English
جزء من الدليل الشامل

كسور الكاحل، إصابات ليزفرانك، والقدم السكرية: دليل شامل لصحة القدم والكاحل مع الأستاذ الدكتور محمد هطيف

الدليل الشامل لعلاج قدم شاركو والخيارات الجراحية وغير الجراحية

13 إبريل 2026 11 دقيقة قراءة 0 مشاهدة
الدليل الشامل لعلاج قدم شاركو والخيارات الجراحية وغير الجراحية

الخلاصة الطبية

يعتمد علاج قدم شاركو على تقليل الضغط وتثبيت القدم باستخدام الجبيرة ذات التماس الكامل لعدة أشهر. في الحالات المتقدمة التي تعاني من تشوهات شديدة أو تقرحات، يتم اللجوء إلى التدخل الجراحي مثل استئصال العظام البارزة أو دمج المفاصل لضمان استقرار القدم وتجنب البتر.

الخلاصة الطبية السريعة: يعتمد علاج قدم شاركو على تقليل الضغط وتثبيت القدم باستخدام الجبيرة ذات التماس الكامل لعدة أشهر. في الحالات المتقدمة التي تعاني من تشوهات شديدة أو تقرحات، يتم اللجوء إلى التدخل الجراحي مثل استئصال العظام البارزة أو دمج المفاصل لضمان استقرار القدم وتجنب البتر.

مقدمة عن اعتلال مفصل شاركو

يعد اعتلال مفصل شاركو، المعروف طبياً باسم قدم شاركو، واحداً من أكثر المضاعفات تعقيداً التي تصيب القدم والكاحل، وغالباً ما يرتبط بالاعتلال العصبي المحيطي، خاصة لدى مرضى السكري. يؤدي هذا المرض إلى ضعف تدريجي في العظام والمفاصل والأنسجة الرخوة في القدم، مما قد يسفر عن كسور دقيقة، وخلع في المفاصل، وتشوهات شديدة في بنية القدم إذا لم يتم التدخل الطبي في الوقت المناسب.

نحن ندرك تماماً حجم القلق الذي قد يصاحب تشخيصك أو تشخيص أحد أحبائك بهذا المرض. الهدف من هذا الدليل الطبي الشامل هو تزويدك بمعلومات دقيقة، موثوقة، ومبنية على أحدث المراجع الطبية في جراحة العظام، لتكون على دراية تامة بكافة الخيارات العلاجية المتاحة، سواء كانت تحفظية أو جراحية. إن الفهم العميق لطبيعة المرض وخطة العلاج هو الخطوة الأولى والأهم نحو التعافي وتجنب المضاعفات الخطيرة مثل التقرحات أو الحاجة إلى البتر.

التشريح وبنية القدم والكاحل

لفهم كيفية تأثير اعتلال مفصل شاركو على القدم، من الضروري إلقاء نظرة مبسطة على التشريح المعقد لهذه المنطقة. تتكون القدم من شبكة متداخلة من العظام، والمفاصل، والأربطة التي تعمل معاً لتوزيع وزن الجسم وتوفير الحركة المتوازنة.

تنقسم القدم تشريحياً إلى ثلاثة أجزاء رئيسية:
* القسم الخلفي: يشمل عظم العقب وعظم الكاحل، وهو المسؤول عن تحمل الجزء الأكبر من وزن الجسم عند الوقوف.
* القسم الأوسط: يتكون من مجموعة من العظام الصغيرة التي تشكل قوس القدم، وترتبط معاً بمفاصل دقيقة مثل مفاصل ليزفرانك.
* القسم الأمامي: يضم عظام المشط والسلاميات التي تشكل أصابع القدم.

في حالة قدم شاركو، غالباً ما يكون القسم الأوسط من القدم هو الأكثر عرضة للانهيار، مما يؤدي إلى تسطح قوس القدم وبروز العظام نحو الأسفل، وهو ما يعرف بتشوه الكرسي الهزاز. هذا التغير في البنية التشريحية يغير من نقاط ارتكاز الوزن الطبيعية، مما يضع ضغطاً هائلاً على مناطق غير مهيأة لذلك، ويؤدي في النهاية إلى ظهور التقرحات الجلدية.

الأسباب وعوامل الخطر

السبب الجذري لاعتلال مفصل شاركو هو فقدان الإحساس الواقي في القدم نتيجة للاعتلال العصبي. عندما يفقد المريض القدرة على الشعور بالألم أو التغيرات في درجات الحرارة، فإنه يستمر في المشي على قدم تعرضت لإصابات طفيفة أو التواءات دون أن يدرك ذلك.

