الورم الغضروفي الداخلي (Enchondroma): دليل شامل للمرضى مع الأستاذ الدكتور محمد هطيف في صنعاء

الخلاصة الطبية
الورم الغضروفي الداخلي هو ورم حميد يصيب العظام، غالبًا ما يكون بدون أعراض. يشمل علاجه المراقبة الدورية أو الكشط الجراحي مع تطعيم العظام في الحالات المصحوبة بأعراض أو خطر الكسر. يقدم الأستاذ الدكتور محمد هطيف في صنعاء أحدث طرق التشخيص والعلاج.
الخلاصة الطبية السريعة: الورم الغضروفي الداخلي هو ورم حميد يصيب العظام، غالبًا ما يكون بدون أعراض. يشمل علاجه المراقبة الدورية أو الكشط الجراحي مع تطعيم العظام في الحالات المصحوبة بأعراض أو خطر الكسر. يقدم الأستاذ الدكتور محمد هطيف في صنعاء أحدث طرق التشخيص والعلاج.
مقدمة عن الورم الغضروفي الداخلي
يُعدّ الورم الغضروفي الداخلي (Enchondroma) أحد أكثر الأورام الحميدة شيوعًا التي تنشأ داخل العظام. على الرغم من أن كلمة "ورم" قد تثير القلق، إلا أن الورم الغضروفي الداخلي حميد بطبيعته، مما يعني أنه غير سرطاني ولا ينتشر إلى أجزاء أخرى من الجسم. يتكون هذا الورم من خلايا غضروفية ناضجة تنمو بشكل غير طبيعي داخل نخاع العظم. غالبًا ما يتم اكتشافه بالصدفة أثناء إجراء فحوصات تصويرية لأسباب أخرى، حيث لا يسبب عادةً أي أعراض.
تتراوح الأورام الغضروفية الداخلية في حجمها وموقعها، وتظهر بشكل خاص في عظام اليدين والقدمين الصغيرة، ولكنها يمكن أن توجد أيضًا في العظام الطويلة مثل عظم الفخذ أو عظم العضد. في معظم الحالات، لا تتطلب هذه الأورام أي علاج وتقتصر على المراقبة الدورية. ومع ذلك، في بعض الظروف، قد تتطلب تدخلًا طبيًا، خاصة إذا كانت تسبب الألم، أو تزيد من خطر الكسر، أو تظهر عليها علامات قد تشير إلى تحول نادر إلى ورم خبيث.
في هذا الدليل الشامل، سنتعمق في فهم الورم الغضروفي الداخلي، بدءًا من طبيعته وتشريحه، مرورًا بأسبابه وأعراضه، وصولًا إلى أساليب التشخيص والعلاج المتاحة. يلتزم الأستاذ الدكتور محمد هطيف، أحد أبرز خبراء جراحة العظام في صنعاء واليمن، بتقديم أحدث وأدق المعلومات والخيارات العلاجية لمرضاه، مع التركيز على الرعاية الشخصية والنتائج المثلى.
التشريح ومواقع الورم الغضروفي الداخلي
لفهم الورم الغضروفي الداخلي بشكل أفضل، من المهم فهم التركيب التشريحي للعظام وكيفية نشوء هذا الورم فيها. العظام ليست مجرد هياكل صلبة، بل هي أنسجة حية تتكون من أنواع مختلفة من الخلايا، بما في ذلك الخلايا العظمية والخلايا الغضروفية.
تركيب العظم الأساسي
يتكون العظم من عدة أجزاء رئيسية:
* القشرة (Cortex): هي الطبقة الخارجية الصلبة والكثيفة من العظم التي توفر القوة والدعم.
* النخاع (Medulla): هو التجويف المركزي داخل العظم، ويحتوي على نخاع العظم، وهو نسيج رخو ينتج خلايا الدم.
* السمحاق (Periosteum): هو غشاء رقيق يغطي السطح الخارجي للعظم ويحتوي على الأوعية الدموية والأعصاب.
