Ace Your FRCS: Key Questions in Trauma & Orthopaedics

Key Takeaway
We review everything you need to understand about Ace Your FRCS: Key Questions in Trauma & Orthopaedics. In trauma and orthopaedics, managing open tibial fractures involves immediate ATLS review, wound care, analgesia, splinting, and antibiotics. Theatre planning includes thorough debridement and fracture stabilization. Key post-operative concerns are compartment syndrome, monitored clinically or invasively, often necessitating fasciotomy. Definitive soft tissue cover is typically aimed for within five days to optimize outcomes.
๐
Viva Exam
Questions in Trauma and Orthopaedics for the FRCS
Section 6 Lower Limb and Pelvic Trauma
๐ Viva 41
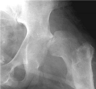
This 27-year-old has been involved in a road traffic accident (RTA).

Describe what you see in this picture and explain your initial management.
When are you going to take this patient to theatre and what will you plan to do?
What is your biggest concern in the early post-operative period and how do you monitor for this?
How would you perform a lower leg fasciotomy?
How soon should you aim to get soft tissue cover and what do you know about free flaps?
Describe what you see in this picture and explain your initial management.
This is a clinical photograph showing an open fracture of the midshaft of the right tibia. After ruling out more urgent issues with an ATLS review, I would examine the wound, photograph it, and then cover it with a saline-soaked gauze. I would provide analgesia and splint the limb. I would give antibiotics and tetanus toxoid, if needed, and obtain AP and lateral radiographs.
When are you going to take this patient to theatre and what will you plan to do?
I would arrange for theatre at the earliest appropriate time (not necessarily <6 h). I would also discuss the case at an early stage with my nearest plastic surgical unit. I would perform an initial wash/scrub for gross contamination. I would then perform a thorough debridement of skin, fat, fascia, muscle, and bone. I would obtain fracture stabilization before further washout. I would apply dressings, splint the leg with the ankle plantegrade, and make a plan for future treatment.
What is your biggest concern in the early post-operative period and how do you monitor for this?
With any high-energy fracture, particularly tibial fractures, I would have a high index of suspicion for compartment syndrome. For this reason I would avoid regional anaesthetic blocks. In my unit we monitor patients with regular clinical observation. Invasive pressure monitoring is used for those patients who have a reduced level of consciousness.
How would you perform a lower leg fasciotomy?
I use the two-incision technique as described in the British Orthopaedic Association/ British Association of Plastic Surgeons (BOA/BAPS) guidelines published in 1997. The fi rst longitudinal incision is 1 cm medial to the postero-medial border of the tibia and allows decompression of the posterior compartments. The second incision is placed 2 cm lateral to the anterior border of the tibia and allows access to the anterior and peroneal compartments.
How soon should you aim to get soft tissue cover and what do you know about free fl aps?
The recommendation for defi nitive soft tissue cover is within 5 days of initial injury. Soft tissue coverage may be obtained by delayed primary closure or by one of the techniques of the reconstructive ladder. The most complex of these is the free fl ap. This usually involves taking a distant muscle with its vascular supply and revascularizing it with healthy vessels close to the recipient site. This muscle is then covered with a split thickness skin graft.
๐ Viva 42
This patient was the driver in a high-speed RTA.

A B
Reproduced from C. Bulstrode et al., Oxford Textbook of Trauma and Orthopaedics second edition, 2011, fi gure 14.11.3, p. 1717, with permission from Oxford University Press.
What do you see in this picture and what causes this type of injury?
What other information would you like?
What is the standard treatment for this fracture?
What complications should you anticipate in this patient?
What is the probability of AVN in this case and what would you see?
Can you describe the blood supply to the talus?
What do you see in this picture and what causes this type of injury?
This is a lateral radiograph showing a displaced talar neck fracture. The subtalar joint appears to be incongruent. I would classify this with the Hawkinโs system as a type II fracture.
T his injury is caused by the application of an axial load to the plantar aspect of the foot. This is a high-energy injury often associated with RTAs.
What other information would you like?
A s this is a high-energy fracture I would be concerned about the general status of the patient and whether this was an isolated injury. I would want to have a full ATLS-type review. Regarding this injury I would want to know the neurovascular status of the foot and whether it was a closed injury. I would also require further radiographs of the foot/ankle and CT scan if available.
What is the standard treatment for this fracture?
T ype II and III fractures should be reduced and fi xed with two cannulated interfragmentary compression screws. I would use an antero-medial approach to the neck of the talus to openly reduce and fi x the fracture from anterior to posterior. My aim would be for anatomical reduction as mal-union is associated with poor results.
What complications should you anticipate in this patient?
E arly complications include compartment syndrome of the foot. There are a total of nine compartments in the foot. If necessary I would decompress the foot via two dorsal incisions, over the second and fourth metatarsals, and one medial incision.
Mid-term complications include infection, mal-/non-union, and AVN.
Long-term complications include osteoarthritis.
What is the probability of AVN in this case and what would you see?
Risk of AVN could be expected to be around 25 % in this case. I would expect to see increased density of the talar body followed by subchondral collapse and talar dome fragmentation.
I would also look for Hawkinโs sign. This is the presence of subchondral lucency seen radiographically around 2 months after fracture. It is a good sign, indicating reperfusion of the talus.
Can you describe the blood supply to the talus?
The blood supply to the talus is via an anastomosis formed by three main arteries and their branches. The predominant supply to the body is from the posterior tibial via the branch to the tarsal canal. The talar head and neck are supplied by the dorsalis pedis and artery of the sinus tarsi, a branch of the peroneal artery.
๐ Viva 43
This rugby player landed awkwardly after a line out.

