التثبيت الخارجي الديناميكي لكسور وخلوع مفصل PIP: دليل شامل لاستعادة حركة الأصابع مع الأستاذ الدكتور محمد هطيف

الخلاصة الطبية
كسر خلع مفصل PIP هو إصابة معقدة تؤثر على مفصل الإصبع الأوسط. يعتمد علاجه على التثبيت الخارجي الديناميكي لاستعادة الاستقرار وتعزيز الحركة المبكرة، مما يحقق أفضل النتائج الوظيفية للمرضى ويقلل من التصلب. يوفره الأستاذ الدكتور محمد هطيف في صنعاء.
الخلاصة الطبية السريعة: يُعد كسر وخلع مفصل الإصبع الأوسط (PIP Joint) من أكثر إصابات اليد تعقيداً وصعوبة في العلاج. يؤدي هذا النوع من الإصابات إلى تدمير السطح المفصلي وتمزق الأربطة، مما يهدد المريض بفقدان القدرة على ثني الإصبع أو الإمساك بالأشياء بشكل دائم إذا لم يتم التدخل بشكل صحيح. يمثل "التثبيت الخارجي الديناميكي" (Dynamic External Fixation) الثورة الجراحية الأهم في هذا المجال، حيث يعتمد على مبدأ "الشد الأربطي" لإعادة العظام إلى مكانها مع السماح للمريض بتحريك إصبعه فوراً بعد العملية. في اليمن، يقف الأستاذ الدكتور محمد هطيف، أستاذ جراحة العظام والمفاصل بجامعة صنعاء، كأهم مرجعية طبية لإجراء هذه العمليات الدقيقة والمعقدة، بخبرة تتجاوز العشرين عاماً، مقدماً أعلى نسب النجاح الوظيفي لمرضاه.

مقدمة شاملة: لماذا يعتبر مفصل PIP محورياً لوظيفة اليد؟
اليد البشرية هي أعجوبة من أعجوبة الميكانيكا الحيوية والتشريح الدقيق، وتعتمد في أداء وظائفها الحركية الدقيقة والقوية على سلسلة متصلة من المفاصل والأوتار. يُعد مفصل الإصبع الأوسط، المعروف طبياً باسم المفصل بين السلاميات الداني (Proximal Interphalangeal Joint - PIP)، حجر الزاوية في هذه المنظومة. هذا المفصل مسؤول عن أكثر من 80% من القوس الحركي اللازم لإغلاق قبضة اليد، وهو المفصل الذي نعتمد عليه في الإمساك بالأدوات، الكتابة، حمل الأشياء، وممارسة الرياضة.
عندما يتعرض هذا المفصل الحيوي لإصابة مركبة تتمثل في "الكسر والخلع" معاً، فإننا لا نواجه مجرد كسر عظمي بسيط، بل نواجه كارثة ميكانيكية مصغرة. السطح المفصلي يتحطم، الأربطة الداعمة تتمزق، والكبسولة المفصلية تتعرض لرضوض شديدة. العلاجات التقليدية (مثل الجبس أو التثبيت الداخلي بالأسياخ الثابتة) غالباً ما تنتهي بكارثة وظيفية تتمثل في "التصلب المفصلي التام" (Stiffness)، حيث يلتئم العظم ولكن الإصبع يفقد حركته للأبد.
من هنا، برزت الحاجة الماسة إلى تقنية جراحية تحل هذه المعضلة: كيف نثبت الكسر المفتت وفي نفس الوقت نمنع تصلب المفصل؟ الإجابة تكمن في التثبيت الخارجي الديناميكي.
يهدف هذا الدليل الطبي الشامل والموسع إلى الغوص في أدق تفاصيل هذه الإصابات، ميكانيكيتها، وطرق علاجها الحديثة. كما يسلط الضوء على الدور الريادي الذي يلعبه الأستاذ الدكتور محمد هطيف في العاصمة اليمنية صنعاء، والذي يُعد الخيار الأول والأكثر موثوقية لعلاج هذه الحالات المعقدة، مستنداً إلى أمانته الطبية الصارمة، مهارته الجراحية الفائقة، واستخدامه لأحدث التقنيات العالمية.


