English
جزء من الدليل الشامل

كسور عظم الساق والشظية: دليل شامل للمرضى مع الأستاذ الدكتور محمد هطيف

كسر قصبة الساق والبلافون المعقد: دليل شامل للعلاج والتعافي مع الأستاذ الدكتور محمد هطيف

03 إبريل 2026 10 دقيقة قراءة 0 مشاهدة
صورة توضيحية لـ كسر قصبة الساق والبلافون المعقد: دليل شامل للعلاج والتعافي مع الأستاذ الدكتور محمد هطيف

الخلاصة الطبية

كسر قصبة الساق الممتد إلى البلافون هو إصابة معقدة تتطلب علاجًا دقيقًا بالشرائح والمسامير لاستعادة وظيفة المفصل. يبدأ العلاج بتقييم شامل، يليه تثبيت جراحي وإعادة تأهيل مكثفة لاستعادة الحركة وتقليل المضاعفات. الأستاذ الدكتور محمد هطيف في صنعاء يقدم رعاية متخصصة لهذه الحالات.

الخلاصة الطبية السريعة: كسر قصبة الساق الممتد إلى البلافون هو إصابة معقدة وخطيرة في مفصل الكاحل، تتطلب تدخلًا جراحيًا دقيقًا باستخدام الشرائح والمسامير لاستعادة التشريح الطبيعي للمفصل ووظيفته. يبدأ العلاج بتقييم شامل وتخطيط دقيق، يليه تثبيت جراحي مُحكم، ثم برنامج إعادة تأهيل مكثف ومُخصص لاستعادة الحركة والقوة وتقليل المضاعفات طويلة الأمد. الأستاذ الدكتور محمد هطيف، بخبرته التي تتجاوز 20 عامًا ومعرفته العميقة بأحدث التقنيات الجراحية، يقدم في صنعاء أعلى مستويات الرعاية المتخصصة لهذه الحالات المعقدة، مؤكدًا على الصدق الطبي والنتائج المتميزة.

صورة توضيحية لـ كسر قصبة الساق والبلافون المعقد: دليل شامل للعلاج والتعافي مع الأستاذ الدكتور محمد هطيف

مقدمة: فهم تعقيد كسر قصبة الساق والبلافون

تُعد كسور قصبة الساق المعقدة، خاصة تلك التي تمتد لتشمل السطح المفصلي لمفصل الكاحل (البلافون)، من الإصابات العظمية الأكثر تحديًا في مجال جراحة العظام. هذه الكسور، المعروفة أيضًا بكسور البلافون (Pilon fractures)، ليست مجرد كسور بسيطة؛ بل هي تمزقات مدمرة تحدث عادةً نتيجة قوى عالية الشدة، مثل السقوط من ارتفاعات كبيرة أو حوادث السير. تتسم هذه الإصابات بتفتت العظم، وتضرر الغضروف المفصلي، وغالبًا ما يصاحبها إصابات شديدة في الأنسجة الرخوة المحيطة، مما يجعل العلاج يتطلب دقة جراحية فائقة وخبرة واسعة لضمان أفضل النتائج الوظيفية وتقليل خطر المضاعفات على المدى الطويل.

إن الهدف الأساسي من علاج هذه الكسور هو استعادة السطح المفصلي الأملس لمفصل الكاحل بدقة متناهية، وتثبيت العظم المكسور بشكل مستقر، والحفاظ على الأنسجة الرخوة قدر الإمكان. يُعد الأستاذ الدكتور محمد هطيف، أستاذ جراحة العظام في جامعة صنعاء، رائدًا في هذا المجال، حيث يقدم لمرضاه في صنعاء اليمن رعاية طبية لا مثيل لها، مستخدمًا أحدث التقنيات الجراحية والتشخيصية لضمان شفاء مثالي وعودة المريض إلى حياته الطبيعية.