Reproduced from Aneel Bhangu, Caroline Lee, and Keith Porter, Emergencies in Trauma, 2010, fi gure 11.13, p. 198, with permission from Oxford University Press.
What do you see and which joint is involved?
What is the Lisfranc joint?
How do you describe Lisfranc injuries and which type is this?
This is an isolated injury. How would you proceed?
What do you look for on plain radiographs?
What is your operative plan for this fracture?
What are you going to say to this patient about his long-term outcome?
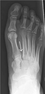
What do you see and which joint is involved?
This AP radiograph shows disruption at the tarso-metatarsal joints otherwise known as a Lisfranc injury.
What is the Lisfranc joint?
This consists of three cuneiform and two cuboid metatarsal articulations. Joint stability is provided by strong ligaments and the recessing of the second metatarsal head. The Lisfranc ligament runs from the base of the second metatarsal to the medial cuneiform.
How do you describe Lisfranc injuries and which type is this?
T ype A is a complete uniplanar dislocation involving the whole joint. A type B injury describes a partial dislocation, either medial or lateral. Type C injuries are divergent dislocations.
In this case there appears to be a lateral type B injury.
This is an isolated injury. How would you proceed?
I would provide analgesia and elevation with a resting splint, including foot/ankle, but allowing room for swelling. I would observe for evidence of compartment syndrome and obtain further radiographic views and CT scan. I would wait for the swelling to reduce before considering surgery. Skin softening and wrinkling suggests that swelling is receding.
What do you look for on plain radiographs?
O n an AP view the second metatarsal and medial cuneiform medial borders should align. On an oblique view the medial borders of the fourth metatarsal and cuboid should align. I would also look for the fl eck sign which implies an avulsion of the Lisfranc ligament.
What is your operative plan for this fracture?
I would plan to openly reduce and fi x with screws, starting with the second metatarsal reduction. I would employ two skin incisions, one over the fi rst web space, the second over the fourth metatarsal.
What are you going to say to this patient about his long-term outcome?
I would warn him that even if his surgery goes well and things heal as planned there remains a 30 % chance of post-traumatic osteoarthritis.
๐ Viva 44
This 20-year-old roofer fell from his ladder sustaining this isolated injury.

Reproduced from C. Bulstrode et al., Oxford Textbook of Trauma and Orthopaedics second edition, 2011, fi gure 12.61.9, p. 1419, with permission from Oxford University Press.
What do you see in this radiograph?
What is your management of this patient in the emergency department? What further investigations would you order and how are these helpful?
How would you best treat this fracture?
Are you familiar with any published evidence in this area?
What do you see in this radiograph?
T his lateral hindfoot radiograph shows a displaced calcaneal fracture with involvement of the subtalar joint. Bohlerโs and Gissaneโs angles are both reduced. Bohlerโs angle is normally between 20ยฐ and 40ยฐ ; a reduction in this angle implies involvement of the posterior facet.
What is your management of this patient in the emergency department?
I would perform an ATLS review and look for associated injuries. More specifi cally I would assess the soft tissues and look for open wounds. I would assess and document the neurovascular status of the foot. I would then provide elevation and analgesia before obtaining plain radiographs of the calcaneum and foot. Clinical monitoring for signs of compartment syndrome would be commenced.
What further investigations would you order and how are these helpful?
I would like further radiographic views including Brodenโs views which help to visualize the anterior surface of the posterior facet. I would also request an AP view of the foot to assess the calcaneocuboid joint.
I would also request a CT scan. This provides a better understanding of the fracture confi guration. CT also allows classifi cation as described by Sanders. The Sanders classifi cation of calcaneal fractures is based upon the position of the primary fracture line and the number of secondary fragments in the posterior facet.
How would you best treat this fracture?
T he best treatment continues to be contentious. I believe that with good anatomical reduction, especially of the subtalar joint, outcome will be improved.
I would also discuss non-operative options and emphasize the potential risks of surgery. I would warn the patient that he is unlikely ever to have a โnormalโ foot and that his career may well be aff ected.
Are you familiar with any published evidence in this area?
I n 2002, Buckley et al. published a prospective, multi centre, randomized controlled trial [Buckley, R., Tough, S., McCormack, R., et al. (2002). Operative compared with non-operative treatment of displaced intra-articular calcaneal fractures. J. Bone Joint Surg. Am. , 84, 1733โ44] which identifi ed certain subgroups expected to have better or worse surgical outcomes. They studied over 400 patients with displaced intra-articular calcaneal fractures. Around 75 % of these were followed up at between 2 and 8 years.
Overall the outcomes after non-operative treatment were not found to be diff erent from those after operative treatment. Those patients, however, who were younger, female, or had an anatomical reduction scored signifi cantly higher on the scoring scales after surgery compared with those who were treated non-operatively.
๐ Viva 45
A 77-year-old woman fell off her bicycle sustaining this injury.

