جراحة شفرون البعيدة الممتدة: حل ثوري لتصحيح ورم إبهام القدم الأروح المعقد مع الأستاذ الدكتور محمد هطيف

الخلاصة الطبية
ورم إبهام القدم الأروح هو تشوه شائع ومؤلم. تُعد جراحة شفرون البعيدة الممتدة تقنية متقدمة لتصحيح هذا التشوه، حيث توفر استقرارًا عاليًا وتصحيحًا دائمًا، خاصة للحالات الأكثر تعقيدًا، تحت إشراف الأستاذ الدكتور محمد هطيف، الرائد في جراحة العظام في صنعاء.
الخلاصة الطبية الشاملة: يُعد ورم إبهام القدم الأروح (Hallux Valgus) تشوهاً ميكانيكياً حيوياً معقداً يتجاوز كونه مجرد مشكلة تجميلية، ليصبح مصدراً للألم المزمن والإعاقة الحركية. تُمثل "جراحة شفرون البعيدة الممتدة" (Extended Distal Chevron Osteotomy) طفرة علمية وتقنية متقدمة لتصحيح هذا التشوه من جذوره، حيث توفر استقراراً هيكلياً عالياً وتصحيحاً ثلاثي الأبعاد، مما يمنع الانتكاس ويضمن نتائج دائمة حتى في الحالات شديدة التعقيد. يتم إجراء هذه الجراحة الدقيقة تحت الإشراف المباشر والخبير من قبل الأستاذ الدكتور محمد هطيف، أستاذ جراحة العظام والمفاصل بجامعة صنعاء، والرائد الأول في جراحة العظام، والمناظير (Arthroscopy 4K)، والجراحات الميكروسكوبية في اليمن، والذي يجمع بين أكثر من 20 عاماً من الخبرة والأمانة الطبية المطلقة لتقديم رعاية صحية بمعايير عالمية.

مقدمة شاملة: ورم إبهام القدم وتصحيحه المتقدم في العصر الحديث
يُعد ورم إبهام القدم الأروح (Hallux Valgus)، المعروف في الأوساط الشعبية بـ "الوكعة" أو "عظمة القدم البارزة"، من أكثر تشوهات القدم والكاحل شيوعاً على مستوى العالم. هذا التشوه ليس مجرد نتوء عظمي يظهر على الجانب الداخلي للقدم، بل هو اضطراب حركي وميكانيكي متكامل يؤثر على بنية القدم بأكملها. يتسبب هذا التشوه في انحراف إبهام القدم (السلامية القريبة) نحو الأصابع الأخرى (نحو الجانب الوحشي)، بينما ينحرف العظم المشطي الأول في الاتجاه المعاكس (نحو الجانب الإنسي)، مما يؤدي إلى بروز رأس العظم المشطي الأول وتكوين الورم المؤلم.
لم يعد هذا التشوه مجرد مشكلة جمالية تؤرق النساء والرجال على حد سواء؛ بل يمكن أن يؤثر بشكل مدمر على جودة الحياة. فهو يسبب ألماً مبرحاً عند المشي، وصعوبة بالغة في ارتداء الأحذية العادية، وتأثيراً سلبياً على توازن القدم ووظيفتها الديناميكية. مع مرور الوقت، يمكن أن يؤدي هذا التشوه إلى مضاعفات خطيرة مثل التهاب المفاصل التنكسي (الخشونة)، وتداخل أصابع القدم (الأصابع المطرقة)، وتكون مسامير اللحم المؤلمة نتيجة التوزيع غير الطبيعي لوزن الجسم على باطن القدم.

