إطالة مشط القدم الأول لعلاج إبهام القدم الأروح المرتجع: حل نهائي لآلام القدم المزمنة في صنعاء

الخلاصة الطبية
إطالة مشط القدم الأول هي جراحة متخصصة لعلاج قصر مشط القدم بعد عمليات إبهام القدم الأروح السابقة، والذي يسبب آلامًا مزمنة في مقدمة القدم. تهدف الجراحة إلى استعادة الطول الطبيعي لمشط القدم وتخفيف الضغط عن الأصابع الأخرى، ويشرف عليها في صنعاء الأستاذ الدكتور محمد هطيف لضمان أفضل النتائج.
الخلاصة الطبية السريعة: إطالة مشط القدم الأول هي جراحة دقيقة ومتخصصة لعلاج قصر مشط القدم الناتج عن فشل أو مضاعفات عمليات إبهام القدم الأروح (الوكعة) السابقة. يتسبب هذا القصر في خلل ميكانيكي حاد يؤدي إلى آلام مزمنة ومبرحة في مقدمة القدم (ألم مشط القدم المنتقل). تهدف هذه الجراحة التصحيحية إلى استعادة الطول التشريحي الطبيعي لمشط القدم، وإعادة توزيع الأحمال بشكل متوازن، وتخفيف الضغط عن الأصابع المجاورة. يُشرف على هذه العمليات المعقدة في صنعاء الأستاذ الدكتور محمد هطيف، أستاذ جراحة العظام والمفاصل بجامعة صنعاء، لضمان أعلى نسب النجاح واستعادة القدرة على المشي بدون ألم.
مرحباً بكم في الدليل الطبي الشامل والأكثر تفصيلاً حول الرعاية الطبية المتقدمة للقدم. نحن ندرك تماماً حجم المعاناة اليومية والقيود الحركية التي تسببها آلام القدم المزمنة، خاصة تلك التي تظهر بعد الخضوع لعمليات جراحية سابقة لم تكلل بالنجاح الكامل. إذا كنت تعاني من آلام حادة في مقدمة القدم، أو تشعر وكأنك "تمشي على حصى أو زجاج مكسور"، أو لاحظت قصراً واضحاً في إصبع قدمك الكبير وتشوهات في الأصابع المجاورة بعد جراحة سابقة لإبهام القدم الأروح، فإن هذه الصفحة مصممة خصيصاً لك لتكون خارطة طريق نحو الشفاء النهائي.
تعتبر جراحة إطالة مشط القدم الأول (First Metatarsal Lengthening) من التدخلات الجراحية المتقدمة التي تتطلب مهارة استثنائية وفهماً عميقاً للميكانيكا الحيوية للقدم. إنها ليست مجرد إجراء تجميلي لتعديل شكل الإصبع، بل هي عملية إعادة بناء شاملة تهدف إلى استعادة الوظيفة الأساسية للقدم وتخليص المريض من آلام قد تكون مقعدة وتمنعه من ممارسة أبسط نشاطاته اليومية.


الأستاذ الدكتور محمد هطيف: المرجعية الطبية الأولى في جراحة العظام في صنعاء
عندما يتعلق الأمر بجراحات القدم المعقدة والتصحيحية، فإن اختيار الجراح هو العامل الأهم الذي يحدد نجاح العملية. في العاصمة اليمنية صنعاء، يبرز اسم الأستاذ الدكتور محمد هطيف كعلامة فارقة ومرجعية علمية وطبية لا يُعلى عليها في مجال جراحة العظام والمفاصل.
بصفته أستاذاً في جامعة صنعاء، يجمع الدكتور هطيف بين العمق الأكاديمي والخبرة السريرية الواسعة التي تتجاوز العشرين عاماً في التعامل مع أعقد حالات تشوهات العظام والمفاصل. يتميز الدكتور هطيف بتطبيقه لأحدث البروتوكولات الطبية العالمية واستخدامه للتقنيات الجراحية المتطورة، بما في ذلك:
- الجراحة الميكروسكوبية الدقيقة (Microsurgery): لضمان الحفاظ على الأعصاب والأوعية الدموية الدقيقة في القدم.
- مناظير المفاصل بتقنية 4K (Arthroscopy 4K): للتشخيص والعلاج بأقل تدخل جراحي ممكن.
- جراحات استبدال المفاصل المتقدمة (Arthroplasty): باستخدام أحدث المفاصل الصناعية ذات العمر الافتراضي الطويل.
ما يميز عيادة الأستاذ الدكتور محمد هطيف ليس فقط التكنولوجيا المتقدمة، بل الأمانة الطبية المطلقة. يتم تقييم كل مريض بشفافية تامة، ولا يُتخذ قرار الجراحة إلا بعد استنفاد كافة الخيارات التحفظية والتأكد من أن الجراحة هي الحل الأمثل والوحيد لإنهاء معاناة المريض. إن التزامه بأعلى معايير الأخلاقيات الطبية جعله الوجهة الأولى لمرضى العظام في اليمن.


