كسر بيلون الكاحل المعقد: دليل شامل للمرضى مع الأستاذ الدكتور محمد هطيف

الخلاصة الطبية
كسر بيلون الكاحل المعقد هو كسر شديد في الجزء السفلي من قصبة الساق، يتطلب علاجًا جراحيًا دقيقًا لاستعادة سطح المفصل. يشمل العلاج غالبًا مرحلتين: تثبيت خارجي ثم تثبيت داخلي لضمان أفضل النتائج والتعافي الوظيفي.
الخلاصة الطبية السريعة: كسر بيلون الكاحل المعقد هو كسر شديد في الجزء السفلي من قصبة الساق، يتطلب علاجًا جراحيًا دقيقًا لاستعادة سطح المفصل. يشمل العلاج غالبًا مرحلتين: تثبيت خارجي ثم تثبيت داخلي لضمان أفضل النتائج والتعافي الوظيفي.
مقدمة عن كسور بيلون الكاحل المعقدة
تُعد إصابات الكاحل من أكثر الكسور شيوعًا، ولكن بعضها يتجاوز مجرد الكسر البسيط ليصبح تحديًا طبيًا حقيقيًا. من بين هذه التحديات، يبرز "كسر بيلون الكاحل المعقد" كواحد من أخطر أنواع كسور الجزء السفلي من قصبة الساق التي تمتد إلى سطح المفصل. هذا النوع من الكسور ليس مجرد كسر في العظم، بل هو إصابة عالية الطاقة تدمر السطح المفصلي وتؤثر بشكل كبير على الأنسجة الرخوة المحيطة، مما يجعل العلاج معقدًا ويتطلب خبرة جراحية فائقة.
في هذا الدليل الشامل، سنتعمق في فهم كسر بيلون الكاحل المعقد، بدءًا من تشريح الكاحل مرورًا بالأسباب والأعراض والتشخيص، وصولًا إلى استراتيجيات العلاج المتقدمة والتعافي. سنستعرض حالة سريرية حقيقية لكسر بيلون من النوع OTA/AO 43-C3، وهو تصنيف يشير إلى أقصى درجات التعقيد، لنوضح كيف يتم التعامل مع مثل هذه الإصابات بدقة واحترافية عالية.
إن إدارة هذه الكسور تتطلب جراح عظام متخصصًا يمتلك المعرفة والخبرة اللازمة لتحقيق أفضل النتائج الممكنة للمريض. في صنعاء، يُعد الأستاذ الدكتور محمد هطيف ، استشاري جراحة العظام والعمود الفقري، المرجع الأول والوجهة المثلى لعلاج هذه الحالات المعقدة، بفضل خبرته الواسعة وتقنياته الجراحية المتقدمة التي تضمن للمرضى أعلى مستويات الرعاية والتعافي.
التشريح المعقد لمفصل الكاحل
لفهم كسر بيلون، من الضروري أولاً فهم البنية المعقدة لمفصل الكاحل. هذا المفصل ليس مجرد مفصل بسيط، بل هو تحفة هندسية تسمح لنا بالمشي والجري والقفز وتحمل وزن الجسم بالكامل.
عظام مفصل الكاحل
يتكون مفصل الكاحل بشكل أساسي من ثلاث عظام رئيسية:
*
قصبة الساق (Tibia):
هي العظم الأكبر في الساق وتتحمل معظم وزن الجسم. الجزء السفلي منها، والذي يشكل سقف مفصل الكاحل، يُعرف باسم "السقف الظنبوبي" أو "Plafond". هذا هو الجزء الذي يتأثر بكسر بيلون.
*
الشظية (Fibula):
هي العظم الأصغر والأقل تحملًا للوزن في الساق، وتقع بجانب قصبة الساق. تلعب دورًا حاسمًا في استقرار مفصل الكاحل.
*
العظم الكاحلي (Talus):
هو العظم الذي يقع مباشرة تحت قصبة الساق والشظية، ويشكل قاعدة مفصل الكاحل. يسمح هذا العظم بحركة الكاحل لأعلى ولأسفل.
الأربطة والأنسجة الرخوة
تحيط بالمفصل شبكة معقدة من الأربطة القوية التي تربط هذه العظام معًا وتوفر الثبات. كما توجد الأوتار والعضلات التي تسمح بحركة القدم والكاحل. من أهم هذه العضلات، العضلة الظنبوبية الأمامية (Anterior Tibialis Muscle) ، والتي تقع في مقدمة الساق وتلعب دورًا حيويًا في رفع القدم نحو الساق (الثني الظهري)، وهي حركة أساسية للمشي الطبيعي وتجنب السقوط.
