تصحيح إبهام القدم الأروح اليافع جراحة ميشيل دليل شامل للمرضى بخبرة الأستاذ الدكتور محمد هطيف

الخلاصة الطبية
إبهام القدم الأروح اليافع هو انحراف مؤلم في إصبع القدم الكبير لدى المراهقين. يتم تصحيحه جراحيًا بتقنية ميشيل المعدلة التي تعيد محاذاة عظام القدم وتوازن الأنسجة الرخوة، مما يقلل الألم ويحسن وظيفة القدم، تحت إشراف الأستاذ الدكتور محمد هطيف الرائد في صنعاء.
الخلاصة الطبية السريعة: إبهام القدم الأروح اليافع هو انحراف مؤلم في إصبع القدم الكبير لدى المراهقين. يتم تصحيحه جراحيًا بتقنية ميشيل المعدلة التي تعيد محاذاة عظام القدم وتوازن الأنسجة الرخوة، مما يقلل الألم ويحسن وظيفة القدم، تحت إشراف الأستاذ الدكتور محمد هطيف، الرائد في جراحة العظام والمفاصل في صنعاء.
مقدمة شاملة: إبهام القدم الأروح اليافع وجراحة ميشيل
مرحباً بكم، أيها المرضى الأعزاء وأولياء الأمور الكرام. اليوم، سنتناول موضوعاً مهماً يؤثر على حياة العديد من المراهقين: إبهام القدم الأروح اليافع (Juvenile Hallux Valgus)، وكيف يمكننا تصحيحه بفعالية وأمان باستخدام تقنية جراحية متقدمة تُعرف باسم "جراحة ميشيل المعدلة" (Mitchell Osteotomy). في عيادات الأستاذ الدكتور محمد هطيف، أستاذ جراحة العظام والمفاصل بجامعة صنعاء، نؤمن إيماناً راسخاً بأن فهمكم الكامل لحالتكم الطبية وخيارات علاجها هو الخطوة الأولى والأساسية نحو الشفاء التام.
إبهام القدم الأروح، أو ما يُعرف بالعامية "الوكعة" أو "الورم الملتهب" (Bunion)، ليس مجرد مشكلة جمالية عابرة كما يعتقد البعض. عندما يصيب هذا التشوه فئة اليافعين والمراهقين، فإنه يلقي بظلاله الثقيلة على جودة حياتهم اليومية، مسبباً ألماً مزمناً، وصعوبة بالغة في إيجاد وارتداء الأحذية المناسبة، وقد يحد بشكل كبير من مشاركتهم في الأنشطة الرياضية والمدرسية. إنها حالة طبية معقدة تتطلب فهماً دقيقاً لخصائص قدم المراهق التي لا تزال في طور النمو المستمر، حيث تختلف مقاربتنا العلاجية والجراحية بشكل جوهري وجذري عن تلك المستخدمة لدى البالغين.
ما هو إبهام القدم الأروح اليافع بدقة؟
إبهام القدم الأروح اليافع هو تشوه هيكلي في القدم الأمامية يتميز بانحراف تدريجي لإصبع القدم الكبير (إبهام القدم) نحو الأصابع الصغيرة المجاورة، مع ظهور بروز عظمي مؤلم وملتهب على الجانب الداخلي (الإنسي) للقدم عند قاعدة الإصبع الكبير. يحدث هذا الانحراف عادةً في أواخر مرحلة الطفولة أو أوائل مرحلة المراهقة (بين سن 10 إلى 15 عاماً).
السمة الأبرز والأكثر أهمية التي تميز هذه الحالة لدى اليافعين هي وجود "صفائح نمو مفتوحة" (Open Physes) في العظام. هذه الصفائح الغضروفية هي المسؤولة عن استمرار نمو القدم طولياً، مما يفرض تحدياً كبيراً على الجراح، ويتطلب استخدام تقنيات جراحية دقيقة وخاصة للحفاظ على هذه الصفائح وعدم إتلافها، لضمان النمو الطبيعي للقدم مستقبلاً.

الأهمية القصوى للتدخل المبكر والتشخيص الدقيق
يؤكد الأستاذ الدكتور محمد هطيف، بخبرته التي تتجاوز العشرين عاماً في جراحة العظام، على الأهمية البالغة للتدخل المبكر في تقييم وعلاج إبهام القدم الأروح اليافع. فالتأخير في طلب الاستشارة الطبية يمكن أن يؤدي إلى تفاقم التشوه بسرعة، وزيادة حدة الألم، وتطور مشاكل ميكانيكية أخرى في القدم مثل:
* ألم مشط القدم الانتقالي (Transfer Metatarsalgia): نتيجة انتقال الضغط والوزن إلى أمشاط القدم الصغرى.
