English
جزء من الدليل الشامل

كسور الهضبة الظنبوبية: دليل شامل للتشخيص والعلاج والتعافي مع الأستاذ الدكتور محمد هطيف في صنعاء

الدليل الشامل لعلاج كسور هضبة التيبيا وعمليات مفصل الركبة

13 إبريل 2026 9 دقيقة قراءة 1 مشاهدة
الدليل الشامل لعلاج كسور هضبة التيبيا وعمليات مفصل الركبة

الخلاصة الطبية

كسور هضبة التيبيا هي إصابات في الجزء العلوي من عظمة الساق داخل مفصل الركبة. تتطلب هذه الكسور تقييما دقيقا وتدخلا جراحيا غالبا لإعادة بناء سطح المفصل وتثبيته بالشرائح والمسامير، مما يمنع الخشونة المبكرة ويضمن استعادة الحركة الطبيعية للمريض بعد فترة تأهيل مدروسة.

الخلاصة الطبية السريعة: كسور هضبة التيبيا هي إصابات في الجزء العلوي من عظمة الساق داخل مفصل الركبة. تتطلب هذه الكسور تقييما دقيقا وتدخلا جراحيا غالبا لإعادة بناء سطح المفصل وتثبيته بالشرائح والمسامير، مما يمنع الخشونة المبكرة ويضمن استعادة الحركة الطبيعية للمريض بعد فترة تأهيل مدروسة.

مقدمة عن كسور هضبة التيبيا

تعتبر كسور هضبة التيبيا والتي تُعرف طبيا باسم كسور الجزء القريب من عظمة الساق من الإصابات المعقدة التي تصيب مفصل الركبة. تمثل هذه الإصابات مجموعة متنوعة من الكسور التي تتراوح بين انخسافات بسيطة في العظم ناتجة عن هشاشة العظام لدى كبار السن، إلى كسور وخلع مدمرة ناتجة عن حوادث عالية الطاقة.

نظرا لأن الجزء العلوي من عظمة الساق يمثل المحور الأساسي لتحمل وزن الجسم أثناء الوقوف والمشي، فإن أي خلل في استواء سطح المفصل أو استقرار الأربطة المحيطة به يمكن أن يؤدي إلى تدهور سريع في المفصل، وظهور خشونة الركبة المبكرة، وفقدان كبير في القدرة على الحركة. نحن ندرك تماما حجم القلق الذي يصاحب هذه الإصابة، ولذلك صممنا هذا الدليل الطبي الشامل لنضع بين يديك كل ما تحتاج لمعرفته حول حالتك، بدءا من الفهم الدقيق لطبيعة الكسر وحتى خطوات الشفاء التام.

رسم توضيحي لآلية حدوث كسر هضبة التيبيا

التشريح وأهمية مفصل الركبة

لفهم طبيعة كسور هضبة التيبيا، يجب أولا إلقاء نظرة مبسطة على تشريح مفصل الركبة. يتكون المفصل من التقاء عظمة الفخذ من الأعلى مع عظمة الساق من الأسفل. الجزء العلوي من عظمة الساق يكون مسطحا ويشبه الهضبة، ولذلك يسمى بهضبة التيبيا.

تنقسم هذه الهضبة إلى جزأين رئيسيين:
* الهضبة الجانبية الخارجية وتتميز بأنها محدبة وأقل كثافة عظمية، مما يجعلها أكثر عرضة للكسر.
* الهضبة الأنسية الداخلية وتتميز بأنها مقعرة وأكثر صلابة، وتتحمل الجزء الأكبر من وزن الجسم.

يغطي سطح هذه الهضبة غضاريف ملساء لتسهيل الحركة، وتستقر فوقها الغضاريف الهلالية التي تعمل كوسائد لامتصاص الصدمات. كما تدعم الركبة شبكة معقدة من الأربطة مثل الرباط الصليبي والأربطة الجانبية لضمان استقرار المفصل.