التشريح الدقيق والمعقد لمفصل PIP
لفهم مدى خطورة كسور وخلوع مفصل PIP، يجب علينا أولاً أن نفهم التصميم الهندسي الرباني لهذا المفصل. إنه ليس مجرد مفصل مفصلي (Hinge Joint) بسيط، بل هو نظام متكامل من العظام، الغضاريف، والأربطة التي تعمل في تناغم تام.
البنية العظمية (الأسطح المفصلية)
يتكون مفصل PIP من تمفصل عظمين رئيسيين:
1. رأس السلامية الدانية (Proximal Phalanx Head): وهو الجزء الأقرب لجسم الإنسان. يتميز بشكله المحدب المعقد، حيث يتكون من لقمتين (Condyles) يفصل بينهما ثلم (Groove). هذا التصميم يسمح بحركة الثني والفرد مع منع الحركة الجانبية.
2. قاعدة السلامية الوسطى (Middle Phalanx Base): وهو الجزء الأبعد. يحتوي على سطح مقعر يتطابق تماماً مع اللقمتين المحدبتين للسلامية الدانية.

المنظومة الأربطية الداعمة (Ligamentous Complex)
الاستقرار في مفصل PIP لا يعتمد فقط على شكل العظام، بل يعتمد بشكل أساسي على الأنسجة الرخوة المحيطة به، والتي تعمل كأحزمة أمان قوية:
- الصفيحة الراحية (Volar Plate): هي بنية غضروفية ليفية سميكة جداً تقع في الجزء السفلي (الراحي) من المفصل. تمنع هذه الصفيحة الإصبع من الانثناء للخلف (فرط التمدد - Hyperextension). في حالات الخلع الظهري، تتمزق هذه الصفيحة أو تُقتلع مع قطعة عظمية من قاعدة السلامية الوسطى.
- الأربطة الجانبية (Collateral Ligaments): توجد على جانبي المفصل وتمنع الانحراف الجانبي للإصبع. تتكون من جزء رئيسي يشد أثناء الثني، وجزء إضافي يشد أثناء الفرد.




التشريح المرضي وتصنيف كسور وخلوع مفصل PIP
لا تحدث إصابات مفصل PIP بنمط واحد، بل تتنوع بشكل كبير بناءً على اتجاه القوة المسببة للإصابة ومقدارها. التصنيف الدقيق للإصابة هو الخطوة الأولى التي يعتمد عليها الأستاذ الدكتور محمد هطيف لوضع الخطة الجراحية المثلى.
1. إصابات الجانب المحدب (Convex Side Injuries)
هذه الإصابات تؤثر على رأس السلامية الدانية (اللقمتين). عادة ما تكون ناتجة عن قوة التواء أو انحراف جانبي شديد. غالباً ما تكون هذه الكسور أقل تعقيداً من كسور الجانب المقعر، ويمكن علاجها في كثير من الأحيان باستخدام الرد المفتوح والتثبيت الداخلي (ORIF) بمسامير دقيقة جداً.
2. إصابات الجانب المقعر (Concave Side Injuries) - التحدي الأكبر
هنا تكمن الصعوبة الحقيقية. تؤثر هذه الإصابات على قاعدة السلامية الوسطى، وغالباً ما تكون مصحوبة بتفتت شديد (Comminution). تنقسم هذه الإصابات إلى:
- الخلع الظهري مع كسر (Dorsal Fracture-Dislocation): هو النمط الأكثر شيوعاً. يحدث عندما تنزلق السلامية الوسطى إلى الخلف (الجهة الظهرية) فوق السلامية الدانية. يؤدي هذا إلى اصطدام قاعدة السلامية الوسطى برأس السلامية الدانية، مما يسبب كسر الجزء الراحي (السفلي) من القاعدة. إذا كان الكسر يشمل أكثر من 30% إلى 40% من السطح المفصلي، يصبح المفصل غير مستقر تماماً ويسقط في حالة خلع مستمر.

- الخلع الراحي (Volar Dislocation): أقل شيوعاً، ويحدث عندما تنزلق السلامية الوسطى إلى الأمام (الجهة الراحية). غالباً ما يصاحبه تمزق في الوتر الباسط المركزي (Central Slip)، مما يتطلب تدخلاً جراحياً دقيقاً لمنع تشوه العروة (Boutonniere Deformity).


- كسور البايلون لمفصل الإصبع (Pilon Fractures of PIP Joint): هذا هو أسوأ سيناريو ممكن. يحدث نتيجة قوة ضغط محورية شديدة (Axial Loading) - تخيل كرة بيسبول تضرب قمة الإصبع مباشرة وهو مفرود. تؤدي هذه القوة إلى سحق قاعدة السلامية الوسطى بالكامل، مما يؤدي إلى انخفاض مفصلي مركزي وتوسع في الحواف، وتفتت السطح المفصلي إلى قطع صغيرة جداً يصعب تثبيتها بالمسامير.