أهمية السطح المفصلي
السطح المفصلي للعظام مغطى بطبقة ناعمة ومرنة تسمى "الغضروف المفصلي". هذا الغضروف يسمح للعظام بالانزلاق بسلاسة فوق بعضها البعض دون احتكاك، مما يضمن حركة خالية من الألم. في كسر بيلون، يتضرر هذا السطح المفصلي بشكل مباشر، مما يجعله كسرًا داخل المفصل، وهذا ما يفسر صعوبة علاجه ومضاعفاته المحتملة مثل خشونة المفصل (التهاب المفاصل ما بعد الصدمة).
ما هو كسر بيلون الكاحل المعقد
كسر بيلون (Pilon Fracture) هو كسر يصيب الجزء السفلي من قصبة الساق (Tibia) ويمتد إلى السطح المفصلي لمفصل الكاحل. كلمة "بيلون" تعني "المدقة" أو "الهاون"، وهي تشير إلى آلية الإصابة حيث يتم دفع العظم الكاحلي (Talus) بقوة للأعلى باتجاه قصبة الساق، مما يؤدي إلى سحق السقف الظنبوبي.
تصنيف OTA/AO 43-C3
يستخدم جراحو العظام أنظمة تصنيف دقيقة لوصف الكسور وتوجيه خطة العلاج. أحد أكثر هذه التصنيفات شيوعًا هو نظام AO/OTA.
*
43:
يشير إلى كسور الجزء السفلي من قصبة الساق.
*
C:
يشير إلى أن الكسر داخل المفصل ومعقد.
*
3:
هي الدرجة الأعلى في التعقيد، مما يعني أن الكسر شديد التفتت (تكسر العظم إلى أجزاء صغيرة متعددة) ويصيب السطح المفصلي بالكامل، بالإضافة إلى تفتت في الجزء العلوي من قصبة الساق (metaphysis).
هذا التصنيف (43-C3) يعني أننا نتعامل مع كسر شديد للغاية، حيث يكون السطح المفصلي مدمرًا بشكل كبير، مما يجعل استعادته تحديًا جراحيًا كبيرًا ويتطلب دقة متناهية.
تصنيف الأنسجة الرخوة (Tscherne Classification)
بالإضافة إلى العظام، تُعد حالة الأنسجة الرخوة المحيطة (الجلد والعضلات والأوعية الدموية والأعصاب) عاملًا حاسمًا في علاج كسور بيلون. يتم تصنيف إصابات الأنسجة الرخوة باستخدام نظام Tscherne:
*
C0:
لا يوجد ضرر في الأنسجة الرخوة أو ضرر بسيط.
*
C1:
كدمات خفيفة، جرح سطحي.
*
C2:
كدمات عميقة، سحجات جلدية، خطر معتدل لتضرر الجلد.
*
C3:
تضرر شديد في الأنسجة الرخوة، تقرحات جلدية، انضغاط شديد، خطر كبير لتضرر الأوعية الدموية/الأعصاب أو نخر الجلد.
في الحالة التي نتناولها، كان تصنيف الأنسجة الرخوة C2-C3، مما يعني أن الجلد كان متوترًا ومنتفخًا بشكل كبير، مع وجود خطر كبير لتلف الجلد أو نخر. هذا العامل حاسم في اتخاذ قرار العلاج الجراحي، حيث يفضل الأستاذ الدكتور محمد هطيف في مثل هذه الحالات اتباع نهج جراحي على مرحلتين لحماية الأنسجة الرخوة.
أسباب كسور بيلون الكاحل وعوامل الخطر
تحدث كسور بيلون نتيجة لقوى عالية الطاقة تؤثر مباشرة على مفصل الكاحل، وغالبًا ما تكون مرتبطة بحوادث عنيفة.
آلية الإصابة الشائعة
- السقوط من ارتفاعات عالية: كما في الحالة المذكورة (سقوط من 4 أمتار)، حيث يهبط الشخص على قدميه مباشرة، مما يدفع العظم الكاحلي بقوة نحو قصبة الساق ويسحقها.
- حوادث السيارات والدراجات النارية: خاصة عندما تكون القدم مثبتة بقوة على دواسة الفرامل أو تتعرض لصدمة مباشرة.