إلى جانب فقدان الإحساس، هناك تغيرات في الدورة الدموية تصاحب الاعتلال العصبي، حيث يزداد تدفق الدم إلى القدم، مما يؤدي إلى غسل الكالسيوم من العظام وجعلها هشة وضعيفة (هشاشة العظام الموضعية). هذا المزيج من العظام الضعيفة والاستمرار في تحميل الوزن دون الشعور بالألم يؤدي إلى سلسلة من الكسور والانهيارات المفصلية.

الأعراض والعلامات السريرية

تبدأ أعراض قدم شاركو عادة بشكل مفاجئ وقد تتشابه مع حالات طبية أخرى مثل العدوى أو الجلطات، مما يجعل التشخيص الدقيق أمراً بالغ الأهمية. تشمل العلامات والأعراض الشائعة ما يلي:

  • تورم شديد وملحوظ في القدم والكاحل.
  • احمرار وسخونة في القدم المصابة مقارنة بالقدم السليمة.
  • تغير في شكل القدم وظهور تشوهات ملحوظة، مثل هبوط قوس القدم.
  • في بعض الحالات، قد لا يشعر المريض بأي ألم يذكر بسبب التلف العصبي، بينما قد يشعر آخرون بألم خفيف إلى متوسط.

التشخيص والتقييم الطبي

يعتمد الأطباء في تشخيص اعتلال مفصل شاركو على الفحص السريري الدقيق والتاريخ الطبي للمريض، بالإضافة إلى استخدام تقنيات التصوير الطبي المتقدمة لتقييم مدى تضرر العظام والمفاصل.

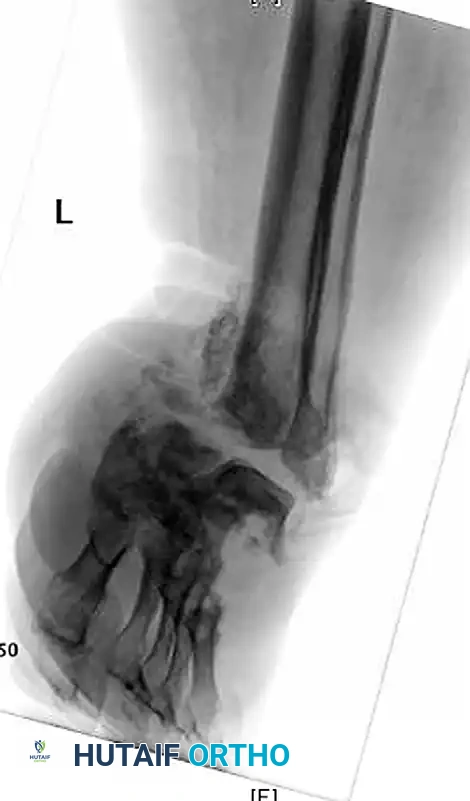
صورة شعاعية توضح انهيار مفاصل ليزفرانك وتشوه القدم

تعتبر الأشعة السينية الأداة الأساسية لتقييم حالة العظام. في المراحل المبكرة، قد تبدو الأشعة السينية طبيعية، ولكن مع تقدم المرض، تظهر علامات تفتت العظام، وخلع المفاصل، وتكون عظام جديدة بشكل غير طبيعي.

توضيح لخلع المفاصل وتفتت العظام في قدم شاركو

صورة تظهر قصر وانحراف العظام في القدم المصابة

في الحالات التي يصعب فيها التمييز بين اعتلال مفصل شاركو والتهاب العظم والنقي (العدوى العظمية)، قد يطلب الطبيب إجراء فحوصات متقدمة مثل التصوير بالرنين المغناطيسي أو المسح الذري للعظام باستخدام التكنيتيوم والإنديوم، والتي تساعد بشكل كبير في تأكيد وجود العدوى من عدمه.

