Introduction & Epidemiology
Charcot neuroarthropathy (CN) of the foot and ankle represents a severe and debilitating complication of peripheral neuropathy, most commonly associated with diabetes mellitus. This progressive, destructive process of bones and joints results from repetitive microtrauma to an insensate foot, leading to a cascade of inflammation, bone resorption, fragmentation, subluxation, dislocation, and eventually gross deformity. The term "rocker bottom" foot classically describes a severe midfoot collapse characterized by plantar convexity, often with a prominent talar head or navicular, predisposing to chronic ulceration, osteomyelitis, and ultimately amputation if not managed effectively.
The primary diagnostic challenge in CN lies in differentiating an acute Charcot exacerbation from active infection, particularly osteomyelitis. Both conditions present with warmth, erythema, and edema, often making clinical distinction difficult. Misdiagnosis can lead to inappropriate treatment, exacerbating morbidity. The incidence of CN is estimated to be between 0.1% and 7.5% in diabetic patients, with a higher prevalence in those with long-standing neuropathy, retinopathy, and nephropathy. Once a deformity, such as the rocker bottom, develops, the risk of plantar ulceration and subsequent infection rises dramatically, with amputation rates reaching 12-50% in infected Charcot feet.
Surgical Anatomy & Biomechanics
The anatomical substrate of Charcot neuroarthropathy primarily involves the tarsal and metatarsal bones, ligaments, and joints, reflecting the areas subjected to peak plantar pressures during ambulation. The foot can be functionally divided into three main columns:
*
Medial Column:
Talus, navicular, cuneiforms, first three metatarsals. This column provides arch support and propulsion.
*
Lateral Column:
Calcaneus, cuboid, fourth and fifth metatarsals. Provides stability and adaptability to uneven terrain.
*
Posterior Column:
Calcaneus and talus, forming the hindfoot complex.
In Charcot neuroarthropathy, the midfoot (Lisfranc and Chopart joints) is most frequently affected (45%), followed by the hindfoot (30%) and ankle (10%). The pathognomonic "rocker bottom" deformity results from the collapse of the medial longitudinal arch, typically at the naviculocuneiform and cuneiform-metatarsal joints (Lisfranc's joint). This collapse leads to:
*
Plantar migration and protrusion of the talar head/navicular:
Creating the convex plantar surface.
*
Dorsal displacement of the metatarsals:
Leading to "hammer toe" deformities or dorsal impingement.
*
Abduction of the forefoot:
Resulting in a "boat-shaped" foot.
The biomechanical consequence is an abnormal redistribution of plantar pressures, particularly over the apex of the deformity. This focal high-pressure area, combined with an insensate foot, inevitably leads to skin breakdown, chronic ulceration, and a direct portal for bacterial invasion, escalating the risk of osteomyelitis. The underlying neuropathic bone quality is characterized by increased osteoclastic activity, bone resorption, and reduced bone density, making internal fixation challenging and prone to failure. Concomitant peripheral arterial disease (PAD) further compromises healing and increases infection risk.
Indications & Contraindications
Indications for Operative Intervention
Surgical management of Charcot neuroarthropathy is primarily aimed at achieving a stable, plantigrade foot that can be braced effectively and remains free of recurrent ulceration or infection. The presence of a severe rocker bottom deformity, especially with active ulceration or impending skin breakdown, often necessitates surgical reconstruction.
- Failed Conservative Management: Persistent instability, recurrent ulceration despite offloading, or progressive deformity.
- Unstable Deformity (Eichenholtz Stage III): Severe disorganization, fragmentation, subluxation/dislocation that is not amenable to bracing.
- Severe Rocker Bottom Deformity: With prominent plantar bony eminences leading to chronic, unhealable ulceration or impending skin breakdown.
- Recurrent Infection: Often osteomyelitis directly beneath a plantar ulcer, necessitating debridement and stabilization to prevent recurrence.
- Non-plantigrade Foot: Deformity preventing the use of conventional footwear or orthoses, particularly if it compromises ambulation.
- Early, Acute Deformity with Gross Instability: While controversial, some advocate for early stabilization to prevent progression, particularly in midfoot fractures/dislocations.
Contraindications for Operative Intervention
Surgical reconstruction of the Charcot foot carries significant risks, and patient selection is paramount.
*
Active Infection (Uncontrolled):
Systemic signs of infection, or extensive local infection not amenable to initial debridement. Operative reconstruction should ideally be performed after infection control, if possible.
*
Severe Peripheral Arterial Disease (PAD):
Unreconstructible vascular supply, as it significantly compromises wound healing and increases the risk of amputation. Ankle-brachial index (ABI) < 0.4 or transcutaneous oxygen pressure (TcPO2) < 30 mmHg are relative contraindications.
*
Poor General Medical Condition:
Uncontrolled diabetes (HbA1c > 8.0%), severe renal failure, cardiac comorbidities, or malnutrition precluding safe anesthesia and recovery.
*
Non-Compliance:
Inability or unwillingness to adhere to prolonged non-weight-bearing protocols and bracing.
*
Gross Edema:
Active inflammatory phase (Eichenholtz Stage I) with significant edema and erythema, which is typically managed non-operatively with total contact casting. Surgery in this stage increases soft tissue complications.
