علاج جنف الأطفال المبكر بقضبان النمو: دليل شامل للآباء مع الأستاذ الدكتور محمد هطيف

الخلاصة الطبية
جَنَف الأطفال المبكر هو انحراف العمود الفقري الذي يُشخّص قبل سن الخامسة، ويُعد تحديًا طبيًا يتطلب تدخلاً دقيقًا للحفاظ على نمو الرئة والعمود الفقري. يعتمد علاجه غالبًا على قضبان النمو التي تسمح بالتصحيح التدريجي مع استمرار نمو الطفل، تحت إشراف متخصصين مثل الأستاذ الدكتور محمد هطيف.
الخلاصة الطبية السريعة: جَنَف الأطفال المبكر (Early-Onset Scoliosis) هو انحراف وتشوه معقد في العمود الفقري يُشخّص قبل بلوغ الطفل سن الخامسة. يُعد هذا المرض تحديًا طبيًا بالغ الخطورة؛ لأنه لا يؤثر فقط على شكل الظهر، بل يهدد نمو الرئتين والقفص الصدري، مما قد يؤدي إلى قصور تنفسي حاد. يعتمد العلاج الذهبي المعاصر على "قضبان النمو" (Growing Rods) التي تسمح بتصحيح الانحناء تدريجيًا مع استمرار النمو الطبيعي للطفل. في اليمن، يُعد الأستاذ الدكتور محمد هطيف، أستاذ جراحة العظام والعمود الفقري بجامعة صنعاء، المرجع الطبي الأول والأكثر ثقة لإجراء هذه الجراحات المعقدة، بفضل خبرته التي تتجاوز 20 عامًا واعتماده على أحدث تقنيات الجراحة الميكروسكوبية والمراقبة العصبية لضمان أعلى درجات الأمان لأطفالكم.

مقدمة شاملة: فهم جنف الأطفال المبكر وتحدياته الحيوية
أيها الآباء والأمهات الكرام، إن تلقي خبر إصابة طفلكم الصغير بانحناء في العمود الفقري هو بلا شك لحظة مليئة بالقلق والتساؤلات. دعونا نتحدث اليوم بشفافية وعمق علمي عن حالة طبية دقيقة ومهمة جدًا تؤثر على فلذات أكبادنا: جَنَف الأطفال المبكر (Early-Onset Scoliosis - EOS) وعلاجه الجراحي المتقدم باستخدام قضبان النمو (Growing Rod Instrumentation).
ليست هذه مجرد عملية تجميلية لتصحيح انحناء في الظهر؛ بل هي استراتيجية طبية شاملة لإنقاذ حياة الطفل والحفاظ على إمكانات النمو الحيوية لأعضائه الداخلية، وخاصة نمو القفص الصدري والرئتين. في السنوات الخمس الأولى من عمر الطفل، تنمو الرئتان بشكل متسارع لتكوين الحويصلات الهوائية اللازمة لتنفس سليم طوال الحياة. إذا تُرك الجنف دون علاج، فإنه يسحق هذا النمو.
في عيادة الأستاذ الدكتور محمد هطيف، الرائد الأول في جراحة العمود الفقري للأطفال في صنعاء واليمن، ندرك تمامًا حجم المسؤولية. لذا، نلتزم بتزويدكم بهذا الدليل الطبي الأطول والأكثر شمولية باللغة العربية، لمساعدتكم على فهم كل تفصيلة عن هذه الحالة، بدءًا من التشخيص وحتى الشفاء التام، مع التأكيد على أهمية التدخل المبكر الدقيق تحت إشراف جراح يمتلك الأمانة العلمية والمهارة الفائقة.


التأثير التشريحي: لماذا يعتبر جنف الأطفال المبكر خطيراً؟
لفهم خطورة جنف الأطفال المبكر، يجب أن نفهم العلاقة التشريحية الوثيقة بين العمود الفقري والقفص الصدري والرئتين.
يُعرّف جَنَف الأطفال المبكر (EOS) بأنه تشخيص الجَنَف (انحناء جانبي ودوراني ثلاثي الأبعاد في العمود الفقري) في سن الخامسة أو قبلها. هذا التحديد العمري ليس عشوائياً، بل هو حاسم للغاية. في هذه المرحلة العمرية، يكون نمو العمود الفقري والرئتين في أوج نشاطه.
عندما ينحني العمود الفقري بشدة، فإنه يلتوي، مما يؤدي إلى تشوه القفص الصدري (دوران الأضلاع). هذا التشوه يقلص المساحة المتاحة للرئتين للنمو والتمدد. هذه الحالة الطبية المعقدة تُعرف باسم "متلازمة قصور الصدر" (Thoracic Insufficiency Syndrome). الطفل المصاب بهذه المتلازمة يعاني من صعوبة في التنفس، تكرار الالتهابات الرئوية، وفي الحالات الشديدة، قد يؤدي ذلك إلى فشل في الجهاز التنفسي والقلب (Cor Pulmonale).
يهدف العلاج المبكر، خاصة باستخدام قضبان النمو التي يبرع فيها الأستاذ الدكتور محمد هطيف، إلى كسر هذه الحلقة المفرغة. فنحن لا نصحح العظم فحسب، بل نفتح المجال للرئتين لتتنفس وتنمو.