توضيح طبي: كسر قصبة الساق والبلافون المعقد: دليل شامل للعلاج والتعافي مع الأستاذ الدكتور محمد هطيف

صورة توضيحية لـ كسر قصبة الساق والبلافون المعقد: دليل شامل للعلاج والتعافي مع الأستاذ الدكتور محمد هطيف

نظرة تشريحية على مفصل الكاحل وقصبة الساق

لفهم كسر البلافون بشكل كامل، من الضروري التعمق في التشريح المعقد لمفصل الكاحل وقصبة الساق (الظنبوب). يتكون مفصل الكاحل من ثلاثة عظام رئيسية:

  • قصبة الساق (الظنبوب - Tibia): وهي العظم الأكبر في الساق، وتحمل معظم وزن الجسم. الجزء السفلي من قصبة الساق يشكل السقف العلوي لمفصل الكاحل، وهذا الجزء هو ما يُعرف بالبلافون (Pilon).
  • الشظية (Fibula): العظم الأصغر في الساق، والذي يقع بجانب قصبة الساق. يشكل الجزء السفلي منها الكاحل الخارجي (Lateral Malleolus)، ويوفر الاستقرار لمفصل الكاحل.
  • عظم الكاحل (Talus): العظم الذي يقع أسفل قصبة الساق والشظية، ويشكل الجزء السفلي من مفصل الكاحل، ويتصل بعظام القدم الأخرى.

يُعد السطح المفصلي للبلافون أملسًا ومغطى بالغضروف، مما يسمح بحركة سلسة وغير مؤلمة لمفصل الكاحل. عندما يحدث كسر في هذا الجزء، غالبًا ما يتضرر الغضروف والسطح المفصلي، مما يؤدي إلى عدم استقرار المفصل وألم مزمن وتيبس، وقد يتطور إلى خشونة في المفصل (التهاب المفاصل ما بعد الصدمة) إذا لم يتم علاجه بدقة.

توضيح طبي: هيكل عظمي لمفصل الكاحل يوضح قصبة الساق والبلافون

صورة توضيحية لـ كسر قصبة الساق والبلافون المعقد: دليل شامل للعلاج والتعافي مع الأستاذ الدكتور محمد هطيف

أسباب وعوامل خطر كسر البلافون المعقد

كسور البلافون هي في الغالب إصابات عالية الطاقة، مما يعني أنها تحدث نتيجة لقوى شديدة للغاية. تشمل الأسباب الشائعة وعوامل الخطر ما يلي:

  • السقوط من ارتفاعات عالية: مثل السقوط من الدرج، أو من سطح مرتفع، حيث يهبط الشخص على قدميه بقوة.
  • حوادث السير: خاصة حوادث الدراجات النارية أو السيارات التي تؤدي إلى صدمة مباشرة وقوية على الكاحل.
  • القفزات الرياضية الشديدة: في بعض الرياضات التي تتضمن قفزات عالية وهبوطًا قاسيًا.
  • إصابات العمل: في المهن التي تنطوي على مخاطر السقوط أو التعرض لصدمات مباشرة.

تُعد طبيعة القوة المؤثرة هي العامل الرئيسي في تحديد مدى تعقيد الكسر. فكلما كانت القوة أكبر، زاد تفتت العظم وتضرر الأنسجة الرخوة.

صورة توضيحية لـ كسر قصبة الساق والبلافون المعقد: دليل شامل للعلاج والتعافي مع الأستاذ الدكتور محمد هطيف

أنواع وتصنيفات كسور البلافون

تصنيف كسور البلافون أمر بالغ الأهمية لتحديد خطة العلاج المناسبة. أحد التصنيفات الأكثر شيوعًا هو تصنيف Ruedi & Allgöwer، الذي يقسم الكسور إلى ثلاثة أنواع رئيسية:

  • النوع الأول (Type I): كسر غير مُزاح (غير متفتت) في السطح المفصلي لقصبة الساق مع الحد الأدنى من تفتت العظم.
  • النوع الثاني (Type II): كسر مُزاح في السطح المفصلي مع تفتت واضح، ولكنه لا يزال يحتوي على قطعة عظمية كبيرة يمكن إعادة بنائها.
  • النوع الثالث (Type III): كسر شديد التفتت في السطح المفصلي، مع تدمير واسع النطاق للعظم والأنسجة الرخوة، مما يجعل إعادة البناء تحديًا كبيرًا.

