English
جزء من الدليل الشامل

كسر الكعبرة البعيدة: دليل المريض الشامل لعلاج واستعادة حركة الرسغ في اليمن والخليج

كسر الكعبرة البعيدة المعقدة داخل المفصل: دليل شامل للمرضى في صنعاء

03 إبريل 2026 13 دقيقة قراءة 0 مشاهدة
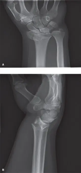
صورة توضيحية لـ كسر الكعبرة البعيدة المعقدة داخل المفصل: دليل شامل للمرضى في صنعاء

الخلاصة الطبية

كسر الكعبرة البعيدة المعقد هو إصابة خطيرة في الرسغ تتطلب غالبًا تدخلاً جراحيًا لاستعادة وظيفة اليد. يشمل العلاج تقنيات متقدمة مثل التثبيت بالصفيحة والمسمار، مع التركيز على إعادة التأهيل لضمان أفضل النتائج.

الخلاصة الطبية الشاملة: كسر الكعبرة البعيدة المعقد داخل المفصل هو إصابة بالغة الخطورة في الرسغ تتطلب غالبًا تدخلًا جراحيًا دقيقًا لاستعادة التشريح الطبيعي للرسغ ووظيفة اليد الكاملة. يتجاوز العلاج مجرد تثبيت العظم ليشمل استراتيجيات جراحية متقدمة مثل التثبيت بالصفيحة والمسمار، مع التركيز المكثف على إعادة التأهيل المتخصصة. في صنعاء، يقدم الأستاذ الدكتور محمد هطيف، بخبرته التي تتجاوز 20 عامًا وتقنياته الجراحية المتطورة، الرعاية الشاملة اللازمة لضمان أفضل النتائج الممكنة للمرضى الذين يعانون من هذه الكسور المعقدة.

صورة توضيحية لـ كسر الكعبرة البعيدة المعقدة داخل المفصل: دليل شامل للمرضى في صنعاء

مقدمة عن كسور الكعبرة البعيدة المعقدة داخل المفصل

تُعد كسور الكعبرة البعيدة من أكثر كسور العظام شيوعًا على الإطلاق، حيث تمثل ما يقرب من سدس جميع الكسور التي تُعالج في غرف الطوارئ حول العالم. تحدث هذه الكسور عادةً نتيجة السقوط على يد ممدودة، وهي إصابة يمكن أن تتراوح شدتها من بسيطة ومستقرة إلى معقدة للغاية وتتطلب تدخلًا جراحيًا متخصصًا. عندما يكون الكسر "داخل المفصل" (intra-articular) و"معقدًا" (complex)، فهذا يعني أن الكسر يمتد إلى السطح المفصلي للعظم، وأن هناك تفتتًا كبيرًا أو إزاحة شديدة للعظام، مما يؤثر بشكل مباشر على استقرار المفصل ووظيفته المستقبلية.

كسور الكعبرة البعيدة المعقدة داخل المفصل تتطلب فهمًا عميقًا للتشريح الدقيق للرسغ وخبرة جراحية فائقة لإعادة بناء المفصل المتضرر بدقة متناهية. الهدف من العلاج ليس فقط شفاء العظم، بل استعادة محاذاة المفصل الطبيعية، وتقليل خطر التهاب المفاصل ما بعد الصدمة، واستعادة نطاق الحركة الكامل والقوة لليد والرسغ. في صنعاء، يبرز اسم الأستاذ الدكتور محمد هطيف كمرجع أول في علاج هذه الحالات، بفضل سجله الحافل بالنجاحات واستخدامه لأحدث التقنيات الجراحية.

توضيح طبي: كسر الكعبرة البعيدة المعقدة داخل المفصل: دليل شامل للمرضى في صنعاء

التشريح الدقيق للرسغ ودوره في كسور الكعبرة البعيدة

لفهم طبيعة كسر الكعبرة البعيدة، من الضروري الإلمام بالتشريح الأساسي للرسغ. يتكون الرسغ من ثماني عظام صغيرة تسمى عظام الرسغ (Carpals) التي تتصل بعظمتي الساعد: الكعبرة (Radius) والزند (Ulna). الكعبرة هي العظم الأكبر في الساعد من ناحية الإبهام، وهي التي تشكل المفصل الرئيسي مع عظام الرسغ. الجزء البعيد من الكعبرة (Distal Radius) هو الطرف الأقرب لليد.