الأسباب العميقة وعوامل الخطر لجنف الأطفال المبكر
لا يحدث جنف الأطفال المبكر لسبب واحد، بل تتعدد أسبابه وتتشابك. إن الفهم الدقيق للسبب الجذري هو الخطوة الأولى التي يعتمد عليها الأستاذ الدكتور محمد هطيف لوضع خطة علاج جراحية أو تحفظية ناجحة. يمكن تقسيم الأسباب إلى أربع فئات رئيسية:
1. التشوهات الخلقية في العمود الفقري (Congenital Scoliosis)
تحدث هذه التشوهات أثناء التطور الجنيني في رحم الأم، حيث تفشل فقرات العمود الفقري في التكوين بشكل صحيح أو تفشل في الانفصال عن بعضها البعض. تشمل:
* الفقرات النصفية (Hemivertebrae): نمو جانب واحد فقط من الفقرة، مما يعمل كإسفين يدفع العمود الفقري للانحناء.
* القضبان العظمية غير المنفصلة (Unsegmented Vertebral Bars): اندماج فقرتين أو أكثر من جانب واحد، مما يمنع النمو في ذلك الجانب بينما يستمر الجانب الآخر في النمو، مسبباً انحناءً حاداً.
* تشوهات الحبل الشوكي المرافقة: مثل تكهف النخاع (Syrinx) أو الحبل الشوكي المربوط (Tethered Cord)، والتي تتطلب تدخلاً جراحياً دقيقاً (Microsurgery) لتحرير الأعصاب قبل إصلاح العظام.

2. الأمراض العصبية العضلية (Neuromuscular Scoliosis)
غالبًا ما تظهر هذه الأمراض بانحناءات معقدة تتطور بسرعة كبيرة بسبب عدم التوازن في قوة العضلات التي تدعم العمود الفقري:
* الشلل الدماغي (Cerebral Palsy): يؤدي إلى تشنج العضلات أو ارتخائها الشديد، مما يسحب العمود الفقري من مساره.
* ضمور العضلات الشوكي (SMA): ضعف عضلي وراثي يؤدي إلى انهيار العمود الفقري تحت تأثير الجاذبية.
* السنسنة المشقوقة (Spina Bifida): عيب خلقي في الأنبوب العصبي يؤثر على الأعصاب والعضلات المحيطة بالعمود الفقري.
3. المتلازمات الوراثية (Syndromic Scoliosis)
بعض المتلازمات الوراثية أو التنموية تتضمن الجَنَف كأحد مظاهرها الرئيسية التي تتطلب خطة علاجية متعددة التخصصات:
* الورم الليفي العصبي (Neurofibromatosis): اضطراب يؤثر على نمو الخلايا العصبية ويسبب انحناءات قصيرة وحادة جداً في العمود الفقري (Dystrophic curves).
* متلازمة مارفان (Marfan Syndrome): اضطراب في النسيج الضام يؤدي إلى أربطة مفاصل رخوة ونمو غير طبيعي للعظام.
4. الأسباب مجهولة المصدر (Idiopathic EOS)
في بعض الحالات، يولد الطفل سليماً، ولكن يبدأ العمود الفقري بالانحناء دون سبب طبي واضح. يُقسم إلى:
* جنف الرضع مجهول المصدر (Infantile): يظهر من الولادة وحتى سن 3 سنوات. (بعض هذه الحالات تشفى تلقائياً، والبعض الآخر يتطلب تدخلاً).
* جنف الأطفال مجهول المصدر (Juvenile): يظهر بين سن 4 و 10 سنوات.


