English
جزء من الدليل الشامل

كسور عظم الساق والشظية: دليل شامل للمرضى مع الأستاذ الدكتور محمد هطيف

كسر قصبة الساق الممتد إلى مفصل الكاحل (البلافون): أسرار العلاج بالمسمار النخاعي مع الأستاذ الدكتور محمد هطيف

03 إبريل 2026 8 دقيقة قراءة 0 مشاهدة
صورة توضيحية لـ كسر قصبة الساق الممتد إلى مفصل الكاحل (البلافون): أسرار العلاج بالمسمار النخاعي مع الأستاذ الدكتور محمد هطيف

الخلاصة الطبية

كسر قصبة الساق الممتد إلى مفصل الكاحل (البلافون) هو إصابة معقدة تتطلب تدخلاً جراحيًا دقيقًا. يتم علاجه عادةً بتثبيت الجزء المفصلي بمسامير، يليه التثبيت بالمسمار النخاعي لقصبة الساق لضمان استقرار العظم والتعافي السريع.

الخلاصة الطبية السريعة: كسر قصبة الساق الممتد إلى مفصل الكاحل (البلافون) هو إصابة معقدة تتطلب تدخلاً جراحيًا دقيقًا. يتم علاجه عادةً بتثبيت الجزء المفصلي بمسامير، يليه التثبيت بالمسمار النخاعي لقصبة الساق لضمان استقرار العظم والتعافي السريع.

مقدمة

تُعد كسور قصبة الساق، خاصة تلك التي تمتد إلى مفصل الكاحل (البلافون)، من الإصابات العظمية المعقدة التي تتطلب خبرة جراحية فائقة ودقة متناهية لضمان أفضل النتائج للمريض. هذه الكسور لا تؤثر فقط على قدرة المريض على الحركة، بل يمكن أن تؤدي إلى مضاعفات طويلة الأمد إذا لم يتم علاجها بشكل صحيح. في هذا الدليل الشامل، سنستعرض كل ما يتعلق بكسور قصبة الساق الممتدة إلى البلافون، مع التركيز على دور العلاج بالمسمار النخاعي، وكيف يضمن الأستاذ الدكتور محمد هطيف، أحد أبرز جراحي العظام في صنعاء واليمن، تقديم رعاية طبية من الطراز الأول لهذه الحالات المعقدة.

يهدف هذا المقال إلى تزويد المرضى وعائلاتهم بفهم عميق لهذه الإصابة، بدءًا من التشخيص الدقيق وصولاً إلى خيارات العلاج المتاحة، وخطوات التعافي وإعادة التأهيل. إن اختيار الجراح المناسب هو مفتاح النجاح، وفي صنعاء، يُعتبر الأستاذ الدكتور محمد هطيف مرجعاً في جراحة العظام، بفضل خبرته الواسعة وسجله الحافل بالنجاح في علاج أصعب الحالات.

صورة توضيحية لـ كسر قصبة الساق الممتد إلى مفصل الكاحل (البلافون): أسرار العلاج بالمسمار النخاعي مع الأستاذ الدكتور محمد هطيف

ما هو كسر قصبة الساق الممتد إلى البلافون

كسر قصبة الساق الممتد إلى البلافون هو إصابة تجمع بين كسر في الجزء الأنبوبي (الديابزي) من عظم قصبة الساق وكسر آخر يمتد إلى السطح المفصلي السفلي لقصبة الساق، المعروف باسم "البلافون" أو "البيون" (Plafond/Pilon). قصبة الساق هي العظم الأكبر في الجزء السفلي من الساق وتحمل معظم وزن الجسم، بينما البلافون هو الجزء العلوي من مفصل الكاحل، والذي يشكل السطح المفصلي مع عظم الكاحل (التالوس).

تتميز هذه الكسور بكونها معقدة لعدة أسباب:
1. إصابة مفصلية: أي كسر يمتد إلى السطح المفصلي يحمل خطر الإصابة بالتهاب المفاصل التنكسي (الخشونة) في المستقبل إذا لم يتم استعادة السطح المفصلي بدقة.
2. قوى عالية: غالبًا ما تنتج هذه الكسور عن قوى عالية الشدة، مما يؤدي إلى تفتت العظم وتلف الأنسجة الرخوة المحيطة.
3. تأثير على وظيفة الساق: تؤثر هذه الكسور بشكل كبير على قدرة المريض على المشي وتحمل الوزن.