* المشاش (Epiphysis): هي نهايات العظم الطويل، وهي غالبًا ما تكون أقرب إلى المفاصل.
* الكردوس (Metaphysis): هي المنطقة بين المشاش والجسم الرئيسي للعظم (الديابز)، وهي منطقة نشطة للنمو خلال مرحلة الطفولة والمراهقة.
* الجدل (Diaphysis): هو الجزء الأوسط الطويل من العظم.
منشأ الورم الغضروفي الداخلي ومواقعه الشائعة
يُعتقد أن الأورام الغضروفية الداخلية تنشأ من بقايا غضروف صفيحة النمو (Growth Plate Cartilage) التي تبقى محاصرة داخل العظم بعد اكتمال نمو الهيكل العظمي. هذه البقايا الغضروفية، بدلاً من أن تتحول بالكامل إلى عظم، تستمر في النمو ككتلة غضروفية حميدة داخل التجويف النخاعي.
نظرًا لهذا المنشأ، فإن الأورام الغضروفية الداخلية توجد بشكل شائع في منطقة الكردوس (Metaphysis) أو تمتد إلى الجدل (Diaphysis) من العظام الطويلة.
أكثر المواقع شيوعًا لظهور الورم الغضروفي الداخلي هي:
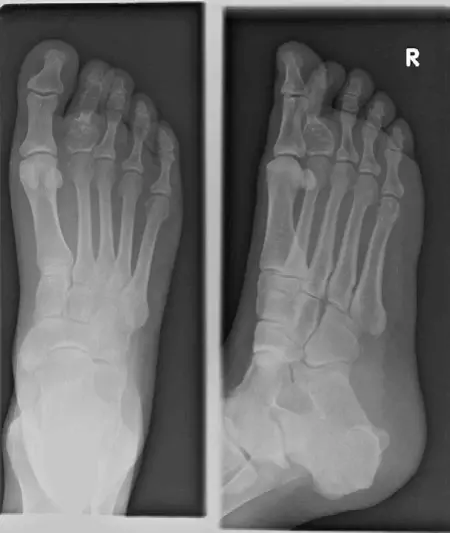
* العظام الصغيرة لليدين والقدمين: مثل السلاميات (phalanges) وعظام المشط (metacarpals) وعظام الأمشاط (metatarsals). تُعد هذه المنطقة الموقع الأكثر شيوعًا على الإطلاق.
* العظام الطويلة: مثل عظم العضد (humerus) في الذراع وعظم الفخذ (femur) في الساق.
* عظام الحوض (Pelvis): على الرغم من أنها أقل شيوعًا، إلا أن الأورام الغضروفية الداخلية في الحوض تستدعي اهتمامًا خاصًا نظرًا لصعوبة تشخيصها ومراقبتها، وارتفاع خطر تحولها إلى أورام خبيثة مقارنةً بالمواقع الأخرى.
* عظام أخرى: يمكن أن تظهر في أي عظم يحتوي على غضروف، مثل الأضلاع أو عظم الكتف، ولكنها أقل شيوعًا.
إن فهم هذه المواقع التشريحية يساعد الأستاذ الدكتور محمد هطيف وفريقه على توجيه الفحوصات التشخيصية وتحديد أفضل خطة علاجية لكل مريض بناءً على موقع الورم وحجمه وأي أعراض مصاحبة.
الأسباب وعوامل الخطر
السبب الدقيق وراء تطور الورم الغضروفي الداخلي غير مفهوم تمامًا، ولكنه يُعتقد أنه ينشأ من خلل في نمو الغضروف وتطوره داخل العظم. لا يُعد الورم الغضروفي الداخلي وراثيًا في معظم الحالات، أي أنه لا ينتقل من الآباء إلى الأبناء بشكل مباشر، ولكنه يرتبط ببعض المتلازمات الوراثية النادرة التي تزيد من خطر الإصابة بأورام غضروفية متعددة.
