كسور الحق المعقدة لدى كبار السن: دليل شامل للتشخيص والعلاج مع الأستاذ الدكتور محمد هطيف

الخلاصة الطبية
كسور الحق المعقدة لدى كبار السن هي إصابات خطيرة تتطلب تدخلاً متخصصًا. يتضمن العلاج غالبًا جراحة استبدال مفصل الورك الكلي (THA) مع إعادة بناء الحق لضمان الشفاء السريع واستعادة القدرة على الحركة، خاصة في حالات هشاشة العظام. الأستاذ الدكتور محمد هطيف يقدم رعاية متكاملة لهذه الحالات.
الخلاصة الطبية السريعة: كسور الحق المعقدة لدى كبار السن هي إصابات خطيرة تتطلب تدخلاً متخصصًا. يتضمن العلاج غالبًا جراحة استبدال مفصل الورك الكلي (THA) مع إعادة بناء الحق لضمان الشفاء السريع واستعادة القدرة على الحركة، خاصة في حالات هشاشة العظام. الأستاذ الدكتور محمد هطيف يقدم رعاية متكاملة لهذه الحالات.
مقدمة: فهم كسور الحق المعقدة لدى كبار السن
تُعد كسور الحق (Acetabular Fractures) من الإصابات الخطيرة التي تصيب مفصل الورك، وهي الجزء الحُقي الذي يشكل التجويف في عظم الحوض والذي يستقبل رأس عظم الفخذ. على الرغم من أنها قد تحدث في أي عمر، إلا أن كسور الحق المعقدة لدى كبار السن تمثل تحديًا طبيًا خاصًا بسبب طبيعة العظام الهشة (هشاشة العظام) لديهم، والحالات الصحية المزمنة المتعددة التي يعانون منها، وتأثير هذه الكسور على جودة حياتهم واستقلاليتهم.
مع تزايد أعداد كبار السن في مجتمعاتنا، يزداد معدل حدوث هذه الكسور، والتي غالبًا ما تنتج عن سقطات بسيطة من مستوى الأرض في المنزل. يمكن أن تؤدي هذه الإصابات إلى ألم شديد، فقدان القدرة على الحركة، وتدهور سريع في الحالة الصحية العامة للمريض إذا لم يتم علاجها بشكل صحيح وسريع.
في هذا الدليل الشامل، سنتناول كل ما يتعلق بكسور الحق المعقدة لدى كبار السن، بدءًا من فهم التشريح الأساسي للمفصل، مرورًا بالأسباب والأعراض، وصولًا إلى أحدث طرق التشخيص والعلاج، وخطة التعافي وإعادة التأهيل. نهدف إلى تقديم معلومات وافية للمرضى وعائلاتهم لمساعدتهم على اتخاذ قرارات مستنيرة، مع تسليط الضوء على الخبرة المتميزة للأستاذ الدكتور محمد هطيف، استشاري جراحة العظام والعمود الفقري، الذي يُعد من الرواد في هذا المجال في صنعاء واليمن، ويقدم حلولاً مبتكرة لهذه الحالات المعقدة.
التشريح الأساسي لمفصل الورك
لفهم كسور الحق، من الضروري أن يكون لدينا فهم مبسط لتشريح مفصل الورك. يُعد مفصل الورك واحدًا من أكبر المفاصل في الجسم وأكثرها استقرارًا، وهو مفصل كروي حُقي يسمح بحركة واسعة النطاق في جميع الاتجاهات، مما يمكننا من المشي والجري والقفز.
يتكون مفصل الورك بشكل أساسي من جزأين رئيسيين:
1.
رأس عظم الفخذ (Femoral Head):
وهو الجزء الكروي العلوي من عظم الفخذ.
2.
الحق (Acetabulum):
وهو تجويف على شكل كوب يقع في عظم الحوض، ويستقبل رأس عظم الفخذ. يُشكّل هذا التجويف السطح المفصلي للحوض.
يتكون الحق نفسه من أجزاء مختلفة، تُقسم عادة إلى "أعمدة" و"جدران":
*
العمود الأمامي (Anterior Column):
يمتد من الشوكة الحرقفية الأمامية العلوية إلى العظم العاني.
*
العمود الخلفي (Posterior Column):
يمتد من الشوكة الإسكية إلى الجزء السفلي من عظم الإسك.
*
الجدار الأمامي (Anterior Wall):
يشكل الجزء الأمامي من الحق.
*
الجدار الخلفي (Posterior Wall):
يشكل الجزء الخلفي من الحق.
