علاج تشوهات العظام الطويلة لدى الأطفال المصابين بتخلّق العظم الناقص: تقنية بضع العظم عبر الجلد والمسامير التلسكوبية (فاسييه-دوفال)

الخلاصة الطبية
تخلّق العظم الناقص هو اضطراب وراثي يسبب هشاشة العظام. يتضمن علاجه الجراحي الحديث تقنية بضع العظم عبر الجلد والمسامير التلسكوبية (Fassier-Duval) لتصحيح التشوهات، تقليل الألم، وتحسين وظيفة العظام الطويلة لدى الأطفال، مما يقلل المضاعفات ويسرع التعافي بفضل الحد الأدنى من التدخل الجراحي.
الخلاصة الطبية السريعة: تخلّق العظم الناقص (Osteogenesis Imperfecta) هو اضطراب وراثي يسبب هشاشة العظام الشديدة والكسور المتكررة. يتضمن علاجه الجراحي الحديث والمتقدم تقنية بضع العظم المتعدد عبر الجلد وتثبيت العظام باستخدام المسامير التلسكوبية (Fassier-Duval). تعمل هذه التقنية على تصحيح التشوهات، تقليل الألم، وتحسين وظيفة العظام الطويلة لدى الأطفال بشكل جذري، مما يقلل المضاعفات ويسرع التعافي بفضل الحد الأدنى من التدخل الجراحي.
مرحباً بكم في عالم الأمل والتقدم الطبي الرائد في جراحة العظام. يواجه الأطفال المصابون بتخلّق العظم الناقص، والمعروف شعبياً بمرض "العظام الزجاجية"، تحديات يومية هائلة بسبب هشاشة عظامهم، حيث يتعرضون لكسور متكررة وتشوهات قاسية قد تصيب العظام الطويلة (مثل عظم الفخذ والقصبة). هذه الحالة الوراثية المعقدة لا تؤثر فقط على الهيكل العظمي، بل تمتد لتؤثر بشكل كبير وعميق على جودة حياة الطفل، وحالته النفسية، وقدرته على الحركة، واللعب، والنمو بشكل طبيعي أسوة بأقرانه.



الأستاذ الدكتور محمد هطيف: المرجعية الأولى لجراحة عظام الأطفال في اليمن
عندما يتعلق الأمر بالتدخلات الجراحية المعقدة والدقيقة مثل علاج تخلّق العظم الناقص وتقويم العظام الطويلة، فإن اختيار الجراح يمثل الفارق الجوهري بين النجاح الباهر والمضاعفات المستمرة. في مركزنا الرائد في العاصمة صنعاء، وبقيادة الأستاذ الدكتور محمد هطيف، أستاذ جراحة العظام والمفاصل والعمود الفقري بجامعة صنعاء، نقدم الرعاية الطبية الأكثر تقدماً على مستوى اليمن والمنطقة.

يُعد الأستاذ الدكتور محمد هطيف الخبير الأول وأفضل طبيب جراحة عظام أطفال في اليمن، حيث يمتلك خبرة سريرية وجراحية تتجاوز 20 عاماً في التعامل مع أعقد الحالات. يرتكز نهجه الطبي على الأمانة الطبية الصارمة، والتشخيص الدقيق، واستخدام أحدث التقنيات الجراحية العالمية مثل الجراحة الميكروسكوبية، والمناظير بدقة 4K، وتقنيات التدخل المحدود (Minimally Invasive Surgery)، وعمليات تبديل المفاصل المتقدمة. إن التزام الدكتور هطيف بتقديم أفضل رعاية ممكنة يجعل من عيادته الوجهة الأولى لكل أب وأم يبحثون عن الأمل والشفاء لأطفالهم.


نظرة تشريحية شاملة: كيف يؤثر تخلّق العظم الناقص على العظام الطويلة؟
لفهم أهمية التدخل الجراحي، يجب أولاً فهم التركيب التشريحي للعظام وكيف يهاجمها هذا المرض. تتكون العظام السليمة بشكل أساسي من بروتين يُسمى "الكولاجين من النوع الأول" (Type 1 Collagen)، وهو الذي يمنح العظم مرونته وقوته الهيكلية، إلى جانب المعادن (مثل الكالسيوم والفوسفور) التي تمنحه الصلابة.