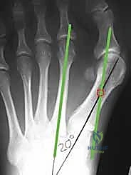
الصورة توضح مفهوم "التصحيح المثالي" لورم إبهام القدم، حيث يتم رسم خط موازٍ للعظم المشطي الثاني يلامس قاعدة العظم المشطي الأول. يساعد هذا التخطيط الدقيق الأستاذ الدكتور محمد هطيف في تحديد مكان ودرجة التحريك اللازمة للعظم المشطي بدقة متناهية.
على مر العقود، تطورت التقنيات الجراحية لتصحيح ورم إبهام القدم بشكل ملحوظ، منتقلة من مجرد "قص العظمة البارزة" (وهو إجراء أثبت فشله الذريع ويؤدي لعودة التشوه) إلى عمليات إعادة بناء هيكلية معقدة. ومن بين هذه التطورات المذهلة، تبرز "جراحة شفرون البعيدة الممتدة" (Extended Distal Chevron Osteotomy) كحل ثوري وذهبي، خاصة للحالات التي تتجاوز البساطة وتدخل في نطاق التعقيد التشريحي.
فبينما كانت جراحة شفرون التقليدية (Traditional Chevron) مخصصة للحالات الخفيفة إلى المتوسطة فقط نظراً لمحدودية قدرتها على إزاحة العظم، فإن النسخة "الممتدة" منها توسع نطاق استخدامها بشكل كبير لتشمل التشوهات الأكثر تحدياً. هذه التقنية المتقدمة، التي يتقنها ويطبقها باحترافية عالية الأستاذ الدكتور محمد هطيف في صنعاء، تعتمد على إطالة ذراع القص العظمي، مما يسمح بإزاحة جانبية أكبر لرأس العظم المشطي، وتصحيح زوايا التشوه المعقدة بثبات ميكانيكي غير مسبوق.

توضح هذه الصورة مدى الانحراف الشديد في مفصل إبهام القدم، وهو ما يستدعي تدخلاً جراحياً متقدماً مثل جراحة شفرون الممتدة لضمان عدم الانتكاس.

التشريح المعقد للقدم ودوره المحوري في ورم إبهام القدم
لا يمكن لأي جراح أن يصحح تشوهاً دون فهم عميق للتشريح ثلاثي الأبعاد. القدم البشرية هي تحفة من الهندسة الحيوية، تتكون من 26 عظمة، و33 مفصلاً، وأكثر من 100 عضلة ووتر ورباط. لفهم ورم إبهام القدم الأروح، يجب التركيز على ما يُعرف بـ "الشعاع الأول" (First Ray).
1. العظم المشطي الأول (First Metatarsal)
يتكون العظم المشطي الأول من عظم قوي وسميك يمتد من منتصف القدم (المفصل الرصغي المشطي) إلى قاعدة إبهام القدم (المفصل المشطي السلامي). يلعب رأس هذا العظم دوراً حاسماً في تحمل ما يقرب من 50% من وزن الجسم أثناء مرحلة الدفع (Toe-off) في دورة المشي. في حالة ورم إبهام القدم، ينحرف هذا العظم بعيداً عن باقي القدم، مما يضعف قدرة القدم على تحمل الوزن ويسبب الألم.
2. العظام السمسمانية (Sesamoid Bones)
أسفل المفصل المشطي السلامي الأول، توجد عظمتان صغيرتان بحجم حبة البازلاء تُعرفان باسم "العظمين السمسمانيين". وهما مدمجتان داخل أوتار عضلة قابضة الإبهام القصيرة. تعمل هاتان العظمتان كبكرات طبيعية، تعززان من قوة العضلة وتحميان الجانب السفلي لرأس العظم المشطي وتساعدان في امتصاص الصدمات.
في حالة ورم إبهام القدم الأروح، ينزلق العظم المشطي الأول عن هذه العظام السمسمانية (Subluxation)، مما يعطل الميكانيكا الطبيعية للمفصل ويؤدي إلى تآكل الغضاريف والألم الشديد. الهدف الأساسي للأستاذ الدكتور محمد هطيف في الجراحة هو إعادة العظم المشطي ليستقر تماماً فوق هذه العظام السمسمانية.