الأسباب وعوامل الخطر

تتحدد طبيعة وشكل الكسر بناء على اتجاه القوة المؤثرة على الركبة، ودرجة انثناء الركبة وقت الإصابة، وجودة وكثافة العظام لدى المريض. يمكن تقسيم أسباب هذه الكسور إلى فئتين رئيسيتين:

الإصابات عالية الطاقة

تحدث هذه الإصابات غالبا في الفئات العمرية الشابة والمتوسطة نتيجة التعرض لقوة عنيفة ومفاجئة. من أبرز أمثلتها حوادث السيارات، وحوادث الدراجات النارية، والسقوط من ارتفاعات شاهقة، أو تعرض المشاة للاصطدام المباشر. غالبا ما تصاحب هذه الكسور مضاعفات شديدة مثل تضرر الأوعية الدموية، وإصابات الأعصاب، وتهتك الأنسجة الرخوة المحيطة بالركبة.

الإصابات منخفضة الطاقة

تنتشر هذه الإصابات بين كبار السن، وتحديدا أولئك الذين يعانون من هشاشة العظام. في هذه الحالات، يمكن لسقطة بسيطة على الأرض أن تؤدي إلى كسر انخسافي في هضبة التيبيا، حيث يغوص العظم الهش للداخل دون الحاجة إلى قوة عنيفة.

الأعراض والمضاعفات المحتملة

عند التعرض لكسر في هضبة التيبيا، تظهر مجموعة من الأعراض الفورية التي تستدعي تدخلا طبيا عاجلا. من أهم هذه الأعراض ألم حاد ومبرح في مفصل الركبة، وتورم سريع وكبير نتيجة النزيف الداخلي في المفصل، وعدم القدرة المطلقة على تحمل الوزن أو الوقوف على الساق المصابة.

الأنسجة الرخوة وإصابات الركبة المعقدة

أحدثت الدراسات الطبية ثورة في فهم هذه الإصابات عندما أكدت على ضرورة التفرقة بين الكسور العظمية النقية، وبين الكسور التي يصاحبها خلع أو تضرر في الأنسجة المحيطة. في حالات صدمات الركبة المعقدة، وجد الأطباء ما يلي:
* تمزق الغضروف الهلالي يحدث في نسبة كبيرة من الكسور.
* إصابات الرباط الصليبي والأربطة الجانبية ترتفع بشكل كبير في حالات الكسور المصحوبة بخلع.
* إصابات العصب الشظوي الذي يتحكم في حركة القدم تكون شائعة في الإصابات العنيفة.

هناك تحذير جراحي بالغ الأهمية يتمثل في أن الكسور المعقدة تحمل خطرا بنسبة تصل إلى ربع الحالات للإصابة بتضرر الأوعية الدموية أو ما يسمى بمتلازمة الحيز، وهي حالة طارئة ترتفع فيها مستويات الضغط داخل عضلات الساق مما يهدد بقطع الدم عن الأطراف، وتتطلب فحصا عصبيا ووعائيا متكررا ودقيقا.

التشخيص والتقييم الطبي

التشخيص الدقيق وتحديد شكل الكسر هو حجر الأساس في التخطيط الناجح للعملية الجراحية. تبدأ الخطوات بصور الأشعة السينية التقليدية لتقييم الوضع المبدئي، ولكنها نادرا ما تكون كافية.

يُعد التصوير المقطعي المحوسب المعيار الذهبي في تشخيص كسور هضبة التيبيا. يوفر هذا الفحص صورا ثلاثية الأبعاد تسمح للجراح برؤية مقدار الانخساف العظمي، وتحديد أماكن الشظايا بدقة متناهية، ورسم خطة للنهج الجراحي الأمثل. كما يمكن الاستعانة بالتصوير بالرنين المغناطيسي لتقييم حالة الأربطة والغضاريف الهلالية التي لا تظهر بوضوح في الأشعة المقطعية.

أنواع وتصنيفات كسور هضبة التيبيا

لتوحيد لغة التخاطب الطبي وتحديد خطة العلاج المثلى، يعتمد جراحو العظام على أنظمة تصنيف عالمية. من أشهر هذه الأنظمة تصنيف هول ومور وتصنيف شاتزكر.

تصنيف هول ومور للكسور المفصلية

يقسم هذا النظام الكسور إلى أنماط أساسية وأخرى مصحوبة بخلع.

تصنيف هول ومور لكسور هضبة التيبيا

تشمل الأنماط الأساسية الكسور ذات الإزاحة البسيطة التي قد تعالج تحفظيا، والكسور الانخسافية الموضعية، والكسور التي تتضمن انقساما وانخسافا في نفس الوقت، وصولا إلى الكسور التي تشمل كلا الجانبين من الهضبة.

