إعادة بناء الرباط الصليبي الأمامي عند الأطفال والمراهقين: نهج يحافظ على صفائح النمو

الخلاصة الطبية
إصابة الرباط الصليبي الأمامي عند الأطفال تتطلب نهجًا متخصصًا يحافظ على صفائح النمو. يقوم الأستاذ الدكتور محمد هطيف بإجراء جراحات إعادة بناء الرباط الصليبي الأمامي في صنعاء باستخدام تقنيات متطورة مثل التقنية المحافظة على صفيحة النمو، لضمان استقرار الركبة والعودة الآمنة للنشاطات دون التأثير على النمو المستقبلي.
الخلاصة الطبية السريعة: إصابة الرباط الصليبي الأمامي (ACL) عند الأطفال والمراهقين لا تُعد مجرد نسخة مصغرة من إصابات البالغين؛ بل هي حالة طبية معقدة تتطلب نهجًا جراحيًا متخصصًا يحافظ على "صفائح النمو" (الغضاريف النمائية) لمنع حدوث تشوهات أو قصر في الطرف المصاب مستقبلاً. يقوم الأستاذ الدكتور محمد هطيف، أستاذ جراحة العظام والمفاصل بجامعة صنعاء واستشاري جراحة المناظير والمفاصل الصناعية بخبرة تتجاوز 20 عاماً، بإجراء جراحات إعادة بناء الرباط الصليبي الأمامي في صنعاء باستخدام أحدث التقنيات العالمية (مثل تقنية المنظار 4K والتقنيات الجراحية المحافظة على صفيحة النمو)، لضمان استقرار الركبة، حماية الغضاريف الهلالية، والعودة الآمنة للنشاطات الرياضية دون التأثير على النمو الطبيعي للطفل.

مقدمة شاملة: التحدي البيولوجي لإصابة الرباط الصليبي الأمامي في مرحلة النمو
مرحباً بكم، أيها الآباء والأمهات الأعزاء، وأيضاً رياضيينا الشباب الطموحين. اليوم، نتناول موضوعاً بالغ الأهمية والحساسية في تخصص جراحة العظام للأطفال والطب الرياضي: إعادة بناء الرباط الصليبي الأمامي (ACL) لدى المرضى الذين لم يكتمل نموهم الهيكلي بعد.
في العقود الماضية، كانت التوصية الطبية السائدة عند إصابة طفل بقطع في الرباط الصليبي هي "الانتظار حتى يكتمل نموه" قبل إجراء الجراحة. ولكن، أثبتت الدراسات والأبحاث الحديثة أن هذا النهج "التحفظي" يؤدي في الغالب إلى نتائج كارثية؛ فالطفل النشط لا يمكنه تقييد حركته، والركبة غير المستقرة تؤدي سريعاً إلى تمزق الغضاريف الهلالية (Meniscus) وتآكل مبكر في مفصل الركبة (خشونة الركبة المبكرة).
من هنا برز التحدي الأكبر: كيف نُجري جراحة لإعادة بناء الرباط الصليبي في ركبة لا تزال تنمو؟
يكمن التحدي في وجود ما يُعرف بـ "صفائح النمو" (Physis أو Growth Plates) في نهايات عظم الفخذ وعظم الساق (الظنبوب). هذه الصفائح الغضروفية هي المسؤولة عن زيادة طول العظام. أي تدخل جراحي تقليدي (كالذي يُجرى للبالغين) يتضمن حفر أنفاق عظمية قد يخترق هذه الصفائح ويدمرها، مما يؤدي إلى توقف نمو الساق أو نموها بشكل مائل (تشوه زاوي).
في هذا الدليل الشامل والمرجعي، الذي يقدمه لكم الأستاذ الدكتور محمد هطيف، رائد جراحة العظام والمفاصل في اليمن، سنتعمق في كل تفصيلة تخص هذه الإصابة. بدءاً من التشخيص الدقيق، مروراً بالخيارات الجراحية المعقدة التي تحافظ على صفائح النمو، وصولاً إلى برامج التأهيل المتقدمة. هدفنا الأول والأخير هو تقديم المعلومة الطبية بأقصى درجات الأمانة والمصداقية، لضمان مستقبل صحي ومشرق لأطفالكم.

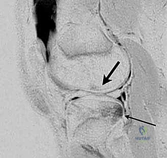
شكل 1: صورة رنين مغناطيسي سهمي تُظهر نمط الكدمة العظمية المميزة لإصابة الرباط الصليبي الأمامي الحادة (سهم رفيع). لاحظ زيادة الإشارة على الجانب الخلفي من الهضبة الظنبوبية الجانبية والجانب البعيد من عظم الفخذ عند الثلمة النهائية.