وصف حالة سريرية:
لنفترض حالة سيدة تبلغ من العمر 25 عامًا تعرضت لإصابة قوية في قدمها اليسرى أثناء ممارسة رياضة ركوب الأمواج الشراعية (الكايت سيرفنج) في المياه الضحلة. تم نقلها إلى المستشفى بعد وضع ساقها في جبيرة تفريغ الهواء. كشف الفحص السريري عن تشوه في ساقها اليسرى، وكانت الإصابة مغلقة دون وجود مشاكل عصبية وعائية أو إصابات أخرى.

صورة شعاعية سريرية / صورة عظمية

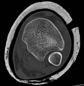
بعد ذلك، أظهرت الأشعة السينية الأولية كسرًا في الجزء الأنبوبي من قصبة الساق والشظية، مصنفًا حسب نظام AO/OTA 42B. عند الفحص الدقيق، اشتبه بوجود خط كسر يمتد إلى مفصل الكاحل.

صورة شعاعية سريرية / صورة عظمية

صورة شعاعية سريرية / صورة عظمية

للتأكد من امتداد الكسر، تم إجراء فحص بالأشعة المقطعية (CT) للجزء السفلي من قصبة الساق، والذي كشف عن كسر إضافي غير متبدل في الجزء الخلفي من قصبة الساق عند مستوى مفصل الكاحل.

صورة شعاعية سريرية / صورة عظمية

صورة شعاعية سريرية / صورة عظمية

صورة شعاعية سريرية / صورة عظمية

صورة شعاعية سريرية / صورة عظمية

هذه الحالة توضح تمامًا تعقيد كسور قصبة الساق التي تمتد إلى البلافون، حيث قد لا تظهر جميع تفاصيل الكسر في الأشعة السينية وحدها، مما يجعل الأشعة المقطعية ضرورية للتشخيص الدقيق والتخطيط الجراحي. يتطلب التعامل مع مثل هذه الحالات خبرة الأستاذ الدكتور محمد هطيف لضمان أفضل النتائج.

صورة توضيحية لـ كسر قصبة الساق الممتد إلى مفصل الكاحل (البلافون): أسرار العلاج بالمسمار النخاعي مع الأستاذ الدكتور محمد هطيف

التشريح

لفهم كسور قصبة الساق الممتدة إلى البلافون، من الضروري فهم التشريح الأساسي للمنطقة المصابة:

  • قصبة الساق (Tibia): هي العظم الأكبر والأقوى في الجزء السفلي من الساق، وتمتد من الركبة إلى الكاحل. تحمل قصبة الساق معظم وزن الجسم وهي مكون رئيسي لمفصل الكاحل.
  • الشظية (Fibula): هي العظم الأصغر والأقل سمكًا في الجزء السفلي من الساق، وتجري بالتوازي مع قصبة الساق. لا تحمل الشظية وزنًا كبيرًا، ولكنها تلعب دورًا مهمًا في استقرار مفصل الكاحل وتوفر نقاط ربط للعضلات والأربطة.
  • البلافون (Plafond): هو السطح المفصلي السفلي لقصبة الساق، والذي يشكل الجزء العلوي من مفصل الكاحل. هذا السطح مغطى بالغضروف المفصلي الناعم، وهو ضروري للحركة السلسة وغير المؤلمة للمفصل.
  • مفصل الكاحل: يتكون أساسًا من ثلاثة عظام: قصبة الساق، الشظية، وعظم الكاحل (Talus). يسمح هذا المفصل بحركات الثني والمد في القدم.

عندما يمتد الكسر من جسم قصبة الساق إلى منطقة البلافون، فإنه يؤثر مباشرة على سلامة واستقرار مفصل الكاحل. أي عدم دقة في استعادة السطح المفصلي يمكن أن يؤدي إلى احتكاك غير طبيعي وتآكل الغضروف، مما يسرع من تطور التهاب المفاصل. لذلك، فإن الهدف الجراحي الرئيسي هو استعادة التشريح الدقيق للسطح المفصلي قدر الإمكان.

