Achilles Tendinitis Symptoms: What to Look For & How to Treat
Introduction: Achilles tendinitis is a common condition that affects the Achilles tendon, the thick band of t…
Foot and Ankle
Introduction: Achilles tendinitis is a common condition that affects the Achilles tendon, the thick band of t…
Introduction: Tarsal tunnel syndrome is a painful condition that occurs when the tibial nerve, which runs thr…
DEFINITION Forefoot varus is a component of the multiplanar pes planovalgus deformity that occurs as a result…
DEFINITION Because of their nature and deep location, posterior ankle problems pose a diagnostic and therapeu…
DEFINITION Lateral or posterior subtalar arthroscopy confers diagnostic and potentially therapeutic value in …
DEFINITION Lateral ankle sprains are the most common injury in sports, accounting for 15% to 20% of all athle…
SURGICAL MANAGEMENT Preoperative Planning Imaging studies are reviewed. Physical examination should be done t…
DEFINITION The term osteochondral lesion of the talus (OLT) refers to any pathology of the talar articular ca…
DEFINITION Posterior ankle impingement syndrome is a clinical disorder characterized by posterior ankle pain …
DEFINITION Achilles tendon ruptures typically occur about 2 to 6 cm proximal to the tendon's insertion site o…
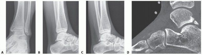
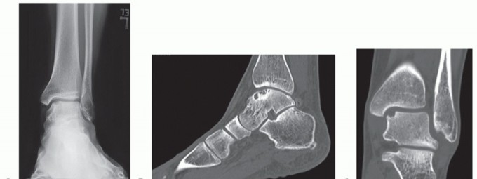
DEFINITION Tibiotalocalcaneal arthritis is formally defined as the loss of cartilage from both the tibiotalar…
DEFINITION Osteochondral lesions of the talus (OLT) are common conditions that can involve both the cartilage…