- الإصابات الرياضية عالية الطاقة: على الرغم من أنها أقل شيوعًا، إلا أن الرياضات التي تنطوي على قفزات عالية أو صدمات قوية يمكن أن تسبب هذه الكسور.
عوامل الخطر
على الرغم من أن أي شخص يمكن أن يتعرض لكسر بيلون في ظل ظروف عالية الطاقة، إلا أن بعض العوامل قد تزيد من خطر الإصابة أو تعقيد العلاج:
*
هشاشة العظام:
تجعل العظام أكثر عرضة للتفتت.
*
بعض الحالات الطبية:
مثل السكري أو أمراض الأوعية الدموية الطرفية، يمكن أن تؤثر على التئام الجروح والعظام.
*
التدخين:
يؤثر سلبًا على الدورة الدموية وقدرة الجسم على الشفاء، ويزيد من مخاطر المضاعفات.
*
طبيعة العمل أو النشاط:
الأشخاص الذين يعملون في ارتفاعات أو يشاركون في أنشطة عالية الخطورة.
الأعراض والعلامات لكسر بيلون الكاحل
عند الإصابة بكسر بيلون، تظهر مجموعة من الأعراض والعلامات المميزة التي تدل على خطورة الإصابة وحاجتها للتدخل الطبي الفوري.
الأعراض التي يبلغ عنها المريض
- ألم شديد ومفاجئ: في الكاحل المصاب مباشرة بعد الإصابة، وغالبًا ما يكون لا يطاق.
- تشوه واضح في الكاحل: قد يبدو الكاحل في وضع غير طبيعي أو مشوهًا بشكل واضح.
- عدم القدرة على تحمل الوزن: يستحيل على المريض الوقوف أو المشي على القدم المصابة.
- تورم سريع وكبير: في منطقة الكاحل، يزداد بسرعة بعد الإصابة.
- عدم وجود أعراض عصبية وعائية فورية: على الرغم من أن التورم قد يزداد لاحقًا.
الفحص السريري الدقيق
عند وصول المريض إلى قسم الطوارئ، يقوم الفريق الطبي، بقيادة الأستاذ الدكتور محمد هطيف في صنعاء، بإجراء فحص سريري شامل لتقييم مدى الإصابة:
-
فحص الأنسجة الرخوة:
هذا هو الجانب الأكثر أهمية. يبحث الطبيب عن:
- تورم شديد وكدمات: تمتد إلى أعلى وأسفل الكاحل.
- تغيرات في الجلد: مثل الشحوب، التوتر الشديد، ظهور بثور، أو ما يُعرف بـ "علامة الخيمة" (Tenting) حيث يبدو الجلد مشدودًا للغاية وكأنه على وشك الانفجار. هذه العلامات تدل على أن الجلد "مُعرض للخطر" (Tscherne C2-C3) وتؤثر على توقيت الجراحة.
- غياب "علامة التجعد" (Wrinkle Sign): وهي عدم وجود تجاعيد طبيعية في الجلد عند محاولة تحريكه، مما يشير إلى تورم شديد.
- فحص النبض والإحساس (التقييم العصبي الوعائي): يتحقق الطبيب من وجود النبض في القدم (الشريان الظهري للقدم والشريان الظنبوبي الخلفي) ومن الإحساس الطبيعي في أصابع القدم ومناطق مختلفة من القدم. هذا للتأكد من عدم وجود إصابة في الأعصاب أو الأوعية الدموية.
- الجس والتحريك اللطيف: للكشف عن الألم وتحديد مناطق التفتت (Crepitus) عند تحريك الكاحل بلطف، وهذا يدل على وجود كسر.
- تقييم حركة العضلات: يتم تقييم قدرة المريض على تحريك أصابع القدم والكاحل، خاصة وظيفة العضلة الظنبوبية الأمامية (Anterior Tibialis) التي تُعد مؤشرًا مهمًا للتعافي المستقبلي. في هذه الحالة، لوحظ وجود ضعف في الثني الظهري (3/5)، لكن هذا مؤشر إيجابي على بقاء وظيفتها الأولية.
تشخيص كسر بيلون الكاحل المعقد
يعتمد التشخيص الدقيق لكسر بيلون على الفحص السريري المذكور أعلاه، بالإضافة إلى مجموعة من الفحوصات التصويرية التي توفر رؤية مفصلة للكسر.
