Uncemented Acetabular Revision: Optimizing Hemispherical Cup Use
Uncemented Acetabular Revision with Hemispherical Cup INDICATIONS AND CONTRAINDICATIONS A hemispherical cemen…
RECONSTRUCTION
Uncemented Acetabular Revision with Hemispherical Cup INDICATIONS AND CONTRAINDICATIONS A hemispherical cemen…
Cemented Stems, Impaction Grafting, and Cement in Cement Revision INDICATIONS AND CONTRAINDICATIONS The incre…
INDICATIONS Approaching the hip joint from a posterior direction was originally described by the German surge…
Modular Stems INDICATIONS While useful in most hips requiring primary total hip arthroplasty (THA), modular f…
Cemented Acetabular Component in Total Hip Arthroplasty INTRODUCTION The popularization of total hip arthropl…
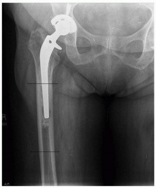
Dr.Mohammad Hutaif , Emial Extensively porous-coated cylindrical uncemented femoral stems are a type of impla…
The Tapered Stem Cementless fixation in total hip arthroplasty emerged as a result of the perceived need for …
INDICATIONS/CONTRAINDICATIONS There has been an increased interest in the anterior approach for total hip art…
PERIPROSTHETIC FRACTURES TOTAL HIP ARTHROPLASTY Femoral Shaft Fractures Epidemiology Intraoperative: There is…
Introduction For the possible concept of anatomical primary hip replacement various types of prosthesis have …
Introduction Excellent long-term results have been achieved with both conventional cemented and cementless im…
Introduction Total hip replacement (THR) is widely considered as one of the most successful orthopedic proced…