Elbow Pain Relief: Ulnohumeral Outerbridge-Kashiwagi Arthroplasty
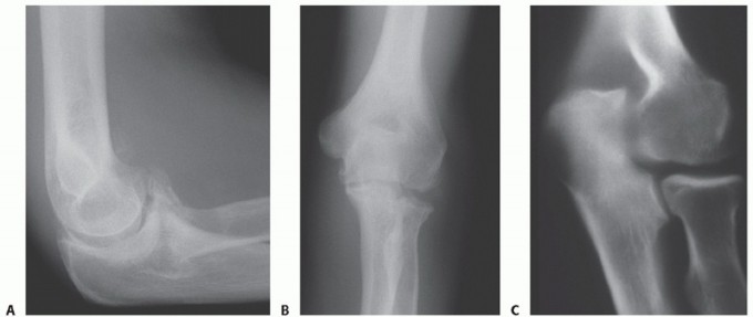
DEFINITION Primary osteoarthritis of the elbow is a relatively uncommon but disabling disorder that affects m…
SHOULDER AND ELBOW
DEFINITION Primary osteoarthritis of the elbow is a relatively uncommon but disabling disorder that affects m…
DEFINITION Brett D. Owens Joanna G. Branstetter Thomas P. Goss Intra-articular scapular fractures include fra…
DEFINITION Proximal humerus fractures involve isolated or combined injuries to the greater tuberosity, lesser…
DEFINITION Medial epicondylitis involves tendinosis at the origin of the flexor-pronator mass. It is commonly…
DEFINITION Symptomatic recurrent posterior instability represents up to 12% of all cases of shoulder instabil…
DEFINITION Posttraumatic conditions of the elbow represent a variety of disorders involving the elbow as a re…
ANATOMY Matt Noyes Edwin E. Spencer, Jr. Mean length of the distal biceps insertion is 22 to 24 mm and the me…
DEFINITION Fracture of the olecranon process is common, usually displaced, and nearly always treated operativ…
DEFINITION Extrinsic elbow contracture refers to elbow stiffness secondary to fibrosis, thickening, and, occa…
DEFINITION Subscapularis tears are less common than supraspinatus or infraspinatus tears. They occur in 2% to…
DEFINITION Displaced, comminuted fractures of the clavicle are at risk for nonunion and malunion 3 , 4 , 6 , …
DEFINITION Originally described in 1936 by Thomas18 and further defined by Thompson and Kopell19 in 1959, sup…