يتميز هذا الجزء بتشريح معقد يتضمن عدة أسطح مفصلية تتفاعل مع عظام الرسغ وعظم الزند لتوفير نطاق واسع من الحركة والقوة لليد. أي كسر يؤثر على هذه الأسطح المفصلية الدقيقة يمكن أن يؤدي إلى مشاكل وظيفية كبيرة إذا لم يتم علاجه بشكل صحيح. الأربطة القوية تحافظ على استقرار هذه العظام، ولكن في حالة الصدمات الشديدة، يمكن أن تتمزق الأربطة بالإضافة إلى كسر العظم، مما يزيد من تعقيد الإصابة.

أنواع كسور الكعبرة البعيدة المعقدة

تُصنف كسور الكعبرة البعيدة المعقدة داخل المفصل بناءً على عدة عوامل، بما في ذلك مدى تفتت العظم، ودرجة الإزاحة، وعدد القطع العظمية المتضمنة، ومدى تأثيرها على السطح المفصلي. بعض التصنيفات الشائعة تشمل:

  • كسور كوليس (Colles' Fracture): الأكثر شيوعًا، ويتميز بإزاحة الجزء البعيد من الكعبرة للخلف (dorsal displacement).
  • كسور سميث (Smith's Fracture): إزاحة الجزء البعيد من الكعبرة للأمام (volar displacement).
  • كسور بارتون (Barton's Fracture): كسر مائل داخل المفصل مع خلع جزئي للرسغ.
  • كسور ذات تفتت شديد (Highly Comminuted Fractures): يتفتت العظم إلى عدة قطع صغيرة، مما يجعل إعادة بناءه تحديًا.
  • كسور مفتوحة (Open Fractures): حيث تخترق العظام الجلد، مما يزيد من خطر العدوى ويتطلب تدخلًا عاجلاً.

تتطلب الكسور المعقدة داخل المفصل تقييمًا دقيقًا باستخدام الأشعة السينية والتصوير المقطعي المحوسب (CT Scan) لتحديد مدى الضرر بدقة والتخطيط للعلاج الأمثل.

صورة توضيحية لـ كسر الكعبرة البعيدة المعقدة داخل المفصل: دليل شامل للمرضى في صنعاء

الأسباب وعوامل الخطر لكسور الكعبرة البعيدة المعقدة

تحدث كسور الكعبرة البعيدة في الغالب نتيجة لصدمة مباشرة أو غير مباشرة على اليد والرسغ. فهم الأسباب وعوامل الخطر يساعد في الوقاية والتعرف المبكر على الحالات المعرضة للإصابة.

الأسباب الشائعة

  1. السقوط على يد ممدودة (FOOSH - Fall Onto an Outstretched Hand): هذا هو السبب الأكثر شيوعًا، حيث يمتص الرسغ قوة الصدمة عند محاولة الشخص حماية نفسه أثناء السقوط. يمكن أن يؤدي السقوط من ارتفاع بسيط أو أثناء ممارسة الرياضة إلى كسر معقد.
  2. حوادث المركبات: الاصطدامات القوية يمكن أن تسبب كسورًا معقدة ومتعددة في الرسغ واليد.
  3. الإصابات الرياضية: الرياضات التي تتضمن مخاطر السقوط مثل التزلج، ركوب الدراجات، التزلج على الألواح، أو حتى كرة القدم يمكن أن تؤدي إلى كسور الرسغ.
  4. الصدمات المباشرة: مثل ضربة قوية مباشرة على الرسغ.

عوامل الخطر

  1. هشاشة العظام (Osteoporosis): هي حالة تتميز بضعف العظام وفقدان كثافتها، مما يجعلها أكثر عرضة للكسور حتى من الصدمات الخفيفة. النساء بعد سن اليأس وكبار السن بشكل عام هم الأكثر عرضة لهشاشة العظام.
  2. العمر: تزداد احتمالية الإصابة بالكسور مع التقدم في العمر بسبب ضعف العظام وتدهور التوازن.
  3. نقص فيتامين د والكالسيوم: يلعبان دورًا حيويًا في صحة العظام، ونقصهما يمكن أن يزيد من خطر الكسور.
  4. بعض الحالات الطبية: مثل أمراض الغدة الدرقية، السكري، أو بعض أمراض الجهاز الهضمي التي تؤثر على امتصاص الكالسيوم.
  5. الأدوية: بعض الأدوية مثل الكورتيكوستيرويدات يمكن أن تؤثر على كثافة العظام.
  6. الأنشطة عالية المخاطر: المشاركة في رياضات أو مهن تتطلب جهدًا بدنيًا عاليًا وتزيد من احتمالية السقوط أو التعرض للصدمات.