| Indication Category | Operative Indications | Non-Operative Indications |
| --- | -------------------------------------------------------------------------------------------------------------------------------------------------------------------------------------------------------------------------------------------------------------------------------------------------------------------------------------------------------------------------------------------------------------------------------------------------------------------------------------------------------------------------------------------------------------------------------------------------------------------------------------------------------------------------------------------------------------------------------------------------------------------------------------------------------------------------------------------------------------------------------------------------------------------------------------------------------------------------------------------------------------------------------------------------------------------------------------------------------------------------------------------------------------------------------------------------------------------------------------------------------------------------------------------------------------------------------------------------------------------------------------------------------------------------------------------------------------------------------------------------------------------------------------------------------------------------------------------------------------------------------------------------------------------------------------------------------------------------------------------------------------------------------------------------------------------------------------------------------------------------------------------------------------------------------------------------------------------------------------------------------------------------------------------------------------------------------------------------------------------------------------------------------------------------------------------------------------------------------------------------------------------------------------------------------------------------------------------------------------------------------------------------------------------------------------------------------------------------------------------------------------------------------------------------------------------------------------------------------------------------------------------------------------------------------------------------------------------------------------------------------------------------------------------------------------------------------------------------------------------------------------------------------------------------------------------------------------------------------------------------------------------------------------------------------------------------------------------------------------------------------------------------------------------------------------------------------------------------------------------------------------------------------------------------------------------------------------------------------------------------------------------------------------------------------------------------------------------------------------------------------------------------------------------------------------------------------------------------------------------------------------------------------------------------------------------------------------------------------------------------------------------------------------------------------------------------------------------------------------------------------------------------------------------------------------------------------------------------------------------------------------------------------------------------------------------------------------------------------------------------------------------------------------------------------------------------------------------------------------------------------------------------------------------------------------------------------------------------------------------------------------------------------------------------------------------------------------------------------------------------------------------------------------------------------------------------------------------------------------------------------------------------------------------------------------------------------------------------------------------------------------------------------------------------------------------------------------------------------------------------------------------------------------------------------------------------------------------------------------------------------------------------------------------------------------------------------------------------------------------------------------------------------------------------------------------------------------------------------------------------------------------------------------------------------------------------------------------------------------------------------------------------------------------------------------------------------------------------------------------------------------------------------------------------------------------------------------------------------------------------------------------------------------------------------------------------------------------------------------------------------------------------------------------------------------------------------------------------------------------------------------------------------------------------------------------------------------------------------------------------------------------------------------------------------------------------------------------------------------------------------------------------------------------------------------------------------------------------------------------------------------------------------------------------------------------------------------------------------------------------------------------------------------------------------------------------------------------------------------------------------------------------------------------------------------------------------------------------------------------------------------------------------------------------------------------------------------------------------------------------------------------------------------------------------------------------------------------------------------------------------------------------------------------------------------------------------------------------------------------------------------------------------------------------------------------------------------------------------------------------------------------------------------------------------------------------------------------------------------------------------------------------------------------------------------------------------------------------------------------------------------------------------------------------------------------------------------------------------------------------------------------------------------------------------------------------------------------------------------------------------------------------------------------------------------------------------------------------------------------------------------------------------------------------------------------------------------------------------------------------------------------------------------------------------------------------------------------------------------------------------------------------------------------------------------------------------------------------------------------------------------------------------------------------------------------------------------------------------------------------------------------------------------------------------------------------------------------------------------------------------------------------------------------------------------------------------------------------------------------------------------------------------------------------------------------------------------------------------------------------------------------------------------------------------------------------------------------------------------------------------------------------------------------------------------------------------------------------------------------------------------------------------------------------------------------------------------------------------------------------------------------------------------------------------------------------------------------------------------------------------------------------------------------------------------------------------------------------------------------------------------------------------------------------------------------------------------------------------------------------------------------------------------------------------------------------------------------------------------------------------------------------------------------------------------------------------------------------------------------------------------------------------------------------------------------------------------------------------------------------------------------------------------------------------------------------------------------------------------------------------------------------------------------------------------------------------------------------------------------------------------------------------------------------------------------------------------------------------------------------------------------------------------------------------------------------------------------------------------------------------------------------------------------------------------------------------------------------------------------------------------------------------------------------------------------------------------------------------------------------------------------------------------------------------------------------------------------------------------------------------------------------------------------------------------------------------------------------------------------------------------------------------------------------------------------------------------------------------------------------------------------------------------------------------------------------------------------------------------------------------------------------------------------------------------------------------------------------------------------------------------------------------------------------------------------------------------------------------------------------------------------------------------------------------------------------------------------------------------------------------------------------------------------------------------------------------------------------------------------------------------------------------------------------------------------------------------------------------------------------------------------------------------------------------------------------------------------------------------------------------------------------------------------------------------------------------------------------------------------------------------------------------------------------------------------------------------------------------------------------------------------------------------------------------------------------------------------------------------------------------------------------------------------------------------------------------------------------------------------------------------------------------------------------------------------------------------------------------------------------------------------------------------------------------------------------------------------------------------------------------------------------------------------------------------------------------------------------------------------------------------------------------------------------------------------------------------------------------------------------------------------------------------------------------------------------------------------------------------------------------------------------------------------------------------------------------------------------------------------------------------------------------------------------------------------------------------------------------------------------------------------------------------------------------------------------------------------------------------------------------------------------------------------------------------------------------------------------------------------------------------------------------------------------------------------------------------------------------------------------------------------------------------------------------------------------------------------------------------------------------------------------------------------------------------------------------------------------------------------------------------------------------------------------------------------------------------------------------------------------------------------------------------------------------------------------------------------------------------------------------------------------------------------------------------------------------------------------------------------------------------------------------------------------------------------------------------------------------------------------------------------------------------------------------------------------------------------------------------------------------------------------------------------------------------------------------------------------------------------------------------------------------------------------------------------------------------------------------------------------------------------------------------------------------------------------------------------------------------------------------------------------------------------------------------------------------------------------------------------------------------------------------------------------------------------------------------------------------------------------------------------------------------------------------------------------------------------------------------------------------------------------------------------------------------------------------------------------------------------------------------------------------------------------------------------------------------------------------------------------------------------------------------------------------------------------------------------------------------------------------------------------------------------------------------------------------------------------------------------------------------------------------------------------------------------------------------------------------------------------------------------------------------------------------------------------------------------------------------------------------------------------------------------------------------------------------------------------------------------------------------------------------------------------------------------------------------------------------------------------------------------------------------------------------------------------------------------------------------------------------------------------------------------------------------------------------------------------------------------------------------------------------------------------------------------------------------------------------------------------------------------------------------------------------------------------------------------------------------------------------------------------------------------------------------------------------------------------------------------------------------------------------------------------------------------------------------------------------------------------------------------------------------------------------------------------------------------------------------------------------------------------------------------------------------------------------------------------------------------------------------------------------------------------------------------------------------------------------------------------------------------------------------------------------------------------------------------------------------------------------------------------------------------------------------------------------------------------------------------------------------------------------------------------