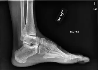
الأشعة السينية (Plain Radiographs)
هي الخطوة الأولى في التشخيص، وتُجرى في قسم الطوارئ. تُظهر الأشعة السينية (الأمامية الخلفية، الجانبية، والخاصة بالمفصل) ما يلي:
*
كسر داخل المفصل:
في الجزء السفلي من قصبة الساق.
*
تفتت شديد:
للعظم في منطقة السقف الظنبوبي.
*
انخفاض في السطح المفصلي:
حيث يكون السقف الظنبوبي قد هبط.
*
كسر مصاحب في الشظية:
غالبًا ما يحدث كسر في الشظية على بعد حوالي 5 سم من مفصل الكاحل.
*
خلع جزئي في العظم الكاحلي:
قد ينزاح العظم الكاحلي من مكانه الطبيعي.
*
اتساع في مفصل الكاحل (Mortise Widening):
يشير إلى تمزق في الأربطة التي تربط قصبة الساق والشظية (Syndesmosis).
الشكل 1: صورة أشعة سينية أمامية خلفية أولية توضح كسرًا شديد التفتت داخل المفصل في قصبة الساق السفلية (كسر بيلون) مع انخفاض كبير في السطح المفصلي وخلع جزئي في العظم الكاحلي.
الأشعة المقطعية (Computed Tomography - CT Scan)
بعد التقييم الأولي وتثبيت المريض، تُعد الأشعة المقطعية ضرورية للغاية. إنها توفر صورًا ثلاثية الأبعاد مفصلة للكسر، مما يسمح للأستاذ الدكتور محمد هطيف بتحديد:
*
مدى تضرر السطح المفصلي:
بدقة متناهية.
*
عدد وحجم الأجزاء المكسورة:
وتحديد موقعها بدقة.
*
مدى التفتت:
في الجزء العلوي من قصبة الساق.
*
تحديد الإصابات المصاحبة:
مثل تمزق أربطة السندسموزيس (Syndesmosis) وكسر الشظية بشكل أكثر تفصيلاً.
تُعد الأشعة المقطعية حجر الزاوية في التخطيط الجراحي لكسور بيلون المعقدة، حيث تمكن الجراح من وضع استراتيجية دقيقة لإعادة تجميع العظام واستعادة سطح المفصل.
الشكل 2: صورة إعادة بناء مقطعية (Coronal CT) توضح التفتت الشديد وانخفاض السطح المفصلي لقصبة الساق، بما يتوافق مع كسر بيلون من النوع OTA/AO 43-C3.
لا حاجة للرنين المغناطيسي (MRI) بشكل حاد
في الحالات الحادة لكسور بيلون، لا يكون التصوير بالرنين المغناطيسي ضروريًا عادةً، حيث تُظهر الأشعة السينية والمقطعية بوضوح إصابات العظام. قد يُنظر في الرنين المغناطيسي لاحقًا إذا كان هناك اشتباه في إصابات الأربطة المزمنة أو الأوتار بعد الجراحة أو في مرحلة متأخرة.
التشخيص التفريقي
من المهم أن يميز الطبيب بين كسر بيلون والإصابات الأخرى في الكاحل التي قد تبدو مشابهة، خاصة وأن جميعها إصابات عالية الطاقة. إليك جدول مقارنة مبسط:
| الميزة | كسر بيلون (مثل OTA 43-C3) | خلع كسر الكاحل المعقد (مثل Lauge-Hansen SER IV) | كسر العظم الكاحلي (الجسم/الرقبة) |
|---|---|---|---|
| آلية الإصابة | حمل محوري عالي الطاقة (سقوط من ارتفاع، حادث سيارة). | قوى دورانية عالية الطاقة أو مجتمعة. | حمل محوري عالي الطاقة مع ثني ظهري/أخمصي قسري. |
| الأعراض السريرية | ألم شديد، تشوه واضح، تورم كبير، غالبًا تضرر شديد في الأنسجة الرخوة (شحوب، توتر، بثور). | ألم شديد، تشوه ملحوظ، تورم كبير، احتمال تضرر عصبي وعائي. | ألم شديد، تشوه، تورم أقل حدة بشكل حاد من البيلون، ولكنه قد يتفاقم. |