صورة توضيحية لـ كسر الكعبرة البعيدة المعقدة داخل المفصل: دليل شامل للمرضى في صنعاء

الأعراض والتشخيص الدقيق لكسر الكعبرة البعيدة المعقد

تتطلب كسور الكعبرة البعيدة المعقدة تشخيصًا دقيقًا وسريعًا لضمان بدء العلاج المناسب في أقرب وقت ممكن. الأعراض غالبًا ما تكون واضحة ومؤلمة.

الأعراض الشائعة

  1. ألم شديد ومفاجئ: يتركز في منطقة الرسغ بعد الإصابة مباشرة، ويزداد سوءًا مع أي محاولة لتحريك اليد أو الرسغ.
  2. تورم ملحوظ: يحدث التورم بسرعة حول الرسغ واليد، وقد يمتد إلى الساعد.
  3. تشوه واضح: قد يظهر الرسغ بشكل غير طبيعي، مثل "تشوه شوكة العشاء" (Dinner Fork Deformity) حيث يظهر الرسغ منتفخًا للخلف.
  4. كدمات: قد تظهر كدمات (تغير في لون الجلد) حول منطقة الإصابة بسبب النزيف الداخلي.
  5. فقدان القدرة على تحريك الرسغ أو اليد: صعوبة بالغة أو عدم القدرة على تحريك الرسغ، الإمساك بالأشياء، أو استخدام اليد بشكل طبيعي.
  6. خدر أو وخز: في بعض الحالات، يمكن أن يتأثر العصب الأوسط (Median Nerve) أو الأعصاب الأخرى بسبب التورم أو ضغط الكسر، مما يؤدي إلى خدر أو وخز في الأصابع.
  7. بروز العظام: في حالات الكسور المفتوحة، قد تبرز أجزاء من العظم من خلال الجلد، وهي حالة طارئة تتطلب عناية فورية.

عملية التشخيص في مركز الأستاذ الدكتور محمد هطيف

عند الاشتباه في كسر الكعبرة البعيدة المعقد، يتبع الأستاذ الدكتور محمد هطيف منهجًا شاملاً ودقيقًا للتشخيص، مستفيدًا من خبرته الطويلة وأحدث التقنيات:

  1. الفحص السريري الدقيق:

    • التاريخ المرضي: يسأل الدكتور هطيف عن كيفية حدوث الإصابة، الأعراض، التاريخ الطبي للمريض، وأي أدوية يتناولها.
    • الفحص البدني: يقوم بتقييم الرسغ المصاب بحثًا عن التورم، الكدمات، التشوه، ومناطق الألم. كما يقوم بفحص الأعصاب والأوعية الدموية للتأكد من عدم وجود ضرر عصبي وعائي. يتم تقييم نطاق الحركة (إن أمكن) وقوة الإمساك.
  2. التصوير التشخيصي المتقدم:

    • الأشعة السينية (X-rays): تُعد الخطوة الأولى والأساسية. تُؤخذ صور متعددة للرسغ من زوايا مختلفة (أمامية خلفية، جانبية، مائلة) لتحديد موقع الكسر، نوعه، درجة الإزاحة، ووجود أي تفتت.
    • التصوير المقطعي المحوسب (CT Scan): يعتبر حاسمًا لكسور الكعبرة البعيدة المعقدة داخل المفصل. يوفر صورًا ثلاثية الأبعاد مفصلة للغاية للكسر، مما يسمح للأستاذ الدكتور هطيف بتقييم دقيق لمدى تضرر السطح المفصلي، عدد الشظايا العظمية، وأي إزاحة صغيرة قد لا تظهر بوضوح في الأشعة السينية. هذا التقييم الدقيق ضروري للتخطيط الجراحي الأمثل.
    • التصوير بالرنين المغناطيسي (MRI): قد يُطلب في حالات معينة لتقييم الأنسجة الرخوة المحيطة، مثل الأربطة أو الأوتار التي قد تكون قد تضررت بالتزامن مع الكسر، أو للبحث عن إصابات غضروفية.