------------------------------------------------------------------------------------------------------------------------------------------------------------------------------------------------------------------------------------------------------------------------------------------------------------------------------------------------------------------------------------------------------------------------------------------------------------------------------------------------------------------------------------------------------------------------------------------------------------------------------------------------------------------------------------------------------------------------------------------------------------------------------------------------------------------------------------------------------------------------------------------------------------------------------------------------------------------------------------------------------------------------------------------------------------------------------------------------------------------------------------------------------------------------------------------------------------------------------------------------------------------------------------------------------------------------------------------------------------------------------------------------------------------------------------------------------------------------------------------------------------------------------------------------------------------------------------------------------------------------------------------------------------------------------------------------------------------------------------------------------------------------------------------------------------------------------------------------------------------------------------------------------------------------------------------------------------------------------------------------------------------------------------------------------------------------------------------------------------------------------------------------------------------------------------------------------------------------------------------------------------------------------------------------------------------------------------------------------------------------------------------------------------------------------------------------------------------------------------------------------------------------------------------------------------------------------------------------------------------------------------------------------------------------------------------------------------------------------------------------------------------------------------------------------------------------------------------------------------------------------------------------------------------------------------------------------------------------------------------------------------------------------------------------------------------------------------------------------------------------------------------------------------------------------------------------------------------------------------------------------------------------------------------------------------------------------------------------------------------------------------------------------------------------------------------------------------------------------------------------------------------------------------------------------------------------------------------------------------------------------------------------------------------------------------------------------------------------------------------------------------------------------------------------------------------------------------------------------------------------------------------------------------------------------------------------------------------------------------------------------------------------------------------------------------------------------------------------------------------------------------------------------------------------------------------------------------------------------------------------------------------------------------------------------------------------------------------------------------------------------------------------------------------------------------------------------------------------------------------------------------------------------------------------------------------------------------------------------------------------------------------------------------------------------------------------------------------------------------------------------------------------------------------------------------------------------------------------------------------------------------------------------------------------------------------------------------------------------------------------------------------------------------------------------------------------------------------------------------------------------------------------------------------------------------------------------------------------------------------------------------------------------------------------------------------------------------------------------------------------------------------------------------------------------------------------------------------------------------------------------------------------------------------------------------------------------------------------------------------------------------------------------------------------------------------------------------------------------------------------------------------------------------------------------------------------------------------------------------------------------------------------------------------------------------------------------------------------------------------------------------------------------------------------------------------------------------------------------------------------------------------------------------------------------------------------------------------------------------------------------------------------------------------------------------------------------------------------------------------------------------------------------------------------------------------------------------------------------------------------------------------------------------------------------------------------------------------------------------------------------------------------------------------------------------------------------------------------------------------------------------------------------------------------------------------------------------------------------------------------------------------------------------------------------------------------------------------------------------------------------------------------------------------------------------------------------------------------------------------------------------------------------------------------------------------------------------------------------------------------------------------------------------------------------------------------------------------------------------------------------------------------------------------------------------------------------------------------------------------------------------------------------------------------------------------------------------------------------------------------------------------------------------------------------------------------------------------------------------------------------------------------------------------------------------------------------------------------------------------------------------------------------------------------------------------------------------------------------------------------------------------------------------------------------------------------------------------------------------------------------------------------------------------------------------------------------------------------------------------------------------------------------------------------------------------------------------------------------------------------------------------------------------------------------------------------------------------------------------------------------------------------------------------------------------------------------------------------------------------------------------------------------------------------------------------------------------------------------------------------------------------------------------------------------------------------------------------------------------------------------------------------------------------------------------------------------------------------------------------------------------------------------------------------------------------------------------------------------------------------------------------------------------------------------------------------------------------------------------------------------------------------------------------------------------------------------------------------------------------------------------------------------------------------------------------------------------------------------------------------------------------------------------------------------------------------------------------------------------------------------------------------------------------------------------------------------------------------------------------------------------------------------------------------------------------------------------------------------------------------------------------------------------------------------------------------------------------------------------------------------------------------------------------------------------------------------------------------------------------------------------------------------------------------------------------------------------------------------------------------------------------------------------------------------------------------------------------------------------------------------------------------------------------------------------------------------------------------------------------------------------------------------------------------------------------------------------------------------------------------------------------------------------------------------------------------------------------------------------------------------------------------------------------------------------------------------------------------------------------------------------------------------------------------------------------------------------------------------------------------------------------------------------------------------------------------------------------------------------------------------------------------------------------------------------------------------------------------------------------------------------------------------------------------------------------------------------------------------------------------------------------------------------------------------------------------------------------------------------------------------------------------------------------------------------------------------------------------------------------------------------------------------------------------------------------------------------------------------------------------------------------------------------------------------------------------------------------------------------------------------------------------------------------------------------------------------------------------------------------------------------------------------------------------------------------------------------------------------------------------------------------------------------------------------------------------------------------------------------------------------------------------------------------------------------------------------------------------------------------------------------------------------------------------------------------------------------------------------------------------------------------------------------------------------------------------------------------------------------------------------------------------------------------------------------------------------------------------------------------------------------------------------------------------------------------------------------------------------------------------------------------------------------------------------------------------------------------------------------------------------------------------------------------------------------------------------------------------------------------------------------------------------------------------------------------------------------------------------------------------------------------------------------------------------------------------------------------------------------------------------------------------------------------------------------------------------------------------------------------------------------------------------------------------------------------------------------------------------------------------------------------------------------------------------------------------------------------------------------------------------------------------------------------------------------------------------------------------------------------------------------------------------------------------------------------------------------------------------------------------------------------------------------------------------------------------------------------------------------------------------------------------------------------------------------------------------------------------------------------------------------------------------------------------------------------------------------------------------------------------------------------------------------------------------------------------------------------------------------------------------------------------------------------------------------------------------------------------------------------------------------------------------------------------------------------------------------------------------------------------------------------------------------------------------------------------------------------------------------------------------------------------------------------------------------------------------------------------------------------------------------------------------------------------------------------------------------------------------------------------------------------------------------------------------------------------------------------------------------------------------------------------------------------------------------------------------------------------------------------------------------------------------------------------------------------------------------------------------------------------------------------------------------------------------------------------------------------------------------------------------------------------------------------------------------------------------------------------------------------------------------------------------------------------------------------------------------------------------------------------------------------------------------------------------------------------------------------------------------------------------------------------------------------------------------------------------------------------------------------------------------------------------------------------------------------------------------------------------------------------------------------------------------------------------------------------------------------------------------------------------------------------------------------------------------------------------------------------------------------------------------------------------------------------------------------------------------------------------------------------------------------------------------------------------------------------------------------------------------------------------------------------------------------------------------------------------------------------------------------------------------------------------------------------------------------------------------------------------------------------------------------------------------------------------------------------------------------------------------------------------------------------------------------------------------------------------------------------------------------------------------------------------------------------------------------------------------------------------------------------------------------------------------------------------------------------------------------------------------------------------------------------------------------------------------------------------------------------------------------------------