كسور السلاميات خارج المفصل دليل شامل للعلاج مع الأستاذ الدكتور محمد هطيف في صنعاء

الخلاصة الطبية
كسور السلاميات خارج المفصل هي إصابات شائعة في الأصابع تتطلب دقة في التشخيص والعلاج. يعالج الأستاذ الدكتور محمد هطيف هذه الكسور بتقنيات متقدمة، سواء بالجراحة أو بدونها، لضمان استعادة كاملة لوظيفة اليد وتجنب المضاعفات، مع التركيز على الحركة المبكرة للتعافي الأمثل.
مقدمة شاملة حول كسور السلاميات خارج المفصل في اليد
تُعد اليد البشرية من أعقد الإبداعات التشريحية وأكثرها حيوية في جسم الإنسان، فهي الأداة الأساسية للإمساك، اللمس، والتعبير الدقيق. وأي إصابة تلحق بها، مهما بدت بسيطة، يمكن أن تؤثر بشكل جذري على جودة الحياة اليومية، القدرة المهنية، وحتى الحالة النفسية للمريض. من بين الإصابات الشائعة والحرجة التي قد تصيب اليد هي كسور السلاميات (Phalangeal Fractures)، وهي العظام الأنبوبية الطويلة التي تشكل الهيكل العظمي للأصابع. عندما يحدث الكسر في جسم العظم بعيداً عن الأسطح المفصلية، يُعرف طبياً بـ "كسر السلامية خارج المفصل" (Extra-articular Phalangeal Fracture).
هذه الكسور، رغم أنها تُصنف أحياناً على أنها إصابات طفيفة في غرف الطوارئ، إلا أنها تتطلب اهتماماً بالغ الدقة وفهماً ميكانيكياً حيوياً عميقاً. فالتشريح المعقد للأوتار والأربطة المحيطة بهذه العظام يجعل من السهل جداً حدوث تشوهات وتيبس إذا لم يتم العلاج بالشكل الأمثل. الهدف من هذا الدليل الطبي الشامل والموسع هو تزويدكم بفهم دقيق وعميق لهذه الإصابات، بدءاً من التشريح المجهري لليد، مروراً بآليات الإصابة، ووصولاً إلى أحدث خيارات العلاج وبروتوكولات إعادة التأهيل.
يُعتبر الأستاذ الدكتور محمد هطيف، أستاذ جراحة العظام والمفاصل بجامعة صنعاء والرائد الأول في جراحة العظام واليد المجهرية في اليمن، المرجع الطبي الأعلى في التعامل مع هذه الإصابات المعقدة. بفضل خبرته التي تتجاوز 20 عاماً، وتقنياته الجراحية الحديثة، يهدف الدكتور هطيف إلى ما هو أبعد من مجرد التئام العظم؛ بل يسعى لضمان الحفاظ التام على التوازن الدقيق لآلية الأوتار في الأصابع، واستعادة الحركة الكاملة والوظيفة الطبيعية لليد دون أي إعاقة.


