Part of the Master Guide

Intramedullary Nailing: Mastering Proximal or Distal Tibial Fractures

Tibial Fracture Extending into the Plafond: Intramedullary Secrets

17 Apr 2026 12 min read 153 Views
Illustration of extending into the plafondintramedullary - Dr. Mohammed Hutaif

Key Takeaway

Learn more about Tibial Fracture Extending into the Plafond: Intramedullary Secrets and how to manage it. A tibial shaft fracture extending into the plafondintramedullary involves a diaphyseal break reaching the ankle joint. For optimal treatment, percutaneous screw fixation stabilizes the joint, followed by an intramedullary nail for the shaft. This approach minimizes soft-tissue damage and allows for early weight-bearing and rehabilitation, crucial for preventing secondary joint displacement during recovery.

Introduction and Epidemiology

Tibial shaft fractures extending into the distal metaphysis and the tibial plafond represent a formidable challenge in orthopedic trauma. Historically, these complex injury patterns—often classified as AO/OTA 43-B or C, or 42 with distal extension—were managed primarily with plate osteosynthesis due to concerns regarding articular congruity and the inability of early generation intramedullary nails to secure short distal segments. However, the evolution of intramedullary nailing systems, featuring multi-planar distal locking options and advanced insertion trajectories, has revolutionized the management of these fractures.

Image

The epidemiology of these injuries demonstrates a bimodal distribution. High-energy trauma, such as motor vehicle collisions and falls from height, typically afflicts younger patients and presents with significant soft tissue compromise, comminution, and complex articular involvement. Conversely, low-energy torsional mechanisms are more frequently observed in the elderly population, often resulting in spiral fracture patterns that propagate into the joint.

Image

The primary advantage of intramedullary nailing in this context is the preservation of the precarious extraosseous blood supply and the vulnerable soft tissue envelope of the distal leg. Plating, particularly via standard open approaches, carries a notoriously high risk of wound dehiscence, infection, and hardware prominence. By employing "intramedullary secrets"—a combination of meticulous preoperative planning, independent articular reduction, blocking screws, and optimized entry points—the orthopedic surgeon can achieve robust, load-sharing fixation while minimizing soft tissue morbidity.

Surgical Anatomy and Biomechanics

Distal Tibia Osteology and Soft Tissue Envelope

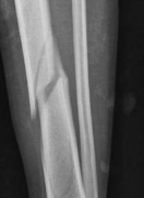
The distal tibia is characterized by a transition from the dense, triangular diaphyseal cortical bone to the thin, cancellous metaphyseal flare. This anatomical transition creates a significant mismatch between the relatively narrow intramedullary nail and the wide distal metaphysis. This discrepancy is the primary driver of malalignment during nailing, commonly leading to valgus and procurvatum deformities if not actively managed.

Image

The tibial plafond itself is concave in the sagittal plane and convex in the coronal plane, articulating with the talar dome. The lack of muscular coverage over the anteromedial aspect of the distal tibia renders the soft tissue envelope exceptionally vulnerable to trauma and surgical insult. The vascular supply to the distal tibia is heavily reliant on the periosteal network, derived from branches of the anterior and posterior tibial arteries. Intramedullary nailing, by avoiding extensive periosteal stripping, respects this critical vascular anatomy.

Image

Biomechanics of Intramedullary Nailing in the Distal Tibia

Intramedullary nails function as load-sharing devices, located closer to the mechanical axis of the lower extremity compared to eccentrically placed plates. This central position reduces the bending moments across the implant, theoretically decreasing the risk of hardware failure.

Image

However, the "bell-clapper" effect is a critical biomechanical challenge in the distal tibia. Because the nail diameter is significantly smaller than the metaphyseal canal, the nail can toggle within the distal segment. To counteract this, modern nail designs incorporate distal locking holes located within millimeters of the nail tip, allowing for multi-planar screw placement. Furthermore, the strategic application of blocking screws (Poller screws) effectively narrows the medullary canal, directing the nail trajectory and increasing the construct's stiffness by providing additional points of contact between the nail and the bone.

