Proximal Closing Wedge Osteotomy: A Masterclass in Hallux Valgus Correction

Key Takeaway
This masterclass provides an exhaustive, real-time walkthrough of the proximal closing wedge osteotomy for symptomatic hallux valgus. Fellows will learn intricate surgical anatomy, precise intraoperative techniques, and critical pearls for optimal correction and fixation. We cover preoperative planning, patient positioning, detailed soft tissue release, meticulous osteotomy execution, and comprehensive postoperative care, ensuring a deep understanding of this foundational procedure.
Welcome, fellows, to the operating theater. Today, we're tackling a foundational procedure in forefoot surgery: the proximal closing wedge osteotomy for hallux valgus. This isn't just about moving bone; it's about restoring biomechanical alignment, relieving pain, and ensuring long-term function for our patients. Pay close attention, as we'll delve into the nuances of every step, from initial incision to final closure, emphasizing precision and sound surgical judgment.
Indications and Contraindications: Setting the Stage
Before we even consider making an incision, a thorough understanding of the indications and contraindications is paramount. This procedure is primarily reserved for a symptomatic hallux valgus deformity characterized by a first intermetatarsal angle (IMA) of 14 degrees or greater. It's crucial that the first metatarsocuneiform (MC) joint remains stable.
Evaluating First Metatarsocuneiform Joint Stability
How do we assess this stability, you ask? It's a combination of clinical examination and radiographic evaluation.
- Physical Examination: I want you to stabilize the medial cuneiform firmly with one hand. With your other hand, grasp the head of the first metatarsal and attempt to translate it superiorly and inferiorly. Excessive motion, particularly dorsiflexion, indicates instability.
- Radiographic Evaluation: We meticulously inspect weight-bearing AP views for joint incongruency and lateral views for any plantar widening of the MC joint space. If we identify instability, a Lapidus-type procedure, which fuses the MC joint, is often a more appropriate choice to address the root cause of the deformity.
Contraindications: Knowing When Not to Operate
Absolute contraindications for this specific osteotomy include:
- Advanced osteoarthritis of the first MTP joint: If the joint itself is severely arthritic, a realignment osteotomy will not alleviate the underlying pain and may even exacerbate it. In such cases, a fusion (arthrodesis) of the MTP joint is often the more predictable and durable solution.
- Skeletally immature patient: Given the very proximal nature of this osteotomy, performing it in a skeletally immature patient carries a significant risk of jeopardizing the growth plate of the first metatarsal, potentially leading to growth arrest or deformity.
Relative contraindications require careful patient selection and informed consent:
- Mild osteoarthritic changes in the first MTP joint: For an active individual who fully understands the potential for future MTP fusion, a corrective osteotomy may still be considered. It's about managing expectations and understanding the long-term trajectory.
- Inflammatory arthropathy (e.g., rheumatoid arthritis): With advances in medical management, a well-controlled inflammatory condition doesn't automatically preclude reconstructive hallux valgus surgery. However, the patient must be fully informed about the potential for disease progression and the impact on bone healing and hardware integrity.
Preoperative Planning: The Blueprint for Success
Effective preoperative planning is the cornerstone of a successful outcome. We evaluate a series of weight-bearing radiographs: AP and lateral views of the foot.
- Radiographic Analysis:
- Metatarsal Length: We assess the relative lengths of the metatarsals. Significant shortening of the first metatarsal can lead to transfer metatarsalgia postoperatively. While this osteotomy typically results in minimal shortening (average 0.98 mm), it's a factor to consider.
- Intermetatarsal Angle (IMA) and Hallux Valgus Angle (HVA): These are our primary measurements to quantify the deformity and guide the osteotomy's magnitude.
- Joint Congruency: We look for any subluxation or incongruity of the first MTP joint.
- Medial Eminence Size: This dictates the extent of our bunionectomy.
- Sesamoid Position: We note the lateral displacement of the sesamoids, which should ideally reduce with successful correction.
- Templating the Osteotomy: We routinely mark the proposed osteotomy directly on the radiograph. This allows us to visualize the wedge to be resected, its apex location, and the desired amount of correction. This mental rehearsal is invaluable.
FIG 1 • Line diagram showing the closing wedge osteotomy.
Patient Positioning and Anesthesia: Setting Up for Precision
For this procedure, we'll have the patient positioned supine on the operating table.
- Prophylactic Antibiotics: Our anesthesia colleagues have already administered prophylactic antibiotics, typically a first-generation cephalosporin, to minimize the risk of infection.
- Thigh Tourniquet: A pneumatic thigh tourniquet has been applied to the ipsilateral limb. We'll inflate this after exsanguination to provide a bloodless field, which is critical for precise dissection and osteotomy.
