جراحة قطع عظم الساق فوق الكاحل لعلاج خشونة مفصل الكاحل بتقنية الوتد المفتوح: دليل شامل مع الأستاذ الدكتور محمد هطيف

الخلاصة الطبية
جراحة قطع عظم الساق فوق الكاحل بتقنية الوتد المفتوح هي إجراء جراحي دقيق يعالج خشونة مفصل الكاحل من النوع التقوسي (الروحي). تهدف الجراحة إلى إعادة محاذاة عظم الساق السفلي، وتوزيع قوى المفصل بشكل متوازن، وتخفيف الألم، وتحسين وظيفة الكاحل. يتميز الأستاذ الدكتور محمد هطيف في صنعاء بخبرة واسعة في هذه الجراحة المعقدة.
الخلاصة الطبية السريعة: جراحة قطع عظم الساق فوق الكاحل بتقنية الوتد المفتوح (Supramalleolar Opening-Wedge Osteotomy) هي إجراء جراحي دقيق ومتقدم يُستخدم لعلاج خشونة مفصل الكاحل من النوع التقوسي (الروحي - Varus Ankle Osteoarthritis). تهدف هذه الجراحة التحفظية إلى إعادة محاذاة عظم الساق السفلي، وتوزيع قوى الضغط الميكانيكي داخل المفصل بشكل متوازن، وتخفيف الألم المزمن، وتأخير أو منع الحاجة إلى دمج المفصل أو تغييره بمفصل صناعي. يتميز الأستاذ الدكتور محمد هطيف، أستاذ جراحة العظام والمفاصل بجامعة صنعاء، بخبرة تمتد لأكثر من 20 عاماً في إجراء هذه الجراحات المعقدة باستخدام أحدث التقنيات الطبية العالمية، مما يجعله الوجهة الأولى والآمنة للمرضى في اليمن والمنطقة.

مقدمة شاملة: لماذا يعتبر مفصل الكاحل محورياً لحركتك؟
يعد مفصل الكاحل واحداً من أكثر المفاصل تعقيداً وحيوية في جسم الإنسان. إنه نقطة الارتكاز الأساسية التي تتحمل وزن الجسم بالكامل وتلعب دوراً لا غنى عنه في آليات المشي، الجري، والتوازن الحركي. على عكس مفصل الركبة أو الورك، يتميز مفصل الكاحل بمساحة سطحية أصغر بكثير، ومع ذلك فهو يتحمل قوى ضغط هائلة تصل إلى عدة أضعاف وزن الجسم أثناء الأنشطة اليومية.
عندما يصاب هذا المفصل بالخشونة (التهاب المفاصل التنكسي)، فإن التأثير على جودة حياة المريض يكون كارثياً. يتحول المشي من حركة لا إرادية بسيطة إلى مهمة شاقة ومؤلمة. إحدى الحالات الميكانيكية الأكثر شيوعاً وتعقيداً هي خشونة مفصل الكاحل من النوع التقوسي (Varus Ankle Osteoarthritis)، والتي تتميز بتشوه في المفصل يؤدي إلى ميلان القدم للداخل وتركز الضغط الهائل على الجانب الداخلي (الإنسي) من المفصل، مما يؤدي إلى تآكل الغضاريف بشكل متسارع.

في الماضي، كانت الخيارات المتاحة لمثل هذه الحالات تقتصر على دمج مفصل الكاحل (Arthrodesis) - وهو إجراء يقضي على الألم ولكنه يلغي حركة المفصل تماماً - أو استبدال المفصل بمفصل صناعي. ولكن اليوم، وبفضل التقدم المذهل في الميكانيكا الحيوية وجراحة العظام، أصبحت جراحة قطع عظم الساق فوق الكاحل بتقنية الوتد المفتوح حلاً جذرياً، فعالاً، ومغيراً للحياة. هذه الجراحة، التي تُعرف أيضاً بقطع عظم الساق السفلي (Low Tibial Osteotomy)، مصممة بذكاء هندسي لإعادة محاذاة الجزء السفلي من عظم الساق (الظنبوب)، وإعادة توزيع القوى داخل المفصل بعيداً عن المنطقة المتآكلة نحو المنطقة السليمة.
يتطلب هذا الإجراء الدقيق فهماً عميقاً لميكانيكا الكاحل الحيوية، وتخطيطاً ثلاثي الأبعاد، وتنفيذاً جراحياً متقناً لا يقبل الخطأ. في هذا الدليل الطبي الشامل والموسع، سنتعمق في كل تفصيلة من تفاصيل هذه الجراحة، بدءاً من التشريح الميكانيكي للكاحل، مروراً بالتشخيص الدقيق، وصولاً إلى خطوات الجراحة وبرامج التأهيل.
يقودنا في هذا الطرح العلمي المرجعي الأستاذ الدكتور محمد هطيف، أستاذ جراحة العظام في جامعة صنعاء، والذي يُعد وبلا منازع أفضل استشاري جراحة عظام في اليمن. بفضل استخدامه لتقنيات الجراحة الميكروسكوبية، والمناظير بدقة 4K، والتزامه الصارم بالأمانة الطبية، يقدم الدكتور هطيف رعاية طبية تضاهي، بل وتتفوق، على ما يقدم في كبرى المراكز الطبية العالمية.