What does this radiograph show and how would you classify this fracture?
What would you like to like to know about the patient?
What is your initial management?
How would you manage this patient?
How would you manage this fracture if it occurred in a 42-year-old?
This patient presented at 10 p.m. Would you operate that night?
What does this radiograph show and how would you classify this fracture?
There is a displaced intracapsular fracture of the right neck of femur. I would describe this as a Garden IV fracture as there is complete displacement. Clinically the most important classifi cation is simply between displaced and undisplaced fractures.
What would you like to like to know about the patient?
I need to know about any other injuries and the patientโs acute medical status. I would then enquire about medical co-morbidities, residential status and her pre-morbid mobility. Her mental status both acutely and pre-injury are also important.
What is your initial management?
I would manage this patient along the recent British Orthopaedic Association Standards for Trauma (BOAST) guidelines. She requires analgesia, plain radiographs, and admission to an appropriate ward within 4 h. Routine bloods and electrocardiogram (ECG) are performed and the patient rehydrated. I would plan for surgery within 48 h unless a reversible medical condition was present.
How would you manage this patient?
A s mentioned earlier, I would follow the BOAST guidelines. I would discuss treatment with her and propose a total hip replacement (THR). Studies show that patients do better functionally with THR and re-operation rates are lower. I would certainly expect this particular patient to do better with THR. I would use a cemented cup and stem with a 32 mm head via a modifi ed Hardinge approach.
Although relatively uncommon, it is recommended that an orthogeriatrician should be involved in all phases of this patientโs care.
How would you manage this fracture if it occurred in a 42-year-old?
I would aim to conserve the femoral head by reducing the fracture under direct visualization and fi xing internally with three screws.
This patient presented at 10 p.m. Would you operate that night?
I would operate the next morning as evidence suggests that rapid surgery does not aff ect outcome. The most important factor is accurate reduction.
๐ Viva 46
A 40-year-old sustained this injury in a RTA.

Reproduced from C. Bulstrode et al., Oxford Textbook of Trauma and Orthopaedics second edition, 2011, fi gure 12.15.4, p. 973, with permission from Oxford University Press.
Describe what you see in this picture and explain your initial management.
What is your primary treatment upon admission?
Do you know a way of classifying these fractures?
How would you definitively treat this fracture?
What are the AO principles?
What complications are you going to warn the patient about?
Describe what you see in this picture and explain your initial management.
This is an AP radiograph of the left ankle showing a multifragmentary pilon fracture.
I would perform an ATLS review and rule out concomitant injuries. I would then assess the neurovascular status of the aff ected limb and observe for signs of open injury or degloving. I would apply a temporary splint, provide analgesia, and obtain AP and lateral radiographs.
What is your primary treatment upon admission?
I would commence monitoring for signs of compartment syndrome. I would plan to take the patient to theatre and place a spanning external fi xator. This would keep the limb out to length, maintain alignment, and most importantly avoid further insult to the soft tissues.
Do you know a way of classifying these fractures?
T he Rรผedi and Allgรถwer [The operative treatment of intra-articular fractures of the lower end of the tibia. Clin. Orthop. Relat. Res. , 138, 105โ10, 1979] system describes three fracture types. Type 1 are essentially undisplaced, type 2 are displaced with little comminution, and type 3 fractures, like this one, have metaphyseal or articular comminution.
How would you defi nitively treat this fracture?
I would obtain a CT scan to enable pre-operative planning. I would consider discussing this patient with a specialist trauma centre. I would expect to wait around 7โ10 days for the soft tissues to be in appropriate condition for surgery.
I would plan to openly reduce and fi x along AO [Arbeitsgemeinschaft fรผr Osteosynthesefragen] principles paying careful attention to the soft tissues. Non-surgical treatment is an option but would give poor results in this case.
Defi nitive external fi xation would be a possibility, such as a fi ne-wire Ilizarov type frame.
What are the AO principles?
T o appropriately restore bony anatomy, to maintain reduction while also respecting soft tissues, and to provide an environment that allows healing and early joint mobilization.
What complications are you going to warn the patient about?
Short-term complications I would discuss are: wound breakdown/infection, compartment syndrome, and chronic regional pain syndrome (CRPS). Mid-term complications would include non-union or malunion. I would warn that he is very likely to have long-term limitation of ankle movements. I would also warn that there is an 80 % of developing post-traumatic osteoarthritis, although the symptoms from this may be variable.
๐ Viva 47
This 26-year-old skier crashed.