- Sandbag Placement: A small sandbag is placed under the ipsilateral buttock. This subtle maneuver helps to internally rotate the hip slightly, ensuring the foot points directly upward. This seemingly minor detail is crucial for maintaining proper osteotomy orientation and preventing inadvertent rotation of the metatarsal.
- Fluoroscopy Setup: The C-arm will be positioned to allow for easy AP and lateral views of the forefoot without repositioning the patient or the limb during the procedure. We'll perform a quick check now to ensure clear images.
Surgical Approach: Two Incisions, Comprehensive Access
We employ a two-incision approach for this procedure, allowing optimal access for both soft tissue release and bone work.
Incision 1: Dorsal First Web Space Incision
- Path: This incision begins in the dorsal first web space and extends proximally in a lazy-S curve towards the dorsal aspect of the first metatarsocuneiform joint. The lazy-S shape is important to avoid contracture of a straight incision and to accommodate the anatomical contours.
- Purpose: This incision provides excellent access for:
- Lateral release of the first MTP joint.
- Exposure of the proximal first metatarsal shaft for the closing wedge osteotomy.
Incision 2: Medial Midaxial Incision
- Path: This is a traditional midline longitudinal incision, extending from just proximal to the medial eminence to the base of the proximal phalanx, positioned directly over the first MTP joint.
- Purpose: This incision allows for:
- Medial capsulotomy.
- Medial eminence resection (bunionectomy).
- Medial capsular plication for stabilization.
Step-by-Step Intraoperative Execution: The Masterclass
Alright, fellows, let's scrub in. We've got our patient prepped and draped, tourniquet up. We're ready to begin.
1. Dorsal First Web Space Incision and Deep Dissection
"Alright team, let's make our first incision. I'll use a #15 blade for our dorsal first web space incision. We'll start distally in the web space, just proximal to the MTP joint, and gently curve proximally in that lazy-S fashion, heading towards the first metatarsocuneiform joint."
- Skin Incision: Make a clean, controlled incision through the skin.
- Subcutaneous Dissection: "Now, let's use blunt dissection with a pair of Metzenbaum scissors, carefully spreading through the subcutaneous tissue. Our primary goal here is to identify and protect the dorsal medial cutaneous nerve branch of the superficial peroneal nerve. This nerve often courses right through our field, and injury can lead to bothersome numbness or neuroma formation."
- Surgical Warning:
> NEUROVASCULAR RISK: Always be vigilant for the dorsal medial cutaneous nerve. Gentle retraction and careful blunt dissection along fascial planes are key. If identified, retract it safely out of the surgical field.
- Surgical Warning:
- Interval Identification: "Once we're through the subcutaneous layer, we'll deepen our dissection to expose the extensor tendons. We'll approach the dorsal metatarsal shaft through the interval between the extensor hallucis brevis (EHB) and the extensor hallucis longus (EHL) tendons. The EHL is the more prominent, central tendon. The EHB lies slightly more medially. Careful blunt dissection here will open up this interval."
- "Use two small, pointed retractors, such as Senn retractors or small army-navy retractors, to gently spread the EHB and EHL, providing clear exposure of the dorsal aspect of the first metatarsal shaft and its base."
2. Soft Tissue Release and Bunionectomy
Now, let's address the soft tissue components of the deformity.
A. Lateral Release of the First MTP Joint
"Through our dorsal first web space incision, we'll perform a standard lateral release of the first MTP joint. This is crucial for correcting the hallux valgus deformity by releasing the deforming forces."
- Adductor Hallucis Release: "First, using a #15 blade, we'll sharply release the tendinous insertion of the adductor hallucis muscle from its attachments to the fibular sesamoid and the lateral aspect of the proximal phalanx. We're not reattaching this structure proximally, as its deforming force is what we're trying to eliminate."
- Surgical Warning:
> PRECISION RELEASE: Ensure a complete release of the adductor hallucis tendon. Incomplete release can compromise the overall correction.
- Surgical Warning:
TECH FIG 1 • A. The adductor hallucis tendon is released off the proximal phalanx and fibula sesamoid. The suspensory ligaments of the fibula sesamoid are released. B. Medial capsulotomy and exostectomy.
* Suspensory Ligament Release: "Next, we'll release the suspensory metatarsal-sesamoid ligaments. These ligaments tether the fibular sesamoid laterally. A small Freer elevator or a curved mosquito clamp can help identify and release these under direct visualization."
* Lateral Capsular Release: "Finally, we'll make multiple sharp perforations in the lateral capsule at the joint line. Apply a gentle varus force to the hallux to tense the lateral capsule. This allows us to complete the capsular release, ensuring the joint can be realigned without undue tension."
* Surgical Pearl:
> VISUAL CONFIRMATION: After the lateral release, you should be able to easily distract the hallux laterally and achieve a more neutral alignment. If not, the release is incomplete.