Indications and Contraindications

The decision to utilize an intramedullary nail for a tibial fracture extending into the plafond hinges on the specific fracture morphology, the condition of the soft tissue envelope, and the surgeon's familiarity with advanced nailing techniques.

Image

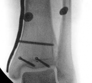
Intramedullary nailing is highly advantageous when the soft tissue envelope is compromised (e.g., severe swelling, fracture blisters, or open wounds) precluding safe plate osteosynthesis. The critical prerequisite for nailing these fractures is the ability to achieve and maintain an absolute anatomical reduction of the articular surface prior to nail passage. If the articular block cannot be reconstructed into a stable construct that will withstand the hoop stresses of nail insertion, nailing is contraindicated.

Image

Factor Operative Indications (IM Nailing) Non-Operative Indications
Fracture Pattern Diaphyseal fracture with simple, non-displaced or reducible intra-articular extension Truly undisplaced, stable fractures in non-ambulatory patients
Soft Tissue Status Severe swelling, open fractures, compromised anteromedial skin Intact soft tissues with unacceptable surgical risk (e.g., severe peripheral vascular disease)
Articular Involvement Simple split or reconstructable articular block (requires independent lag screw fixation) Highly comminuted plafond (C3) where an articular block cannot be formed
Patient Profile Polytrauma (damage control orthopedic principles), requirement for early mobilization Unfit for anesthesia, profound medical comorbidities
Fibular Status Concomitant fibula fracture (often requires separate fixation to restore lateral column) Intact fibula (may require fibular osteotomy if preventing tibial reduction)

Pre Operative Planning and Patient Positioning

Advanced Imaging Modalities

Standard orthogonal radiographs (anteroposterior and lateral) are insufficient for evaluating tibial fractures with suspected plafond extension. A dedicated computed tomography (CT) scan of the ankle with coronal, sagittal, and 3D reconstructions is mandatory.

Image

The CT scan serves several critical functions. First, it identifies the exact location and orientation of the articular split. Second, it dictates the trajectory of the independent articular lag screws, ensuring they are placed perfectly perpendicular to the fracture plane. Third, and perhaps most importantly, it allows the surgeon to map the safe zones for these lag screws so they do not obstruct the planned path of the intramedullary nail.

Image

Implant Selection and Templating

Digital templating is essential to determine the appropriate nail diameter and length. In distal third fractures, the nail must be long enough to allow for maximum distal interlocking. The surgeon must select a nail system that offers multi-planar distal locking options, ideally with the most distal hole located within 5 to 10 millimeters of the nail tip.

Image

Patient Positioning and Fluoroscopy Setup

Proper patient positioning is the foundation of a successful procedure. The patient is placed supine on a radiolucent flat table. A bump is placed under the ipsilateral hip to correct external rotation.

Image

For a suprapatellar approach, the knee is flexed 10 to 20 degrees over a radiolucent triangle or foam ramp. This semi-extended position neutralizes the deforming forces of the extensor mechanism and the gastrocnemius, significantly aiding in the prevention of procurvatum deformity. The fluoroscopy C-arm is brought in from the contralateral side, positioned to allow unhindered orthogonal views of both the knee (for the entry point) and the ankle (for distal reduction and locking).

Image

Detailed Surgical Approach and Technique

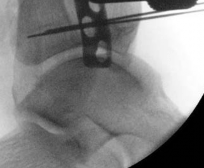
Articular Reduction and Provisional Fixation

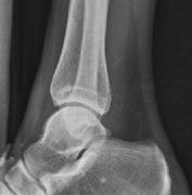
The cardinal rule of intramedullary nailing for fractures extending into the plafond is that the articular surface must be anatomically reduced and rigidly fixed before the medullary canal is reamed or the nail is inserted. Failure to do so will result in propagation of the fracture line and catastrophic displacement of the joint surface due to the hoop stresses generated by the nail.

Image

Reduction is typically achieved percutaneously using large, pointed reduction forceps. If closed reduction is inadequate, a limited open approach (anterolateral or anteromedial, depending on the fracture geometry) is utilized to directly visualize the joint surface.