أشعة سينية أمامية وجانبية تظهر تدمير المفاصل الرصغية المشطية

صورة تظهر تشوه القدم والتغيرات العظمية الشديدة

مسح ذري للعظام يوضح نشاط المرض والاشتباه في التهاب العظم والنقي

صورة توضيحية لنتائج المسح الذري المتقدم للقدم

مزيد من التفاصيل الإشعاعية لتقييم حالة العظام

تصنيف أنواع الإصابات في مفصل شاركو

مخطط يوضح درجات وأنواع التشوهات في قدم شاركو

العلاج غير الجراحي لقدم شاركو

يعد العلاج التحفظي (غير الجراحي) هو حجر الأساس والخط الأول في التعامل مع اعتلال مفصل شاركو، خاصة إذا تم تشخيص الحالة في مراحلها المبكرة. الهدف الرئيسي من هذا العلاج هو إيقاف تقدم المرض، حماية العظام الضعيفة من المزيد من التكسر، ومنع حدوث التشوهات أو التقرحات.

الجبيرة ذات التماس الكامل

تعتبر الجبيرة ذات التماس الكامل المعيار الذهبي في العلاج غير الجراحي. تعمل هذه الجبيرة على توزيع وزن الجسم بالتساوي على كامل سطح القدم والساق، مما يقلل الضغط بشكل كبير عن المناطق الضعيفة أو البارزة.

في بداية العلاج، يجب تغيير الجبيرة أسبوعياً. هذا الإجراء ضروري لأن التورم في القدم يبدأ بالانخفاض تدريجياً مع العلاج، مما يجعل الجبيرة القديمة واسعة وغير محكمة. الجبيرة الفضفاضة قد تسبب احتكاكاً يؤدي إلى تقرحات جلدية خطيرة. قد تستمر فترة العلاج بالجبيرة لعدة أشهر، وتعتمد سرعة الاستجابة بشكل كبير على التزام المريض بتعليمات حماية القدم وتقليل تحميل الوزن.

مع انخفاض التورم وبدء استقرار العظام وتصلبها، يمكن للطبيب السماح بزيادة تدريجية في تحميل الوزن أثناء ارتداء الجبيرة.

الأحذية الطبية والأجهزة التقويمية

بعد الانتهاء من مرحلة الجبيرة والتأكد من استقرار العظام، لا يمكن للمريض العودة لارتداء الأحذية العادية. يجب حماية القدم بشكل دائم باستخدام أحذية طبية مخصصة وعميقة، مزودة بفرش طبي مصمم خصيصاً ليطابق شكل قدم المريض ويوزع الضغط بشكل آمن. في بعض الحالات، قد يتم استخدام دعامات بلاستيكية مخصصة لدعم الكاحل والقدم.

العلاج الدوائي

على الرغم من ندرة استخدامها في الممارسة السريرية الروتينية، إلا أن بعض الأدوية مثل البايفوسفونيت قد تساعد في تقليل معدل دوران العظام (عملية هدم وبناء العظام) في اعتلال مفصل شاركو، مما يساهم في تخفيف الألم. كما أظهر الكالسيتونين فعالية في تقليل دوران العظام، ولكن استخدام هذه العوامل الدوائية يبقى محدوداً ويخضع لتقييم الطبيب المعالج.

التدخل الجراحي لعلاج قدم شاركو

في حين أن العلاج التحفظي ينجح مع العديد من المرضى، إلا أن الجراحة تصبح ضرورية لحوالي خمسة وعشرين بالمائة من المصابين باعتلال مفصل شاركو. تعتبر الجراحة في هذه الحالات بمثابة جراحة لإنقاذ الطرف، حيث تهدف إلى تجنب الوصول إلى مرحلة البتر.

تتضمن أهداف العلاج الجراحي تصحيح التشوهات الشديدة، وتثبيت المفاصل لإنشاء قدم مستقرة يمكن ارتداء حذاء طبي أو دعامة لها، والتأكد من خلو القدم من أي عدوى أو تقرحات مزمنة.

متى تكون الجراحة ضرورية

يتم اللجوء إلى الخيار الجراحي في الحالات التالية:
* عدم الاستقرار الشديد في المفاصل والذي لا يمكن السيطرة عليه بالجبائر دون التسبب في تقرحات.
* وجود تشوه شديد يؤدي إلى تقرحات متكررة ومزمنة حتى بعد التئام العظام واستقرارها.
* حدوث عدوى عميقة أو التهاب في العظم.
* الخلع الحاد في المفاصل.

عادة ما يفضل الجراحون إجراء العملية خلال مرحلة الاندماج أو التصلب (المراحل المتأخرة من المرض)، حيث يكون تثبيت البراغي والشرائح المعدنية أسهل وأكثر متانة. إجراء الجراحة خلال مرحلة التفتت (المرحلة النشطة) يمثل تحدياً كبيراً بسبب هشاشة العظام الشديدة، ولكنه قد يكون ضرورياً في حالات العدوى الشديدة أو عدم الاستقرار المهدد للطرف. مع توفر تقنيات التثبيت الحديثة والأكثر قوة، أصبح النهج الجراحي الأكثر استباقية ممكناً.

