Mastering Posterior Subtalar Joint Arthroscopy: What You Need to Know
DEFINITION The subtalar joint is a complex and functionally important joint of the lower extremity. It plays …
Foot and Ankle
DEFINITION The subtalar joint is a complex and functionally important joint of the lower extremity. It plays …
SURGICAL MANAGEMENT Preoperative Planning Imaging studies are reviewed. Physical examination should be done t…
DEFINITION The INBONE II (Wright Medical Technology, Memphis, TN) total ankle system, like other total ankle …
DEFINITION Ankle sprains are the most common athletic-associated in-jury: They represent up to 40% of all spo…
DEFINITION The HINTEGRA Total Ankle Prosthesis (Integra LifeSciences Corp., Plainsboro, NJ) is an unconstrain…
DEFINITION Pathology of the peroneal tendons may be due to a singular traumatic episode or recurrent ankle sp…
DEFINITION A surgical procedure in which the ankle and the subtalar joint are arthrodesed simultaneously ANAT…
DEFINITION Osteochondral lesions of the talus (OLT) are common conditions that can involve both the cartilage…
DEFINITION Lateral or posterior subtalar arthroscopy confers diagnostic and potentially therapeutic value in …
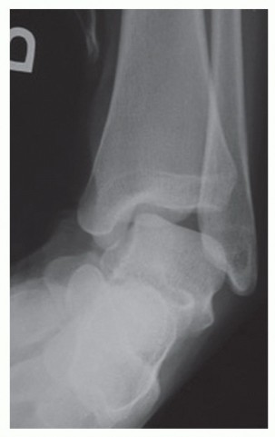
DEFINITION Pronation injuries of the ankle joint complex may result in a partial or complete disruption of th…
DEFINITION The term osteochondral lesion of the talus (OLT) refers to any pathology of the talar articular ca…
DEFINITION Tibiotalocalcaneal arthritis is formally defined as the loss of cartilage from both the tibiotalar…