| الموقع الأساسي للإصابة | الجزء السفلي من قصبة الساق والسطح المفصلي. | قصبة الساق، الشظية، العظم الكاحلي (الكعبان، السندسموزيس، خلع جزئي/كلي للعظم الكاحلي). | العظم الكاحلي (الجسم، الرقبة، الرأس)، غالبًا ما يرتبط بخلع تحت الكاحل أو مفصل الكاحل. |
| نتائج الأشعة السينية | تفتت السقف الظنبوبي، انخفاض السطح المفصلي، امتداد إلى الجزء العلوي من قصبة الساق. غالبًا ما يرتبط بكسر الشظية، وخلع جزئي للعظم الكاحلي. | كسور في الكعبين الإنسي/الوحشي، الكعب الخلفي، تمزق السندسموزيس. انزياح/خلع العظم الكاحلي. | خط كسر عبر جسم أو رقبة العظم الكاحلي، غالبًا ما يرتبط بخلع تحت الكاحل أو الكاحل. |
| نتائج الأشعة المقطعية | رسم خرائط مفصلية مفصلة، تحليل الأجزاء المكسورة (فولكمان، شابو)، مدى التفتت، السندسموزيس، كسر الشظية. | تعريف دقيق لكسور الكعبين، السندسموزيس، إصابات الأربطة المصاحبة، وضع العظم الكاحلي. | تكوين الكسر الدقيق، الإزاحة، إصابة تحت الكاحل، آفات الغضاريف. |
| أهمية العضلة الظنبوبية الأمامية | حاسمة. تُقيّم سلامتها بعد الصدمة؛ ضرورية للثني الظهري الوظيفي ومنع تشوه القدم الحنفاء بعد الجراحة. الحفاظ عليها مؤشر إيجابي رئيسي. | مهمة لوظيفة الثني الظهري؛ قد تتأثر بالإزاحة الشديدة أو متلازمة الحيز في الحيز الأمامي. | سلامتها أقل تهديدًا مباشرًا من كسور بيلون، ولكن وظيفتها تتأثر بالألم والتورم. |
| العلاج الجراحي | غالبًا ما يكون على مرحلتين (مثبت خارجي -> تثبيت داخلي). التركيز على استعادة السطح المفصلي، المحور الميكانيكي، التثبيت المستقر. | تثبيت داخلي لكسور الكعبين، تثبيت السندسموزيس. التركيز على الاستعادة التشريحية والثبات. | تثبيت داخلي إذا كان هناك إزاحة، غالبًا ما يكون معقدًا بسبب الأوعية الدموية للعظم الكاحلي والأسطح المتعددة. |
| المضاعفات الرئيسية | خشونة المفصل ما بعد الصدمة، عدم الالتئام/سوء الالتئام، العدوى، نخر الأنسجة الرخوة، تشوه القدم الحنفاء. | خشونة المفصل ما بعد الصدمة، عدم الثبات، عدم الالتئام، العدوى. | نخر العظم الكاحلي، خشونة المفصل ما بعد الصدمة، عدم الالتئام، سوء الالتئام. |
خطة العلاج المتقدمة لكسر بيلون الكاحل
نظرًا للطبيعة عالية الطاقة لكسر بيلون، والتفتت الشديد، والأهم من ذلك، تضرر الأنسجة الرخوة المحيطة (Tscherne C2-C3)، فإن الأستاذ الدكتور محمد هطيف يتبع نهجًا جراحيًا على مرحلتين، وهو ما يُعد المعيار الذهبي في علاج هذه الحالات المعقدة.
قرار التدخل الجراحي
إن طبيعة الكسر داخل المفصل، والإزاحة الكبيرة، وعدم استقرار كسر بيلون (OTA/AO 43-C3) جعلت التدخل الجراحي ضروريًا لاستعادة شكل المفصل الطبيعي، ومحاذاة العظام، وثباتها. فالعلاج غير الجراحي لمثل هذه الكسور سيؤدي حتمًا إلى خشونة مفصلية شديدة، وسوء التئام، وعجز وظيفي دائم.
لماذا نهج جراحي على مرحلتين؟
- تحسين حالة الأنسجة الرخوة: الهدف الأساسي للمرحلة الأولى هو تثبيت الكسر مؤقتًا والسماح للأنسجة الرخوة (الجلد والعضلات) بالتعافي. هذا يساعد على تقليل التورم، وشفاء البثور الناتجة عن الكسر، وتحسين حيوية الجلد، وبالتالي تقليل خطر مضاعفات الجروح مثل النخر والعدوى. إن إجراء عملية جراحية مفتوحة فورًا على كاحل "ساخن" (منتفخ بشدة ومتضرر الأنسجة الرخوة) يزيد بشكل كبير من هذه المخاطر.