يظهر هنا كيف يؤدي انحراف العظم المشطي إلى خروج العظام السمسمانية عن مسارها الطبيعي، مما يسبب ألماً مبرحاً أسفل القدم ويستدعي تحريراً دقيقاً للأنسجة الرخوة أثناء الجراحة.
3. زاوية المفصل المشطي السلامي البعيدة (DMAA)
تُعد "الزاوية المفصلية المشطية البعيدة" (Distal Metatarsal Articular Angle - DMAA) عاملاً تشريحياً بالغ الأهمية في تقييم الحالات المعقدة. تمثل هذه الزاوية اتجاه السطح المفصلي (الغضروف) لرأس العظم المشطي بالنسبة لمحور العظم الطولي نفسه.
في الوضع الطبيعي، تكون هذه الزاوية محايدة أو مائلة قليلاً جداً نحو الخارج. ولكن في العديد من حالات ورم إبهام القدم، تكون هذه الزاوية مائلة بشكل مفرط. إذا قام الجراح بتعديل العظم دون تصحيح هذه الزاوية (وهو خطأ شائع لدى الجراحين غير المتخصصين)، فإن إبهام القدم سيظل مائلاً رغم استقامة العظمة، مما يؤدي إلى فشل الجراحة وعودة التشوه. جراحة شفرون البعيدة الممتدة مصممة خصيصاً لتصحيح هذه الزاوية (DMAA) بفعالية عالية.

الأسباب العميقة وعوامل الخطر المؤدية لورم إبهام القدم
ورم إبهام القدم ليس وليد اللحظة، بل هو نتيجة تراكمية لعدة عوامل تتفاعل معاً. من أهم هذه الأسباب:
- العامل الوراثي والجيني: يُعد الاستعداد الوراثي هو السبب الأول والأهم. أنت لا ترث الورم نفسه، بل ترث "شكل القدم" والميكانيكا الحيوية الضعيفة التي تؤدي إليه (مثل القدم المسطحة، أو مرونة الأربطة المفرطة).
- الأحذية غير الصحية: ارتداء الأحذية الضيقة من الأمام (المدببة) والأحذية ذات الكعب العالي لا يسبب الورم بشكل مباشر إذا لم يكن هناك استعداد وراثي، ولكنه يُسرّع بشكل كبير من ظهوره ويفاقم الألم والتشوه، حيث يجبر الكعب العالي وزن الجسم على الاندفاع نحو مقدمة القدم، بينما تقوم المقدمة المدببة بعصر الأصابع معاً.
- القدم المسطحة (Flat Feet): انخفاض قوس القدم يؤدي إلى عدم استقرار في مفاصل القدم أثناء المشي، مما يضع ضغطاً هائلاً على المفصل المشطي السلامي الأول، دافعاً إياه نحو الانحراف.
- الأمراض الروماتيزمية والالتهابية: مثل التهاب المفاصل الروماتويدي (Rheumatoid Arthritis) الذي يدمر الكبسولة المفصلية والأربطة، مما يؤدي إلى تشوهات شديدة وسريعة التطور في أصابع القدم.
- الإصابات والرضوض: التعرض لكسور أو التواءات شديدة في مفصل الإبهام قد يؤدي إلى اختلال التوازن العضلي والرباطي، مما يمهد الطريق لظهور التشوه.

تعتبر الأشعة السينية أثناء الوقوف (تحمل الوزن) أداة التشخيص الأساسية. يقوم الأستاذ الدكتور محمد هطيف بقياس زاوية (HVA) وزاوية (IMA) بدقة لتحديد الخطة الجراحية المناسبة.