التشريح الميكانيكي الحيوي للقدم: لماذا يعتبر طول مشط القدم الأول حرجاً؟
لفهم العواقب الوخيمة لقصر مشط القدم الأول، يجب أن نتعمق في التشريح المعقد لمقدمة القدم. القدم البشرية هي تحفة هندسية تتكون من 26 عظمة، و33 مفصلاً، وأكثر من 100 وتر وعضلة ورباط، تعمل جميعها بتناغم مذهل لامتصاص الصدمات ودفع الجسم للأمام.
مشط القدم الأول: الركيزة الأساسية
يعتبر عظم مشط القدم الأول (First Metatarsal Bone) أقصر وأسمك وأقوى عظام الأمشاط الخمسة. وظيفته الأساسية هي تحمل الجزء الأكبر من وزن الجسم أثناء مرحلة الدفع (Toe-off) في دورة المشي. في الحالة الطبيعية، يحمل مشط القدم الأول حوالي 50% من وزن الجسم الساقط على مقدمة القدم، بينما تتوزع الـ 50% الأخرى على الأمشاط الأربعة المتبقية.

المفاصل الحيوية المرتبطة
- المفصل المشطي السلامي الأول (1st MTP Joint): وهو المفصل الذي يربط رأس مشط القدم الأول بالقاعدة السلامية لإصبع القدم الكبير. مرونة هذا المفصل وحركته الانسيابية ضرورية جداً للمشي الطبيعي.
- المفصل الرسغي المشطي (TMT Joint): يقع في قاعدة مشط القدم، واستقراره يمنع حدوث تشوهات إضافية في منتصف القدم.
العظام السمسمانية (Sesamoids) وآلية الرافعة (Windlass Mechanism)
توجد عظمتان صغيرتان تشبهان بذور السمسم أسفل رأس مشط القدم الأول. تعمل هذه العظام كبكرات للأوتار المثنية، مما يزيد من قوتها. تلعب هذه المنظومة دوراً حاسماً في ما يُعرف بـ "آلية الرافعة"، حيث يؤدي رفع إصبع القدم الكبير أثناء المشي إلى شد اللفافة الأخمصية (Plantar Fascia)، مما يرفع قوس القدم ويحولها إلى هيكل صلب قادر على دفع الجسم للأمام. أي قصر في مشط القدم يعطل هذه الآلية المعقدة تماماً.


فهم المشكلة: إبهام القدم الأروح المرتجع وقصر مشط القدم الأول
إبهام القدم الأروح (Hallux Valgus)، المعروف شعبياً بـ "الوكعة" أو "عظمة القدم البارزة"، هو تشوه شائع ينحرف فيه إصبع القدم الكبير نحو الأصابع الأخرى. تتطلب العديد من الحالات تدخلاً جراحياً لقص العظم (Osteotomy) وإعادة تقويمه.
كيف يحدث قصر مشط القدم؟
في بعض الأحيان، ونتيجة لتقنيات جراحية قديمة، أو استئصال جزء كبير من العظم لتصحيح تشوه شديد، أو بسبب مضاعفات مثل عدم التئام العظم بشكل صحيح، ينتهي الأمر بأن يصبح مشط القدم الأول أقصر من طوله التشريحي الطبيعي. حتى القصر الذي لا يتجاوز بضعة مليمترات يمكن أن يسبب كارثة ميكانيكية حيوية.

ألم مشط القدم المنتقل (Transfer Metatarsalgia): المعاناة الحقيقية
عندما يقصر مشط القدم الأول، فإنه يفقد الاتصال الفعال بالأرض ولا يعود قادراً على تحمل حصته من وزن الجسم (الـ 50%). نتيجة لذلك، ينتقل هذا الوزن الهائل بشكل مفاجئ وغير طبيعي إلى أمشاط القدم المجاورة (الثاني والثالث)، وهي عظام رفيعة وغير مصممة لتحمل هذا الضغط الشديد.
هذا التحميل الزائد يؤدي إلى:
1. ألم حاد ومزمن: تحت رؤوس الأمشاط الصغرى.
2. تكوّن مسامير لحم صلبة (Calluses): كرد فعل دفاعي من الجلد ضد الضغط المستمر.
3. تشوهات في الأصابع الصغرى: مثل إصبع القدم المطرقية (Hammertoe) نتيجة اختلال توازن الأوتار.
4. تمزق الأربطة الأخمصية (Plantar Plate Tear): مما قد يؤدي إلى خلع كامل للأصابع الصغرى.