التشريح الميكانيكي والحيوي لمفصل الكاحل
لفهم كيف تعمل جراحة قطع العظم، يجب أولاً أن نفهم كيف يعمل مفصل الكاحل السليم وكيف ينهار في حالة الخشونة التقوسية.
يتكون مفصل الكاحل (Talocrural joint) من التقاء ثلاثة عظام رئيسية:
1. عظم الساق (الظنبوب - Tibia): وهو العظم الأكبر الذي يحمل الوزن الأساسي. الجزء السفلي منه يشكل سقف مفصل الكاحل والكعب الداخلي (Medial Malleolus).
2. عظم الشظية (Fibula): العظم الجانبي الأصغر الذي يشكل الكعب الخارجي (Lateral Malleolus) ويساهم في استقرار المفصل.
3. عظم الكاحل (Talus): العظم الذي يربط الساق بالقدم، ويتميز بسطح علوي مقبب (Talar Dome) يتناسب بدقة مع تجويف الساق والشظية.

في الحالة الطبيعية، يتم توزيع وزن الجسم بشكل متساوٍ تقريباً عبر السطح الغضروفي لمفصل الكاحل. الغضروف المفصلي هو نسيج أملس وزلق يغطي نهايات العظام، مما يسمح بحركة خالية من الاحتكاك ويمتص الصدمات.
كيف يحدث الخلل الميكانيكي؟
في حالة التشوه التقوسي (Varus Deformity)، يحدث ميلان في المحور الميكانيكي للساق. تخيل أنك تقود سيارة وإطاراتها غير متوازنة (Misaligned). سيؤدي ذلك إلى تآكل جانب واحد من الإطار بسرعة أكبر بكثير من الجانب الآخر. هذا بالضبط ما يحدث في الكاحل التقوسي؛ حيث ينتقل محور تحمل الوزن (Weight-bearing axis) بشكل غير طبيعي نحو الداخل (الجانب الإنسي). هذا التركيز المفرط للإجهاد يفوق قدرة الغضروف على التحمل، مما يؤدي إلى تشققه، تآكله، وفي النهاية تلامس العظم بالعظم، وهو ما يسبب الألم المبرح والالتهاب.

فهم خشونة مفصل الكاحل من النوع التقوسي (Varus Ankle Osteoarthritis)
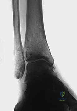
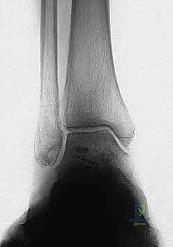
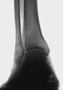
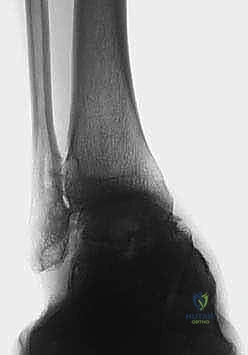
خشونة مفصل الكاحل من النوع التقوسي هي حالة مرضية تدريجية (Progressive) لا تحدث بين عشية وضحاها. إنها تتميز بتشوه تقوسي مع فتح أمامي للسطح المفصلي في الطرف البعيد من عظم الساق. وغالباً ما تظهر هذه الحالة بشكل ثنائي (في كلا الكاحلين)، وتكون أكثر شيوعاً لدى النساء في منتصف العمر وكبار السن، وكذلك لدى الرياضيين السابقين أو الأشخاص الذين تعرضوا لإصابات قديمة.