تصنيف شاتزكر العالمي

يُعد تصنيف شاتزكر النظام الأكثر استخداما عالميا، حيث يوجه الجراح نحو تقنية التثبيت المناسبة والتنبؤ بمستقبل المفصل.

تصنيف شاتزكر لكسور هضبة التيبيا

  • النوع الأول الانقسام النقي يحدث غالبا عند الشباب ذوي العظام القوية، حيث ينفصل جزء وتدي الشكل من الهضبة الخارجية.
  • النوع الثاني الانقسام مع الانخساف ينفصل جزء وتدي مع غوص سطح المفصل للداخل. شائع عند كبار السن ويتطلب رفع السطح المفصلي وتثبيته بشريحة.
  • النوع الثالث الانخساف المركزي النقي يحدث في العظام الهشة، ويتطلب رفع العظم المنخسف ووضع طعم عظمي لدعمه.
  • النوع الرابع كسر الهضبة الداخلية إصابة عالية الطاقة تتطلب تثبيتا قويا بشريحة داخلية، ويجب دائما استبعاد وجود خلع كامل في الركبة.
  • النوع الخامس الكسر ثنائي اللقمة يشمل كلا الجانبين من الهضبة ويتطلب تثبيتا مزدوجا من الجانبين.
  • النوع السادس انفصال المفصل عن الساق كسر عرضي يفصل سطح المفصل بالكامل عن باقي عظمة الساق، وهو غير مستقر للغاية ويتطلب تثبيتا معقدا.

أنماط الكسور المصحوبة بخلع

تحمل هذه الأنماط خطورة أعلى بكثير وتترافق مع تمزقات الغضاريف والأربطة.

أنواع كسور وخلع هضبة التيبيا
تفاصيل إضافية لكسور هضبة الساق
تأثير الكسور على أربطة الركبة

تشمل هذه الأنماط الانقسامات التاجية، وكسور اللقمة الكاملة، وانفصال الحواف، والكسور الرباعية الأجزاء المدمرة التي تفقد الركبة استقرارها بالكامل.

العلاج والخيارات الجراحية

الهدف الأساسي من علاج كسور هضبة التيبيا هو استعادة سطح مفصلي أملس ومستوٍ، وضمان استقرار المفصل، والسماح بالحركة المبكرة لمنع تيبس الركبة.

التقييم المبدئي والتحكم في الأضرار

في الإصابات عالية الطاقة التي يصاحبها تورم شديد أو فقاعات جلدية، فإن إجراء جراحة مفتوحة فورية يحمل خطرا كبيرا لحدوث تلوث وعدم التئام الجروح. لذلك، يطبق الأطباء مبدأ جراحة التحكم في الأضرار.

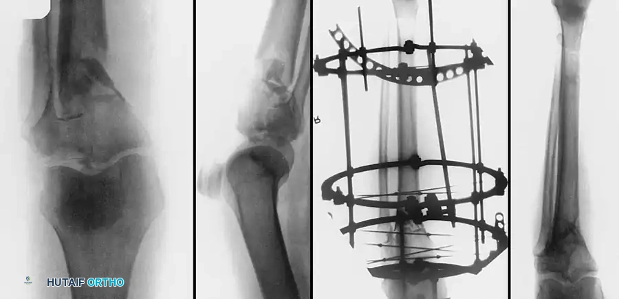
استخدام المثبت الخارجي المؤقت للركبة

يتم تركيب مثبت خارجي يمتد عبر الركبة كإجراء مؤقت. يعمل هذا المثبت على إعادة طول الساق واستقامتها، ويسمح للأنسجة الرخوة والجلد بالتعافي لمدة تتراوح بين أسبوعين إلى ثلاثة أسابيع قبل إجراء الجراحة النهائية.

المداخل الجراحية

يتم اختيار الشق الجراحي بناء على موقع الكسر كما ظهر في الأشعة المقطعية.

النهج الجراحي للوصول إلى مفصل الركبة

المدخل الأمامي الجانبي يُستخدم لكسور الهضبة الخارجية، حيث يتم رفع الأنسجة بحذر للوصول إلى المفصل ورؤية الغضروف الهلالي وسطح العظم المكسور. أما المدخل الخلفي الداخلي فيُستخدم لكسور الهضبة الداخلية، ويتطلب وضعية خاصة للمريض للوصول الآمن للكسر بعيدا عن الأوعية الدموية.

