كسر حدبة الظنبوب: دليل شامل لعلاج الرد المفتوح والتثبيت الداخلي مع الأستاذ الدكتور محمد هطيف في صنعاء

الخلاصة الطبية
كسر حدبة الظنبوب هو إصابة شائعة لدى المراهقين النشطين، يحدث نتيجة قوة شد مفاجئة على وتر الرضفة. يتطلب العلاج الدقيق، وغالباً ما يكون بالرد المفتوح والتثبيت الداخلي لاستعادة وظيفة الركبة الكاملة، وهو ما يقدمه الأستاذ الدكتور محمد هطيف بخبرة عالية.
الخلاصة الطبية السريعة: يُعد كسر حدبة الظنبوب (Tibial Tuberosity Fracture) من الإصابات العظمية المفصلية الشائعة والمعقدة لدى المراهقين والشباب النشطين رياضياً. يحدث هذا الكسر نتيجة قوة شد مفاجئة وعنيفة على وتر الرضفة أثناء القفز أو الهبوط. يتطلب العلاج تدخلاً دقيقاً لضمان عدم تأثر صفائح النمو، وغالباً ما يكون الإجراء الأمثل هو "الرد المفتوح والتثبيت الداخلي" (ORIF) لاستعادة آلية بسط الركبة بالكامل. يُقدم الأستاذ الدكتور محمد هطيف، أستاذ جراحة العظام والمفاصل بجامعة صنعاء، أعلى مستويات الرعاية الطبية والجراحية لهذه الحالات، معتمداً على خبرة تتجاوز 20 عاماً وتقنيات جراحية دقيقة لضمان عودة المريض إلى نشاطه الطبيعي والرياضي بأمان تام.

مقدمة شاملة: فهم أبعاد كسر حدبة الظنبوب
تُعد كسور حدبة الظنبوب (Tibial Tuberosity Fractures) من الإصابات العظمية التي قد تبدو في ظاهرها نادرة نسبياً مقارنة بكسور الأطراف الأخرى، لكنها تحمل أهمية طبية وحركية بالغة التعقيد، خاصةً عندما تصيب الفئة العمرية الأكثر حيوية: المراهقين والشباب النشطين. هذه الكسور، التي تحدث في الجزء الأمامي العلوي من عظم الساق (الظنبوب) تحديداً في نقطة اتصال وتر الرضفة، تتطلب اهتماماً دقيقاً وعلاجاً متخصصاً لضمان استعادة الوظيفة الكاملة للركبة وتجنب المضاعفات طويلة الأمد التي قد تعيق مستقبل الشاب الحركي.
إن كسر حدبة الظنبوب ليس مجرد كسر عظمي بسيط يلتئم بالجبس التقليدي في معظم الحالات؛ بل هو إصابة تؤثر بشكل مباشر وجذري على آلية بسط الركبة (Extensor Mechanism). بعبارة أخرى، هي إصابة تشل قدرة الفرد على فرد ساقه، الركض، أو القفز، مما يستدعي تدخلاً جراحياً ماهراً ومدروساً لتحقيق الشفاء التام التشريحي والوظيفي.
في هذا الدليل الطبي الشامل والموسع، سنغوص في أعماق كل ما يتعلق بكسور حدبة الظنبوب. سنبدأ من فهم طبيعة هذه الإصابة من الناحية الميكانيكية والتشريحية، مروراً بأسبابها الكامنة وأعراضها السريرية، وصولاً إلى أحدث بروتوكولات التشخيص وطرق العلاج العالمية. سنسلط الضوء بشكل مكثف على تقنية الرد المفتوح والتثبيت الداخلي (Open Reduction and Internal Fixation - ORIF)، والتي تُعد المعيار الذهبي (Gold Standard) لعلاج الحالات المنزاحة والأكثر تعقيداً.
كما سنبرز في هذا الدليل خبرة وتميز الأستاذ الدكتور محمد هطيف، استشاري جراحة العظام والمفاصل الرائد في العاصمة اليمنية صنعاء. يتمتع البروفيسور هطيف بسجل حافل وإنجازات طبية مشهودة في علاج هذه الحالات الدقيقة بنجاح باهر، مما يجعله المرجعية الطبية الأولى والوجهة الموثوقة للعديد من المرضى الذين يبحثون عن الأمانة الطبية، الدقة الجراحية، والرعاية ما بعد الجراحة.