* تشوهات الأصابع الأخرى: مثل إصبع القدم المطرقي (Hammer Toe) نتيجة ضغط الإبهام المنحرف عليها.
* خشونة المفصل المبكرة (Osteoarthritis): نتيجة تآكل الغضاريف بسبب عدم المحاذاة السليمة للمفصل.
إن معالجة هذه الحالة في سن مبكرة، وتحت إشراف خبير متمرس، تساهم في استعادة الميكانيكا الحيوية المعقدة للقدم، ومنع تطور الألم المستقبلي، وتحسين قدرة المريض على ممارسة حياته الطبيعية بثقة.
التشريح الدقيق للقدم: فهم بنية إبهام القدم لدى اليافعين
قبل الخوض في تفاصيل جراحة ميشيل المعدلة، من الضروري جداً أن نلقي نظرة فاحصة على البنية التشريحية المعقدة للقدم، وتحديداً ما يُعرف طبياً بـ "الشعاع الأول" (First Ray) الذي يتضمن إصبع القدم الكبير والعظام، الأربطة، والأوتار المرتبطة به. فهم هذه التفاصيل الدقيقة يساعد المرضى على تقدير مدى دقة الجراحة وأهمية كل خطوة يقوم بها الأستاذ الدكتور محمد هطيف.
العظام والمفاصل الرئيسية في الشعاع الأول
- عظم المشط الأول (First Metatarsal): يُعد هذا العظم حجر الزاوية والدعامة الأساسية في القدم الأمامية. في حالات إبهام القدم الأروح اليافع، غالباً ما نلاحظ حالة تُسمى "تقوس المشط الأول للداخل" (Metatarsus Primus Varus). هذا يعني أن عظم المشط الأول ينحرف بقوة نحو الجانب الداخلي للقدم مبتعداً عن المشط الثاني. هذا الانحراف غالباً ما يكون مصحوباً بـ "ميلان في مفصل العظم الإسفيني الإنسي والمشط الأول" (Obliquity of the Medial Cuneiform–First Metatarsal Joint)، مما يساهم في تكريس وضعية التقوس. "البروز الإنسي" أو "الوكعة" الذي يراه المريض هو في الواقع الجزء البارز من رأس عظم المشط الأول المنحرف.
- السلامية الدانية (Proximal Phalanx): هي العظمة الأولى في إصبع القدم الكبير، وتتصل برأس المشط الأول لتشكل "مفصل المشط السلامي الأول" (MTP joint). هذا المفصل هو ساحة المعركة الحقيقية حيث يحدث "انحراف إبهام القدم الأروح" (Hallux Valgus Angulation).
- العظام السمسمية (Sesamoid Bones): هما عظمتان صغيرتان جداً تقعان أسفل رأس المشط الأول. تعملان كبكرة لتسهيل حركة الأوتار وتوزيع الضغط أثناء المشي. في حالة الإبهام الأروح، تنزلق هذه العظام من مكانها الطبيعي مما يزيد من تعقيد التشوه.
- صفائح النمو (Physes): كما ذكرنا، هي السمة المميزة لليافعين. في عظم المشط الأول، تقع صفيحة النمو الرئيسية في القاعدة (الجزء القريب من الكاحل). لذلك، يجب أن تتم أي جراحة بحذر شديد لتجنب هذه المنطقة.
الأربطة والأوتار: شبكة التوازن الدقيقة
القدم ليست مجرد عظام، بل هي نظام متكامل من الأربطة والأوتار التي تحافظ على توازنها. في حالة إبهام القدم الأروح اليافع، يحدث اختلال شديد في هذا التوازن:
* وتر العضلة المقربة للإبهام (Adductor Hallucis Tendon): يسحب إصبع القدم الكبير بقوة نحو الأصابع الأخرى.
* محفظة المفصل (Joint Capsule): تنكمش وتصبح مشدودة من الجانب الخارجي، بينما تتمدد وتضعف من الجانب الداخلي.
التدخل الجراحي الناجح لا يقتصر على كسر العظام وتعديلها، بل يشمل أيضاً إعادة التوازن لهذه الأنسجة الرخوة، وهو فن يتقنه الأستاذ الدكتور محمد هطيف بفضل استخدامه لتقنيات الجراحة الميكروسكوبية الدقيقة.
