Osteochondral Transfer: Superolateral Femoral Condyle Grafts for OLTs
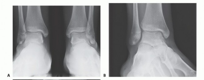
DEFINITION Medium-sized osteochondral defects of the talar dome May approach the talar shoulder (transition o…
Surgical Technique Sport
DEFINITION Medium-sized osteochondral defects of the talar dome May approach the talar shoulder (transition o…
DEFINITION Tibial spine fractures are bony avulsions of the anterior cruciate ligament (ACL) from its attachm…
DEFINITION A medial collateral ligament (MCL) injury usually is the result of a valgus stress on the knee. Fo…
DEFINITION Pathology leading to a spectrum of motor function loss that includes loss of ankle dorsiflexion Co…
DEFINITION Lateral ligament injuries of the ankle are treated conservatively with good results in most cases.…
DEFINITION Knee arthroscopy is a minimally invasive video-assisted surgical intervention for intra-articular …
DEFINITION The Achilles tendon is the strongest tendon in the body and is the primary plantarflexor of the an…
DEFINITION Synovial tissue is found lining the joint capsules and tendon sheaths of the body. Synovitis is ch…
DEFINITION Osteochondritis dissecans (OCD) is described as a focal, idiopathic alteration of subchondral bone…
DEFINITION Pronation injuries of the ankle joint complex may result in a partial or complete disruption of th…
DEFINITION The term osteochondral lesion of the talus (OLT) refers to any pathology of the talar articular ca…
DEFINITION Osteochondral lesion of the talus (OLT) may cause significant pain and mechanical symptoms in the …