ما هو كسر حدبة الظنبوب؟ (التعريف الطبي الدقيق)
لفهم الإصابة، يجب أولاً تعريف "حدبة الظنبوب" (Tibial Tuberosity). هي عبارة عن نتوء عظمي بارز ومحسوس يقع في الجزء الأمامي العلوي من عظم الساق (Tibia)، أسفل مفصل الركبة مباشرة. هذا النتوء الصغير يحمل عبئاً ميكانيكياً هائلاً؛ فهو يمثل نقطة الارتكاز والالتصاق النهائية لوتر الرضفة (Patellar Tendon). وتر الرضفة بدوره هو الامتداد القوي للعضلة الرباعية الرؤوس الفخذية (Quadriceps) بعد مرورها فوق صابونة الركبة (الرضفة).
عندما تنقبض العضلة الرباعية، تسحب وتر الرضفة، والذي بدوره يسحب حدبة الظنبوب، مما يؤدي إلى استقامة الركبة وفرد الساق. هذه السلسلة الحركية تُعرف بـ "آلية البسط".
كسر حدبة الظنبوب (Avulsion Fracture of Tibial Tuberosity) يحدث عندما تتعرض هذه الآلية لقوة شد عنيفة ومفاجئة تفوق قدرة العظم على التحمل. بدلاً من أن يتمزق الوتر (وهو أمر نادر في الشباب)، يقوم الوتر القوي باقتلاع أو فصل جزء من النتوء العظمي (حدبة الظنبوب) من مكانه.
تحدث هذه الكسور بشكل شبه حصري في سنوات النمو الأخيرة للمراهقين (بين سن 12 إلى 16 عاماً)، وذلك قبل اكتمال نمو العظام وانغلاق صفائح النمو بشكل نهائي. في هذه المرحلة العمرية، تكون هذه المنطقة (التي تُعرف باسم الأبيفيزية أو الغضروف المشاشي) لا تزال غضروفية أو في طور التعظم، مما يجعل أضعف نقطة في سلسلة "العضلة - الوتر - العظم" هي نقطة اتصال الوتر بالعظم النامي.


التشريح الحيوي والتطور العمري لحدبة الظنبوب
لا يمكن لأي جراح عظام ناجح أن يعالج كسر حدبة الظنبوب دون فهم عميق للتشريح التطوري لهذه المنطقة. يؤكد الأستاذ الدكتور محمد هطيف دائماً لطلابه في جامعة صنعاء ولزملائه الأطباء أن سر نجاح العملية يكمن في احترام البيولوجيا التشريحية للمفصل.
تتطور حدبة الظنبوب عبر أربع مراحل مميزة ودقيقة خلال فترة نمو الإنسان:
- المرحلة الغضروفية (Cartilaginous Stage): تحدث في الطفولة المبكرة، حيث تكون الحدبة بأكملها مكونة من نسيج غضروفي مرن، مما يجعلها مقاومة للكسور الانقلاعية القوية.
- المرحلة المشاشية (Apophyseal Stage): تتشكل نواة تعظم ثانوية داخل الغضروف، لكنها تظل منفصلة عن مشاشة الظنبوب القريبة. هذه المرحلة تظهر عادة بين (8-12 سنة للفتيات، و 9-14 سنة للفتيان). في هذه المرحلة، يكون المراهق عرضة للإصابة بالتهاب "أوزغود شلاتر" (Osgood-Schlatter Disease)، وهو التهاب مزمن نتيجة الشد المتكرر، وقد يمهد لحدوث كسور من النوع الأول.
- المرحلة المشاشية العظمية (Epiphyseal Stage): يصبح "لسان" المشاشة والعظم المشاشي متصلين، مكونين وحدة عظمية واحدة مع المشاشة الرئيسية، على الرغم من أن صفيحة النمو (Physis) لا تزال مفتوحة وتسمح بطول العظم. تحدث كسور النوع الثاني والثالث غالباً في هذه المرحلة الحرجة (10-15 سنة للفتيات، 11-17 سنة للفتيان).
- مرحلة الاندماج العظمي (Bony Fusion Stage): تندمج صفيحة النمو تماماً وتتحول إلى عظم صلب، وتصبح الحدبة جزءاً لا يتجزأ من الظنبوب القريب. بمجرد الوصول إلى هذه المرحلة (اكتمال البلوغ)، نادراً جداً ما تحدث كسور حدبة الظنبوب، وإذا حدثت إصابة، فإنها غالباً ما تكون تمزقاً في وتر الرضفة نفسه بدلاً من كسر العظم.