What does this radiograph tell you and what are your immediate concerns about the patient?
How do you carry out an initial assessment of this patient?
How do you classify these injuries?
This patient has an arterial injuryโ how will you proceed?
Which nerve is most commonly damaged and how would you manage this?
How do you provide definitive treatment for an unstable knee?
What does this radiograph tell you and what are your immediate concerns about the patient?
This lateral radiograph shows a dislocation of the left knee. This is usually a high-energy injury so I would be concerned about general patient status and other injuries. As far as this injury is concerned I would be most worried about a popliteal artery injury, which occurs in around 25 % of patients with this injury.
How do you carry out an initial assessment of this patient?
I would assess and document the neurovascular status of the limb before reducing this dislocation, under sedation, as an emergency. After reduction I would again perform a careful neurovascular examination. If there is any suggestion of vascular injury, exploration or angiography is indicated. A โnormalโ pulse may not exclude injury; an ankleโbrachial pressure index of less than 0.9 is abnormal.
How do you classify these injuries?
T hese injuries are classifi ed according to the direction of dislocation of the tibia in relation to the femur. Anterior dislocations are most common followed by posterior, lateral, medial, and rotatory dislocations. Up to 20% of knee dislocations have spontaneously relocated and do not, therefore, fi t into this classifi cation.
An alternative way of classifying is by description of the ligamentous damage incurred.
This patient has an arterial injuryโ how will you proceed?
I would arrange for this patient to go urgently to a theatre where a plastic or vascular surgeon will be available. Prompt reconstruction takes priority and would normally involve an interpositional vein graft. The knee would be stabilized, and thus the repair protected, by placing a spanning external fi xator. Lower limb fasciotomies are also performed to avoid a reperfusion compartment syndrome.
Which nerve is most commonly damaged and how would you manage this?
The common peroneal nerve is the most frequently involved, occurring in around 20โ30 % of cases. I would treat this expectantly, although a large proportion will not fully recover.
How do you provide defi nitive treatment for an unstable knee?
I would obtain an MRI scan to characterize ligamentous structures that have been damaged. Associated fractures must also be sought. Additional information may be found by performing an EUA. Repair and/or reconstruction of ligamentous structures should be performed by somebody with experience in this area.
Treatment choices lie between early reconstruction of the postero-lateral corner (PLC) and posterior cruciate ligament (PCL), with delayed anterior cruciate ligament (ACL) reconstruction, and early bracing/rehabilitation with late reconstruction.
๐ Viva 48
This young patient was the passenger in a high-speed RTA.