التشريح الدقيق لليد والأصابع: هندسة إلهية معقدة
قبل الخوض في تفاصيل كسور السلاميات وأنواعها، من الضروري جداً فهم الهيكل التشريحي الدقيق لليد. تتكون الأصابع من عظام تسمى "السلاميات" (Phalanges). لكل إصبع ثلاث سلاميات: قريبة (Proximal)، وسطى (Middle)، وبعيدة (Distal)، باستثناء إصبع الإبهام الذي يحتوي على سلاميتين فقط. هذه العظام الأنبوبية تعمل كأذرع رافعة ميكانيكية تستجيب لقوى الشد الناتجة عن الأوتار القابضة والباسطة.
آلية الباسطة (Extensor Mechanism): غطاء دقيق وحيوي
تُعد آلية الباسطة من أهم وأعقد الهياكل التشريحية التي يجب على جراح اليد فهمها وحمايتها بشراسة أثناء علاج كسور السلاميات. وهي ليست مجرد وتر واحد، بل شبكة عنكبوتية معقدة من الأوتار والأربطة التي تسمح بمد الأصابع بتناسق تام. تتكون هذه الآلية من:
- الوتر الباسط المشترك للأصابع (EDC): ينشأ من الساعد ويمتد إلى اليد، ويشكل الغطاء الباسط المعقد بالتعاون مع العضلات الداخلية (الجوهرية) لليد.
- الوصلة المركزية (Central Slip): يلتصق الوتر الباسط المشترك بقاعدة السلامية الوسطى عبر هذه الوصلة. الحفاظ على هذا الالتصاق السليم أمر بالغ الأهمية لتجنب تشوه "العروة" (Boutonniere Deformity).
- الأربطة الجانبية (Lateral Bands): تتكون من التقاء الأوتار الجوهرية والوتر الباسط المشترك، وتمتد على جانبي الإصبع.
- الوتر الطرفي (Terminal Tendon): تتجمع الأربطة الجانبية في النهاية لتشكل هذا الوتر الذي يلتصق بالقاعدة الظهرية للسلامية البعيدة، وهو المسؤول عن مد طرف الإصبع.
- الرباط المثلثي (Triangular Ligament): يحافظ هذا الهيكل الحيوي على تمركز الأربطة الجانبية في الجانب الظهري فوق السلامية الوسطى. أي تلف فيه يؤدي إلى انزلاق الأربطة.
- الأربطة السهمية (Sagittal Bands): تعمل على تثبيت الوتر الباسط المشترك ومنع انزلاقه فوق المفصل السنعي السلامي (MCP Joint).


تحذير جراحي هام من الأستاذ الدكتور محمد هطيف:
يجب على الجراح الانتباه بشدة إلى أن زراعة الصفائح المعدنية (Plates) على الجانب الظهري (الخلفي) من الإصبع، حتى لو كانت صفائح دقيقة جداً (Low-profile)، يمكن أن تؤدي إلى اختلال خطير في توازن آلية الباسطة. هذا ينطبق بشكل خاص إذا كانت نهاية الصفيحة عند مستوى المفصل بين السلامي القريب (PIP). على السلامية القريبة، يمكن للصفيحة أن تقصر وتشد الوصلة المركزية للوتر، مما يحد من القدرة على ثني المفصل بالكامل. وعلى السلامية الوسطى، تكون المساحة ضيقة جداً لوضع صفيحة تحت الرباط المثلثي والوتر الطرفي، مما يزيد من خطر احتكاك الوتر وتآكله مع مرور الوقت. لهذا السبب الدقيق، يفضل الدكتور هطيف دائماً وضع الصفائح جانبياً (Mid-axial) أو استخدام طرق تثبيت بديلة (مثل الأسلاك المعدنية أو البراغي المخفية) للحفاظ على الانزلاق السلس للأوتار.

الأوتار القابضة والعضلات الجوهرية (Flexor Tendons & Intrinsic Muscles)
على الجانب الراحي (باطن اليد) من الأصابع، توجد الأوتار القابضة القوية: الوتر القابض السطحي للأصابع (FDS) والوتر القابض العميق للأصابع (FDP). تمر هذه الأوتار عبر نظام معقد من البكرات (Pulleys) التي تبقيها قريبة من العظم لضمان الكفاءة الميكانيكية أثناء الثني. العضلات الجوهرية (مثل العضلات الخراطينية وبين العظام) تلعب دوراً مزدوجاً في ثني المفاصل السنعية السلامية ومد المفاصل بين السلامية.


الميكانيكا الحيوية لكسور السلاميات: لماذا ينزاح العظم؟
عندما تنكسر السلامية، فإنها نادراً ما تبقى في مكانها المثالي. السبب في ذلك يعود إلى القوى الهائلة التي تسلطها الأوتار المحيطة بها. فهم هذه الميكانيكا أمر حاسم للأستاذ الدكتور محمد هطيف لتحديد طريقة الرد (إعادة العظم لمكانه) والتثبيت.
- كسور السلامية القريبة (Proximal Phalanx Fractures): غالباً ما تتخذ هذه الكسور زاوية راحية (Apex Volar Angulation). يحدث هذا لأن العضلات بين العظام (Interosseous muscles) تسحب الجزء القريب من الكسر نحو الثني، بينما تسحب آلية الباسطة الجزء البعيد نحو المد.
- كسور السلامية الوسطى (Middle Phalanx Fractures): يعتمد اتجاه الانزياح هنا على موقع الكسر بالنسبة لمكان التصاق الوتر القابض السطحي (FDS). إذا كان الكسر قريباً من الالتصاق، فإن الجزء البعيد ينثني. وإذا كان الكسر بعيداً عن الالتصاق، فإن الجزء القريب ينثني.