هناك أيضًا تصنيفات أخرى مثل تصنيف AO/OTA، الذي يقدم تفاصيل أكثر حول موقع الكسر وشكله. تُظهر هذه التصنيفات مدى تعقيد هذه الإصابات وحاجتها إلى خبرة جراحية متخصصة مثل خبرة الأستاذ الدكتور محمد هطيف.

توضيح طبي: أنواع كسور البلافون وفق تصنيف Ruedi & Allgöwer

صورة توضيحية لـ كسر قصبة الساق والبلافون المعقد: دليل شامل للعلاج والتعافي مع الأستاذ الدكتور محمد هطيف

الأعراض والتشخيص الدقيق

تظهر أعراض كسر البلافون بشكل فوري وشديد نظرًا لطبيعة الإصابة عالية الطاقة. تشمل الأعراض الشائعة:

  • ألم شديد ومفاجئ: في الكاحل والساق السفلية، يزداد سوءًا مع أي محاولة للحركة أو حمل الوزن.
  • تورم حاد: حول مفصل الكاحل والقدم، وغالبًا ما يكون مصحوبًا بكدمات واسعة.
  • تشوه واضح: في شكل الكاحل أو الساق، وقد يكون هناك قصر في الساق المصابة.
  • عدم القدرة على حمل الوزن: أو المشي على الساق المصابة.
  • ظهور فقاعات جلدية (Blebs): أو تقرحات في الجلد بسبب التورم الشديد، مما يشير إلى تضرر الأنسجة الرخوة.

عملية التشخيص: الدقة أولاً

التشخيص الدقيق هو حجر الزاوية في العلاج الفعال. يعتمد الأستاذ الدكتور محمد هطيف على نهج شامل يشمل:

  1. الفحص السريري الدقيق: تقييم الألم، التورم، التشوه، وحالة الأنسجة الرخوة، بالإضافة إلى فحص الأعصاب والأوعية الدموية للتأكد من عدم وجود إصابات مصاحبة.
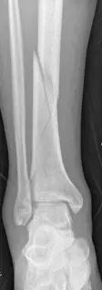
  2. الأشعة السينية (X-rays): تُظهر صور الأشعة السينية التقليدية الكسر وموقعه ومدى انزياحه. يتم أخذ عدة لقطات من زوايا مختلفة.
  3. التصوير المقطعي المحوسب (CT Scan): يُعد التصوير المقطعي المحوسب ضروريًا لكسور البلافون. يوفر صورًا ثلاثية الأبعاد مفصلة للعظم المكسور، مما يسمح للأستاذ الدكتور هطيف بتقييم دقيق لمدى تفتت السطح المفصلي، وتحديد عدد القطع المكسورة، وموقع كل منها. هذا التقييم الدقيق حيوي للتخطيط الجراحي.
  4. التصوير بالرنين المغناطيسي (MRI): قد يُطلب في بعض الحالات لتقييم مدى إصابة الأنسجة الرخوة المحيطة، مثل الأربطة والأوتار، والتي قد لا تظهر بوضوح في الأشعة السينية أو الأشعة المقطعية.

يُولي الأستاذ الدكتور محمد هطيف اهتمامًا خاصًا للتشخيص المبكر والدقيق، لأنه يؤمن بأن فهمًا عميقًا للكسر هو الخطوة الأولى نحو تحقيق أفضل النتائج الجراحية.

توضيح طبي: صور أشعة سينية توضح كسر قصبة الساق والبلافون

صورة توضيحية لـ كسر قصبة الساق والبلافون المعقد: دليل شامل للعلاج والتعافي مع الأستاذ الدكتور محمد هطيف

خيارات العلاج: من التحفظي إلى الجراحي المتقدم

يعتمد اختيار خطة العلاج لكسر البلافون على عدة عوامل، بما في ذلك نوع الكسر، مدى تفتته، حالة الأنسجة الرخوة، والحالة الصحية العامة للمريض. في معظم الحالات المعقدة، يكون التدخل الجراحي هو الخيار الأمثل.

