DEFINITION
When ligamentous restraint at the thumb carpometacarpal (CMC) joint is compromised, functional grip and pinch may result in painful synovitis and hypermobility long before the development of cartilage wear and arthritis.The so-called Eaton stage 1 disease can be treated with an extension osteotomy at the base of the thumb metacarpal (TM) joint as an alternative to either ligament reconstruction or arthroscopic synovectomy and pinning.8,9
ANATOMY
The TM joint is a biconcave-convex saddle joint with minimal bony constraints, so ligamentous support is extremely important, especially considering the compressive forces transmitted across the joint during functional pinch. Eaton and Littler identified the anterior oblique “beak” ligament, so called for its attachment on the palmar beak of the TM, as the primary stabilizer of the TM joint.With the assistance of TM joint arthroscopy, Bettinger et al1 have further defined the anterior oblique ligament (AOL) into a superficial anterior oblique ligament (sAOL) and deep anterior oblique ligament (dAOL). The dAOL, which is intracapsular, is, in fact, the beak ligament. The dAOL plays an important role in the kinematics of thumb opposition. It acts as a pivot point and becomes tight during pronation, opposition, and palmar abduction. The dAOL limits pronation in flexion and both pronation and supination in extension.In their comprehensive assessment of the ligamentous anatomy of the TM joint, Bettinger et al1 described a total of 16 ligaments that stabilize the trapezium and TM. Seven of these ligaments, including the sAOL, dAOL beak ligament, dorsoradial (DRL), posterior oblique, ulnar collateral, intermetacarpal, and dorsal intermetacarpal, are responsible for directly stabilizing the TM joint.The DRL's role in joint stability has been debated, but Bettinger et al1 showed that the DRL is an important joint stabilizer. The DRL, which covers a large percentage of the posterior aspect of the joint, is a wide, thick ligament that attaches to the trapezium and inserts on the dorsum of the metacarpal base. This ligament tightens with DRL and dorsal translational forces in all positions except full extension. It also tightens in supination and in pronation with joint flexion.
PATHOGENESIS
Functional incompetence of the basal joint's AOL results in pathologic laxity, abnormal translation of the metacarpal on the trapezium, and generation of excessive shear forces between the joint surfaces, particularly within the palmar portion of the joint during grip and pinch activity. Histologic study has shown that attritionalchanges in the AOL at its attachment to the palmar lip of the metacarpal precede degeneration of cartilage.2
NATURAL HISTORY
Because the AOL appears to be the primary stabilizer of the TM joint and because its detachment results in dorsal translation of the metacarpal, its reconstruction has been recommended to restore thumb stability not only in cases of end-stage osteoarthritis but also for early-stage disease.Pellegrini et al6 were the first to evaluate the biomechanical efficacy of extension osteotomy. Palmar contact area was unloaded with a concomitant shift in contact more dorsally so long as arthrosis did not extend more dorsal than the midpoint of the trapezium.Shrivastava et al7 studied the effect of a simulated osteotomy on TM joint laxity by flexing the metacarpal base 30 degrees, thus placing the joint in the relationship it would assume if an extension osteotomy was performed.The simulated extension osteotomy reduced laxity in all directions tested: dorsal-volar (40% reduction), radialulnar (23% reduction), distraction (15% reduction), and pronation-supination (29% reduction).They hypothesized that the beneficial clinical effects of a TM extension osteotomy may be partially due to tightening of the DRL, which might reduce dorsal translation.
PATIENT HISTORY AND PHYSICAL FINDINGS
Basal joint arthritis may present with mild symptoms beneath the thenar eminence at the level of the TM joint, particularly during pinch and grip. Ultimately, the greatest functional impairment occurs with advanced disease—limiting breadth of grasp and forceful lateral pinch activities such as brushing teeth, turning a key, opening a jar, or picking up a book.Complaints are directed toward the base of the thumb, and pain is frequently associated with a sensation of movement or “slipping” within the joint. An enlarging prominence, or “shoulder sign,” inevitably develops at the base as the clinical manifestation of dorsal metacarpal subluxation on the trapezium and metacarpal adduction.Early presentation may result in only pain with TM stress and palpation beneath the thenar cone, without deformity, instability, subluxation, or crepitance.Methods for examining the thumb CMC joint for hypermobility (stage 1 disease) include the following:Trapeziometacarpal stress test, which may cause pain or a slight shift or subluxation Thenar CMC joint palpation test, which may cause pain
IMAGING AND OTHER DIAGNOSTIC STUDIES
P.1057Radiographic evaluation includes a posteroanterior (PA) 30-degree oblique stress view, lateral view, and a Robert (pronated anteroposterior [AP]) view (FIG 1).Osteoarthritis may be confined to the TM joint, or it may involve the pantrapezial joint complex. Indeed, the staging system described by Eaton and Littler describes four stages:Stage 1: a normal joint with the exception of possible widening from synovitis Stage 2: joint space narrowing with debris and osteophytes smaller than 2 mm Stage 3: joint space narrowing with debris and osteophytes larger than 2 mmStage 4: scaphotrapezial joint space involvement in addition to narrowing of the TM joint
DIFFERENTIAL DIAGNOSIS
CMC arthritis (stages 2 to 4) De Quervain tendonitis Flexor carpi radialis tendinitis
NONOPERATIVE MANAGEMENT


FIG 1 • AP (A) and lateral (B) preoperative thumb radiographs.