أسباب وعوامل خطر الإصابة بإبهام القدم الأروح اليافع
على عكس البالغين حيث يُلقى اللوم غالباً على الأحذية الضيقة ذات الكعب العالي، فإن أسباب إبهام القدم الأروح لدى اليافعين تختلف بشكل كبير وتكون أكثر تعقيداً وارتباطاً بعوامل داخلية.
1. العوامل الوراثية والجينية (التاريخ العائلي)
يُعد العامل الوراثي هو السبب الأول والأكثر شيوعاً لإبهام القدم الأروح اليافع. تشير الدراسات الطبية إلى أن أكثر من 70% من المراهقين المصابين لديهم تاريخ عائلي إيجابي (غالباً ما تكون الأم أو الجدة مصابة بنفس الحالة). ينتقل الاستعداد الوراثي لشكل القدم وبنيتها، مما يجعل بعض اليافعين أكثر عرضة لتطور هذا التشوه.
2. العوامل التشريحية والميكانيكية الحيوية
هناك عدة سمات تشريحية في القدم تزيد من خطر الإصابة، وتشمل:
* القدم المسطحة (Flat Feet / Pes Planus): انهيار قوس القدم الداخلي يؤدي إلى زيادة الضغط على مفصل الإبهام الكبير أثناء المشي، مما يدفعه للانحراف.
* فرط مرونة المفاصل (Generalized Joint Hypermobility): وهي حالة تكون فيها أربطة الجسم مرنة أكثر من اللازم، مما يؤدي إلى عدم استقرار المفاصل، بما في ذلك مفصل الإبهام.
* طول المشط الأول الزائد: إذا كان عظم المشط الأول أطول من المعتاد، فإنه يتعرض لقوى ضغط أكبر داخل الحذاء.
3. دور الأحذية: خرافة أم حقيقة؟
في حين أن الأحذية الضيقة والمدببة ليست "السبب الرئيسي" لإبهام القدم الأروح اليافع (كما هو الحال عند البالغين)، إلا أنها تلعب دوراً كبيراً في تسريع تطور التشوه وتفاقم الألم. ارتداء المراهقين لأحذية غير مناسبة يضغط على البروز العظمي ويدفع الإصبع المنحرف أكثر نحو الداخل.

الأعراض والعلامات السريرية: متى يجب زيارة الطبيب؟
تتراوح أعراض إبهام القدم الأروح اليافع من انزعاج بسيط إلى ألم مبرح يعيق الحركة. من الضروري مراقبة هذه الأعراض والتوجه لعيادة الأستاذ الدكتور محمد هطيف عند ملاحظتها:
| شدة الحالة | الأعراض والعلامات السريرية الملحوظة | التأثير على الحياة اليومية |
|---|---|---|
| خفيفة (بداية الظهور) | - انحراف طفيف في إصبع القدم الكبير. - احمرار خفيف عند قاعدة الإصبع بعد المشي الطويل. - عدم وجود ألم أثناء الراحة. |
- لا يوجد تأثير كبير، ولكن قد يبدأ المراهق في ملاحظة شكل القدم وتجنب إظهارها. |
| متوسطة | - بروز عظمي واضح (الوكعة). - ألم عند ارتداء الأحذية المدرسية أو الرياضية المعتادة. - تورم متكرر في المفصل. - بداية تكون مسامير اللحم (Calluses) بين الإبهام والإصبع الثاني. |
- صعوبة في المشاركة في الأنشطة الرياضية لفترات طويلة. - الحاجة لشراء أحذية أوسع من المعتاد. |
| شديدة (متقدمة) | - انحراف شديد (قد يتراكب الإبهام فوق أو تحت الإصبع الثاني). - ألم مزمن ومستمر حتى بدون حذاء. - صعوبة بالغة في المشي وتغير في طريقة المشي (العرج). - التهاب جراب المفصل (Bursitis). |
- إعاقة حقيقية عن ممارسة الرياضة والأنشطة اليومية. - تأثير نفسي سلبي كبير على المراهق بسبب شكل القدم والألم. |
التشخيص الدقيق في عيادات الأستاذ الدكتور محمد هطيف
يعتمد نجاح أي خطة علاجية على دقة التشخيص. في عيادات الأستاذ الدكتور محمد هطيف في صنعاء، يتم اتباع بروتوكول تشخيصي صارم وشامل لتقييم حالة اليافع من كافة الجوانب.
