دمج الفقرات القطنية: تقنيات PLIF و TLIF المتطورة لإنهاء آلام الظهر

الخلاصة الطبية
دمج الفقرات القطنية بتقنيات PLIF و TLIF هو حل جراحي متطور وفعّال لإنهاء آلام الظهر المزمنة الناتجة عن الانزلاق الغضروفي، تضيق القناة الشوكية، أو عدم استقرار الفقرات. يتميز هذا العلاج بتحقيق دمج قوي للفقرات عبر نهج خلفي واحد، مما يوفر تخفيفًا للألم واستقرارًا طويل الأمد للمريض.
مقدمة شاملة: نحو حياة خالية من آلام الظهر المزمنة عبر تقنيات دمج الفقرات
تُعد آلام الظهر السفلية من أكثر الشكاوى الصحية شيوعًا، حيث تؤثر على ملايين الأشخاص حول العالم، وتعيق حياتهم اليومية وتحد من قدرتهم على ممارسة الأنشطة التي يحبونها. عندما تصبح هذه الآلام مزمنة، وتترافق مع أعراض عصبية مثل التنميل، الخدر، أو ضعف العضلات في الأطراف السفلية، ولا تستجيب للعلاجات التحفظية والأدوية، يصبح البحث عن حلول جراحية جذرية أمرًا بالغ الأهمية لاستعادة جودة الحياة.

هنا يبرز دور جراحات دمج الفقرات القطنية (Lumbar Spinal Fusion)، والتي تُعد من الإجراءات الجراحية المتطورة التي تهدف إلى استعادة استقرار العمود الفقري وتخفيف الضغط على الأعصاب، وبالتالي إنهاء المعاناة من الألم بشكل جذري. في هذا الدليل الطبي الشامل والموسع، سنتعمق في فهم تقنيات دمج الفقرات القطنية الأكثر شيوعًا وفعالية: الاندماج الفقري القطني الخلفي (PLIF) والاندماج الفقري القطني عبر الثقب (TLIF).
تُعتبر هاتان التقنيتان حجر الزاوية في جراحة العمود الفقري الحديثة، حيث تقدمان حلولًا قوية لمجموعة واسعة من أمراض العمود الفقري القطني. تتميز كلتا الطريقتين بقدرتهما على معالجة المشكلات في جميع الأعمدة الثلاثة للعمود الفقري وتحقيق اندماج محيطي قوي بزاوية 360 درجة من خلال نهج خلفي واحد، مما يقلل من الحاجة إلى إجراءات جراحية متعددة.


نظرة تشريحية: فهم العمود الفقري القطني
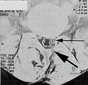
لفهم كيفية عمل تقنيات PLIF و TLIF، يجب أولاً فهم تشريح العمود الفقري القطني. يتكون الجزء السفلي من الظهر من خمس فقرات قطنية (L1 إلى L5). بين كل فقرة وأخرى يوجد "قرص غضروفي" (Disc) يعمل كوسادة لامتصاص الصدمات وتسهيل الحركة. يمر الحبل الشوكي والأعصاب الشوكية عبر قناة عظمية تُسمى "القناة الشوكية".
عندما تتآكل هذه الأقراص الغضروفية بسبب التقدم في العمر أو الإصابات، أو عندما تتحرك الفقرات من مكانها الطبيعي، يحدث تضيق في القناة الشوكية أو ضغط مباشر على جذور الأعصاب. هذا الضغط الميكانيكي هو المسبب الرئيسي للألم المبرح الذي يمتد غالبًا إلى الساقين (ما يُعرف بعرق النسا).


الأسباب العميقة والأعراض التي تستدعي دمج الفقرات
لا يتم اللجوء إلى جراحة دمج الفقرات إلا بعد تشخيص دقيق وتقييم شامل لحالة المريض. هناك عدة حالات مرضية رئيسية تجعل من تقنيات PLIF و TLIF الخيار الأمثل:
- الانزلاق الغضروفي المرتجع أو الشديد (Recurrent Disc Herniation): عندما يبرز الجزء الداخلي الهلامي للقرص الغضروفي ويضغط على العصب بشكل متكرر رغم الجراحات السابقة.
- تضيق القناة الشوكية القطنية (Lumbar Spinal Stenosis): تضيق المساحة التي تمر بها الأعصاب بسبب النتوءات العظمية أو تضخم الأربطة، مما يسبب ألماً شديداً عند المشي أو الوقوف.
- الانزلاق الفقري (Spondylolisthesis): انزلاق فقرة فوق الفقرة التي تحتها، مما يسبب عدم استقرار ميكانيكي وضغطاً عصبياً.
- مرض القرص التنكسي (Degenerative Disc Disease): تآكل الغضاريف بشكل حاد يؤدي إلى احتكاك العظام ببعضها البعض.
- عدم الاستقرار الميكانيكي للعمود الفقري: ناتج عن إصابات، كسور، أو أورام.