SURGICAL MANAGEMENT
Until recently, surgical treatment has centered around reconstruction of the palmar beak ligament with a slip of flexor carpi radialis tendon, as described by Eaton and Littler.3The rationale for TM extension osteotomy involves dorsal load transfer and a shift in force vectors during pinch. Pellegrini et al6 showed that a 30-degree closing wedge extension osteotomy effectively unloaded thepalmar compartment when eburnation involved less than half, and optimally only one-third, of the palmar joint surfaces. Osteotomy in this setting shifted the contact areas to the intact dorsal articular cartilage.The most recent biomechanical assessment of metacarpal osteotomy suggested that joint laxity is reduced in lateral pinch because of obligatory metacarpal flexion and resulting increased tightening of the dorsal radialligament.7
PREOPERATIVE PLANNING
Radiographs should show a normal joint or slight widening from synovitis. A trapeziometacarpal stress test should elicit pain along with palpation of the joint beneath the thenars. Obviously, other causes of discomfort in the region should be excluded.
POSITIONING
The extremity is placed on a standard hand table.
APPROACH
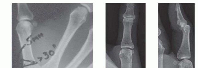
A dorsal approach is used and subperiosteal exposure of the base of the metacarpal is provided.The osteotomy is made 1 cm distal to the base and is 5 mm wide, so the incision should extend 4 cm distal to the base.The base of the wedge is therefore 5 mm wide and is dorsal. Its apex is palmar.P.1058
TECHNIQUES
EXTENSION OSTEOTOMY WITH STAPLE FIXATION


TECH FIG 1 • A. Radiograph showing planned osteotomy. B,C. AP and lateral postoperative thumb radiographs. Use a microsagittal saw to score the metacarpal 1 cm distal to its base transversely, but do not make a complete cut through the volar cortex.Leave a new saw blade in that partial osteotomy site and use a second blade about 5 mm distal to the first cut at an angle of 30 degrees so that the two blades intersect at the volar cortex.Remove the wedge of bone, extend the distal metacarpal and compress it against the proximal fragment, and place one 11 × 8 staple (OSStaple, BioMedical Enterprises, Inc., San Antonio, TX).Typically, I maintain the reduced position of the metacarpal while my assistant predrills and then places the staple (TECH FIG 1B,C).Perform a layered closure of the periosteum and skin and place an overlying thumb spica splint.1. Extension Osteotomy with Kirschner Wire and Tension Band FixationThe technique is as described for staple fixation except for the use of Kirschner wires.Use a microsagittal saw to score the metacarpal 1 cm distal to its base transversely, but do not make a complete cut through the volar cortex.Leave a new saw blade in that partial osteotomy site and use a second blade about 5 mm distal to the first cut at an angle of 30 degrees so that the two blades intersect at the volar cortex.Remove the wedge of bone and use a 0.045-inch Kirschner wire to place a transverse hole on either side of the osteotomy.Pass a 22-gauge wire radial to ulnar and ulnar to radial.Place a 0.045-inch Kirschner wire retrograde through the distal osteotomy site, exiting out the ulnar aspect of the thumb, and compress the osteotomy by extending the distal metacarpal.With an assistant maintaining compression, tighten the wire, cut it, and bend it beneath the thenar musculature. Then advance the Kirschner wire anterograde.Cut the Kirschner wire external to the skin to facilitate removal, and repair the periosteal origin of the thenar musculature with absorbable suture.P.1059
POSTOPERATIVE CARE
A thumb spica splint is placed for 10 days.At that time sutures are removed, and a thumb spica cast with the interphalangeal joint of the thumb left free is placed for an additional 4 weeks.About 6 weeks after surgery, a forearm-based thumb spica Orthoplast splint is placed and the patient is instructed to begin gentle TM motion.Grip and pinch exercises are started at about 8 weeks after surgery unless union is delayed.