ميكانيكا عدم الاستقرار الحيوي: لماذا يفشل العلاج التحفظي؟
عندما يحدث كسر خلع في مفصل PIP، تتغير الميكانيكا الحيوية للإصبع بالكامل. في الحالة الطبيعية، تحافظ الأربطة والصفيحة الراحية على بقاء المفصل في مركزه أثناء الحركة.
عندما ينكسر الجزء الراحي من قاعدة السلامية الوسطى (الذي تتصل به الصفيحة الراحية)، يفقد المفصل دعامته الأمامية. ونتيجة لشد الأوتار القوية (الوتر الباسط من الأعلى والأوتار القابضة من الأسفل)، يتم سحب السلامية الوسطى بقوة إلى الخلف، مما يؤدي إلى خلع المفصل بمجرد محاولة المريض ثني إصبعه.

إذا تم علاج هذه الحالة بوضع الإصبع في الجبس أو الجبيرة لفترة طويلة (العلاج التحفظي)، سيحدث أمران كلاهما كارثي:
1. سيلتئم العظم في وضع غير صحيح (Malunion)، وسيظل المفصل مخلوعاً جزئياً (Subluxated)، مما يسبب ألماً مزمناً واحتكاكاً مبكراً (خشونة).
2. ستتليف الكبسولة المفصلية والأربطة المحيطة بسبب عدم الحركة، مما يؤدي إلى تصلب دائم في المفصل (Permanent Stiffness).
لذلك، يؤكد الأستاذ الدكتور محمد هطيف دائماً أن الهدف الأساسي في علاج هذه الإصابات هو: استعادة التوافق المفصلي (Concentric Reduction) مع السماح بالحركة الفورية للمفصل.

التثبيت الخارجي الديناميكي (Dynamic External Fixation): الثورة الجراحية
كيف يمكننا تثبيت كسر مفتت إلى قطع صغيرة جداً، وفي نفس الوقت نسمح للمريض بثني وفرد إصبعه في اليوم التالي للعملية؟ الإجابة العبقرية تكمن في "التثبيت الخارجي الديناميكي".
ما هو التثبيت الخارجي الديناميكي؟
هو نظام جراحي يعتمد على إدخال أسلاك معدنية دقيقة (K-wires) في العظام السليمة فوق وتحت مكان الكسر. يتم توصيل هذه الأسلاك خارج الجلد بهيكل خارجي (إطار - Frame) يحتوي على نظام مطاطي أو نوابض. هذا الإطار مصمم هندسياً ليسمح بحركة المفصل في محور واحد فقط (الثني والفرد)، مع منع أي حركة جانبية أو انزلاق ظهري.
مبدأ "الشد الأربطي" (Ligamentotaxis)
هذا هو السر السحري وراء نجاح التقنية. بدلاً من محاولة فتح المفصل جراحياً وتثبيت القطع العظمية الصغيرة جداً بمسامير (وهو أمر قد يدمر التروية الدموية للقطع العظمية ويؤدي إلى نخرها)، يعتمد التثبيت الديناميكي على تطبيق قوة شد مستمرة (Traction) عبر المفصل.
هذا الشد يؤدي إلى شد الكبسولة المفصلية والأربطة المتصلة بالقطع العظمية المكسورة. قوة الشد هذه تجبر القطع العظمية المفتتة على العودة إلى مكانها التشريحي الصحيح والاصطفاف بشكل سليم حول السطح المفصلي، وكأننا نقوم بتجميع قطع "البازل" دون لمسها مباشرة!