قبل التفكير في أي تدخل جراحي، يجب إجراء تقييم طبي شامل للمريض، بما في ذلك استشارة طبيب جراحة الأوعية الدموية للتأكد من وجود تدفق دم كافٍ لضمان التئام الجروح بعد العملية.

أنواع العمليات الجراحية لقدم شاركو

تتعدد الخيارات الجراحية وتختلف بناءً على موقع الإصابة، ونوع التشوه، ووجود تقرحات أو عدوى. يختار الجراح الإجراء الأنسب لكل حالة على حدة.

استئصال العظام البارزة

يتم إجراء هذه العملية لإزالة النتوءات العظمية التي تضغط على الجلد من الداخل وتسبب التقرحات. القاعدة الأساسية في هذا الإجراء هي أنه يجب ألا يؤدي إلى مزيد من عدم الاستقرار في القدم.

يتم عمل الشقوق الجراحية بعيداً عن منطقة القرحة، ويجب أن تكون عميقة لتصل إلى العظم مباشرة لتجنب إتلاف الأنسجة الرخوة السطحية. يتم إزالة العظم البارز بحذر، مع إعادة ربط الأوتار المهمة إذا لزم الأمر. في كثير من الأحيان، يترافق هذا الإجراء مع عملية إطالة وتر أخيل لتقليل الضغط على مقدمة وأسفل القدم.

صورة توضح القرحة الأخمصية المزمنة في القدم العصبية

تخطيط الشق الجراحي لإزالة البروز العظمي الأخمصي

أشعة سينية تظهر البروز العظمي المسبب للقرحة

كشف الكتلة العظمية البارزة جراحياً

استئصال العظم البارز للتخفيف من الضغط

إغلاق الجرح الجراحي بغرز قوية لتجنب الفراغات

النتيجة بعد واحد وعشرين شهراً من إزالة العظم واستخدام الأحذية الواقية

دمج المفاصل

يعتبر إيثار المفصل أو دمجه خياراً رئيسياً لتصحيح التشوهات وتوفير الاستقرار. نظراً لهشاشة العظام في مرضى شاركو وضعف القدرة على الالتئام، يتطلب هذا الإجراء استخدام تقنيات تثبيت قوية جداً.

فترة التثبيت ما بعد الجراحة تكون أطول بكثير مقارنة بالمرضى العاديين، وغالباً ما يحتاج المريض إلى ارتداء دعامات لفترات طويلة بعد إزالة الجبيرة. من الجدير بالذكر أن هناك نسبة عالية لعدم التئام العظام بعد عمليات الدمج في مرضى شاركو، ولكن بسبب الاعتلال العصبي، غالباً ما يكون هذا التصلب الليفي غير مؤلم. إذا تم الحفاظ على استقرار القدم، فقد لا يتطلب عدم الالتئام هذا جراحة مراجعة. يمكن أن يكون استخدام أجهزة تحفيز نمو العظام مفيداً في هذه الحالات.

البتر

يتم اللجوء إلى البتر كملاذ أخير فقط في حالات العدوى الشديدة التي لا يمكن السيطرة عليها، أو عدم الاستقرار الشديد الذي يدمر وظيفة القدم تماماً، أو الفقدان الهائل للكتلة العظمية الذي يمنع أي محاولة لتثبيت العظام. كما هو الحال في جميع الإجراءات الجراحية، يجب إجراء تقييم طبي ووعائي دقيق قبل الجراحة لضمان التئام الطرف المتبقي.

حالة متقدمة من اعتلال مفصل شاركو مع عدوى شديدة وعدم استقرار

صورة أخرى توضح خطورة المضاعفات التي قد تؤدي للبتر

علاج شاركو حسب منطقة القدم

تختلف التقنيات الجراحية المستخدمة بناءً على الجزء المصاب من القدم، حيث تتطلب كل منطقة استراتيجية تثبيت محددة.