- التثبيت الخارجي (External Fixation): يتم تطبيق مثبت خارجي يمتد عبر الكاحل بشكل حاد في قسم الطوارئ. يوفر هذا ثباتًا مؤقتًا فوريًا، ويقلل الكسر بشكل غير مباشر (عبر شد الأربطة)، ويساعد على استعادة طول الكاحل ومحاذاته. كما يقلل الضغط على الأنسجة الرخوة المتضررة ويسهل الرعاية التمريضية.
- توقيت الجراحة النهائية (ORIF): يتم التخطيط للجراحة النهائية (التثبيت الداخلي المفتوح) بعد فترة تتراوح من 7 إلى 10 أيام، أو عندما تعود "علامة التجعد" ويكون الأستاذ الدكتور محمد هطيف قد قرر أن الأنسجة الرخوة أصبحت جاهزة للجراحة.
أهمية العضلة الظنبوبية الأمامية القوية
كان تقييم وظيفة العضلة الظنبوبية الأمامية أمرًا بالغ الأهمية خلال عملية اتخاذ القرار. على الرغم من تأثرها بالألم والتورم بشكل حاد، إلا أن وجود حركة ثني ظهري ضعيفة في البداية كان مؤشرًا إيجابيًا. توفر العضلة الظنبوبية الأمامية القوية:
*
ثباتًا ديناميكيًا:
تساعد على تثبيت مفصل الكاحل ومنع تشوه القدم الحنفاء (Equinus deformity).
*
تحسين المشي:
ضرورية لنمط مشي طبيعي من الكعب إلى أصابع القدم.
*
إمكانات إعادة التأهيل:
تسمح سلامتها ببدء تمارين الثني الظهري النشطة مبكرًا وبفعالية أكبر، وهو أمر حاسم لمنع تيبس المفصل وتعزيز التعافي الوظيفي.
*
تقليل الحاجة لإجراءات مستقبلية:
إذا كانت العضلة الظنبوبية الأمامية غير وظيفية أو متضررة بشدة، فقد يُنظر في عمليات نقل الأوتار المعقدة أو حتى دمج الكاحل على المدى الطويل، خاصة إذا تطور تشوه القدم الحنفاء بشكل كبير. أكد التقييم الأولي على سلامتها الهيكلية العامة وإمكانية تعافيها.
التقنية الجراحية والتدخل
تتكون عملية علاج كسر بيلون المعقد من مرحلتين رئيسيتين، يتم إجراؤهما بدقة عالية تحت إشراف الأستاذ الدكتور محمد هطيف.
المرحلة الأولى: التثبيت الخارجي الحاد
في غضون ساعات من وصول المريض، يتم تطبيق مثبت خارجي يمتد عبر الكاحل تحت التخدير الموضعي أو العام.
*
وضع المريض:
يستلقي المريض على ظهره على طاولة أشعة شفافة.
*
وضع المسامير:
يتم وضع مسمارين في الجزء الأمامي من قصبة الساق، على بعد حوالي 10-15 سم من مفصل الكاحل، مع تجنب الهياكل العصبية الوعائية. يتم وضع مسمارين إضافيين في عنق/جسم العظم الكاحلي أو عظم العقب، مع التأكد من مرورها عبر العظم بوضوح.
*
الرد (Reduction):
يتم تطبيق شد لطيف على القدم لتحقيق رد أولي للخلع الجزئي في العظم الكاحلي واستعادة طول الكاحل عبر شد الأربطة (ligamentotaxis). يتم تثبيت الكاحل في وضع محايد.
*
التركيب:
يتم تجميع إطار قوي أحادي المستوى أو دلتا وتثبيته.
* **بعد الج
آلام العظام والمفاصل المزمنة ليس قدراً محتوماً! التشخيص الدقيق والعلاج المتخصص يمكن أن يعيد لك كامل وظيفتك وحريتك في الحركة بدون ألم.
للحصول على استشارة دقيقة وخطة علاجية مخصصة لحالتك، تواصل فوراً مع مركز الأستاذ الدكتور محمد هطيف:
الأستاذ الدكتور محمد هطيف - أفضل دكتور عظام في صنعاء، وخبير في جراحات العظام والمفاصل المتقدمة.
مواضيع أخرى قد تهمك