Total Hip Arthroplasty: Critical Steps Prior to Surgery
DEFINITION Total hip arthroplasty (THA) is one of the most successful operations performed today. 3 This elec…
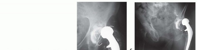
RECONSTRUCTION
DEFINITION Total hip arthroplasty (THA) is one of the most successful operations performed today. 3 This elec…
P ITFALLS Severe compromise of the soft tissue envelope, severe knee instability, and bone loss severe enough…
DEFINITION Resection arthroplasty and insertion of a spacer is used for the management of chronic deep peripr…
DEFINITION Bone loss and indications for the use of metallic augments in revision total knee arthroplasty (TK…
Indications Hinged total knee arthroplasty is utilized as a salvage procedure for complex primary or revision…
DEFINITION Obtaining adequate anterior exposure of the knee can be difficult using standard approaches during…
DEFINITION Extensor mechanism disruption following total knee arthroplasty (TKA) is a devastating complicatio…
Contraindications Contraindicated for patients with contralateral above-knee amputation. Relatively contraind…
Indications Proper rotational alignment of the prosthetic components is an important factor to achieve succes…
DEFINITION Pelvic discontinuity occurs when there is loss of continuity between the superior and inferior asp…
DEFINITION Hip reimplantation refers to the insertion of another prosthesis after removal of the original, in…
DEFINITION A fluted femoral stem is designed to provide diaphyseal rotational stability through multiple long…