في الأطفال المصابين بتخلّق العظم الناقص، توجد طفرة جينية تؤدي إلى نقص كمية الكولاجين أو إنتاج كولاجين مشوه وغير فعال. النتيجة هي عظام هشة جداً لا تتحمل الضغط الميكانيكي العادي. العظام الطويلة، وتحديداً عظم الفخذ (Femur) وعظم القصبة (Tibia)، هي الأكثر عرضة للضرر لأنها تحمل وزن الجسم بأكمله.

مع مرور الوقت والكسور الدقيقة المتكررة، تبدأ هذه العظام في الانحناء والتقوس (Bowing Deformities). هذا الانحناء يغير من الميكانيكا الحيوية للمفاصل (الركبة والورك)، مما يسبب ألماً مزمناً، وصعوبة في المشي، وفي النهاية قد يؤدي إلى فقدان القدرة على الحركة تماماً إذا لم يتم التدخل الجراحي المناسب.


الأسباب العميقة والأعراض السريرية لمرض العظام الزجاجية
السبب الجذري لتخلّق العظم الناقص هو وراثي بالدرجة الأولى، حيث ينتقل غالباً بصفة سائدة (Autosomal Dominant)، وفي حالات نادرة بصفة متنحية. الطفرات تحدث غالباً في جينات (COL1A1) أو (COL1A2).

الأعراض الشائعة التي تستدعي زيارة الأستاذ الدكتور محمد هطيف:
- الكسور المتكررة: تحدث نتيجة إصابات طفيفة جداً أو حتى بدون سبب واضح (أثناء تغيير الملابس أو الاستحمام).
- تشوهات العظام: تقوس واضح في الساقين أو الذراعين.
- تلون صلبة العين: ظهور بياض العين بلون أزرق أو رمادي مائل للزرقة.
- ضعف الأسنان: ما يُعرف بتكوّن العاج المعيب (Dentinogenesis Imperfecta).
- فقدان السمع: يبدأ غالباً في مرحلة البلوغ أو أوائل العشرينات.
- قصر القامة: لا ينمو الأطفال المصابون بالأنواع الشديدة إلى الطول الطبيعي.
- رخوة المفاصل: زيادة في مرونة المفاصل وضعف العضلات المحيطة بها.

جدول (1): تصنيف أنواع تخلّق العظم الناقص وشدة الأعراض
| نوع المرض | الشدة | خصائص الكولاجين | الأعراض السريرية ومعدل الكسور |
|---|---|---|---|
| النوع الأول (I) | خفيف (الأكثر شيوعاً) | كمية غير كافية، لكن الجودة طبيعية | كسور قليلة، تشوهات عظمية بسيطة، صلبة عين زرقاء، قامة طبيعية تقريباً. |
| النوع الثاني (II) | قاتل (شديد جداً) | جودة رديئة جداً | كسور متعددة قبل الولادة، تشوهات قاسية، غالباً لا يعيش الطفل طويلاً. |
| النوع الثالث (III) | شديد | جودة رديئة وكمية غير كافية | كسور متكررة جداً منذ الولادة، تقوس شديد في العظام الطويلة، قصر قامة حاد. |
| النوع الرابع (IV) | متوسط | جودة رديئة، كمية كافية | كسور متكررة، تشوهات متوسطة إلى شديدة، صلبة عين بيضاء أو زرقاء فاتحة. |


الخيارات العلاجية: بين العلاج التحفظي والتدخل الجراحي المتقدم
لا يوجد حتى الآن علاج شافٍ يغير الجينات المسببة للمرض، ولكن الهدف من العلاج في عيادة الأستاذ الدكتور محمد هطيف في صنعاء هو: تقليل معدل الكسور، تصحيح التشوهات، تقليل الألم، وزيادة استقلالية الطفل وقدرته على الحركة.