الأعراض والعلامات التحذيرية: متى يجب زيارة أستاذ دكتور محمد هطيف؟
المرضى الذين يعانون من هذه الحالة يصفون مجموعة من الأعراض المزعجة التي تتطور تدريجياً وتصبح معيقة للحياة اليومية. إذا كنت قد خضعت لجراحة سابقة في إصبع القدم الكبير وبدأت تشعر بأي من هذه الأعراض، فإن التقييم الطبي المتخصص أصبح ضرورة ملحة.
جدول: الأعراض الشائعة ومؤشرات الخطورة
| العرض السريري | الوصف الدقيق | مستوى الخطورة | التأثير على الحياة اليومية |
|---|---|---|---|
| ألم تحت الأصابع الصغرى | ألم حارق أو شعور بوجود حصاة داخل الحذاء تحت الإصبع الثاني أو الثالث. | عالي | يمنع المشي لمسافات طويلة ويجعل الوقوف مؤلماً. |
| قصر ملحوظ في الإصبع الكبير | الإصبع الكبير يبدو أقصر بوضوح من الإصبع الثاني، ويتراجع للخلف. | متوسط إلى عالي | صعوبة في إيجاد أحذية مناسبة، خلل في التوازن. |
| ظهور مسامير لحم (Calluses) | سماكة جلدية قاسية ومؤلمة جداً أسفل باطن القدم (تحت الأمشاط الصغرى). | متوسط | ألم موضعي حاد عند الضغط عليها، تتطلب إزالة متكررة. |
| تشوه الأصابع المجاورة | التواء الإصبع الثاني أو الثالث ليصبح على شكل مطرقة أو مخلب. | عالي | احتكاك مستمر مع الحذاء، احتمالية تقرح الجلد. |
| ألم في مفصل الإصبع الكبير | تيبس وألم في المفصل الأساسي للإصبع الكبير (MTP) مع فقدان القدرة على ثنيه للأعلى. | عالي | يعيق مرحلة الدفع أثناء المشي بشكل كامل. |
| ارتجاع الوكعة | عودة البروز العظمي على جانب القدم مرة أخرى بعد الجراحة الأولى. | متوسط | تشوه تجميلي مصحوب بألم عند ارتداء الأحذية الضيقة. |


التشخيص الدقيق: منهجية الأستاذ الدكتور محمد هطيف
في مركز الأستاذ الدكتور محمد هطيف بصنعاء، لا يتم الاعتماد على التخمين. التشخيص الدقيق هو حجر الأساس لوضع خطة علاجية ناجحة. تتضمن عملية التشخيص تقييماً شاملاً لعدة جوانب:
1. التاريخ الطبي والفحص السريري
يبدأ الدكتور هطيف بالاستماع بعناية لتاريخ المريض، متى أُجريت الجراحة الأولى؟ ما هي التقنية المستخدمة؟ متى بدأ الألم الجديد؟
بعد ذلك يتم إجراء فحص سريري دقيق يتضمن:
* تحليل المشية (Gait Analysis): مراقبة كيفية مشي المريض وتوزيع الوزن على قدميه.
* فحص الحركة (ROM): قياس مدى حركة مفصل الإصبع الكبير والمفاصل المجاورة.
* تحديد نقاط الألم: الضغط الموضعي لتحديد مصدر الألم بدقة (هل هو من العظم، المفصل، أم الأربطة؟).