لتسهيل التشخيص وتحديد خطة العلاج المناسبة، يقسم الأستاذ الدكتور محمد هطيف هذه الحالة إلى أربع مراحل سريرية وإشعاعية دقيقة.
جدول: مراحل خشونة مفصل الكاحل التقوسي وتطورها
| المرحلة | الوصف الإشعاعي والسريري | حالة الغضروف والمسافة المفصلية | الأعراض المتوقعة |
|---|---|---|---|
| المرحلة الأولى (المبكرة) | لا يوجد تضيق ملحوظ في المسافة المفصلية. ظهور تصلب عظمي مبكر (Sclerosis) وتكون نتوءات عظمية صغيرة (Osteophytes) في الزاوية الأمامية الإنسية. | الغضروف لا يزال سليماً بنسبة كبيرة، المسافة المفصلية طبيعية. | ألم خفيف بعد المجهود الطويل، تيبس بسيط في الصباح. |
| المرحلة الثانية (المتوسطة) | تضيق واضح وغير متماثل في المسافة المفصلية، يتركز بشكل أساسي في الجانب الإنسي (الداخلي) للكاحل. | ترقق ملحوظ في الغضروف الداخلي، بداية احتكاك غير مباشر. | ألم متكرر مع المشي، تورم متقطع، بداية ملاحظة ميلان القدم. |
| المرحلة الثالثة (المتقدمة) | طمس شبه كامل للمسافة المفصلية مع تلامس العظم تحت الغضروف في الجانب الإنسي. تنقسم إلى: 3أ: الطمس يقتصر على وجه الكعب الإنسي. 3ب: الطمس يمتد لسقف قبة الكاحل. |
تآكل شديد للغضروف، احتكاك مباشر للعظم بالعظم في الجانب الداخلي. | ألم شديد يعيق الأنشطة اليومية، تورم مزمن، عرج واضح أثناء المشي. |
| المرحلة الرابعة (الشديدة جداً) | طمس كامل للمسافة المفصلية بأكملها (الإنسية والوحشية). تلامس واسع للعظم بالعظم، تشوه شديد في بنية المفصل. | غياب تام للغضروف المفصلي الفعال. | ألم مستمر حتى أثناء الراحة، فقدان كبير في مدى الحركة، تشوه واضح للعين المجردة. |
تكمن المشكلة الأساسية في خشونة مفصل الكاحل من النوع التقوسي في تركز الإجهاد على الجانب الإنسي. هدف جراحة قطع العظم التي يجريها الدكتور هطيف ليس فقط إيقاف هذا التدهور، بل وإعطاء الجسم فرصة لإصلاح عيوب الغضروف جزئياً عن طريق تشكيل نسيج غضروفي ليفي (Fibrocartilage) بمجرد إزالة الضغط الميكانيكي عنه.

الأسباب وعوامل الخطر: لماذا تحدث هذه الحالة؟
على عكس مفصل الركبة أو الورك حيث تكون الخشونة الأولية (بسبب التقدم في العمر) هي الشائعة، فإن الغالبية العظمى من حالات خشونة الكاحل هي "ثانوية"، أي أنها تحدث نتيجة لسبب محدد أخل بميكانيكا المفصل.

1. التشوه التقوسي المكتسب أو الخلقي (Varus Deformity)
السبب الرئيسي هو وجود ميل تقوسي في السطح المفصلي البعيد لعظم الساق. قد يولد بعض الأشخاص بمحور ميكانيكي يميل قليلاً للتقوس، ومع مرور سنوات من المشي وتحمل الوزن، يتفاقم هذا الميلان مؤدياً إلى الخشونة.
2. الإصابات والكسور القديمة (Post-traumatic Osteoarthritis)
تعتبر الكسور القديمة في الكاحل (مثل كسور الكعبين أو كسور عظم الساق السفلي) التي لم تلتئم في وضعها التشريحي المثالي من أهم الأسباب. حتى الانحراف المليمتري البسيط بعد الكسر يمكن أن يغير توزيع الأحمال بشكل جذري، مما يؤدي إلى تآكل الغضروف بعد 5 إلى 10 سنوات من الإصابة.
3. عدم استقرار أربطة الكاحل المزمن (Chronic Ligamentous Instability)
الالتواءات المتكررة للكاحل التي لا يتم علاجها بشكل صحيح تؤدي إلى ارتخاء الأربطة الجانبية. هذا الارتخاء يسمح لعظم الكاحل (Talus) بالانزلاق والميلان بشكل غير طبيعي داخل المفصل مع كل خطوة، مما يولد قوى قص (Shear forces) تدمر الغضروف بمرور الوقت.
4. الأمراض العصبية والعضلية
بعض الحالات التي تؤدي إلى عدم توازن عضلي (مثل الشلل الدماغي الخفيف، أو مرض شاركو-ماري-توث) يمكن أن تسحب القدم إلى وضعية تقوسية مستمرة.

