Part of the Master Guide

Hip Resurfacing Arthroplasty: An Intraoperative Masterclass for Fellows

Patient Case: Resurfacing Primary Hip Arthroplasty for Lasting Relief

17 Apr 2026 17 min read 120 Views
Illustration of primary hip arthroplasty - Dr. Mohammed Hutaif

Key Takeaway

We review everything you need to understand about Patient Case: Resurfacing Primary Hip Arthroplasty for Lasting Relief. Primary hip arthroplasty, specifically hip resurfacing, addresses severe osteoarthritis causing debilitating hip pain and limited mobility, as illustrated by a 52-year-old male with chronic left groin pain. Treatment options, including total hip arthroplasty, are evaluated, with resurfacing selected for its optimal performance. This procedure aims to restore function and alleviate discomfort when conservative measures are insufficient.

Patient Presentation and History

The patient is a 45-year-old male presenting with a four-year history of progressively worsening right hip pain. He is a highly active individual, previously participating in competitive martial arts and long-distance running, with a current Body Mass Index of 26.2 kg/m². The patient reports insidious onset of deep anterior groin pain, initially occurring only after high-impact activities, but which has now progressed to pain at rest and significant sleep disturbance. He describes a classic "C-sign" presentation, indicating deep intra-articular pathology, accompanied by mechanical symptoms including intermittent catching and profound morning stiffness lasting approximately 45 minutes.

Conservative management over the past 24 months has been exhausted. This included a rigorous regimen of non-steroidal anti-inflammatory drugs, targeted physical therapy focusing on core and abductor strengthening, and activity modification. He also received two fluoroscopically guided intra-articular corticosteroid injections; the first provided three months of moderate relief, while the second, administered six months prior to this presentation, yielded negligible benefit.

The patient has no significant past medical history, no prior surgical interventions, and denies any history of developmental dysplasia of the hip, slipped capital femoral epiphysis, or childhood hip infections. He does not use tobacco products and consumes alcohol socially. His primary goal is a return to high-impact athletic activities, specifically martial arts, which requires extreme ranges of motion and subjects the hip joint to high torsional and axial loads.

Mechanism of Joint Degeneration

Given the patient's athletic history, the pathophysiology of his joint degeneration is highly indicative of secondary osteoarthritis driven by long-standing, subclinical femoroacetabular impingement. The repetitive microtrauma associated with extreme flexion and internal rotation during martial arts likely exacerbated an underlying cam morphology at the head-neck junction. This repetitive abutment against the anterosuperior acetabular rim leads to chondrolabral delamination, progressive loss of the articular cartilage, and eventual end-stage osteoarthritis. The patient's young age and high functional demands make the management of this advanced joint destruction particularly challenging, necessitating an intervention that restores biomechanics while preserving maximum bone stock for potential future revisions.

Clinical Examination Findings

A comprehensive musculoskeletal and neurological examination of the lower extremities was performed. Upon inspection, the patient demonstrated a pronounced antalgic gait with a shortened stance phase on the right side. There was a visible abductor lurch (Trendelenburg gait) when fatigued, though a static Trendelenburg test was negative. Pelvic obliquity was assessed, and true leg lengths (measured from the anterior superior iliac spine to the medial malleolus) were equal bilaterally at 94 cm. Apparent leg lengths (umbilicus to medial malleolus) were also symmetric, ruling out significant fixed pelvic tilt or adduction/abduction contractures. There was no visible muscle atrophy in the quadriceps or gluteal musculature.

Physical Examination Specifics

Palpation revealed no tenderness over the greater trochanter, ischial tuberosity, or pubic symphysis, effectively ruling out extra-articular sources of pain such as greater trochanteric pain syndrome or proximal hamstring tendinopathy. Deep palpation of the anterior joint capsule elicited mild discomfort.

Range of motion testing demonstrated significant, asymmetric restriction. On the right, active and passive flexion was limited to 90 degrees, at which point the patient experienced sharp anterior groin pain. Internal rotation in 90 degrees of flexion was severely restricted to 5 degrees (compared to 35 degrees on the contralateral side). External rotation was limited to 20 degrees. Abduction was restricted to 25 degrees, and extension was limited to 0 degrees, indicating a mild flexion contracture.