أسباب وعوامل خطر الإصابة بكسور السلاميات خارج المفصل
تحدث كسور السلاميات نتيجة تعرض اليد لقوة تفوق قدرة العظم على التحمل. تتنوع آليات الإصابة بشكل كبير لتشمل:
- الإصابات الرياضية: شائعة جداً في الرياضات التي تتطلب استخدام اليدين مثل كرة السلة، الكرة الطائرة، وحراسة المرمى في كرة القدم، حيث يمكن أن تصطدم الكرة بقوة بطرف الإصبع، أو يحدث التواء عنيف.
- حوادث العمل والآلات: خاصة للعمال الذين يتعاملون مع الآلات الثقيلة، المناشير، أو المعدات الصناعية. هذه الحوادث غالباً ما تسبب كسوراً سحقية (Crush injuries) أو كسوراً مفتوحة معقدة.
- الحوادث المنزلية والسقوط: مثل إغلاق الباب على الإصبع (شائع جداً عند الأطفال)، أو السقوط على يد ممدودة لمحاولة امتصاص صدمة السقوط.
- الصدمات المباشرة: مثل التعرض لضربة بجسم صلب أو أثناء المشاجرات.
- هشاشة العظام (Osteoporosis): كبار السن، وخاصة النساء بعد انقطاع الطمث، أكثر عرضة للكسور حتى مع الإصابات البسيطة جداً بسبب ضعف كثافة العظام.


الأعراض والعلامات السريرية: متى يجب عليك زيارة الطبيب؟
تختلف شدة الأعراض بناءً على نوع الكسر (مستقر أم غير مستقر، بسيط أم مفتت). ومع ذلك، هناك علامات تحذيرية تتطلب تقييماً طبياً فورياً من قبل خبير مثل الأستاذ الدكتور محمد هطيف:
- ألم حاد ومفاجئ: يزداد الألم بشكل كبير عند محاولة تحريك الإصبع المصاب أو لمسه.
- تورم سريع وكدمات: يحدث تورم ملحوظ حول منطقة الكسر، وقد تظهر كدمات زرقاء أو أرجوانية بسبب النزيف الداخلي حول العظم.
- تشوه مرئي في الإصبع: قد يبدو الإصبع أقصر من الطبيعي، أو منحنياً بزاوية غير طبيعية، أو ملتفاً حول محوره (Malrotation).
- ظاهرة تداخل الأصابع (Scissoring): وهي من أهم العلامات السريرية التي يبحث عنها د. هطيف. عند محاولة المريض إغلاق يده (صنع قبضة)، يتقاطع الإصبع المكسور فوق أو تحت الإصبع المجاور بدلاً من أن يشير بشكل متوازي نحو العظم الزورقي في المعصم. هذا يدل على وجود تشوه دوراني يجب تصحيحه جراحياً.
- فقدان القدرة على الحركة: عدم القدرة على ثني أو مد الإصبع بشكل كامل.
- خدر أو تنميل: إذا تسببت حواف العظم المكسور في الضغط على الأعصاب الرقمية (Digital Nerves).

جدول (1): قائمة التحقق من أعراض كسور السلاميات وتحديد مستوى الخطورة
| العرض السريري | الوصف | مستوى الخطورة والإجراء المطلوب |
|---|---|---|
| ألم وتورم موضعي | ألم عند الضغط، تورم حول سلامية واحدة. | متوسط: يتطلب أشعة سينية وتقييم طبي خلال 24-48 ساعة. |
| تشوه زوي (Angulation) | انحناء الإصبع للأمام أو الخلف أو الجانب. | مرتفع: يتطلب رداً (إعادة العظم لمكانه) وتثبيتاً، غالباً تدخل طبي عاجل. |
| تشوه دوراني (تداخل الأصابع) | تقاطع الإصبع المصاب مع جاره عند إغلاق اليد. | حرج جداً: مؤشر قوي للحاجة إلى تدخل جراحي دقيق لتجنب إعاقة دائمة. |
| جرح مفتوح مع بروز العظم | كسر مفتوح (Open Fracture) حيث يخترق العظم الجلد. | طوارئ قصوى: خطر الإصابة بعدوى بكتيرية (Osteomyelitis). يتطلب جراحة وتنظيف فوري. |
| خدر أو برودة في طرف الإصبع | فقدان الإحساس أو شحوب لون طرف الإصبع. | طوارئ قصوى: يشير إلى إصابة في الأعصاب أو الأوعية الدموية الرقمية (يتطلب جراحة مجهرية). |