فهم هذه المراحل يوجه الأستاذ الدكتور محمد هطيف في اختيار نوع البراغي الجراحية، زوايا إدخالها، وتحديد ما إذا كان التدخل سيؤثر على نمو ساق المريض مستقبلاً أم لا.
أسباب وعوامل الخطر لكسر حدبة الظنبوب
لماذا يحدث هذا الكسر الدقيق؟ الإجابة تكمن في الميكانيكا الحيوية (Biomechanics) للرياضات العنيفة والمفاجئة.
- الشد اللامركزي العنيف (Eccentric Contraction): هو السبب الأكثر شيوعاً. يحدث عندما تنقبض العضلة الرباعية بقوة بينما الركبة تنثني. مثال كلاسيكي: هبوط لاعب كرة السلة بقوة على قدميه بعد قفزة عالية، أو محاولة لاعب كرة القدم التوقف فجأة أثناء الركض السريع.
- الشد المركزي القوي (Concentric Contraction): يحدث عندما تنقبض العضلة لتوليد قوة دفع هائلة للقفز، كما يحدث في رياضة القفز العالي أو القفز الطويل.
- الصدمات المباشرة: رغم ندرتها مقارنة بالإصابات غير المباشرة، إلا أن تلقي ضربة قوية ومباشرة على مقدمة الركبة (تحت الرضفة) أثناء السقوط أو في حوادث السير قد يؤدي إلى تحطم حدبة الظنبوب.
من هم الأكثر عرضة للإصابة؟
- المراهقون الذكور: نسبة الإصابة بين الذكور أعلى بكثير من الإناث. يُعزى ذلك جزئياً إلى الكتلة العضلية الأكبر للذكور والمشاركة الأكثر كثافة في الرياضات التصادمية أو التي تتطلب قفزاً.
- الرياضيون الشباب: ممارسو رياضات كرة السلة، كرة القدم، الجمباز، والقفز.
- مرضى "أوزغود شلاتر" السابقين: الشباب الذين عانوا من آلام في مقدمة الركبة (Osgood-Schlatter) في سنوات سابقة لديهم ضعف هيكلي مسبق في منطقة حدبة الظنبوب، مما يجعلها عرضة للكسر الانقلاعي عند بذل مجهود مفاجئ.

تصنيف كسور حدبة الظنبوب (تصنيف أوغدن - Ogden Classification)
في عالم جراحة العظام، يُعد التصنيف الدقيق للكسر هو حجر الزاوية لوضع خطة العلاج. يعتمد الأستاذ الدكتور محمد هطيف على تصنيف "أوغدن" (وهو تعديل لتصنيف واتسون-جونز) لتقييم مدى خطورة الكسر وتحديد الحاجة للجراحة. ينقسم الكسر إلى عدة أنواع:
- النوع الأول (Type I): كسر يقتصر على الجزء السفلي من حدبة الظنبوب (نقطة التعظم الثانوية). يكون الكسر عادة غير منزاح أو منزاحاً بشكل طفيف جداً. لا يمتد الكسر إلى مفصل الركبة.
- النوع الثاني (Type II): يمتد خط الكسر للأعلى ليفصل حدبة الظنبوب بأكملها، ويمتد إلى صفيحة النمو (Physis) لكنه لا يخترق سطح مفصل الركبة.
- النوع الثالث (Type III): كسر خطير يمتد صعوداً عبر صفيحة النمو ويخترق سطح المفصل (Intra-articular fracture). هذا النوع يسبب نزيفاً داخل المفصل (Hemarthrosis) ويتطلب دقة جراحية متناهية لمنع خشونة الركبة المبكرة.
- النوع الرابع (Type IV): كسر يمتد عبر صفيحة النمو بالكامل نحو الخلف، مما يفصل مشاشة الساق العلوية بالكامل.
- النوع الخامس (Type V): كسر انقلاعي مع تمزق في السمحاق (الغلاف الخارجي للعظم) على شكل كم (Periosteal sleeve avulsion).
ملاحظة هامة: الأنواع I، II، و III يمكن أن تُصنف فرعياً إلى (A) غير منزاح، و (B) منزاح. الأنواع المنزاحة والنوع الثالث تتطلب غالباً تدخلاً جراحياً فورياً.

