening of the Achilles tendon, gastrocsoleus complex (…
Modified Dunn Procedure for Slipped Capital Femoral Epiphysis DEFINITION The modified Dunn procedure is an op…
Posteromedial and Posterolateral Release for the Treatment of Resistant Clubfoot DEFINITION Clubfoot, or tali…
Calcaneal Lengthening Osteotomy for the Treatment of Hindfoot Valgus Deformity DEFINITION Valgus deformity of…
Triple Innominate Osteotomy DEFINITION Triple innominate osteotomy (TIO) is a surgical procedure that include…