اعتلال مفصل الكاحل

في حالات إصابة الكاحل، غالباً ما يحدث عدم استقرار شديد يتطلب عملية دمج تشمل عظم الظنبوب (قصبة الساق)، وعظم الكاحل، وعظم العقب باستخدام مسمار نخاعي طويل يمر عبر هذه العظام لتوفير أقصى درجات الثبات. في بعض الأحيان، قد يكون من الضروري استئصال عظم الكاحل بالكامل لتصحيح التشوه قبل إجراء الدمج، رغم أن هذا الإجراء يحمل معدل مضاعفات أعلى.

في حالات وجود التهاب عظمي نقي (عدوى في العظم) في الكاحل، قد يحاول الجراح استخدام التثبيت الخارجي الهجين لتجنب البتر. يتم تنظيف الأنسجة المصابة بالعدوى، ثم تحضير المفاصل للدمج وتركيب المثبت الخارجي. يترافق ذلك مع إعطاء المضادات الحيوية عن طريق الوريد، ويمكن علاج الجروح المفتوحة باستخدام تقنية العلاج بالضغط السلبي (V.A.C) للمساعدة في التئام الجروح وتجنب الحاجة إلى ترقيع الأنسجة.

اعتلال القسم الأوسط والخلفي للقدم

يشمل العلاج الجراحي لهذه المناطق عمليات الدمج الثلاثي للقسم الخلفي، ودمج مفاصل القسم الأوسط. قد يتطلب الأمر استئصال أجزاء إسفينية من العظم لتصحيح الانحرافات، واستخدام الطعوم العظمية لملء الفراغات الناتجة عن التصحيح.

يتم استخدام براغي كبيرة (بقطر يتراوح بين ستة ونصف إلى سبعة فاصلة ثلاثة مليمتر) في القسم الخلفي من القدم. أما في القسم الأوسط، فقد يتطلب الأمر استخدام مزيج من الشرائح المعدنية والبراغي. وضع شريحة معدنية على السطح الأخمصي (السفلي) للعظام يستفيد من مبدأ شريط الشد، مما يوفر تثبيتاً أقوى بكثير.

يمكن أن يشمل التثبيت الداخلي للقسم الأوسط استخدام برغي العمود الداخلي، وهو برغي مجوف بقطر ثمانية مليمترات يتم إدخاله من الجزء الخلفي لعظم الكاحل وصولاً إلى عظم المشط الأول. يتم إجراء إطالة لوتر أخيل في جميع هذه الحالات تقريباً لمعالجة قصر الوتر الناتج عن التشوه.

بالنسبة للمرضى المعرضين لمخاطر عالية (مثل السمنة المفرطة، التشوهات العظمية الشديدة، القرحة المزمنة مع التهاب العظم، أو نقص المناعة)، يتم تقييم ما إذا كانت القدم قابلة للوضع بشكل مسطح على الأرض. إذا كانت كذلك، يمكن علاج المريض بجبيرة التماس الكامل لعدة أسابيع تليها أحذية طبية. أما إذا لم تكن القدم مستوية، يوصى بالعلاج الجراحي. للمرضى الذين لا تسمح حالتهم الصحية بإجراء جراحة تثبيت داخلي معقدة، يمكن استخدام مثبت خارجي بأسلاك رفيعة لمدة ثمانية أسابيع، يتبعها العلاج بالجبائر والأحذية. يمكن استخدام مركزات الصفائح الدموية وشفاط نخاع العظم لتعزيز فرص التئام العظام.

اعتلال القسم الأمامي للقدم

إذا لم ينجح العلاج بالجبائر في حالات إصابة مقدمة القدم، فقد يشمل العلاج الجراحي استئصال الحواف العظمية البارزة، أو رأب المفصل الاستئصالي، أو دمج المفاصل المصابة لضمان استقرار الأصابع ومقدمة القدم.

مرحلة التعافي وما بعد العلاج

رحلة التعافي من اعتلال مفصل شاركو تتطلب صبراً والتزاماً صارماً بالتعليمات الطبية. سواء خضع المريض لعلاج تحفظي أو جراحي، فإن الرعاية اللاحقة هي ما يحدد نجاح العلاج على المدى الطويل.