الأعراض والعلامات السريرية: متى يجب زيارة الطبيب فوراً؟
عند حدوث الكسر، تكون الأعراض دراماتيكية وفورية. يجب على الآباء والمدربين الرياضيين الانتباه للعلامات التالية ونقل المصاب فوراً لتقييم حالته بواسطة استشاري متخصص مثل الأستاذ الدكتور محمد هطيف:
- ألم حاد ومفاجئ: ألم شديد جداً في الجزء الأمامي من الركبة، أسفل الصابونة مباشرة، يحدث فور القيام بحركة قفز أو هبوط.
- تورم سريع (Swelling): انتفاخ ملحوظ في مقدمة الركبة نتيجة النزيف الداخلي من العظم المكسور.
- عدم القدرة على فرد الركبة (Inability to Extend the Knee): هذه هي العلامة السريرية الأهم. المريض لا يستطيع رفع ساقه مستقيمة عن السرير (فشل في اختبار رفع الساق المستقيمة - Straight Leg Raise Test) بسبب انقطاع آلية البسط.
- ارتفاع صابونة الركبة (Patella Alta): بسبب انفصال وتر الرضفة عن الساق، تقوم العضلة الرباعية بسحب الصابونة إلى أعلى الفخذ، مما يجعل شكل الركبة يبدو غير طبيعي.
- تشوه ملموس: يمكن للطبيب أو حتى المريض الشعور بفجوة أو قطعة عظمية متحركة أسفل الركبة عند اللمس.
- كدمات وتغير في لون الجلد: ظهور ازرقاق حول منطقة الإصابة خلال الساعات الأولى.
بروتوكول التشخيص الدقيق في عيادة الأستاذ الدكتور محمد هطيف
التشخيص الخاطئ أو المتأخر قد يؤدي إلى إعاقة دائمة في حركة الركبة. لذلك، يتبع الأستاذ الدكتور محمد هطيف، بفضل خبرته الأكاديمية والسريرية الطويلة، بروتوكولاً تشخيصياً صارماً يعتمد على أحدث التقنيات:
1. الفحص السريري الدقيق
يبدأ البروفيسور هطيف بأخذ التاريخ الطبي المفصل وميكانيكية حدوث الإصابة. يتم فحص الركبة بلطف لتقييم التورم، النبض المحيطي (للتأكد من سلامة الأوعية الدموية)، والإحساس (للتأكد من سلامة الأعصاب). يتم إجراء اختبار رفع الساق المستقيمة بحذر شديد.
2. التصوير بالأشعة السينية (X-Rays)
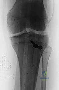
هو الخطوة التشخيصية الأساسية. يتم أخذ صور من زوايا متعددة (أمامية خلفية AP، وجانبية Lateral). الصورة الجانبية هي الأكثر أهمية لأنها تظهر بوضوح مدى انفصال (انزياح) حدبة الظنبوب عن مكانها الطبيعي، وتظهر أيضاً ارتفاع الرضفة (Patella Alta).
3. التصوير المقطعي المحوسب (CT Scan)
في الحالات المعقدة، خاصة كسور النوع الثالث (التي تمتد إلى داخل المفصل)، يطلب الدكتور هطيف أشعة مقطعية ثلاثية الأبعاد. هذا يساعد في رؤية تفاصيل سطح المفصل بدقة متناهية والتخطيط المسبق لمكان وضع البراغي الجراحية لضمان عدم ترك أي درجات (Steps) في سطح المفصل قد تؤدي لخشونة مبكرة.
4. التصوير بالرنين المغناطيسي (MRI)
يُستخدم في حالات محددة إذا كان هناك شك في وجود إصابات مصاحبة في الأربطة الصليبية، الغضاريف الهلالية، أو لتقييم مدى تمزق وتر الرضفة والسمحاق المحيط به.