جدول (1): تقييم شدة الأعراض والتدخل المناسب
| شدة الأعراض | الوصف الطبي للأعراض | خيارات العلاج الموصى بها |
|---|---|---|
| أعراض خفيفة | آلام ظهر متقطعة، لا تمتد للساقين، تزداد مع المجهود وتختفي بالراحة. | علاجات تحفظية (أدوية، علاج طبيعي، راحة). |
| أعراض متوسطة | ألم مستمر في الظهر يمتد للساق (عرق النسا)، تنميل خفيف، تأثير محدود على المشي. | حقن الستيرويد فوق الجافية، علاج طبيعي مكثف، مسكنات متقدمة. |
| أعراض شديدة (جراحية) | ألم مبرح لا يستجيب للأدوية، ضعف في عضلات الساق، سقوط القدم، فقدان السيطرة على الإخراج. | التدخل الجراحي الفوري (دمج الفقرات PLIF/TLIF لإنقاذ الأعصاب). |


الخيارات العلاجية: من العلاج التحفظي إلى الجراحة
في عيادة الأستاذ الدكتور محمد هطيف، يتم الالتزام الصارم بمبدأ التدرج في العلاج. الجراحة ليست الخيار الأول أبداً إلا في حالات الطوارئ العصبية.
1. العلاج التحفظي (غير الجراحي)
يشمل هذا النهج استخدام الأدوية المضادة للالتهابات (NSAIDs)، مرخيات العضلات، ومسكنات الألم العصبية. يتزامن ذلك مع برامج علاج طبيعي متخصصة لتقوية عضلات الجذع (Core muscles) التي تدعم العمود الفقري. كما يمكن اللجوء إلى الحقن الموضعية (Epidural Steroid Injections) لتقليل الالتهاب حول العصب.

2. متى تصبح الجراحة حتمية؟
إذا استمرت الأعراض لأكثر من 3 إلى 6 أشهر دون تحسن ملحوظ، أو إذا ظهرت علامات التدهور العصبي (مثل ضعف العضلات التدريجي)، يصبح التدخل الجراحي بتقنيات الدمج هو الحل الأمثل لمنع التلف العصبي الدائم.


الأستاذ الدكتور محمد هطيف: المرجعية الأولى لجراحة العمود الفقري في اليمن
عندما يتعلق الأمر بجراحات العمود الفقري الدقيقة مثل PLIF و TLIF، فإن اختيار الجراح هو العامل الأهم في نجاح العملية. يُعتبر الأستاذ الدكتور محمد هطيف، أستاذ جراحة العظام والمفاصل والعمود الفقري بجامعة صنعاء، الخبير الأول والمرجعية الطبية الأعلى في اليمن في هذا المجال.
بخبرة تتجاوز 20 عاماً، يجمع البروفيسور هطيف بين المعرفة الأكاديمية العميقة والمهارة الجراحية الفائقة. يتميز د. هطيف باستخدام أحدث التقنيات العالمية، بما في ذلك الجراحة الميكروسكوبية (Microsurgery)، ومناظير 4K، والتدخلات الجراحية المحدودة (Minimally Invasive Surgery).
الأهم من ذلك كله هو "الأمانة الطبية" التي يُعرف بها؛ فهو لا يوصي بالتدخل الجراحي إلا إذا كان هو الحل الوحيد والأنسب لحالة المريض، معتمداً على التشخيص الدقيق والتقييم الشامل، مما جعله الوجهة الأولى للمرضى الباحثين عن العلاج الموثوق في صنعاء وعموم اليمن.



فهم تقنيات دمج الفقرات: PLIF مقابل TLIF
رغم أن الهدف النهائي للتقنيتين هو دمج الفقرات وإزالة الضغط عن الأعصاب، إلا أن هناك اختلافات جوهرية في النهج الجراحي.
تقنية PLIF (الاندماج الفقري القطني الخلفي)
في هذه التقنية، يتم الوصول إلى العمود الفقري من الخلف مباشرة. يقوم الجراح بإزالة جزء من العظم (الصفيحة الفقرية Laminectomy) للوصول إلى القناة الشوكية. يتم سحب الأعصاب برفق إلى الجانبين للوصول إلى القرص التالف وإزالته، ثم يتم إدخال "أقفاص" (Cages) مدعومة بطعوم عظمية من كلا الجانبين.
* الميزة: تتيح رؤية ممتازة للقناة الشوكية وإزالة شاملة للضغط من الجانبين.