صورة توضيحية لـ كسر قصبة الساق الممتد إلى مفصل الكاحل (البلافون): أسرار العلاج بالمسمار النخاعي مع الأستاذ الدكتور محمد هطيف

الأسباب وعوامل الخطر

تحدث كسور قصبة الساق الممتدة إلى البلافون عادةً نتيجة لإصابات عالية الطاقة، حيث تكون القوى المؤثرة على الساق شديدة بما يكفي لكسر العظم وتدمير الأنسجة المحيطة. تشمل الأسباب الشائعة وعوامل الخطر ما يلي:

  • السقوط من ارتفاع: مثل السقوط من سلم أو من مبنى، حيث تنتقل قوة الاصطدام عبر القدم إلى قصبة الساق.
  • حوادث السيارات والدراجات النارية: الاصطدامات القوية يمكن أن تسبب كسورًا معقدة في الساق.
  • الإصابات الرياضية: الرياضات التي تتضمن قفزًا عاليًا أو حركات التواء قوية، مثل ركوب الأمواج الشراعية (كما في الحالة المذكورة)، التزلج، أو كرة القدم، يمكن أن تؤدي إلى هذه الكسور.
  • الإصابات الصناعية: الحوادث في بيئات العمل التي تتضمن سقوط أجسام ثقيلة أو انحشار الأطراف.
  • الالتواء الشديد: حركة التواء عنيفة في الكاحل يمكن أن تؤدي إلى كسر في البلافون مع امتداد إلى قصبة الساق.

تؤدي هذه الإصابات إلى ضغط محوري قوي على مفصل الكاحل، مما يدفع عظم الكاحل (Talus) إلى الأعلى، فيصطدم بالبلافون ويسبب كسورًا تفتتية. كلما زادت طاقة الإصابة، زادت شدة الكسر وتلف الأنسجة الرخوة، مما يزيد من تعقيد العلاج ويزيد من مخاطر المضاعفات.

صورة توضيحية لـ كسر قصبة الساق الممتد إلى مفصل الكاحل (البلافون): أسرار العلاج بالمسمار النخاعي مع الأستاذ الدكتور محمد هطيف

الأعراض والعلامات

تظهر كسور قصبة الساق الممتدة إلى البلافون عادةً بأعراض وعلامات واضحة ومؤلمة تتطلب عناية طبية فورية. تشمل هذه الأعراض:

  • ألم شديد: في الساق والكاحل، يتفاقم مع أي محاولة للحركة أو تحمل الوزن.
  • تشوه واضح: في شكل الساق أو الكاحل، وقد يكون هناك انحراف أو زاوية غير طبيعية.
  • تورم حاد: حول منطقة الكسر والمفصل، نتيجة لتراكم السوائل والدم.
  • كدمات: قد تظهر كدمات واسعة النطاق بسبب النزيف تحت الجلد.
  • عدم القدرة على تحمل الوزن: يستحيل على المريض الوقوف أو المشي على الساق المصابة.
  • محدودية حركة الكاحل: بسبب الألم والتورم وتلف العظام.
  • في بعض الحالات: قد يكون هناك خدر أو ضعف في القدم إذا تأثرت الأعصاب، أو برودة أو شحوب في القدم إذا تأثرت الأوعية الدموية. من الضروري فحص هذه العلامات لتقييم أي إصابة عصبية وعائية محتملة، والتي تتطلب تدخلاً عاجلاً.

يجب على أي شخص يعاني من هذه الأعراض بعد إصابة في الساق أو الكاحل أن يطلب الرعاية الطبية الطارئة على الفور. التقييم السريع والتشخيص الدقيق ضروريان لمنع تفاقم الإصابة وضمان أفضل فرصة للتعافي.

صورة توضيحية لـ كسر قصبة الساق الممتد إلى مفصل الكاحل (البلافون): أسرار العلاج بالمسمار النخاعي مع الأستاذ الدكتور محمد هطيف

التشخيص الدقيق

يعتمد التشخيص الدقيق لكسر قصبة الساق الممتد إلى البلافون على مزيج من الفحص السريري والتصوير الطبي. يُعد التشخيص الصحيح حجر الزاوية في التخطيط لعلاج ناجح، خاصة في الحالات المعقدة التي يتولاها الأستاذ الدكتور محمد هطيف.