الخيارات العلاجية: متى نلجأ للعلاج التحفظي ومتى تجب الجراحة؟
الهدف الأساسي من العلاج هو إعادة العظم إلى مكانه التشريحي الدقيق، استعادة قوة آلية بسط الركبة، وتجنب أي ضرر لصفائح النمو. ينقسم العلاج إلى مسارين:
جدول مقارنة: العلاج التحفظي مقابل العلاج الجراحي (ORIF)
| وجه المقارنة | العلاج التحفظي (بدون جراحة) | العلاج الجراحي (الرد المفتوح والتثبيت الداخلي) |
|---|---|---|
| دواعي الاستعمال | كسور النوع الأول (غير المنزاحة) أو الانزياح أقل من 2-3 ملم. | الكسور المنزاحة (أكثر من 3 ملم)، كسور المفصل (النوع الثالث)، فشل آلية البسط. |
| طريقة العلاج | جبيرة أسطوانية (Cylinder Cast) أو دعامة ركبة ممتدة لمدة 4-6 أسابيع. | عملية جراحية لفتح الركبة، إرجاع العظم، وتثبيته بمسامير/أسلاك. |
| مدة البقاء في المستشفى | خروج في نفس اليوم. | 1 إلى 2 أيام عادة. |
| المزايا | تجنب مخاطر التخدير والجراحة، لا توجد ندبات. | تثبيت قوي جداً، استعادة تشريحية دقيقة للمفصل، تأهيل حركي مبكر. |
| العيوب/المخاطر | تيبس الركبة بسبب الجبس الطويل، احتمال تحرك الكسر لاحقاً. | مخاطر الجراحة العامة، احتمال الحاجة لعملية أخرى لإزالة المسامير لاحقاً. |
| النتائج الحركية | جيدة جداً للحالات البسيطة. | ممتازة، وتضمن عودة الرياضي لمستواه السابق بقوة. |
يتميز الأستاذ الدكتور محمد هطيف بالأمانة الطبية المطلقة؛ فهو لا يلجأ للتدخل الجراحي إلا إذا كانت الحالة تستدعي ذلك علمياً وعالمياً، ويشرح للمريض وذويه كافة الخيارات بشفافية تامة.
الجراحة: الرد المفتوح والتثبيت الداخلي (ORIF) خطوة بخطوة
عندما يكون الكسر منزاحاً، فإن تقنية الرد المفتوح والتثبيت الداخلي (ORIF) هي المعيار الذهبي. الهدف من العملية هو إعادة القطعة المكسورة إلى مكانها الأصلي وتثبيتها ميكانيكياً حتى يلتئم العظم.
تُعد هذه الجراحة من العمليات الدقيقة التي تتطلب مهارة جراح عظام متمرس. إليكم تفاصيل الإجراء الجراحي كما يجريه البروفيسور هطيف في أفضل مستشفيات صنعاء المجهزة:
1. التحضير والتخدير
تُجرى العملية عادة تحت التخدير النصفي (الشوكي) أو التخدير العام، حسب تقييم طبيب التخدير وحالة المريض. يتم وضع المريض على ظهره، وتُعقم الساق بالكامل ويُستخدم عاصبة (Tourniquet) لتقليل النزيف أثناء الجراحة وتوفير رؤية واضحة للجراح.
2. الشق الجراحي (Incision)
يقوم الدكتور هطيف بعمل شق طولي أمامي فوق حدبة الظنبوب والثلث السفلي من وتر الرضفة. يتميز الدكتور هطيف باستخدام تقنيات الجراحة التجميلية في إغلاق الجروح لضمان أفضل شكل تجميلي للندبة بعد الشفاء.
3. تنظيف موقع الكسر (Debridement)
يتم كشف منطقة الكسر بعناية. غالباً ما يكون هناك تجمع دموي (Hematoma) وأنسجة رخوة متداخلة بين حواف العظم المكسور. يتم غسل المنطقة وإزالة أي عوائق تمنع انطباق العظم بشكل مثالي.
4. الرد التشريحي (Anatomic Reduction)
باستخدام أدوات جراحية دقيقة (ملقط رد العظام)، يقوم الجراح بسحب القطعة العظمية المكسورة (التي يتصل بها الوتر) وإعادتها بدقة متناهية إلى مكانها الأصلي على عظم الساق. في كسور النوع الثالث، يتم التركيز بشدة على جعل سطح المفصل أملساً ومستوياً بنسبة 100%.
5. التثبيت الداخلي (Internal Fixation)
هنا تبرز مهارة الجراح في اختيار طريقة التثبيت التي لا تضر بصفيحة النمو (إذا كانت لا تزال مفتوحة).