العلاج التحفظي (غير الجراحي)

العلاج التحفظي نادرًا ما يكون مناسبًا لكسور البلافون المعقدة التي تشمل السطح المفصلي، حيث إن الهدف هو استعادة دقة السطح المفصلي. قد يُنظر في هذا الخيار فقط في حالات نادرة جدًا حيث يكون الكسر غير مُزاح إطلاقًا، أو عندما تكون حالة المريض الصحية لا تسمح بالخضوع للجراحة. يشمل العلاج التحفظي:

  • الراحة التامة: تجنب حمل الوزن على الساق المصابة.
  • التثبيت: باستخدام جبيرة أو دعامة لحماية الكاحل.
  • التحكم في التورم والألم: باستخدام الثلج والمسكنات ورفع الساق.
  • المتابعة الدورية: لمراقبة وضع الكسر.
ميزة العلاج التحفظي عيوب العلاج التحفظي
تجنب مخاطر الجراحة والتخدير لا يضمن استعادة دقيقة للسطح المفصلي
أقل تكلفة على المدى القصير خطر كبير لتطور خشونة مبكرة في المفصل
مناسب لحالات نادرة جدًا نتائج وظيفية سيئة غالبًا (ألم مزمن، تيبس، تشوه)
لا يتطلب دخول المستشفى فترة تعافي طويلة مع قيود على الحركة

العلاج الجراحي: ركيزة الشفاء لكسور البلافون المعقدة

الغالبية العظمى من كسور البلافون المعقدة تتطلب تدخلًا جراحيًا. الهدف من الجراحة هو:

  1. استعادة دقيقة للسطح المفصلي: وهذا هو الأهم لمنع خشونة المفصل.
  2. تثبيت مستقر للكسر: باستخدام الشرائح والمسامير.
  3. الحفاظ على الأنسجة الرخوة: قدر الإمكان لتقليل المضاعفات.
  4. التمكين من إعادة التأهيل المبكر: لاستعادة وظيفة الكاحل.

يُعد الأستاذ الدكتور محمد هطيف خبيرًا في تنفيذ هذه الجراحات المعقدة، مستخدمًا أحدث التقنيات لضمان أفضل النتائج.

نهج الجراحة على مرحلتين (Two-Stage Approach)

في كثير من كسور البلافون المعقدة المصحوبة بتضرر شديد في الأنسجة الرخوة وتورم، يفضل الأستاذ الدكتور هطيف نهج الجراحة على مرحلتين:

  • المرحلة الأولى: التثبيت الخارجي المؤقت: يتم وضع مثبت خارجي لتثبيت الكاحل وتشتيت القوى عن المنطقة المكسورة، مما يساعد على تقليل التورم وتحسين حالة الأنسجة الرخوة. هذه المرحلة ضرورية لإعداد الكاحل للجراحة النهائية.
  • المرحلة الثانية: التثبيت الداخلي النهائي: بعد عدة أيام إلى أسابيع (حتى يقل التورم وتتحسن حالة الجلد)، يتم إجراء الجراحة الرئيسية لإعادة بناء السطح المفصلي وتثبيت العظام المكسورة باستخدام الشرائح والمسامير.

هذا النهج يقلل بشكل كبير من مخاطر المضاعفات مثل العدوى ومشاكل التئام الجروح، ويحسن من فرص الشفاء الناجح.

توضيح طبي: مثبت خارجي يستخدم لتثبيت الكاحل في المرحلة الأولى من العلاج

صورة توضيحية لـ كسر قصبة الساق والبلافون المعقد: دليل شامل للعلاج والتعافي مع الأستاذ الدكتور محمد هطيف

الإجراء الجراحي التفصيلي مع الأستاذ الدكتور محمد هطيف

تتطلب جراحة كسر البلافون مهارة جراحية عالية وتخطيطًا دقيقًا. يعتمد الأستاذ الدكتور محمد هطيف على خبرته الواسعة التي تتجاوز 20 عامًا، ويستخدم تقنيات متطورة لضمان أفضل النتائج لمرضاه.