أولاً: العلاج التحفظي (الدوائي والطبيعي)
ويشمل استخدام أدوية "البايفوسفونيت" (Bisphosphonates) التي تُعطى عن طريق الوريد وتعمل على زيادة كثافة العظام وتقليل معدل تكسرها. كما يشمل العلاج الطبيعي لتقوية العضلات واستخدام الجبائر الداعمة. ومع ذلك، في حالات التقوس الشديد، يصبح العلاج التحفظي غير كافٍ.

ثانياً: العلاج الجراحي (المعيار الذهبي الحديث)
تاريخياً، كانت العمليات الجراحية تتطلب شقوقاً كبيرة لكسر العظم وتعديله، مما يسبب نزيفاً حاداً وفترة تعافي طويلة ومؤلمة. أما اليوم، ومع التقدم المذهل الذي يطبقه الأستاذ الدكتور محمد هطيف، أصبح الاعتماد الكلي على تقنية بضع العظم عبر الجلد (Percutaneous Osteotomy) وتثبيت العظم باستخدام المسامير التلسكوبية (Fassier-Duval Telescopic Nails).

جدول (2): مقارنة شاملة بين الجراحة التقليدية وتقنية (Fassier-Duval) عبر الجلد
| وجه المقارنة | الجراحة التقليدية (الشق المفتوح) | تقنية بضع العظم عبر الجلد + مسمار (Fassier-Duval) |
|---|---|---|
| حجم الشق الجراحي | كبير وممتد على طول العظم | ثقوب صغيرة جداً (أقل من 1 سم) |
| فقدان الدم | كبير (غالباً يحتاج لنقل دم) | ضئيل جداً (نادر جداً الحاجة لنقل دم) |
| مواكبة نمو الطفل | المسامير العادية لا تنمو، تتطلب تغيير مستمر | المسمار التلسكوبي يتمدد مع نمو العظم |
| فترة التعافي | طويلة ومؤلمة | سريعة، ألم أقل بكثير |
| خطر العدوى | مرتفع نسبياً | منخفض جداً بفضل التدخل المحدود |
| الندبات التجميلية | ندبات كبيرة وواضحة | لا يوجد ندبات تذكر (تجميلية ممتازة) |


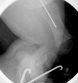
الدليل التفصيلي لخطوات العملية الجراحية: بضع العظم عبر الجلد والمسامير التلسكوبية
تُعد هذه العملية من أدق العمليات في جراحة عظام الأطفال، وتتطلب مهارة استثنائية كما هو الحال مع البروفيسور محمد هطيف. يتكون المسمار التلسكوبي (Fassier-Duval) من جزأين يتداخلان ببعضهما البعض (مثل التلسكوب). يتم تثبيت أحد الأطراف في أعلى العظم والطرف الآخر في أسفله. عندما ينمو العظم، ينزلق الجزء الداخلي من المسمار للخارج، مما يسمح للعظم بالنمو الطبيعي دون أن ينثني أو ينكسر.

الخطوة الأولى: التخطيط الجراحي الدقيق (Pre-operative Planning)
قبل العملية، يقوم الدكتور هطيف بإجراء دراسة شاملة لصور الأشعة السينية (X-rays) المأخوذة بدقة، لحساب زوايا التقوس بدقة متناهية، وتحديد نقاط بضع العظم (أماكن القص)، واختيار الحجم والطول المناسبين للمسمار التلسكوبي.

الخطوة الثانية: التخدير والتحضير
يتم إجراء العملية تحت التخدير العام. يتم وضع الطفل على طاولة العمليات الشفافة للأشعة، ويتم استخدام جهاز الأشعة السينية المستمر (C-arm) لضمان الدقة المطلقة خلال كل ثانية من العملية.