التشخيص الدقيق: خطوة الأساس نحو الشفاء التام
يؤمن الأستاذ الدكتور محمد هطيف بأن التشخيص السريري الدقيق هو حجر الزاوية في نجاح أي علاج. تبدأ رحلة التشخيص في عيادته في صنعاء بـ:
- الفحص السريري الشامل: يتم فحص اليد بالكامل. يقوم الدكتور بتقييم الجلد، الدورة الدموية، والإحساس. الأهم من ذلك، يتم فحص حركة الأصابع وتناسقها لاكتشاف أي تشوه دوراني خفي لا يظهر بوضوح في الأشعة العادية.
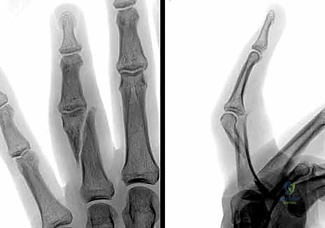
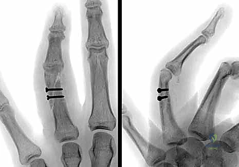
- التصوير بالأشعة السينية (X-rays): هو المعيار الذهبي لتشخيص كسور السلاميات. يطلب الدكتور هطيف دائماً ثلاث وضعيات أساسية:
- الأمامية الخلفية (AP View).
- الجانبية الحقيقية (True Lateral View): وهي الأهم لتقييم مقدار الانزياح الزاوي.
- المائلة (Oblique View): تساعد في رؤية الكسور الشعرية الدقيقة أو الكسور المفصلية الخفية.
- التصوير المقطعي المحوسب (CT Scan): في حالات الكسور المفتتة جداً أو المعقدة، قد يُطلب إجراء فحص مقطعي للحصول على صورة ثلاثية الأبعاد تساعد في التخطيط الجراحي الدقيق.


الخيارات العلاجية مع الأستاذ الدكتور محمد هطيف: الأمانة الطبية أولاً
تتميز فلسفة الأستاذ الدكتور محمد هطيف بالأمانة الطبية المطلقة. فهو لا يلجأ إلى الجراحة إلا إذا كانت هي الخيار الوحيد والأمثل لضمان استعادة وظيفة اليد. يتم اختيار خطة العلاج بناءً على عدة عوامل: نوع الكسر، موقعه، مدى الانزياح، مهنة المريض، وعمره.
أولاً: العلاج التحفظي (غير الجراحي)
يُستخدم العلاج التحفظي للكسور المستقرة، غير المنزاحة، والتي لا تعاني من أي تشوه دوراني.
- التثبيت بجبيرة (Splinting): يتم تثبيت الإصبع أو اليد في وضعية تُعرف بـ "الوضعية الآمنة" (Safe Position أو James Position). في هذه الوضعية، يتم ثني المفاصل السنعية السلامية (MCP) بزاوية 70-90 درجة، وتُترك المفاصل بين السلامية (PIP و DIP) في وضعية المد الكامل (0 درجة). هذا الوضع يحافظ على طول الأربطة الجانبية ويمنع تيبس المفاصل.
- التثبيت بالشريط اللاصق (Buddy Taping): في الكسور البسيطة جداً، يتم ربط الإصبع المصاب بالإصبع السليم المجاور له. يعمل الإصبع السليم كجبيرة ديناميكية طبيعية تسمح بالحركة المبكرة وتمنع التيبس.
- المتابعة الدورية: يتطلب العلاج التحفظي إجراء أشعة سينية أسبوعية خلال الأسابيع الثلاثة الأولى للتأكد من عدم انزياح الكسر من مكانه.