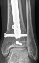
Image

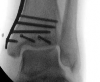
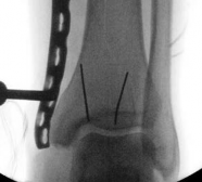
Once reduced, the articular block is secured with independent 3.5 mm or 4.0 mm partially threaded cancellous lag screws. These screws must be placed strategically—typically in the anterior or posterior half of the epiphysis—to leave the central medullary canal completely unobstructed for the nail.

Image

Image

Fibular Fixation Strategy

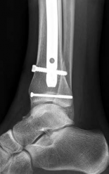
The role of fibular fixation in distal tibia fractures remains a topic of academic debate, but in the context of intramedullary nailing, it is often a highly valuable adjunct. Plating the fibula restores the length of the lateral column and corrects rotational malalignment, effectively converting a highly unstable distal tibia fracture into a more manageable, length-stable pattern.

Image

Fibular fixation is typically performed prior to tibial nailing. An open reduction and internal fixation utilizing a one-third tubular plate or anatomic distal fibula plate is standard. By stabilizing the fibula, the tendency for the distal tibia to drift into valgus during nail insertion is significantly mitigated.

Image

Image

Entry Point and Trajectory

The entry point dictates the final alignment of the tibia. For distal fractures, the suprapatellar approach is strongly recommended. A midline or parapatellar incision is made, and the quadriceps tendon is split. A protective cannula system is inserted into the patellofemoral joint to shield the trochlear cartilage.

Image

The starting point must be precise: perfectly centered on the AP radiograph (just medial to the lateral tibial spine) and exactly at the anterior articular margin on the lateral radiograph. A starting point that is too medial will drive the distal fragment into valgus, while a starting point that is too anterior will exacerbate procurvatum.

Image

The semi-extended position of the knee during the suprapatellar approach relaxes the patellar tendon, allowing for a trajectory that is perfectly collinear with the anatomical axis of the tibia.

Image

Image

Image

Image

Blocking Screws and Poller Principles

The use of blocking screws (Poller screws) is arguably the most critical "secret" for successful intramedullary nailing of the distal tibia. Because the metaphyseal canal is wide, the nail will inherently seek the path of least resistance, leading to malalignment. Blocking screws artificially narrow the canal, forcing the nail to maintain a central trajectory.

Image

The rule for blocking screw placement is to position the screw on the concave side of the anticipated or existing deformity.
* To prevent valgus: Place an AP blocking screw in the distal fragment on the medial side of the central axis.
* To prevent procurvatum: Place a medial-to-lateral blocking screw in the distal fragment on the posterior side of the central axis.

Image

These screws are typically placed prior to reaming. They act as a fulcrum, guiding the reamer and subsequently the nail into the correct anatomical position. The screws remain in situ as part of the final construct, significantly increasing the biomechanical stiffness of the fixation.

Image

Image

Nail Insertion and Distal Interlocking

Following meticulous preparation, the canal is reamed sequentially. Care must be taken not to over-ream the distal segment, which could compromise the already tenuous metaphyseal bone stock. The nail is inserted gently; forceful impaction is strictly avoided to prevent displacing the previously secured articular block.

Image

Distal interlocking must be maximized. The surgeon should utilize a minimum of three, and ideally four, distal locking screws, engaging the bone in multiple planes (e.g., two medial-to-lateral, one anterior-to-posterior). This multi-planar fixation is essential to control rotation and angular displacement in the wide metaphyseal bone.

Image

Complications and Management

Despite rigorous technique, intramedullary nailing of distal tibia fractures with articular extension carries a distinct complication profile. The most frequent and technically demanding complication is postoperative malalignment.

Image

Malalignment and Deformity

Valgus and procurvatum are the most common deformities. This typically results from failure to utilize blocking screws, an improper entry point, or inadequate provisional reduction prior to nail passage. If recognized intraoperatively, the nail must be withdrawn, blocking screws inserted, and the trajectory corrected. If identified postoperatively, acceptable tolerances must be evaluated; deformities exceeding 5 degrees of varus/valgus or 10 degrees of pro/recurvatum often necessitate revision surgery.