بفضل هذا النهج التشخيصي المتكامل، يضمن الأستاذ الدكتور محمد هطيف تحديد طبيعة الكسر بدقة غير مسبوقة، مما يمكنه من وضع خطة علاجية مخصصة وفعالة للغاية لكل مريض.

توضيح طبي: كسر الكعبرة البعيدة المعقدة داخل المفصل: دليل شامل للمرضى في صنعاء

صورة توضيحية لـ كسر الكعبرة البعيدة المعقدة داخل المفصل: دليل شامل للمرضى في صنعاء

خيارات العلاج الشاملة: من التحفظي إلى الجراحي المتقدم

يعتمد اختيار العلاج لكسر الكعبرة البعيدة المعقد داخل المفصل على عدة عوامل، بما في ذلك عمر المريض، مستوى نشاطه، شدة الكسر، درجة الإزاحة، ومدى تضرر السطح المفصلي. في مركز الأستاذ الدكتور محمد هطيف، يتم تقييم كل حالة بعناية لتقديم الخيار الأنسب الذي يضمن أفضل استعادة للوظيفة.

1. العلاج التحفظي (غير الجراحي)

العلاج التحفظي نادرًا ما يكون الخيار الأفضل لكسور الكعبرة البعيدة "المعقدة داخل المفصل" بسبب طبيعتها التي تؤثر على السطح المفصلي وتتطلب غالبًا إعادة بناء دقيقة. ومع ذلك، قد يُنظر فيه في حالات استثنائية:

  • كسور مستقرة جدًا وغير نازحة: وهي نادرة جدًا في الكسور المعقدة داخل المفصل.
  • مرضى كبار السن جدًا أو ذوي حالات صحية خطيرة: حيث تكون مخاطر الجراحة أكبر من فوائدها المحتملة، ويكون الهدف الأساسي هو تخفيف الألم والحفاظ على وظيفة أساسية.

طرق العلاج التحفظي:

  • التجبير (Cast Immobilization): يتم تثبيت الرسغ والساعد في جبيرة من الجبس أو الألياف الزجاجية بعد محاولة "رد مغلق" (Closed Reduction) للكسر (أي إعادة العظام إلى مكانها دون جراحة). تستمر الجبيرة عادة لمدة 4-8 أسابيع.
  • المتابعة الدورية: يتم إجراء أشعة سينية منتظمة للتأكد من أن العظم لم يتحرك داخل الجبيرة.

محدودية العلاج التحفظي في الكسور المعقدة:
في معظم الحالات المعقدة داخل المفصل، لا يوفر العلاج التحفظي ردًا دقيقًا للسطح المفصلي، مما قد يؤدي إلى:
* سوء الالتئام (Malunion): حيث يلتئم العظم في وضع غير صحيح، مسببًا تشوهًا.
* التهاب المفاصل ما بعد الصدمة (Post-traumatic Arthritis): بسبب عدم استواء السطح المفصلي.
* فقدان كبير في نطاق الحركة والقوة.

2. العلاج الجراحي (الخيار المفضل للحالات المعقدة)

العلاج الجراحي هو المعيار الذهبي لكسور الكعبرة البعيدة المعقدة داخل المفصل، ويهدف إلى استعادة التشريح الدقيق للعظم والسطح المفصلي، مما يقلل من خطر المضاعفات طويلة الأمد ويحسن النتائج الوظيفية. الأستاذ الدكتور محمد هطيف، بخبرته الواسعة كأستاذ في جامعة صنعاء وجراح متخصص، يقدم أحدث التقنيات الجراحية في هذا المجال.

دواعي التدخل الجراحي:

  • الكسور داخل المفصل مع إزاحة كبيرة: خاصة إذا كانت تؤثر على السطح المفصلي.
  • التفتت الشديد للعظم: حيث يكون هناك عدة شظايا عظمية.
  • عدم استقرار الكسر: الذي لا يمكن الحفاظ عليه برد مغلق وتجبير.
  • الكسور المفتوحة: تتطلب جراحة عاجلة لتنظيف الجرح وتثبيت الكسر.
  • إصابات الأنسجة الرخوة المصاحبة: مثل تمزق الأربطة.