Reproduced from C. Bulstrode et al., Oxford Textbook of Trauma and Orthopaedics second edition, 2011, fi gure 12.50.17, p. 1308, with permission from Oxford University Press.
What does this radiograph show you and what would your initial management in the emergency department be?
Once in theatre how would you plan to treat this injury?
What would your management be once you have reduced the dislocation?
A CT scan shows an additional posterior wall fracture.
What are the indications for fixing the posterior wall fracture?
How would you fix this fracture and what complications would you warn the patient about?
What does this radiograph show you and what would your initial management in the emergency department be?
This is an AP radiograph of the left hip showing a posterior dislocation. There is an associated impacted fracture of the femoral head on the posterior acetabular wall. This is a high-energy injury and with a high probability of other injuries. I would therefore perform a full ATLS-type review. I would assess and document the neurovascular status of the limb and provide adequate analgesia. I would liaise with theatres and seek the advice from my local pelvic specialist centre.
Once in theatre how would you plan to treat this injury?
I would initially attempt a closed reduction of the hip. This is done using the Bigelow manoeuvre. With the patient supine and an assistant fi xing the pelvis via the anterior superior iliac spines, the surgeon applies traction, adducts, and internally rotates the femur. The majority of dislocations will reduce with this manoeuvre. If the dislocation wonโt reduce then an emergency open reduction is indicated via a posterior approach.
What would your management be once you have reduced the dislocation?
I would confi rm reduction on table with an image intensifi er and perform an EUA to assess stability. I would place a distal femoral pin for traction to maintain hip reduction.
Post-operatively I would request further radiographic imaging including CT scan. This would confi rm concentric reduction, rule out fragments within the joint, and characterize the posterior wall acetabular fracture. When the patient recovers from the anaesthetic I would repeat my neurovascular examination.
What are the indications for fi xing the posterior wall fracture?
T he indications for surgery are a lack of joint congruity or instability. Usually if only around 20% of the wall is aff ected the joint will be stable. Those with between 20 and 40% aff ected may or may not be unstable. In a young patient such as this, any involvement greater than 30% would be an indication for surgery to maintain reduction, and buttress plating will be required.
How would you fi x this fracture and what complications would you warn the patient about?
I would use a posterior approach for this fracture. Screw fi xation alone will be inadequate to maintain reduction and buttress plating will be required. I would warn the patient about early complications such as infection and sciatic nerve damage. Longer-term complications include heterotopic ossifi cation (HO), AVN, and osteoarthritis. We routinely give indomethacin to reduce the risk of HO and give low-molecular-weight heparin to reduce the risk of DVT and pulmonary embolus.
๐ Viva 49
This 32-year-old pedestrian was hit by a car.
A 
B 
What do you see in these two radiographs?
What do you understand by the term damage control orthopaedics (DCO)?
How do you decide which patients require DCO and what is the alternative?
What is the Injury Severity Score (ISS)?
When do you expect to operate definitively on a DCO patient?
What do you see in these two radiographs?
T here is an AP view of the lower left leg showing multifragmented mid-shaft fractures of the tibia and fi bula, probably resulting from a high-energy impact. The chest radiograph suggests that there has been a signifi cant insult to the chest/lungs.
What do you understand by the term damage control orthopaedics (DCO)?
DCO is a planned and staged surgical strategy in the management of polytrauma patients to minimize the eff ects of the โsecond hitโ on an already limited physiological reserve. The โfi rst hitโ is from the injury and the bodyโs response to this injury, while the โsecond hitโ is produced by surgical intervention.
E vidence shows that, in certain patients, primary external fi xation of long bone fractures and secondary nailing improves outcome. There is a reduction in the incidence of multiple organ dysfunction syndrome (MODS) and adult respiratory distress syndrome (ARDS).
How do you decide which patients require DCO and what is the alternative?
The alternative way of managing polytrauma patients is known as early total care. This preceded the concept of DCO and involves the early treatment of all fractures. Patients who would be suitable for DCO include: those with Injury Severity Score > 20 with chest injury, those with abdominal or pelvic trauma in hypovolaemic shock (systolic blood pressure < 90 mmHg) and anyone with bilateral lung contusions.
What is the Injury Severity Score (ISS)?
T his is a scoring system based on the Abbreviated Injury Scale (AIS). Each body system is given an AIS of 1โ6 with 6 being the most serious. The ISS is calculated by adding the squares of the three most severely injured body systems. A patient with a score greater than 16 is defi ned as being seriously injured. In this case a patient would have greater than 10 % chance of mortality.
When do you expect to operate defi nitively on a DCO patient?
This decision will be made in conjunction with the anaesthetist and intensivist. I would usually expect this to be after at least 4 days. Parameters such as blood pressure, heart rate, arterial blood gases, and core temperature must be corrected to avoid the risk of a large second hit.
I would want to exchange from external fi xator to a nail within 10 days to avoid an increased risk of infection.
๐ Viva 50
This woman fell while out shopping.
A
B 
Describe these radiographs.
Who gets subtrochanteric fractures and how do you classify them?
How would you manage this patient in the pre-operative phase?
How do you fix these fractures?
When do you expect union and what is the risk of non-union?
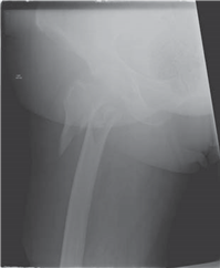
Describe these radiographs.
These AP and lateral radiographs show a displaced subtrochanteric fracture on the right side. There is no evidence that this is a pathological fracture. Often in these fractures the proximal fragment lies fl exed and in varus due to the unopposed pull of the iliopsoas. In this case the lesser trochanter has remained with the distal fragment so this deformity would not be seen.
Who gets subtrochanteric fractures and how do you classify them?
This is predominantly a fracture of the elderly. Although relatively uncommon, incidence is rising. Most are caused by simple falls from standing height. A signifi cant portion of these fracture are pathological in origin. In young patients this fracture would invariably be due to a high-energy injury.
A universally accepted fracture classifi cation does not exist. Classifi cation is diffi cult because of diff erent defi nitions of what constitutes a subtrochanteric fracture.
The RussellโTaylor classifi cation divides fractures into four types. This classifi cation describes piriform fossa involvement and medial buttress stability and acts as a guide to reconstruction.
How would you manage this patient in the pre-operative phase?
I would initially assess the patientโs acute medical condition and exclude other injuries. I would then check neurovascular status, provide analgesia, and immobilize with a Thomas splint. I would obtain further radiographs including the whole femur. A thorough medical history is required as the association with metastatic disease is high.
How do you fi x these fractures?
There is no gold standard fi xation method for these fractures. Historically these fractures were plated, with nailing being a more recent option. All fi xation methods have a sizeable failure rate which makes this a challenging area. The underlying problem is the massive biomechanical loads transmitted through this area.
For this particular fracture I would use a 95ยฐ dynamic condylar screw plate.
When do you expect union and what is the risk of non-union?
I would expect union to take around 4 months. This is a classic case of the race between fracture union and implant failure due to fatigue. Non-union risk would be in the region of 5โ10 % .
This page intentionally left blank
๐ Viva Table 3

Trauma
Section 7 Spine and Upper Extremity Trauma
๐ Viva 51
A 35-year-old man has been involved in a motocross accident and fallen off his bike. Wearing all the protective clothing and helmet he is brought into the emergency department complaining of neck pain.

