Mastering the Mirel Scoring System: Prevent Fractures

Key Takeaway
This topic focuses on Mastering the Mirel Scoring System: Prevent Fractures, The **mirel scoring system** predicts the risk of pathologic fractures in patients with metastatic bone lesions. It utilizes four main criteria: radiographic appearance (lytic, blastic, mixed), lesion size relative to the shaft diameter, anatomical site of the lesion, and the characteristics of associated pain. A history of radiation to the lesion is not included in this scoring system.
Introduction & Epidemiology
Pathological fractures in patients with metastatic bone disease represent a significant and debilitating complication, profoundly impacting patient quality of life, increasing morbidity, and often correlating with decreased survival. As advancements in cancer diagnostics and therapeutics lead to prolonged patient survival, the incidence and prevalence of skeletal-related events (SREs), including pathological fractures, continue to rise. Metastatic bone disease occurs in 30-70% of cancer patients, with primary tumors of the breast, prostate, lung, kidney, thyroid, and multiple myeloma accounting for the vast majority.
The critical distinction between an established pathological fracture and an impending one is paramount. While established fractures necessitate urgent stabilization, the management of impending fractures aims at prophylactic stabilization, which has consistently demonstrated superior functional outcomes, reduced pain, lower complication rates, and shorter hospital stays compared to treating an acute fracture.
The Mirel scoring system, introduced by Mirel in 1989, provides a quantitative framework for assessing the risk of impending pathological fracture in long bones. This evidence-based tool integrates four key parameters: the site of the lesion, the character of the lesion (lytic, blastic, mixed), the size of the lesion, and the patient's pain level. By assigning a score to each parameter, a cumulative score guides orthopedic surgeons in making informed decisions regarding prophylactic surgical intervention versus non-operative management. A thorough understanding and judicious application of the Mirel score are essential for orthopedic surgeons involved in the care of oncology patients, enabling proactive management to prevent devastating SREs.
Surgical Anatomy & Biomechanics
Surgical anatomy and biomechanics are foundational to understanding the pathophysiology of impending pathological fractures and designing effective prophylactic interventions. Metastatic lesions predominantly affect the axial skeleton and proximal long bones (femur, humerus), due to their rich red marrow content.
Anatomy of Common Sites
- Femur: The proximal femur (femoral neck, intertrochanteric, subtrochanteric regions) and femoral shaft are common sites for metastases. The subtrochanteric region, in particular, is a high-stress area susceptible to bending and torsional forces during gait.
- Humerus: The proximal humerus and humeral shaft are frequently involved. Lesions here compromise the stability required for upper limb function, especially abduction and external rotation.
- Tibia: While less common than the femur or humerus, tibial metastases do occur, particularly in the proximal metaphysis and diaphysis.
Understanding the specific bone anatomy, including cortical thickness, medullary canal diameter, and muscle attachments, is crucial for implant selection and surgical planning. Neurovascular bundles are in close proximity to many long bones, necessitating meticulous surgical dissection.
Biomechanics of Pathological Fractures
Metastatic lesions compromise the structural integrity of bone through osteolytic activity, osteoblastic reaction, or a combination thereof.
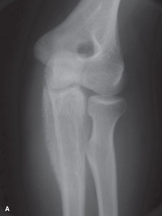
1. Stress Risers: Lytic lesions act as stress risers, concentrating mechanical stresses and significantly reducing the bone's ability to withstand normal physiological loads. Even seemingly small lesions can create disproportionately large stress concentrations.
2. Cortical Destruction: The extent of cortical destruction is a primary determinant of fracture risk. A cortical breach of 50% or more significantly increases the probability of fracture under normal loading conditions.
3. Mechanical Loading:
* Femur: Experiences high bending, torsional, and axial loads, particularly in the subtrochanteric region. A lesion here creates a short lever arm, amplifying stress.
* Humerus: Primarily subject to bending and torsional forces during lifting and rotational movements.
* Tibia: Primarily experiences axial compression and bending.
4. Bone Material Properties: Metastatic bone is inherently weaker than healthy bone due to tumor infiltration, osteolysis, and altered bone remodeling. Adjuvant treatments like radiation therapy can further compromise bone quality, increasing brittleness.