الفحص السريري

يقوم الطبيب بتقييم الساق المصابة بحثًا عن:
* التشوه والتورم والكدمات: لتحديد شدة الإصابة.
* سلامة الجلد: للتأكد من أن الكسر مغلق وليس مفتوحًا (حيث يكون العظم مكشوفًا).
* التقييم العصبي الوعائي: فحص النبض في القدم، والإحساس، وقدرة المريض على تحريك أصابع القدم. هذا أمر بالغ الأهمية لاستبعاد متلازمة الحيز (Compartment Syndrome) أو إصابة الأوعية الدموية والأعصاب.

التصوير الطبي

  1. الأشعة السينية (X-rays):

    • يتم التقاط صور بالأشعة السينية من زوايا مختلفة (أمامية خلفية AP، جانبية Lateral، وعرض المفصل Mortise view) لتقييم الكسر في قصبة الساق والشظية.
    • على الرغم من أنها مفيدة لتحديد الكسور الكبيرة، إلا أن الأشعة السينية قد لا تظهر دائمًا خطوط الكسر الدقيقة التي تمتد إلى السطح المفصلي، خاصة إذا كانت غير متبدلة.
  2. الأشعة المقطعية (Computed Tomography - CT Scan):

    • تُعد الأشعة المقطعية ضرورية في تشخيص كسور البلافون وقصبة الساق التي تمتد إلى المفصل.
    • توفر صورًا ثلاثية الأبعاد مفصلة للعظام، مما يسمح للجراح بتقييم:
      • عدد الشظايا العظمية وتوزيعها.
      • مدى امتداد الكسر إلى السطح المفصلي.
      • وجود أي تبدل أو انزياح في الشظايا المفصلية.
      • تلف الأنسجة الرخوة المحيطة.
    • تُستخدم هذه المعلومات الحيوية لوضع خطة جراحية دقيقة وشاملة.

يُولي الأستاذ الدكتور محمد هطيف اهتمامًا خاصًا للتشخيص الدقيق باستخدام أحدث تقنيات التصوير، لضمان فهم كامل لتعقيدات الكسر قبل أي تدخل جراحي. هذا النهج يضمن أعلى مستويات الدقة في التخطيط الجراحي.

صورة توضيحية لـ كسر قصبة الساق الممتد إلى مفصل الكاحل (البلافون): أسرار العلاج بالمسمار النخاعي مع الأستاذ الدكتور محمد هطيف

التخطيط الجراحي المتقدم

يُعد التخطيط الجراحي المتقدم خطوة حاسمة في علاج كسور قصبة الساق الممتدة إلى البلافون، خاصةً عندما تكون الحالة معقدة. يهدف التخطيط إلى تحديد أفضل استراتيجية لإعادة العظم إلى وضعه الطبيعي واستعادة وظيفة المفصل.

دواعي التدخل الجراحي

في معظم حالات كسور قصبة الساق المفتتة أو المتبدلة لدى البالغين، يُعد التدخل الجراحي ضروريًا. قد يؤدي العلاج غير الجراحي إلى:
* معدلات عالية من التبدل: مما يؤدي إلى سوء التئام (Malunion) أو عدم التئام (Nonunion).
* تصلب المفاصل: بسبب التثبيت المطول.

يُعتبر التثبيت بالمسمار النخاعي (Intramedullary Nailing) خيارًا آمنًا وفعالًا لكسور قصبة الساق، وله مزايا رئيسية:
1. أقل ضررًا للأنسجة الرخوة: حيث يتم إدخال المسمار داخل قناة العظم، مما يحافظ على إمداد الدم للعظم ويقلل من خطر العدوى.
2. القدرة على البدء المبكر بتحمل الوزن: وتمارين نطاق الحركة (Range of Motion - ROM) وإعادة التأهيل، مما يسرع عملية الشفاء.

خطة العلاج الجراحي

بناءً على مدى امتداد الكسر إلى السطح المفصلي لقصبة الساق، يتم وضع خطة جراحية مفصلة. في الحالة المذكورة سابقًا، تضمنت الخطة:
* تثبيت السطح المفصلي للكاحل: باستخدام مسامير عن طريق الجلد (Percutaneous Screw Fixation) لتثبيت الشظية الخلفية غير المتبدلة.
* التثبيت بالمسمار النخاعي: لقصبة الساق بعد تثبيت الجزء المفصلي.