Reproduced from Aneel Bhangu, Caroline Lee, and Keith Porter, Emergencies in Trauma, 2010, fi gure 13.1, p. 268, with permission from Oxford University Press.
What are your comments about this radiograph?
How would you manage him now?
You donโt have access to an MRI scanner; could you reduce this with the patient awake?
How would you apply a Halo?
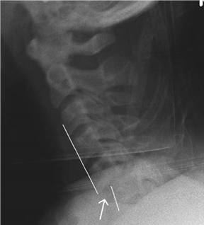
What are your comments about this radiograph?
T he C5 vertebra is displaced by 50% compared with C6, indicating a bifacet dislocation. This radiograph only shows down to C7 and is therefore inadequate for a trauma C Spine lateral radiograph.
How would you manage him now?
I would manage this patient following ATLS guidelines. I would initially remove the helmet visor to gain access to the eyes, nose, and mouth. I would then remove his protective equipment while maintaining spinal immobilization. One needs to exclude another spinal injury, and obtain full imaging of the spine. Having carried out a full neurological examination, and ensured that this is an isolated injury I would then contact a specialist spinal surgeon for advice on reduction. This can be a closed awake or open GA reduction. It is important to exclude a prolapsed disc which may damage the cord during reduction.
You donโt have access to an MRI scanner; could you reduce this with the patient awake?
Y es you can, as long as the patient is awake, alert, and serial neurological examinations are possible. This is controversial. It is carried out by applying GardnerโWells tongs to the skull and then adding sequential weights to the traction cord. The patient is supine, and an image intensifi er is used to image the spine after each additional load is added. Ten pounds is added initially, and then approximately 5 pounds per level. Once the neck is fully stretched and the facets have been unlocked, the neck is then extended to complete the reduction, and the traction reduced.
How would you apply a Halo?
I would fi rst explain to the patient how and why I am going to do it.
F our pins are used after local anaesthetic to the scalp, tightened with a torque limiter (six for a child). Placement is essential for:
1. Stability of the construct โ equidistant and symmetrical
2. Prevention of damage to important structures โ temporal artery/supraorbital nerves/sinuses Placement is carried out as follows: z Anterior โ 1 cm above lateral outer third of eyebrow (eyes closed) z Posterior โ behind earlobe above mastoid z Three-person job โ one holding the head and two applying the Halo z Apply jacket โ appropriately sized z Check radiograph of the spine to ensure correct reduction is maintained z Tighten the pins after 24 h Complications include:
z Loss reduction/position z Pin site infection and loosening z Pain z Nerve injury
๐ Viva 52
A 35-year-old left-handed man sustained this injury whilst arm wrestling.

Reproduced from C. Bulstrode et al., Oxford Textbook of Trauma and Orthopaedics second edition, 2011, fi gure 12.11.8, p. 937, with permission from Oxford University Press.
Describe these radiographs to me. How would you go about managing this injury?
It is documented by the casualty officer that the patient has dense radial nerve palsy. How would this alter your management?
Youโve managed his radial nerve palsy expectantly, but after 4 months there has been no improvement. What would you do now?
What are the principles of tendon transfers? Which would you use here?
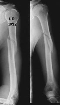
Describe these radiographs to me. How would you go about managing this injury?
T hese radiographs show an oblique mid-shaft fracture of the left humerus. My initial management would be to give the patient analgesia and a collar and cuff sling. I would take a mechanism of injury history and then examine the arm assessing the soft tissues (?open/?compartment syndrome) and distal neurovascular status (particularly radial pulse and radial nerve function). I would then take a more detailed general history โ personality of patient.
Y ou could treat this non-operatively with analgesia gravity traction in collar and cuff ; however, I would have a low threshold for fi xation in distal third fractures that are prone to slip into varus.
For operative fi xation I would use a posterior approach: z Position: patient on their side and the arm over a well-padded roll z Approach: using a midline skin incision the plane is between the lateral and long head triceps โ w hich is easier to find proximally (no true internervous plane, but muscles are innervated very high up so are not denervated). Look for the radial nerve and profunda A in the spiral groove coming medial to lateral โ find/protect. I would then split the medial head in the line of fibres on to the bone (subperiosteal) more distally; beware the ulna nerve as it comes from the anterior compartment to the posterior compartment distally on the medial side
zReduction and fixation: I would use a lag screw (large fragment set) and then a 4.5-mm broad DCP with four bicortical screws on each side (screws are offset)
zClosure: I would document the position of the nerve in relation to the plate
It is documented by the casualty offi cer that the patient has dense radial nerve palsy. How would this alter your management?
Treat radial nerve injury expectantly (90 % are neuropraxias and recover within 3โ4 months). Provide a wrist splint (in extension) for wrist drop/physio to maintain passive range of movement.
Youโve managed his radial nerve palsy expectantly, but after 4 months there has been no improvement. What would you do now?
I would organize nerve conduction and electromyography (EMG) studies. If these showed a neuropraxia, I would continue to monitor expectantly. If the muscle is denervated (axon or neurotemesis) muscle will show fi brillation potentials on EMGs (secondary to a hypersensitive post-synaptic membrane and random release of pockets of acetylcholine). I would refer to the local peripheral nerve injury specialist unit (wait at least 6 months).
What are the principles of tendon transfers? Which would you use here?
Tendon transfer is a late option, the principles of which are:
z A supple joint with full range of passive motion z A healthy donor which is expendable, with grade 5 Medical Research Council (MRC) power (lose one grade with transfer), has adequate excursion, and is a synergist with a straight line of pull
z Good recipient site โ tendon of paralysed muscle (if this is the reason for transfer)
z For a high radial nerve palsy common transfers include pronator teres to extensor carpi radialis brevis (ECRB_, palmaris longus to extensor pollicis longus (EPL) and flexor carpi radialis (FCR) to extensor digitorum (ED)
๐ Viva 53
A 25-year-old man is brought into casualty with a closed isolated injury of his nondominant right arm.
Can you describe the injury to me?