ثانياً: العلاج الجراحي (متى يكون المشرط هو الحل؟)
يقرر الأستاذ الدكتور محمد هطيف التدخل الجراحي في الحالات التالية:
1. الكسور المنزاحة التي لا يمكن ردها (إعادتها لمكانها) يدوياً.
2. الكسور غير المستقرة التي تنزلق مجدداً بعد وضع الجبيرة.
3. وجود تشوه دوراني (Malrotation) يؤثر على حركة الأصابع.
4. الكسور المفتوحة (التي تتطلب تنظيفاً جراحياً فورياً لمنع التلوث).
5. الكسور المتعددة في اليد الواحدة.

تقنيات التثبيت الجراحي الحديثة المتبعة في عيادة الدكتور هطيف
بفضل تخصصه الدقيق في جراحة العظام واليد، يستخدم الدكتور هطيف مجموعة واسعة من التقنيات الجراحية الحديثة، ويختار الأنسب لكل حالة:
1. الرد المغلق والتثبيت بأسلاك كيرشنر (CRPP - Closed Reduction and Percutaneous Pinning):
تُعد هذه الطريقة الأقل توغلاً. يقوم الدكتور هطيف برد الكسر يدوياً تحت توجيه جهاز الأشعة السينية المباشر (C-arm) في غرفة العمليات، ثم يقوم بإدخال أسلاك معدنية دقيقة (K-wires) عبر الجلد لتثبيت العظم.
* المزايا: لا تتطلب شقاً جراحياً كبيراً، تحافظ على الإمداد الدموي للعظم، وتقلل من خطر التصاقات الأوتار.
* العيوب: تتطلب إبقاء جزء من السلك خارج الجلد (عادةً)، مما يستلزم إزالتها في العيادة بعد 4-6 أسابيع.


2. الرد المفتوح والتثبيت الداخلي (ORIF - Open Reduction and Internal Fixation):
في الكسور المفتتة أو المعقدة، يقوم الدكتور هطيف بعمل شق جراحي دقيق (غالباً من الجانب لتجنب الأوتار الظهرية) لكشف الكسر وإعادة ترتيب الشظايا العظمية بدقة متناهية، ثم تثبيتها باستخدام:
* البراغي الساحبة (Lag Screws): تُستخدم في الكسور المائلة الطويلة أو الحلزونية لتوفير ضغط قوي بين حواف الكسر.
* الصفائح والبراغي الدقيقة (Mini-plates and Screws): تُستخدم في الكسور العرضية أو المفتتة لتوفير تثبيت صلب وقوي يسمح بحركة الإصبع في اليوم التالي للعملية.


3. التثبيت داخل النقي (Intramedullary Fixation):
تُستخدم هذه التقنية الحديثة لبعض الكسور العرضية في السلاميات، حيث يتم إدخال سلك أو مسمار دقيق داخل التجويف العظمي (النقي). توفر هذه الطريقة ثباتاً جيداً دون التأثير على الأنسجة الرخوة المحيطة بالعظم.


جدول (2): مقارنة بين تقنيات التثبيت الجراحي لكسور السلاميات
| التقنية الجراحية | المميزات | العيوب والمخاطر المحتملة | متى يُفضل استخدامها؟ |
|---|---|---|---|
| أسلاك كيرشنر (K-wires) | أقل توغلاً، تحافظ على التروية الدموية، سريعة الإجراء، تكلفة أقل. | تحتاج إزالة لاحقاً، خطر التهاب مسار السلك، لا تسمح بحركة مبكرة جداً. | الكسور البسيطة، كسور الأطفال، الكسور التي يسهل رد |












كسور العظام المعقدة وإصابات الحوادث ليس قدراً محتوماً! التشخيص الدقيق والعلاج المتخصص يمكن أن يعيد لك كامل وظيفتك وحريتك في الحركة. لا تدع الألم يسيطر على حياتك.
للحصول على استشارة دقيقة وخطة علاجية مخصصة لحالتك، تواصل فوراً مع مركز الأستاذ الدكتور محمد هطيف:
الأستاذ الدكتور محمد هطيف - أفضل دكتور عظام في صنعاء، وخبير في جراحات الكسور المعقدة وإنقاذ الأطراف.. نلتزم بإعادتك لحياة خالية من الألم وعظام قوية وملتئمة.
مواضيع أخرى قد تهمك