OUTCOMES
In light of Pellegrini et al's6 biomechanical data and my own relative dissatisfaction with Eaton ligament reconstruction for stage 1 disease, primarily related to a prolonged recovery period (8 to 10 months) and a stiff TM joint, I prospectively evaluated the efficacy of a 30-degree extension osteotomy in 12 patients(12 thumbs) between 1995 and 1998.9TM arthrotomy allowed accurate intra-articular assessment and verified AOL detachment from the metacarpal rim in each case.Follow-up averaged 2.1 years (range 6 to 46 months).All osteotomies healed at an average of 7 weeks. Eleven patients were satisfied with outcome. Grip and pinch strength increased an average of 8.5 and 3 kg, respectively.Since that study's publication, I have become even more impressed by the efficacy of the procedure andbelieve, as Koff et al4 suggested, that osteotomy decreases laxity and shifts contact area more dorsally. It seems logical that the DRL participates in this effect and this substantiates the contention that the DRL is
PEARLS AND PITFALLS
Intra-articularosteotomy1. Accurately locate the CMC joint with a 25-gauge needle so that theosteotomy is made 1 cm distal to the base.Accurate executionof a 30-degree osteotomy1. Make the most proximal cut perpendicular to the metacarpal—with themetacarpal parallel to the table.2. Make the second cut at an angle of 30 degrees—5 mm distal to the first cut—such that the saw blade intersects the volar cortex at the location of the first blade.an important stabilizer.In 2008, Parker et al5 published long-term outcomes following extension osteotomy in eight patients in whom the Eaton stage was I in three patients, II in 3 patients, and III in two patients. Follow-up ranged from 6 to 13 years, and pinch and grip strength increased 129%, 103%, and 108%, respectively. Eaton stage was preserved in five of the eight patients, with excellent functional outcomes in six of eight patients at a mean of 9 years. Although numbers are small, their data suggests that first metacarpal extension osteotomy can be an effective and durable procedure that does not limit future salvage procedures such as trapeziectomy or arthroplasty and supports the use of this treatment in early and moderate Eaton stages.Since the publication of the first edition of this text, I continue to use TM extension osteotomy for the painful hypermobile CMC joint Eaton stage I disease. However, rather than using staple fixation, which I advocated earlier, preferentially, over Kirschner wire fixation with a cerclage wire, I now preferentially use the latter technique, which, in my hands, is easier to reliably execute.
COMPLICATIONS
NonunionPersistent pain necessitating resection arthroplasty with trapezium excision Radial sensory nerve injury or dysesthesia
REFERENCES
- Bettinger PC, Linscheid RL, Berger RA, et al. An anatomic study of the stabilizing ligaments of the trapezium and trapeziometacarpal joint. J Hand Surg Am 1999;24(4):786-798.
- Doerschuk SH, Hicks DG, Chinchilli VM, et al. Histopathology of the palmar beak ligament in trapeziometacarpal osteoarthritis. J Hand Surg Am 1999;24(3):496-504.
- Eaton RG, Lane LB, Littler JW, et al. Ligament reconstruction for the painful thumb carpometacarpal joint: a long-term assessment. J Hand Surg Am 1984;9(5):692-699.
- Koff MF, Shrivastava N, Gardner TR, et al. An in vitro analysis of ligament reconstruction or extension osteotomy on trapeziometacarpal joint stability and contact area. J Hand Surg Am 2006;31(3):429-439.
- Parker WL, Linscheid RL, Amadio PC. Long-term outcomes of first metacarpal extension osteotomy in the treatment of carpal-metacarpal osteoarthritis. J Hand Surg Am 2008;33(10):1737-1743.
- Pellegrini VD Jr, Parentis M, Judkins A, et al. Extension metacarpal osteotomy in the treatment of trapeziometacarpal osteoarthritis: a biomechanical study. J Hand Surg Am 1996;21(1):16-23.
- Shrivastava N, Koff MF, Abbot AE, et al. Simulated extension osteotomy of the thumb metacarpal reduces carpometacarpal joint laxity in lateral pinch. J Hand Surg Am 2003;28(5):733-738.
- Tomaino MM. Thumb by metacarpal extension osteotomy: rationale and efficacy for Eaton stage I disease. Hand Clin 2006;22:137-141.
- Tomaino MM. Treatment of Eaton stage I trapeziometacarpal disease with thumb metacarpal extension osteotomy. J Hand Surg Am 2000;25(6):1100-1106.