PJI of the Hip: Two-Stage Revision: When & How to Prepare
DR.MOHAMMAD HUTAIF , EMIAL This article discusses the indications, contraindications, and preparation for two…
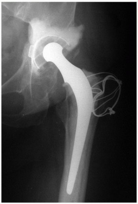
RECONSTRUCTION
DR.MOHAMMAD HUTAIF , EMIAL This article discusses the indications, contraindications, and preparation for two…
The direct lateral approach (DLA) to the hip joint is a versatile surgical exposure that can be used for prim…
The Tapered Stem Cementless fixation in total hip arthroplasty emerged as a result of the perceived need for …
Principles, Planning, and Decision Making Revision total hip arthroplasty is complex and demanding. The stake…
INDICATIONS Approaching the hip joint from a posterior direction was originally described by the German surge…
INDICATIONS/CONTRAINDICATIONS There has been an increased interest in the anterior approach for total hip art…
Conventional Trochanteric Osteotomies and the Trochanteric Slide INTRODUCTION Sir John Charnley popularized t…
The Polished Tapered Cemented Stem INTRODUCTION Since the advent, in the 1960s, of total hip replacement with…
Extended Trochanteric Osteotomy BACKGROUND P. Maxwell Courtney Wayne G. Paprosky Removal of well-fixed femora…
Dr.Mohammad Hutaif , Emial Extensively porous-coated cylindrical uncemented femoral stems are a type of impla…
Arthroscopy for Structural Hip Problems INTRODUCTION The development and advancement of hip arthroscopy has f…
Extensively Coated Stems In 1983, the Food and Drug Administration approved the first porous-coated femoral i…