تثبيت مفصل الكاحل بالشق الجراحي المصغر: دليل شامل لمرضى خشونة الكاحل

الخلاصة الطبية
تثبيت مفصل الكاحل بالشق الجراحي المصغر هو إجراء جراحي طفيف التوغل لعلاج خشونة الكاحل المتقدمة، يهدف إلى دمج العظام لتخفيف الألم وتحسين الوظيفة. يتميز بنسب اندماج ممتازة ومضاعفات أقل للأنسجة الرخوة.
الخلاصة الطبية السريعة: يُعد تثبيت (دمج) مفصل الكاحل بالشق الجراحي المصغر (Mini-Arthrotomy Ankle Arthrodesis) إجراءً جراحياً متطوراً وطفيف التوغل، يهدف إلى علاج المراحل المتقدمة والنهائية من خشونة الكاحل. تعتمد هذه التقنية على إزالة الغضاريف التالفة ودمج عظام المفصل معاً باستخدام براغي أو شرائح معدنية عبر جرح صغير جداً. وتتميز هذه الطريقة بنسب نجاح واندماج عظمي ممتازة، مع الحفاظ على التروية الدموية وتقليل المضاعفات المحتملة للأنسجة الرخوة مقارنة بالجراحة المفتوحة التقليدية.

مقدمة شاملة: وداعاً لآلام الكاحل المزمنة واستعد قدرتك على المشي
هل تعاني من آلام مزمنة ومبرحة في الكاحل تعيق أبسط تفاصيل حياتك اليومية؟ هل أصبحت حركتك محدودة، وتشعر بأن كل خطوة تخطوها هي بمثابة تحدٍ مؤلم؟ هل جربت كافة الأدوية والحقن والعلاجات الطبيعية دون جدوى؟ إذا كنت تواجه هذه المعاناة المستمرة، فمن المرجح أنك قد وصلت إلى مرحلة متقدمة من "خشونة مفصل الكاحل" (Ankle Osteoarthritis).
لحسن الحظ، لم يعد الألم قدراً محتوماً. فقد شهد الطب الحديث ثورة حقيقية في جراحات العظام والمفاصل، ليوفر حلولاً جراحية دقيقة قادرة على إنهاء هذه المعاناة واستعادة جودة الحياة. من أبرز هذه الحلول وأكثرها فعالية هي تقنية "تثبيت مفصل الكاحل بالشق الجراحي المصغر".
في هذا الدليل الطبي الشامل والمفصل، سنأخذك في رحلة علمية وطبية عميقة لفهم كل ما يتعلق بهذه التقنية الثورية. لن نكتفي بالسطوح، بل سنغوص في التشريح الدقيق للكاحل، وكيفية تطور مرض الخشونة، والخيارات العلاجية المتاحة، مع تسليط الضوء المكثف على الجراحة ذات الشق المصغر التي تُعد تحفة فنية في عالم جراحة العظام، حيث تجمع بين الرؤية الواضحة للجراح والحد الأدنى من الأذى لأنسجة المريض.
في اليمن، وتحديداً في العاصمة صنعاء، يبرز اسم الأستاذ الدكتور محمد هطيف، أستاذ جراحة العظام والمفاصل بجامعة صنعاء، كأحد أهم وأبرز الرواد في تطبيق هذه التقنيات الجراحية المتقدمة. بفضل خبرة تتجاوز العشرين عاماً، واستخدامه لأحدث التقنيات العالمية مثل الجراحة الميكروسكوبية، ومناظير المفاصل بتقنية 4K، والمفاصل الصناعية، يقدم الأستاذ الدكتور هطيف أملاً حقيقياً للمرضى. إن التزامه بالأمانة الطبية الصارمة والدقة المتناهية يجعل من عيادته الوجهة الأولى لكل باحث عن الشفاء الموثوق. تابع القراءة لتكتشف كيف يمكن لهذه الجراحة أن تغير مسار حياتك.