صورة شعاعية سريرية / صورة عظمية

صورة شعاعية سريرية / صورة عظمية

صورة شعاعية سريرية / صورة عظمية

ملاحظة هامة: عدم تثبيت الكسر الخلفي في مفصل الكاحل بشكل صحيح يمكن أن يؤدي إلى تبدل ثانوي في المفصل عند إدخال المسمار النخاعي لقصبة الساق.

يعتمد الأستاذ الدكتور محمد هطيف على خبرته الواسعة في تقييم كل حالة بشكل فردي، ويستخدم أحدث التقنيات لضمان تخطيط جراحي دقيق يقلل من المخاطر ويزيد من فرص التعافي الكامل.

إعداد غرفة العمليات

لضمان إجراء جراحي سلس وآمن، يتم إعداد غرفة العمليات بعناية:

  • وضع المريض: يستلقي المريض على ظهره على طاولة جراحية شفافة للأشعة، مع إحضار القدم إلى نهاية الطاولة.
  • خيارات التخدير: تخدير عام أو نصفي (شوكي). إذا تم اختيار التخدير النصفي، يجب أن تكون الأدوية قصيرة المفعول للسماح بمراقبة متلازمة الحيز بعد الجراحة.
  • موقع جهاز الأشعة (C-arm): يوضع جهاز الأشعة والشاشة على الجانب المقابل للطاولة من الجراح لتسهيل الرؤية.
  • الضاغط (Tourniquet): يمكن تطبيق ضاغط مبطن جيدًا على الفخذ، ولكن قد لا يكون ضروريًا في معظم الحالات. استخدام الضاغط أثناء توسيع القناة النخاعية لا يزال مثيرًا للجدل.
  • نصائح جراحية: يُنصح باستخدام مشابك كبيرة (Weber clamps) ومثلث وضع لتقليل الكسر وتثبيت الركبة المثنية أثناء الجراحة.

قائمة المعدات

  1. مسامير وأسلاك كيرشنر (K-wires) حسب تفضيل الجراح.
  2. نظام المسمار النخاعي مع موسعات القناة (Reamers).

كل هذه التفاصيل ت

صورة طبية: كسر قصبة الساق الممتد إلى مفصل الكاحل (البلافون): أسرار العلاج بالمسمار النخاعي مع الأستاذ الدكتور محمد هطيف

صورة طبية: كسر قصبة الساق الممتد إلى مفصل الكاحل (البلافون): أسرار العلاج بالمسمار النخاعي مع الأستاذ الدكتور محمد هطيف

صورة طبية: كسر قصبة الساق الممتد إلى مفصل الكاحل (البلافون): أسرار العلاج بالمسمار النخاعي مع الأستاذ الدكتور محمد هطيف

صورة طبية: كسر قصبة الساق الممتد إلى مفصل الكاحل (البلافون): أسرار العلاج بالمسمار النخاعي مع الأستاذ الدكتور محمد هطيف

صورة طبية: كسر قصبة الساق الممتد إلى مفصل الكاحل (البلافون): أسرار العلاج بالمسمار النخاعي مع الأستاذ الدكتور محمد هطيف

صورة طبية: كسر قصبة الساق الممتد إلى مفصل الكاحل (البلافون): أسرار العلاج بالمسمار النخاعي مع الأستاذ الدكتور محمد هطيف

صورة طبية: كسر قصبة الساق الممتد إلى مفصل الكاحل (البلافون): أسرار العلاج بالمسمار النخاعي مع الأستاذ الدكتور محمد هطيف

صورة طبية: كسر قصبة الساق الممتد إلى مفصل الكاحل (البلافون): أسرار العلاج بالمسمار النخاعي مع الأستاذ الدكتور محمد هطيف

صورة طبية: كسر قصبة الساق الممتد إلى مفصل الكاحل (البلافون): أسرار العلاج بالمسمار النخاعي مع الأستاذ الدكتور محمد هطيف

صورة طبية: كسر قصبة الساق الممتد إلى مفصل الكاحل (البلافون): أسرار العلاج بالمسمار النخاعي مع الأستاذ الدكتور محمد هطيف

صورة طبية: كسر قصبة الساق الممتد إلى مفصل الكاحل (البلافون): أسرار العلاج بالمسمار النخاعي مع الأستاذ الدكتور محمد هطيف