5. Lesion Characteristics:
* Lytic lesions (e.g., renal cell, thyroid, lung cancer) destroy bone matrix, creating substantial defects.
* Blastic lesions (e.g., prostate cancer) often appear dense but may still have compromised internal architecture, making them brittle.
* Mixed lesions combine features of both.
6. Pain as a Biomechanical Indicator: Weight-bearing pain or pain at rest, particularly if progressive, often indicates microfractures, impending cortical failure, or significant periosteal irritation, signaling increased biomechanical instability. The Mirel score incorporates pain as a critical parameter, reflecting this biomechanical warning sign.
Prophylactic stabilization aims to restore biomechanical integrity by bypassing the weakened segment with a robust implant, effectively neutralizing the stress riser and allowing continued weight-bearing or functional use, thus preventing an acute fracture. The chosen implant must be strong enough to withstand anticipated loads for the patient's expected lifespan and ideally allow for local tumor control with adjunctive radiation.
Indications & Contraindications
The decision to proceed with prophylactic surgical stabilization of an impending pathological fracture is multifactorial, integrating the Mirel score with patient-specific factors such as overall prognosis, functional status, primary tumor biology, and response to adjuvant therapies. The primary objective is to improve patient quality of life by preventing acute fracture, reducing pain, and maintaining function.
Indications for Prophylactic Fixation
The Mirel scoring system assigns points based on:
* Site: Upper limb (1), lower limb (2), peritrochanteric (3)
* Pain: Mild (1), moderate (2), functional (3)
* Lesion: Blastic (1), mixed (2), lytic (3)
* Size: <1/3 cortical destruction (1), 1/3-2/3 cortical destruction (2), >2/3 cortical destruction (3)
-
Mirel Score Interpretation:
- Score ≤ 7: Generally managed non-operatively with close monitoring, analgesia, radiation therapy, and systemic treatments (e.g., bisphosphonates, denosumab).
- Score 8-9: Strong consideration for prophylactic fixation. This range represents a gray zone where clinical judgment, patient prognosis, and tumor type heavily influence the decision. Many surgeons advocate for surgical intervention in this group, especially if pain is increasing or life expectancy is reasonable.
- Score 10-12: Prophylactic fixation is highly recommended, as the risk of fracture is very high, often exceeding 30% for a score of 8 and approaching 100% for a score of 12.
-
Factors Influencing Decision Beyond Mirel Score:
- Patient Prognosis/Life Expectancy: A patient with a life expectancy greater than 3 months is generally considered a candidate for prophylactic surgery, as they will likely benefit from the functional recovery period.
- Primary Tumor Histology: Certain tumors, such as renal cell carcinoma and thyroid carcinoma, are highly lytic, hypervascular, and relatively radioresistant, increasing fracture risk and favoring early surgical intervention. Myeloma, breast, and prostate cancer metastases are often more radiosensitive.
- Expected Functional Demands: Active, ambulatory patients benefit significantly from prophylactic stabilization to maintain independence.
- Pain: Progressive, unremitting, or weight-bearing pain, especially if poorly controlled by analgesics, is a strong indication for intervention, even if the Mirel score is borderline. Pain often signals microfractures or imminent macroscopic failure.
- General Medical Condition and Performance Status: Patients with good Karnofsky or ECOG performance status are better surgical candidates.
- Availability of Adjuvant Therapy: Radiation therapy is almost always indicated post-operatively for local control, but surgery should not be delayed waiting for radiation.
Contraindications for Prophylactic Fixation
- Extremely Short Life Expectancy (<1-2 months): If the patient's prognosis is too poor to recover from surgery and benefit functionally, comfort care and non-operative measures may be more appropriate.
- Poor Surgical Candidate: Severe comorbidities (e.g., uncontrolled cardiac failure, severe respiratory insufficiency) that make the risks of surgery prohibitive.
- Rapidly Progressing Systemic Disease: If the overall disease burden and systemic symptoms overshadow the local skeletal issue, and palliation of other symptoms is the priority.
- Patient Refusal: After thorough counseling, if the patient declines surgery.