النظريات حول نشأة الورم الغضروفي الداخلي
- بقايا الغضروف: النظرية الأكثر قبولًا هي أن الورم ينشأ من بقايا خلايا غضروفية من صفيحة النمو (Growth Plate) التي لم تتحول بالكامل إلى عظم أثناء عملية التطور الطبيعية. هذه البقايا تنفصل وتستقر داخل نخاع العظم، حيث تبدأ في النمو لتشكل الورم الغضروفي الداخلي.
- الطفرات الجينية: أظهرت الأبحاث الحديثة أن الطفرات الجسدية (أي الطفرات التي تحدث في خلايا الجسم وليست موروثة) في جينات معينة، مثل جينات IDH1 و IDH2 (Isocitrate Dehydrogenase 1 و 2)، ترتبط بشكل شائع بالأورام الغضروفية الداخلية وأيضًا بالأورام الغضروفية الخبيثة منخفضة الدرجة (Chondrosarcomas). هذه الطفرات تؤدي إلى إنتاج مادة كيميائية غير طبيعية (2-hydroxyglutarate) التي يمكن أن تعطل تنظيم نمو الخلايا الغضروفية وتزيد من خطر التحول الخبيث.
المتلازمات المرتبطة بالأورام الغضروفية الداخلية
في بعض الحالات، لا يظهر الورم الغضروفي الداخلي كآفة منفردة، بل كجزء من متلازمات نادرة تتميز بوجود أورام غضروفية متعددة. هذه المتلازمات تزيد بشكل كبير من خطر حدوث مضاعفات مثل الكسور المرضية والتحول الخبيث.
-
داء أولييه (Ollier's Disease - Enchondromatosis):
- يتميز بوجود أورام غضروفية داخلية متعددة (Enchondromas) تؤثر على العظام الطويلة، وغالبًا ما تكون موزعة بشكل غير متماثل أو أحادي الجانب (تؤثر على طرف واحد أكثر من الآخر).
- لا يرتبط هذا الداء بوجود أورام وعائية (Hemangiomas) في الأنسجة الرخوة.
- يزيد بشكل كبير من خطر الكسور المرضية والتشوهات الهيكلية، وخطر التحول الخبيث إلى ورم غضروفي خبيث (Chondrosarcoma) يتراوح بين 25-50%.
- يرتبط أيضًا بطفرات جسدية فسيفسائية في جينات IDH1 و IDH2.
-
متلازمة مافوتشي (Maffucci's Syndrome):
- تُعد هذه المتلازمة أكثر ندرة وخطورة من داء أولييه.
- تتميز بوجود أورام غضروفية داخلية متعددة (Enchondromas) بالإضافة إلى أورام وعائية دموية (Hemangiomas) في الأنسجة الرخوة والجلد.
- تحمل أعلى خطر للتحول الخبيث إلى ورم غضروفي خبيث، حيث يمكن أن يصل الخطر إلى 20-100%، بالإضافة إلى زيادة خطر الإصابة بأنواع أخرى من السرطانات مثل أورام الخلايا الحبيبية المبيضية (Ovarian Granulosa Cell Tumors) والساركوما الوعائية (Angiosarcomas).
- ترتبط أيضًا بطفرات جسدية فسيفسائية في جين IDH1.
ملاحظة هامة: في حين أن الأورام الغضروفية الداخلية المنفردة لها خطر منخفض جدًا للتحول الخبيث (أقل من 1%)، فإن وجودها ضمن متلازمات مثل داء أولييه أو متلازمة مافوتشي يستدعي مراقبة دقيقة ومتابعة مستمرة نظرًا لارتفاع خطر التحول إلى أورام سرطانية. الأستاذ الدكتور محمد هطيف يشدد على أهمية التشخيص الدقيق وتحديد ما إذا كان الورم منفردًا أم جزءًا من متلازمة لضمان أفضل خطة رعاية.
الأعراض ومتى يجب القلق
في غالبية الحالات، يكون الورم الغضروفي الداخلي بدون أعراض تمامًا ويُكتشف بالصدفة. هذا يعني أن المريض قد لا يشعر بأي ألم أو تورم أو أي تغيرات أخرى، ويتم اكتشاف الورم أثناء إجراء فحوصات تصويرية (مثل الأشعة السينية أو الرنين المغناطيسي) لمنطقة أخرى من الجسم أو لإصابة غير ذات صلة.