------------------------------------------------------------------------------------------------------------------------------------------------------------------------------------------------------------------------------------------------------------------------------------------------------------------------------------------------------------------------------------------------------------------------------------------------------------------------------------------------------------------------------------------------------------------------------------------------------------------------------------------------------------------------------------------------------------------------------------------------------------------------------------------------------------------------------------------------------------------------------------------------------------------------------------------------------------------------------------------------------------------------------------------------------------------------------------------------------------------------------------------------------------------------------------------------------------------------------------------------------------------------------------------------------------------------------------------------------------------------------------------------------------------------------------------------------------------------------------------------------------------------------------------------------------------------------------------------------------------------------------------------------------------------------------------------------------------------------------------------------------------------------------------------------------------------------------------------------------------------------------------------------------------------------------------------------------------------------------------------------------------------------------------------------------------------------------------------------------------------------------------------------------------------------------------------------------------------------------------------------------------------------------------------------------------------------------------------------------------------------------------------------------------------------------------------------------------------------------------------------------------------------------------------------------------------------------------------------------------------------------------------------------------------------------------------------------------------------------------------------------------------------------------------------------------------------------------------------------------------------------------------------------------------------------------------------------------------------------------------------------------------------------------------------------------------------------------------------------------------------------------------------------------------------------------------------------------------------------------------------------------------------------------------------------------------------------------------------------------------------------------------------------------------------------------------------------------------------------------------------------------------------------------------------------------------------------------------------------------------------------------------------------------------------------------------------------------------------------------------------------------------------------------------------------------------------------------------------------------------------------------------------------------------------------------------------------------------------------------------------------------------------------------------------------------------------------------------------------------------------------------------- ------------------------------------------------------------------------------------------------------------------------------------------------------------------------------------------------------------------------------------------------------------------------------------------------------------------------------------------------------------------------------------------------------------------------------------------------------------------------------------------------------------------------------------------------------------------------------------------------------------------------------------------------------------------------------------------------------------------------------------------------------------------------------------------------------------------------------------------------------------------------------------------------------------------------------------------------------------------------------------------------------------------------------------------------------------------------------------------------------------------------------------------------------------------------------------------------------------------------------------------------------------------------------------------------------------------------------------------------------------------------------------------------------------------------------------------------------------------------------------------------------------------------------------------------------------------------------------------------------------------------------------------------------------------------------------------------------------------------------------------------------------------------------------------------------------------------------------------------------------------------------------------------------------------------------------------------------------------------------------------------------------------------------------------------------------------------------------------------------------------------------------------------------------------------------------------------------------------------------------------------------------------------------------------------------------------------------------------------------------------------------------------------------------------------------------------------------------------------------------------------------------------------------------------------------------------------------------------------------------------------------------------------------------------------------------------------------------------------------------------------------------------------------------------------------------------------------------------------------------------------------------------------------------------------------------------------------------------------------------------------------------------------------------------------------------------------------------------------------------------------------------------------------------------------------------------------------------------------------------------------------------------------------------------------------------------------------------------------------------------------------------------------------------------------------------------------------------------------------------------------------------------------------------------------------------------------------------------------------------------------------------------------------------------------------------------------------------------------------------------------------------------------------------------------------------------------------------------------------------------------------------------------------------------------------------------------------------------------------------------------------------------------------------------------------------------------------------------------------------------------------------------------------------------------------------------------------------------------------------------------------------------------------------------------------------------------------------------------------------------------------------------------------------------------------------------------------------------------------------------------------------------------------------------------------------------------------------------------------------------------------------------------------------------------------------------------------------------------------------------------------------------------------------------------------------------------------------------------------------------------------------------------------------------------------------------------------------------------------------------------------------------------------------------------------------------------------------------------------------------------------------------------------------------------------------------------------------------------------------------------------------------------------------------------------------------------------------------------------------------------------------------------------------------------------------------------------------------------------------------------------------------------------------------------------------------------------------------------------------------------------------------------------------------------------------------------------------------------------------------------------------------------------------------------------------------------------------------------------------------------------------------------------------------------------------------------------------------------------------------------------------------------------------------------------------------------------------------------------------------------------------------------------------------------------------------------------------------------------------------------------------------------------------------------------------------------------------------------------------------------------------------------------------------------------------------------------------------------------------------------------------------------------------------------------------------------------------------------------------------------------------------------------------------------------------------------------------------------------------------------------------------------------------------------------------------------------------------------------------------------------------------------------------------------------------------------------------------------------------------------------------------------------------------------------------------------------------------------------------------------------------------------------------------------------------------------------------------------------------------------------------------------------------------------------------------------------------------------------------------------------------------------------------------------------------------------------------------------------------------------------------------------------------------------------------------------------------------------------------------------------------------------------------------------------------------------------------------------------------------------------------------------------------------------------------------------------------------------------------------------------------------------------------------------------------------------------------------------------------------------------------------------------------------------------------------------------------------------------------------------------------------------------------------------------------------------------------------------------------------------------------------------------------------------------------------------------------------------------------------------------------------------------------------------------------------------------------------------------------------------------------------------------------------------------------------------------------------------------------------------------------------------------------------------------------------------------------------------------------------------------------------------------------------------------------------------------------------------------------------------------------------------------------------------------------------------------------------------------------------------------------------------------------------------------------------------------------------------------------------------------------------------------------------------------------------------------------------------------------------------------------------------------------------------------------------------------------------------------------------------------------------------------------------------------------------------------------------------------------------------------------------------------------------------------------------------------------------------------------------------------------------------------------------------------------------------------------------------------------------------------------------------------------------------------------------------------------------------------------------------------------------------------------------------------------------------------------------------------------------------------------------------------------------------------------------------------------------------------------------------------------------------------------------------------------------------------------------------------------------------------------------------------------------------------------------------------------------------------------------------------------------------------------------------------------------------------------------------------------------------------------------------------------------------------------------------------------------------------------------------------------------------------------------------------------------------------------------------------------------------------------------------------------------------------------------------------------------------------------------------------------------------------------------------------------------------------------------------------------------------------------------------------------------------------------------------------------------------------------------------------------------------------------------------------------------------------------------------------------------------------------------------------------------------------------------------------------------------------------------------------------------------------------------------------------------------------------------------------------------------------------------------------------------------------------------------------------------------------------------------------------------------------------------------------------------------------------------------------------------------------------------------------------------------------------------------------------------------------------------------------------------------------------------------------------------------------------------------------------------------------------------------------------------------------------------------------------------------------------------------------------------------------------------------------------------------------------------------------------------------------------------------------------------------------------------------------------------------------------------------------------------------------------------------------------------------------------------------------------------------------------------------------------------------------------------------------------------------------------------------------------------------------------------------------------------------------------------------------------------------------------------------------------------------------------------------------------------------------------------------------------------------------------------------------------------------------------------------------------------------------------------------------------------------------------------------------------------------------------------------------------------------------------------------------------------------------------------------------------------------------------------------------------------------------------------------------------------------------------------------------------------------------------------------------------------------------------------------------------