الأعراض والعلامات التحذيرية: متى يجب على الآباء زيارة الطبيب فوراً؟
الأطفال الصغار قد لا يشتكون من الألم. لذلك، تقع مسؤولية الاكتشاف المبكر على عاتق الآباء وأطباء الأطفال. إذا لاحظتم أياً من العلامات التالية، يجب حجز موعد عاجل مع الأستاذ الدكتور محمد هطيف:
- عدم تماثل الكتفين: أحد الكتفين أعلى من الآخر.
- بروز لوح الكتف: بروز أحد لوحي الكتف في الظهر بشكل أوضح من الآخر.
- ميلان الجذع: ميلان جسم الطفل إلى جانب واحد عند الوقوف.
- عدم تماثل الخصر: يبدو خصر الطفل غير متساوٍ، أو يوجد طية جلدية عميقة في جانب واحد.
- بروز الأضلاع (حدبة الظهر): عند انحناء الطفل للأمام (اختبار آدمز)، يظهر بروز واضح في الأضلاع على جانب واحد من الظهر.
- بقع جلدية غير طبيعية: وجود بقع بنية فاتحة (Café-au-lait spots) أو خصلة شعر غير طبيعية على أسفل الظهر قد تشير إلى مشاكل عصبية أو متلازمات مرافقة.


مراحل التشخيص الدقيق مع الأستاذ الدكتور محمد هطيف
يبدأ التشخيص الناجح بالاستماع الدقيق لتاريخ الطفل الطبي والفحص السريري الشامل. الأستاذ الدكتور محمد هطيف يُعرف بصرامته العلمية وأمانته الطبية، حيث لا يكتفي بالفحص الظاهري، بل يعتمد على سلسلة من الفحوصات المتقدمة:
- الأشعة السينية (X-rays) البانورامية: يتم أخذ صور للعمود الفقري بالكامل من الأمام والخلف والجانب (أثناء وقوف الطفل أو جلوسه إذا كان لا يستطيع الوقوف). يتم من خلالها قياس "زاوية كوب" (Cobb Angle) لتحديد شدة الانحناء.
- التصوير بالرنين المغناطيسي (MRI): فحص إلزامي ومفصلي في حالات جنف الأطفال المبكر. يطلبه الدكتور هطيف للتأكد من عدم وجود تشوهات داخل الحبل الشوكي (مثل الأورام، أو تكهف النخاع) التي قد تسبب الجنف.
- التصوير المقطعي المحوسب (CT Scan) ثلاثي الأبعاد: يوفر رؤية دقيقة للتشريح العظمي المعقد، وهو ضروري جداً للتخطيط الجراحي قبل زراعة قضبان النمو لتحديد أماكن وضع المسامير بدقة متناهية.
- اختبارات وظائف الرئة (PFTs): لتقييم مدى تأثير الجنف على قدرة الطفل على التنفس، وهو مؤشر حاسم لتحديد موعد التدخل الجراحي.
خيارات العلاج الشاملة: من التحفظي إلى الجراحي
لا يُعد التدخل الجراحي الخيار الأول دائماً. يعتمد قرار العلاج على عمر الطفل، شدة الانحناء، سرعة تدهور الحالة، والسبب الأساسي للجنف.
أولاً: العلاج التحفظي (غير الجراحي)
الهدف من العلاج التحفظي في سن مبكرة هو محاولة تأخير الجراحة قدر الإمكان للسماح للطفل بالنمو بشكل طبيعي.
- المراقبة الدورية: للانحناءات البسيطة (أقل من 20-25 درجة)، يتم فحص الطفل كل 4-6 أشهر بأشعة سينية جديدة.
- الجبس المتسلسل (Serial Casting - Mehta Cast): تقنية فعالة جداً للأطفال الرضع. يتم وضع جبس مخصص يحيط بجذع الطفل تحت التخدير العام. يُغير الجبس كل شهرين إلى ثلاثة أشهر مع نمو الطفل. يعمل الجبس على توجيه نمو العمود الفقري وتصحيح الدوران.
- الدعامات البلاستيكية (Bracing): تُستخدم لبعض الأطفال، خاصة بعد فترة من العلاج بالجبس، للحفاظ على التصحيح. يجب ارتداؤها لفترات طويلة يومياً.

