كسر عنق عظم الكاحل من النوع الثالث (Hawkins Type III) الأسباب الأعراض والعلاج مع الأستاذ الدكتور محمد هطيف

الخلاصة الطبية
كسر عنق الكاحل من النوع الثالث (Hawkins Type III) هو إصابة خطيرة تتضمن كسرًا في عنق عظم الكاحل مع خلع مفصلي مزدوج. يتطلب العلاج جراحة عاجلة لرد العظم وتثبيته، وهو أمر حيوي لتقليل خطر النخر اللاوعائي واستعادة وظيفة القدم، تحت إشراف خبراء مثل الأستاذ الدكتور محمد هطيف.
الخلاصة الطبية السريعة: كسر عنق الكاحل من النوع الثالث (Hawkins Type III) هو إصابة خطيرة تتضمن كسرًا في عنق عظم الكاحل مع خلع مفصلي مزدوج. يتطلب العلاج جراحة عاجلة لرد العظم وتثبيته، وهو أمر حيوي لتقليل خطر النخر اللاوعائي واستعادة وظيفة القدم، تحت إشراف خبراء مثل الأستاذ الدكتور محمد هطيف.
مقدمة
يُعد كسر عنق عظم الكاحل (Talus Neck Fracture) من الإصابات المعقدة والنادرة في القدم والكاحل، وغالبًا ما ينتج عن حوادث عالية الطاقة مثل السقوط من ارتفاعات شاهقة أو حوادث السيارات. يتميز هذا النوع من الكسور بخطورة بالغة نظرًا للدور المحوري الذي يلعبه عظم الكاحل في حركة القدم والكاحل، بالإضافة إلى إمداده الدموي الهش. عندما نتحدث عن "كسر عنق الكاحل من النوع الثالث وفقًا لتصنيف هوكينز" (Hawkins Type III)، فإننا نشير إلى إصابة شديدة تتضمن ليس فقط كسرًا في عنق العظم، بل أيضًا خلعًا كاملاً في مفصلي الكاحل وتحت الكاحل، مما يضع المريض في خطر كبير للإصابة بمضاعفات خطيرة مثل النخر اللاوعائي (Avascular Necrosis) والتهاب المفاصل ما بعد الصدمة.
في هذه المقالة الشاملة، سنتعمق في فهم كسر عنق عظم الكاحل من النوع الثالث، بدءًا من تشريح القدم والكاحل، مرورًا بالأسباب والأعراض، وصولًا إلى أحدث طرق التشخيص والعلاج الجراحي، وبروتوكولات إعادة التأهيل. إن الهدف من هذا الدليل هو توفير معلومات دقيقة وموثوقة للمرضى وعائلاتهم، لمساعدتهم على فهم هذه الإصابة المعقدة واتخاذ قرارات مستنيرة بشأن رعايتهم الصحية.
ولأن هذه الإصابات تتطلب خبرة جراحية فائقة ودقة متناهية، يسعدنا أن نؤكد أنكم في أيدٍ أمينة مع الأستاذ الدكتور محمد هطيف ، استشاري جراحة العظام والعمود الفقري، والذي يُعد الرائد الأول في علاج هذه الحالات المعقدة في صنعاء واليمن. يتمتع الدكتور هطيف بسجل حافل من النجاحات في التعامل مع أصعب كسور القدم والكاحل، ويقدم رعاية طبية وفقًا لأعلى المعايير العالمية.
التشريح الأساسي لعظم الكاحل والقدم
لفهم كسر عنق عظم الكاحل، من الضروري أولاً أن نتعرف على التشريح الأساسي لهذه المنطقة الحيوية من جسم الإنسان. عظم الكاحل، المعروف أيضًا باسم "القنزعة" أو "Talus"، هو عظم غير منتظم الشكل يقع في الجزء السفلي من الساق، ويعتبر جسرًا بين الساق والقدم. إنه العظم الوحيد في الجسم الذي لا تتصل به أي عضلات بشكل مباشر، مما يجعله يعتمد بشكل كامل على الأربطة المحيطة للحفاظ على استقراره.