1. الفحص السريري الشامل
يبدأ التقييم بالاستماع الدقيق لشكوى المريض والتاريخ الطبي للعائلة. ثم يقوم الدكتور هطيف بإجراء فحص سريري دقيق يتضمن:
* تقييم درجة انحراف الإبهام والبروز العظمي.
* فحص نطاق الحركة (ROM) في مفصل المشط السلامي.
* تقييم وجود ألم في أمشاط القدم الأخرى.
* فحص مرونة الأربطة (Hypermobility).
* مراقبة طريقة مشي المريض (Gait Analysis) لاكتشاف أي اختلالات ميكانيكية.
* فحص حالة الجلد، والأعصاب، والأوعية الدموية في القدم.
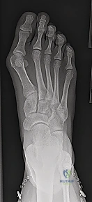
2. التصوير الشعاعي المتقدم (X-Rays)
تُعد الأشعة السينية أثناء الوقوف (Weight-bearing X-rays) حجر الأساس في التشخيص وتحديد خطة الجراحة. يقوم الأستاذ الدكتور محمد هطيف بقياس زوايا دقيقة جداً لتحديد شدة التشوه، وهي:
* زاوية إبهام القدم الأروح (HVA): الزاوية بين المشط الأول والسلامية الدانية. (الطبيعي أقل من 15 درجة).
* الزاوية بين الأمشاط (IMA): الزاوية بين المشط الأول والمشط الثاني. (الطبيعي أقل من 9 درجات).
* زاوية المفصل القاصي (DMAA): تقيم مدى انحراف سطح المفصل نفسه.
* تقييم صفائح النمو: التأكد من حالة صفائح النمو (مفتوحة أم مغلقة) وهو ما يحدد نوع الجراحة الممكنة.
الخيارات العلاجية: بين العلاج التحفظي والتدخل الجراحي
بناءً على التقييم الدقيق، يتم وضع خطة العلاج. يتميز الأستاذ الدكتور محمد هطيف بأمانته الطبية العالية؛ فهو لا يلجأ للجراحة إلا إذا كانت هي الخيار الأمثل والوحيد لضمان مصلحة المريض اليافع.
العلاج التحفظي (غير الجراحي)
يُستخدم العلاج التحفظي كخط أول، خاصة في الحالات الخفيفة، ويهدف إلى تخفيف الألم ومنع تفاقم الحالة، ولكنه لا يصحح التشوه العظمي الموجود.
* تعديل الأحذية: ارتداء أحذية واسعة من الأمام (Wide toe box) لتخفيف الضغط على الوكعة.
* الضبان الطبي (Orthotics): استخدام حشوات مخصصة لدعم قوس القدم وتوزيع الضغط بشكل أفضل، خاصة لمن يعانون من القدم المسطحة.
* مباعدات الأصابع (Toe Spacers) والجبائر الليلية: قد تساعد في تمديد الأربطة المشدودة وتخفيف الألم، لكنها لا تصلح العظم.
* العلاج الطبيعي: تمارين لتقوية عضلات القدم وتحسين مرونتها.
* الأدوية: مسكنات الألم ومضادات الالتهاب غير الستيرويدية (NSAIDs) عند الضرورة.
متى نلجأ للتدخل الجراحي؟
يُوصي الأستاذ الدكتور محمد هطيف بالتدخل الجراحي (مثل جراحة ميشيل) في الحالات التالية:
1. استمرار الألم الشديد الذي يعيق الأنشطة اليومية والرياضية رغم تجربة العلاج التحفظي لعدة أشهر.
2. تزايد درجة الانحراف بشكل سريع ومقلق.
3. صعوبة بالغة في ارتداء الأحذية العادية.
4. تأثير نفسي سلبي كبير على المراهق بسبب شكل القدم.