العلامات والأعراض: متى يجب أن تستشير الأستاذ الدكتور محمد هطيف؟
تتطور أعراض خشونة الكاحل التقوسية ببطء، وغالباً ما يتجاهلها المرضى في المراحل المبكرة معتقدين أنها مجرد إرهاق. ومع ذلك، فإن التشخيص المبكر هو مفتاح نجاح الجراحات التحفظية مثل قطع العظم.

- الألم الميكانيكي: هو العرض الأكثر شيوعاً. يتركز الألم عادة في الجزء الداخلي (الإنسي) والعميق من الكاحل. يزداد الألم مع المشي، الوقوف لفترات طويلة، أو صعود ونزول السلالم، ويقل تدريجياً مع الراحة.
- التورم والانتفاخ: تورم مزمن حول الكاحل، خاصة في نهاية اليوم أو بعد بذل مجهود بدني.
- التيبس الصباحي (Morning Stiffness): شعور بتصلب المفصل وصعوبة في تحريكه عند الاستيقاظ من النوم، والذي يتحسن عادة بعد بضع دقائق من المشي.
- التشوه المرئي (Visible Deformity): في المراحل المتقدمة، يلاحظ المريض أو أفراد عائلته أن القدم تميل للداخل، وأن الحذاء يتآكل بشكل غير متساوٍ (من الحافة الخارجية).
- فقدان مدى الحركة: صعوبة في ثني القدم لأعلى (Dorsiflexion) أو لأسفل (Plantarflexion).
- العرج (Limping): كآلية تعويضية لتجنب الألم أثناء المشي.

رحلة التشخيص الدقيق مع الأستاذ الدكتور محمد هطيف
لا يعتمد الأستاذ الدكتور محمد هطيف على التخمين في ممارسته الطبية. بصفته الخبير الأول في اليمن، فإنه يتبع بروتوكولاً تشخيصياً صارماً لتقييم حالة المفصل وتحديد ما إذا كان المريض مرشحاً مثالياً لجراحة قطع العظم.

1. التقييم السريري الشامل
يبدأ الدكتور هطيف بالاستماع الدقيق لتاريخ المريض الطبي، متى بدأ الألم، طبيعته، والإصابات السابقة. يتم فحص الكاحل يدوياً لتقييم مدى الحركة، استقرار الأربطة، ومناطق الألم. كما يقوم بفحص مشية المريض (Gait analysis) لملاحظة أي انحرافات ميكانيكية.
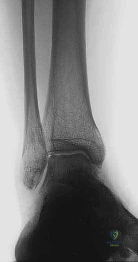
2. التصوير بالأشعة السينية بوضعية الوقوف (Weight-bearing X-rays)
هذا هو حجر الأساس في التشخيص. الأشعة العادية والمريض مستلقٍ لا تظهر الحجم الحقيقي للتشوه. يطلب الدكتور هطيف صوراً خاصة والمريض يحمل وزنه كاملاً على قدميه.
* المنظر الأمامي الخلفي (AP View): لتقييم المسافة المفصلية وتحديد زاوية سطح الساق (Tibial Anterior Surface Angle - TAS).
* منظر سالتزمان (Saltzman View): وهو منظر إشعاعي متخصص جداً لتقييم محاذاة الكعب الخلفي بالنسبة لمحور الساق، وهو أمر حاسم في التخطيط الجراحي.
3. التصوير بالرنين المغناطيسي (MRI) والتصوير المقطعي (CT Scan)
في بعض الحالات، وخاصة لتقييم جودة الغضروف المتبقي، ووجود أكياس عظمية تحت الغضروف (Subchondral cysts)، أو لتقييم الأربطة والأوتار، يتم الاستعانة بالرنين المغناطيسي. التصوير المقطعي ثلاثي الأبعاد يُستخدم للتخطيط الجراحي المعقد لضمان دقة قطع العظم بالمليمتر.