أهمية عظم الكاحل
يُعد عظم الكاحل حجر الزاوية في مفصل الكاحل ومفصل تحت الكاحل (Subtalar Joint)، وهما مفصلان أساسيان لحركة المشي والوقوف والتحكم في توازن الجسم.
*
مفصل الكاحل:
يتكون من اتصال عظم الكاحل بعظمي الساق (الظنبوب والشظية)، ويسمح بحركات رفع القدم وخفضها (الإنثناء الظهري والإنثناء الأخمصي).
*
مفصل تحت الكاحل:
يتكون من اتصال عظم الكاحل بعظم العقب (Calcaneus)، ويسمح بحركات قلب القدم إلى الداخل والخارج (Inversion and Eversion)، وهي حركات ضرورية للتكيف مع الأسطح غير المستوية.
*
مفصل الكاحل الزورقي (Talonavicular Joint):
يتصل عظم الكاحل أيضًا بعظم الزورقي (Navicular) في منتصف القدم، مما يساهم في مرونة واستقرار قوس القدم.
الإمداد الدموي لعظم الكاحل
تكمن خصوصية عظم الكاحل في إمداده الدموي. فهو يعتمد على شبكة معقدة من الشرايين الصغيرة التي تدخل العظم من نقاط متعددة. هذه الشرايين تكون عرضة للتلف الشديد في حالات الكسور والخلع عالية الطاقة، خاصة تلك التي تؤثر على عنق عظم الكاحل. إن أي اضطراب في هذا الإمداد الدموي يمكن أن يؤدي إلى مضاعفة خطيرة تُعرف باسم "النخر اللاوعائي" (Avascular Necrosis - AVN)، حيث تموت خلايا العظم بسبب نقص إمداد الدم، مما يؤدي إلى انهيار العظم وتدهور المفصل. هذا هو السبب الرئيسي وراء خطورة كسور عنق الكاحل، خاصةً الأنواع المتقدمة مثل النوع الثالث.
أسباب وعوامل خطر كسور عنق الكاحل
تحدث كسور عنق عظم الكاحل عادةً نتيجة لإصابات عالية الطاقة، مما يعني أن قوة هائلة يجب أن تُطبق على القدم والكاحل لإحداث مثل هذا الكسر. فهم هذه الآليات أمر بالغ الأهمية للوقاية والتشخيص.
آليات الإصابة الشائعة
- السقوط من ارتفاع: كما هو الحال في الحالة التي نقدمها، السقوط من سلم أو من ارتفاعات أخرى، والهبوط مباشرة على القدمين، يمكن أن يولد قوة ضغط محورية هائلة تدفع عظم الكاحل بقوة ضد عظم الظنبوب، مما يؤدي إلى كسر في عنقه.
- حوادث المركبات (MVCs): تُعد حوادث السيارات والدراجات النارية سببًا شائعًا آخر لكسور الكاحل عالية الطاقة. يمكن أن يؤدي الاصطدام المباشر أو قوة الدفع الناتجة عن الاصطدام إلى إصابات خطيرة في القدم والكاحل.
- الإصابات الرياضية العنيفة: على الرغم من أنها أقل شيوعًا، إلا أن بعض الإصابات الرياضية عالية التأثير، مثل تلك التي تحدث في رياضات القفز أو السقوط العنيف، يمكن أن تسبب كسورًا في عنق الكاحل.
كيف يحدث الكسر والخلع (النوع الثالث)
في سياق كسر عنق الكاحل من النوع الثالث (Hawkins Type III)، تحدث سلسلة معقدة من الأحداث:
*
الضغط المحوري القوي:
تتعرض القدم لقوة ضغط محورية قوية (مثل الهبوط على القدمين).
*
الإنثناء الظهري القسري:
غالبًا ما تكون القدم في وضع الإنثناء الظهري القسري (أي موجهة لأعلى نحو الساق)، مما يدفع عنق عظم الكاحل ليصطدم بالحافة الأمامية لعظم الظنبوب.
*
الكسر:
يؤدي هذا الاصطدام إلى كسر عنق عظم الكاحل.