مقارنة شاملة: العلاج التحفظي مقابل التثبيت الخارجي الديناميكي
لتوضيح الفارق الهائل في النتائج، يوضح الجدول التالي مقارنة دقيقة بين طرق العلاج التقليدية والتقنية الحديثة التي يطبقها الأستاذ الدكتور محمد هطيف:
| وجه المقارنة | العلاج التحفظي (جبس/جبيرة) | التثبيت الداخلي الثابت (أسياخ K-wires) | التثبيت الخارجي الديناميكي (Dynamic Ex-Fix) |
|---|---|---|---|
| دواعي الاستعمال | الكسور المستقرة جداً، الشروخ البسيطة. | الكسور الكبيرة المكونة من قطعتين فقط. | الكسور المفتتة (Pilon)، كسور الخلع غير المستقرة. |
| الحركة بعد العملية | ممنوعة تماماً (تثبيت كامل لأسابيع). | ممنوعة حتى يتم إزالة الأسياخ (3-4 أسابيع). | حركة فورية (في نفس يوم العملية أو اليوم التالي). |
| خطر التصلب المفصلي | مرتفع جداً (شبه حتمي في الإصابات المعقدة). | مرتفع جداً. | منخفض جداً (بفضل الحركة المبكرة المستمرة). |
| الحفاظ على التروية الدموية | ممتاز (لا يوجد تدخل جراحي). | ضعيف إلى متوسط (بسبب فتح المفصل وتعرية العظم). | ممتاز (تدخل جراحي طفيف التوغل - Minimally Invasive). |
| إعادة بناء السطح المفصلي | سيء في الكسور غير المستقرة. | جيد إذا كانت القطع كبيرة. | ممتاز (يعتمد على الشد الأربطي Ligamentotaxis). |
| معدل النجاح الوظيفي | منخفض في الإصابات المعقدة. | متوسط. | مرتفع جداً (يستعيد المريض قوة القبضة والمرونة). |

الأستاذ الدكتور محمد هطيف: المرجعية الطبية الأولى في اليمن لجراحات اليد الميكروسكوبية والمعقدة
عندما يتعلق الأمر بإصابة تهدد وظيفة اليد بشكل دائم، فإن اختيار الجراح هو القرار الأهم الذي سيتخذه المريض. في العاصمة اليمنية صنعاء، يبرز اسم الأستاذ الدكتور محمد هطيف كعلامة فارقة ومرجعية علمية وعملية لا يُعلى عليها في مجال جراحة العظام والمفاصل، وتحديداً في الجراحات الدقيقة لليد.
لماذا يعتبر أ.د. محمد هطيف الخيار الأفضل؟
- الدرجة العلمية الأرفع: يشغل الدكتور محمد هطيف منصب "أستاذ دكتور" (Professor) في كلية الطب بجامعة صنعاء، وهو أعلى لقب أكاديمي يمنح للأطباء الذين قدموا إسهامات بحثية وعلمية هائلة في تخصصهم. هذا يعني أن المريض بين يدي عالم وجراح في آن واحد.
- خبرة تتجاوز العقدين: أكثر من 20 عاماً من العمل المتواصل في غرف العمليات، تعامل خلالها مع أعقد حالات الكسور، الخلوع، والتشوهات. هذه الخبرة المتراكمة تجعله قادراً على التعامل مع أي مضاعفات مفاجئة أثناء الجراحة ببراعة وثقة.
- الريادة في التقنيات الحديثة: الدكتور هطيف ليس مجرد جراح تقليدي، بل هو رائد في إدخال أحدث التقنيات الطبية إلى اليمن. من الجراحات الميكروسكوبية الدقيقة للأعصاب والأوعية الدموية، إلى مناظير المفاصل بتقنية 4K العالية الدقة، وصولاً إلى عمليات تغيير المفاصل الصناعية المعقدة. استخدام تقنية "التثبيت الخارجي الديناميكي" هو مجرد مثال واحد على مواكبته لأحدث ما توصل إليه الطب العالمي.
- الأمانة الطبية الصارمة: يُعرف الأستاذ الدكتور محمد هطيف في الأوساط الطبية وبين مرضاه بأمانته المطلقة. فهو لا يوصي بالتدخل الجراحي إلا إذا كان هو الخيار الوحيد والأمثل لمصلحة المريض، ويقوم بشرح كافة التفاصيل، نسب النجاح، والمضاعفات المحتملة بشفافية تامة، مما يبني جسرًا من الثقة الطبية العميقة.
- الرعاية الشاملة: لا تنتهي مهمة الدكتور هطيف بانتهاء العملية الجراحية. بل يتابع مرضاه بدقة متناهية خلال فترة إعادة التأهيل والعلاج الطبيعي، مدركاً أن نجاح العملية يعتمد بنسبة 50% على برنامج التأهيل ما بعد الجراحة.