الأعراض والمضاعفات: متى يجب التدخل الطبي؟
يبدأ ورم إبهام القدم عادةً بشكل تدريجي وغير ملحوظ، ولكنه يتطور ليصبح مشكلة تعيق الحياة اليومية. تشمل الأعراض والمضاعفات ما يلي:
- ألم مزمن: ألم نابض أو حارق في قاعدة إبهام القدم، يزداد سوءاً مع المشي أو الوقوف لفترات طويلة.
- تورم واحمرار: التهاب الجراب (Bursitis) فوق النتوء العظمي نتيجة الاحتكاك المستمر بالحذاء.
- تشوه مرئي: انحراف واضح لإبهام القدم، وبروز عظمي كبير.
- تصلب المفصل: فقدان القدرة على ثني أو فرد إبهام القدم بشكل طبيعي نتيجة بداية تآكل الغضاريف (الخشونة).
- تداخل الأصابع: في الحالات المتقدمة، ينحرف الإبهام لدرجة أنه يندس تحت أو فوق الإصبع الثاني، مما يؤدي إلى تشوه الإصبع الثاني (إصبع المطرقة).
- مسامير اللحم (Calluses): تكون طبقات جلدية سميكة ومؤلمة أسفل باطن القدم بسبب اختلال توزيع الوزن.
الأستاذ الدكتور محمد هطيف: المرجعية الأولى لجراحة العظام في اليمن
عندما يتعلق الأمر بجراحات القدم المعقدة والتي تتطلب دقة هندسية ومهارة يدوية فائقة، فإن اختيار الجراح هو العامل الحاسم بين النجاح الدائم والفشل المؤلم. يُعد الأستاذ الدكتور محمد هطيف الخيار الأمثل والمرجعية الطبية الأولى في اليمن في هذا التخصص الدقيق.
لماذا الأستاذ الدكتور محمد هطيف؟ (E-E-A-T)
- الدرجة الأكاديمية الرفيعة: أستاذ (بروفيسور) جراحة العظام والمفاصل بكلية الطب والعلوم الصحية - جامعة صنعاء. هذا يعني أنه ليس مجرد ممارس، بل باحث ومعلم للأجيال الطبية الجديدة.
- خبرة تتجاوز العقدين: أكثر من 20 عاماً من الخبرة العملية والجراحية في أعقد حالات العظام والمفاصل، مما أكسبه قدرة استثنائية على التعامل مع كافة المضاعفات والتحديات الجراحية.
- التكنولوجيا المتقدمة: رائد استخدام التقنيات الحديثة في اليمن، بما في ذلك الجراحات الميكروسكوبية الدقيقة، ومناظير المفاصل بتقنية (Arthroscopy 4K)، وعمليات تبديل المفاصل الصناعية (Arthroplasty).
- الأمانة الطبية الصارمة: يُعرف الأستاذ الدكتور محمد هطيف بمبدأه الراسخ في "الأمانة الطبية". فهو لا ينصح بالتدخل الجراحي إلا إذا كان هو الحل الأمثل والوحيد للمريض، ويشرح للمريض كافة الخيارات بتجرد وشفافية تامة.
- التقييم الشامل: لا يعالج الدكتور هطيف "الأشعة السينية"، بل يعالج "المريض". يتم تقييم الحالة الصحية العامة، نمط الحياة، وتوقعات المريض قبل اتخاذ أي قرار جراحي.

الدقة هي مفتاح النجاح. يوضح هذا التخطيط كيف يقوم الدكتور هطيف بحساب زوايا القص العظمي بالملليمتر قبل بدء الجراحة لضمان استعادة الميكانيكا الحيوية السليمة للقدم.
الخيارات العلاجية: متى نلجأ للعلاج التحفظي ومتى تجب الجراحة؟
الهدف من العلاج هو تخفيف الألم وتصحيح التشوه ومنع تطوره. ينقسم العلاج إلى تحفظي وجراحي.
جدول (1): مقارنة بين العلاج التحفظي والعلاج الجراحي لورم إبهام القدم
| وجه المقارنة | العلاج التحفظي (غير الجراحي) | العلاج الجراحي (جراحة شفرون الممتدة) |
|---|---|---|
| الهدف الأساسي | تخفيف الألم وإبطاء تطور التشوه. | تصحيح التشوه من جذوره وإزالة الألم نهائياً. |
| الحالات المناسبة | الحالات الخفيفة، أو المرضى الذين لا تسمح حالتهم الصحية بالجراحة. | الحالات المتوسطة إلى الشديدة، والألم المستمر الذي يعيق الحياة. |
| طرق العلاج | تغيير الأحذية (أحذية واسعة)، وضع دعامات السيليكون، النعال الطبية المخصصة، المسكنات، العلاج الطبيعي. | تدخل جراحي لقص وإعادة توجيه العظام وتثبيتها، وتحرير الأنسجة الرخوة. |
| تصحيح العظام | لا يصحح العظام. التشوه يبقى كما هو. | يصحح العظام ويعيدها لوضعها التشريحي الطبيعي. |
| النتائج على المدى الطويل | مؤقتة، وقد يزداد التشوه بمرور الوقت. | دائمة ومستقرة بفضل التثبيت الداخلي المتقدم. |
يؤكد الأستاذ الدكتور محمد هطيف أن العلاج التحفظي هو الخطوة الأولى دائماً، ولكن عندما يفشل في تخفيف الألم وتصبح جودة حياة المريض متأثرة بشدة، يصبح التدخل الجراحي ضرورة طبية وليست خياراً تجميلياً.