تتضمن كسور الحق المعقدة عادةً عدة أجزاء من هذه الأعمدة والجدران، وقد تؤثر بشكل كبير على السطح المفصلي الذي يتحمل الوزن، مما يجعله غير مستقر ويؤدي إلى ألم شديد وصعوبة في الحركة. إن فهم هذه الأجزاء يساعد الأستاذ الدكتور محمد هطيف في تحديد طبيعة الكسر ووضع خطة العلاج الأمثل.
الأسباب وعوامل الخطر لكسور الحق المعقدة
تحدث كسور الحق المعقدة لدى كبار السن عادة نتيجة لآليات إصابة منخفضة الطاقة، على عكس الشباب الذين قد تتطلب إصاباتهم حوادث عالية الطاقة (مثل حوادث السيارات). السبب الرئيسي لهذه الكسور في الفئة العمرية المتقدمة هو السقوط، خاصة السقوط من مستوى الأرض.
### الأسباب المباشرة
- السقوط من مستوى الأرض: غالبًا ما يتعثر كبار السن في السجاد، أو يفقدون توازنهم، أو يسقطون على جانبهم أو مباشرة على وركهم. هذا النوع من السقوط، والذي قد يبدو بسيطًا، يمكن أن يؤدي إلى كسور خطيرة في عظام هشة.
### عوامل الخطر الرئيسية
توجد عدة عوامل تزيد من احتمالية تعرض كبار السن لكسور الحق المعقدة:
- هشاشة العظام (Osteoporosis): هذا هو العامل الأهم. هشاشة العظام هي حالة مرضية تصبح فيها العظام ضعيفة وهشة، وأكثر عرضة للكسر حتى من إصابات طفيفة. المريضة في دراسة الحالة التي بين أيدينا كانت تعاني من هشاشة العظام التي تم تشخيصها قبل 5 سنوات وتتلقى علاجًا لها، مما يوضح مدى شيوع هذا العامل.
- التقدم في العمر: مع التقدم في السن، تتدهور كثافة العظام بشكل طبيعي، وتزداد احتمالية السقوط بسبب ضعف العضلات، ومشاكل التوازن، وتدهور البصر.
- السقوط المتكرر: التاريخ المرضي للسقوط السابق، حتى لو أدى إلى إصابات بسيطة (مثل التواء الرسغ)، يعد مؤشرًا قويًا على زيادة خطر السقوط المستقبلي وكسور أكثر خطورة.
-
الأمراض المزمنة:
- ارتفاع ضغط الدم (Hypertension): قد يؤدي إلى الدوخة والسقوط.
- داء السكري من النوع الثاني (Type 2 Diabetes Mellitus): يمكن أن يسبب اعتلال الأعصاب الطرفية الذي يؤثر على التوازن والإحساس في القدمين، ويزيد من خطر السقوط.
- الرجفان الأذيني (Atrial Fibrillation): قد يسبب خفقانًا أو دوخة تزيد من خطر السقوط. كما أن الأدوية المضادة للتخثر (مثل أبيكسابان) المستخدمة لعلاج الرجفان الأذيني تزيد من خطر النزيف أثناء الجراحة وبعدها، مما يتطلب تخطيطًا دقيقًا.
- الضعف الإدراكي الخفيف (Mild Cognitive Impairment): قد يؤثر على قدرة المريض على إدراك المخاطر، واتباع التعليمات، والتعاون في برامج إعادة التأهيل، مما يزيد من خطر السقوط والمضاعفات.
- الأدوية: بعض الأدوية، مثل المهدئات أو أدوية ضغط الدم، يمكن أن تسبب الدوخة أو انخفاض ضغط الدم، مما يزيد من خطر السقوط.
- ضعف البصر: مشاكل الرؤية تزيد من صعوبة التنقل وتجنب العوائق.
- البيئة المنزلية غير الآمنة: السجاد غير المثبت، الإضاءة الخافتة، وعدم وجود قضبان دعم في الحمامات يمكن أن تزيد من خطر السقوط.
إن فهم هذه العوامل يساعد الأستاذ الدكتور محمد هطيف وفريقه الطبي في تقييم المخاطر بشكل شامل ووضع خطة علاجية مخصصة لا تأخذ في الاعتبار الكسر نفسه فحسب، بل أيضًا صحة المريض العامة وظروفه المعيشية لضمان أفضل النتائج الممكنة.
أعراض كسور الحق المعقدة
تتسم كسور الحق المعقدة لدى كبار السن بأعراض واضحة وشديدة تتطلب اهتمامًا طبيًا فوريًا. غالبًا ما يصف المرضى وعائلاتهم هذه الأعراض بأنها مؤلمة للغاية ومقيدة للحركة بشكل كبير.