ومع ذلك، في بعض الظروف، يمكن أن يسبب الورم الغضروفي الداخلي أعراضًا تستدعي التقييم الطبي. من المهم جدًا التفريق بين الأعراض التي قد تشير إلى ورم حميد غير معقد وتلك التي قد تكون علامة تحذيرية على تحول محتمل إلى ورم خبيث (Chondrosarcoma).
الأعراض الشائعة للورم الغضروفي الداخلي
عندما يصبح الورم الغضروفي الداخلي مصحوبًا بأعراض دون وجود تحول خبيث، فإن السبب الأكثر شيوعًا للألم هو:
* الكسور الدقيقة المرضية (Pathological Microfractures): يمكن أن يضعف الورم العظم المحيط به، مما يجعله أكثر عرضة للكسور الصغيرة أو كسور الإجهاد نتيجة لصدمات بسيطة أو إجهاد متكرر. هذه الكسور الدقيقة يمكن أن تسبب ألمًا خفيفًا أو متوسطًا يزداد مع النشاط ويتحسن بالراحة.
* الكسور المرضية الكبيرة: في حالات نادرة، يمكن أن يؤدي الورم إلى كسر كامل في العظم المتأثر، مما يسبب ألمًا شديدًا وتورمًا وعدم القدرة على استخدام الطرف المصاب. هذا أكثر شيوعًا في العظام الطويلة التي تحمل وزن الجسم أو تتعرض لإجهاد كبير، مثل عظم العضد.
* التشوه: في حالات الأورام المتعددة (مثل داء أولييه)، يمكن أن تؤدي الأورام إلى تشوهات في العظام، خاصة في الأطراف، مما قد يؤثر على وظيفتها ويسبب الألم.
* ضغط على الأنسجة المحيطة: في حالات نادرة جدًا، إذا كان الورم كبيرًا جدًا أو في موقع حساس، فقد يضغط على الأعصاب أو الأوعية الدموية المحيطة، مما يسبب أعراضًا مثل الألم أو التنميل أو الضعف.
الأعراض التي تستدعي القلق (علامات محتملة للتحول الخبيث)
على الرغم من ندرته، فإن التحول الخبيث للورم الغضروفي الداخلي إلى ورم غضروفي خبيث (Chondrosarcoma) هو مصدر قلق، خاصة في الأورام الموجودة في العظام الطويلة الكبيرة أو عظام الحوض، أو في المرضى الأكبر سنًا. يجب الانتباه إلى الأعراض التالية التي قد تشير إلى تحول خبيث:
* ألم جديد أو متفاقم ومستمر: هذا هو أهم وأكثر الأعراض إثارة للقلق. إذا بدأ ورم غضروفي داخلي كان بدون أعراض في التسبب في ألم مستمر، خفيف أو شديد، لا يزول بالراحة، خاصة في عظم طويل كبير أو في الحوض، فهذا يستدعي تقييمًا فوريًا.
* تورم متزايد أو كتلة محسوسة: ظهور تورم جديد أو زيادة في حجم كتلة موجودة حول موقع الورم.
* نمو سريع للورم: إذا أظهرت فحوصات التصوير المتتالية نموًا ملحوظًا وسريعًا في حجم الورم.
* ضعف أو قيود في الحركة: في حال تأثير الورم على المفصل القريب أو تسببه في ضعف غير مبرر في الطرف.
يؤكد الأستاذ الدكتور محمد هطيف على أن أي ألم جديد أو متفاقم مرتبط بورم غضروفي داخلي، خاصة في المرضى الأكبر سنًا أو في الأورام الموجودة في العظام الكبيرة، يجب أن يتم تقييمه على الفور لتحديد السبب واستبعاد أي تحول خبيث. التشخيص المبكر هو مفتاح العلاج الناجح.