2. التصوير الشعاعي المتقدم
التصوير هو ما يظهر الحجم الحقيقي للمشكلة الهيكلية.
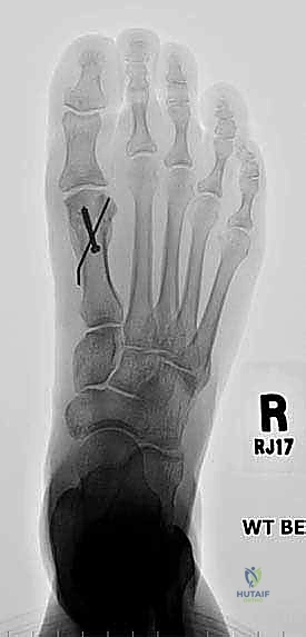
* الأشعة السينية العادية (X-rays) أثناء الوقوف: هذا هو الفحص الأهم. يتم أخذ صور للقدمين أثناء تحمل الوزن لقياس زوايا العظام بدقة، وتحديد مقدار النقص في طول مشط القدم الأول مقارنة بالثاني (يجب أن يكونا متقاربين في الطول ضمن نسب محددة).
* التصوير المقطعي المحوسب (CT Scan): يُطلب في الحالات المعقدة لتقييم جودة العظم المتبقي والتخطيط الدقيق للقص الجراحي ثلاثي الأبعاد.
* الرنين المغناطيسي (MRI): لتقييم الأنسجة الرخوة، مثل تمزق الأربطة الأخمصية أو تلف الغضاريف في المفاصل.


الخيارات العلاجية: من التحفظي إلى الجراحي
يؤمن الأستاذ الدكتور محمد هطيف بمبدأ التدرج في العلاج. على الرغم من أن قصر مشط القدم هو مشكلة هيكلية ميكانيكية (عظمية)، إلا أنه يمكن محاولة بعض العلاجات التحفظية لتخفيف الأعراض، خاصة للمرضى الذين لا تسمح حالتهم الصحية بإجراء جراحة.
أولاً: العلاج التحفظي (غير الجراحي)
يهدف هذا العلاج إلى إعادة توزيع الضغط وتخفيف الألم، ولكنه لا يصحح التشوه الأساسي.
1. الضبان الطبي المخصص (Custom Orthotics): استخدام حشوات أحذية مصممة خصيصاً لدعم قوس القدم وتخفيف الضغط عن الأمشاط الصغرى.
2. وسائد الأمشاط (Metatarsal Pads): توضع خلف رؤوس الأمشاط لرفعها وتقليل الاحتكاك بالأرض.
3. تعديل الأحذية: ارتداء أحذية ذات مقدمة عريضة (Wide Toe Box) ونعل سميك وصلب (Rocker-bottom shoes) لتقليل حركة المفاصل أثناء المشي.
4. العناية بمسامير اللحم: إزالة الجلد الميت بانتظام لتقليل الألم الموضعي.
5. الأدوية: استخدام مضادات الالتهاب غير الستيرويدية (NSAIDs) لتخفيف الألم والالتهاب.

ثانياً: متى نلجأ للتدخل الجراحي؟
إذا استمر الألم الشديد والمقعد رغم تجربة العلاجات التحفظية لعدة أشهر، وإذا كان المريض يعاني من صعوبة بالغة في المشي أو ارتداء الأحذية العادية، تصبح الجراحة هي الخيار الأمثل والوحيد لاستعادة جودة الحياة.
جدول مقارنة: العلاج التحفظي مقابل الجراحي
| وجه المقارنة | العلاج التحفظي (الأحذية والضبانات) | الجراحة (إطالة مشط القدم الأول) |
|---|---|---|
| الهدف الرئيسي | تخفيف الألم مؤقتاً وإدارة الأعراض. | تصحيح الخلل الميكانيكي من جذوره بشكل دائم. |
| تصحيح طول العظم | لا يقوم بأي تصحيح هيكلي. | يستعيد الطول الطبيعي لمشط القدم بنجاح. |
| الاستمرارية | يتطلب استخداماً مدى الحياة للأجهزة الداعمة. | حل نهائي (في معظم الحالات الناجحة). |
| المخاطر | معدومة تقريباً (آمن تماماً). | مخاطر جراحية عامة (التهاب، تأخر التئام). |
| فترة التعافي | فورية، لا يوجد فترة انقطاع. | تتطلب أسابيع من التأهيل والعلاج الطبيعي. |


جراحة إطالة مشط القدم الأول: الحل الجذري والنهائي مع أ.د. محمد هطيف
تُعد جراحة إطالة مشط القدم الأول من العمليات الدقيقة التي تتطلب تخطيطاً هندسياً حيوياً معقداً. الهدف هو زيادة طول العظم بالمقدار الدقيق الذي يعيد توزيع الوزن بشكل طبيعي دون إحداث شد زائد على الأوتار والأعصاب.
1. التحضير والتخدير
تُجرى العملية عادة تحت التخدير النصفي (Spinal Anesthesia) أو التخدير الموضعي المحيطي (Nerve Block) مع مهدئ، مما يضمن عدم شعور المريض بأي ألم مع إمكانية مغادرة المستشفى في نفس اليوم أو اليوم التالي. يتم تعقيم القدم بالكامل وتجهيز غرفة العمليات بأحدث أجهزة التصوير الإشعاعي المباشر (C-arm).