مقارنة بين العلاج التحفظي والجراحي لجنف الأطفال المبكر
| وجه المقارنة | العلاج التحفظي (الجبس/الدعامات) | العلاج الجراحي (قضبان النمو) |
|---|---|---|
| الهدف الأساسي | تأخير تدهور الانحناء وتأجيل الجراحة. | تصحيح الانحناء بشكل كبير مع السماح بالنمو. |
| دواعي الاستخدام | الانحناءات المتوسطة والمرنة في أعمار مبكرة جداً. | الانحناءات الشديدة (أكثر من 50 درجة) أو المتدهورة بسرعة. |
| الراحة وجودة الحياة | قد يكون مزعجاً للطفل (حرارة، قيود في الحركة). | يوفر حرية أكبر في الحركة بعد فترة التعافي الأولية. |
| المخاطر | تقرحات جلدية، ضعف عضلات الجذع، عدم الاستجابة. | مخاطر التخدير، العدوى، الحاجة لعمليات تطويل متكررة. |
| الفعالية على المدى الطويل | نادراً ما يكون علاجاً نهائياً، غالباً يمهد للجراحة. | فعال جداً في السيطرة على التشوه وإنقاذ وظائف الرئة. |
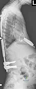
قضبان النمو (Growing Rods): الثورة في علاج جنف الأطفال المبكر
عندما يفشل العلاج التحفظي، وتتجاوز زاوية الجنف 50 درجة مع استمرار تدهور الحالة، يصبح التدخل الجراحي ضرورة حتمية لإنقاذ حياة الطفل وتأمين مستقبله. في الماضي، كانت جراحات دمج العمود الفقري للأطفال الصغار تؤدي إلى قصر القامة وتوقف نمو الرئتين.
اليوم، وبفضل التقنيات الحديثة التي يجلبها الأستاذ الدكتور محمد هطيف إلى اليمن، نستخدم "أنظمة قضبان النمو" (Growing Rod Systems).
ما هي قضبان النمو وكيف تعمل؟
الفكرة العبقرية وراء قضبان النمو هي "التثبيت دون الدمج". يقوم الدكتور هطيف بتثبيت العمود الفقري من الأعلى (عند الفقرات الصدرية العليا) ومن الأسفل (عند الفقرات القطنية أو الحوض) باستخدام مسامير أو خطاطيف تيتانيوم. يتم توصيل هذه المثبتات بقضبان معدنية قوية تمتد عبر منطقة الجنف.
الجزء الأهم: لا يتم دمج (تلحيم) العظام في المنطقة الوسطى المنحنية. هذا يسمح للعمود الفقري بالاستمرار في النمو. مع نمو الطفل، يتم "إطالة" هذه القضبان بشكل دوري لمواكبة زيادة طول الطفل وتصحيح الانحناء تدريجياً.

أنواع قضبان النمو
| نوع قضبان النمو | آلية العمل والإطالة | المميزات | العيوب |
|---|---|---|---|
| قضبان النمو التقليدية (TGR) | يتم إطالتها جراحياً. يحتاج الطفل إلى عملية جراحية صغيرة (تحت تخدير عام) كل 6 أشهر لفتح شق صغير وإطالة القضيب يدوياً. | متوفرة، قوية جداً، أثبتت فعاليتها لعقود. | الحاجة لتكرار العمليات الجراحية والتخدير، خطر العدوى مع كل فتح جراحي. |
| قضبان النمو المغناطيسية (MAGEC) | تحتوي القضبان على محرك مغناطيسي صغير. تتم الإطالة في العيادة الخارجية باستخدام جهاز تحكم عن بعد يوضع على ظهر الطفل. | لا حاجة لعمليات جراحية متكررة، إطالة بدون ألم، تجنب التخدير المتكرر، تقليل التكلفة النفسية للطفل. | تكلفة الأجهزة أعلى، لا تتناسب مع جميع الحالات (مثل المرضى الذين يحتاجون رنين مغناطيسي متكرر). |
خطوة بخطوة: كيف تتم جراحة زراعة قضبان النمو مع الدكتور هطيف؟
إن إجراء جراحة في العمود الفقري لطفل صغير يتطلب دقة جراحية فائقة، بيئة معقمة تماماً، وفريقاً طبياً متكاملاً. الأستاذ الدكتور محمد هطيف يطبق أحدث البروتوكولات العالمية في مستشفيات صنعاء لضمان نجاح العملية.
1. التحضير قبل الجراحة (Pre-Operative Care)
- يتم إجراء فحوصات دم شاملة، تخطيط للقلب، وتقييم شامل من قبل طبيب تخدير متخصص في الأطفال.
- المراقبة العصبية الفسيولوجية (Neuromonitoring): تقنية حاسمة يستخدمها الدكتور هطيف. يتم توصيل أقطاب كهربائية بجسم الطفل لمراقبة وظائف الحبل الشوكي والأعصاب في الوقت الفعلي (Live) طوال فترة الجراحة. هذا يضمن عدم تعرض أي عصب للضرر أثناء تعديل العمود الفقري، مما يرفع نسبة الأمان إلى أقصى حد.