*
الخلع المزدوج:
بسبب استمرار القوة، ينخلع جسم عظم الكاحل (الجزء الخلفي من العظم) من مفصل الكاحل ويندفع عادةً إلى الخلف. في نفس الوقت، ينخلع الجزء الأمامي من عظم الكاحل (الرأس والعنق المكسور) من مفصل تحت الكاحل ومفصل الكاحل الزورقي. هذا الخلع المزدوج هو ما يميز النوع الثالث ويجعله خطيرًا للغاية، حيث يؤدي إلى تمزق معظم الأوعية الدموية المغذية لعظم الكاحل.
عوامل الخطر
- الأنشطة عالية المخاطر: المهن التي تتضمن العمل على ارتفاعات، أو الرياضات عالية التأثير.
- عدم استخدام معدات الوقاية: عدم ارتداء أحذية واقية مناسبة في بيئات العمل الخطرة.
- عدم الانتباه: قد يؤدي عدم التركيز أثناء ممارسة الأنشطة الخطرة إلى سقوط أو حوادث.
إن فهم هذه الآليات يؤكد على أهمية البحث عن الرعاية الطبية الفورية عند التعرض لأي إصابة عالية الطاقة في القدم والكاحل، خاصةً إذا كانت مصحوبة بألم شديد وتشوه واضح.
أعراض وعلامات كسر عنق عظم الكاحل
تُعد أعراض وعلامات كسر عنق عظم الكاحل، خاصةً من النوع الثالث، واضحة ومثيرة للقلق، وتتطلب تدخلًا طبيًا عاجلاً. عند وصول المريض إلى قسم الطوارئ، تكون الصورة السريرية نموذجية لإصابة خطيرة.
الألم الشديد والتشوه الواضح
- ألم لا يطاق: يصف المرضى عادةً ألمًا فوريًا وشديدًا ومبرحًا يتركز في منطقة الكاحل والقدم الخلفية. هذا الألم يمنعهم تمامًا من تحمل أي وزن على الطرف المصاب.
- تشوه الكاحل والقدم: يظهر تشوه واضح وجسيم في الكاحل والقدم الخلفية. قد تبدو القدم أقصر من المعتاد، وربما تكون ملتوية للداخل أو الخارج بشكل غير طبيعي. هذا التشوه ناتج عن خلع عظم الكاحل من مكانه الطبيعي.
التورم السريع وتأثر الجلد
- تورم سريع ومتفاقم: يبدأ التورم في منطقة الكاحل والقدم الخلفية بسرعة بعد الإصابة ويتزايد بشكل مطرد. هذا التورم يمكن أن يكون هائلاً ويشكل ضغطًا على الأنسجة المحيطة.
- تأثر الجلد: مع ازدياد التورم والتشوه، قد تظهر علامات "شد الجلد" (Skin Tenting) حيث يصبح الجلد مشدودًا ولامعًا، خاصةً في الجزء الأمامي والداخلي من الكاحل. قد تظهر مناطق شاحبة اللون (Blanching) على الجلد، مما يشير إلى أن الجلد يتعرض لضغط شديد وقد يكون على وشك التلف أو النخر.
- التقرحات (Blisters): قد تتشكل تقرحات أو فقاعات جلدية مبكرة فوق مناطق شد الجلد القصوى، وهي علامة أخرى على تعرض الجلد للخطر.
- متلازمة الحيز (Compartment Syndrome): في بعض الحالات، يمكن أن يؤدي التورم الشديد إلى زيادة الضغط داخل حيز العضلات في الساق أو القدم، مما يهدد بتلف العضلات والأعصاب. يُقيم الأطباء هذه الحالة من خلال ملاحظة شدة العضلات، والألم غير المتناسب مع تحريك أصابع القدم بشكل سلبي، والشعور بالخدر أو التنميل.
تقييم الدورة الدموية والأعصاب
نظرًا لخطورة إصابات الكاحل عالية الطاقة، يُعد التقييم الدقيق للدورة الدموية والأعصاب أمرًا بالغ الأهمية لتجنب المضاعفات الدائمة.