Provocative testing was highly positive for intra-articular pathology. The Flexion, Adduction, and Internal Rotation test elicited severe, reproducible anterior groin pain. The Flexion, Abduction, and External Rotation test was positive for posterior joint pain, indicative of capsular restriction and advanced joint space narrowing. The Stinchfield test (resisted straight leg raise) produced deep groin pain, further confirming an intra-articular pain generator.

Neurological examination of the bilateral lower extremities revealed intact sensation to light touch in the L2 through S1 dermatomes. Motor strength was 5/5 in the iliopsoas, quadriceps, tibialis anterior, extensor hallucis longus, and gastrocnemius-soleus complex. Deep tendon reflexes (patellar and Achilles) were 2+ and symmetric. Vascular examination demonstrated palpable 2+ dorsalis pedis and posterior tibial pulses bilaterally, with brisk capillary refill.

Imaging and Diagnostics

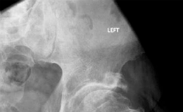
A standard radiographic series of the right hip was obtained, including an anteroposterior pelvis, a cross-table lateral, and a Dunn lateral view.

Image

The anteroposterior pelvis radiograph demonstrated severe, end-stage osteoarthritis of the right hip. Findings included complete obliteration of the superolateral joint space, extensive subchondral sclerosis, and large osteophyte formation at both the acetabular rim and the femoral head-neck junction. Subchondral cystic changes were evident in both the acetabular dome and the weight-bearing portion of the femoral head. The Tönnis grade was classified as Grade 3.

Image

The Dunn lateral radiograph confirmed the presence of a prominent cam deformity, with an alpha angle measured at 72 degrees, significantly above the normal threshold of 50-55 degrees. This confirmed the clinical suspicion of cam-type femoroacetabular impingement as the primary etiological factor for the degenerative changes. The lateral center-edge angle was measured at 34 degrees, indicating adequate acetabular coverage without frank dysplasia or significant protrusio acetabuli.

Image

Radiographic Analysis

To further evaluate bone morphology and rule out extensive avascular necrosis or massive cystic degeneration that would preclude a resurfacing procedure, a non-contrast Magnetic Resonance Imaging scan of the right hip was performed. The MRI confirmed full-thickness cartilage loss globally, with prominent subchondral edema corresponding to the areas of maximal joint space narrowing. Crucially, the MRI demonstrated that the subchondral cysts in the femoral head were small (less than 1 cm in diameter) and did not compromise the structural integrity of the femoral head or neck. There was no evidence of avascular necrosis, and the femoral neck bone stock appeared robust, with thick cortical margins and a normal trabecular pattern.

Preoperative digital templating was meticulously performed. Templating for Hip Resurfacing Arthroplasty differs significantly from standard Total Hip Arthroplasty. The primary goal is to size the femoral component accurately to avoid femoral neck notching while ensuring complete coverage of the prepared femoral head. The acetabular component is then sized based on the selected femoral component, as these are paired metal-on-metal bearings. Templating indicated a femoral head size of 50 mm and an acetabular cup size of 56 mm, providing a sufficient difference to allow for optimal fluid-film lubrication and clearance.

Differential Diagnosis

While the clinical and radiographic picture heavily favors end-stage primary osteoarthritis secondary to femoroacetabular impingement, a comprehensive differential diagnosis must be considered to ensure appropriate surgical planning and rule out contraindications for a resurfacing procedure.

Condition Clinical Presentation Radiographic/Imaging Findings Rationale for Exclusion
End-Stage Osteoarthritis (Secondary to FAI) Insidious onset deep groin pain, severe ROM restriction (especially internal rotation), positive FADIR/FABER, mechanical symptoms. Complete loss of joint space, subchondral sclerosis, osteophytosis, cam/pincer morphology, alpha angle > 55 degrees. Primary Diagnosis. The patient's history, physical exam, and severe radiographic degenerative changes align perfectly with this pathology.
Avascular Necrosis of the Femoral Head Groin pain, often with a history of corticosteroid use, alcohol abuse, or trauma. Pain may precede radiographic changes. Crescent sign, subchondral collapse, focal signal changes on MRI (T1 hypointense, T2 hyperintense "double-line" sign). Excluded based on MRI findings showing no segmental necrosis, normal trabecular architecture, and absence of subchondral collapse or crescent sign.
Inflammatory Arthropathy (e.g., Ankylosing Spondylitis) Bilateral or alternating buttock/groin pain, profound morning stiffness, systemic symptoms, elevated inflammatory markers. Symmetric joint space narrowing, axial skeleton involvement (sacroiliitis), osteopenia, absence of large osteophytes. Excluded due to unilateral presentation, lack of systemic symptoms, normal inflammatory markers, and presence of hypertrophic osteoarthritic changes rather than erosive disease.
Femoral Neck Stress Fracture Acute onset groin pain in an active individual, pain with weight-bearing, positive hop test. May be radiographically occult initially. MRI shows bone marrow edema pattern extending across the femoral neck. Excluded due to the chronic, progressive nature of the pain and clear evidence of advanced articular degeneration without focal fracture lines on MRI.