B. Medial Bunionectomy and Capsular Plication
"Now, let's move to our medial midaxial incision for the medial eminence work."
- Skin Incision: "Make a clean, longitudinal incision through the skin, from just proximal to the medial eminence to the base of the proximal phalanx. Again, gentle blunt dissection through the subcutaneous tissue."
- Nerve Identification: "Be mindful of the dorsal medial cutaneous nerve branch, which can also be present on the medial side. Identify it and protect it with gentle retraction."
- Medial Capsulotomy: "Using a #15 blade, incise the medial capsule sharply in a longitudinal direction. This provides direct access to the medial eminence."
- Medial Eminence Resection (Exostectomy): "Expose the medial eminence fully. We'll use a small oscillating saw or an osteotome to resect the medial eminence. The key here is to resect it approximately 1 mm medial to the sagittal sulcus. This ensures adequate removal of the prominent bone without overresecting, which could lead to a postoperative varus deformity."
- Surgical Warning:
> AVOID OVERRESECTION: Overresection of the medial eminence is a common pitfall that can lead to iatrogenic hallux varus. Always aim for a conservative, yet adequate, resection.
- Surgical Warning:
3. Closing Wedge Osteotomy: The Bone Work
"With our soft tissue releases complete and the medial eminence resected, we're now ready for the main event: the proximal closing wedge osteotomy. This is where precision is paramount."
A. Extending the Incision and Exposure
"Let's go back to our dorsal first web space incision. We'll extend this proximally, following our lazy-S curve, towards the first metatarsocuneiform joint. This extension is crucial for adequate exposure of the metatarsal base."
TECH FIG 2 • A. The web space incision is extended proximally in a lazy-S shape toward the base of the first metatarsal. The extensor hallucis brevis is identified and protected. B. The first tarsometatarsal joint is localized to define the limit of the cut.
- Deepen Dissection: "Continue to deepen your dissection through the interval between the EHB and EHL, using our small pointed retractors to expose the dorsal and lateral aspects of the first metatarsal base. Ensure you have clear visualization of the entire area where the osteotomy will be performed."
B. Planning and Executing the Osteotomy Cuts
"Now, let's precisely plan our wedge resection. The proposed wedge will have its apex on the medial cortex, approximately 3 mm from the metatarsocuneiform joint. This proximity to the joint maximizes the corrective power while leaving a substantial proximal fragment for stable fixation. We want a large residual proximal fragment to ensure maximal contact area for healing and solid fixation."
- First (Proximal) Cut: "We'll begin with the proximal of the two osteotomy cuts. This cut must be perpendicular to the weight-bearing axis of the foot. Use a small oscillating saw with a narrow blade. Carefully position the blade to initiate the cut. As you saw, maintain continuous control. The critical technique here is to score the medial cortex but not penetrate it completely. This 'greenstick' fracture of the medial cortex allows us to maintain complete control of the osteotomy segments throughout the procedure. We'll confirm the position with fluoroscopy."
- Surgical Warning:
> MAINTAIN CONTROL: Scoring, not penetrating, the medial cortex is vital. Premature complete transection of the medial cortex can lead to loss of control, displacement, or an iatrogenic fracture.
- Surgical Warning:
TECH FIG 2 • A. The web space incision is extended proximally in a lazy-S shape toward the base of the first metatarsal. The extensor hallucis brevis is identified and protected. B. The first tarsometatarsal joint is localized to define the limit of the cut.
- Second (Distal) Cut: "Next, we'll make our second, more distal cut. This cut will converge with the proximal cut at the medial cortex, forming our wedge. The angle of this cut determines the amount of correction. Again, score the medial cortex, but do not penetrate it completely. Ensure the cuts are smooth and precise, leaving a clean wedge of bone."
TECH FIG 2 • A. The web space incision is extended proximally in a lazy-S shape toward the base of the first metatarsal. The extensor hallucis brevis is identified and protected. B. The first tarsometatarsal joint is localized to define the limit of the cut.
- Wedge Excision: "Once both cuts are complete, we'll carefully excise the lateral wedge-shaped wafer of bone. Use a small osteotome or a curette to gently free the segment. This leaves a defect on the lateral side of the metatarsal."
TECH FIG 2 • A. The web space incision is extended proximally in a lazy-S shape toward the base of the first metatarsal. The extensor hallucis brevis is identified and protected. B. The first tarsometatarsal joint is localized to define the limit of the cut.
- Compression and Reduction: "Now for the magic moment. Bring in a small towel clip or a bone reduction clamp. We'll apply gentle compression across the osteotomy site from lateral to medial. As we compress, you'll see the lateral defect close, and the intact, but weakened, medial cortex will 'greenstick' into place. This maneuver effectively reduces the IMA, correcting the hallux valgus deformity."