أنواع الجراحات التي يجريها الأستاذ الدكتور محمد هطيف:

  1. الرد المفتوح والتثبيت الداخلي بالصفيحة والمسمار (ORIF - Open Reduction Internal Fixation with Plate and Screws):

    • هذه هي الطريقة الأكثر شيوعًا وفعالية لكسور الكعبرة البعيدة المعقدة.
    • يقوم الجراح بعمل شق جراحي للوصول المباشر إلى الكسر.
    • يتم إعادة ترتيب الشظايا العظمية بدقة متناهية لاستعادة التشريح الطبيعي للرسغ، بما في ذلك السطح المفصلي.
    • تُستخدم صفائح خاصة ذات زوايا ثابتة ومسامير لتثبيت العظام في مكانها. الصفائح الحديثة، خاصة الصفائح ذات الزوايا الثابتة (locking plates)، توفر استقرارًا ممتازًا وتسمح بالتحريك المبكر للرسغ.
    • يفضل الأستاذ الدكتور محمد هطيف استخدام الصفائح الكفية (Volar Plates) التي توضع على الجانب الأمامي (الراحي) للرسغ، حيث توفر تثبيتًا قويًا وتسمح بشفاء أسرع مع خطر أقل لتهيج الأوتار.
  2. التثبيت الخارجي (External Fixation):

    • يُستخدم في حالات الكسور الشديدة التفتت، أو الكسور المفتوحة، أو عندما يكون هناك تورم شديد في الأنسجة الرخوة يمنع التثبيت الداخلي الفوري.
    • يتم إدخال دبابيس معدنية صغيرة عبر الجلد إلى العظم فوق وتحت الكسر، ثم توصيلها بإطار خارجي لتثبيت الكسر.
    • يمكن استخدام التثبيت الخارجي كحل مؤقت قبل الجراحة النهائية، أو كحل نهائي في بعض الحالات.
  3. التثبيت بالأسلاك عبر الجلد (Percutaneous Pinning):

    • أقل شيوعًا للكسور المعقدة داخل المفصل، ولكنه قد يستخدم لبعض الكسور المستقرة نسبيًا أو كإضافة لتقنيات أخرى.
    • يتم إدخال أسلاك معدنية رفيعة عبر الجلد لتثبيت قطع العظم الصغيرة.
  4. التنظير المفصلي (Arthroscopy 4K):

    • يستخدم الأستاذ الدكتور محمد هطيف تقنية التنظير المفصلي المتقدمة (Arthroscopy 4K) في بعض حالات كسور الكعبرة البعيدة داخل المفصل.
    • يسمح المنظار المفصلي للجراح برؤية دقيقة للغاية داخل المفصل من خلال شقوق صغيرة جدًا، مما يساعد على:
      • تقييم دقيق لمدى تضرر السطح المفصلي والأربطة (مثل الغضروف المثلثي الليفي - TFCC).
      • المساعدة في رد دقيق لشظايا الكسر داخل المفصل.
      • معالجة أي إصابات مصاحبة للأربطة أو الغضروف في نفس الوقت.
    • هذه التقنية تقلل من حجم الشق الجراحي، مما يقلل من الألم بعد الجراحة ويساهم في تعافٍ أسرع.
  5. تطعيم العظام (Bone Grafting):

    • في حالات التفتت الشديد وفقدان جزء كبير من العظم، قد يكون من الضروري استخدام طعم عظمي لملء الفجوات ودعم الشفاء. يمكن أن يكون الطعم ذاتيًا (من نفس المريض) أو من متبرع.