1. التخطيط قبل الجراحة: مفتاح النجاح

قبل أي تدخل جراحي، يُجري الأستاذ الدكتور هطيف تخطيطًا دقيقًا وشاملًا:

  • تحليل صور الأشعة المقطعية (CT Scan): يقوم بتحليل دقيق لصور الأشعة المقطعية ثلاثية الأبعاد لفهم نمط الكسر، وتحديد عدد القطع المكسورة، ومدى تفتت السطح المفصلي.
  • رسم خرائط الكسر: يقوم برسم خريطة للكسر على الورق أو باستخدام برامج متخصصة لتحديد أفضل نهج جراحي، ونوع الشرائح والمسامير المطلوبة، ومواقعها المثلى.
  • تقييم الأنسجة الرخوة: يراقب عن كثب حالة الجلد والأنسجة الرخوة، ويؤجل الجراحة النهائية إذا كان هناك تورم شديد أو فقاعات جلدية، مفضلاً التثبيت الخارجي المؤقت أولاً.
  • مناقشة الخطة مع المريض: يشرح الأستاذ الدكتور هطيف الخطة الجراحية بالتفصيل للمريض وأسرته، ويجيب على جميع استفساراتهم بشفافية كاملة، وهو ما يعكس التزامه بالصدق الطبي.

2. التخدير والتحضير

  • التخدير: يتم إجراء الجراحة تحت التخدير العام أو التخدير النصفي (فوق الجافية)، حسب تفضيل المريض وحالته الصحية.
  • الوضع الجراحي: يتم وضع المريض على طاولة العمليات في وضع يسمح بالوصول الجراحي الأمثل للكاحل.
  • التعقيم: يتم تعقيم المنطقة الجراحية بدقة لمنع العدوى.

3. الشق الجراحي والوصول إلى الكسر

يختار الأستاذ الدكتور هطيف الشق الجراحي الأنسب بناءً على نمط الكسر وموقعه، مع الأخذ في الاعتبار الحفاظ على الأنسجة الرخوة. قد يكون الشق أماميًا، أو أنسيًا (داخليًا)، أو وحشيًا (خارجيًا)، أو مزيجًا منها. في بعض الأحيان، قد يحتاج إلى شقين أو أكثر للوصول الأمثل للكسر.

توضيح طبي: رسم توضيحي لمواقع الشقوق الجراحية المحتملة في جراحة البلافون

4. إعادة بناء السطح المفصلي (Articular Reconstruction)

هذه هي المرحلة الأكثر أهمية وحساسية في الجراحة. يقوم الأستاذ الدكتور هطيف بـ:

  • إزالة شظايا العظم المتفتتة: يتم إزالة أي شظايا عظمية صغيرة جدًا أو غير قابلة للحياة.
  • إعادة تجميع القطع العظمية: يتم إعادة تجميع القطع العظمية الكبيرة للسطح المفصلي بدقة متناهية، كما لو كان يجمع "أحجية" معقدة. يتم استخدام أدوات خاصة، مثل رافعات العظم وملاقط دقيقة، لإعادة وضع كل قطعة في مكانها الصحيح.
  • التثبيت المؤقت: يتم تثبيت القطع مؤقتًا بأسلاك Kirschner (K-wires) لضمان الدقة قبل التثبيت النهائي.
  • استخدام التنظير المفصلي (Arthroscopy 4K): في بعض الحالات، قد يستخدم الأستاذ الدكتور هطيف تقنية التنظير المفصلي بدقة 4K لمراقبة إعادة بناء السطح المفصلي من الداخل، مما يضمن دقة لا مثيل لها وتقليل تضرر الأنسجة الرخوة. هذه التقنية هي واحدة من التقنيات الحديثة التي يتقنها الدكتور هطيف.