- Lesions Responding Robustly to Non-Operative Measures: Rare instances where pain resolves, and the lesion shows evidence of healing (e.g., sclerotic changes) with radiation or systemic therapy, reducing immediate fracture risk. However, vigilance is maintained.
Operative vs. Non-Operative Indications
| Criterion | Operative Indications (Prophylactic Fixation) | Non-Operative Indications (Conservative Management) |
|---|---|---|
| Mirel Score | ≥ 8 (especially 10-12); clinical judgment always overrides, especially with increasing pain or poor lesion characteristics. | < 8 (monitor closely, consider radiation, bisphosphonates/denosumab). |
| Lesion Size/Cortical Defect | > 50% cortical destruction, large lytic lesion (>2.5-3 cm diameter), impending fracture signs (e.g., endosteal scalloping). | Small, sclerotic, or mixed lesions; < 50% cortical involvement, stable on serial imaging. |
| Pain | Progressive, severe, weight-bearing pain, unremitting with analgesics, functional limitation. | Mild, non-progressive pain; responsive to oral analgesics. |
| Lesion Location | High-stress areas (e.g., subtrochanteric femur, femoral neck, weight-bearing diaphyseal lesions). | Low-stress areas (e.g., non-weight-bearing bones unless significant risk), small humeral lesions. |
| Primary Tumor | Renal cell carcinoma, thyroid carcinoma (often highly lytic, hypervascular, less responsive to radiation). | Multiple myeloma, breast, prostate (often more radiosensitive, sclerotic component). |
| Patient Prognosis | Life expectancy > 3 months, good functional status, able to tolerate surgery and rehabilitation. | Life expectancy < 1-2 months, poor functional status (Karnofsky < 40%), significant comorbidities. |
| Functional Demand | Ambulatory, desirous of maintaining mobility and independence. | Non-ambulatory, palliative care focused on comfort; extensive neurological deficits. |
| Prior Treatment | Failed non-operative management, impending fracture despite prior radiation or systemic therapy. | Initial presentation, good response to systemic or radiation therapy, no immediate fracture risk. |
Pre-Operative Planning & Patient Positioning
Thorough pre-operative planning is crucial for optimizing outcomes in prophylactic fixation for impending pathological fractures. It encompasses a comprehensive medical, oncological, and surgical assessment.
Comprehensive Assessment
- Medical Workup: A complete evaluation of the patient's overall health status, including cardiac, pulmonary, renal, and hematologic function. This often involves consultations with internal medicine, cardiology, pulmonology, and anesthesia to optimize the patient for surgery.
- Oncologic Workup: Close collaboration with the patient's medical oncologist and radiation oncologist is paramount. Understanding the primary tumor histology, systemic disease burden, planned systemic therapies, and prior/planned radiation therapy guides surgical decision-making and post-operative management. Biopsy for definitive diagnosis may be required if the primary is unknown or if there is concern for a new primary.
- Nutritional Status: Malnutrition is common in cancer patients and can impair wound healing and recovery. Nutritional assessment and optimization are important.
- Pain Management Plan: A multi-modal pain management strategy should be established pre-operatively, involving oral analgesics, nerve blocks, and patient-controlled analgesia (PCA) post-operatively.
Imaging
Detailed imaging is essential for accurate lesion characterization, surgical planning, and implant selection.
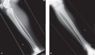
1. Plain Radiographs (AP/Lateral): Initial assessment of the lesion, cortical integrity, and overall bone architecture. Used for Mirel score size and character assessment.
2. Computed Tomography (CT) Scan: Provides detailed information on cortical destruction, medullary canal involvement, soft tissue extension, and precise lesion dimensions. Crucial for planning implant length and diameter, and for assessing the extent of lytic defects requiring augmentation.
3. Magnetic Resonance Imaging (MRI): Best for evaluating soft tissue involvement, intramedullary extension, neurological compromise (if applicable), and identifying additional lesions not seen on plain films.
4. Bone Scan/PET Scan: Identifies other skeletal metastases, helping to determine the overall burden of disease and guide further prophylactic interventions if necessary.
5. CT Angiography: For highly vascular tumors (e.g., renal cell carcinoma, thyroid carcinoma), to assess feeding vessels for potential pre-operative embolization.