تقنية TLIF (الاندماج الفقري القطني عبر الثقب)
تُعد TLIF تطوراً لتقنية PLIF. بدلاً من الدخول مباشرة من المنتصف وسحب الأعصاب بشكل كبير، يتم الوصول إلى القرص الغضروفي من جانب واحد عبر "الثقبة" (Foramen) - وهي الفتحة التي يخرج منها العصب.
* الميزة: تتطلب سحباً أقل بكثير للأعصاب الشوكية، مما يقلل من خطر الإصابة العصبية ويقلل من تندب الأنسجة، وغالباً ما تتم عبر شقوق جراحية أصغر.


جدول (2): مقارنة تفصيلية بين تقنيتي PLIF و TLIF
| وجه المقارنة | تقنية PLIF (النهج الخلفي) | تقنية TLIF (النهج عبر الثقب) |
|---|---|---|
| مسار الدخول | من الخلف مباشرة (خط الوسط). | من الجانب الخلفي (عبر الثقبة العصبية). |
| التعامل مع الأعصاب | يتطلب سحب الأعصاب (Retraction) من الجانبين. | يتطلب سحباً ضئيلاً للعصب من جانب واحد فقط. |
| إزالة الضغط | ممتاز لإزالة الضغط المركزي الواسع. | ممتاز لإزالة الضغط الجانبي (Unilateral). |
| عدد الأقفاص (Cages) | يتم وضع قفصين (واحد في كل جانب). | يتم وضع قفص واحد كبير مائل. |
| خطر التندب العصبي | أعلى نسبياً. | أقل بكثير. |

الخطوات الجراحية التفصيلية لعمليات دمج الفقرات (Intraoperative Steps)
تتم هذه الجراحات تحت التخدير العام، وتستغرق عادة من ساعتين إلى أربع ساعات حسب تعقيد الحالة. بفضل خبرة الأستاذ الدكتور محمد هطيف، يتم تنفيذ كل خطوة بدقة متناهية لضمان أعلى نسب النجاح.
الخطوة 1: التجهيز والشق الجراحي
يتم وضع المريض على بطنه. يتم عمل شق جراحي دقيق في أسفل الظهر. باستخدام أجهزة الملاحة الجراحية والأشعة السينية الحية (Fluoroscopy)، يتم تحديد المستويات الفقرية المستهدفة بدقة.

الخطوة 2: إزالة الضغط العصبي (Decompression)
يقوم د. هطيف بإزالة الأجزاء العظمية الضاغطة (Laminectomy أو Facetectomy) والأربطة المتضخمة بدقة ميكروسكوبية لتحرير الأعصاب الشوكية المختنقة.

الخطوة 3: استئصال القرص التالف (Discectomy)
يتم تفريغ القرص الغضروفي التالف بالكامل، وإعداد المساحة بين الفقرتين (Endplates) لاستقبال الطعم العظمي. هذه الخطوة حاسمة لضمان التحام العظام لاحقاً.

الخطوة 4: زراعة القفص والطعم العظمي (Cage Insertion)
يتم إدخال قفص مصنوع من مادة PEEK أو التيتانيوم، مملوء بطعم عظمي (يؤخذ غالباً من المريض نفسه أو طعم صناعي)، في المساحة الفارغة. هذا القفص يعيد الارتفاع الطبيعي للفقرات ويخفف الضغط عن منافذ الأعصاب.












آلام الظهر والرقبة وتنميل الأطراف ليس قدراً محتوماً! التشخيص الدقيق والعلاج المتخصص يمكن أن يعيد لك كامل وظيفتك وحريتك في الحركة. لا تدع الألم يسيطر على حياتك.
للحصول على استشارة دقيقة وخطة علاجية مخصصة لحالتك، تواصل فوراً مع مركز الأستاذ الدكتور محمد هطيف:
الأستاذ الدكتور محمد هطيف - أفضل دكتور عظام في صنعاء، وأفضل دكتور عمود فقري في صنعاء، وخبير في جراحات الديسك الميكروسكوبية.. نلتزم بإعادتك لحياة خالية من الألم وظهر مستقيم.
مواضيع أخرى قد تهمك