2. خطوات العملية الجراحية بالتفصيل
يتبع الأستاذ الدكتور محمد هطيف بروتوكولاً جراحياً صارماً لضمان أعلى درجات الدقة:
الخطوة الأولى: الشق الجراحي والوصول للعظم
يتم عمل شق جراحي دقيق على الجانب الداخلي أو العلوي للقدم للوصول إلى مشط القدم الأول. يستخدم الدكتور هطيف تقنيات الجراحة الدقيقة للحفاظ على الأوعية الدموية والأعصاب الحسية التي تغذي إصبع القدم.

الخطوة الثانية: تحرير الأنسجة الرخوة
نظراً لأن العظم كان قصيراً لفترة، فإن الأوتار والأربطة المحيطة به تكون قد قصرت وانكمشت أيضاً. يتم تحرير هذه الأنسجة بعناية فائقة للسماح بإطالة العظم لاحقاً دون التسبب في تيبس المفصل.

الخطوة الثالثة: قص العظم (Osteotomy)
باستخدام منشار جراحي ميكروسكوبي دقيق، يقوم الدكتور هطيف بقص عظم مشط القدم. تعتمد زاوية وشكل القص (مثل القص المائل أو القص على شكل حرف Z) على مقدار الإطالة المطلوبة وشكل العظم المتبقي من الجراحة السابقة.

الخطوة الرابعة: الإطالة والطعوم العظمية (Bone Grafting)
يتم إبعاد طرفي العظم المقصوص بلطف للوصول إلى الطول التشريحي المطلوب (والذي تم حسابه مسبقاً في صور الأشعة). لملء الفراغ الناتج عن الإطالة، يتم استخدام طعم عظمي (Bone Graft).
* الطعم الذاتي (Autograft): غالباً ما يتم أخذ قطعة صغيرة من العظم من كعب المريض (عظم العقب) أو من عظم الحوض، وهو الخيار الأفضل لأنه يحفز الالتئام السريع.
* الطعم الصناعي أو العظم البنكي (Allograft): يمكن استخدامه في بعض الحالات لتجنب إحداث جرح إضافي.

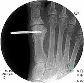
الخطوة الخامسة: التثبيت الداخلي القوي (Internal Fixation)
لضمان التئام العظم في وضعه الجديد والطويل، يجب تثبيته بقوة شديدة. يستخدم الدكتور هطيف أحدث الشرائح المعدنية التيتانيوم ذات الزاوية الثابتة (Locking Plates) والمسامير الدقيقة. هذا التثبيت القوي يمنع أي حركة بين العظام ويسمح ببدء العلاج الطبيعي في وقت مبكر.

الخطوة السادسة: الإغلاق التجميلي
بعد التأكد من الطول المثالي واستقرار التثبيت باستخدام الأشعة السينية في غرفة العمليات، يتم غسل الجرح بمضادات حيوية وإغلاق طبقات الأنسجة والجلد بخياطة تجميلية دقيقة لتقليل الندبات قدر الإمكان. يتم وضع ضمادة ضاغطة وداعمة للقدم.

التقنيات الحديثة في عيادة الدكتور هطيف
إن استخدام تقنية المناظير (Arthroscopy) والجراحة الميكروسكوبية يقلل بشكل كبير من تضرر الأنسجة المحيطة، مما يقلل من التورم والألم بعد العملية ويسرع من عملية الشفاء. كما أن خبرته الواسعة في جراحات المفاصل (Arthroplasty) تتيح له التعامل مع أي تلف غضروفي قد يجده في المفصل أثناء الجراحة.



آلام العظام والمفاصل وتقييد حركتها ليس قدراً محتوماً! التشخيص الدقيق والعلاج المتخصص يمكن أن يعيد لك كامل وظيفتك وحريتك في الحركة. لا تدع الألم يسيطر على حياتك.
للحصول على استشارة دقيقة وخطة علاجية مخصصة لحالتك، تواصل فوراً مع مركز الأستاذ الدكتور محمد هطيف:
الأستاذ الدكتور محمد هطيف - أفضل دكتور عظام في صنعاء، وخبير في جراحات العظام والمفاصل والعمود الفقري.. نلتزم بإعادتك لحياة خالية من الألم وحركة طبيعية.
مواضيع أخرى قد تهمك