Reproduced from Aneel Bhangu, Caroline Lee, and Keith Porter, Emergencies in Trauma, 2010, fi gure 12.12, p. 234, with permission from Oxford University Press..
How do you classify these types of injury?
How would you manage this patient?
You choose to open and reduce the ulna fracture under direct vision and fix it with a dynamic compression plate. Tell me how this plate works.
Can you describe the injury to me?
This is an AP radiograph of the right elbow showing a Monteggia fracture dislocation. I would like to see further views of the whole forearm as well as a lateral view of the elbow to determine the exact direction of dislocation of the radial head.
How do you classify these types of injury?
C lassifi cation of Monteggia fractures is using the Bado system and is determined by the direction of radial head dislocation:
1. Anterior 70โ85 %
2. Posterior (5 % ; more common in adults than children)
3. Lateral (15โ25 % )
4. Any: with associated radial shaft fracture (rare)
How would you manage this patient?
Management of this isolated injury can be divided into initial A&E management and defi nitive management. I would fi rst assess the patient in A&E giving some analgesia and taking a full history. On examination I would check the soft tissues for any evidence of open fracture or compartment syndrome as well as documenting carefully the distal neurovascular status. The posterior interosseus nerve is particularly at risk. This fracture dislocation needs to be reduced and fi xed urgently. I would organize for the patient to go to theatre when medically safe. In theatre I would use a direct approach to the ulna shaft utilizing the internervous plane between extensor carpi ulnaris (ECU) (posterior interosseous nerve, PIN) and fl exor carpi ulnaris (FCU) (ulnar nerve, UN). I would reduce the fracture under direct vision and then check with an image intensifi er whether the radial head had relocated. I would fi x this fracture with a 3.5-mm dynamic compression plate using AO principles.
You choose to open and reduce the ulna fracture under direct vision and fi x it with a dynamic compression plate. Tell me how this plate works.
Compression can be applied across the fracture in a number of diff erent ways. Firstly by pre-bending the plate; secondly by placing the screws eccentrically in the combihole to allow sliding compression at the fracture site; and thirdly by utilizing the compression device via a separately placed screw adjacent to the plate.
P ost-operatively I would protect the soft tissues in a backslab for 4 weeks to prevent late subluxation of radial head. The patient would then require physiotherapy to regain elbow motion.
๐ Viva 54
A 19-year-old rugby player presents to A&E with a first time injury to his dominant shoulder.
Comment on the radiograph.

Reproduced from Philip G. Conaghan, Philip O'Connor, and David A. Isenberg, Oxford Specialist Handbook:
Musculoskeletal Imaging, fi gure 4.6, p. 105, 2010, with permission from Oxford University Press.
Why does the shoulder dislocate? What stops it normally?
The A&E staff have tried to reduce this without success โ talk me through how you would reduce this dislocation.
What is the risk of this shoulder causing problems again?
What approach would you do for an open reduction?
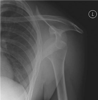
Comment on the radiograph.
This is an AP radiograph of the left shoulder showing an antero-inferior dislocation of the shoulder. One should look for associated injuries including greater tuberosity fractures, bony Bankart lesions and glenoid fractures.
Complications of anterior dislocation include axillary nerve palsy (5โ30 % ), rotator cuff tear (14โ63 % , increased in elderly), greater tuberosity (GT)/glenoid rim fracture ( > 20 % , = fi xation).
S tructures that may block reduction would include buttonholing through the capsule, biceps tendon, or bony fragments.
Why does the shoulder dislocate? What stops it normally?
The shoulder is a highly mobile joint, but at the expense of stability. When the restraints are overcome, the shoulder will dislocate. There are static and dynamic restraints.
Static restraints:
z O sseous anatomy limited to a third of the head on the glenoidโ d epth increased by labrum
(โผ50 % ) z Negative pressure inside joint z Capsular thickenings โ superior glenohumeral ligament (SGHL)/middle glenohumeral ligament (MGHL)/inferior glenohumeral ligament (IGHL) (most important โ hammock analogy) Dynamic restraints:
z Rotator cuff muscles z Long head (LH) of biceps tendon
The A&E staff have tried to reduce this without successโ talk me through how you would reduce this dislocation.
The patient has his arm externally rotated and abducted with loss of the deltoid contour. If the patient was still sedated I would attempt one further reduction in A&E. If unable to reduce I would mobilize my theatre team and anaesthetist to perform a reduction under GA:
z Hippocratic method โ foot in axilla on humeral head, traction on abducted arm z Kocher method of reduction โ flex elbow 90 ยฐ , arm in neutral, and then ER slowly until you hear a clunk of reduction. If does not reduce, flex shoulder, slowly internal rotate, and fully adduct across chest (no traction)
z Modified Stimpson โ hanging weight prone
If the patient was young I would splint them in an ER position for the fi rst 2 weeks then begin a mobilization programme guided by the physiotherapists.
What is the risk of this shoulder causing problems again?
The re-dislocation rate is proportional to the age at fi rst dislocation.
There is a tendency to be more aggressive in the management of young, fi rst-time dislocations. Use MRI arthrograms [look for Bankart ( ยฑ bony)/capsular tear/HillโSachs lesion] or early EUA and arthroscopy to look for and repair Bankart lesions (labral detachment between 3 and 9 oโclock).
What approach would you do for an open reduction?
Deltopectoral. (See answer to Viva 2.)
๐ Viva 55
A 30-year-old man fell off his mountain bike and presented to the emergency department complaining of shoulder pain.