التشريح الميكانيكي الدقيق لمفصل الكاحل
لكي ندرك حجم المشكلة التي تسببها خشونة الكاحل وكيفية عمل الجراحة، يجب أن نفهم أولاً الهندسة الإلهية المعقدة لهذا المفصل. مفصل الكاحل ليس مجرد مفصل بسيط، بل هو نقطة ارتكاز حيوية تتحمل وزن الجسم كاملاً وتوزع القوى الحركية أثناء المشي والجري والقفز.
المفصل الرئيسي للكاحل، والذي يُعرف علمياً باسم المفصل الظنبوبي-الرصغي (Tibiotalar Joint)، يتكون من التقاء ثلاثة عظام رئيسية تشكل معاً ما يشبه "المفصلة":
- عظم الظنبوب (Tibia): هو العظم الأكبر والأقوى في الساق، ويشكل السقف والجزء الداخلي (الكعب الداخلي) لمفصل الكاحل.
- عظم الشظية (Fibula): هو العظم الرفيع الموجود في الجهة الخارجية للساق، ويشكل الجزء الخارجي (الكعب الخارجي) للمفصل، مما يمنع انزلاق القدم للخارج.
- عظم الكاحل أو القعب (Talus): هو العظم الفريد الذي يقع أسفل الساق وفوق عظم العقب (الكعب). يعمل هذا العظم كحلقة وصل ديناميكية بين الساق والقدم، وهو مغطى بنسبة كبيرة منه بالغضاريف.
الغضروف المفصلي: وسادة الحماية
تُغطى الأسطح المتقابلة لهذه العظام بطبقة من الغضروف المفصلي الهياليني (Hyaline Cartilage). هذا الغضروف أملس جداً، زلق، وقابل للانضغاط، ويعمل كممتص للصدمات ووسادة تمنع احتكاك العظام ببعضها البعض، مما يسمح بحركة انسيابية خالية من الألم.
الأربطة والكبسولة المفصلية
يحيط بالمفصل كبسولة ليفية قوية مبطنة بغشاء زليلي يفرز سائلاً لزجاً لتزييت المفصل. كما يتم دعم الكاحل بشبكة معقدة من الأربطة القوية جداً (مثل الرباط الدالي في الداخل، والأربطة الشظوية الكاحلية في الخارج) التي تحافظ على استقرار المفصل وتمنع الحركات غير الطبيعية.


الفسيولوجيا المرضية: ماذا يحدث عند الإصابة بخشونة الكاحل؟
خشونة المفاصل (Osteoarthritis) هي عملية تنكسية وتدهور تدريجي. في الكاحل السليم، تنزلق العظام فوق بعضها بسهولة بفضل الغضروف السليم. ولكن، عند الإصابة بالخشونة، يحدث الآتي:
- تآكل الغضروف: يبدأ الغضروف في الجفاف والتشقق، ويفقد سماكته ومرونته.
- الاحتكاك العظمي: مع استمرار التآكل، يختفي الغضروف تماماً في بعض المناطق، مما يؤدي إلى احتكاك العظم بالعظم (Bone-on-bone friction). هذا الاحتكاك هو السبب الرئيسي للألم المبرح.
- تكوّن النتوءات العظمية (Osteophytes): كرد فعل على هذا الاحتكاك غير الطبيعي ولزيادة مساحة سطح المفصل لتقليل الضغط، يبدأ الجسم في تكوين زوائد عظمية على حواف المفصل، مما يحد من نطاق الحركة ويسبب التيبس.
- تصلب العظم تحت الغضروفي: يصبح العظم الموجود مباشرة تحت الغضروف المتآكل أكثر كثافة وصلابة (Sclerosis) ويتعرض لتكوين تكيسات عظمية صغيرة (Subchondral cysts).
- التهاب الغشاء الزليلي: يؤدي تراكم بقايا الغضروف المتآكل داخل المفصل إلى تهيج الغشاء المبطن للمفصل، مما يسبب إفراز سوائل زائدة تؤدي إلى تورم الكاحل.