| وجه المقارنة | العلاج التحفظي (غير الجراحي) | التدخل الجراحي (جراحة ميشيل المعدلة) |
|---|---|---|
| الهدف الرئيسي | تخفيف الألم وإبطاء تطور الحالة. | تصحيح التشوه العظمي بشكل جذري وإزالة الألم. |
| تغيير شكل القدم | لا يغير شكل القدم أو يزيل البروز العظمي. | يعيد محاذاة الأصابع ويزيل البروز العظمي (الوكعة). |
| المدة الزمنية | علاج مستمر مدى الحياة (ارتداء ضبانات، تعديل أحذية). | فترة تعافي محددة (أسابيع إلى أشهر) تليها نتائج دائمة غالباً. |
| مخاطر صفائح النمو | لا يوجد أي خطر. | آمنة جداً إذا أُجريت بيد خبير مثل د. هطيف، حيث يتم تجنب صفائح النمو. |
| الاستطباب | الحالات الخفيفة، أو عند رفض المريض للجراحة. | الحالات المتوسطة إلى الشديدة، والألم المستمر. |

جراحة ميشيل المعدلة (Mitchell Osteotomy): الحل الأمثل لليافعين
تعتبر جراحة ميشيل (Mitchell Osteotomy) واحدة من أكثر التقنيات الجراحية كفاءة وموثوقية لتصحيح إبهام القدم الأروح اليافع. وقد تم تطوير وتعديل هذه الجراحة عبر السنوات لتناسب احتياجات المراهقين الذين لا تزال عظامهم تنمو.
لماذا يفضل الدكتور هطيف جراحة ميشيل المعدلة؟
- الابتعاد عن صفائح النمو: تُجرى هذه الجراحة في الجزء القاصي (البعيد) من عظم المشط الأول، بالقرب من المفصل، بعيداً تماماً عن صفيحة النمو الرئيسية الموجودة في قاعدة العظم. هذا يضمن عدم إعاقة نمو قدم المراهق.
- تصحيح ثلاثي الأبعاد: تسمح جراحة ميشيل بإزاحة رأس عظم المشط نحو الخارج (لتصحيح الانحراف)، وإلى الأسفل قليلاً (Plantarflexion) لمنع حدوث ألم في الأمشاط الأخرى مستقبلاً.
- الاستقرار الهيكلي: التعديلات الحديثة التي يطبقها الدكتور هطيف تجعل العظم المقطوع متداخلاً (Step-cut)، مما يوفر استقراراً ممتازاً ويسرع من عملية الالتئام.
خطوات العملية الجراحية بالتفصيل (Step-by-Step)
تُجرى العملية تحت التخدير العام أو النصفي، وتستغرق عادة حوالي ساعة إلى ساعة ونصف. وتتضمن الخطوات الدقيقة التالية التي ينفذها الأستاذ الدكتور محمد هطيف ببراعة:
- الشق الجراحي والوصول للمفصل: يتم عمل شق جراحي دقيق على الجانب الداخلي للقدم للوصول إلى مفصل الإبهام.
- استئصال البروز العظمي (Bunionectomy): يتم إزالة الجزء البارز من العظم (الوكعة) بعناية فائقة.
- تحرير الأنسجة الرخوة (Soft Tissue Release): هذه خطوة حاسمة. يتم تحرير الأربطة المشدودة من الجانب الخارجي للمفصل (مثل وتر العضلة المقربة)، مما يسمح للإصبع بالعودة إلى وضعه المستقيم دون شد.
- القطع العظمي المتدرج (The Mitchell Osteotomy): باستخدام مناشير جراحية دقيقة جداً (Microsurgery tools)، يقوم الدكتور هطيف بعمل قطع عظمي مزدوج (على شكل درجة سلم) في عنق المشط الأول. يتم ترك جسر عظمي صغير لضمان الاستقرار.
- إعادة المحاذاة والإزاحة: يتم إزاحة رأس المشط الأول نحو الخارج (باتجاه المشط الثاني) لتصحيح الزاوية، ويتم توجيهه قليلاً للأسفل.
- التثبيت الداخلي (Internal Fixation): لتأمين العظم في وضعه الجديد حتى يلتئم، يتم استخدام تقنيات تثبيت حديثة. غالباً ما يستخدم الدكتور هطيف مسامير معدنية دقيقة (Screws) أو أسلاك كيرشنر (K-wires) التي لا تتعارض مع النمو.
- شد المحفظة المفصلية (Capsulorrhaphy): يتم خياطة وشد محفظة المفصل من الجانب الداخلي للحفاظ على التصحيح بقوة.
- الإغلاق والتضميد: يتم إغلاق الجرح بخيوط تجميلية دقيقة لتقليل الندبات، وتوضع ضمادات معقمة وجبيرة خفيفة لحماية القدم.

برنامج التأهيل والعلاج الطبيعي بعد جراحة ميشيل
الجراحة الناجحة هي نصف الطريق نحو الشفاء؛ النصف الآخر يعتمد بالكامل على التزام المريض ببرنامج التأهيل والعلاج الطبيعي. يوفر فريق الأستاذ الدكتور محمد هطيف خطة تعافي مفصلة لكل مريض:
المرحلة الأولى: الأسابيع (1 - 2) - حماية وتخفيف الألم
- الراحة التامة: يجب رفع القدم فوق مستوى القلب معظم الوقت لتقليل التورم.