الخيارات العلاجية: من التحفظي إلى الجراحي
الأمانة الطبية هي السمة الأبرز التي يُعرف بها الأستاذ الدكتور محمد هطيف. فهو لا يلجأ للجراحة إلا بعد استنفاد كافة الخيارات التحفظية، أو إذا كانت حالة المريض متقدمة وتستدعي تدخلاً جراحياً فورياً لإنقاذ المفصل.
أولاً: العلاج التحفظي (الغير جراحي)

في المراحل الأولى (المرحلة 1 وبداية المرحلة 2)، يتم التركيز على تخفيف الألم وإبطاء تطور الخشونة:
* تعديل نمط الحياة: إنقاص الوزن لتخفيف العبء الميكانيكي عن الكاحل، وتجنب الأنشطة عالية التأثير (مثل الجري والقفز).
* الأدوية: مضادات الالتهاب غير الستيرويدية (NSAIDs) لتخفيف الألم والتورم.
* العلاج الطبيعي: تمارين لتقوية العضلات المحيطة بالكاحل وتحسين التوازن (Proprioception).
* الأجهزة التقويمية (Orthotics): استخدام نعال طبية مخصصة بحشوات جانبية (Lateral wedges) لمحاولة تعديل محور تحمل الوزن، أو ارتداء دعامات الكاحل (Ankle-Foot Orthosis - AFO).
* الحقن الموضعية: حقن البلازما الغنية بالصفائح الدموية (PRP) أو حمض الهيالورونيك لتغذية الغضروف وتخفيف الاحتكاك.
ثانياً: الخيارات الجراحية (متى نلجأ إلى قطع العظم؟)
عندما تفشل العلاجات التحفظية في السيطرة على الألم، ويصبح تشوه المفصل مهدداً لوظيفته، يصبح التدخل الجراحي ضرورياً. هنا تبرز عبقرية القرار الجراحي.

جدول: مقارنة بين الخيارات الجراحية لخشونة الكاحل المتقدمة
| نوع الجراحة | مبدأ العمل | المزايا | العيوب / القيود | المرشح المثالي |
|---|---|---|---|---|
| دمج المفصل (Arthrodesis) | إزالة الغضروف المتبقي وتثبيت العظام معاً بمسامير حتى تلتحم كعظمة واحدة. | يقضي على الألم بنسبة 95%، حل دائم وقوي. | يلغي حركة الكاحل تماماً، يضع ضغطاً إضافياً على المفاصل المجاورة للقدم مما قد يسبب خشونة فيها لاحقاً. | المرضى الأكبر سناً، أو ذوي الخشونة الشاملة (المرحلة 4)، أو المهن الشاقة جداً. |
| استبدال المفصل (Arthroplasty) | إزالة السطح العظمي التالف وتركيب مفصل معدني وبلاستيكي صناعي. | يحافظ على حركة المفصل، يخفف الألم بشكل ممتاز. | عمر المفصل الصناعي محدود (10-15 سنة)، لا يناسب الأعمال الشاقة، خطر التخلخل الميكانيكي. | كبار السن، ذوي النشاط المحدود، خشونة غير مصحوبة بتشوه شديد. |
| قطع العظم فوق الكاحل (Osteotomy) | قطع عظم الساق وإعادة توجيهه لتصحيح المحور وتوزيع الحمل على الغضروف السليم. | يحافظ على المفصل الطبيعي، يحافظ على الحركة، يوقف تدهور الخشونة، لا يمنع إجراء الدمج أو الاستبدال في المستقبل إذا لزم الأمر. | يتطلب فترة تعافي أطول لالتئام العظم، يتطلب مهارة جراحية فائقة جداً. | المرضى الأصغر سناً، النشطين، ذوي الخشونة المتركزة في جانب واحد (التقوسية)، مع وجود غضروف سليم في الجانب الآخر. |
بناءً على هذا التحليل، تعتبر جراحة قطع عظم الساق فوق الكاحل هي الخيار الذهبي للمرضى النشطين والشباب نسبياً الذين يعانون من خشونة غير متكافئة (متركزة في الجانب الداخلي).

التخطيط الجراحي: دقة المليمتر مع الدكتور محمد هطيف
النجاح في جراحة قطع العظم لا يحدث في غرفة العمليات، بل في مرحلة التخطيط التي تسبقها. يستخدم الدكتور هطيف برمجيات حاسوبية متقدمة لتحليل صور الأشعة وحساب زوايا التصحيح المطلوبة بدقة متناهية.




آلام العظام والمفاصل وتقييد حركتها ليس قدراً محتوماً! التشخيص الدقيق والعلاج المتخصص يمكن أن يعيد لك كامل وظيفتك وحريتك في الحركة. لا تدع الألم يسيطر على حياتك.
للحصول على استشارة دقيقة وخطة علاجية مخصصة لحالتك، تواصل فوراً مع مركز الأستاذ الدكتور محمد هطيف:
الأستاذ الدكتور محمد هطيف - أفضل دكتور عظام في صنعاء، وخبير في جراحات العظام والمفاصل والعمود الفقري.. نلتزم بإعادتك لحياة خالية من الألم وحركة طبيعية.
مواضيع أخرى قد تهمك