------------------------------------------------------------------------------------------------------------------------------------------------------------------------------------------------------------------------------------------------------------------------------------------------------------------------------------------------------------------------------------------------------------------------------------------------------------------------------------------------------------------------------------------------------------------------------------------------------------------------------------------------------------------------------------------------------------------------------------------------------------------------------------------------------------------------------------------------------------------------------------------------------------------------------------------------------------------------------------------------------------------------------------------------------------------------------------------------------------------------------------------------------------------------------------------------------------------------------------------------------------------------------------------------------------------------------------------------------------------------------------------------------------------------------------------------------------------------------------------------------------------------------------------------------------------------------------------------------------------------------------------------------------------------------------------------------------------------------------------------------------------------------------------------------------------------------------------------------------------------------------------------------------------------------------------------------------------------------------------------------------------------------------------------------------------------------------------------------------------------------------------------------------------------------------------------------------------------------------------------------------------------------------------------------------------------------------------------------------------------------------------------------------------------------------------------------------------------------------------------------------------------------------------------------------------------------------------------------------------------------------------------------------------------------------------------------------------------------------------------------------------------------------------------------------------------------------------------------------------------------------------------------------------------------------------------------------------------------------------------------------------------------------------------------------------------------------------------------------------------------------------------------------------------------------------------------------------------------------------------------------------------------------------------------------------------------------------------------------------------------------------------------------------------------------------------------------------------------------------------------------------------------------------------------------------------------------------------------------------------------------------------------------------------------------------------------------------------------------------------------------------------------------------------------------------------------------------------------------------------------------------------------------------------------------------------------------------------------------------------------------------------------------------------------------------------------------------------------------------------------------------------------------------------------------------------------------------------------------------------------------------------------------------------------------------------------------------------------------------------------------------------------------------------------------------------------------------------------------------------------------------------------------------------------------------------------------------------------------------------------------------------------------------------------------------------------------------------------------------------------------------------------------------------------------------------------------------------------------------------------------------------------------------------------------------------------------------------------------------------------------------------------------------------------------------------------------------------------------------------------------------------------------------------------------------------------------------------------------------------------------------------------------------------------------------------------------------------------------------------------------------------------------------------------------------------------------------------------------------------------------------------------------------------------------------------------------------------------------------------------------------------------------------------------------------------------------------------------------------------------------------------------------------------------------------------------------------------------------------------------------------------------------------------------------------------------------------------------------------------------------------------------------------------------------------------------------------------------------------------------------------------------------------------------------------------------------------------------------------------------------------------------------------------------------------------------------------------------------------------------------------------------------------------------------------------------------------------------------------------------------------------------------------------------------------------------------------------------------------------------------------------------------------------------------------------------------------------------------------------------------------------------------------------------------------------------------------------------------------------------------------------------------------------------------------------------------------------------------------------------------------------------------------------------------------------------------------------------------------------------------------------------------------------------------------------------------------------------------------------------------------------------------------------------------------------------------------------------------------------------------------------------------------------------------------------------------------------------------------------------------------------------------------------------------------------------------------------------------------------------------------------------------------------------------------------------------------------------------------------------------------------------------------------------------------------------------------------------------------------------------------------------------------------------------------------------------------------------------------------------------------------------------------------------------------------------------------------------------------------------------------------------------------------------------------------------------------------------------------------------------------------------------------------------------------------------------------------------------------------------------------------------------------------------------------------------------------------------------------------------------------------------------------------------------------------------------------------------------------------------------------------------------------------------------------------------------------------------------------------------------------------------------------------------------------------------------------------------------------------------------------------------------------------------------------------------------------------------------------------------------------------------------------------------------------------------------------------------------------------------------------------------------------------------------------------------------------------------------------------------------------------------------------------------------------------------------------------------------------------------------------------------------------------------------------------------------------------------------------------------------------------------------------------------------------------------------------------------------------------------------------------------------------------------------------------------------------------------------------------------------------------------------------------------------------------------------------------------------------------------------------------------------------------------------------------------------------------------------------------------------------------------------------------------------------------------------------------------------------------------------------------------------------------------------------------------------------------------------------------------------------------------------------------------------------------------------------------------------------------------------------------------------------------------------------------------------------------------------------------------------------------------------------------------------------------------------------------------------------------------------------------------------------------------------------------------------------------------------------------------------------------------------------------------------------------------------------------------------------------------------------------------------------------------------------------------------------------------------------------------------------------------------------------------------------------------------------------------------------------------------------------------------------------------------------------------------------------------------------------------------------------------------------------------------------------------------------------------------------------------------------------------------------------------------------------------------------------------------------------------------------------------------------------------------------------------------------------------------------------------------------------------------------------------------------------------------------------------------------------------------------------------------------------------------------------------------------------------------------------------------------------------------------------------------------------------------------------------------------------------------------------------------------------------------------------------------------------------------------------------------------------------------------------------------------------------------------------------------------------------------------------------------------------------------------------------------------------------------------------------------------------------------------------------------------------------------------------------------------------------------------------------------------------------------------------------------------------------------------------------------------------------------------------------------------------------------------------------------------------------------------------------------------------------------------------------------------------------------------------------------------------------------------------------------------------------------------------------------------------------------------------------------------------------------------------------------------------------------------------------------------------------------------------------------------------------------------------------------------------------------------------------------------------------------------------------------------------------------------------------------------------------------------------------------------------------------------------------------------------------------------------------------------------------------------------------------------------------------------------------------------------------------------------------------------------------------------------------------------------------------------------------------------------------------------------------------------------------------------------------------------------------------------------------------------------------------------------------------------------------------------------------------------------------------------------------------------------------------------------------------------------------------------------------------------------------------------------------------------------------------------------------------------------------------------------------------------------------------------------------------------------------------------------------------------------------------------------------------------------------------------------------------------------------------------------------------------------------------------------------------------------------------------------------------------------------------------------------------------------------------------------------------------------------------------------------------------------------------------------------------------------------------------------------------------------------------------------------------------------------------------------------------------------------------------------------------------------------------------------------------------------------------------------------------------------------------------------------------------------------------------------------------------------------------------------------------------------------------------------------------------------------------------------------------------------------------------------------------------------------------------------------------------------------------------------------------------------------------------------------------------------------------------------------------------------------------------------------------------------------------------------------------------------------------------------------------------------------------------------------------------------------------------------------------------------------------------------------------------------------------------------------------------------------------------------------------------------------------------------------------------------------------------------------------------------------------------------------------------------------------------------------------------------------------------------------------------------------------------------------------------------------------------------------------------------------------------------------------------------------------------------------------------------------------------------------------------------------------------------------------------------------------------------------------------------------------------------------------------------------------------------------------------------------------------------------------------------------------------------------------------------------------------------------------------------------------------------------------------------------------------------------------------------------------------------------------------------------------------------------------------------------------------------------------------------------------------------------------------------------------- |
| --- | --- |
|
I. Diagnosis & Assessment
|
| *
A. Clinical Features
|
| *
Pain & Sensations:
Typically presents as acute, severe, relatively (for the severity of injury)
painless
inflammation in a neuropathic foot. Patients may report discomfort from swelling or tight shoes, but not the intense pain expected from such severe osseous disruption.