الأسباب الجذرية وعوامل الخطر لخشونة الكاحل
على عكس خشونة الركبة أو الورك التي غالباً ما تكون مرتبطة بالتقدم في العمر (خشونة أولية)، فإن خشونة الكاحل في الغالبية العظمى من الحالات تكون خشونة ثانوية، أي أنها ناتجة عن سبب أو حدث سابق. الأستاذ الدكتور محمد هطيف يولي اهتماماً بالغاً بتحديد السبب الدقيق للخشونة، لأن ذلك يؤثر بشكل مباشر على خطة العلاج.
1. خشونة الكاحل ما بعد الصدمة (Post-Traumatic Arthritis)
تُمثل هذه الفئة حوالي 70% إلى 80% من إجمالي حالات خشونة الكاحل. وتحدث نتيجة إصابات سابقة، حتى وإن تم علاجها في حينها، وتشمل:
* الكسور داخل المفصل: كسور الكعبين أو كسر سقف الكاحل (Pilon fractures) التي تؤدي إلى عدم استواء سطح الغضروف. حتى مع التثبيت الجراحي الممتاز، فإن الضرر الأولي للخلايا الغضروفية قد يؤدي إلى تآكلها بعد سنوات.
* الالتواءات المتكررة وعدم الاستقرار المزمن: تمزق أربطة الكاحل المتكرر دون علاج مناسب يؤدي إلى ارتخاء المفصل. هذا الارتخاء يسبب حركة غير طبيعية (Micro-instability) تؤدي إلى تآكل الغضروف بمرور الوقت بآلية تشبه تآكل إطارات السيارة غير المتوازنة.
* إصابات العظم والغضروف (Osteochondral Lesions): تلف موضعي في جزء من الغضروف والعظم الذي تحته نتيجة التواء شديد.
2. التهابات المفاصل الروماتيزمية والالتهابية
مجموعة من الأمراض الجهازية التي تهاجم المفاصل وتدمر الغضاريف:
* التهاب المفاصل الروماتويدي (Rheumatoid Arthritis): مرض مناعي يهاجم فيه الجسم الغشاء الزليلي للمفصل، مما يؤدي إلى تآكل الغضاريف والعظام وتدمير الأربطة الداعمة.
* النقرس (Gout): ترسب بلورات حمض اليوريك داخل المفصل، مما يسبب هجمات التهابية حادة ومتكررة تدمر الغضروف على المدى الطويل.
* التهاب المفاصل الإنتاني (Septic Arthritis): عدوى بكتيرية داخل المفصل، إذا لم تُعالج بسرعة كافية، يمكن للبكتيريا أن تدمر الغضروف بالكامل في غضون أيام.
3. الأسباب الميكانيكية والتشريحية
- التشوهات الخلقية أو المكتسبة: مثل القدم المسطحة الشديدة (Flat foot) أو القدم الجوفاء (Cavus foot)، والتي تؤدي إلى توزيع غير متساوٍ للوزن على مفصل الكاحل، مما يسرع من تآكل أجزاء معينة منه.
- اختلاف طول الساقين: يؤدي إلى ضغط غير متوازن على مفاصل الطرف السفلي.
4. عوامل خطر أخرى
- السمنة المفرطة: كل كيلوجرام زائد في وزن الجسم يضاعف الضغط الميكانيكي على مفصل الكاحل أثناء المشي.
- النخر اللاوعائي (Avascular Necrosis): انقطاع التروية الدموية عن عظم الكاحل (القعب)، مما يؤدي إلى موت العظم وانهياره، وبالتالي تدمير المفصل.


الأعراض السريرية: كيف تعرف أنك مصاب بخشونة الكاحل المتقدمة؟
تتطور أعراض خشونة الكاحل بشكل تدريجي وبطيء على مدار سنوات، وقد تمر بفترات من التحسن والانتكاس. ولكن في المراحل المتقدمة التي تستدعي التدخل الجراحي، تكون الأعراض كالتالي:
- الألم الميكانيكي المزمن: هو العرض الأبرز. ألم عميق في مفصل الكاحل يزداد مع المشي، الوقوف لفترات طويلة، صعود السلالم، أو المشي على أسطح غير مستوية. يقل الألم عادةً مع الراحة.
- ألم الراحة وألم الليل: في المراحل النهائية، قد يستمر الألم حتى أثناء الجلوس أو النوم، مما يؤثر بشدة على جودة النوم والحالة النفسية للمريض.
- التيبس الصباحي (Stiffness): صعوبة في تحريك الكاحل عند الاستيقاظ من النوم أو بعد فترة من الجلوس، وعادة ما يتحسن هذا التيبس بعد عدة دقائق من الحركة.
- التورم والانتفاخ: تورم متكرر حول الكاحل نتيجة احتباس السوائل والتهاب الغشاء الزليلي.
- فقدان المدى الحركي: صعوبة في ثني القدم للأعلى أو للأسفل، مما يغير من نمط المشي (العرج).
- أصوات طقطقة أو صرير (Crepitus): الإحساس باحتكاك أو سماع أصوات طقطقة واضحة عند تحريك الكاحل، ناتجة عن احتكاك العظام الخشنة ببعضها.
- تشوه شكل الكاحل: قد يلاحظ المريض انحرافاً في محور الكاحل أو القدم للداخل أو للخارج نتيجة التآكل غير المتساوي للغضاريف أو انهيار الأربطة.