جدول يوضح الفروق بين مسارات التعافي:

وجه المقارنة العلاج غير الجراحي العلاج الجراحي
فترة عدم تحميل الوزن عدة أشهر باستخدام الجبيرة أطول نسبياً، تعتمد على نوع التثبيت
المتابعة الطبية أسبوعية لتغيير الجبيرة دورية لتقييم التئام الجروح والعظام
الأجهزة المساعدة أحذية طبية مخصصة مدى الحياة دعامات وأحذية طبية مخصصة
المخاطر المحتملة تطور التشوه إذا لم يتم الالتزام عدم التئام العظام، العدوى

بعد الانتهاء من علاج المرحلة الحادة، سواء بالجبيرة أو الجراحة، قد تحدث انتكاسات (Flare-ups)، وعادة ما تظهر هذه الانتكاسات عندما ينتقل المريض لاستخدام الأحذية الدائمة. يمكن السيطرة على هذه الانتكاسات غالباً من خلال العودة لفترة قصيرة لاستخدام الجبيرة ذات التماس الكامل.

يجب الحفاظ على يقظة مستمرة ومراقبة يومية للقدم لتجنب ظهور أي تقرحات جديدة. التشوهات المتبقية والبروزات العظمية تجعل الجلد المغطي لها دائماً في خطر التمزق والتقرح. لذلك، فإن الصيانة المستمرة والالتزام بارتداء الأجهزة التقويمية والأحذية الطبية المناسبة هو أمر إلزامي ولا غنى عنه للحفاظ على صحة القدم.

الأسئلة الشائعة

ما هو اعتلال مفصل شاركو بالتحديد

اعتلال مفصل شاركو هو حالة مرضية خطيرة تصيب العظام والمفاصل والأنسجة الرخوة في القدم والكاحل، وتحدث غالباً نتيجة لتلف الأعصاب (الاعتلال العصبي) الذي يفقد المريض الإحساس بالألم، مما يؤدي إلى تكسر العظام وتشوه القدم دون أن يشعر المريض.

أهمية الجبيرة ذات التماس الكامل في العلاج

الجبيرة ذات التماس الكامل هي العلاج الأساسي والأكثر فعالية في المراحل الأولى. تعمل على تقليل الضغط على القدم، وتوزيع وزن الجسم بالتساوي، وتثبيت العظام المكسورة لمنع زيادة التشوه والسماح لها بالالتئام بشكل صحيح.

المدة الزمنية المتوقعة للعلاج بالجبيرة

تختلف المدة من مريض لآخر بناءً على شدة الحالة وسرعة استجابة الجسم، ولكنها غالباً ما تستغرق عدة أشهر. الالتزام التام بتعليمات الطبيب وعدم الضغط على القدم يسرع من عملية الشفاء.

الحالات التي تستدعي التدخل الجراحي

نلجأ للجراحة في حوالي ربع الحالات، وتحديداً عندما يكون هناك تشوه شديد لا يمكن علاجه بالجبيرة، أو عند وجود تقرحات مزمنة لا تلتئم بسبب البروزات العظمية، أو في حالات عدم الاستقرار الشديد للمفاصل، أو عند حدوث عدوى عميقة في العظام.

الهدف من عملية استئصال العظام البارزة

الهدف الرئيسي هو إزالة النتوءات العظمية التي تضغط على الجلد من الداخل وتسبب التقرحات المزمنة. يتم ذلك بحذر شديد لضمان عدم التأثير على الاستقرار العام للقدم.

أسباب إجراء إطالة وتر أخيل مع الجراحة

غالباً ما يصاحب قدم شاركو قصر وشد في وتر أخيل، مما يزيد الضغط على مقدمة وأسفل القدم. إطالة الوتر جراحياً تخفف هذا الضغط وتساعد في منع تكرار التقرحات وتسهيل التئام القدم في وضعية صحيحة.

نسبة نجاح عمليات دمج المفاصل في قدم شاركو

عمليات الدمج معقدة بسبب هشاشة العظام وضعف الدورة الدموية. هناك نسبة ملحوظة لعدم التئام العظام بشكل كامل (عدم


آلام العظام والمفاصل المزمنة ليس قدراً محتوماً! التشخيص الدقيق والعلاج المتخصص يمكن أن يعيد لك كامل وظيفتك وحريتك في الحركة بدون ألم.

للحصول على استشارة طبية دقيقة وخطة علاجية مخصصة لحالتك، تواصل فوراً مع العيادة المتخصصة:

رعاية صحية موثوقة بمعايير عالمية.. خبرة طبية رائدة في جراحات العظام والمفاصل المتقدمة.

مواضيع أخرى قد تهمك

Dr. Mohammed Hutaif
محتوى موثق طبياً بإشراف
أ.د. محمد هطيف
استشاري جراحة العظام والمفاصل والعمود الفقري
محتويات الفصل