### الأعراض الشائعة بعد الإصابة مباشرة
- ألم شديد في الورك أو الفخذ: هذا هو العرض الأكثر شيوعًا وشدة. يكون الألم حادًا ومستمرًا، ويزداد سوءًا مع أي محاولة لتحريك الساق أو الورك.
- عدم القدرة على تحمل الوزن: لا يستطيع المريض الوقوف أو المشي على الساق المصابة على الإطلاق. أي محاولة لتحميل الوزن على الطرف المصاب تسبب ألمًا لا يطاق.
- تشوه في الطرف السفلي المصاب: قد تظهر الساق المصابة أقصر من الساق الأخرى، وقد تكون ملتفة إلى الخارج بشكل غير طبيعي. هذا التشوه يعتمد على نمط الكسر ومدى تشريد العظام.
- تورم وكدمات: قد يلاحظ تورم حول منطقة الورك والفخذ، وقد تظهر كدمات بعد ساعات أو أيام من الإصابة، نتيجة للنزيف الداخلي.
- صعوبة في تحريك الورك: حتى الحركات البسيطة للورك، سواء كانت إرادية أو بمساعدة، تكون مؤلمة للغاية ومحدودة بشكل كبير.
- ألم عند لمس مناطق معينة: يكون هناك ألم شديد عند لمس منطقة الورك، وخاصة فوق المدور الكبير (الجزء البارز من عظم الفخذ)، أو على طول عظم الحوض (الحرقفة والعانة).
- صوت طقطقة (Crepitus): في بعض الحالات، قد يشعر المريض أو الطبيب بصوت أو إحساس بالطقطقة عند محاولة تحريك الورك بلطف، مما يشير إلى احتكاك أجزاء العظم المكسورة ببعضها.
### الأعراض التي تتطلب تقييمًا عصبيًا وعائيًا فوريًا
على الرغم من أن هذه الأعراض أقل شيوعًا، إلا أنها مهمة للغاية ويجب تقييمها بشكل عاجل:
- تنميل أو ضعف في الساق أو القدم: قد يشير هذا إلى إصابة في الأعصاب، مثل العصب الوركي الذي يمر بالقرب من الجزء الخلفي للحق.
- برودة أو شحوب في القدم: قد يدل على ضعف في الدورة الدموية أو إصابة في الأوعية الدموية.
- عدم القدرة على تحريك القدم أو أصابعها (سقوط القدم): يشير إلى إصابة عصبية شديدة.
عند ظهور أي من هذه الأعراض بعد السقوط، من الضروري طلب العناية الطبية الفورية. يقدم الأستاذ الدكتور محمد هطيف في صنعاء تقييمًا شاملاً وسريعًا لمرضى كسور الحق، مما يضمن التشخيص الدقيق والعلاج الفوري لتجنب المضاعفات الخطيرة.
تشخيص كسور الحق المعقدة
يُعد التشخيص الدقيق والشامل حجر الزاوية في علاج كسور الحق المعقدة، خاصة لدى كبار السن. يتطلب ذلك مزيجًا من الفحص السريري الدقيق والتصوير التشخيصي المتقدم لتقييم مدى الكسر وتأثيره على المفصل والعظام المحيطة. يحرص الأستاذ الدكتور محمد هطيف على اتباع بروتوكولات تشخيصية صارمة لضمان فهم كامل لحالة المريض قبل اتخاذ أي قرار علاجي.
### الفحص السريري الدقيق
عند وصول المريض إلى قسم الطوارئ أو عيادة الأستاذ الدكتور محمد هطيف، يتم إجراء فحص سريري مفصل يشمل:
- تقييم التاريخ المرضي: يتم جمع معلومات حول كيفية حدوث الإصابة، التاريخ الطبي للمريض (مثل هشاشة العظام، السكري، أمراض القلب، الأدوية التي يتناولها)، وتاريخ السقوط السابق، ومستوى النشاط قبل الإصابة.
- المعاينة: يتم ملاحظة وضع الطرف المصاب، هل هو أقصر أو ملتف إلى الخارج؟ هل يوجد تورم أو كدمات؟
- الجس: يتم جس مناطق الورك والحوض لتحديد أماكن الألم الشديد والطقطقة (إن وجدت).
- تقييم مدى الحركة: يتم تقييم حركة الورك بحذر شديد، حيث تكون محدودة ومؤلمة للغاية.