Reproduced from Aneel Bhangu, Caroline Lee, and Keith Porter, Emergencies in Trauma, 2010, fi gure 12.5, p. 217, with permission from Oxford University Press.
Describe the radiograph.
Do you know any classifications for such an injury?
How would you manage this patient?
Do you know any recent papers on the management of clavicular fractures?
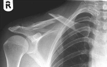
Describe the radiograph.
The radiograph shows a displaced, angulated fracture of the middle third of the right clavicle.
Do you know any classifi cations for such an injury?
Clavicle fractures were classifi ed into thirds by Allman [medial (<5 % ), mid (80 % ), lateral (15 % )]. Neer revised the Allman classifi cation scheme.
L ateral clavicle fractures were further divided into three types based on the location of the clavicle fracture in relation to the coracoclavicular ligaments:
Type I fractures occurred to the coracoclavicular lateral ligaments
Type II fractures occurred at the level of coracoclavicular ligaments, with the trapezoid remaining intact with the distal segment.
Type III injuries entered the acromioclavicular (AC) joint
The Neer Type II fracture was further divided into Type IIA, in which both the conoid and trapezoid ligaments remain attached to the distal fragment, and Type IIB, in which the conoid ligament is torn.
How would you manage this patient?
I would initially manage this patient on ATLS guidelines. He may have sustained a high-energy injury. I would ensure this was an isolated injury to the clavicle. Associated injuries include subclavian artery injury, brachial plexus injury, and lung injury. I would examine the neurovascular status of the upper limb, and the lung fi elds. I would assess the skin over the fracture. Most middle third fractures can be managed non-operatively, but this displaced shortened pattern has a higher incidence of non-union (10 % ), so I would openly reduce and internally fi x this fracture with a pre-contoured plate.
Do you know any recent papers on the management of clavicular fractures?
C anadian Orthopaedic Trauma Society (2007). Nonoperative treatment compared with plate fi xation of displaced midshaft clavicular fractures: a multicenter, randomized clinical trial. J. Bone Joint Surg. Am. , 89 , 1โ10.
This was a RCT with 132 patients; non-operative vs operative midshaft clavicle fracture. The operative group had fewer non-unions (2 vs 7), fewer symptomatic mal-unions (0 vs 9), quicker time to union (16 vs 28 weeks), more satisfaction at 1 year. But the study was not stratifi ed injury characteristics or subgroups.
๐ Viva 56
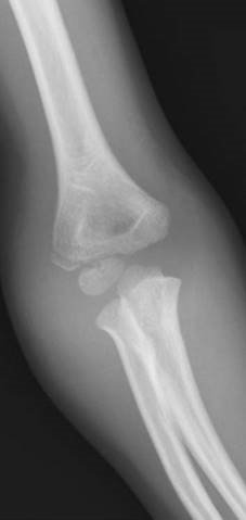
Here is a radiograph of a child who has fallen off a swing.
Describe the injury to me. Can you classify it?

How would you estimate this childโs age from the radiograph?
This is an isolated closed injuryโ how would you manage this definitively?
What are some of the complications of this particular injury?
Describe the injury to me. Can you classify it?
This is AP radiograph showing a displaced lateral condyle fracture.
Traditionally this injury is classifi ed using the Milch system. This depends on whether the fracture exits into the joint relative to the trochlea. It has not been shown to be that useful in terms of guiding management. More important is whether the fracture extends into the joint.
How would you estimate this childโs age from the radiograph?
I would estimate the age based on the fact that the ossifi cation centres around the childโs elbow appear in a standard order:
z Capitellum, 1 year z Radial head, 3 years z Medial epicondyle, 5 years z Trochlea, 7 years z Olecranon, 9 years z Lateral epicondyle, 11 years
This is an isolated closed injuryโhow would you manage this defi nitively?
M y defi nitive management of this injury would consist of open reduction of the displaced fragment and internal fi xation to achieve absolute stability. I would hold my reduction with a partially threaded, small-fragment 3.5-mm screw. I would approach the fracture from the lateral side and check my reduction anteriorly avoiding the neurovascular posterior structures. Post-operatively I would protect the soft tissues in a backslab for 3 weeks, and then once they had healed I would start early range of motion exercises.
What are some of the complications of this particular injury?
T hese fractures have an unusually high rate of non-union for a childrenโs fracture so interfragmentary compression with a lag screw is the optimum treatment. Other complications include angular deformity (cubitis valgus) secondary to a lateral growth arrest (more so in Milch Type 1 fractures). Management of such a deformity remains controversial. In my institution we would only consider an osteotomy at a later date if the deformity gave the child a functional problem. Tardy ulna nerve palsy is also a late, and luckily rare, complication.
๐ Read the comprehensive guide: FRCS: Questions (MCQs)