-
الدورة الدموية (الأوعية الدموية):
- النبضات: قد تكون نبضات الشريان الظنبوبي الخلفي وشريان ظهر القدم ضعيفة أو غائبة مقارنة بالطرف السليم، مما يشير إلى احتمال وجود ضعف في تدفق الدم.
- زمن إعادة امتلاء الشعيرات الدموية: قد يكون هذا الزمن (الوقت الذي يستغرقه اللون الوردي للعودة إلى الأصبع بعد الضغط عليه) متأخرًا (أكثر من 2-3 ثوانٍ)، مما يؤكد وجود درجة من ضعف الدورة الدموية.
- لون وحرارة الجلد: قد تبدو القدم والأصابع شاحبة وباردة عند اللمس مقارنة بالطرف الآخر، وهي علامات تدل على نقص التروية الدموية.
- الحركة السلبية: أي ألم غير متناسب عند تحريك الأصابع بشكل سلبي يمكن أن يشير إلى متلازمة الحيز.
-
الوظيفة العصبية:
- يُجرى فحص دقيق للإحساس (اللمس الخفيف، الوخز) في توزيع الأعصاب المختلفة للقدم (الشظوي السطحي، الشظوي العميق، الصافن، الأخمصي).
- تُقيّم وظيفة العضلات (حركة أصابع القدم والكاحل)، على الرغم من أن الألم والتورم قد يجعل التقييم الكامل صعبًا.
- في حالة عدم وجود نقص عصبي فوري، يجب الاستمرار في المراقبة المستمرة بسبب التورم المتزايد.
إن أي من هذه العلامات تستدعي التدخل الطبي الفوري. فالتأخير في التشخيص والعلاج يمكن أن يؤدي إلى عواقب وخيمة ودائمة للمريض.
تشخيص كسر عنق عظم الكاحل
يبدأ تشخيص كسر عنق عظم الكاحل بتقييم سريري شامل، يليه تصوير طبي متقدم لتحديد طبيعة الكسر وخطورته بدقة. إن التشخيص الدقيق هو مفتاح التخطيط العلاجي الناجح.
الأشعة السينية X-ray
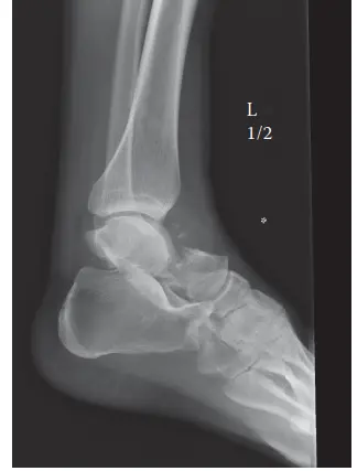
تُعد الأشعة السينية هي الخطوة التشخيصية الأولى والأكثر أهمية في قسم الطوارئ. تُؤخذ عدة لقطات (أمامية خلفية، جانبية، ومائلة) للكاحل والقدم المصابة. في حالة كسر عنق الكاحل من النوع الثالث، تُظهر الأشعة السينية بوضوح:
*
كسر عنق الكاحل:
يكون الكسر واضحًا في منطقة عنق عظم الكاحل، وغالبًا ما يكون مصحوبًا بانزياح شديد.
*
خلع جسم الكاحل:
يظهر جسم عظم الكاحل (الجزء الخلفي) منخلعًا من مفصل الكاحل، وغالبًا ما يكون متراجعًا إلى الخلف خلف عظم الظنبوب.
*
خلع مفصل تحت الكاحل:
يظهر خلع في مفصل تحت الكاحل، حيث يبقى جزء العنق والرأس المكسور من عظم الكاحل متصلاً بعظم العقب، ولكنه يكون منحرفًا عن مكانه الطبيعي.
*
توسع في مفصل الكاحل:
قد يشير إلى إصابة في الأربطة المحيطة.
بناءً على الأشعة السينية، يتم تصنيف الكسر وفقًا لتصنيف هوكينز (Hawkins Classification)، وهو نظام أساسي لتقدير خطر النخر اللاوعائي (AVN):
*
النوع الأول (Type I):
كسر غير منزاح في عنق الكاحل. خطر النخر اللاوعائي: 0-10%.