Surgical Decision Making and Classification

The decision to proceed with operative intervention is straightforward given the patient's end-stage radiographic changes, severe functional limitation, and failure of comprehensive non-operative management. The critical decision lies in the choice of procedure: standard Total Hip Arthroplasty versus Hip Resurfacing Arthroplasty.

Standard Total Hip Arthroplasty is the gold standard for end-stage hip osteoarthritis, offering excellent pain relief and survivorship. However, in a young, highly active, 45-year-old male desiring a return to martial arts and running, standard Total Hip Arthroplasty presents specific limitations. These include the risk of dislocation during extreme ranges of motion, potential for accelerated polyethylene wear due to high cyclic loading, and the inevitable need for future revision surgery, which becomes increasingly complex as femoral bone stock is sacrificed during the primary procedure.

Hip Resurfacing Arthroplasty offers several distinct biomechanical and anatomical advantages for this specific demographic. First, it is a bone-conserving procedure on the femoral side. By preserving the femoral head and neck, the proximal femoral medullary canal remains unviolated. Should a revision be required in the future (e.g., for acetabular loosening or adverse local tissue reaction), the procedure can easily be converted to a standard primary Total Hip Arthroplasty, rather than a complex revision Total Hip Arthroplasty requiring diaphyseal fixation.

Second, Hip Resurfacing Arthroplasty utilizes a large-diameter metal-on-metal bearing. The diameter of the prosthetic head closely approximates the patient's native anatomy. This large head size drastically increases the jump distance, rendering the risk of postoperative dislocation virtually zero, a critical factor for a patient returning to martial arts. Furthermore, the large bearing surface, when correctly positioned, promotes fluid-film lubrication, theoretically reducing volumetric wear compared to smaller metal-on-polyethylene bearings under high-demand conditions.

Image

Biomechanical Considerations

Patient selection is the paramount determinant of success in Hip Resurfacing Arthroplasty. The ideal candidate is a male under the age of 65 with primary osteoarthritis, strong proximal femoral bone density, and normal proximal femoral geometry. Females have historically demonstrated higher failure rates, largely due to smaller component sizes and a higher prevalence of unrecognized dysplasia or osteoporosis.

This patient fits the optimal criteria perfectly. His Dorr classification is Type A, indicating thick cortices and a narrow diaphyseal canal, indicative of excellent bone quality. Preoperative Dual-energy X-ray Absorptiometry scanning confirmed normal bone mineral density (T-score > -1.0). The absence of significant leg length discrepancy is also crucial, as Hip Resurfacing Arthroplasty does not allow for independent adjustment of leg length or offset to the same degree as modular Total Hip Arthroplasty systems. The primary contraindications for Hip Resurfacing Arthroplasty—including severe osteoporosis, large cystic lesions in the femoral head (>1 cm), severe dysplasia, and impaired renal function (due to the need for metal ion excretion)—were all definitively ruled out.

Surgical Technique and Intervention

The patient was brought to the operating room and placed under general endotracheal anesthesia. A Foley catheter was inserted, and sequential compression devices were applied to the bilateral upper extremities and the contralateral lower extremity. Intravenous prophylactic antibiotics (Cefazolin 2g) and Tranexamic Acid (1g) were administered prior to incision.

Patient Positioning and Approach

The patient was positioned in the lateral decubitus position on a standard radiolucent operating table. Rigid pelvic positioners were applied to the pubic symphysis and the sacrum to ensure absolute stability of the pelvis during acetabular preparation. The right lower extremity was prepped and draped in standard sterile orthopedic fashion, allowing for free manipulation of the limb.

A standard posterior approach (Moore or Southern approach) was utilized. While some surgeons advocate for a surgical dislocation or an anterior approach for resurfacing, the posterior approach provides excellent, extensile exposure of both the acetabulum and the proximal femur. Meticulous care must be taken during the posterior approach to preserve the vascular supply to the remaining femoral head. The medial circumflex femoral artery, which provides the primary blood supply via the retinacular vessels, courses posteriorly and superiorly.