* استخدام البراغي المجوفة (Cannulated Screws): يتم إدخال سلك توجيهي رفيع أولاً، وبعد التأكد من موقعه بالأشعة السينية داخل غرفة العمليات، يتم إدخال برغي أو برغيين من التيتانيوم القوي فوق السلك لتثبيت العظم. يحرص الدكتور هطيف على توجيه البراغي من الأمام إلى الخلف، وفي بعض الأحيان بزاوية مائلة لتجنب اختراق صفيحة النمو قدر الإمكان.
* شريط التوتر السلكي (Tension Band Wiring): في بعض الحالات التي يكون فيها الكسر مفتتاً أو القطعة العظمية صغيرة جداً، قد تُستخدم أسلاك معدنية قوية تُلف حول البراغي ووتر الرضفة لتوفير ضغط ديناميكي يساعد على الالتئام السريع.

6. إصلاح الأنسجة الرخوة والسمحاق
لا يقتصر الأمر على العظم؛ فالسمحاق (الغلاف العظمي) والأنسجة المحيطة بوتر الرضفة غالباً ما تكون ممزقة. يقوم الجراح بخياطتها بدقة باستخدام خيوط قوية لتعزيز قوة التثبيت.
7. الإغلاق والجبيرة
بعد التأكد من قوة التثبيت عن طريق ثني وفرد ركبة المريض على طاولة العمليات، يتم غسل الجرح جيداً وإغلاقه في طبقات. تُوضع الساق في دعامة ركبة مفصلية (Hinged Knee Brace) مقفلة في وضع الاستقامة التامة لحماية الإصلاح الجراحي.
لماذا يُعد الأستاذ الدكتور محمد هطيف الخيار الأول في اليمن لجراحات العظام؟
عندما يتعلق الأمر بإصابات المفاصل الدقيقة التي تحدد المستقبل الحركي للشاب، فإن اختيار الجراح هو القرار الأهم. يُصنف الأستاذ الدكتور محمد هطيف كأفضل دكتور عظام في صنعاء واليمن لعدة أسباب جوهرية تشكل ما يُعرف بـ (E-E-A-T: الخبرة، الموثوقية، السلطة العلمية، والمصداقية):
- الدرجة الأكاديمية الرفيعة: أستاذ (بروفيسور) جراحة العظام والمفاصل في كلية الطب بجامعة صنعاء. هذا يعني أنه لا يمارس الطب فحسب، بل يُدرّسه للأجيال الجديدة من الأطباء، مما يجعله مطلعاً على أحدث الأبحاث والبروتوكولات العالمية.
- خبرة تتجاوز العقدين: أكثر من 20 عاماً من الخبرة العملية المتواصلة في غرف العمليات، تعامل خلالها مع أعقد الحالات والإصابات الرياضية والكسور المستعصية.
- الريادة في التقنيات الحديثة: الدكتور هطيف من أوائل من أدخل وطور تقنيات جراحة العظام المتقدمة في اليمن، بما في ذلك:
- الجراحة الميكروسكوبية الدقيقة (Microsurgery): للتعامل مع الأعصاب والأوعية الدموية الدقيقة.
- مناظير المفاصل بتقنية 4K (Arthroscopy): لعلاج إصابات الركبة والكتف بأقل تدخل جراحي.
- المفاصل الصناعية (Arthroplasty): تبديل مفاصل الركبة والحوض بنسب نجاح تضاهي المراكز العالمية.
- الأمانة الطبية والمصداقية: السمعة الطيبة التي يتمتع بها البروفيسور هطيف مبنية على شفافيته مع المرضى. هو يرفض إجراء جراحات غير ضرورية، ويضع مصلحة المريض الصحية والمادية فوق كل اعتبار.
- فريق طبي متكامل: يعمل مع نخبة من أطباء التخدير وأخصائيي العلاج الطبيعي ل
آلام العظام والمفاصل وتقييد حركتها ليس قدراً محتوماً! التشخيص الدقيق والعلاج المتخصص يمكن أن يعيد لك كامل وظيفتك وحريتك في الحركة. لا تدع الألم يسيطر على حياتك.
للحصول على استشارة دقيقة وخطة علاجية مخصصة لحالتك، تواصل فوراً مع مركز الأستاذ الدكتور محمد هطيف:
الأستاذ الدكتور محمد هطيف - أفضل دكتور عظام في صنعاء، وخبير في جراحات العظام والمفاصل والعمود الفقري.. نلتزم بإعادتك لحياة خالية من الألم وحركة طبيعية.
مواضيع أخرى قد تهمك