TECH FIG 2 • A. The web space incision is extended proximally in a lazy-S shape toward the base of the first metatarsal. The extensor hallucis brevis is identified and protected. B. The first tarsometatarsal joint is localized to define the limit of the cut.
TECH FIG 2 • A. The web space incision is extended proximally in a lazy-S shape toward the base of the first metatarsal. The extensor hallucis brevis is identified and protected. B. The first tarsometatarsal joint is localized to define the limit of the cut.
* Simulated Weight-Bearing Test: "At this point, we can perform a simulated weight-bearing test by applying axial load to the foot. Observe the stability of the osteotomy and the corrected alignment. This helps confirm we've achieved the desired correction."
C. Internal Fixation
"Once we're satisfied with the reduction and the IMA is optimized, we'll proceed with internal fixation. We'll use two 2.7-mm cortical screws (Synthes, Paoli, PA) inserted in a lag screw fashion from the lateral to the medial cortex."
- Drilling: "First, we'll drill our pilot holes. Use a 2.0mm drill bit for the gliding hole in the near (lateral) cortex, ensuring it's slightly larger than the screw diameter. Then, switch to a 1.8mm drill bit for the threaded hole in the far (medial) cortex. We want to ensure our screws are placed to achieve maximum compression across the osteotomy site."
- Surgical Pearl:
> FLUOROSCOPIC GUIDANCE: Use intermittent fluoroscopy to confirm drill bit trajectory and depth, ensuring you're not violating the joint or exiting the medial cortex prematurely.
- Surgical Pearl:
- Measuring and Tapping: "Measure the depth of the drill holes. For cortical screws, even self-tapping ones, I prefer to pre-tap the far cortex. This reduces the risk of iatrogenic fracture, especially in dense bone, and ensures optimal purchase."
- Screw Insertion: "Insert the two 2.7-mm cortical screws. Tighten them sequentially, observing the compression across the osteotomy. While the small size of the proximal fragment often doesn't allow both screws to be perfectly parallel to the osteotomy, this isn't critical because the primary compression has already been achieved with our reduction clamp."
TECH FIG 3 • A. Compression with the clamp “greensticks” the medial cortex. B, C. Two screws are inserted in a lag screw fashion. D. The capsule is repaired. The skin is closed.
TECH FIG 3 • A. Compression with the clamp “greensticks” the medial cortex. B, C. Two screws are inserted in a lag screw fashion. D. The capsule is repaired. The skin is closed.
* Final Fluoroscopic Check: "Before we close, let's get a final set of image intensification views. We need to confirm the reduction in the IMA, satisfactory placement of our screws, and the desired relocation of the sesamoids beneath the first metatarsal head. This is our last chance to ensure everything is perfect."
4. Medial Capsular Imbrication and Closure
"Now that our bone work is complete and stable, we'll return to the medial side for capsular imbrication."
- Medial Capsule Imbrication: "Using a strong absorbable suture, such as 2-0 Vicryl, we'll imbricate the medial capsule. Hold the hallux in a neutral or slightly abducted position as you perform this plication. This tightens the medial capsule, reinforces the correction, and helps prevent recurrence of the deformity."
Additional Intraoperative Imaging & Surgical Steps
REFERENCES
-
Mann RA, Rudicel S, Graves SC. Repair of hallux valgus with a distal soft-tissue procedure and proximal metatarsal osteotomy: a long-term follow-up. J Bone Joint Surg Am 1992;74A:124–129.
-
Trnka HJ, Muhlbauer M, Zembsch A, et al. Basal closing wedge osteotomy for correction of hallux valgus and metatarsus primus varus: 10to 22-year follow-up. Foot Ankle Int 1999;20:171–177.
-
Trnka H-J, Parks BG, Ivanic G, et al. Six first metatarsal shaft osteotomies: mechanical and immobilization comparisons. Clin Orthop Relat Res 2000;381:256–265.
-
Ruch JA, Banks AS. Proximal osteotomies of the first metatarsal in the correction of hallux abducto valgus. In: McGlamry ED, Banes AS, Downey MS, eds. Comprehensive Textbook of Foot Surgery. Baltimore: Williams & Wilkins, 1987:195–211.
-
Some studies have reported more shortening (average of 5 mm) with similar osteotomies, but this may be due to two factors: (1) a transverse rather than long oblique closing wedge osteotomy and (2) dorsiflexion malunion (which may make the metatarsal appear shorter on radiographic evaluation).
-
The stability of this osteotomy is not compromised even when correcting hallux valgus with a large intermetatarsal




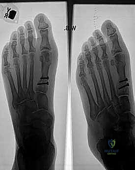
FIG 2 • A–D. Preoperative and postoperative radiographs.
You Might Also Like