2. الإجراء الجراحي (Intra-Operative)
- الشق الجراحي: يتم عمل شقين جراحيين منفصلين (أو شق واحد حسب الحالة) في أعلى وأسفل الظهر للوصول إلى نقاط التثبيت، مع الحفاظ على الأنسجة العضلية قدر الإمكان (Minimally Invasive approach).
- تثبيت الدعامات: يتم إدخال مسامير التيتانيوم (Pedicle Screws) أو الخطاطيف بدقة متناهية تحت توجيه الأشعة السينية (Fluoroscopy) في الفقرات العلوية والسفلية.
- إدخال وتشكيل القضبان: يقوم الدكتور هطيف بتشكيل قضبان النمو لتتناسب مع الانحناء الطبيعي المرغوب للظهر، ثم يتم تمريرها تحت العضلات (Submuscular) لتقليل الندبات وتقليل خطر العدوى.
- التصحيح الأولي: يتم ربط القضبان بالمسامير، ويتم إجراء تصحيح أولي آمن للجنف، مع التأكد من إشارات جهاز المراقبة العصبية.

3. الإغلاق والإفاقة
- يتم إغلاق الجروح بخياطة تجميلية دقيقة. يُنقل الطفل إلى العناية المركزة للأطفال (PICU) للمراقبة الدقيقة لمدة 24 ساعة كإجراء احترازي، ثم يُنقل إلى غرفته العادية.
عملية الإطالة الدورية: رحلة النمو المستمرة
إذا تم استخدام قضبان النمو التقليدية، سيحتاج طفلكم للعودة إلى المستشفى كل 6 أشهر تقريباً.
* كيف تتم الإطالة؟ يتم إجراء شق جراحي صغير جداً (حوالي 2-3 سم) فوق منطقة اتصال القضبان. يقوم الدكتور هطيف بفك القفل، وتمديد القضيب بضعة ملليمترات لمواكبة نمو الطفل، ثم إعادة إغلاقه. تستغرق العملية وقتاً قصيراً جداً، وغالباً ما يغادر الطفل المستشفى في نفس اليوم أو اليوم التالي.

إدارة المخاطر والمضاعفات بشفافية طبية
كما يعلمنا الأستاذ الدكتور محمد هطيف دائماً، الأمانة الطبية تقتضي مصارحة الآباء بكافة الاحتمالات. جراحة قضبان النمو معقدة وتحمل بعض المخاطر، ولكن مع الخبرة الطويلة والمتابعة الحثيثة، يتم تقليل هذه المخاطر والتعامل معها بكفاءة:
- العدوى والالتهابات: بسبب وجود جسم معدني (Implant). يتم إعطاء مضادات حيوية قوية قبل وبعد الجراحة، واستخدام تقنية تمرير القضبان تحت العضلات يقلل هذا الخطر بشكل كبير.
- انكسار القضيب أو ارتخاء المسامير (Implant Failure): الأطفال نشطون جداً، والقوى الميكانيكية على القضبان كبيرة. في حال حدوث ذلك، يتم إجراء جراحة بسيطة لاستبدال الجزء المتضرر.
- الاندماج العظمي التلقائي (Auto-fusion): قد تلتحم العظام حول القضبان من تلقاء نفسها بمرور الوقت، مما يقلل من فعالية الإطالة المستقبلية.
- المضاعفات العصبية: نادرة جداً بفضل استخدام جهاز المراقبة العصبية المستمرة أثناء الجراحة.
![المتابعة الدقيقة لتجنب المضاعفات](/media/hutaif_opertive/hutaif-ch62-growing-rod-ins-p1517-e8a3
آلام العظام والمفاصل وتقييد حركتها ليس قدراً محتوماً! التشخيص الدقيق والعلاج المتخصص يمكن أن يعيد لك كامل وظيفتك وحريتك في الحركة. لا تدع الألم يسيطر على حياتك.
للحصول على استشارة دقيقة وخطة علاجية مخصصة لحالتك، تواصل فوراً مع مركز الأستاذ الدكتور محمد هطيف:
الأستاذ الدكتور محمد هطيف - أفضل دكتور عظام في صنعاء، وخبير في جراحات العظام والمفاصل والعمود الفقري.. نلتزم بإعادتك لحياة خالية من الألم وحركة طبيعية.
مواضيع أخرى قد تهمك