تجهيز القدم للعملية الجراحية. يتم رسم خطوط الشق الجراحي بعناية فائقة لتقليل الندبات وضمان الوصول الأمثل للمفصل.
التطور الجراحي: لماذا "جراحة شفرون البعيدة الممتدة"؟
لفهم أهمية هذه الجراحة، يجب أن نعرف كيف تطورت. جراحة "شفرون" الكلاسيكية سُميت بهذا الاسم لأن القص العظمي يكون على شكل حرف (V) اللاتيني أو شارة الرتبة العسكرية (Chevron). في الجراحة الكلاسيكية، يكون ذراع حرف الـ V قصيراً، مما يسمح بإزاحة العظمة لمسافة قصيرة فقط (مناسب للحالات البسيطة).
ولكن، ماذا لو كان التشوه كبيراً؟ هنا يأتي الإبداع الطبي في جراحة شفرون البعيدة الممتدة (Extended Distal Chevron).
في هذه التقنية، يقوم الجراح بإطالة الذراع السفلي (الأخمصي) لقصة حرف الـ V لتمتد بعيداً في جسم العظم المشطي. هذا التعديل الهندسي البسيط ولكنه عبقري يمنح الجراح مزايا هائلة:
1. إزاحة أكبر: يسمح بدفع رأس العظم المشطي لمسافة أطول نحو الداخل (تصل إلى 50% أو أكثر من عرض العظمة)، مما يصحح التشوهات الشديدة.
2. تصحيح زاوية DMAA: تتيح هذه التقنية إمالة رأس العظمة لتصحيح زاوية الغضروف المعوجة، وهو أمر بالغ الأهمية لمنع الانتكاس.
3. ثبات ميكانيكي هائل: الذراع الطويل للقص العظمي يوفر مساحة سطحية كبيرة لالتئام العظام، ويسمح باستخدام مسامير تثبيت (Screws) متعددة، مما يمنح ثباتاً مطلقاً ويسمح للمريض بالحركة المبكرة.

يبدأ الأستاذ الدكتور محمد هطيف بعمل شق جراحي دقيق على الجانب الداخلي للقدم، مع الحفاظ التام على الأعصاب والأوعية الدموية المحيطة.
الدليل الشامل: خطوات جراحة شفرون البعيدة الممتدة خطوة بخطوة
تُجرى هذه العملية تحت التخدير النصفي أو الموضعي مع التهدئة، وتستغرق عادةً من ساعة إلى ساعة ونصف. إليك تفاصيل الخطوات الدقيقة التي يجريها الأستاذ الدكتور محمد هطيف:
الخطوة الأولى: تحرير الأنسجة الرخوة الجانبية (Lateral Release)
قبل المساس بالعظام، يجب معالجة الأنسجة التي تشد الإبهام نحو الخارج. يتم عمل شق صغير جداً بين الإصبع الأول والثاني، ويقوم الدكتور هطيف بقطع الرباط المعلق للعظم السمسماني الجانبي وتحرير وتر العضلة المقربة للإبهام. هذه الخطوة تعيد التوازن العضلي للمفصل.
الخطوة الثانية: كشف المفصل وإزالة البروز العظمي
يتم عمل شق طولي على الجانب الداخلي للقدم. يتم فتح كبسولة المفصل بعناية، ثم يُستخدم منشار جراحي دقيق لإزالة النتوء العظمي البارز (الوكعة) وتسوية سطح العظم.