Surgical Implants Selection
The choice of implant depends on the bone involved, lesion location, size, and the patient's expected activity level.
1. Intramedullary Nailing (IMN):
* Indication: Lesions involving the diaphysis, metaphysis, and subtrochanteric region of long bones (femur, humerus, tibia). IMNs are load-sharing devices that provide excellent axial and torsional stability.
* Advantages: Minimally invasive, preserves periosteal blood supply, allows early weight-bearing.
* Key Principle: The nail must bypass the entire lesion proximally and distally into healthy bone, ideally spanning the entire length of the bone (e.g., from trochanter to condyles for femoral shaft lesions) to prevent re-fracture at new stress risers adjacent to the implant.
2. Plate Fixation:
* Indication: Periarticular lesions, very large lytic defects, complex fractures, or when IMN is not feasible (e.g., distorted medullary canal, specific anatomical constraints).
* Advantages: Versatile, allows for reconstruction of complex defects. Locking plates are preferred in osteoporotic or diseased bone.
* Key Principle: The plate must be long enough to bridge the lesion with adequate working length and secure fixation (minimum 3-4 screws/cortices) in healthy bone both proximally and distally.
3. Cement Augmentation (Polymethylmethacrylate - PMMA):
* Indication: Used in conjunction with IMN or plating to fill large lytic defects, providing immediate structural support and enhancing implant stability. PMMA also has a localized cytotoxic effect due to heat generation.
* Technique: Curettage of the tumor, followed by meticulous packing of PMMA into the defect. For IMNs, the "wet cement technique" where the nail is passed through curing cement is often employed.
4. Arthroplasty/Endoprosthetic Replacement:
* Indication: Extensive destruction of periarticular bone (e.g., femoral head/neck, proximal humerus) or failure of internal fixation.
* Advantages: Durable, allows immediate motion and weight-bearing.
* Consideration: More invasive, higher cost, but often the best option for long-term function in specific scenarios.
Pre-operative Embolization
For highly vascular lesions (e.g., renal cell carcinoma, thyroid carcinoma), pre-operative angiographic embolization (typically 24-72 hours prior to surgery) can significantly reduce intraoperative blood loss, improve visualization, and shorten operative time.
Patient Positioning
Patient positioning is critical for surgical access, proper implant insertion, and prevention of iatrogenic injury.
* Femur: Supine on a fracture table or lateral decubitus for antegrade IMN. Fracture table facilitates reduction, traction, and C-arm access. Lateral decubitus allows free draping of the extremity.
* Humerus: Beach chair position or lateral decubitus.
* Tibia: Supine with knee flexed.
* General Considerations: Meticulous padding of pressure points, careful attention to nerve and vascular protection, and ensuring unrestricted C-arm access in multiple planes.
Detailed Surgical Approach / Technique
The goal of prophylactic fixation is to stabilize the bone segment at risk, prevent fracture, and facilitate local tumor control. The choice of surgical technique is highly dependent on the bone involved, lesion location, extent, and the chosen implant. While specific approaches vary, general principles apply.
General Principles of Prophylactic Fixation
- Encompass the Lesion: The chosen implant must span the entire metastatic lesion, extending into healthy cortical bone both proximally and distally. This prevents stress risers at the implant ends and reduces the risk of re-fracture.
- Adequate Fixation: Ensure sufficient screws or interlocks in healthy bone proximal and distal to the lesion to achieve stable fixation.
- Biopsy: If the diagnosis is uncertain or requires confirmation, a biopsy should be performed, either as an open biopsy during the approach or via core needle biopsy.
- Tumor Resection/Curettage & Augmentation: For large lytic defects, accessible tumor can be curetted, and the cavity augmented with PMMA cement. This immediately strengthens the bone, provides stability, and the exothermic reaction of PMMA may have a local cytotoxic effect.
- Adjuvant Therapy: Post-operative radiation therapy is almost always indicated to achieve local tumor control and promote healing, often starting 2-4 weeks post-surgery.
Intramedullary Nailing
IMN is the preferred method for prophylactic fixation of impending fractures in the diaphysis and metaphysis of long bones due to its load-sharing characteristics, minimal soft tissue disruption, and high biomechanical stability.