Image

Nonunion and Delayed Union

The distal tibia has a notoriously precarious blood supply. While IM nailing preserves the extraosseous supply better than plating, the disruption of the endosteal supply during reaming can contribute to delayed union. Hypertrophic nonunions are typically managed with dynamization or exchange nailing, whereas atrophic nonunions require biological augmentation with bone grafting and potentially plate supplementation to increase stability.

Image

Infection and Soft Tissue Compromise

Although less common than with plate osteosynthesis, deep infection remains a devastating complication, particularly in open fractures. Management requires aggressive surgical debridement, removal of hardware if the construct is unstable or the infection is refractory, and placement of an antibiotic-impregnated cement spacer or coated nail, followed by targeted systemic antimicrobial therapy.

Complication Estimated Incidence Salvage and Management Strategies
Malalignment (Valgus/Procurvatum) 5% - 15% Intraop: Remove nail, place Poller screws, re-pass nail. Postop: Corrective osteotomy and revision fixation.
Articular Displacement 2% - 5% Immediate intraoperative recognition required. Remove nail, open joint, achieve absolute reduction, place robust lag screws before re-nailing.
Delayed Union / Nonunion 10% - 20% Dynamization (removal of static locking screws). Exchange nailing with larger diameter. Autologous bone grafting for atrophic nonunion.
Deep Infection 1% - 5% Radical debridement, implant retention if stable and acute; removal and external fixation or antibiotic nail if chronic/unstable.
Hardware Failure (Screw Breakage) 3% - 8% Often asymptomatic if union is progressing. If associated with nonunion, revision fixation with increased structural stability is required.

Post Operative Rehabilitation Protocols

Immediate Postoperative Phase

The presence of intra-articular extension significantly alters the standard tibial nail rehabilitation protocol. While isolated diaphyseal fractures may tolerate immediate weight-bearing, fractures extending into the plafond require protection of the articular reconstruction.

Patients are typically placed in a well-padded posterior splint or a removable fracture boot in a neutral position to prevent equinus contracture. The primary focus in the first two weeks is edema control, soft tissue healing, and the initiation of early, gentle active range of motion (ROM) of the ankle and knee, provided the articular fixation is deemed radiographically and clinically stable.

Weight Bearing Progression

Weight-bearing is strictly restricted (non-weight-bearing or toe-touch weight-bearing) for the first 6 to 8 weeks. This protects the independent lag screws from shear forces that could displace the articular surface.

Following radiographic evidence of early callus formation and clinical absence of pain at the fracture site (typically around 6 to 8 weeks), progressive partial weight-bearing is initiated. Full weight-bearing is generally achieved between 10 to 14 weeks, guided by serial radiographic evaluation confirming progressive consolidation of both the metaphyseal and diaphyseal components of the fracture.

Summary of Key Literature and Guidelines

The paradigm shift toward intramedullary nailing for distal tibia fractures with articular extension is supported by a robust body of orthopedic literature. Early studies highlighted the high complication rates of plating, driving the innovation in nailing techniques.

Key biomechanical studies have validated the efficacy of Poller screws. Research by Krettek et al. established the foundational principles of blocking screws, demonstrating their ability to significantly increase construct stiffness and control alignment in wide metaphyseal bone.

Clinical series by Nork et al. and Egol et al. have demonstrated that with meticulous technique—specifically, the mandatory use of independent articular lag screws and multi-planar distal locking—intramedullary nailing yields excellent clinical outcomes, high union rates, and a significantly lower incidence of soft tissue complications compared to historical plating cohorts. Current guidelines emphasize that while technically demanding, nailing is a premier option for these complex injuries, provided the surgeon strictly adheres to the principles of articular reconstruction and mechanical axis restoration.


Dr. Mohammed Hutaif
Medically Verified Content by
Prof. Dr. Mohammed Hutaif
Consultant Orthopedic & Spine Surgeon
Chapter Index