- التقييم العصبي: يتم فحص وظيفة الأعصاب في الطرف السفلي (القوة الحسية والحركية، ردود الفعل) للتأكد من عدم وجود إصابة عصبية، خاصة العصب الوركي.
- التقييم الوعائي: يتم فحص النبضات في القدم والساق للتأكد من سلامة الدورة الدموية.
- تقييم الإصابات المصاحبة: يتم فحص الركبتين والكاحلين والعمود الفقري القطني والحوض بشكل عام لاستبعاد أي كسور أو إصابات أخرى.
### التصوير التشخيصي المتقدم
تُعد دراسات التصوير ضرورية لتأكيد الكسر وتحديد نمطه ومدى تعقيده:
-
الأشعة السينية (X-rays):
- صورة الحوض الأمامية الخلفية (AP Pelvis View): تُظهر الكسر بشكل عام، وتوضح أي تشريد لرأس الفخذ، ووجود هشاشة العظام.
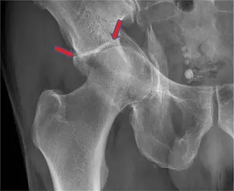
- الصور المائلة (Judet Views) - صور الحرقفة المائلة وصور السدادة المائلة: هذه الصور ضرورية لتقييم الأعمدة والجدران المختلفة للحق، وتساعد في تحديد نمط الكسر بشكل أكثر دقة. تُظهر هذه الصور مدى تفتت الكسر وتشريد القطع العظمية.
الشكل 1: صورة بالأشعة السينية المائلة (جوديت) للحق الأيسر تظهر نمط كسر معقد ومتفتت. -
التصوير المقطعي المحوسب (CT Scan):
- يُعد التصوير المقطعي المحوسب مع إعادة البناء ثلاثي الأبعاد (3D reconstructions) الأداة التشخيصية الأكثر أهمية لكسور الحق المعقدة.
- يوفر تفاصيل دقيقة لا يمكن رؤيتها بالأشعة السينية، مثل مدى تفتت الكسر، وجود قطع عظمية داخل المفصل، ومدى إصابة الصفيحة الرباعية (Quadrilateral Plate) والجدار الإنسي.
- يساعد الأستاذ الدكتور محمد هطيف في فهم النمط المعقد للكسر وتخطيط الجراحة بدقة متناهية، بما في ذلك تحديد أفضل طريقة للوصول الجراحي وتحديد أحجام الغرسات.
-
التصوير بالرنين المغناطيسي (MRI):
- لا يُعد ضروريًا للتشخيص الأولي للكسر، حيث يوفر التصوير المقطعي المحوسب تفاصيل كافية.
- قد يُطلب في حالات خاصة، مثل الاشتباه بكسر خفي في عنق الفخذ لم يظهر في التصوير المقطعي، أو لتقييم إصابات الأنسجة الرخوة الشديدة.
### التخطيط الجراحي المسبق (Pre-operative Templating)
بناءً على بيانات التصوير المقطعي المحوسب، يقوم الأستاذ الدكتور محمد هطيف بإجراء تخطيط جراحي مسبق دقيق. يتضمن ذلك:
* تقييم حجم وشكل الحق لتحديد نوع الغرسات المناسبة (مثل حلقات إعادة البناء أو مكونات استبدال مفصل الورك الكلي).
* تخطيط مسارات الصفائح والمسامير المحتملة.
* تحديد مدى فقدان العظام والحاجة المحتملة لترقيع العظام أو دعامات خاصة (مثل الأقفاص المضادة للبروز).
* تحديد أفضل طريقة للوصول الجراحي بناءً على خطوط الكسر وتشريدها.
### الفحوصات المخبرية الأخرى
قبل الجراحة، يتم إجراء فحوصات دم روتينية، بما في ذلك تعداد الدم الكامل، وظائف الكلى والكبد، واختبارات التخثر (خاصة للمرضى الذين يتناولون مضادات التخثر مثل أبيكسابان). كما يتم إجراء تخطيط للقلب (ECG) وأشعة للصدر للحصول على موافقة طبية شاملة قبل الجراحة، مع إدارة دقيقة لأي حالات صحية مزمنة مثل السكري أو أمراض القلب.
بفضل هذه الخطوات التشخيصية الشاملة، يضمن الأستاذ الدكتور محمد هطيف في صنعاء تقييمًا دقيقًا لكل حالة، مما يمهد الطريق لخطط علاجية ناجحة ومخصصة.