Crucially differentiate:
Infection often presents with intense localized pain unless neuropathy is profound.
| *
Warmth & Edema:
Profound unilateral warmth (up to 4-7°C differential compared to contralateral foot) and diffuse swelling, erythema. Often, these signs precede any visible deformity.
| *
Deformity:
Progresses through distinct stages. Early stages may show subtle joint laxity. Later stages are characterized by gross architectural collapse, subluxation, dislocation, and the classic
rocker bottom deformity
(midfoot collapse with plantar prominence of the talar head/navicular) or ankle/hindfoot instability (e.g., pes planovalgus). Plantar ulceration commonly occurs at pressure points related to deformity.
| *
Skin Integrity:
While often intact initially, severe deformities inevitably lead to plantar ulcers, providing a portal for infection.
| *
Systemic Signs:
Usually absent in acute Charcot, unless concomitant infection. No fever, leukocytosis (though ESR/CRP may be elevated in both).
| *
B. Imaging
|
| *
Plain Radiographs:
Initial study.
| *
Acute Charcot (Eichenholtz Stage I - Development):
May show subtle joint effusions, periarticular osteopenia, or early fragmentation (e.g., "bag of bones" appearance). No clear signs of infection (cortical destruction, periosteal reaction, sequestra/involucrum). Stress views may highlight instability.
| *
Subacute/Coalescence (Eichenholtz Stage II):
Resorption of bone fragments, early signs of consolidation. Gross deformity, subluxation, or dislocation becomes apparent.
| *
Chronic/Consolidation (Eichenholtz Stage III - Reconstruction):
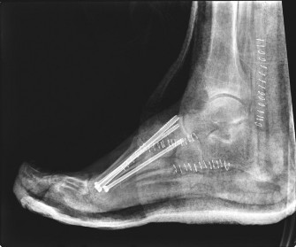
Characterized by consolidation and remodeling of fragmented bone, although often with residual deformity (e.g., rocker bottom). Sclerosis and hypertrophy may be present. This is the stage often requiring surgical intervention for stability and plantigrade foot.
| *

[Example of an acute Charcot midfoot showing early fragmentation and disorganization.]
| *
Magnetic Resonance Imaging (MRI):
Excellent for soft tissue and bone marrow edema.
| *
Acute Charcot:
Diffuse marrow edema across multiple bones and joints, often extending beyond a single anatomical unit. Joint effusions, capsular distention, soft tissue edema. No focal fluid collections, sinus tracts, or gas usually associated with infection.
| *
Infection (Osteomyelitis):
Focal marrow edema centered around an ulcer or sinus tract. Cortical disruption, periosteal reaction, phlegmon, or abscess formation.
Key differentiator:
The pattern of edema is more localized in osteomyelitis compared to the diffuse, multi-joint involvement in Charcot.
| *
Computed Tomography (CT):
Superior for detailed bone architecture, extent of fragmentation, and presence of sequestra (suggesting osteomyelitis). Useful for surgical planning.
| *
Nuclear Medicine Studies (e.g., Indium-111 leukocyte scan, Technetium-99m bone scan):
| * Tc-99m bone scan: Highly sensitive but not specific, as both Charcot and infection will show increased uptake.
| * In-111 leukocyte scan: More specific for infection, as leukocytes accumulate in infected sites. Positive scan in Charcot without infection is rare. Often combined with bone scan for improved specificity.
| *

[Example clinical presentation of a severe rocker bottom Charcot deformity with associated plantar ulceration.]
| *
C. Laboratory Studies
|
| *
ESR & CRP:
Elevated in both acute Charcot and infection. Not specific for differentiation.
| *
White Blood Cell Count (WBC):
Usually normal in Charcot; elevated in systemic infection.
| *
Procalcitonin:
May be elevated in systemic bacterial infection; typically normal in Charcot. Has higher specificity than ESR/CRP for differentiating infection.
| *
Wound Culture:
Essential if ulceration is present. Differentiate colonization from true infection. Superficial swabs are unreliable; deep tissue biopsy or bone biopsy for culture is the gold standard for osteomyelitis.
| *
D. Biopsy
|
| *
Bone Biopsy:
The definitive method for diagnosing osteomyelitis. Performed under sterile conditions, ideally from the bone underlying an ulcer or suspicious area. Guided by fluoroscopy or CT. Both histopathology and microbial culture are critical.
Pre-Operative Planning & Patient Positioning
Meticulous pre-operative planning is critical for successful Charcot foot reconstruction. This includes optimizing patient comorbidities, comprehensive imaging, and detailed surgical templating.
-
Patient Optimization:
- Glycemic Control: Strict control of blood glucose (HbA1c < 7.0-7.5%) is crucial to minimize infection risk and optimize wound healing.
- Vascular Assessment: A thorough vascular workup is mandatory. Non-invasive studies (ABI, toe-brachial index, pulse volume recordings, TcPO2) should be performed. If compromised, a vascular surgery consultation for revascularization is indicated prior to elective reconstruction.
- Nutritional Status: Optimize albumin and prealbumin levels to support wound healing. Nutritional supplementation may be necessary.
- Infection Control: Any active infection, particularly osteomyelitis, must be addressed first. This may involve serial debridements and prolonged courses of targeted antibiotics, often guided by bone biopsy cultures. Surgery for deformity correction should ideally be performed in a quiescent state, with no active purulence, and after a course of antibiotics.
- Cardiovascular & Renal Function: Pre-operative medical clearance by cardiology and nephrology if indicated.