التشريح الحيوي: لماذا تختلف ركبة الطفل عن ركبة البالغ؟
لفهم تعقيد هذه الجراحة، يجب أن نفهم أولاً تشريح ركبة الطفل. مفصل الركبة هو مفصل مفصلي معقد يعتمد على الأربطة لتحقيق الاستقرار. الرباط الصليبي الأمامي (ACL) هو الحارس الرئيسي الذي يمنع عظم الساق (الظنبوب) من الانزلاق للأمام تحت عظم الفخذ، ويتحكم في الحركات الدورانية للركبة.
صفائح النمو (الغضاريف النمائية)
حول مفصل الركبة توجد أهم صفائح النمو في جسم الإنسان. صفيحة النمو البعيدة لعظم الفخذ (Distal Femoral Physis) وصفيحة النمو القريبة لعظم الساق (Proximal Tibial Physis) تساهمان معاً بحوالي 65% من إجمالي نمو الطرف السفلي في الطول.
* صفيحة الفخذ: تنمو بمعدل حوالي 9 ملم في السنة.
* صفيحة الساق: تنمو بمعدل حوالي 6 ملم في السنة.
إذا تم إتلاف هذه الصفائح أثناء حفر الأنفاق العظمية لزراعة الرباط الجديد، فقد تتوقف عن النمو تماماً (مما يؤدي إلى قصر في الساق مقارنة بالساق الأخرى)، أو قد تتوقف من جانب واحد وتستمر في الجانب الآخر (مما يؤدي إلى اعوجاج الركبة للداخل أو للخارج). هذا هو السبب الذي يجعل الأستاذ الدكتور محمد هطيف يؤكد دائماً على أن هذه الجراحات يجب أن تُجرى فقط بواسطة خبير متمرس في جراحات الأطفال والطب الرياضي المتقدم.

أسباب زيادة إصابات الرباط الصليبي عند الأطفال والمراهقين
في السنوات الأخيرة، لاحظنا في عياداتنا في صنعاء زيادة ملحوظة في أعداد الأطفال والمراهقين المصابين بقطع الرباط الصليبي الأمامي. يُعزى هذا الارتفاع إلى عدة عوامل:
- التخصص الرياضي المبكر: أصبح الأطفال ينخرطون في رياضات تنافسية (مثل كرة القدم، كرة السلة، الجمباز) في سن مبكرة جداً، ويتدربون لساعات طويلة على مدار العام دون فترات راحة كافية.
- زيادة شدة التنافس: الحركات التي تتطلبها الرياضات الحديثة من قفز، هبوط مفاجئ، وتغيير سريع في الاتجاه (Pivoting and Cutting) تضع ضغطاً هائلاً على أربطة الركبة.
- الميكانيكا الحيوية والتشريح: بعض الأطفال لديهم مرونة زائدة في المفاصل، أو ضعف في التوافق العضلي العصبي (خاصة بين عضلات الفخذ الأمامية والخلفية).
- الفروق بين الجنسين: الفتيات المراهقات أكثر عرضة للإصابة بقطع الرباط الصليبي بمعدل 2 إلى 8 مرات مقارنة بالفتيان في نفس الرياضات، وذلك لأسباب تتعلق بالتشريح (ضيق الثلمة بين اللقمتين)، والتغيرات الهرمونية، والاختلافات في زاوية الهبوط والتحكم العضلي.

الأعراض والتشخيص: كيف تكتشف إصابة طفلك؟
لحظة الإصابة وما بعدها (الأعراض السريرية)
غالباً ما يصف المرضى، أو بالأحرى آباؤهم، سماع "صوت طقطقة مميزة" (Pop) لحظة الإصابة، يتبعه عادة عدم قدرة الطفل على إكمال اللعب أو المشي على الساق المصابة.
بعد الإصابة مباشرة، يحدث تورم سريع وحاد في الركبة (خلال الساعتين الأوليين). هذا التورم ناتج عن نزيف داخل المفصل (Hemarthrosis)، ويحدث في ما يصل إلى 65% من إصابات الرباط الصليبي الأمامي عند الأطفال. بمجرد رؤية ركبة الطفل متورمة بشدة بعد التواء رياضي، يجب التوجه فوراً لتقييم طبي متخصص.
الفحص السريري الدقيق
يقوم الأستاذ الدكتور محمد هطيف بإجراء فحص سريري دقيق يتضمن:
* اختبار لاكمان (Lachman Test): وهو الاختبار الأكثر دقة سريرياً لتقييم ارتخاء الرباط الصليبي الأمامي.
* اختبار الدرج الأمامي (Anterior Drawer Test).
* اختبار التحول المحوري (Pivot Shift Test): لتقييم عدم الاستقرار الدوراني للركبة.
التصوير الطبي المتقدم
التشخيص السريري يتم تأكيده دائماً بالتصوير الطبي:
1. الأشعة السينية (X-rays): لاستبعاد وجود كسور. في الأطفال، من الشائع جداً حدوث "كسور قلع البروز الظنبوبي" (Tibial Eminence Avulsion Fractures)، حيث ينقطع الرباط الصليبي حاملاً معه قطعة من العظم بدلاً من أن يتمزق الرباط نفسه من المنتصف.
2. الرنين المغناطيسي (MRI): هو المعيار الذهبي. لا يُظهر فقط القطع في الرباط، بل يكشف عن الإصابات المصاحبة في الغضاريف الهلالية والأربطة الأخرى.