- Approach & Internervous Plane:
- Proximal Femur (Subtrochanteric/Diaphyseal): Standard piriformis fossa or greater trochanteric entry point. The piriformis entry requires splitting the gluteus medius/minimus; the greater trochanteric entry is more lateral.
- Humeral Shaft: Antegrade (from greater tuberosity) or retrograde (from olecranon fossa). Antegrade often uses a deltoid split or supraspinatus split. Retrograde uses a triceps split.
- Tibial Shaft: Antegrade (from proximal tibia). Requires incision through patellar tendon.
- Technique (Femur Example):
- Entry Point: Following the chosen approach, an awl or drill creates the entry portal, aligned with the medullary canal in both AP and lateral views under fluoroscopic guidance.
- Canal Reaming: The medullary canal is reamed sequentially to the desired diameter. Over-reaming by 1-2 mm compared to the nail diameter is common. If PMMA augmentation is planned, slight over-reaming facilitates cement introduction.
- Tumor Curettage & Cementation (Optional but often beneficial): If there is a large lytic defect, a curette can be used to debulk accessible tumor. The defect is then meticulously packed with PMMA. For the "wet cement technique," low-viscosity PMMA is inserted via a cement gun or syringe, and the nail is inserted through the still-soft cement. This fills the defect and locks the nail securely.
- Nail Insertion: A properly sized intramedullary nail (length and diameter) is inserted. The nail must traverse the entire lesion and extend significantly into healthy bone proximally and distally (e.g., from the greater trochanter to within 2-3 cm of the femoral condyles).
- Locking: Proximal and distal interlocking screws are inserted under fluoroscopic guidance. Multiple locking screws are generally preferred for maximum stability in compromised bone.
- Closure: Standard layered closure.
Plate Fixation
Plate fixation is indicated for periarticular lesions, very large lytic lesions, or when IMN is not feasible.
- Approach & Internervous Plane:
- Humeral Shaft: Anterolateral approach (deltopectoral interval, retracting cephalic vein) or direct lateral approach (Henry approach, between brachialis and brachioradialis). Posterior approach (triceps split) for posterior lesions. Careful identification and protection of the radial nerve (posterior approach) or musculocutaneous nerve (anterior/anterolateral).
- Distal Femur: Lateral approach, often splitting the vastus lateralis.
- Technique (Humerus Example):
- Exposure: The lesion and surrounding bone are exposed.
- Plate Selection: A long, rigid locking plate (e.g., LCP) is typically chosen. The plate should be long enough to span the lesion with a minimum of 6 cortices (3 screws) proximally and distally in healthy bone.
- Tumor Curettage & Cementation (Optional): Similar to IMN, accessible tumor can be curetted, and the defect augmented with PMMA before plate application.
- Plate Application: The plate is contoured and applied to the bone. Screws are inserted through the plate into the bone, ensuring good purchase in healthy bone segments. Locking screws are particularly beneficial in diseased or osteoporotic bone.
- Closure: Careful layered closure, ensuring nerve and vessel integrity.
Adjunctive Procedures
- Vessel Ligation/Embolization: Pre-operative embolization for hypervascular tumors.
- Biopsy: For diagnostic purposes, if not already performed.
- Thermal Ablation: Rarely used directly during open fixation, but may be an option for small, contained lesions as a standalone treatment or in conjunction with percutaneous stabilization.
Complications & Management
Despite careful planning and execution, surgical interventions for impending pathological fractures are associated with a distinct set of complications, often compounded by the patient's underlying malignancy, compromised bone quality, and systemic treatments.
General Surgical Complications
These are common to most orthopedic procedures:
* Infection: Superficial or deep wound infection (incidence 1-5%). Higher in immunocompromised cancer patients.
* Bleeding/Hematoma: Significant blood loss, especially with hypervascular tumors.
* Nerve/Vascular Injury: Iatrogenic injury during dissection or implant insertion.
* Anesthetic Complications: Related to patient comorbidities and prolonged surgery.
* Deep Venous Thrombosis (DVT) / Pulmonary Embolism (PE): Cancer patients have a significantly elevated risk of thromboembolic events.