*
النوع الثاني (Type II):
كسر منزاح في عنق الكاحل مع خلع أو انزلاق في مفصل تحت الكاحل. مفصل الكاحل يبقى متطابقًا. خطر النخر اللاوعائي: 20-50%.
*
النوع الثالث (Type III):
كسر منزاح في عنق الكاحل مع خلع في كل من مفصل تحت الكاحل ومفصل الكاحل (يخرج جسم الكاحل من مفصل الكاحل). هذا هو تصنيف حالتنا. خطر النخر اللاوعائي: 70-100%.
*
النوع الرابع (Type IV - تعديل كانال وكيلي):
كسر منزاح في عنق الكاحل مع خلع في مفصل تحت الكاحل، ومفصل الكاحل، ومفصل الكاحل الزورقي. خطر النخر اللاوعائي: يقترب من 100%.
صورة شعاعية توضيحية لكسر معقد في عظم الكاحل، تُظهر نمط الكسر الأولي ومحاولات التثبيت.
التصوير المقطعي المحوسب CT Scan
بعد محاولة رد مغلق أولية (إن أمكن) لتحسين محاذاة العظام وتقليل الضغط على الأنسجة، يُعتبر التصوير المقطعي المحوسب (CT Scan) ضروريًا وحتميًا في جميع حالات كسور عنق الكاحل المنزاحة. يوفر التصوير المقطعي صورًا ثلاثية الأبعاد لا تقدر بثمن، وهي حاسمة للتخطيط الجراحي الدقيق.
*
تأكيد الكسر:
يؤكد طبيعة الكسر وتفتته (Comminution)، خاصةً في عنق الكاحل.
*
تحديد الشظايا:
يكشف عن وجود شظايا عظمية صغيرة داخل المفاصل (الكاحل وتحت الكاحل)، والتي قد تعيق الرد وتتطلب إزالتها.
*
تقييم الأسطح المفصلية:
يعطي تفاصيل دقيقة عن مدى تأثر الأسطح المفصلية لعظم الكاحل والعظام المحيطة (الظنبوب، الشظية، العقب، الزورقي).
*
استبعاد كسور أخرى:
يساعد في استبعاد أي كسور خفية أخرى في القدم الخلفية أو منتصف القدم قد لا تكون مرئية في الأشعة السينية العادية.
الرنين المغناطيسي MRI
عادةً ما لا يُستخدم التصوير بالرنين المغناطيسي (MRI) في المرحلة الحادة لكسور الكاحل المنزاحة نظرًا لضيق الوقت وتفوق التصوير المقطعي في تفاصيل العظام. ومع ذلك، قد يُنظر فيه لاحقًا إذا كانت هناك مخاوف بشأن إصابات الأربطة (مثل تمزق الرباط الدالي أو إصابة الرباط بين الشظية والظنبوب)، أو للمتابعة طويلة الأمد لتقييم علامات مبكرة للنخر اللاوعائي (AVN) أو آفات الغضروف والعظم.
التشخيص التفريقي
من الضروري التمييز بين كسر عنق الكاحل وإصابات القدم والكاحل الأخرى عالية الطاقة، حيث أن لكل منها نهجًا علاجيًا مختلفًا. يضع الأستاذ الدكتور محمد هطيف في اعتباره دائمًا التشخيص التفريقي الشامل لضمان أدق تشخيص:
| الميزة | كسر عنق الكاحل (Hawkins Type III/IV)
آلام العظام والمفاصل المزمنة ليس قدراً محتوماً! التشخيص الدقيق والعلاج المتخصص يمكن أن يعيد لك كامل وظيفتك وحريتك في الحركة بدون ألم.
للحصول على استشارة دقيقة وخطة علاجية مخصصة لحالتك، تواصل فوراً مع مركز الأستاذ الدكتور محمد هطيف:
الأستاذ الدكتور محمد هطيف - أفضل دكتور عظام في صنعاء، وخبير في جراحات العظام والمفاصل المتقدمة.
مواضيع أخرى قد تهمك