“肘关节恐怖三联征”最全攻略,让你的诊疗思路更清晰!
“肘关节恐怖三联征”最全攻略,让你的诊疗思路更清晰! 肘关节有哪些稳定结构? 骨和软组织结构都提供肘部稳定性。韧带和骨骼提供静态稳定性,跨肘关节的肌肉提供动态稳定性。肘关节稳装置分为主要稳定装置和辅助稳定装置。 肘关节…
Chinese Section
“肘关节恐怖三联征”最全攻略,让你的诊疗思路更清晰! 肘关节有哪些稳定结构? 骨和软组织结构都提供肘部稳定性。韧带和骨骼提供静态稳定性,跨肘关节的肌肉提供动态稳定性。肘关节稳装置分为主要稳定装置和辅助稳定装置。 肘关节…
关节镜是骨科微创手术的典型,其高度的临床准确性和较低的损伤性鼓舞人们用它辅助诊断、判断预后并提供有效地治疗方法,越来越多的医生和患者接受了这种方法。 关节镜手术毕竟不同于传统手术,对于想从事关节镜外科的医生,必须了解关节镜的基本构造、…
骨科内固定物取不取?什么时候取?怎么取? 骨科手术后,体内的内固定物取还是不取?几乎所有人都认为必须取出来。那么,内固定物到底取不取?什么时候取?这是个问题! 现在内固定物多为钛合金材料,排异性很小,理…
手把手教你:改良张力带治疗髌骨横形骨折手术技巧,值得一读! 大多数髌骨骨折为横形骨折,是由伸膝机制的过度张力造成的。髌骨横形骨折的传统治疗方法是Weber等提出的改良前向张力带技术。改良前张力带由于其成功的疗效和…
转子间骨折内固定失败 最简单的翻修手术,只更换头钉行不行? 据估计,美国每年有50万成年人受到髋部骨折的影响。它们对生活质量有着巨大的影响,目前占住院死亡率的3-7%,一年死亡率为19.4-58%。大约一半的髋部骨折是转子间(IT)骨折。…
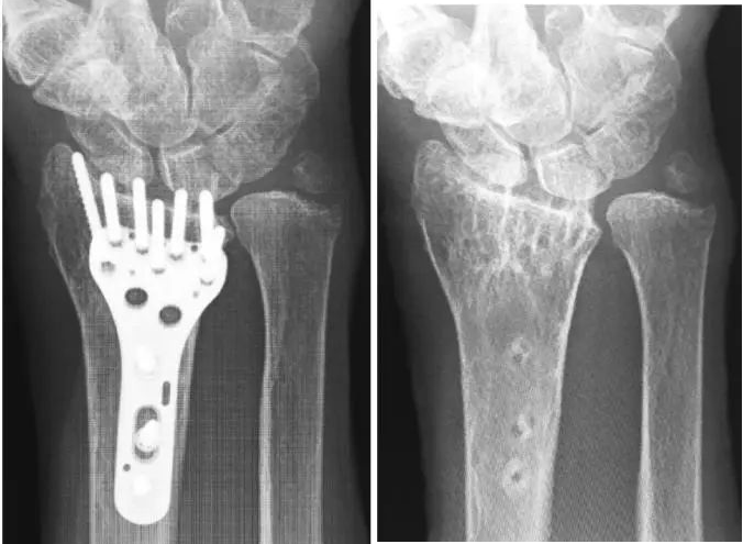
骨科必备技能:桡骨远端骨折掌侧钢板固定新技巧 拇长伸肌(EPL)肌腱损伤是桡骨远端骨折修复的主要并发症。EPL肌腱损伤的危险因素是突出的背侧螺钉、直接的术中钻孔损伤和/或背侧屋顶碎片。…
股骨远端骨折手术技巧——固定方式决定手术成败! 股骨远端骨折指累及股骨远端9cm内的骨折,包括干骺端或关节和股骨远端骨骺,约占股骨骨折的6-7%,其中开放性骨折占5%~10%。由于骨折部位骨结构的特点,骨折后多为粉碎性、不稳定骨折,难以牢…
股骨头坏死的分期及保头手术治疗 股骨头坏死(osteonecrosisof the femoralhead,ONFH)是骨科常见病。非创伤性ONFH多见于中青年,致病因素多达40余种,最常见病因是酒精中毒、激素。 根据文献报道,ONFH患…
无需内固定?锁骨远端不稳定骨折全缝合技术! 锁骨远端骨折占锁骨骨折的15 %。移位的 Neer II 型和 V 型锁骨骨折通常在活动患者中进行手术治疗。然而,远端碎片固定仍然是一个挑战,关于最佳手术治疗尚未达成共…
股骨骨折髓内钉:如何判断旋转对位? 01 背景 治疗股骨干骨折的金标准是髓内钉(IM)固定,然而因骨折旋转导致的失败率在2.5%到30%之间。为了防止骨折旋转对位不良,可以通过比较两侧的皮质厚度和…
转子间骨折,新技术辅助复位,减少头髓钉滑动! 转子间骨折以手术治疗为主,手术的目的在于让患者及早活动、减少并发症。 常用内固定方法包括滑动宽螺钉和头髓钉,术后并发症包括刀片/螺钉切出、刀片/螺钉过度滑动和内植入物失效。有较多研究发现头髓内…
锁骨近端骨折,这样手术风险低! 锁骨近端解剖复杂,既往骨折多采用非手术治疗,预后不理想。近年来,治疗理念发生变化,手术治疗越来越多,本文整理了胸锁钩钢板在锁骨近端骨折的应用,供大家参考。 不说废话,先上病例 !! 患者,男,…
Book your appointment now for the best specialized orthopedic and joint medical care.