التشخيص الدقيق: خطوة الأستاذ الدكتور هطيف الأولى نحو العلاج
التشخيص الدقيق هو حجر الزاوية في تحديد خطة العلاج. يتبع الأستاذ الدكتور محمد هطيف بروتوكولاً تشخيصياً صارماً لتقييم حالة المريض من كافة الجوانب:
- التقييم السريري الشامل: يبدأ بالاستماع المفصل لتاريخ المريض المرضي، طبيعة الألم، الإصابات السابقة. ثم الفحص البدني الدقيق لتقييم التورم، نقاط الألم، المدى الحركي المتبقي، استقرار الأربطة، وفحص نمط المشي (Gait analysis) وتحمل الوزن.
- الأشعة السينية (X-rays) مع تحمل الوزن: هي المعيار الذهبي المبدئي. يتم أخذ صور للكاحل أثناء وقوف المريض. تُظهر الأشعة ضيق المسافة المفصلية (دليل تآكل الغضروف)، النتوءات العظمية، التكيسات، وأي تشوه في المحور الميكانيكي للساق والقدم.
- التصوير المقطعي المحوسب (CT Scan): إجراء بالغ الأهمية قبل الجراحة. يوفر صوراً ثلاثية الأبعاد للعظام، مما يساعد الدكتور هطيف في تقييم جودة العظم بدقة، تحديد حجم التكيسات العظمية، والتخطيط الهندسي الدقيق لزوايا إدخال البراغي الجراحية.
- التصوير بالرنين المغناطيسي (MRI): يُستخدم في حالات معينة لتقييم الأنسجة الرخوة (الأربطة والأوتار) أو للبحث عن علامات النخر اللاوعائي في عظم الكاحل قبل أن يظهر في الأشعة السينية.


العلاجات التحفظية: متى تفشل ولماذا نلجأ للجراحة؟
قبل التفكير في أي تدخل جراحي، يتم استنفاد كافة الخيارات العلاجية التحفظية (غير الجراحية). يحرص الأستاذ الدكتور محمد هطيف، التزاماً بأمانته الطبية، على عدم اقتراح الجراحة إلا بعد التأكد من عدم استجابة المريض للعلاجات التالية:
جدول مقارنة: العلاج التحفظي مقابل العلاج الجراحي لخشونة الكاحل المتقدمة
| وجه المقارنة | العلاج التحفظي (أدوية، حقن، دعامات) | العلاج الجراحي (تثبيت الكاحل بالشق المصغر) |
|---|---|---|
| الهدف الأساسي | تخفيف مؤقت للأعراض وتقليل الالتهاب | حل جذري للألم عن طريق منع الحركة المسببة للاحتكاك |
| الفعالية في المراحل المتقدمة | ضعيفة جداً ومؤقتة | عالية جداً وطويلة الأمد |
| التأثير على تطور المرض | لا يوقف تآكل الغضاريف أو تدمير المفصل | ينهي المرض تماماً في المفصل المصاب بدمجه |
| المدة الزمنية للراحة | أيام إلى أسابيع (في حالة الحقن والأدوية) | راحة دائمة مدى الحياة بعد اكتمال الاندماج |
| المخاطر | آثار جانبية للأدوية (معدة، كلى)، ضعف الأوتار من حقن الكورتيزون | مخاطر جراحية عامة (عدوى، تأخر الاندماج العظمي) |
| القدرة على تحمل الوزن والمشي | مؤلمة ومقيدة بالدعامات الثقيلة | مشي طبيعي بدون ألم (بعد فترة التأهيل) |
لماذا تفشل العلاجات التحفظية في النهاية؟
الغضروف المفصلي نسيج لا يحتوي على أوعية دموية، وبالتالي فإن قدرته على التجدد والالتئام شبه معدومة. الأدوية المسكنة والحقن الموضعية (مثل البلازما أو الكورتيزون) أو الأحذية الطبية المخصصة، كلها تعمل على تخفيف الأعراض وإدارة الألم، ولكنها لا تستطيع إعادة بناء الغضروف المتآكل. عندما يصبح الاحتكاك عظمياً مباشراً، تصبح الجراحة هي الحل الطبي الوحيد والفعال لاستعادة جودة الحياة.