شكل 2: صورة رنين مغناطيسي سهمي عبر الجانب الجانبي للركبة، تُظهر نمط الكدمة العظمية المميزة لإصابة الرباط الصليبي الأمامي الحادة (سهم رفيع). هذه الكدمات تعكس الصدمة التي تحدث عندما يندفع عظم الساق إلى الأمام على عظم الفخذ.

المعضلة الكبرى: العلاج التحفظي أم التدخل الجراحي؟
هذا هو السؤال الأكثر شيوعاً الذي يطرحه الآباء في عيادة أ.د. محمد هطيف. لتبسيط الأمر، قمنا بإعداد الجدول التالي الذي يقارن بين النهجين في حالة الأطفال والمراهقين:
جدول 1: مقارنة بين العلاج التحفظي والجراحي لقطع الرباط الصليبي عند الأطفال
| وجه المقارنة | العلاج التحفظي (علاج طبيعي ودعامات) | العلاج الجراحي (إعادة بناء الرباط) |
|---|---|---|
| آلية العلاج | تقوية العضلات المحيطة بالركبة لتعويض غياب الرباط، وتعديل نمط الحياة (تجنب الرياضات العنيفة). | زراعة طعم وتري جديد ليقوم بوظيفة الرباط الصليبي المقطوع باستخدام تقنيات تحمي صفائح النمو. |
| لمن يُنصح به؟ | الأطفال ذوي النشاط المنخفض جداً، أو الذين لديهم تمزق جزئي غير مصحوب بعدم استقرار، أو كإجراء مؤقت. | الأطفال والمراهقون النشطون رياضياً، أو من يعانون من عدم استقرار متكرر (خيانة الركبة)، أو وجود تمزق غضروفي مصاحب. |
| مخاطر على الغضاريف الهلالية | عالية جداً. الركبة غير المستقرة ستؤدي حتماً إلى تمزق الغضاريف الهلالية مع تكرار الالتواءات. | منخفضة. الجراحة تعيد الاستقرار للركبة وتحمي الغضاريف من التمزقات المستقبلية. |
| خطر خشونة الركبة المبكرة | مرتفع للغاية بسبب التلف التدريجي لغضاريف المفصل. | يقل بشكل كبير، حيث يتم استعادة الميكانيكا الحيوية الطبيعية للمفصل. |
| العودة للرياضة التنافسية | شبه مستحيلة دون التعرض لخطر الإصابة المتكررة وتدمير الركبة. | ممكنة جداً وبنسب نجاح عالية بعد اجتياز برنامج التأهيل الشامل (عادة بعد 9-12 شهراً). |
| المخاطر الخاصة | تدمير المفصل بمرور الوقت، التأثير النفسي السلبي على الطفل بمنعه من اللعب. | مخاطر التخدير، احتمالية إصابة صفائح النمو (نادرة جداً مع جراح خبير)، احتمالية قطع الرباط الجديد. |
قرار الأستاذ الدكتور محمد هطيف: بناءً على أحدث التوصيات العالمية (مثل الأكاديمية الأمريكية لجراحي العظام AAOS)، فإن التدخل الجراحي المبكر للطفل النشط هو الخيار الأمثل لحماية مفصل الركبة من التدمير المستقبلي، شريطة استخدام التقنيات الجراحية المتخصصة.

التقنيات الجراحية الحديثة: نهج يحافظ على صفائح النمو
بفضل التقدم المذهل في جراحة العظام والمناظير، لم نعد ننتظر حتى يكبر الطفل. يمتلك الأستاذ الدكتور محمد هطيف خبرة واسعة في تطبيق تقنيات جراحية دقيقة تُصنف حسب العمر المتبقي للنمو (العمر العظمي للطفل).