خيارات علاج كسور الحق المعقدة
إن قرار علاج كسور الحق المعقدة لدى كبار السن هو قرار معقد يتطلب دراسة متأنية لعدة عوامل، بما في ذلك عمر المريض، حالته الصحية العامة، نمط الكسر، جودة العظام، وأهدافه الوظيفية. يلتزم الأستاذ الدكتور محمد هطيف في صنعاء بتقديم أفضل خيارات العلاج المتاحة، مع التركيز على استعادة الوظيفة وتقليل المضاعفات.
### لماذا الجراحة ضرورية غالبًا لكبار السن
في معظم حالات كسور الحق المعقدة لدى كبار السن، يُعتبر التدخل الجراحي الخيار الأفضل، إن لم يكن الوحيد، لتحقيق نتائج وظيفية جيدة. تُعد الإدارة غير الجراحية لهذه الكسور نادرة جدًا وغير مناسبة في الغالب للأسباب التالية:
- تشريد المفصل وعدم تطابقه: غالبًا ما تكون كسور الحق المعقدة مصحوبة بتشريد كبير للقطع العظمية وعدم تطابق في السطح المفصلي (أكثر من 2 ملم)، مما يؤدي إلى خطر كبير للإصابة بالتهاب المفاصل ما بعد الصدمة (Post-traumatic Osteoarthritis) الشديد والمؤلم.
- تفتت القبة الحاملة للوزن: عندما يكون هناك تفتت في الجزء العلوي من الحق الذي يحمل الوزن، يصبح من غير المرجح تحقيق التئام مستقر بدون جراحة، مما يؤدي إلى ألم مزمن وعدم التحام الكسر.
-
مخاطر عدم الحركة المطولة:
تتطلب الإدارة غير الجراحية فترة طويلة من عدم تحمل الوزن والراحة في السرير، مما يزيد بشكل كبير من مخاطر المضاعفات لدى كبار السن، مثل:
- تدهور الحالة البدنية وفقدان الاستقلالية.
- تجلطات الأوردة العميقة (DVT) والانصمام الرئوي (Pulmonary Embolism).
- الالتهاب الرئوي.
- قرح الفراش.
- الضعف العام وفقدان الكتلة العضلية.
- الضعف الإدراكي: قد يؤثر الضعف الإدراكي الخفيف لدى بعض كبار السن على قدرتهم على الالتزام الصارم ببروتوكولات عدم تحمل الوزن، مما يعرضهم لمخاطر أكبر.
لذلك، يهدف العلاج الجراحي إلى استعادة تطابق المفصل، تحقيق تثبيت مستقر، وتسهيل الحركة المبكرة وإعادة التأهيل لاستعادة وظيفة المريض قبل الإصابة.
### تصنيف الكسر (Letournel & Judet Classification)
يستخدم الجراحون نظام تصنيف Letournel & Judet لتصنيف كسور الحق بناءً على الأعمدة والجدران المصابة. في حالة المريضة المذكورة في دراسة الحالة، تم تصنيف الكسر على أنه كسر مركب في العمود الأمامي والنصف المستعرض الخلفي (Associated Anterior Column and Posterior Hemitransverse Fracture) مع تفتت كبير في العمود الخلفي والصفيحة الرباعية . هذا النمط المعقد شائع في كسور كبار السن ويشير إلى إصابة شديدة في الجزء الحامل للوزن من المفصل.
### استراتيجيات العلاج الجراحي المتقدمة
في كسور الحق المعقدة لدى كبار السن، تختلف استراتيجيات العلاج الجراحي غالبًا عن تلك المستخدمة في المرضى الأصغر سنًا بسبب هشاشة العظام والتفتت الكبير.
-
التثبيت الداخلي المفتوح (Open Reduction and Internal Fixation - ORIF):
- يُعد هذا الإجراء هو المعيار الذهبي لكسور الحق في المرضى الأصغر سنًا والقادرين على تحمل الجراحة.
- يتضمن إعادة القطع العظمية المكسورة إلى مكانها الطبيعي وتثبيتها باستخدام صفائح ومسامير.
-
التحديات في كبار السن:
*
كسور العظام المعقدة وإصابات الحوادث ليس قدراً محتوماً! التشخيص الدقيق والعلاج المتخصص يمكن أن يعيد لك كامل وظيفتك وحريتك في الحركة بدون ألم.
للحصول على استشارة دقيقة وخطة علاجية مخصصة لحالتك، تواصل فوراً مع مركز الأستاذ الدكتور محمد هطيف:
الأستاذ الدكتور محمد هطيف - أفضل دكتور عظام في صنعاء، وخبير في جراحات الكسور المعقدة وإنقاذ الأطراف.
مواضيع أخرى قد تهمك