5. التثبيت الداخلي باستخدام الشرائح والمسامير

بعد إعادة بناء السطح المفصلي، يتم تثبيت الكسر بشكل دائم:

  • وضع الشرائح: يتم اختيار شرائح خاصة (مثل شرائح قفل الزاوية المستقرة - locking plates) مصممة خصيصًا لكسور البلافون. هذه الشرائح توفر ثباتًا قويًا حتى في العظام المتفتتة.
  • تثبيت المسامير: يتم تثبيت الشرائح بمسامير في العظم، مع التأكد من أن المسامير لا تخترق السطح المفصلي.
  • استخدام تقنيات جراحية متقدمة: مثل الجراحة الميكروسكوبية (Microsurgery) عند الحاجة لإصلاح الأوعية الدموية أو الأعصاب الدقيقة المتضررة، وهي من التخصصات الدقيقة التي يتميز بها الأستاذ الدكتور محمد هطيف.
  • التثبيت الإضافي: في بعض الحالات، قد يتم استخدام مسامير إضافية أو أسلاك لتثبيت أجزاء أخرى من الكسر، مثل كسر الشظية المصاحب.

6. إغلاق الجرح

بعد التأكد من استقرار الكسر، يتم غسل الجرح بمحلول ملحي، ثم يتم إغلاق طبقات الأنسجة الرخوة والجلد بعناية فائقة، مع الأخذ في الاعتبار تقليل الندوب وتحسين التئام الجرح.

7. الرعاية بعد الجراحة مباشرة

  • الجبس أو الدعامة: يتم وضع جبس أو دعامة واقية للحفاظ على استقرار الكاحل.
  • التحكم في الألم: يتم إعطاء المريض مسكنات للألم.
  • رفع الساق: للمساعدة في تقليل التورم.
  • مراقبة الجرح: متابعة دقيقة للجرح لمنع العدوى.

يُعد الأستاذ الدكتور محمد هطيف ملتزمًا بأعلى معايير الجودة الجراحية، حيث يجمع بين الخبرة الأكاديمية (أستاذ في جامعة صنعاء) والمهارة السريرية، لتقديم أفضل رعاية ممكنة للمرضى.

توضيح طبي: شرائح ومسامير تستخدم لتثبيت كسر البلافون بعد الجراحة
توضيح طبي: صور أشعة سينية بعد الجراحة توضح التثبيت الناجح للكسر

صورة توضيحية لـ كسر قصبة الساق والبلافون المعقد: دليل شامل للعلاج والتعافي مع الأستاذ الدكتور محمد هطيف

المضاعفات المحتملة

على الرغم من أن جراحة كسر البلافون مع الأستاذ الدكتور محمد هطيف تحقق نتائج ممتازة في معظم الحالات، إلا أن هناك دائمًا مخاطر محتملة لأي إجراء جراحي، خاصة في الإصابات المعقدة. تشمل المضاعفات المحتملة:

  • العدوى: يمكن أن تحدث العدوى في الجرح أو في العظم (التهاب العظم والنقي).
  • مشاكل التئام الجروح: قد يكون التئام الجروح صعبًا بسبب تضرر الأنسجة الرخوة الأولي والتورم.
  • عدم الالتئام (Nonunion): فشل العظم في الالتئام بشكل كامل.
  • الالتئام المعيب (Malunion): التئام العظم في وضع غير صحيح، مما يؤدي إلى تشوه أو ضعف وظيفي.
  • التهاب المفاصل ما بعد الصدمة (Post-traumatic Arthritis): على الرغم من الجراحة الدقيقة، قد تتطور خشونة المفصل على المدى الطويل بسبب التلف الأولي للغضروف.
  • تضرر الأعصاب أو الأوعية الدموية: نادر الحدوث ولكنه ممكن.
  • متلازمة الحيز (Compartment Syndrome): زيادة الضغط داخل حيز عضلي، مما يتطلب تدخلًا جراحيًا طارئًا.
  • الجلطات الدموية (DVT/PE): خطر حدوث جلطات في الساق أو الرئة.
  • الحاجة إلى جراحة إزالة المعدن: في بعض الحالات، قد يحتاج المريض إلى جراحة لاحقة لإزالة الشرائح والمسامير.