مقارنة بين العلاج التحفظي والجراحي

الميزة/العامل العلاج التحفظي (التجبير) العلاج الجراحي (ORIF)
نوع الكسر الموصى به كسور مستقرة، غير نازحة، خارج المفصل (نادراً للمعقدة داخل المفصل). كسور معقدة داخل المفصل، نازحة، متعددة الشظايا، غير مستقرة.
دقة رد الكسر أقل دقة، خاصة للأسطح المفصلية. دقة عالية جدًا، استعادة التشريح الطبيعي للمفصل.
مخاطر التهاب المفاصل أعلى بسبب سوء الالتئام وعدم استواء السطح المفصلي. أقل بكثير بفضل دقة الرد والتثبيت.
نطاق الحركة بعد الشفاء قد يكون محدودًا بسبب التصلب وسوء الالتئام. أفضل، مع استعادة شبه كاملة لنطاق الحركة والقوة.
فترة الشفاء الأولية إزالة الجبيرة بعد 4-8 أسابيع، ثم تبدأ إعادة التأهيل. فترة قصيرة من التثبيت (أسبوعين تقريبًا)، ثم بدء إعادة التأهيل المبكر.
الآثار الجانبية والمخاطر سوء الالتئام، تصلب، ألم مزمن. مخاطر الجراحة (عدوى، نزيف، تلف الأعصاب)، ولكنه غالبًا ما يكون الخيار الأمثل.
التكلفة أقل في البداية، لكن قد تزيد تكلفة العلاج المستقبلي للمضاعفات. أعلى في البداية، لكنها استثمار في نتائج وظيفية أفضل على المدى الطويل.
العودة للأنشطة أبطأ وقد تكون مع قيود دائمة. أسرع وأكثر اكتمالًا، مع عودة لمعظم الأنشطة.

التخطيط الجراحي الدقيق قبل العملية

قبل أي تدخل جراحي، يولي الأستاذ الدكتور محمد هطيف أهمية قصوى للتخطيط الدقيق. يشمل ذلك:

  • مراجعة شاملة لصور الأشعة السينية والتصوير المقطعي المحوسب (CT Scan): لتحديد الزاوية المثلى للوصول، نوع الصفيحة والمسامير المناسبة، وتحديد تسلسل رد الشظايا.
  • مناقشة الخطة مع المريض: يشرح الدكتور هطيف تفاصيل الجراحة، المخاطر المحتملة، والنتائج المتوقعة، ويجيب على جميع استفسارات المريض.
  • التقييم الصحي العام: للتأكد من أن المريض لائق للجراحة والتخدير.

الإجراء الجراحي لكسر الكعبرة البعيدة المعقدة (ORIF) خطوة بخطوة

تُعد جراحة الرد المفتوح والتثبيت الداخلي (ORIF) هي الإجراء الأكثر شيوعًا وفعالية لكسور الكعبرة البعيدة المعقدة داخل المفصل. يُجري الأستاذ الدكتور محمد هطيف هذا الإجراء بدقة متناهية في مركز الأستاذ الدكتور محمد هطيف، مستخدمًا أحدث التقنيات لضمان أفضل النتائج.

1. التخدير:
* تبدأ الجراحة بتخدير المريض. يمكن أن يكون التخدير عامًا (يغفو المريض تمامًا) أو تخديرًا موضعيًا إقليميًا للذراع (Regional Anesthesia) مع مهدئ خفيف. يختار فريق التخدير النوع الأنسب بناءً على حالة المريض وتفضيلاته.

2. التحضير الجراحي:
* يتم تنظيف وتعقيم منطقة الرسغ والساعد جيدًا.
* يتم تغطية المنطقة بشاش معقم، تاركين منطقة الجراحة فقط مكشوفة.
* قد يُستخدم ضاغط (Tourniquet) على الذراع العلوي للتحكم في النزيف أثناء الجراحة، مما يوفر رؤية أوضح للجراح.

3. الوصول الجراحي (الشق):
* يقوم الأستاذ الدكتور محمد هطيف بعمل شق جراحي دقيق، غالبًا على الجانب الأمامي (الراحي) من الرسغ. هذا الشق يسمح بالوصول المباشر إلى عظم الكعبرة البعيدة.
* يتم فصل الأنسجة الرخوة والعضلات والأوتار بعناية للوصول إلى موقع الكسر دون إلحاق الضرر بها.

4. رد الكسر (Reduction):
* باستخدام أدوات جراحية متخصصة، يقوم الدكتور هطيف بإعادة ترتيب الشظايا العظمية المكسورة بدقة شديدة. الهدف هو استعادة التشريح الطبيعي للعظم، بما في ذلك الأسطح المفصلية، بأكبر قدر ممكن من الدقة.
* في حالة الكسور داخل المفصل، يتم إيلاء اهتمام خاص لاستعادة محاذاة السطح المفصلي لمنع التهاب المفاصل في المستقبل. قد يتم استخدام التنظير المفصلي (Arthroscopy 4K) في هذه المرحلة للمساعدة في تقييم دقة الرد داخل المفصل وتحديد أي إصابات أخرى.