التشخيص الدقيق للورم الغضروفي الداخلي
يُعد التشخيص الدقيق للورم الغضروفي الداخلي أمرًا بالغ الأهمية، ليس فقط لتأكيد طبيعته الحميدة، ولكن أيضًا لتحديد ما إذا كان يتطلب المراقبة أو التدخل، واستبعاد احتمالية التحول الخبيث إلى ورم غضروفي خبيث. يعتمد الأستاذ الدكتور محمد هطيف في صنعاء على مجموعة من الأدوات التشخيصية المتطورة لتقديم تقييم شامل لحالة كل مريض.
التاريخ المرضي والفحص السريري
يبدأ التقييم دائمًا بأخذ تاريخ مرضي مفصل من المريض، بما في ذلك:
* الأعراض الحالية: هل هناك ألم، تورم، قيود في الحركة، أو أي شكاوى أخرى؟
* مدة الأعراض وطبيعتها: هل الألم جديد، متفاقم، مستمر؟
* التاريخ الطبي السابق: هل هناك أي أمراض مزمنة، أدوية، أو تاريخ عائلي لأورام العظام؟
* تاريخ الاكتشاف: هل كان الورم اكتشافًا عرضيًا أم تم البحث عنه بسبب أعراض؟
يتبع ذلك فحص سريري شامل للمنطقة المصابة لتقييم أي تورم، ألم عند الجس، تشوهات، أو قيود في نطاق الحركة.
فحوصات التصوير الشعاعي (Radiological Imaging)
تُعد فحوصات التصوير حجر الزاوية في تشخيص الورم الغضروفي الداخلي.
الأشعة السينية العادية (Plain X-rays)
- الأهمية: غالبًا ما تكون الأشعة السينية هي الفحص الأولي الذي يكشف عن الورم.
- الميزات النموذجية:
- آفة شفافة (Lucent Lesion): تظهر كمنطقة داكنة في العظم، مما يشير إلى أنها أقل كثافة من العظم المحيط.
- تكلسات نقطية أو حلقية قوسية (Punctate or Rings-and-Arcs Calcifications): هذه هي السمة المميزة للأورام الغضروفية، حيث تظهر كبقع بيضاء صغيرة أو أنماط دائرية داخل الآفة، وهي تعكس وجود مادة غضروفية متكلسة.
- حدود واضحة ومحددة: غالبًا ما تكون الآفة محاطة بحدود واضحة أو "حافة متصلبة" (Sclerotic Border)، مما يشير إلى طبيعتها الحميدة وبطء نموها.
- غياب رد الفعل السمحاقي (Absence of Periosteal Reaction): عدم وجود نمو عظمي جديد على السمحاق (الطبقة الخارجية للعظم) يُعد علامة جيدة تدعم الطبيعة الحميدة.
- علامات مقلقة:
- تآكل قشري (Endosteal Scalloping): تآكل الطبقة الداخلية للقشرة العظمية. إذا تجاوز هذا التآكل ثلثي سمك القشرة، فهو يعتبر علامة مقلقة قد تشير إلى ورم غضروفي خبيث منخفض الدرجة.
- كسر في القشرة (Cortical Breach): اختراق الورم للقشرة العظمية.
- كتلة الأنسجة الرخوة (Soft Tissue Mass): امتداد الورم خارج العظم إلى الأنسجة الرخوة المحيطة.
- رد فعل سمحاقي (Periosteal Reaction): وجود نمو عظمي غير منتظم على السمحاق.
التصوير المقطعي المحوسب (CT Scan)
- الأهمية: يُعد التصوير المقطعي المحوسب ممتازًا في تقييم التفاصيل الدقيقة للعظم.
- الميزات:
- تحديد التكلسات: أفضل وسيلة لتحديد وتوصيف التكلسات الغضروفية الدقيقة داخل الورم.
- تقييم القشرة: يوفر تفاصيل ممتازة حول سلامة القشرة العظمية، ومدى تآكلها (Endosteal Scalloping)، وأي كسر محتمل فيها.