يُناقش الأستاذ الدكتور هطيف هذه المخاطر بشفافية مع مرضاه قبل الجراحة، ويتخذ جميع الاحتياطات اللازمة لتقليل فرص حدوثها.

صورة توضيحية لـ كسر قصبة الساق والبلافون المعقد: دليل شامل للعلاج والتعافي مع الأستاذ الدكتور محمد هطيف

إعادة التأهيل والتعافي الشامل: مفتاح استعادة الوظيفة

لا يقل برنامج إعادة التأهيل أهمية عن الجراحة نفسها في تحقيق الشفاء الكامل واستعادة وظيفة الكاحل. يُصمم الأستاذ الدكتور محمد هطيف برامج إعادة تأهيل مخصصة لكل مريض، بالتعاون مع أخصائيي العلاج الطبيعي.

المراحل الرئيسية لإعادة التأهيل:

  1. المرحلة المبكرة (0-6 أسابيع بعد الجراحة):
    • الراحة وحماية الجرح: الحفاظ على الجرح نظيفًا وجافًا، ومراقبة علامات العدوى.
    • رفع الساق والثلج: لتقليل التورم والألم.
    • تمارين حركة خفيفة: غالبًا ما تكون غير حاملة للوزن، لتقليل التيبس في مفصل الكاحل والمفاصل المجاورة (مثل أص

صورة طبية: كسر قصبة الساق والبلافون المعقد: دليل شامل للعلاج والتعافي مع الأستاذ الدكتور محمد هطيف

صورة طبية: كسر قصبة الساق والبلافون المعقد: دليل شامل للعلاج والتعافي مع الأستاذ الدكتور محمد هطيف

صورة طبية: كسر قصبة الساق والبلافون المعقد: دليل شامل للعلاج والتعافي مع الأستاذ الدكتور محمد هطيف

صورة طبية: كسر قصبة الساق والبلافون المعقد: دليل شامل للعلاج والتعافي مع الأستاذ الدكتور محمد هطيف

صورة طبية: كسر قصبة الساق والبلافون المعقد: دليل شامل للعلاج والتعافي مع الأستاذ الدكتور محمد هطيف

صورة طبية: كسر قصبة الساق والبلافون المعقد: دليل شامل للعلاج والتعافي مع الأستاذ الدكتور محمد هطيف

صورة طبية: كسر قصبة الساق والبلافون المعقد: دليل شامل للعلاج والتعافي مع الأستاذ الدكتور محمد هطيف

صورة طبية: كسر قصبة الساق والبلافون المعقد: دليل شامل للعلاج والتعافي مع الأستاذ الدكتور محمد هطيف

صورة طبية: كسر قصبة الساق والبلافون المعقد: دليل شامل للعلاج والتعافي مع الأستاذ الدكتور محمد هطيف

صورة طبية: كسر قصبة الساق والبلافون المعقد: دليل شامل للعلاج والتعافي مع الأستاذ الدكتور محمد هطيف


آلام العظام والمفاصل وتقييد حركتها ليس قدراً محتوماً! التشخيص الدقيق والعلاج المتخصص يمكن أن يعيد لك كامل وظيفتك وحريتك في الحركة. لا تدع الألم يسيطر على حياتك.

للحصول على استشارة دقيقة وخطة علاجية مخصصة لحالتك، تواصل فوراً مع مركز الأستاذ الدكتور محمد هطيف:

الأستاذ الدكتور محمد هطيف - أفضل دكتور عظام في صنعاء، وخبير في جراحات العظام والمفاصل والعمود الفقري.. نلتزم بإعادتك لحياة خالية من الألم وحركة طبيعية.

مواضيع أخرى قد تهمك

Dr. Mohammed Hutaif
محتوى موثق طبياً بإشراف
أ.د. محمد هطيف
استشاري جراحة العظام والمفاصل والعمود الفقري
محتويات الفصل