خطوات العملية الجراحية بالتفصيل

أولا الرد المفصلي ورفع العظم

في حالات الكسور الانخسافية، يجب رفع السطح المفصلي ليعود لمستواه الطبيعي. يتم عمل نافذة صغيرة في العظم السليم أسفل الكسر، ويتم إدخال أداة خاصة لرفع الأجزاء المنخسفة برفق تحت الرؤية المباشرة واستخدام جهاز الأشعة داخل غرفة العمليات.

رفع سطح المفصل المكسور أثناء الجراحة

ثانيا الترقيع العظمي وسد الفجوات

عملية رفع العظم تترك فجوة كبيرة تحته. إذا تُركت هذه الفجوة فارغة، فإن العظم سينخسف مجددا بمجرد المشي عليه. لذلك، يتم ملء هذه الفجوة باستخدام طعم عظمي يؤخذ من حوض المريض، أو طعم عظمي صناعي، أو أسمنت فوسفات الكالسيوم الذي يوفر دعما هيكليا فوريا وقويا.

ثالثا استراتيجيات التثبيت الداخلي

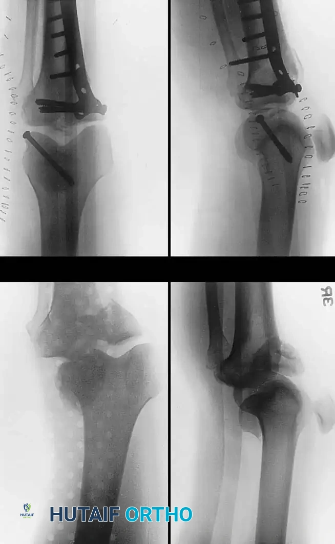
بعد إعادة بناء سطح المفصل، يتم تثبيته بشكل نهائي باستخدام مسامير وشرائح معدنية مصممة خصيصا لتلائم شكل عظمة الساق العلوية.

تثبيت الكسر باستخدام الشرائح والمسامير

في الكسور المعقدة التي تشمل جانبي الركبة، غالبا ما يتطلب الأمر استخدام شريحتين معدنيتين لضمان عدم انهيار العظم تحت تأثير وزن الجسم.

استخدام شريحتين لتثبيت الكسور المعقدة

يقوم الجراح باستخدام جهاز الأشعة التداخلية للتأكد من استعادة المحور الميكانيكي للساق، والتأكد من عدم اختراق أي مسامير لسطح المفصل.

التصوير الإشعاعي أثناء الجراحة للتأكد من التثبيت

التعافي وبرنامج التأهيل ما بعد الجراحة

الهدف النهائي من العلاج هو الحصول على ركبة مستقرة، خالية من الألم، وقادرة على الحركة. يتطلب برنامج التعافي توازنا دقيقا بين تحريك الركبة مبكرا لمنع التيبس، وبين حماية الكسر حتى يلتئم تماما.

المرحلة الزمنية التوجيهات الطبية والتأهيلية
الأسابيع الأولى من 0 إلى 2 استخدام دعامة للركبة، المنع البات من تحميل الوزن على الساق المصابة، البدء الفوري في تحريك الركبة سلبيا لتغذية الغضاريف.
المرحلة المتوسطة من 2 إلى 6 إزالة الغرز الجراحية، زيادة مدى ثني الركبة تدريجيا، الاستمرار في منع تحميل الوزن، وإجراء أشعة لمتابعة التئام العظم.
المرحلة المتأخرة من 6 إلى 12 السماح بتحميل الوزن الجزئي التدريجي في حال ظهور علامات التئام في الأشعة، والتركيز على تقوية عضلات الفخذ الأمامية والخلفية.

متابعة التئام الكسر بالأشعة بعد الجراحة
مراحل متقدمة من التئام كسر هضبة التيبيا

تحذير هام للمرضى: يُعد التحميل المبكر للوزن قبل التئام العظم السبب الأول لفشل العملية وانهيار سطح المفصل، خاصة لدى مرضى هشاشة العظام. يجب الالتزام التام بتعليمات الطبيب وعدم المشي على الساق المصابة إلا بعد التصريح بذلك.

الأسئلة الشائعة

مدة الشفاء من كسر هضبة التيبيا

يستغرق التئام العظم بشكل أولي حوالي 6 إلى 12 أسبوعا، ولكن التعافي الكامل واستعادة قوة العضلات والقدرة على ممارسة الأنشطة الطبيعية والرياضية قد يستغرق من 6 أشهر إلى عام كامل، ويعتمد ذلك على شدة الكسر ومدى الالتزام بالعلاج الطبيعي.