-
Imaging Review & Surgical Templating:
- Weight-Bearing Radiographs: AP, lateral, and oblique views are essential to visualize the extent of deformity, fragmentation, and joint involvement. Key angles (e.g., Meary's angle, lateral talo-first metatarsal angle, calcaneal pitch) are often severely disrupted.
- CT Scan: Provides detailed 3D bone architecture, enabling precise planning of osteotomies, resections, and hardware placement. Useful for identifying bony prominences requiring resection and assessing bone stock for fixation.
- MRI Scan: To assess soft tissue health, identify occult abscesses, and confirm resolution of any prior infection.
- Templating: Pre-operative templating on radiographs and CT scans helps determine the size and number of plates/screws, osteotomy cuts, and potential for intramedullary fixation.
-
Patient Positioning:
- Supine Position: Standard for most Charcot foot reconstructions.
- Tourniquet: Essential for a bloodless field, typically applied high on the thigh.
- Image Intensifier (Fluoroscopy): Readily available and draped for intra-operative imaging.
- Beanbag/Hip Roll: May be used to facilitate access to the medial or lateral aspects of the foot and ankle by internally or externally rotating the limb.
- Padding: Meticulous padding of all pressure points is critical due to neuropathy.
Detailed Surgical Approach / Technique
Surgical reconstruction of the Charcot rocker bottom deformity aims to restore a plantigrade, stable, and braceable foot. This typically involves a combination of osteotomies, exostectomy, reduction, and rigid internal fixation. The specific approach depends on the location and severity of the deformity. Dual medial and lateral approaches are often necessary for adequate exposure and correction.
I. Soft Tissue Management and Exposure
-
Incision Planning:
- Medial Approach: A curvilinear incision typically extends from distal to the medial malleolus, curving distally along the talonavicular and naviculocuneiform joints, ending at the base of the first metatarsal. This allows access to the medial midfoot structures, talar head, navicular, and medial column. Care must be taken to protect the saphenous nerve and vein.
- Lateral Approach: A longitudinal incision centered over the cuboid, extending from the sinus tarsi to the base of the 4th/5th metatarsals. This provides access to the lateral midfoot, calcaneocuboid joint, and lateral column. Care must be taken to protect the sural nerve.
- Plantar Ulcer Excision: If a plantar ulcer exists at the apex of the rocker bottom deformity, it must be completely excised, including any underlying necrotic or infected bone (saucerization). This often creates a significant soft tissue defect requiring specific planning for closure or local/free flaps, or staged procedures.
-
[Example of an intraoperative image showing bony resection or reconstruction with hardware.]
-
Dissection:
- Sharp dissection through subcutaneous tissue. Full-thickness skin flaps are created to expose the underlying osseous structures and joint capsules.
- Careful identification and protection of neurovascular structures. On the medial side, the posterior tibial neurovascular bundle is deep to the medial malleolus; distally, branches of the saphenous nerve. On the lateral side, the sural nerve passes posterior to the lateral malleolus and crosses the lateral foot.
II. Bony Resection & Osteotomies
- Exostectomy: The most prominent plantar bony eminences, typically the talar head or navicular, are resected to remove the pressure point. This can be performed with an osteotome or sagittal saw. The goal is to flatten the plantar surface and create a plantigrade foot.
- Debridement: All necrotic, fragmented, or infected bone and cartilaginous debris must be meticulously debrided. This may involve extensive removal of the midfoot joints.
-
Corrective Osteotomies:
- Medial Column Shortening/Dorsal Opening Wedge Osteotomy: Often required at the naviculocuneiform or first cuneiform-metatarsal joint to correct forefoot abduction and restore the medial arch. A dorsal opening wedge osteotomy can restore height.
- Lateral Column Lengthening (e.g., Calcaneal Osteotomy, Cuboid Osteotomy): Less common for rocker bottom but may be needed if there is significant forefoot adduction or to achieve overall foot alignment.
- Pan-Talar Fusion: In severe hindfoot Charcot with talar instability, a talectomy or tibiocalcaneal arthrodesis may be necessary, often with concomitant subtalar fusion.
- Midfoot Arthrodesis: The primary goal for rocker bottom deformity is to fuse the collapsing midfoot joints (talo-navicular, calcaneo-cuboid, naviculo-cuneiform, cuneiform-metatarsal joints). This provides stability.
III. Reduction & Provisional Fixation
- Reduction: The foot is manipulated to restore as much of the normal anatomical alignment as possible. This involves dorsiflexion of the forefoot relative to the hindfoot, recreating the medial longitudinal arch, and correcting any abduction/adduction deformities. Intraoperative fluoroscopy is crucial to guide reduction.
- Provisional Fixation: Once reduced, multiple K-wires are inserted across the fusion sites to maintain the corrected alignment temporarily. This allows for assessment of correction and preparation for definitive fixation.
IV. Definitive Internal Fixation
Due to the poor bone quality in Charcot patients, robust fixation is essential.
1.
Large-Diameter Screws:
Cannulated screws (typically 6.5-7.3mm) are used for compression across arthrodesis sites. Placement should ensure bicortical purchase where possible.
2.
Plates:
Locked plating systems (e.g., pre-contoured Charcot plates, straight reconstruction plates) are commonly used to bridge multiple joints and provide structural stability. Dual plating (medial and lateral) across the midfoot is often preferred for maximal rigidity.
3.
Intramedullary Nailing:
For severe hindfoot and ankle Charcot, hindfoot arthrodesis nails (tibiotalocalcaneal nails) offer robust fixation, especially valuable in osteopenic bone. They can be combined with midfoot plates for more extensive reconstruction.
4.
External Fixation:
Circular external fixators (e.g., Ilizarov-type frames) or hybrid fixators are often employed, especially in cases with active infection, severe soft tissue compromise, or extreme bone loss. They allow for gradual correction, compression, and stabilization while facilitating wound care. They can be used as definitive fixation or as a temporizing measure prior to internal fixation.
5.
Bone Grafting:
Autograft (e.g., from the iliac crest) or allograft may be used to fill bony defects and enhance fusion rates, particularly in cases with significant bone loss.
6.
Wound Closure:
After achieving rigid fixation, meticulous hemostasis is obtained. Wound closure requires careful attention to avoid tension, especially after exostectomy. Drain placement may be considered.