شكل 3: تجهيز الطعم الوتري (Graft Preparation) بعناية فائقة. يتم اختيار الطعم المناسب وتجهيزه ليكون بالقوة والسمك المناسبين لركبة الطفل.
يتم تقسيم التقنيات الجراحية إلى ثلاث فئات رئيسية:
1. التقنيات خارج المفصل (Extra-articular) والمحافظة تماماً على المشاشة (Physeal-Sparing)
تُستخدم هذه التقنية للأطفال الصغار جداً (مرحلة ما قبل البلوغ، عادة تحت سن 10-11 سنة)، حيث تكون صفائح النمو مفتوحة على مصراعيها والنمو المتبقي كبير جداً.
* كيف تتم؟ يتم استخدام وتر (مثل الشريط الحرقفي الظنبوبي IT Band) وتمريره حول العظام وخارج المفصل أو من خلال المشاشة (Epiphysis) فقط، دون حفر أي أنفاق تقطع صفيحة النمو (Physis) لا في عظم الفخذ ولا في عظم الساق.
* الميزة: أمان بنسبة 100% تقريباً لصفائح النمو.

شكل 4: تحديد مسار النفق العظمي بدقة متناهية تحت توجيه الأشعة لضمان بقائه بعيداً عن صفيحة النمو الحساسة.
2. التقنية العابرة لصفائح النمو جزئياً (Partial Transphyseal)
تُستخدم للمراهقين في بداية البلوغ (12-14 سنة)، حيث اقتربوا من اكتمال النمو ولكن لا يزال هناك خطر.
* كيف تتم؟ يتم حفر نفق صغير وعمودي (لتقليل مساحة الاحتكاك بصفيحة النمو) في عظم الساق، بينما يتم تجنب صفيحة النمو في عظم الفخذ تماماً. يتم استخدام أوتار المأبض (Hamstrings) كطعم ناعم لا يحتوي على سدادات عظمية قد تلتحم وتوقف النمو.
3. التقنية العابرة لصفائح النمو بالكامل (Complete Transphyseal)
تُستخدم للمراهقين الأكبر سناً (الفتيات فوق 14-15 سنة، والفتيان فوق 15-16 سنة) الذين أوشكت صفائح النمو لديهم على الانغلاق.
* كيف تتم؟ تشبه جراحة البالغين إلى حد كبير، حيث يتم حفر أنفاق في الفخذ والساق، ولكن يتم تعديل زوايا الأنفاق لتكون أكثر عمودية، ويتم استخدام أوتار ناعمة وتجنب وضع أدوات التثبيت (مثل المسامير التداخلية) عبر صفيحة النمو مباشرة.

شكل 5: رؤية بالمنظار الجراحي بتقنية 4K عالية الدقة لمفصل الركبة من الداخل، مما يتيح للأستاذ الدكتور محمد هطيف رؤية أوضح للتشريح الدقيق وإجراء الجراحة بأقل قدر من التدخل الغازي.
التميز الطبي: لماذا الأستاذ الدكتور محمد هطيف هو الخيار الأول في اليمن؟
عندما يتعلق الأمر بمستقبل طفلك الحركي، فإن اختيار الجراح هو القرار الأهم. يتميز الأستاذ الدكتور محمد هطيف بمكانة علمية وعملية مرموقة تجعله المرجع الأول في اليمن لجراحات العظام المعقدة:
- خبرة أكاديمية وسريرية تتجاوز 20 عاماً: بصفته أستاذ جراحة العظام والمفاصل بجامعة صنعاء، فهو يجمع بين أحدث الأبحاث العلمية والخبرة العملية الطويلة.
- الريادة في استخدام تقنية 4K: يُعد من أوائل الجراحين في اليمن الذين أدخلوا واستخدموا تقنية مناظير المفاصل بدقة 4K، مما يوفر رؤية مجهرية فائقة الدقة داخل ركبة الطفل، ويقلل من نسب الخطأ إلى الصفر تقريباً.
- الأمانة الطبية الصارمة: عُرف عن د. هطيف التزامه بأخلاقيات المهنة؛ فهو لا يوصي بالجراحة إلا إذا كانت هي الخيار الطبي الأوحد والضروري لمصلحة المريض، ويقوم بشرح كافة التفاصيل والمخاطر والبدائل للآباء بكل شفافية.
- التخطيط الجراحي الدقيق (Preoperative Planning): لا يدخل د. هطيف غرفة العمليات دون دراسة مستفيضة لأشعة الرنين المغناطيسي والأشعة السينية الخاصة بالطفل، لتحديد العمر العظمي واختيار التقنية الجراحية الأنسب (خارج المفصل أو عبر المشاشة).