Specific Complications in Pathological Fracture Surgery
- Hardware Failure (5-20%): This includes implant breakage, loosening, pullout, or migration. It is often due to continued tumor progression, inadequate fixation, poor bone quality, or insufficient construct length.
- Management: Revision surgery is often required, involving a longer or stronger implant, a different fixation method (e.g., converting plate to IMN, or vice versa), or cement augmentation. In cases of extensive bone loss, endoprosthetic replacement may be necessary.
- Local Tumor Progression/Recurrence (10-30%): Despite prophylactic fixation, tumor cells can persist or regrow locally, leading to pain, osteolysis around the implant, or a new impending fracture adjacent to the construct.
- Management: Adjuvant radiation therapy is standard post-operatively to mitigate this risk. If recurrence occurs, systemic therapy optimization, further radiation, revision surgery with wider resection (if oncologically appropriate), or endoprosthetic replacement may be considered. Amputation is a salvage option in extreme, debilitating cases.
- Refracture Adjacent to Implant (5-10%): Occurs when the initial implant does not adequately span the entire at-risk bone segment, or when a new metastatic lesion develops just proximal or distal to the original construct.
- Management: Extension of fixation, revision to a longer implant, or a different fixation strategy that addresses the newly identified stress riser.
- Nonunion/Delayed Union (5-15%): Healing of the surgically created osteotomy (if performed) or the host bone around the implant can be impaired by tumor burden, radiation therapy, systemic anti-cancer treatments, and poor bone quality.
- Management: While true bony union is often not the primary goal in palliative fixation, stability is key. Further radiation, systemic agents, and potentially revision fixation with cement augmentation may be employed. Biologic augmentation (e.g., bone graft substitutes) may be considered but evidence in metastatic disease is limited.
- Persistent or New Pain (Variable): Despite successful fixation, patients may experience persistent pain (due to tumor, nerve irritation) or new pain (due to hardware irritation, new lesions, or soft tissue injury).
- Management: Optimization of multi-modal analgesia, radiation therapy to any residual tumor, revision surgery for hardware removal (if causing irritation), nerve blocks, or psychological support.
- Fat Embolism Syndrome (FES) (<1% severe): A rare but potentially life-threatening complication, particularly with IMN, due to the release of intramedullary fat globules into the circulation.
- Management: Prevention (gentle reaming, venting the canal), and supportive care if it occurs (respiratory support).
- Systemic Complications: Exacerbation of underlying cancer, worsening cachexia, renal dysfunction, or cardiac events. These require close collaboration with the medical oncology team.
Common Complications, Incidence, and Salvage Strategies
| Complication | Incidence (Approximate) | Salvage Strategy |
|---|---|---|
| Hardware Failure | 5-20% | Revision surgery (longer/stronger implant, different fixation method), cement augmentation, endoprosthetic replacement. |
| Local Tumor Progression/Recurrence | 10-30% | Adjuvant radiation therapy, systemic therapy, revision surgery with wider resection, endoprosthetic replacement, amputation. |
| Infection (Deep) | 1-5% | Debridement, irrigation, implant retention (if stable) or removal with staged reconstruction, prolonged culture-directed antibiotics. |
| Nonunion/Delayed Union | 5-15% | Radiation, systemic therapy, revision fixation with cement, limited role for biologic augmentation. |
| Refracture adjacent to implant | 5-10% | Extension of fixation, revision to longer implant, cement augmentation. |
| Deep Venous Thrombosis (DVT)/PE | 10-20% without prophylaxis | Therapeutic anticoagulation, IVC filter, early mobilization, comprehensive prophylactic regimen. |
| Pain (persistent/new) | Variable | Optimize multi-modal analgesia, radiation therapy, systemic therapy, consider hardware removal, nerve blocks, psychological support. |
| Fat Embolism Syndrome (FES) | <1% (clinically significant) | Supportive care (respiratory and hemodynamic support), prevention (gentle reaming, canal venting). |
| Nerve/Vascular Injury | <1% | Primary repair, neurolysis, vascular repair/bypass, supportive therapy. |
Post-Operative Rehabilitation Protocols
Post-operative rehabilitation following prophylactic fixation is critical for optimizing functional recovery, preventing complications, and improving the patient's quality of life. Protocols are individualized, considering the patient's overall prognosis, bone quality, specific fixation construct, primary tumor, and systemic disease. Close collaboration among the orthopedic surgeon, physical therapist, occupational therapist, oncologist, and radiation oncologist is paramount.