A 15 cm curvilinear incision was made centered over the greater trochanter. The fascia lata and gluteus maximus fascia were incised in line with the skin incision. The gluteus maximus was split bluntly along its muscle fibers. The short external rotators (piriformis, superior gemellus, obturator internus, inferior gemellus) were identified. A stay suture was placed in the conjoined tendon of the short external rotators, and they were tenotomized close to their insertion on the greater trochanter. Crucially, the quadratus femoris was left intact to protect the ascending branch of the medial circumflex femoral artery.

A thorough capsulotomy was performed. Unlike standard Total Hip Arthroplasty where the capsule is often excised, a T-shaped capsulotomy was utilized, preserving the capsular flaps for robust posterior repair to enhance stability and protect the retinacular vessels. The hip was then dislocated posteriorly with gentle flexion, adduction, and internal rotation.

Femoral Preparation and Component Implantation

The surgical sequence in Hip Resurfacing Arthroplasty typically begins with the preparation of the femur, as the size of the femoral component dictates the size of the acetabular component.

Image

The most critical step in the entire procedure is the accurate placement of the central guide pin in the femoral neck. This pin dictates the alignment of the femoral component. The goal is to place the pin in slight relative valgus (typically 135 to 140 degrees) and neutral version relative to the native femoral neck. Varus positioning is strictly avoided, as it places the superior femoral neck under tension, drastically increasing the risk of postoperative femoral neck fracture.

Using specialized alignment jigs and fluoroscopic confirmation, the central guide pin was advanced from the lateral aspect of the greater trochanter, through the center of the femoral neck, and into the center of the femoral head. Once optimal positioning was confirmed radiographically, a cannulated drill was used to create the central channel for the femoral component stem.

Image

Following central drilling, a cylindrical reamer was passed over the guide pin to machine the peripheral aspect of the femoral head. Extreme caution was exercised to ensure the reamer did not notch the superior or anterior femoral neck. Notching creates a severe stress riser and is a leading cause of early catastrophic failure. After cylindrical reaming, a chamfer reamer was utilized to shape the dome of the femoral head to match the internal geometry of the prosthesis. The prepared femoral head was then carefully measured to confirm the templated size (50 mm).

Attention was then turned to the acetabulum. The acetabulum was exposed using standard retractors (anterior, inferior, and posterior). The labrum and peripheral osteophytes were excised. The true floor of the acetabulum (cotyloid fossa) was identified. Sequential hemispherical reaming was performed, starting at 46 mm and progressing to 54 mm, achieving a bleeding subchondral bone bed while preserving the subchondral plate.

A 56 mm highly cross-linked, porous-coated, solid titanium acetabular shell with a cobalt-chromium articulating surface was impacted into place. The target orientation was 40 degrees of inclination and 20 degrees of anteversion. Accurate acetabular positioning is absolutely critical in metal-on-metal bearings. Excessive inclination (greater than 45 degrees) leads to edge loading, which disrupts the fluid-film lubrication, causing exponential increases in metal wear debris and subsequent adverse local tissue reactions. The component achieved excellent press-fit stability.

Image

The femoral preparation was then finalized. The sclerotic bone on the dome of the prepared head was drilled with a 2.0 mm drill bit to multiple depths to enhance cement interdigitation. The bone was thoroughly lavaged with pulsatile irrigation and dried meticulously with hydrogen peroxide and dry lap sponges.

High-viscosity polymethylmethacrylate bone cement was mixed and applied to the internal surface of the 50 mm cobalt-chromium femoral component. The component was then impacted onto the prepared femoral head. Crucially, the cement is used only for fixation of the dome of the prosthesis; the central stem is uncemented to prevent a stress shield effect and allow for osseointegration or fibrous stabilization. Excess cement was meticulously removed from the head-neck junction.

Following cement curing, the hip was reduced. Stability was assessed and found to be exceptional, with no impingement or tendency for dislocation in extreme flexion, adduction, internal rotation, or extension and external rotation. The joint was copiously irrigated. The posterior capsule and short external rotators were meticulously repaired through transosseous drill holes in the greater trochanter to restore anatomical tension and protect the vascular supply. The fascia, subcutaneous tissue, and skin were closed in layers.