هذه هي اللحظة الحاسمة في العملية. يقوم الدكتور هطيف بإجراء القص العظمي على شكل حرف (V) ممتد. دقة زاوية القص هنا تحدد نجاح العملية بالكامل.
الخطوة الثالثة: القص العظمي الممتد (The Extended Osteotomy)
باستخدام منشار جراحي متذبذب دقيق جداً، يقوم الدكتور هطيف بعمل قطع عظمي على شكل حرف (V). يتميز هذا القطع بأن ذراعه السفلي يمتد طويلاً على طول محور العظم المشطي. يتم توجيه القطع بزوايا ثلاثية الأبعاد محسوبة مسبقاً لتجنب قصر إصبع القدم أو ارتفاعه عن الأرض بعد الجراحة.
الخطوة الرابعة: الإزاحة والتصحيح (Translation and Correction)
بمجرد اكتمال القطع، يتم إزاحة رأس العظم المشطي بحذر نحو الجانب الخارجي للقدم (لإغلاق الفجوة بين المشط الأول والثاني). في هذه المرحلة، يتم أيضاً تدوير رأس العظمة لتصحيح زاوية (DMAA) إذا لزم الأمر. يتم التأكد من استقرار العظام السمسمانية في مكانها الصحيح أسفل المفصل.

تُظهر الصورة كيف يتم دفع رأس العظم المشطي إلى مكانه التشريحي الصحيح، مما يقضي على الزاوية المرضية ويعيد للقدم استقامتها.
الخطوة الخامسة: التثبيت الداخلي القوي (Rigid Fixation)
لضمان عدم تحرك العظام أثناء فترة الالتئام، يتم تثبيت القص العظمي باستخدام مسامير تيتانيوم طبية متطورة (عادة مسمارين). تُستخدم مسامير ذات ضغط ذاتي وبدون رؤوس بارزة (Headless compression screws) بحيث تنغرس بالكامل داخل العظم ولا تسبب أي تهيج للأنسجة المجاورة، ولا تحتاج لإزالتها مستقبلاً.

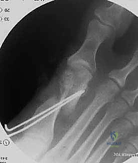
إدخال أسلاك التوجيه (K-wires) لتثبيت العظم مؤقتاً والتأكد من الوضعية الصحيحة باستخدام جهاز الأشعة السينية داخل غرفة العمليات (C-arm) قبل وضع المسامير النهائية.

المسامير التيتانيومية المتقدمة توفر ثباتاً هائلاً، مما يسمح للمريض بالبدء في تحميل الوزن على كعب القدم في وقت مبكر جداً بعد الجراحة.
الخطوة السادسة: شد الكبسولة المفصلية والإغلاق (Capsulorrhaphy)
بعد تثبيت العظم، تكون كبسولة المفصل الداخلية مرتخية. يقوم الدكتور هطيف بقص الجزء الزائد من الكبسولة وخياطتها بشد (Plication) لتعزيز استقامة إبهام القدم ومنع انحرافه مجدداً. أخيراً، يتم إغلاق الجلد بخياطة تجميلية دقيقة لتقليل الندبات، ووضع ضمادة ضاغطة خاصة تحافظ على وضعية الإصبع.
![إغلاق الأنسجة الرخوة والكبسولة المفصلية](/media/hutaif_opertive/hutaif-ch4-extending-the-i-p3557-f3c
آلام العظام والمفاصل وتقييد حركتها ليس قدراً محتوماً! التشخيص الدقيق والعلاج المتخصص يمكن أن يعيد لك كامل وظيفتك وحريتك في الحركة. لا تدع الألم يسيطر على حياتك.
للحصول على استشارة دقيقة وخطة علاجية مخصصة لحالتك، تواصل فوراً مع مركز الأستاذ الدكتور محمد هطيف:
الأستاذ الدكتور محمد هطيف - أفضل دكتور عظام في صنعاء، وخبير في جراحات العظام والمفاصل والعمود الفقري.. نلتزم بإعادتك لحياة خالية من الألم وحركة طبيعية.
مواضيع أخرى قد تهمك