Effective Surgical Solutions for Proximal Fifth Metatarsal Fractures
DEFINITION The fifth metatarsal is the most frequently fractured metatarsal bone. Of these, proximal fracture…
Surgical Technique Sport
DEFINITION The fifth metatarsal is the most frequently fractured metatarsal bone. Of these, proximal fracture…
DEFINITION Lateral ligament injuries of the ankle are treated conservatively with good results in most cases.…
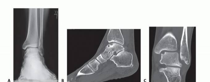
DEFINITION Medium-sized osteochondral defects of the talar dome May approach the talar shoulder (transition o…
DEFINITION Stability of the patellofemoral joint (PFJ) is multifactorial as it depends on limb alignment, int…
DEFINITION Synovial tissue is found lining the joint capsules and tendon sheaths of the body. Synovitis is ch…
DEFINITION There are several reasons for cartilaginous defects of the ankle: Traumatic injury Osteochondritis…
DEFINITION The Achilles tendon is the strongest tendon in the body and is the primary plantarflexor of the an…
DEFINITION Spontaneous Achilles tendon ruptures are defined as a partial or complete loss of continuity of th…
DEFINITION Deltoid ligament deficiency is present when both the deep and superficial components of the medial…
DEFINITION Osteochondral lesions of the talus (OLT) are common conditions that can involve both the cartilage…
DEFINITION Posterior ankle impingement syndrome is a clinical disorder characterized by posterior ankle pain …
DEFINITION Arthroscopic surgical techniques in sports medicine have significantly advanced as a result of the…