Immediate Post-Operative Period
- Pain Management: Aggressive, multi-modal analgesia is essential to facilitate early mobilization. This may include patient-controlled analgesia (PCA), nerve blocks, and oral opioid/non-opioid regimens.
- Deep Venous Thrombosis (DVT) Prophylaxis: Pharmacologic prophylaxis (e.g., low molecular weight heparin) is almost always indicated, combined with mechanical measures (e.g., sequential compression devices) and early mobilization due to the high risk in cancer patients.
- Wound Care: Meticulous wound care to prevent infection.
- Mobilization and Weight-Bearing:
- Lower Extremity (Femur, Tibia): For stable IMN constructs, especially with cement augmentation, immediate full weight-bearing as tolerated is often encouraged to promote bone healing and prevent disuse atrophy. For plate constructs or severely compromised bone, protected weight-bearing (toe-touch or partial) with assistive devices (walker, crutches) may be prescribed, progressing as tolerated.
- Upper Extremity (Humerus): Early active and passive range of motion (ROM) exercises of the shoulder, elbow, and wrist are initiated to prevent stiffness. Sling use for comfort and protection, but not for prolonged immobilization.
- Physical Therapy (PT): Initial focus on bed mobility, transfers, gait training with assistive devices, and gentle ROM exercises within prescribed limits.
- Occupational Therapy (OT): Addresses activities of daily living (ADLs) and provides adaptive equipment as needed.
Early Rehabilitation Phase
- Pain Control: Transition from IV to oral analgesics.
- Radiation Therapy: Typically initiated 2-4 weeks post-operatively once the surgical wound has healed and pain is controlled. This is crucial for local tumor control and prevention of further osteolysis.
- Progressive Mobilization and Strengthening:
- Lower Extremity: Gradually increase weight-bearing and ambulation distance. Progress from assistive devices to independent ambulation as strength improves. Strengthening exercises for hip, knee, and ankle musculature (quadriceps, hamstrings, gluteals).
- Upper Extremity: Continued emphasis on active and passive ROM. Gradual introduction of isometric and light resistance exercises for shoulder girdle and arm muscles.
- Endurance Training: Low-impact activities to improve cardiovascular fitness and combat cancer-related fatigue.
- Patient Education: Reinforce activity precautions, signs of complications, and the importance of adherence to rehabilitation protocols.
Long-Term Rehabilitation Phase
- Maximizing Functional Recovery: Continue with advanced strengthening, balance, proprioception, and endurance exercises tailored to the patient's functional goals and remaining life expectancy.
- Return to Activities: Guidance on returning to work, hobbies, and recreational activities, balancing desired activity levels with the structural integrity of the treated bone.
- Psychological Support: Address emotional and psychological aspects of living with cancer and surgical recovery. Referrals to support groups or counseling may be beneficial.
- Oncologic Follow-up: Regular follow-up with the oncology team for systemic disease management and surveillance for local recurrence or new metastases. Imaging (X-rays, CT, MRI) at intervals to monitor implant integrity and bone healing.
- Ongoing Education: Emphasize the importance of maintaining an active lifestyle within safe limits, proper body mechanics, and avoiding high-impact activities that could stress the treated bone.
Key Considerations:
* Individualization: Protocols must be dynamic and adapted based on the patient's response, pain levels, and overall clinical picture.
* Communication: Regular communication among the entire care team ensures a cohesive and effective rehabilitation plan.
* Balance: A delicate balance must be struck between aggressive rehabilitation to restore function and preventing undue stress on compromised bone, particularly during or after radiation therapy.
Summary of Key Literature / Guidelines
The Mirel scoring system remains a cornerstone in the orthopedic management of impending pathological fractures due to bone metastases. Its utility is widely recognized, supported by extensive literature and incorporated into major clinical guidelines.