- تحديد مدى الامتداد: يساعد في تحديد مدى امتداد الورم داخل العظم.
التصوير بالرنين المغناطيسي (MRI)
- الأهمية: يُعد التصوير بالرنين المغناطيسي ضروريًا لتقييم الأنسجة الرخوة ونخاع العظم وتحديد مدى نشاط الورم.
- الميزات النموذجية:
- إشارة منخفضة على T1: يظهر الورم بإشارة منخفضة على صور T1 الموزونة.
- إشارة عالية جدًا على T2 مع فواصل داخلية (Septations): يظهر الورم بإشارة عالية جدًا على صور T2 الموزونة بسبب محتواه العالي من الماء، وغالبًا ما يظهر بنمط فصيصي مع فواصل داخلية.
- تعزيز محيطي بعد الحقن بالصبغة: قد يظهر تعزيز محيطي خفيف بعد حقن الصبغة، ولكن ليس تعزيزًا صلبًا أو عدوانيًا.
- علامات مقلقة:
- وذمة حول الورم (Perilesional Edema): وجود وذمة حول الورم قد يشير إلى التهاب أو عدوانية.
- تعزيز صلب أو عدواني: تعزيز شديد وغير منتظم بعد الصبغة.
- اختراق القشرة وامتداد للأنسجة الرخوة: يظهر بوضوح على الرنين المغناطيسي.
مسح العظام بالنظائر المشعة (Bone Scan)
- الأهمية: يمكن أن يساعد في تقييم النشاط الأيضي للورم.
- الميزات:
- الأورام الغضروفية الداخلية الحميدة عادة ما تظهر امتصاصًا منخفضًا أو طبيعيًا للنظائر.
- الزيادة الملحوظة في امتصاص النظائر، خاصة إذا كانت جديدة أو متزايدة مقارنة بالفحوصات السابقة، قد تشير إلى زيادة النشاط الأيضي للورم، مما يثير الشك في التحول الخبيث.
التصوير المقطعي بالإصدار البوزيتروني (PET Scan)
- الأهمية: يُستخدم بشكل خاص في الحالات التي يصعب فيها التمييز بين الورم الغضروفي الداخلي وورم غضروفي خبيث منخفض الدرجة.
- الميزات: الأورام الغضروفية الخبيثة تميل إلى إظهار نشاط أيضي أعلى وامتصاص متزايد لمادة الفلوروديوكسي جلوكوز (FDG)، بينما الأورام الغضروفية الداخلية الحميدة عادة ما تظهر امتصاصًا ضئيلًا أو معدومًا. ومع ذلك، قد يكون هناك تداخل في بعض الحالات.
الخزعة (Biopsy)
في بعض الحالات، خاصة عندما تكون هناك علامات مقلقة على فحوصات التصوير، أو عندما يكون الورم في موقع عالي الخطورة (مثل الحوض أو العظام الطويلة الكبيرة)، أو عندما تكون الأعراض متفاقمة، قد يوصي الأستاذ الدكتور محمد هطيف بإجراء خزعة.
- أنواع الخزعة:
- خزعة بالإبرة الأساسية (Core Needle Biopsy): يتم أخذ عينات صغيرة من الورم باستخدام إبرة خاصة تحت توجيه التصوير (الأشعة المقطعية أو الفلوروسكوبي).
- الخزعة الجراحية المفتوحة (Open Incisional or Excisional Biopsy): يتم إجراء شق جراحي لإزالة جزء من الورم (خزعة شقية) أو الورم بالكامل (خزعة استئصالية) إذا كان صغيرًا ومناسبًا.
- الأهمية: توفر الخزعة عينة نسيجية للفحص المجهري بواسطة أخصائي علم الأمراض. هذا هو الإجراء الوحيد الذي يمكنه تقديم تشخيص نهائي وتحديد ما إذا كان الورم حميدًا أم خبيثًا، وتحديد درجة الورم الخبيث إن وجد.