صورة طبية: كسر قصبة الساق الممتد إلى مفصل الكاحل (البلافون): أسرار العلاج بالمسمار النخاعي مع الأستاذ الدكتور محمد هطيف

صورة طبية: كسر قصبة الساق الممتد إلى مفصل الكاحل (البلافون): أسرار العلاج بالمسمار النخاعي مع الأستاذ الدكتور محمد هطيف

صورة طبية: كسر قصبة الساق الممتد إلى مفصل الكاحل (البلافون): أسرار العلاج بالمسمار النخاعي مع الأستاذ الدكتور محمد هطيف

صورة طبية: كسر قصبة الساق الممتد إلى مفصل الكاحل (البلافون): أسرار العلاج بالمسمار النخاعي مع الأستاذ الدكتور محمد هطيف

صورة طبية: كسر قصبة الساق الممتد إلى مفصل الكاحل (البلافون): أسرار العلاج بالمسمار النخاعي مع الأستاذ الدكتور محمد هطيف

صورة طبية: كسر قصبة الساق الممتد إلى مفصل الكاحل (البلافون): أسرار العلاج بالمسمار النخاعي مع الأستاذ الدكتور محمد هطيف

صورة طبية: كسر قصبة الساق الممتد إلى مفصل الكاحل (البلافون): أسرار العلاج بالمسمار النخاعي مع الأستاذ الدكتور محمد هطيف

صورة طبية: كسر قصبة الساق الممتد إلى مفصل الكاحل (البلافون): أسرار العلاج بالمسمار النخاعي مع الأستاذ الدكتور محمد هطيف

صورة طبية: كسر قصبة الساق الممتد إلى مفصل الكاحل (البلافون): أسرار العلاج بالمسمار النخاعي مع الأستاذ الدكتور محمد هطيف

صورة طبية: كسر قصبة الساق الممتد إلى مفصل الكاحل (البلافون): أسرار العلاج بالمسمار النخاعي مع الأستاذ الدكتور محمد هطيف

صورة طبية: كسر قصبة الساق الممتد إلى مفصل الكاحل (البلافون): أسرار العلاج بالمسمار النخاعي مع الأستاذ الدكتور محمد هطيف

صورة طبية: كسر قصبة الساق الممتد إلى مفصل الكاحل (البلافون): أسرار العلاج بالمسمار النخاعي مع الأستاذ الدكتور محمد هطيف

صورة طبية: كسر قصبة الساق الممتد إلى مفصل الكاحل (البلافون): أسرار العلاج بالمسمار النخاعي مع الأستاذ الدكتور محمد هطيف

صورة طبية: كسر قصبة الساق الممتد إلى مفصل الكاحل (البلافون): أسرار العلاج بالمسمار النخاعي مع الأستاذ الدكتور محمد هطيف

صورة طبية: كسر قصبة الساق الممتد إلى مفصل الكاحل (البلافون): أسرار العلاج بالمسمار النخاعي مع الأستاذ الدكتور محمد هطيف

صورة طبية: كسر قصبة الساق الممتد إلى مفصل الكاحل (البلافون): أسرار العلاج بالمسمار النخاعي مع الأستاذ الدكتور محمد هطيف

صورة طبية: كسر قصبة الساق الممتد إلى مفصل الكاحل (البلافون): أسرار العلاج بالمسمار النخاعي مع الأستاذ الدكتور محمد هطيف


آلام العظام والمفاصل المزمنة ليس قدراً محتوماً! التشخيص الدقيق والعلاج المتخصص يمكن أن يعيد لك كامل وظيفتك وحريتك في الحركة بدون ألم.

للحصول على استشارة دقيقة وخطة علاجية مخصصة لحالتك، تواصل فوراً مع مركز الأستاذ الدكتور محمد هطيف:

الأستاذ الدكتور محمد هطيف - أفضل دكتور عظام في صنعاء، وخبير في جراحات العظام والمفاصل المتقدمة.

مواضيع أخرى قد تهمك

Dr. Mohammed Hutaif
محتوى موثق طبياً بإشراف
أ.د. محمد هطيف
استشاري جراحة العظام والمفاصل والعمود الفقري
محتويات الفصل