شكل 6: تمرير الطعم الوتري الجديد داخل الركبة بمهارة عالية. يتم سحب الطعم عبر الأنفاق العظمية أو حولها ليتخذ الوضع التشريحي الدقيق للرباط الصليبي الأصلي.
خيارات الطعم الوتري (Graft Choices) للأطفال
من أين نأتي بالرباط الجديد؟ في طب الأطفال، يتم تفضيل استخدام "الطعم الذاتي" (Autograft) أي أخذ نسيج من جسم الطفل نفسه، حيث أثبتت الدراسات أن الطعوم الصناعية أو المأخوذة من متبرع (Allograft) لها معدلات فشل وتمزق أعلى بكثير عند الأطفال والمراهقين.
- أوتار المأبض (Hamstring Tendons): هو الخيار الأكثر شيوعاً. يتم أخذ وتر أو وترين من العضلات الخلفية للفخذ وطيّها لتشكيل رباط قوي وسميك. يتميز بأنه "نسيج رخو" بالكامل، مما يقلل من خطر الإضرار بصفائح النمو.
- وتر العضلة الرباعية (Quadriceps Tendon): خيار ممتاز وقوي جداً، بدأ يكتسب شعبية كبيرة. يتم أخذ جزء من الوتر الموجود أعلى الرضفة (صابونة الركبة) بدون قطعة عظمية.
- الشريط الحرقفي الظنبوبي (Iliotibial Band): يُستخدم عادة في التقنيات التي تتم خارج المفصل للأطفال الصغار جداً.

شكل 7: التثبيت النهائي للطعم الوتري. يتم استخدام أدوات تثبيت متطورة (مثل الأزرار المعلقة أو المسامير القابلة للامتصاص) بعيداً عن الغضاريف النمائية لضمان ثبات الرباط الجديد والسماح له بالالتئام.
رحلة الجراحة خطوة بخطوة مع د. محمد هطيف
ما قبل الجراحة
- يتم التركيز على العلاج الطبيعي لتقليل التورم واستعادة المدى الحركي الكامل للركبة (Pre-hab). لا تُجرى الجراحة والركبة متيبسة أو متورمة بشدة.
- إجراء الفحوصات الطبية الشاملة والتنسيق مع طبيب تخدير متخصص في الأطفال.
داخل غرفة العمليات
- التخدير: عادة ما يكون تخديراً عاماً مع إبرة عصبية (Nerve Block) لتسكين الألم بعد العملية.
- الفحص تحت التخدير: يقوم د. هطيف بفحص الركبة وهي مسترخية تماماً لتأكيد درجة عدم الاستقرار.
- أخذ الطعم (Graft Harvesting): يتم استخراج الوتر المختار من خلال شق جراحي صغير.
- المنظار الجراحي: يتم إدخال كاميرا المنظار 4K عبر ثقبين صغيرين جداً في الركبة. يتم أولاً فحص المفصل بالكامل، ومعالجة أي تمزقات في الغضاريف الهلالية (خياطة الغضروف أو تهذيبه).
- إعداد مسار الرباط: بناءً على التقنية المختارة (حفاظاً على صفائح النمو)، يتم تحديد مسار الرباط الجديد بدقة باستخدام أجهزة تصوير إشعاعي داخل غرفة العمليات (Fluoroscopy).
- تمرير وتثبيت الطعم: يتم إدخال الرباط الجديد وتثبيته بقوة باستخدام أزرار معدنية أو مسامير طبية خاصة لا تعيق النمو.

شكل 8: استخدام الأشعة السينية (Fluoroscopy) أثناء الجراحة (Intraoperative) لتأكيد الموقع الدقيق للأنفاق العظمية وأدوات التثبيت والتأكد من عدم مساسها بصفائح النمو.

*شكل 9: توضيح لعملية استخراج الطعم الوتري
آلام العظام والمفاصل وتقييد حركتها ليس قدراً محتوماً! التشخيص الدقيق والعلاج المتخصص يمكن أن يعيد لك كامل وظيفتك وحريتك في الحركة. لا تدع الألم يسيطر على حياتك.
للحصول على استشارة دقيقة وخطة علاجية مخصصة لحالتك، تواصل فوراً مع مركز الأستاذ الدكتور محمد هطيف:
الأستاذ الدكتور محمد هطيف - أفضل دكتور عظام في صنعاء، وخبير في جراحات العظام والمفاصل والعمود الفقري.. نلتزم بإعادتك لحياة خالية من الألم وحركة طبيعية.
مواضيع أخرى قد تهمك