الخطوة الثالثة: بضع العظم المتعدد عبر الجلد (Multiple Percutaneous Osteotomies)
بدلاً من فتح الساق بالكامل، يقوم الدكتور هطيف بعمل ثقوب صغيرة جداً (مليمترات) في الجلد. باستخدام أدوات دقيقة جداً (مثل الإزميل الدقيق أو المثقاب المتخصص)، يتم قطع العظم في أماكن التقوس من الداخل دون إتلاف الأنسجة الرخوة أو العضلات المحيطة. هذا يحافظ على التروية الدموية للعظم (Periosteum)، مما يسرع من التئام العظم بشكل مذهل.


الخطوة الرابعة: إدخال المسمار التلسكوبي
بعد تقويم العظم وجعله مستقيماً كحبات المسبحة على خيط، يتم إدخال السلك الدليلي (Guide Wire). ثم يتم إدخال الجزء الخارجي (الأنثوي) من المسمار التلسكوبي وتثبيته في الجزء العلوي من العظم (Epiphysis).


بعد ذلك، يتم إدخال الجزء الداخلي (الذكري) من المسمار عبر الجزء السفلي من العظم وتثبيته في المشاشة السفلية. هذا التصميم العبقري يضمن حماية العظم بالكامل من الداخل.


الخطوة الخامسة: الإغلاق والتجبير
نظراً لأن التدخل كان عبر ثقوب صغيرة، يتم إغلاقها بغرزة واحدة أو حتى بشريط لاصق طبي. يتم وضع جبيرة خفيفة أو دعامة لحماية الساق خلال الأسابيع الأولى من الالتئام. الألم يكون في حده الأدنى مقارنة بالطرق القديمة.


الدليل الشامل لإعادة التأهيل والتعافي بعد الجراحة
نجاح العملية لا يعتمد فقط على مهارة الجراح، بل يكتمل ببرنامج إعادة تأهيل صارم ومدروس. في مركز الأستاذ الدكتور محمد هطيف، نولي اهتماماً بالغاً بمرحلة ما بعد الجراحة لضمان استعادة الطفل لحركته الطبيعية.

- الأسبوع الأول إلى الثاني (مرحلة الحماية):
- الراحة التامة في السرير مع إبقاء الساق مرتفعة لتقليل التورم.
- إدارة الألم باستخدام مسكنات بسيطة (الألم يكون خفيفاً بفضل تقنية التدخل المحدود).
- تمارين خفيفة جداً لتحريك أصابع القدمين وتنشيط الدورة الدموية.

- الأسبوع الثالث إلى السادس (مرحلة الالتئام الأولي):
- مراجعة العيادة لإزالة الجبيرة (إن وجدت) والتأكد من التئام الثقوب الجراحية.
- البدء في تمارين العلاج الطبيعي السلبي (تحريك المفاصل بواسطة المعالج) لمنع تيبس الركبة والورك.
- يتم إجراء أشعة سينية للتأكد من بدء تكوّن الدشبذ العظمي (Callus) حول مناطق القص.


- الشهر الثاني وما بعده (مرحلة استعادة الوظيفة وتحمل الوزن):
- السماح للطفل بالبدء في تحمل الوزن الجزئي باستخدام العكازات أو المشاية.
- العلاج المائي (Hydrotherapy) يعتبر ممتازاً للأطفال المصابين بتخلّق العظم الناقص لأنه يقلل الضغط على العظام.
- العودة التدريجية للمشي المستقل والأنشطة اليومية تحت إشراف طبي.


قصص نجاح ملهمة من عيادة الأستاذ الدكتور محمد هطيف
لا شيء يثبت كفاءة العلاج مثل رؤية النتائج على أرض الواقع. بفضل الله ثم بفضل خبرة البروفيسور هطيف، عادت الابتسامة لمئات الأطفال في اليمن.

حالة الطفل "عمار" (7 سنوات):
كان عمار يعاني من النوع الثالث من تخلّق العظم الناقص، مع تقوس شديد في عظمي الفخذين (بشكل حرف O) منعه من المشي تماماً، وجعله حبيس الكرسي المتحرك، مع تاريخ من 8 كسور سابقة. تم إجراء عملية بضع العظم المتعدد عبر الجلد وتركيب مسامير فاسييه-دوفال التلسكوبية في كلتا الساقين في جلسة جراحية واحدة بواسطة الدكتور هطيف. اليوم، وبعد 6 أشهر من الجراحة، يمشي عمار مستقلاً لأول مرة في حياته، ولم يتعرض لأي كسر جديد.