موعد المشي بعد عملية كسر هضبة التيبيا

يُمنع المشي أو تحميل الوزن على الساق المصابة لمدة تتراوح بين 6 إلى 8 أسابيع بعد الجراحة. بعد هذه الفترة، وبناء على صور الأشعة التي تؤكد بدء التئام العظم، يسمح الطبيب بتحميل الوزن تدريجيا باستخدام العكازات حتى الوصول للمشي الطبيعي في الأسبوع الثاني عشر تقريبا.

أهمية العلاج الطبيعي بعد الجراحة

العلاج الطبيعي ليس خيارا تكميليا بل هو جزء أساسي من العلاج. يساعد التحريك المبكر على منع تكون الالتصاقات داخل المفصل وتيبس الركبة، كما تعمل تمارين التقوية على إعادة بناء العضلات المحيطة بالركبة والتي تضمر بسرعة نتيجة عدم الاستخدام.

إمكانية العلاج بدون تدخل جراحي

يمكن اللجوء للعلاج التحفظي بدون جراحة في حالات نادرة جدا، وتحديدا عندما يكون الكسر مستقرا تماما ولا يوجد أي انخساف أو إزاحة في سطح المفصل، مع التأكد من سلامة الأربطة. في هذه الحالة يستخدم المريض جبيرة أو دعامة مع عدم تحميل الوزن.

مضاعفات إهمال علاج الكسر

إذا لم يتم علاج الكسر بشكل صحيح وإعادة سطح المفصل لشكله المستوي، فإن الاحتكاك غير الطبيعي سيؤدي إلى تآكل الغضاريف بسرعة هائلة، مما ينتج عنه خشونة مبكرة وشديدة في الركبة، وألم مزمن، وتقوس في الساق، وصعوبة بالغة في المشي.

نسبة نجاح عملية تثبيت الكسر

تعتبر نسب النجاح عالية جدا وتتجاوز 85% في استعادة وظيفة الركبة بشكل ممتاز، خاصة إذا تم إجراء الجراحة بواسطة جراح عظام متخصص في الكسور المعقدة، والتزم المريض ببرنامج التأهيل بدقة.

تأثير الكسر على احتمالية الإصابة بخشونة الركبة

حتى مع أفضل التدخلات الجراحية، تظل هناك احتمالية أعلى للإصابة بخشونة الركبة مقارنة بالركبة السليمة، وذلك لأن الغضروف المفصلي قد تعرض لصدمة. لكن الجراحة الدقيقة تؤخر ظهور هذه الخشونة لسنوات طويلة وتقلل من شدتها.

الحاجة لإزالة الشرائح والمسامير مستقبلا

في معظم الحالات، لا حاجة لإزالة الشرائح والمسامير المعدنية وتبقى في الجسم مدى الحياة دون مشاكل. يُلجأ لإزالتها فقط إذا تسببت في تهيج للأنسجة المحيطة، أو ألم تحت الجلد، أو في حالة حدوث التهاب، وعادة لا يتم ذلك قبل مرور عام ونصف على الأقل من العملية.

كيفية التعامل مع الألم والتورم بعد العملية

من الطبيعي الشعور بالألم والتورم في الأسابيع الأولى. يتم السيطرة على ذلك من خلال رفع الساق المصابة أعلى من مستوى القلب، واستخدام الكمادات الباردة بانتظام، وتناول الأدوية المسكنة ومضادات الالتهاب الموصوفة من قبل الطبيب المعالج.

تأثير هشاشة العظام على التئام الكسر

هشاشة العظام تجعل العظم أضعف وأكثر قابلية للانخساف، مما يزيد من التحدي الجراحي. يتطلب ذلك استخدام تقنيات تثبيت خاصة مثل الشرائح ذاتية الغلق (Locking plates) واستخدام كميات أكبر من الطعوم العظمية. كما قد يصف الطبيب أدوية لعلاج الهشاشة لتسريع الالتئام.

مواضيع أخرى قد تهمك

Dr. Mohammed Hutaif
محتوى موثق طبياً بإشراف
أ.د. محمد هطيف
استشاري جراحة العظام والمفاصل والعمود الفقري
محتويات الفصل

العودة للدليل الرئيسي