5. التثبيت الداخلي (Internal Fixation):
* بعد رد الكسر بنجاح، يتم تثبيت العظام في مكانها باستخدام صفيحة معدنية (غالبًا من التيتانيوم) ومسامير.
* تُوضع الصفيحة على السطح الأمامي (الراحي) لعظم الكعبرة، حيث توفر دعمًا قويًا واستقرارًا.
* تُثبت المسامير من خلال الصفيحة وفي قطع العظم، وتتميز الصفائح الحديثة بمسامير ذات زوايا ثابتة (locking screws) توفر تثبيتًا أقوى، خاصة في العظام الضعيفة (مثل حالات هشاشة العظام).
* يتم التأكد من أن التثبيت مستقر وأن السطح المفصلي مستوٍ تمامًا.

6. تطعيم العظام (اختياري):
* إذا كان هناك فقدان كبير للعظم أو فجوات بعد رد الكسر، قد يستخدم الدكتور هطيف طعمًا عظميًا (من عظم المريض نفسه أو من بنك العظام) لملء هذه الفجوات وتعزيز الشفاء.

7. إغلاق الجرح:
* بعد التأكد من استقرار الكسر ووضع الصفائح والمسامير بشكل صحيح (يتم ذلك غالبًا باستخدام الأشعة السينية أثناء الجراحة)، يتم غسل الجرح جيدًا.
* تُعاد الأنسجة الرخوة والعضلات والأوتار إلى أماكنها الطبيعية.
* يُغلق الشق الجراحي بطبقات من الغرز، ثم يُغطى بضمادة معقمة.

8. بعد الجراحة مباشرة:
* يتم وضع جبيرة خفيفة أو دعامة لدعم الرسغ وحمايته خلال الأيام الأولى بعد الجراحة، للسماح للأنسجة بالشفاء.

تستغرق الجراحة عادة ما بين ساعة إلى ساعتين، حسب مدى تعقيد الكسر. يضمن الأستاذ الدكتور محمد هطيف، بفضل مهارته وخبرته، أن كل خطوة تتم بأقصى درجات الدقة والعناية.

توضيح طبي: كسر الكعبرة البعيدة المعقدة داخل المفصل: دليل شامل للمرضى في صنعاء

رعاية ما بعد الجراحة وإعادة التأهيل الشاملة

النجاح في علاج كسر الكعبرة البعيدة المعقد لا يتوقف عند الجراحة فحسب، بل يمتد ليشمل مرحلة رعاية ما بعد الجراحة وإعادة التأهيل المكثفة. يلعب هذا الجزء دورًا حاسمًا في استعادة وظيفة الرسغ واليد بشكل كامل. في مركز الأستاذ الدكتور محمد هطيف، يتم تصميم خطة إعادة التأهيل بشكل فردي لكل مريض لضمان أفضل النتائج.

1. الفترة الفورية بعد الجراحة (الأيام الأولى إلى الأسبوعين):

  • إدارة الألم: يتم وصف أدوية مسكنة للألم للتحكم في أي إزعاج بعد الجراحة.
  • الرفع والتبريد: يُنصح برفع اليد المصابة فوق مستوى القلب لتقليل التورم، وقد يُستخدم الثلج بشكل متقطع لتهدئة المنطقة

آلام العظام والمفاصل وتقييد حركتها ليس قدراً محتوماً! التشخيص الدقيق والعلاج المتخصص يمكن أن يعيد لك كامل وظيفتك وحريتك في الحركة. لا تدع الألم يسيطر على حياتك.

للحصول على استشارة دقيقة وخطة علاجية مخصصة لحالتك، تواصل فوراً مع مركز الأستاذ الدكتور محمد هطيف:

الأستاذ الدكتور محمد هطيف - أفضل دكتور عظام في صنعاء، وخبير في جراحات العظام والمفاصل والعمود الفقري.. نلتزم بإعادتك لحياة خالية من الألم وحركة طبيعية.

مواضيع أخرى قد تهمك

Dr. Mohammed Hutaif
محتوى موثق طبياً بإشراف
أ.د. محمد هطيف
استشاري جراحة العظام والمفاصل والعمود الفقري
محتويات الفصل