الخيارات الجراحية: لماذا "تثبيت الكاحل بالشق المصغر" هو الخيار الأمثل؟
عندما يصبح التدخل الجراحي أمراً حتمياً، يقف المريض أمام خيارين رئيسيين: استبدال مفصل الكاحل بمفصل صناعي (Total Ankle Replacement)، أو تثبيت/دمج المفصل (Ankle Arthrodesis).
في حين أن المفاصل الصناعية للكاحل تطورت، إلا أنها لا تزال تحمل نسب فشل أعلى مقارنة بمفاصل الركبة والورك، خاصة للمرضى الأصغر سناً أو ذوي النشاط العالي، أو الذين يعانون من تشوهات شديدة أو ضعف في العظام. لذلك، يظل تثبيت مفصل الكاحل هو "المعيار الذهبي" (Gold Standard) عالمياً لعلاج الخشونة المتقدمة.
تطور تقنيات التثبيت: من الجراحة المفتوحة إلى الشق المصغر
تاريخياً، كان تثبيت الكاحل يتم عبر جرح طولي كبير (الجراحة المفتوحة التقليدية). هذه الطريقة، رغم فعاليتها في دمج العظام، كانت تحمل عيوباً كبيرة:
* تدمير واسع للأنسجة الرخوة والأوعية الدموية المحيطة بالمفصل.
* ألم شديد بعد الجراحة.
* نسب أعلى من التهابات الجروح وتأخر التئامها.
* زيادة احتمالية "عدم الاندماج العظمي" (Non-union) بسبب ضعف التروية الدموية الناتجة عن القطع الجراحي الواسع.
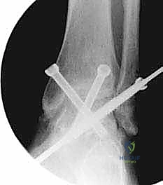
هنا تبرز العبقرية الطبية في تقنية تثبيت مفصل الكاحل بالشق الجراحي المصغر (Mini-Arthrotomy).
ما هو التثبيت بالشق المصغر؟
هو إحداث توازن مثالي بين الجراحة المفتوحة وجراحة المناظير. يقوم الأستاذ الدكتور محمد هطيف بإجراء الجراحة عبر شقين أو ثلاثة شقوق صغيرة جداً (لا تتجاوز 2-4 سم). من خلال هذه النوافذ الصغيرة، وباستخدام أدوات جراحية دقيقة ومخصصة، يتمكن من الرؤية المباشرة للمفصل، وإزالة الغضاريف التالفة بالكامل، وتجهيز العظام للدمج، ثم تثبيتها بالبراغي.
مزايا هذه التقنية الثورية:
1. الحفاظ على التروية الدموية: عدم قطع الأنسجة المحيطة يحافظ على تدفق الدم الممتاز للعظام، وهو العامل الأهم لنجاح الاندماج العظمي.
2. ألم أقل بكثير: تقليل الأذى العضلي والجلدي يعني ألماً أقل بكثير للمريض بعد الإفاقة.
3. نسب التئام جروح ممتازة: تقليل خطر التهاب الجرح أو نخر الجلد، وهو أمر بالغ الأهمية خاصة لمرضى السكري أو المدخنين.
4. تعافي أسرع: قدرة المريض على بدء برامج التأهيل بشكل أسرع.
5. رؤية مباشرة ممتازة: على عكس المنظار البحت الذي قد يواجه صعوبة في تصحيح التشوهات الشديدة، يتيح الشق المصغر للجراح رؤية ثلاثية الأبعاد ممتازة لتجهيز العظام وتصحيح انحراف الكاحل بدقة متناهية.



آلام العظام والمفاصل وتقييد حركتها ليس قدراً محتوماً! التشخيص الدقيق والعلاج المتخصص يمكن أن يعيد لك كامل وظيفتك وحريتك في الحركة. لا تدع الألم يسيطر على حياتك.
للحصول على استشارة دقيقة وخطة علاجية مخصصة لحالتك، تواصل فوراً مع مركز الأستاذ الدكتور محمد هطيف:
الأستاذ الدكتور محمد هطيف - أفضل دكتور عظام في صنعاء، وخبير في جراحات العظام والمفاصل والعمود الفقري.. نلتزم بإعادتك لحياة خالية من الألم وحركة طبيعية.
مواضيع أخرى قد تهمك