Pelvic Fixation: Better Outcomes for Patients with NMS
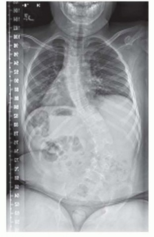
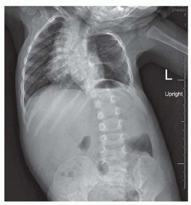
Pelvic Fixation for Neuromuscular Scoliosis DEFINITION Neuromuscular scoliosis (NMS) is a spinal deformity in…
SURGICAL TECHNIQUES PEDIATRIC
Pelvic Fixation for Neuromuscular Scoliosis DEFINITION Neuromuscular scoliosis (NMS) is a spinal deformity in…
Radial Dysplasia Reconstruction DEFINITION Radial dysplasia represents a spectrum of longitudinal deficiency …
Clinodactyly DEFINITION Clinodactyly refers to an abnormal about of radioulnar angulation of a digit (>15 deg…
Rib to Pelvis Vertical Expandable Prosthetic Titanium Rib Insertion to Manage Neuromuscular Scoliosis DEFINIT…
Posterior Cervical Arthrodeses: Occiput-C2 and C1-C2 DEFINITION The occipitocervical articulation is formed b…
Amniotic Band Syndrome DEFINITION Amniotic band syndrome is a nonhereditary congenital difference. The entire…
Anterior Approach for Open Reduction of the Developmentally Dislocated Hip DEFINITION Developmental dysplasia…
Opening Wedge Thoracoplasty and Vertical Expandable Prosthetic Titanium Rib Insertion for Congenital Scoliosi…
Preaxial and Postaxial Polydactyly DEFINITION Polydactyly refers to having greater than the normal number of …
Decompression, Posterolateral, and Interbody Fusion for High-Grade Spondylolisthesis DEFINITION Spondylolisth…
Hemivertebra Excision DEFINITION A hemivertebra is a congenital anomaly of the spine that forms during the 8t…
Spinal Fusion for Neuromuscular Scoliosis DEFINITION Neuromuscular diseases are heterogeneous between and wit…