Mirels Original Work and Validation
- Mirel, H. J. (1989). Metastatic bone disease. A critical review. Orthopedic Clinics of North America, 20(4), 501-512. This seminal work outlined the scoring system, providing a quantitative method to predict fracture risk, thereby enabling prophylactic intervention.
- Numerous subsequent studies have validated Mirel's original criteria, confirming its predictive value. While the precise fracture risk at each score may vary slightly across studies, the overarching principle that higher scores correlate with increased fracture risk remains consistently demonstrated.
Clinical Practice Guidelines
- National Comprehensive Cancer Network (NCCN) Guidelines: The NCCN guidelines for bone metastases explicitly acknowledge and often reference the Mirel score as a critical tool for assessing fracture risk and guiding surgical decision-making. They emphasize a multidisciplinary approach involving orthopedic surgeons, medical oncologists, and radiation oncologists.
- Musculoskeletal Tumor Society (MSTS) Consensus Statements: MSTS provides guidance on the management of metastatic bone disease, often endorsing the use of scoring systems like Mirel's to standardize risk assessment and promote evidence-based treatment.
- Other Professional Societies: Organizations like the American Academy of Orthopaedic Surgeons (AAOS) and various international orthopedic oncology groups consistently support the principles of prophylactic fixation guided by fracture risk assessment tools.
Role of Adjuvant Therapies
- Radiation Therapy: Post-operative radiation therapy is a standard adjuvant treatment. Studies consistently show that radiation therapy to the fixed metastatic lesion improves local control, reduces pain, and may enhance implant longevity by inhibiting tumor progression around the hardware. It is typically administered 2-4 weeks after surgery.
- Bone-Modifying Agents (BMAs): Bisphosphonates (e.g., zoledronic acid) and denosumab (a RANKL inhibitor) are crucial in the systemic management of bone metastases. They reduce the incidence of skeletal-related events, including pathological fractures, and have been shown to delay progression of existing lesions and potentially stabilize bone around implants. Their use often continues post-operatively.
Surgical Outcomes and Efficacy
- Prophylactic Fixation vs. Fixation of Established Fractures: A substantial body of literature demonstrates superior outcomes for prophylactic fixation. Studies consistently report lower complication rates (e.g., nonunion, hardware failure), better pain control, and significantly improved functional outcomes (e.g., ambulation rates) when surgery is performed before an acute fracture occurs. Prophylactic surgery is generally less complex, associated with less blood loss, and shorter hospital stays.
- Survival Impact: While prophylactic fixation primarily targets quality of life and function, preventing an acute fracture can indirectly impact survival by reducing the systemic stress, complications, and prolonged immobilization associated with an acute event.
Current Controversies and Future Directions
- Mirel Score Threshold: While 8 is a common threshold for consideration, some argue for individualized thresholds or slight modifications to the scoring, particularly for specific tumor types or anatomical locations.
- Advanced Imaging and Biomechanical Modeling: The role of advanced imaging techniques like quantitative CT (QCT) and finite element analysis (FEA) is being explored to provide more precise patient-specific biomechanical assessments, potentially offering a more nuanced prediction of fracture risk beyond Mirel's qualitative parameters. These methods, though promising, are not yet standard clinical practice.
- Solitary vs. Multiple Lesions: The management strategy for a solitary, high-risk lesion may differ from that for widespread polyostotic disease, where systemic control becomes even more critical.
- Minimally Invasive Techniques: Continued refinement of minimally invasive techniques, including percutaneous cement augmentation and radiofrequency ablation combined with fixation, aims to reduce surgical morbidity in this often frail patient population.
- Integration with Systemic Therapies: The evolving landscape of targeted therapies and immunotherapies for cancer requires continuous re-evaluation of how these agents interact with surgical interventions and influence outcomes in bone metastases.
In conclusion, the Mirel scoring system remains an indispensable, practical tool in the orthopedic surgeon's armamentarium for managing impending pathological fractures. Its judicious application, combined with a thorough understanding of surgical biomechanics, patient prognosis, and the integral role of adjuvant therapies, forms the foundation for effective, patient-centered care in metastatic bone disease.