Complications & Management
Charcot foot reconstruction carries a high rate of complications due to the underlying systemic disease (diabetes, neuropathy, vascular insufficiency) and compromised bone quality.
| Complication | Incidence (Approx.) | Salvage Strategies |
|
II. Surgical Anatomy & Biomechanics of Charcot Deformity (Rocker Bottom Emphasis)
|
|
A. Relevant Bony Structures
|
| *
Midfoot:
Tarsometatarsal (Lisfranc's) joints, especially the first metatarsal-medial cuneiform articulation, medial cuneiform-navicular. Also talonavicular and calcaneocuboid (Chopart's) joints. |
| *
Hindfoot:
Talus, calcaneus. |
| *
Talar Head:
Often the primary plantar prominence in rocker bottom deformity. |
|
B. Ligamentous Support
|
| *
Spring Ligament (Plantar Calcaneonavicular Ligament):
Crucial for medial arch support. Weakness or rupture allows talar head to drop. |
| *
Plantar Fascia:
Important dynamic and static stabilizer of the longitudinal arches. |
| *
Lisfranc Ligaments:
Connect the medial cuneiform to the base of the second metatarsal. Disruption leads to midfoot instability and abduction. |
|
C. Neuropathic Changes
|
| *
Loss of Proprioception & Pain Sensation:
Leads to repetitive unperceived microtrauma. |
| *
Autonomic Neuropathy:
Affects blood flow, leading to hyperemia and increased osteoclast activity. |
| *
Bone Quality:
Osteopenia, subchondral bone resorption, microfractures, fragmentation. |
|
D. Biomechanics of Rocker Bottom
|
| *
Arch Collapse:
Primarily the medial longitudinal arch. |
| *
Talar Head Plantar Displacement:
The talus displaces inferiorly and medially, becoming the apex of the plantar convexity. |
| *
Forefoot Abduction:
Lateral displacement of the forefoot relative to the hindfoot. |
| *
Increased Plantar Pressures:
Focal pressure points under the prominent bony apex, leading to ulceration. |
Post-Operative Rehabilitation Protocols
Post-operative management of the Charcot foot is as critical as the surgery itself to achieve successful outcomes and prevent recurrence.
-
Immediate Post-Operative Period (0-2 weeks):
- Immobilization: Non-weight-bearing (NWB) in a well-padded, bulky splint or posterior splint (or initial cast if preferred by surgeon) to protect soft tissues and allow for swelling accommodation.
- Elevation: Strict elevation of the limb to reduce swelling.
- Pain Management: Multimodal analgesia.
- Wound Care: Daily wound checks, monitor for signs of infection (erythema, discharge, fever). Drain removal when output is minimal.
- DVT Prophylaxis: Due to prolonged immobilization and patient comorbidities, DVT prophylaxis (pharmacological and mechanical) is mandatory.
-
Early Healing Phase (2-12 weeks):
- Cast/Boot Application: Transition to a well-molded, removable walking boot or bivalved cast, maintaining NWB. This provides rigid support. Serial casting might be used in some cases to further protect soft tissues.
- Radiographic Assessment: Regular radiographs (e.g., at 2, 6, 12 weeks) to monitor hardware position and early signs of bony healing.
- Gentle Range of Motion (ROM): If applicable and stable, very gentle non-weight-bearing ankle and toe ROM exercises may be initiated under therapist guidance, only if cleared by the surgeon .
- Skin Surveillance: Continue vigilant skin monitoring, especially around cast/brace edges, for pressure points or breakdown.
-
Consolidation & Gradual Weight-Bearing (12-24 weeks):
- Progressive Weight-Bearing (PWB): Based on radiographic evidence of early union and clinical stability, PWB can be initiated. This is a slow, gradual process, often starting with 25% body weight in a CROW (Charcot Restraint Orthotic Walker) boot or custom-molded brace.
- Physical Therapy: Focus on gait training, balance, and proprioception. Avoid excessive forces or impact loading.
- Custom Bracing: The CROW boot is the cornerstone of long-term protection, designed to distribute plantar pressures evenly. Patients often require custom shoes and orthoses long-term.
- Radiographic Assessment: Continue serial radiographs every 4-6 weeks to assess progression of union.
- Expected Union: Complete radiographic union can take 6-12 months or even longer in Charcot patients.
-
Long-Term Management (Beyond 24 weeks):
- Lifelong Bracing/Orthosis: Most patients require permanent custom bracing (e.g., CROW boot, ankle-foot orthosis) or custom shoes with accommodative orthoses to prevent recurrence, protect the insensate foot, and manage residual deformity.
- Regular Follow-up: Ongoing clinical and radiographic surveillance for signs of recurrent deformity, ulceration, or hardware complications.
- Patient Education: Emphasize the critical importance of daily foot inspection, proper footwear, and avoiding high-impact activities.
Summary of Key Literature / Guidelines
The management of Charcot neuroarthropathy is complex, and the evidence base for surgical intervention, particularly for rocker bottom deformity, is evolving.
*
Consensus Guidelines:
The American College of Foot and Ankle Surgeons (ACFAS) and the American Academy of Orthopaedic Surgeons (AAOS) provide guidelines emphasizing a multidisciplinary approach involving endocrinologists, vascular surgeons, infectious disease specialists, and orthotists. These guidelines underscore the importance of initial total contact casting for acute Charcot and the role of surgery for unstable or ulcerated deformities.
*
Surgical Outcomes:
Studies by Pinzur et al. and others have demonstrated that surgical reconstruction of the Charcot foot can achieve high rates of limb salvage and a braceable, plantigrade foot, with fusion rates ranging from 60-90%. However, complication rates, particularly infection and hardware failure, remain significant.
*
Role of External Fixation:
External fixation (e.g., Ilizarov frames) has shown favorable outcomes in complex Charcot cases, especially those with active infection or severe soft tissue compromise, by providing rigid stabilization and allowing for controlled gradual correction and wound care. Recent literature suggests hybrid fixation may combine the benefits of internal fixation for compression with external fixation for overall stability.
*
Differentiating Charcot from Infection:
The diagnostic algorithm relies heavily on clinical suspicion, advanced imaging (MRI, nuclear medicine), and definitively, bone biopsy with histology and culture. Elevated procalcitonin has emerged as a potentially useful adjunct in differentiating acute Charcot from infection.
*
Multidisciplinary Approach:
Current literature consistently supports a team-based approach for optimal outcomes in Charcot neuroarthropathy. This comprehensive care model addresses not only the foot deformity but also systemic comorbidities.
*
Long-Term Surveillance:
The chronic nature of diabetes and neuropathy necessitates lifelong foot surveillance, even after successful surgical reconstruction, to detect and manage new or recurrent problems promptly.