- عدم تحميل الوزن (Non-weight bearing): يُمنع المشي على القدم المريضة تماماً. يُستخدم عكازات للتنقل.
- الحماية: ارتداء حذاء جراحي خاص (Post-op shoe) أو جبيرة لحماية التصحيح الجراحي.
- العناية بالجرح: الحفاظ على الضمادات جافة ونظيفة حتى موعد المراجعة لإزالة الخيوط (غالباً بعد 14 يوماً).
المرحلة الثانية: الأسابيع (3 - 6) - بداية الحركة والتحميل التدريجي
- تحميل الوزن الجزئي: يسمح الدكتور هطيف ببدء المشي البسيط مع تحميل وزن جزئي على كعب القدم باستخدام الحذاء الجراحي.
- تمارين المدى الحركي (ROM): يبدأ أخصائي العلاج الطبيعي بتوجيه المريض لعمل تمارين تحريك لطيفة لمفصل الإبهام لمنع التيبس (Stiffness). هذه الخطوة حاسمة جداً لنجاح العملية.
- الأشعة السينية للمتابعة: يتم أخذ صور أشعة للتأكد من بدء التئام العظم في وضعه الصحيح.
المرحلة الثالثة: الأسابيع (6 - 12) - استعادة القوة والوظيفة
- العودة للأحذية العادية: يمكن للمريض البدء في ارتداء أحذية رياضية واسعة ومريحة.
- تحميل الوزن الكامل: المشي الطبيعي دون مساعدة.
- تمارين التقوية: تمارين مكثفة لتقوية عضلات باطن القدم والساق.
- العودة للأنشطة: يمكن العودة التدريجية للأنشطة الرياضية الخفيفة (مثل السباحة وركوب الدراجة). الرياضات التي تتطلب ركضاً أو احتكاكاً تؤجل حتى يكتمل الالتئام العظمي تماماً (عادة بعد 3 إلى 4 أشهر).
لماذا تختار الأستاذ الدكتور محمد هطيف لإجراء هذه الجراحة؟
عندما يتعلق الأمر بجراحة العظام والمفاصل، وخاصة للأطفال واليافعين، فإن اختيار الجراح هو القرار الأكثر أهمية. الأستاذ الدكتور محمد هطيف يمثل القمة في هذا التخصص في اليمن (صنعاء) للأسباب التالية:
- الخبرة الأكاديمية والسريرية العميقة: بصفته أستاذ جراحة العظام والمفاصل بجامعة صنعاء، فهو يجمع بين أحدث المعارف الأكاديمية العالمية والخبرة العملية التي تتجاوز 20 عاماً في غرف العمليات.
- الريادة في التقنيات الحديثة: الدكتور هطيف رائد في استخدام تقنيات الجراحة الميكروسكوبية، ومناظير المفاصل بدقة 4K، وعمليات استبدال المفاصل المتقدمة. هذا المستوى من التكنولوجيا يضمن دقة متناهية في جراحات القدم المعقدة مثل جراحة ميشيل.
- الأمانة الطبية المطلقة: يشتهر الدكتور هطيف بنزاهته وأمانته. فهو يقدم المشورة الطبية الصادقة، ولا يوصي بالتدخل الجراحي إلا إذا كان هو الخيار الأفضل والوحيد لمصلحة المريض، مع شرح كافة المخاطر والفوائد بشفافية تامة.
- الرعاية الشاملة: لا تنتهي مهمة الدكتور هطيف بانتهاء الجراحة، بل يتابع مرضاه بدقة خلال فترة التأهيل والع
آلام العظام والمفاصل وتقييد حركتها ليس قدراً محتوماً! التشخيص الدقيق والعلاج المتخصص يمكن أن يعيد لك كامل وظيفتك وحريتك في الحركة. لا تدع الألم يسيطر على حياتك.
للحصول على استشارة دقيقة وخطة علاجية مخصصة لحالتك، تواصل فوراً مع مركز الأستاذ الدكتور محمد هطيف:
الأستاذ الدكتور محمد هطيف - أفضل دكتور عظام في صنعاء، وخبير في جراحات العظام والمفاصل والعمود الفقري.. نلتزم بإعادتك لحياة خالية من الألم وحركة طبيعية.
مواضيع أخرى قد تهمك