حالة الطفلة "رؤى" (5 سنوات):
عانت رؤى من كسور متكررة في عظم القصبة (الساق) بمجرد محاولتها الجري. أظهرت الأشعة هشاشة شديدة وتقوساً أمامياً. بعد استشارة الأستاذ الدكتور محمد هطيف، تقرر إجراء التدخل الجراحي المحدود. تم تصحيح التقوس بنجاح باهر، وبفضل المسمار التلسكوبي الذي ينمو معها، عادت رؤى للعب مع أقرانها بثقة وأمان.


الأسئلة الشائعة (FAQ): كل ما تحتاج معرفته عن علاج العظام الزجاجية
جمعنا لكم في هذا القسم إجابات الأستاذ الدكتور محمد هطيف على أكثر الأسئلة شيوعاً التي يطرحها الآباء والأمهات في العيادة:
1. ما هو المسمار التلسكوبي (Fassier-Duval) وكيف يختلف عن المسامير العادية؟
المسمار العادي ذو طول ثابت، وعندما ينمو عظم الطفل، يصبح المسمار قصيراً ولا يحمي الأطراف الجديدة للعظم، مما يؤدي لكسرها. أما المسمار التلسكوبي فهو مصمم من قطعتين تتمددان مع نمو العظم (مثل هوائي الراديو القديم)، مما يوفر حماية دائمة للعظم طوال فترة النمو.

2. في أي عمر يمكن إجراء هذه الجراحة للطفل؟
يمكن إجراء الجراحة بمجرد أن يبدأ الطفل في محاولة الوقوف والمشي (عادة بين عمر 18 شهراً إلى سنتين)، أو عندما يصبح التقوس شديداً لدرجة تمنع استخدام الجبائر، أو عند تكرار الكسور بشكل يعيق حياة الطفل.

3. هل سيحتاج طفلي إلى عملية جراحية أخرى في المستقبل؟
الهدف من المسمار التلسكوبي هو تقليل الحاجة لعمليات متكررة. ومع ذلك، في بعض الحالات، قد يصل المسمار إلى أقصى حد لتمدده بعد عدة سنوات من النمو السريع، أو قد يتحرك من مكانه، وحينها قد يتطلب الأمر تدخلاً بسيطاً لتعديله أو تغييره، ولكن بنسبة أقل بكثير جداً من المسامير التقليدية.

4. لماذا يعتبر الأستاذ الدكتور محمد هطيف الخيار الأفضل في اليمن لهذه الجراحة؟
الدكتور محمد هطيف هو أستاذ أكاديمي بجامعة صنعاء، يجمع بين العلم الحديث والخبرة العملية الطويلة (أكثر من 20 عاماً). يتميز بتطبيق تقنيات "التدخل المحدود" التي لا يتقنها سوى نخبة قليلة من الجراحين، بالإضافة إلى التزامه الصارم بـ "الأمانة الطبية"، حيث لا ينصح بالجراحة إلا إذا كانت هي الخيار الأمثل والوحيد لمصلحة الطفل.
![الأ
آلام العظام والمفاصل وتقييد حركتها ليس قدراً محتوماً! التشخيص الدقيق والعلاج المتخصص يمكن أن يعيد لك كامل وظيفتك وحريتك في الحركة. لا تدع الألم يسيطر على حياتك.
للحصول على استشارة دقيقة وخطة علاجية مخصصة لحالتك، تواصل فوراً مع مركز الأستاذ الدكتور محمد هطيف:
الأستاذ الدكتور محمد هطيف - أفضل دكتور عظام في صنعاء، وخبير في جراحات العظام والمفاصل والعمود الفقري.. نلتزم بإعادتك لحياة خالية من الألم وحركة طبيعية.
مواضيع أخرى قد تهمك