Post Operative Protocol and Rehabilitation

The patient was transferred to the Post-Anesthesia Care Unit in stable condition. Postoperative radiographs confirmed excellent component positioning, with the femoral component in slight valgus relative to the femoral neck, no evidence of notching, and the acetabular component seated with appropriate inclination and anteversion.

Image

Phased Recovery Strategy

The rehabilitation protocol following Hip Resurfacing Arthroplasty is distinct from standard Total Hip Arthroplasty due to the theoretical risk of femoral neck fracture in the early postoperative period before bone remodeling occurs.

Phase 1: Immediate Postoperative (Weeks 0-2)
The primary goals during this phase are pain control, prevention of deep vein thrombosis, and early mobilization. The patient was made weight-bearing as tolerated with the use of two crutches. While full weight-bearing is technically permitted, the use of crutches is strongly encouraged to mitigate peak impact forces across the femoral neck during the initial healing phase. Deep vein thrombosis prophylaxis consisted of Aspirin 81 mg twice daily for four weeks, given the patient's low risk profile. Physical therapy focused on isometric gluteal and quadriceps sets, ankle pumps, and gentle active-assisted range of motion. Hip flexion was limited to 90 degrees, and extreme internal rotation was avoided to protect the posterior capsular repair.

Phase 2: Early Rehabilitation (Weeks 2-6)
At the two-week mark, surgical staples were removed, and the incision was well-healed. The patient transitioned from two crutches to a single cane, and eventually to unassisted ambulation as normal gait mechanics were restored and the abductor lurch resolved. Therapy progressed to closed kinetic chain exercises, including mini-squats, weight shifts, and stationary cycling with low resistance. Pool therapy was initiated once the wound was completely sealed.

Phase 3: Advanced Strengthening (Weeks 6-12)
By week six, radiographic evaluation demonstrated no evidence of component migration or radiolucent lines, and early bone remodeling at the head-neck junction was apparent. The patient was cleared for advanced strengthening. This included progressive resistance exercises for the hip abductors, extensors, and core musculature. Proprioceptive training using balance boards was integrated. Elliptical training and brisk walking were encouraged. Impact activities were strictly prohibited during this phase to allow for continued trabecular remodeling and strengthening of the femoral neck.

Phase 4: Return to Sport (Months 3-6+)
At three months postoperative, the patient demonstrated full, pain-free range of motion, 5/5 strength in all muscle groups, and a normal, symmetric gait pattern. Radiographs confirmed stable implants with mature osseointegration. He was cleared to begin a graduated return to running program, starting with a walk-jog interval protocol on a treadmill. Return to martial arts was delayed until six months postoperative to ensure maximal tensile strength of the capsular repair and complete bone remodeling. The return to martial arts was phased, beginning with non-contact drills and progressing to full sparring over a three-month period.

Clinical Pearls and Pitfalls

Hip Resurfacing Arthroplasty is a technically demanding procedure with a steep learning curve. While it offers unparalleled functional outcomes for the correctly selected patient, technical errors are unforgiving and rapidly lead to catastrophic failure.

Avoiding Complications

Pearl: Meticulous Patient Selection
The success of this procedure is entirely dependent on patient selection. Deviating from the ideal demographic (young male, large bone structure, primary osteoarthritis, excellent bone density) exponentially increases the risk of failure. Female patients, patients with avascular necrosis, and patients with inflammatory arthropathies should generally be steered toward standard Total Hip Arthroplasty.

Pitfall: Femoral Neck Notching
Notching of the superior or anterior femoral neck during cylindrical reaming creates a massive stress riser in a region subjected to high tensile forces during weight-bearing. This is the primary cause of early postoperative femoral neck fractures. If a notch is inadvertently created, the surgeon must be prepared to abandon the resurfacing and immediately convert to a standard Total Hip Arthroplasty.

Pearl: Valgus Pin Placement
The central guide pin must be placed in slight relative valgus (typically 5-10 degrees more valgus than the native neck-shaft angle). This orientation converts shear forces across the femoral neck into compressive forces, which are better tolerated by the bone and promote favorable remodeling. Varus positioning places the superior neck under tension and is a well-documented risk factor for fracture.

**Pitfall: Acetabular Mal


Dr. Mohammed Hutaif
Medically Verified Content by
Prof. Dr. Mohammed Hutaif
Consultant Orthopedic & Spine Surgeon
Chapter Index