- التحديات: قد يكون التمييز بين الورم الغضروفي الداخلي وورم غضروفي خبيث منخفض الدرجة صعبًا حتى على المستوى النسيجي، خاصة مع العينات الصغيرة من الخزعة بالإبرة. في هذه الحالات، قد تكون هناك حاجة إلى عينة أكبر أو تقييم إضافي.
التشخيص التفريقي (Differential Diagnosis)
عند تقييم آفة عظمية، يجب على الأستاذ الدكتور محمد هطيف أن يأخذ في الاعتبار العديد من الحالات الأخرى التي قد تبدو مشابهة للورم الغضروفي الداخلي في فحوصات التصوير، مثل:
* الورم الغضروفي الخبيث (Chondrosarcoma): وهو ورم سرطاني ينشأ من الخلايا الغضروفية.
* ورم عظمي غضروفي (Osteochondroma): وهو ورم حميد ينمو خارج سطح العظم.
* خلل التنسج الليفي (Fibrous Dysplasia): وهو حالة تتميز باستبدال العظم الطبيعي بنسيج ليفي وعظم غير ناضج.
* كيس العظم الوحيد (Unicameral Bone Cyst): وهو كيس مملوء بالسوائل داخل العظم.
* كيس العظم المتمدد الوعائي (Aneurysmal Bone Cyst): وهو آفة عظمية تحتوي على تجاويف مملوءة بالدم.
* احتشاء العظم (Bone Infarct): موت جزء من العظم بسبب نقص إمداد الدم، وقد يظهر بتكلسات.
* الورم العظمي العظمي (Osteoid Osteoma): ورم حميد صغير يسبب ألمًا ليليًا مميزًا.
بفضل خبرته الواسعة والوصول إلى أحدث التقنيات التشخيصية، يضمن الأستاذ الدكتور محمد هطيف تشخيصًا دقيقًا وموثوقًا لكل مريض في صنعاء، مما يمهد الطريق لخطة علاجية فعالة ومناسبة.
خيارات العلاج المتاحة
يعتمد علاج الورم الغضروفي الداخلي بشكل كبير على عدة عوامل، بما في ذلك ما إذا كان الورم يسبب أعراضًا، موقعه، حجمه، خطر الكسر، وما إذا كانت هناك أي علامات مثيرة للقلق تشير إلى تحول خبيث. يضع الأستاذ الدكتور محمد هطيف خطة علاجية فردية لكل مريض، مع الأخذ في الاعتبار جميع هذه العوامل لضمان أفضل النتائج.
المراقبة الدورية (Observation)
- متى يُوصى بها: هذه هي الطريقة الأكثر شيوعًا لإدارة الأورام الغضروفية الداخلية. تُعتبر المراقبة الدورية هي الخيار الأمثل للأورام الغضروفية الداخلية التي:
- لا تسبب أي أعراض (Asymptomatic).
- تظهر بوضوح حميدة على فحوصات التصوير الشعاعي.
- لا تقع في مواقع عالية الخطورة للكسر أو التحول الخبيث.
- خاصة في الأطفال: حيث يكون خطر التحول الخبيث ضئيلًا جدًا.
- كيف تتم المراقبة: تتضمن المراقبة عادةً إجراء أشعة سينية عادية سنويًا لمدة 2-3 سنوات لمتابعة حجم وشكل الورم، والتأكد من عدم وجود أي تغييرات مثيرة للقلق مثل زيادة الحجم، تآكل القشرة، أو ظهور رد فعل سمحاقي. إذا
آلام العظام والمفاصل المزمنة ليس قدراً محتوماً! التشخيص الدقيق والعلاج المتخصص يمكن أن يعيد لك كامل وظيفتك وحريتك في الحركة بدون ألم.
للحصول على استشارة دقيقة وخطة علاجية مخصصة لحالتك، تواصل فوراً مع مركز الأستاذ الدكتور محمد هطيف:
الأستاذ الدكتور محمد هطيف - أفضل دكتور عظام في صنعاء، وخبير في جراحات العظام والمفاصل المتقدمة.
مواضيع أخرى قد تهمك