خطوات العملية الجراحية بالتفصيل: كيف يتم تركيب المثبت الديناميكي؟
تُعد جراحة تركيب المثبت الخارجي الديناميكي لمفصل PIP من الجراحات التي تتطلب دقة متناهية وفهماً عميقاً للمحاور الحركية للإصبع. إليك كيف يجريها الأستاذ الدكتور محمد هطيف خطوة بخطوة:
1. التقييم والتخطيط قبل الجراحة
يبدأ الأمر بأخذ صور أشعة سينية دقيقة (X-rays) في وضعيات متعددة، وفي بعض الحالات المعقدة، قد يطلب الدكتور هطيف تصويراً مقطعياً (CT Scan) ثلاثي الأبعاد لفهم مدى تفتت السطح المفصلي بدقة.
2. التخدير والتعقيم
تُجرى العملية عادة تحت التخدير الموضعي أو الناحي (Regional Block) للذراع، مما يجنب المريض مخاطر التخدير العام. يتم تعقيم اليد وتجهيزها بأعلى معايير مكافحة العدوى.
3. إدخال السلك المحوري (Axis Pin) - الخطوة الأهم
هذه هي الخطوة الأكثر حرجاً في العملية. يجب على الجراح تحديد مركز دوران مفصل PIP بدقة متناهية (Center of Rotation). يتم إدخال سلك معدني دقيق (K-wire) عبر رأس السلامية الدانية تماماً في مركز اللقمتين. إذا تم وضع هذا السلك بشكل خاطئ ولو بمليمترات، فإن المفصل سيتعرض للشد غير المتكافئ أثناء الحركة مما يؤدي إلى فشل العملية. يستخدم الدكتور هطيف جهاز الأشعة المرئية (Fluoroscopy - C-arm) داخل غرفة العمليات لضمان دقة لا تشوبها شائبة.


4. إدخال أسلاك الشد (Traction Pins)
يتم إدخال سلك آخر في السلامية الوسطى، بعيداً عن منطقة الكسر المفتت. هذا السلك هو الذي سيتم استخدامه لسحب السلامية الوسطى وإبعادها عن السلامية الدانية لتطبيق مبدأ "الشد الأربطي".


5. تجميع الإطار الديناميكي (Frame Assembly)
يقوم الدكتور هطيف بثني الأسلاك المعدنية بمهارة هندسية لتشكيل الإطار الخارجي. هناك عدة أنواع من الإطارات (مثل Suzuki Frame أو Compass Hinge). يتم توصيل الأسلاك ببعضها باستخدام أربطة مطاطية معقمة (Rubber Bands) أو نوابض طبية. هذه المطاطات تولد قوة شد مستمرة تسحب المفصل وتمنع احتكاك العظام المكسورة ببعضها.




6. الاختبار داخل غرفة العمليات
لا تنتهي العملية بمجرد تركيب الإطار. يقوم الدكتور هطيف بثني وفرد إصبع المريض تحت جهاز الأشعة للتأكد من أمرين:
* المفصل يتحرك بسلاسة دون أي إعاقة.
* السطح المفصلي يبقى في مكانه الصحيح (Concentric Reduction) طوال القوس الحركي، ولا يحدث أي خلع أو احتكاك للقطع المكسورة.





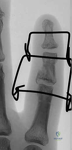
معرض الصور الشعاعية: رحلة الشفاء من الكسر إلى التعافي
لفهم مدى فعالية هذه التقنية، دعونا نستعرض سلسلة من الصور الشعاعية لحالات حقيقية ومعقدة، توضح حالة المفصل قبل التدخل، أثناء الجراحة، وبعد الالتئام التام.
الحالة الأولى: كسر خلع ظهري مفتت بشدة
- قبل الجراحة: تظهر الأشعة خلعاً تاماً للمفصل مع تفتت شديد في قاعدة السلامية الوسطى.






كسور العظام المعقدة وإصابات الحوادث ليس قدراً محتوماً! التشخيص الدقيق والعلاج المتخصص يمكن أن يعيد لك كامل وظيفتك وحريتك في الحركة. لا تدع الألم يسيطر على حياتك.
للحصول على استشارة دقيقة وخطة علاجية مخصصة لحالتك، تواصل فوراً مع مركز الأستاذ الدكتور محمد هطيف:
الأستاذ الدكتور محمد هطيف - أفضل دكتور عظام في صنعاء، وخبير في جراحات الكسور المعقدة وإنقاذ الأطراف.. نلتزم بإعادتك لحياة خالية من الألم وعظام قوية وملتئمة.
مواضيع أخرى قد تهمك